JavaScript is disabled in your browser. Please enable JavaScript to view this website.
AB79252

Anti-Cdc25A (phospho S178) antibody

Be the first to review this product! Submit a review

|

(3 Publications)

Rabbit Polyclonal Cdc25A phospho S178 antibody. Suitable for WB, IHC-P and reacts with Human samples. Cited in 3 publications. Immunogen corresponding to Synthetic Peptide within Human M-phase inducer phosphatase 1 phospho S178.

View Alternative Names

M-phase inducer phosphatase 1, Dual specificity phosphatase Cdc25A, CDC25A

2 Images
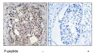
Immunohistochemistry (Formalin/PFA-fixed paraffin-embedded sections) - Anti-Cdc25A (phospho S178) antibody (AB79252)
  • IHC-P

Unknown

Immunohistochemistry (Formalin/PFA-fixed paraffin-embedded sections) - Anti-Cdc25A (phospho S178) antibody (AB79252)

Left panel : immunohistochemistry analysis of paraffin-embedded Human breast carcinoma tissue using 1/50 ab79252. Right panel : same, after pre-incubation with the immunizing peptide.

Western blot - Anti-Cdc25A (phospho S178) antibody (AB79252)
  • WB

Unknown

Western blot - Anti-Cdc25A (phospho S178) antibody (AB79252)

All lanes:

Western blot - Anti-Cdc25A (phospho S178) antibody (ab79252) at 1/500 dilution

Lane 1:

Extracts from A549 cell treated with UV (15mins) at 30 µg

Lane 2:

Extracts from A549 cell treated with UV (15mins) at 30 µg with immunizing phosphopeptide

Predicted band size: 59 kDa

Observed band size: 110 kDa,117 kDa,59 kDa

false

Key facts

Host species

Rabbit

Clonality

Polyclonal

Isotype

IgG

Carrier free

No

Reacts with

Human

Applications

WB, IHC-P

applications

Immunogen

Synthetic Peptide within Human M-phase inducer phosphatase 1 phospho S178. The exact immunogen used to generate this antibody is proprietary information.

P30304

Reactivity data

{ "title": "Reactivity Data", "filters": { "stats": ["", "Species", "Dilution Info", "Notes"], "tabs": { "all-applications": {"fullname" : "All Applications", "shortname": "All Applications"}, "WB" : {"fullname" : "Western blot", "shortname":"WB"}, "IHCP" : {"fullname" : "Immunohistochemistry (Formalin/PFA-fixed paraffin-embedded sections)", "shortname":"IHC-P"} }, "product-promise": { "all": "all", "testedAndGuaranteed": "tested", "guaranteed": "expected", "predicted": "predicted", "notRecommended": "not-recommended" } }, "values": { "Human": { "WB-species-checked": "testedAndGuaranteed", "WB-species-dilution-info": "1/500 - 1/1000", "WB-species-notes": "<p></p>", "IHCP-species-checked": "testedAndGuaranteed", "IHCP-species-dilution-info": "1/50 - 1/100", "IHCP-species-notes": "<p></p>" }, "Mouse": { "WB-species-checked": "predicted", "WB-species-dilution-info": "", "WB-species-notes": "", "IHCP-species-checked": "predicted", "IHCP-species-dilution-info": "", "IHCP-species-notes": "" }, "Rat": { "WB-species-checked": "predicted", "WB-species-dilution-info": "", "WB-species-notes": "", "IHCP-species-checked": "predicted", "IHCP-species-dilution-info": "", "IHCP-species-notes": "" } } }

Properties and storage information

Form
Liquid
Purification technique
Affinity purification Immunogen
Purification notes
Purified from rabbit antiserum by affinity chromatography using epitope-specific phosphopeptide. The antibody against non-phosphopeptide was removed by chromatography using non-phosphopeptide corresponding to the phosphorylation site.
Storage buffer
pH: 7.4 Preservative: 0.02% Sodium azide Constituents: PBS, 50% Glycerol (glycerin, glycerine), 0.87% Sodium chloride
Shipped at conditions
Blue Ice
Appropriate short-term storage conditions
+4°C
Appropriate long-term storage conditions
-20°C
Aliquoting information
Upon delivery aliquot
Storage information
Avoid freeze / thaw cycle

Supplementary information

This supplementary information is collated from multiple sources and compiled automatically.

