JavaScript is disabled in your browser. Please enable JavaScript to view this website.
AB230178

Anti-CDC45L antibody

Be the first to review this product! Submit a review

|

(1 Publication)

Rabbit Polyclonal CDC45L antibody. Suitable for IP, WB, IHC-P, ICC/IF and reacts with Human samples. Cited in 1 publication. Immunogen corresponding to Recombinant Fragment Protein within Human CDC45 aa 1-300.

View Alternative Names

CDC45L, CDC45L2, UNQ374/PRO710, CDC45, Cell division control protein 45 homolog, PORC-PI-1

4 Images
Immunocytochemistry/ Immunofluorescence - Anti-CDC45L antibody (AB230178)
  • ICC/IF

Supplier Data

Immunocytochemistry/ Immunofluorescence - Anti-CDC45L antibody (AB230178)

HeLa (human epithelial cell line from cervix adenocarcinoma) cells stained for CDC45L using ab230178 at a dilution of 1/100 in ICC/IF.

Secondary is an Alexa Fluor®488-conjugated Goat Anti-Rabbit IgG (H+L).

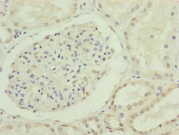
Immunohistochemistry (Formalin/PFA-fixed paraffin-embedded sections) - Anti-CDC45L antibody (AB230178)
  • IHC-P

Supplier Data

Immunohistochemistry (Formalin/PFA-fixed paraffin-embedded sections) - Anti-CDC45L antibody (AB230178)

Paraffin-embedded human kidney tissue stained for CDC45L with ab230178 at 1/100 dilution in immunohistochemical analysis.

Immunoprecipitation - Anti-CDC45L antibody (AB230178)
  • IP

Supplier Data

Immunoprecipitation - Anti-CDC45L antibody (AB230178)

CDC45L was immunoprecipitated from K562 (Human chronic myelogenous leukemia cell line from bone marrow ) whole cell lysate using ab230178.

Lane 1 : Control IgG IP in K562 whole cell lysate.

Lane 2 : ab230178 in K562 whole cell lysate.

Lane 3 : CDC45L in K562 whole cell lysate (Input).

For western blotting, an HRP-conjugated light chain specific antibody was used as the secondary antibody (1/50,000).

All lanes:

Immunoprecipitation - Anti-CDC45L antibody (ab230178)

Predicted band size: 66 kDa

false

Western blot - Anti-CDC45L antibody (AB230178)
  • WB

Supplier Data

Western blot - Anti-CDC45L antibody (AB230178)

All lanes:

Western blot - Anti-CDC45L antibody (ab230178) at 1/1000 dilution

Lane 1:

K562 (Human chronic myelogenous leukemia cell line from bone marrow) whole cell lysate

Lane 2:

HEK-293T (Human epithelial cell line from embryonic kidney transformed with large T antigen) whole cell lysate

Lane 3:

HeLa (Human epithelial cell line from cervix adenocarcinoma) whole cell lysate

Lane 4:

HepG2 (Human liver hepatocellular carcinoma cell line) whole cell lysate

Secondary

All lanes:

Goat polyclonal to rabbit IgG at 1/10000 dilution

Predicted band size: 66 kDa

Observed band size: 58 kDa,66 kDa

true

Key facts

Host species

Rabbit

Clonality

Polyclonal

Isotype

IgG

Carrier free

No

Reacts with

Human

Applications

ICC/IF, IP, IHC-P, WB

applications

Immunogen

Recombinant Fragment Protein within Human CDC45 aa 1-300. The exact immunogen used to generate this antibody is proprietary information.

O75419

Reactivity data

{ "title": "Reactivity Data", "filters": { "stats": ["", "Species", "Dilution Info", "Notes"], "tabs": { "all-applications": {"fullname" : "All Applications", "shortname": "All Applications"}, "IP" : {"fullname" : "Immunoprecipitation", "shortname":"IP"}, "WB" : {"fullname" : "Western blot", "shortname":"WB"}, "IHCP" : {"fullname" : "Immunohistochemistry (Formalin/PFA-fixed paraffin-embedded sections)", "shortname":"IHC-P"}, "ICCIF" : {"fullname" : "Immunocytochemistry/ Immunofluorescence", "shortname":"ICC/IF"} }, "product-promise": { "all": "all", "testedAndGuaranteed": "tested", "guaranteed": "expected", "predicted": "predicted", "notRecommended": "not-recommended" } }, "values": { "Human": { "IP-species-checked": "testedAndGuaranteed", "IP-species-dilution-info": "1/20 - 1/2000", "IP-species-notes": "<p></p>", "WB-species-checked": "testedAndGuaranteed", "WB-species-dilution-info": "1/1000 - 1/5000", "WB-species-notes": "<p></p>", "IHCP-species-checked": "testedAndGuaranteed", "IHCP-species-dilution-info": "1/20 - 1/200", "IHCP-species-notes": "<p></p>", "ICCIF-species-checked": "testedAndGuaranteed", "ICCIF-species-dilution-info": "1/50 - 1/200", "ICCIF-species-notes": "<p></p>" } } }

Properties and storage information

Form
Liquid
Purification technique
Affinity purification Immunogen
Storage buffer
pH: 7.3 Preservative: 0.02% Sodium azide Constituents: PBS, 50% Glycerol (glycerin, glycerine)
Shipped at conditions
Blue Ice
Appropriate short-term storage duration
1-2 weeks
Appropriate short-term storage conditions
+4°C
Appropriate long-term storage conditions
-20°C
Aliquoting information
Upon delivery aliquot
Storage information
Avoid freeze / thaw cycle

Product protocols

For this product, it's our understanding that no specific protocols are required. You can visit:

Target data

Required for initiation of chromosomal DNA replication. Core component of CDC45-MCM-GINS (CMG) helicase, the molecular machine that unwinds template DNA during replication, and around which the replisome is built.
See full target information CDC45

Publications (1)

Recent publications for all applications. Explore the full list and refine your search

Journal of molecular medicine (Berlin, Germany) 97:1477-1489 PubMed31399750

2019

Substance P induces fibrotic changes through activation of the RhoA/ROCK pathway in an in vitro human corneal fibrosis model.

Applications

Unspecified application

Species

Unspecified reactive species

Marta Słoniecka,Patrik Danielson
View all publications

Product promise

We are committed to supporting your work with high-quality reagents, and we're here for you every step of the way. In the unlikely event that one of our products does not perform as expected, you're protected by our Product Promise.
For full details, please see our Terms & Conditions

Please note: All products are 'FOR RESEARCH USE ONLY. NOT FOR USE IN DIAGNOSTIC OR THERAPEUTIC PROCEDURES'.

For licensing inquiries, please contact partnerships@abcam.com