JavaScript is disabled in your browser. Please enable JavaScript to view this website.
AB232553

Anti-Cdc25C antibody [E302] - BSA and Azide free

Be the first to review this product! Submit a review

|

(1 Publication)

Rabbit Recombinant Monoclonal Cdc25C antibody. Carrier free. Suitable for IP, WB, ICC/IF, Flow Cyt (Intra), IHC-P and reacts with Human samples. Cited in 1 publication.

View Alternative Names

M-phase inducer phosphatase 3, Dual specificity phosphatase Cdc25C, CDC25C

8 Images
Flow Cytometry (Intracellular) - Anti-Cdc25C antibody [E302] - BSA and Azide free (AB232553)
  • Flow Cyt (Intra)

AbReview31366****

Flow Cytometry (Intracellular) - Anti-Cdc25C antibody [E302] - BSA and Azide free (AB232553)

Intracellular Flow Cytometry analysis of HeLa cells, staining Cdc25C with unpurified ab32444. Cells were fixed with formaldehyde and permeabilized with 90% methanol. Samples were incubated with primary antibody (1/20 in PBS + 10% goat serum) for 1 hour at 23°C. A FITC-conjugated goat anti-rabbit polyclonal IgG (1/1000) was used as the secondary antibody.

This data was developed using the same antibody clone in a different buffer formulation containing PBS, BSA, glycerol, and sodium azide (ab32444).

This image is courtesy of an Abreview submitted by Brandon White.

Immunohistochemistry (Formalin/PFA-fixed paraffin-embedded sections) - Anti-Cdc25C antibody [E302] - BSA and Azide free (AB232553)
  • IHC-P

Unknown

Immunohistochemistry (Formalin/PFA-fixed paraffin-embedded sections) - Anti-Cdc25C antibody [E302] - BSA and Azide free (AB232553)

Immunohistochemical analysis of paraffin-embedded human urinary bladder carcinoma unpurified ab32444 at 1/250 dilution.

This data was developed using the same antibody clone in a different buffer formulation containing PBS, BSA, glycerol, and sodium azide (ab32444).

Immunocytochemistry/ Immunofluorescence - Anti-Cdc25C antibody [E302] - BSA and Azide free (AB232553)
  • ICC/IF

Unknown

Immunocytochemistry/ Immunofluorescence - Anti-Cdc25C antibody [E302] - BSA and Azide free (AB232553)

Immunocytochemistry/Immunofluorescence analysis of HeLa (human cervix adenocarcinoma) cells labelling Cdc25C with purified ab32444 at 1/400. Cells were fixed with 4% Paraformaldehyde and permeabilized with 0.1% Triton X-100. ab150077, Alexa Fluor® 488-conjugated goat anti-rabbit IgG (1/1000) was used as the secondary antibody. The cells were co-stained with ab7291, a mouse anti-tubulin antibody (1/1000) using ab150120, an Alexa Fluor® 594-conjugated goat anti-mouse IgG (1/1000) as the secondary. Nuclei couterstained with DAPI (blue).

For negative control 1, rabbit primary antibody was used, followed by anti-mouse secondary antibody (ab150120). For negative control 2, mouse primary antibody (ab7291) was used followed by anti-rabbit secondary antibody (ab150077).

This data was developed using the same antibody clone in a different buffer formulation containing PBS, BSA, glycerol, and sodium azide (ab32444).

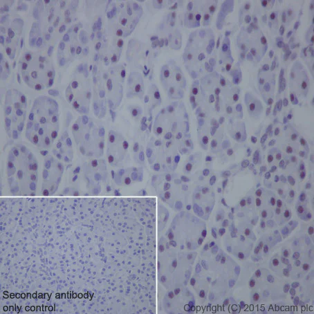
Immunohistochemistry (Formalin/PFA-fixed paraffin-embedded sections) - Anti-Cdc25C antibody [E302] - BSA and Azide free (AB232553)
  • IHC-P

Unknown

Immunohistochemistry (Formalin/PFA-fixed paraffin-embedded sections) - Anti-Cdc25C antibody [E302] - BSA and Azide free (AB232553)

Immunohistochemical analysis of paraffin embedded human pancreas tissue section labelling Cdc25C with purified ab32444 at dilution of 1/2500. The secondary antibody used was Goat Anti-Rabbit IgG H&L (HRP) (ab97051), at dilution of 1/500. The sample was counter-stained with hematoxylin. Antigen retrieval was perfomed using Tris-EDTA buffer, pH 9.0. PBS was used instead of the primary antibody as the negative control and is shown in the inset.

