JavaScript is disabled in your browser. Please enable JavaScript to view this website.
AB108360

Anti-Cdc37 (phospho S13) antibody [EPR4879]

5

(3 Reviews)

|

(6 Publications)

Rabbit Recombinant Monoclonal CDC37 phospho S13 antibody. Suitable for Dot, WB and reacts with Synthetic peptide, Mouse, Rat, Human samples. Cited in 6 publications.

View Alternative Names

CDC37A, CDC37, Hsp90 co-chaperone Cdc37, Hsp90 chaperone protein kinase-targeting subunit, p50Cdc37

3 Images
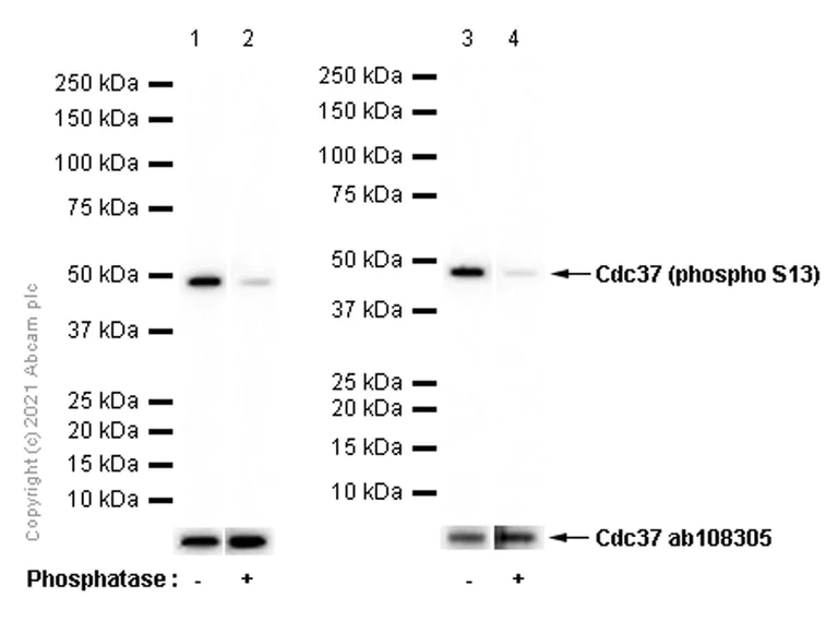
Western blot - Anti-Cdc37 (phospho S13) antibody [EPR4879] (AB108360)
  • WB

Supplier Data

Western blot - Anti-Cdc37 (phospho S13) antibody [EPR4879] (AB108360)

All lanes:

Western blot - Anti-Cdc37 (phospho S13) antibody [EPR4879] (ab108360) at 1/10000 dilution

Lane 1:

Mouse brain lysate at 15 µg

Lane 2:

Mouse brain lysate, then the membrane treated with Phosphatase at 15 µg

Lane 3:

Rat brain lysate at 15 µg

Lane 4:

Rat brain lysate, then the membrane treated with Phosphatase at 15 µg

Secondary

All lanes:

Western blot - Goat Anti-Rabbit IgG H&L (HRP) (<a href='/en-us/products/secondary-antibodies/goat-rabbit-igg-h-l-hrp-ab97051'>ab97051</a>) at 1/20000 dilution

Predicted band size: 44 kDa

Observed band size: 44 kDa

false

Western blot - Anti-Cdc37 (phospho S13) antibody [EPR4879] (AB108360)
  • WB

Supplier Data

Western blot - Anti-Cdc37 (phospho S13) antibody [EPR4879] (AB108360)

All lanes:

Western blot - Anti-Cdc37 (phospho S13) antibody [EPR4879] (ab108360) at 1/10000 dilution

Lane 1:

HeLa (Human cervix adenocarcinoma epithelial cell) whole cell lysate at 15 µg

Lane 2:

HeLa (Human cervix adenocarcinoma epithelial cell) treated with 50nM Calyculin A for 3 hours whole cell lysate at 15 µg

Lane 3:

HeLa (Human cervix adenocarcinoma epithelial cell) treated with 50nM Calyculin A for 3 hours, then the membrane treated with Phosphatase at 15 µg

Secondary

All lanes:

Western blot - Goat Anti-Rabbit IgG H&L (HRP) (<a href='/en-us/products/secondary-antibodies/goat-rabbit-igg-h-l-hrp-ab97051'>ab97051</a>) at 1/20000 dilution

Predicted band size: 44 kDa

Observed band size: 44 kDa

false

Dot Blot - Anti-Cdc37 (phospho S13) antibody [EPR4879] (AB108360)
  • Dot

Lab

Dot Blot - Anti-Cdc37 (phospho S13) antibody [EPR4879] (AB108360)

Dot blot analysis of Cdc37 (pS13) phospho peptide (lane 1) and Cdc37 non-phospho peptide (lane 2) labelling Cdc37 (phospho S13) with ab108360 at a dilution of 1/1000. A peroxidase-conjugated goat anti-rabbit IgG (H+L) was used as the secondary antibody (1/2500).