Cdc25A also known as Cell Division Cycle 25A acts as a phosphatase that removes phosphate groups from cyclin-dependent kinases (CDKs). This process mainly activates CDKs which are important for the cell cycle progression. Cdc25A has a molecular mass of approximately 65 kDa. The protein expresses in various cell types but finds higher levels in proliferative tissues. Additionally it localizes primarily in the nucleus where it executes its function during specific cell cycle phases.
Biological function summary

Cdc25A plays a big role in controlling transitions between cell cycle phases particularly the G1 to S phase. It participates in a CDK complex which includes partners like Cyclin E and Cyclin A driving progression through cell cycle checkpoints. During DNA replication Cdc25A's activity ensures that cells duplicate accurately maintaining genome integrity and balance in cell proliferation.

Pathways

Cdc25A functions within the cell cycle regulation and DNA damage repair pathways. It interacts importantly with proteins like Checkpoint Kinase 1 and 2 (Chk1/Chk2) involved in responding to DNA damage. During adverse conditions Chk1/Chk2 phosphorylate Cdc25A leading to its degradation and preventing further cycle progression. This mechanism helps maintain genomic stability by halting the cycle until DNA repair occurs.

Cdc25A holds connections to cancer and neurodegenerative conditions. Its overexpression often links to cancers as uncontrolled activity allows for unscheduled cell proliferation. Similarly dysregulation of Cdc25A relates to proteins like p53 which suppress tumor growth. In neurodegenerative disorders Cdc25A's misregulation can also increase the potential for neuronal cell cycle re-entry contributing to neuronal death. Understanding these relationships is essential for developing therapeutic targets.

Product protocols

For this product, it's our understanding that no specific protocols are required. You can visit:

Target data

Tyrosine protein phosphatase which functions as a dosage-dependent inducer of mitotic progression (PubMed : 12676925, PubMed : 14559997, PubMed : 1836978, PubMed : 20360007). Directly dephosphorylates CDK1 and stimulates its kinase activity (PubMed : 20360007). Also dephosphorylates CDK2 in complex with cyclin-E, in vitro (PubMed : 20360007).
See full target information M-phase inducer phosphatase 1 phospho S178

Publications (3)

Recent publications for all applications. Explore the full list and refine your search

Frontiers in pharmacology 14:1124240 PubMed36874033

2023

Celastrol-regulated gut microbiota and bile acid metabolism alleviate hepatocellular carcinoma proliferation by regulating the interaction between FXR and RXRα and .

Applications

Unspecified application

Species

Unspecified reactive species

Dequan Zeng,Lipen Zhang,Qiang Luo

International journal of molecular medicine 46:571-582 PubMed32468021

2020

LINC00473 contributes to the radioresistance of esophageal squamous cell carcinoma by regulating microRNA‑497‑5p and cell division cycle 25A.

Applications

Unspecified application

Species

Unspecified reactive species

Wei-Hua Liu,Han-Yong Qiao,Jian Xu,Wei-Qing Wang,Yi-Lei Wu,Xia Wu

Nature communications 8:14059 PubMed28094252

2017

A signature motif in LIM proteins mediates binding to checkpoint proteins and increases tumour radiosensitivity.

Applications

WB

Species

Human

Xiaojie Xu,Zhongyi Fan,Chaoyang Liang,Ling Li,Lili Wang,Yingchun Liang,Jun Wu,Shaohong Chang,Zhifeng Yan,Zhaohui Lv,Jing Fu,Yang Liu,Shuai Jin,Tao Wang,Tian Hong,Yishan Dong,Lihua Ding,Long Cheng,Rui Liu,Shenbo Fu,Shunchang Jiao,Qinong Ye
View all publications

Product promise

We are committed to supporting your work with high-quality reagents, and we're here for you every step of the way. In the unlikely event that one of our products does not perform as expected, you're protected by our Product Promise.
For full details, please see our Terms & Conditions

Please note: All products are 'FOR RESEARCH USE ONLY. NOT FOR USE IN DIAGNOSTIC OR THERAPEUTIC PROCEDURES'.

For licensing inquiries, please contact partnerships@abcam.com