This data was developed using the same antibody clone in a different buffer formulation containing PBS, BSA, glycerol, and sodium azide (ab32444).

Flow Cytometry (Intracellular) - Anti-Cdc25C antibody [E302] - BSA and Azide free (AB232553)
  • Flow Cyt (Intra)

Unknown

Flow Cytometry (Intracellular) - Anti-Cdc25C antibody [E302] - BSA and Azide free (AB232553)

Intracellular Flow Cytometry analysis of K562 (human chronic myelogenous leukemia) cells labelling Cdc25C with purified ab32444 at 1/180 (red). Cells were fixed with 4% paraformaldehyde. Alexa Fluor® 488-conjugated goat anti-rabbit IgG (1/500) was used as the secondary antibody. Black - Isotype control, rabbit monoclonal IgG. Blue - Unlabelled control, cells without incubation with primary and secondary antibodies.

This data was developed using the same antibody clone in a different buffer formulation containing PBS, BSA, glycerol, and sodium azide (ab32444).

Immunoprecipitation - Anti-Cdc25C antibody [E302] - BSA and Azide free (AB232553)
  • IP

Unknown

Immunoprecipitation - Anti-Cdc25C antibody [E302] - BSA and Azide free (AB232553)

ab32444 (purified) at 1/30 immunoprecipitating Cdc25C in HeLa (human cervix adenocarcinoma) whole cell lysate.

Lane 1 (input) : HeLa (human cervix adenocarcinoma) whole cell lysate

Lane 2 (+) : ab32444 + HeLa (human cervix adenocarcinoma) whole cell lysate

Lane 3 (-) : Rabbit monoclonal IgG (ab172730) instead of ab32444 in HeLa (human cervix adenocarcinoma) whole cell lysate

For western blotting, VeriBlot for IP Detection Reagent (HRP) (ab131366), was used for detection at 1/1000 dilution.

Blocking buffer and concentration : 5% NFDM/TBST.

Diluting buffer and concentration : 5% NFDM /TBST.

This data was developed using the same antibody clone in a different buffer formulation containing PBS, BSA, glycerol, and sodium azide (ab32444).

All lanes:

Immunoprecipitation - Anti-Cdc25C antibody [E302] (<a href='/en-us/products/primary-antibodies/cdc25c-antibody-e302-ab32444'>ab32444</a>)

Predicted band size: 53 kDa

Observed band size: 60 kDa

false

Western blot - Anti-Cdc25C antibody [E302] - BSA and Azide free (AB232553)
  • WB

Supplier Data

Western blot - Anti-Cdc25C antibody [E302] - BSA and Azide free (AB232553)

Lane 1 : Wild-type HAP1 cell lysate (20 μg)
Lane 2 : Cdc25C knockout HAP1 cell lysate (20 μg)
Lane 3 : HeLa cell lysate (20 μg)
Lane 4 : Human bladder cell lysate (20 μg)
Lanes 1 - 4 : Merged signal (red and green). Green - ab32444 observed at 55 kDa. Red - loading control, ab8245, observed at 37 kDa.

ab32444 was shown to recognize Cdc25C when Cdc25C knockout samples were used, along with additional cross-reactive bands. Wild-type and Cdc25C knockout samples were subjected to SDS-PAGE. ab32444 and ab8245 (loading control to GAPDH) were diluted at 1/2,500 and 1/10,000 respectively and incubated overnight at 4°C. Blots were developed with Goat anti-Rabbit IgG H&L (IRDye® 800CW) preadsorbed (ab216773) and Goat anti-Mouse IgG H&L (IRDye® 680RD) preadsorbed (ab216776) secondary antibodies at 1/10,000 dilution for 1 hour at room temperature before imaging.

This data was developed using the same antibody clone in a different buffer formulation containing PBS, BSA, glycerol, and sodium azide (ab32444).

All lanes:

Western blot - Anti-Cdc25C antibody [E302] - BSA and Azide free (ab232553)

Predicted band size: 53 kDa

false

Western blot - Anti-Cdc25C antibody [E302] - BSA and Azide free (AB232553)
  • WB

Lab

Western blot - Anti-Cdc25C antibody [E302] - BSA and Azide free (AB232553)

This data was developed using the same antibody clone in a different buffer formulation (ab32444).