Blocking and dilution buffer : 5% NFDM/TBST.

Exposure time : 3 minutes.

  • Carrier free

    Anti-Cdc37 (phospho S13) antibody [EPR4879] - BSA and Azide free

  • HRP

    HRP Anti-Cdc37 (phospho S13) antibody [EPR4879]

Key facts

Host species

Rabbit

Clonality

Monoclonal

Clone number

EPR4879

Isotype

IgG

Carrier free

No

Reacts with

Human, Rat, Mouse

Applications

Dot, WB

applications

Immunogen

The exact immunogen used to generate this antibody is proprietary information.

Specificity

The mouse and rat recommendation is based on the WB results. We do not guarantee IHC-P for mouse and rat.

Reactivity data

{ "title": "Reactivity Data", "filters": { "stats": ["", "Species", "Dilution Info", "Notes"], "tabs": { "all-applications": {"fullname" : "All Applications", "shortname": "All Applications"}, "Dot" : {"fullname" : "Dot Blot", "shortname":"Dot"}, "WB" : {"fullname" : "Western blot", "shortname":"WB"} }, "product-promise": { "all": "all", "testedAndGuaranteed": "tested", "guaranteed": "expected", "predicted": "predicted", "notRecommended": "not-recommended" } }, "values": { "Human": { "Dot-species-checked": "guaranteed", "Dot-species-dilution-info": "", "Dot-species-notes": "", "WB-species-checked": "testedAndGuaranteed", "WB-species-dilution-info": "1/1000 - 1/10000", "WB-species-notes": "<p></p>" }, "Mouse": { "Dot-species-checked": "guaranteed", "Dot-species-dilution-info": "", "Dot-species-notes": "", "WB-species-checked": "testedAndGuaranteed", "WB-species-dilution-info": "1/1000 - 1/10000", "WB-species-notes": "<p></p>" }, "Rat": { "Dot-species-checked": "guaranteed", "Dot-species-dilution-info": "", "Dot-species-notes": "", "WB-species-checked": "testedAndGuaranteed", "WB-species-dilution-info": "1/1000 - 1/10000", "WB-species-notes": "<p></p>" }, "Synthetic peptide": { "Dot-species-checked": "testedAndGuaranteed", "Dot-species-dilution-info": "1/1000", "Dot-species-notes": "<p></p>", "WB-species-checked": "notRecommended", "WB-species-dilution-info": "", "WB-species-notes": "" } } }

Product details

Patented technology
Our RabMAb® technology is a patented hybridoma-based technology for making rabbit monoclonal antibodies. For details on our patents, please refer to RabMAb® patents.

What are the advantages of a recombinant monoclonal antibody?
This product is a recombinant monoclonal antibody, which offers several advantages including:

  • - High batch-to-batch consistency and reproducibility
  • - Improved sensitivity and specificity
  • - Long-term security of supply
  • - Animal-free batch production

For more information, read more on recombinant antibodies.

Properties and storage information

Form
Liquid
Purification technique
Affinity purification Protein A
Storage buffer
pH: 7.2 - 7.4 Preservative: 0.01% Sodium azide Constituents: 59% PBS, 40% Glycerol (glycerin, glycerine), 0.05% BSA
Shipped at conditions
Blue Ice
Appropriate short-term storage duration
1-2 weeks
Appropriate short-term storage conditions
+4°C
Appropriate long-term storage conditions
-20°C
Aliquoting information
Upon delivery aliquot
Storage information
Avoid freeze / thaw cycle|Stable for 12 months at -20°C

Supplementary information

This supplementary information is collated from multiple sources and compiled automatically.

The Cdc37 protein also known as cell division cycle 37 homolog is a molecular chaperone that assists in the proper folding and stabilization of protein kinases. With a mass of approximately 44 kDa Cdc37 is widely expressed in mammalian tissues. It interacts directly with other proteins aiding in their stabilization and activity. Functioning closely with Hsp90 Cdc37 forms a chaperone complex critical for the maturation of several protein kinases.
Biological function summary

Cdc37 serves as a co-chaperone with Hsp90 in regulating protein kinase activity by maintaining their functional conformation and stability. This protein acts mainly as a kinase-specific adapter that recruits kinases to the Hsp90 chaperone system forming a protein complex essential for the proper functioning of key signaling molecules. Its role is vital in signal transduction and cellular growth regulation ensuring proper cell cycle progression and response to external stimuli.

Pathways

Cdc37 plays a significant role in the PI3K/AKT and MAPK signaling pathways. In these pathways Cdc37 assists in the proper activation and function of various kinases such as AKT and RAF which are important for cell growth survival and proliferation. Its partnership with Hsp90 in these pathways underlines its importance in maintaining kinase activity ensuring that signaling cascades proceed correctly for normal cellular function.

