JavaScript is disabled in your browser. Please enable JavaScript to view this website.
AB277771

Anti-Cdc25A (phospho S18) antibody [20HCLC]

Be the first to review this product! Submit a review

|

(0 Publication)

Rabbit Recombinant Multiclonal Cdc25A phospho S18 antibody. Suitable for ICC, WB and reacts with Human samples. Immunogen corresponding to Synthetic Peptide within Human M-phase inducer phosphatase 1 phospho S18 aa 1-50.

View Alternative Names

M-phase inducer phosphatase 1, Dual specificity phosphatase Cdc25A, CDC25A

2 Images
Immunocytochemistry - Anti-Cdc25A (phospho S18) antibody [20HCLC] (AB277771)
  • ICC

Supplier Data

Immunocytochemistry - Anti-Cdc25A (phospho S18) antibody [20HCLC] (AB277771)

Immunofluorescence was performed on fixed and permeabilized HeLa cells treated with UV (302nM) for 60 minutes for detection of Cdc25apS18 using Anti-Cdc25apS18 Recombinant Rabbit Multiclonal Antibody (ab277771, 2 μ/mL) and labeled with Goat anti-Rabbit IgG (H+L) Secondary Antibody, Alexa Fluor® 488 conjugate (1/2000). Panel a) shows representative cells that were stained for detection and localization of Cdc25apS18 protein (green), Panel b) is stained for nuclei (blue) using DAPI. Panel c) represents cytoskeletal F-actin staining using Alexa Fluor® 555 Rhodamine Phalloidin (1/300). Panel d) is a composite image of Panels a, b and c clearly demonstrating cytoplasmic and nuclear localization of Cdc25apS18. Panel e) represents composite image of untreated cells with no signal. Panel f) represents control cells with no primary antibody to assess background.

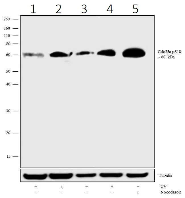
Western blot - Anti-Cdc25A (phospho S18) antibody [20HCLC] (AB277771)
  • WB

Supplier Data

Western blot - Anti-Cdc25A (phospho S18) antibody [20HCLC] (AB277771)

All lanes:

Western blot - Anti-Cdc25A (phospho S18) antibody [20HCLC] (ab277771)

Lane 1:

HCT116 whole cell extract

Lane 2:

HCT116 whole cell extract + UV treatment

Lane 3:

HeLa whole cell extract

Lane 4:

HeLa whole cell extract + UV treatment

Lane 5:

HeLa whole cell extract + UV + Nocodazole treatment

Predicted band size: 59 kDa

false

Key facts

Host species

Rabbit

Clonality

Multiclonal

Clone number

20HCLC

Isotype

IgG

Carrier free

No

Reacts with

Human

Applications

ICC, WB

applications

Immunogen

Synthetic Peptide within Human M-phase inducer phosphatase 1 phospho S18 aa 1-50. The exact immunogen used to generate this antibody is proprietary information.

P30304

Reactivity data

{ "title": "Reactivity Data", "filters": { "stats": ["", "Species", "Dilution Info", "Notes"], "tabs": { "all-applications": {"fullname" : "All Applications", "shortname": "All Applications"}, "ICC" : {"fullname" : "Immunocytochemistry", "shortname":"ICC"}, "WB" : {"fullname" : "Western blot", "shortname":"WB"} }, "product-promise": { "all": "all", "testedAndGuaranteed": "tested", "guaranteed": "expected", "predicted": "predicted", "notRecommended": "not-recommended" } }, "values": { "Human": { "ICC-species-checked": "testedAndGuaranteed", "ICC-species-dilution-info": "2 µg/mL", "ICC-species-notes": "<p></p>", "WB-species-checked": "testedAndGuaranteed", "WB-species-dilution-info": "1-2 µg/mL", "WB-species-notes": "<p></p>" } } }

Product details

What are recombinant multiclonals?
Recombinant multiclonals are a mixture of recombinant antibodies co-expressed from a library of heavy and light chains. They offer several advantages including:

  • - The sensitivity of polyclonal antibodies by recognising multiple epitopes
  • - High batch-to-batch consistency and reproducibility
  • - Improved sensitivity and specificity
  • - Long-term security of supply
  • - Animal-free batch production

View our range of recombinant multiclonal antibodies.

Properties and storage information

Form
Liquid
Purification technique
Affinity purification Protein A
Storage buffer
pH: 7.2 Preservative: 0.09% Sodium azide Constituents: PBS
Shipped at conditions
Blue Ice
Appropriate short-term storage duration
1-2 weeks
Appropriate short-term storage conditions
+4°C
Appropriate long-term storage conditions
-20°C
Aliquoting information
Upon delivery aliquot
Storage information
Avoid freeze / thaw cycle

Supplementary information

This supplementary information is collated from multiple sources and compiled automatically.

Cdc25A also known as Cell Division Cycle 25A acts as a phosphatase that removes phosphate groups from cyclin-dependent kinases (CDKs). This process mainly activates CDKs which are important for the cell cycle progression. Cdc25A has a molecular mass of approximately 65 kDa. The protein expresses in various cell types but finds higher levels in proliferative tissues. Additionally it localizes primarily in the nucleus where it executes its function during specific cell cycle phases.
Biological function summary

Cdc25A plays a big role in controlling transitions between cell cycle phases particularly the G1 to S phase. It participates in a CDK complex which includes partners like Cyclin E and Cyclin A driving progression through cell cycle checkpoints. During DNA replication Cdc25A's activity ensures that cells duplicate accurately maintaining genome integrity and balance in cell proliferation.

Pathways

Cdc25A functions within the cell cycle regulation and DNA damage repair pathways. It interacts importantly with proteins like Checkpoint Kinase 1 and 2 (Chk1/Chk2) involved in responding to DNA damage. During adverse conditions Chk1/Chk2 phosphorylate Cdc25A leading to its degradation and preventing further cycle progression. This mechanism helps maintain genomic stability by halting the cycle until DNA repair occurs.

Cdc25A holds connections to cancer and neurodegenerative conditions. Its overexpression often links to cancers as uncontrolled activity allows for unscheduled cell proliferation. Similarly dysregulation of Cdc25A relates to proteins like p53 which suppress tumor growth. In neurodegenerative disorders Cdc25A's misregulation can also increase the potential for neuronal cell cycle re-entry contributing to neuronal death. Understanding these relationships is essential for developing therapeutic targets.

Product protocols

For this product, it's our understanding that no specific protocols are required. You can visit:

Target data

Tyrosine protein phosphatase which functions as a dosage-dependent inducer of mitotic progression (PubMed : 12676925, PubMed : 14559997, PubMed : 1836978, PubMed : 20360007). Directly dephosphorylates CDK1 and stimulates its kinase activity (PubMed : 20360007). Also dephosphorylates CDK2 in complex with cyclin-E, in vitro (PubMed : 20360007).
See full target information M-phase inducer phosphatase 1 phospho S18

Product promise

We are committed to supporting your work with high-quality reagents, and we're here for you every step of the way. In the unlikely event that one of our products does not perform as expected, you're protected by our Product Promise.
For full details, please see our Terms & Conditions

Please note: All products are 'FOR RESEARCH USE ONLY. NOT FOR USE IN DIAGNOSTIC OR THERAPEUTIC PROCEDURES'.

For licensing inquiries, please contact partnerships@abcam.com