Lanes 1- 2 : Merged signal (red and green). Green - ab32444 observed at 58 kDa. Red - Anti-GAPDH antibody [6C5] - Loading Control (ab8245) observed at 37 kDa.

ab32444 was shown to react with Cdc25C in wild-type HeLa cells in western blot. Loss of signal was observed when knockout cell line ab265189 (knockout cell lysate ab257387) was used. Wild-type HeLa and CDC25C knockout HeLa cell lysates were subjected to SDS-PAGE. Membrane was blocked for 1 hour at room temperature in 0.1% TBST with 3% non-fat dried milk. ab32444 and Anti-GAPDH antibody [6C5] - Loading Control (ab8245) were incubated overnight at 4°C at a 1 in 1000 dilution and a 1 in 20000 dilution respectively. Blots were developed with Goat anti-Rabbit IgG H&L (IRDye®800CW) preadsorbed (ab216773) and Goat anti-Mouse IgG H&L (IRDye®680RD) preadsorbed (ab216776) secondary antibodies at 1 in 20000 dilution for 1 hour at room temperature before imaging.

All lanes:

Western blot - Anti-Cdc25C antibody [E302] (<a href='/en-us/products/primary-antibodies/cdc25c-antibody-e302-ab32444'>ab32444</a>) at 1/1000 dilution

Lane 1:

Wild-type HeLa cell lysate at 20 µg

Lane 2:

CDC25C knockout HeLa cell lysate at 20 µg

Lane 2:

Western blot - Human CDC25C knockout HeLa cell line (<a href='/en-us/products/cell-lines/human-cdc25c-knockout-hela-cell-line-ab265189'>ab265189</a>)

Predicted band size: 53 kDa

Observed band size: 58 kDa

false

Key facts

Host species

Rabbit

Clonality

Monoclonal

Clone number

E302

Isotype

IgG

Carrier free

Yes

Reacts with

Human

Applications

IP, WB, Flow Cyt (Intra), ICC/IF, IHC-P

applications

Immunogen

The exact immunogen used to generate this antibody is proprietary information.

Specificity

The antibody can also detect splice isoform 2, 4 and 5 of human Cdc25C, based on sequence homology.

Reactivity data

{ "title": "Reactivity Data", "filters": { "stats": ["", "Species", "Dilution Info", "Notes"], "tabs": { "all-applications": {"fullname" : "All Applications", "shortname": "All Applications"}, "IP" : {"fullname" : "Immunoprecipitation", "shortname":"IP"}, "WB" : {"fullname" : "Western blot", "shortname":"WB"}, "ICCIF" : {"fullname" : "Immunocytochemistry/ Immunofluorescence", "shortname":"ICC/IF"}, "FlowCytIntra" : {"fullname" : "Flow Cytometry (Intracellular)", "shortname":"Flow Cyt (Intra)"}, "IHCP" : {"fullname" : "Immunohistochemistry (Formalin/PFA-fixed paraffin-embedded sections)", "shortname":"IHC-P"} }, "product-promise": { "all": "all", "testedAndGuaranteed": "tested", "guaranteed": "expected", "predicted": "predicted", "notRecommended": "not-recommended" } }, "values": { "Human": { "IP-species-checked": "testedAndGuaranteed", "IP-species-dilution-info": "", "IP-species-notes": "<p></p>", "WB-species-checked": "testedAndGuaranteed", "WB-species-dilution-info": "", "WB-species-notes": "<p></p>", "ICCIF-species-checked": "testedAndGuaranteed", "ICCIF-species-dilution-info": "", "ICCIF-species-notes": "<p></p>", "FlowCytIntra-species-checked": "testedAndGuaranteed", "FlowCytIntra-species-dilution-info": "", "FlowCytIntra-species-notes": "<p></p>", "IHCP-species-checked": "testedAndGuaranteed", "IHCP-species-dilution-info": "", "IHCP-species-notes": "<p></p> Perform heat-mediated antigen retrieval with Tris/EDTA buffer pH 9.0 before commencing with IHC staining protocol." } } }

Product details

ab232553 is the carrier-free version of ab32444.

Species reactivity
Mouse, Rat: We have preliminary internal testing data to indicate this antibody may not react with these species.
Please contact us for more information.

Patented technology
Our RabMAb® technology is a patented hybridoma-based technology for making rabbit monoclonal antibodies. For details on our patents, please refer to RabMAb® patents.

What are the advantages of a recombinant monoclonal antibody?
This product is a recombinant monoclonal antibody, which offers several advantages including:

  • - High batch-to-batch consistency and reproducibility
  • - Improved sensitivity and specificity
  • - Long-term security of supply
  • - Animal-free batch production

For more information, read more on recombinant antibodies.