Cdc37 has been implicated in cancer and neurodegenerative diseases like Alzheimer's. Overexpression or dysfunction of Cdc37 can lead to improper activation of oncogenic kinases contributing to tumor progression. Additionally the protein's association with Hsp90 highlights its potential involvement in Alzheimer's where protein misfolding and stability are disrupted making Cdc37 a target of interest for therapeutic intervention in these conditions.

Product protocols

For this product, it's our understanding that no specific protocols are required. You can visit:

Target data

Co-chaperone that binds to numerous kinases and promotes their interaction with the Hsp90 complex, resulting in stabilization and promotion of their activity (PubMed : 8666233). Inhibits HSP90AA1 ATPase activity (PubMed : 23569206).
See full target information CDC37 phospho S13

Publications (6)

Recent publications for all applications. Explore the full list and refine your search

Biochemical and biophysical research communication 531:409-415 PubMed32800562

2020

A N-terminally deleted form of the CK2α' catalytic subunit is sufficient to support cell viability.

Applications

Unspecified application

Species

Unspecified reactive species

Christian Borgo,Claudio D'Amore,Luca Cesaro,Kenichiro Itami,Tsuyoshi Hirota,Mauro Salvi,Lorenzo A Pinna

International journal of molecular sciences 20: PubMed31779225

2019

Protein Kinase CK2 Subunits Differentially Perturb the Adhesion and Migration of GN11 Cells: A Model of Immature Migrating Neurons.

Applications

Unspecified application

Species

Unspecified reactive species

Antonella Lettieri,Christian Borgo,Luca Zanieri,Claudio D'Amore,Roberto Oleari,Alyssa Paganoni,Lorenzo A Pinna,Anna Cariboni,Mauro Salvi

Biochimica et biophysica acta. Molecular basis of disease 1866:165611 PubMed31740403

2019

Deciphering the role of protein kinase CK2 in the maturation/stability of F508del-CFTR.

Applications

Unspecified application

Species

Unspecified reactive species

Claudio D'Amore,Christian Borgo,Valentina Bosello-Travain,Jordi Vilardell,Valentina Salizzato,Lorenzo A Pinna,Andrea Venerando,Mauro Salvi

Cell reports 21:1883-1895 PubMed29141220

2017

Phosphorylation and Ubiquitination Regulate Protein Phosphatase 5 Activity and Its Prosurvival Role in Kidney Cancer.

Applications

WB

Species

Human

Natela Dushukyan,Diana M Dunn,Rebecca A Sager,Mark R Woodford,David R Loiselle,Michael Daneshvar,Alexander J Baker-Williams,John D Chisholm,Andrew W Truman,Cara K Vaughan,Timothy A Haystead,Gennady Bratslavsky,Dimitra Bourboulia,Mehdi Mollapour

Proceedings of the National Academy of Sciences of the United States of America 113:9009-14 PubMed27466404

2016

Structural and functional basis of protein phosphatase 5 substrate specificity.

Applications

WB

Species

Human

Jasmeen Oberoi,Diana M Dunn,Mark R Woodford,Laura Mariotti,Jacqualyn Schulman,Dimitra Bourboulia,Mehdi Mollapour,Cara K Vaughan

Science signaling 8:ra35 PubMed25872870

2015

Casein kinase 2 (CK2) phosphorylates the deubiquitylase OTUB1 at Ser16 to trigger its nuclear localization.

Applications

Unspecified application

Species

Unspecified reactive species

Lina Herhaus,Ana B Perez-Oliva,Giorgio Cozza,Robert Gourlay,Simone Weidlich,David G Campbell,Lorenzo A Pinna,Gopal P Sapkota
View all publications

Product promise

We are committed to supporting your work with high-quality reagents, and we're here for you every step of the way. In the unlikely event that one of our products does not perform as expected, you're protected by our Product Promise.
For full details, please see our Terms & Conditions

Associated Products

Select an associated product type
Alternative Product
Primary Antibodies

AB115166

Anti-Cdc37 antibody

primary-antibodies

cdc37-antibody-ab115166

5

(1 reviews)

Alternative Product
Primary Antibodies

AB109419

Anti-Cdc37 antibody [EPR4934]

primary-antibodies

cdc37-antibody-epr4934-ab109419

0

(0 reviews)

Alternative Product
Primary Antibodies

AB108305

Anti-Cdc37 antibody [EPR4935]

primary-antibodies

cdc37-antibody-epr4935-ab108305

0

(0 reviews)

Please note: All products are 'FOR RESEARCH USE ONLY. NOT FOR USE IN DIAGNOSTIC OR THERAPEUTIC PROCEDURES'.

For licensing inquiries, please contact partnerships@abcam.com