JavaScript is disabled in your browser. Please enable JavaScript to view this website.
AB47322

Anti-Cdc25C (phospho S216) antibody

3

(2 Reviews)

|

(6 Publications)

Rabbit Polyclonal Cdc25C phospho S216 antibody. Suitable for IHC-P and reacts with Human samples. Cited in 6 publications. Immunogen corresponding to Synthetic Peptide within Human M-phase inducer phosphatase 3 phospho S216 aa 150-250.

View Alternative Names

M-phase inducer phosphatase 3, Dual specificity phosphatase Cdc25C, CDC25C

1 Images
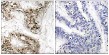
Immunohistochemistry (Formalin/PFA-fixed paraffin-embedded sections) - Anti-Cdc25C (phospho S216) antibody (AB47322)
  • IHC-P

Unknown

Immunohistochemistry (Formalin/PFA-fixed paraffin-embedded sections) - Anti-Cdc25C (phospho S216) antibody (AB47322)

ab47322 staining human breast carcinoma tissue by IHC-P (left hand panel). The right hand panel shows staining in the presence of phospho-peptide.

Key facts

Host species

Rabbit

Clonality

Polyclonal

Isotype

IgG

Carrier free

No

Reacts with

Human

Applications

IHC-P

applications

Immunogen

Synthetic Peptide within Human M-phase inducer phosphatase 3 phospho S216 aa 150-250. The exact immunogen used to generate this antibody is proprietary information.

P30307

Reactivity data

{ "title": "Reactivity Data", "filters": { "stats": ["", "Species", "Dilution Info", "Notes"], "tabs": { "all-applications": {"fullname" : "All Applications", "shortname": "All Applications"}, "IHCP" : {"fullname" : "Immunohistochemistry (Formalin/PFA-fixed paraffin-embedded sections)", "shortname":"IHC-P"} }, "product-promise": { "all": "all", "testedAndGuaranteed": "tested", "guaranteed": "expected", "predicted": "predicted", "notRecommended": "not-recommended" } }, "values": { "Human": { "IHCP-species-checked": "testedAndGuaranteed", "IHCP-species-dilution-info": "1/50 - 1/100", "IHCP-species-notes": "<p></p>" } } }

Properties and storage information

Form
Liquid
Purification technique
Affinity purification Immunogen
Purification notes
The antibody against non-phosphopeptide was removed by chromatography using non-phosphopeptide corresponding to the phosphorylation site.
Storage buffer
pH: 7.4 Preservative: 0.02% Sodium azide Constituents: PBS, 50% Glycerol (glycerin, glycerine), 0.87% Sodium chloride
Shipped at conditions
Blue Ice
Appropriate short-term storage conditions
+4°C
Appropriate long-term storage conditions
-20°C
Storage information
Stable for 12 months at -20°C

Supplementary information

This supplementary information is collated from multiple sources and compiled automatically.

Cdc25C also known as dual specificity phosphatase Cdc25C is a 65-kDa protein that acts as a cell cycle regulator controlling the transition from the G2 to M phase. The protein is expressed in various tissues but has higher expression levels in actively dividing cells. Cdc25C is important for cell division due to its ability to activate cyclin-dependent kinases (CDKs) by dephosphorylating the inactive phosphorylated forms. This action makes Cdc25C an important target for regulating the cell cycle and ensuring proper cell proliferation.
Biological function summary

The proper function of Cdc25C involves facilitating proper cell cycle progression by coordinating with other cell cycle regulators. It participates in a complex network where it dephosphorylates and activates CDK1/cyclin B1 complexes promoting the mitotic entry. This function is important for maintaining genomic stability during cell division. Misregulation of Cdc25C can lead to cell cycle arrest or uncontrolled cell proliferation highlighting its essential role in cell cycle control mechanisms.

Pathways

Cdc25C fits into the cell cycle checkpoint pathways and is also a part of the DNA damage response pathways. It connects with the p53 and ATM/ATR signaling proteins while responding to DNA damage ensuring a temporary pause in cell cycle progression for repair mechanisms to act. Proper interaction with these pathways is essential for maintaining cellular integrity and preventing the proliferation of damaged cells with CDK1 and Wee1 kinase serving as major interacting proteins in these processes.