Conjugation ready
Our carrier-free antibodies are typically supplied in a PBS-only formulation, purified and free of BSA, sodium azide and glycerol. This conjugation-ready format is designed for use with fluorochromes, metal isotopes, oligonucleotides, and enzymes, which makes them ideal for antibody labelling, functional and cell-based assays, flow-based assays (e.g. mass cytometry) and Multiplex Imaging applications.

Use our conjugation kits for antibody conjugates that are ready-to-use in as little as 20 minutes with 1 minute hands-on-time and 100% antibody recovery: available for fluorescent dyes, HRP, biotin and gold.

Compatibility
This product is compatible with the Maxpar® Antibody Labeling Kit from Fluidigm, without the need for antibody preparation. Maxpar® is a trademark of Fluidigm Canada Inc.

Properties and storage information

Form
Liquid
Purification technique
Affinity purification Protein A
Storage buffer
pH: 7.2 - 7.4 Constituents: PBS
Shipped at conditions
Blue Ice
Appropriate short-term storage conditions
+4°C
Appropriate long-term storage conditions
+4°C
Storage information
Do Not Freeze

Supplementary information

This supplementary information is collated from multiple sources and compiled automatically.

Cdc25C also known as dual specificity phosphatase Cdc25C is a 65-kDa protein that acts as a cell cycle regulator controlling the transition from the G2 to M phase. The protein is expressed in various tissues but has higher expression levels in actively dividing cells. Cdc25C is important for cell division due to its ability to activate cyclin-dependent kinases (CDKs) by dephosphorylating the inactive phosphorylated forms. This action makes Cdc25C an important target for regulating the cell cycle and ensuring proper cell proliferation.
Biological function summary

The proper function of Cdc25C involves facilitating proper cell cycle progression by coordinating with other cell cycle regulators. It participates in a complex network where it dephosphorylates and activates CDK1/cyclin B1 complexes promoting the mitotic entry. This function is important for maintaining genomic stability during cell division. Misregulation of Cdc25C can lead to cell cycle arrest or uncontrolled cell proliferation highlighting its essential role in cell cycle control mechanisms.

Pathways

Cdc25C fits into the cell cycle checkpoint pathways and is also a part of the DNA damage response pathways. It connects with the p53 and ATM/ATR signaling proteins while responding to DNA damage ensuring a temporary pause in cell cycle progression for repair mechanisms to act. Proper interaction with these pathways is essential for maintaining cellular integrity and preventing the proliferation of damaged cells with CDK1 and Wee1 kinase serving as major interacting proteins in these processes.

Misregulation or overexpression of Cdc25C can relate to cancer and various cell proliferation disorders. In cancer Cdc25C's disordered expression often links to unchecked cell division and tumor progression commonly involving proteins such as p53 which act as tumor suppressors. Furthermore abnormalities in Cdc25C function may lead to issues related to cell cycle progression errors implicating it in other proliferative disorders such as hyperplasia where it acts in conjunction with and alters the activities of proteins like cyclin B1.

Product protocols

For this product, it's our understanding that no specific protocols are required. You can visit:

Target data

Functions as a dosage-dependent inducer in mitotic control. Tyrosine protein phosphatase required for progression of the cell cycle (PubMed : 8119945). When phosphorylated, highly effective in activating G2 cells into prophase (PubMed : 8119945). Directly dephosphorylates CDK1 and activates its kinase activity (PubMed : 8119945).
See full target information CDC25C

Publications (1)

Recent publications for all applications. Explore the full list and refine your search

Iranian journal of basic medical sciences 24:150-159 PubMed33953853

2021

Exercise alleviates cardiac remodelling in diabetic cardiomyopathy via the miR-486a-5p-Mst1 pathway.

Applications

Unspecified application

Species

Unspecified reactive species

Dong Sun,Haichang Wang,Yanhui Su,Jie Lin,Mingming Zhang,Wanrong Man,Xinglong Song,Liang Zhang,Baolin Guo,Kaikai Hao,Dongdong Sun
View all publications

Product promise

We are committed to supporting your work with high-quality reagents, and we're here for you every step of the way. In the unlikely event that one of our products does not perform as expected, you're protected by our Product Promise.
For full details, please see our Terms & Conditions

Please note: All products are 'FOR RESEARCH USE ONLY. NOT FOR USE IN DIAGNOSTIC OR THERAPEUTIC PROCEDURES'.

For licensing inquiries, please contact partnerships@abcam.com