Misregulation or overexpression of Cdc25C can relate to cancer and various cell proliferation disorders. In cancer Cdc25C's disordered expression often links to unchecked cell division and tumor progression commonly involving proteins such as p53 which act as tumor suppressors. Furthermore abnormalities in Cdc25C function may lead to issues related to cell cycle progression errors implicating it in other proliferative disorders such as hyperplasia where it acts in conjunction with and alters the activities of proteins like cyclin B1.

Product protocols

For this product, it's our understanding that no specific protocols are required. You can visit:

Target data

Functions as a dosage-dependent inducer in mitotic control. Tyrosine protein phosphatase required for progression of the cell cycle (PubMed : 8119945). When phosphorylated, highly effective in activating G2 cells into prophase (PubMed : 8119945). Directly dephosphorylates CDK1 and activates its kinase activity (PubMed : 8119945).
See full target information M-phase inducer phosphatase 3 phospho S216

Publications (6)

Recent publications for all applications. Explore the full list and refine your search

Frontiers in pharmacology 12:671138 PubMed34093198

2021

Glucocappasalin Induces G2/M-Phase Arrest, Apoptosis, and Autophagy Pathways by Targeting CDK1 and PLK1 in Cervical Carcinoma Cells.

Applications

Unspecified application

Species

Unspecified reactive species

Guangya Xu,Xueling Yan,Zhongjia Hu,Lulu Zheng,Ke Ding,Yamei Zhang,Yi Qing,Tao Liu,Lijia Cheng,Zheng Shi

Molecular cancer 19:91 PubMed32429928

2020

RNA demethylase ALKBH5 prevents pancreatic cancer progression by posttranscriptional activation of PER1 in an m6A-YTHDF2-dependent manner.

Applications

Unspecified application

Species

Unspecified reactive species

Xingya Guo,Kai Li,Weiliang Jiang,Yangyang Hu,Wenqin Xiao,Yinshi Huang,Yun Feng,Qin Pan,Rong Wan

Frontiers in oncology 9:853 PubMed31552178

2019

Cinobufagin Induces Cell Cycle Arrest at the G2/M Phase and Promotes Apoptosis in Malignant Melanoma Cells.

Applications

Unspecified application

Species

Unspecified reactive species

Zhaohai Pan,Xin Zhang,Pengfei Yu,Xiaoyu Chen,Peng Lu,Minjing Li,Xiaona Liu,Zhipeng Li,Fei Wei,Kejun Wang,Qiusheng Zheng,Defang Li

Journal of experimental & clinical cancer research 38:184 PubMed31053160

2019

Celastrol mediates autophagy and apoptosis via the ROS/JNK and Akt/mTOR signaling pathways in glioma cells.

Applications

Unspecified application

Species

Unspecified reactive species

Xihong Liu,Peiyuan Zhao,Xiujuan Wang,Lei Wang,Yingjun Zhu,Yadi Song,Wei Gao

The Journal of biological chemistry 294:7037-7045 PubMed30858175

2019

Phosphorylation of proliferating cell nuclear antigen promotes cancer progression by activating the ATM/Akt/GSK3β/Snail signaling pathway.

Applications

Unspecified application

Species

Unspecified reactive species

Bo Peng,Janice Ortega,Liya Gu,Zhijie Chang,Guo-Min Li

Journal of cellular physiology 221:213-20 PubMed19530246

2009

Involvement of ATM-mediated Chk1/2 and JNK kinase signaling activation in HKH40A-induced cell growth inhibition.

Applications

WB

Species

Human

Ziqiu Wang,Meifang Wang,Sid Kar,Brian I Carr
View all publications

Product promise

We are committed to supporting your work with high-quality reagents, and we're here for you every step of the way. In the unlikely event that one of our products does not perform as expected, you're protected by our Product Promise.
For full details, please see our Terms & Conditions

Please note: All products are 'FOR RESEARCH USE ONLY. NOT FOR USE IN DIAGNOSTIC OR THERAPEUTIC PROCEDURES'.

For licensing inquiries, please contact partnerships@abcam.com