JavaScript is disabled in your browser. Please enable JavaScript to view this website.
AB126762

Anti-CDC45L antibody [EPR5759]

5

(1 Review)

|

(6 Publications)

Rabbit Recombinant Monoclonal CDC45L antibody. Suitable for IHC-P, WB, ICC/IF and reacts with Human samples. Cited in 6 publications.

View Alternative Names

CDC45L, CDC45L2, UNQ374/PRO710, CDC45, Cell division control protein 45 homolog, PORC-PI-1

4 Images
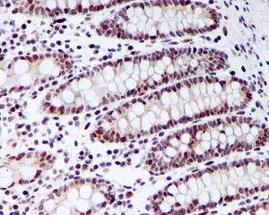
Immunohistochemistry (Formalin/PFA-fixed paraffin-embedded sections) - Anti-CDC45L antibody [EPR5759] (AB126762)
  • IHC-P

Unknown

Immunohistochemistry (Formalin/PFA-fixed paraffin-embedded sections) - Anti-CDC45L antibody [EPR5759] (AB126762)

ab126762, at 1/100 dilution, staining CDC45L in paraffin-embedded Human colon tissue by Immunohistochemistry.

Perform heat mediated antigen retrieval before commencing with IHC staining protocol.

Immunocytochemistry/ Immunofluorescence - Anti-CDC45L antibody [EPR5759] (AB126762)
  • ICC/IF

Unknown

Immunocytochemistry/ Immunofluorescence - Anti-CDC45L antibody [EPR5759] (AB126762)

ICC/IF image of ab126762 stained HeLa cells. The cells were 100% methanol fixed (5 min) and then incubated in 1%BSA / 10% normal goat serum / 0.3M glycine in 0.1% PBS-Tween for 1h to permeabilise the cells and block non-specific protein-protein interactions. The cells were then incubated with the antibody ab126762 at 1/100 dilution overnight at +4°C. The secondary antibody (pseudo-colored green) was Alexa Fluor® 488 goat anti- rabbit (ab150081) IgG (H+L) preadsorbed, used at a 1/1000 dilution for 1h. Alexa Fluor® 594 WGA was used to label plasma membranes (pseudo-colored red) at a 1/200 dilution for 1h at room temperature. DAPI was used to stain the cell nuclei (pseudo-colored blue) at a concentration of 1.43μM for 1hour at room temperature.

Western blot - Anti-CDC45L antibody [EPR5759] (AB126762)
  • WB

Unknown

Western blot - Anti-CDC45L antibody [EPR5759] (AB126762)

All lanes:

Western blot - Anti-CDC45L antibody [EPR5759] (ab126762) at 1/1000 dilution

Lane 1:

293T cell lysate at 10 µg

Lane 2:

Jurkat cell lysate at 10 µg

Lane 3:

K562 cell lysate at 10 µg

Secondary

All lanes:

HRP-conjugated goat anti-rabbit at 1/2000 dilution

Predicted band size: 66 kDa

false

OI-RD Scanning - Anti-CDC45L antibody [EPR5759] (AB126762)
  • OI-RD Scanning

Unknown

OI-RD Scanning - Anti-CDC45L antibody [EPR5759] (AB126762)

We have systematically measured KD (the equilibrium dissociation constant between the antibody and its antigen), of more than 840 recombinant antibodies to assess not only their individual KD values but also to see the average affinity of antibody. Based on the comparison with published literature values for mouse monoclonal antibodies, Recombinant antibodies appear to be on average 1-2 order of magnitude higher affinity.

Key facts

Host species

Rabbit

Clonality

Monoclonal

Clone number

EPR5759

Isotype

IgG

Carrier free

No

Reacts with

Human

Applications

WB, ICC/IF, IHC-P

applications

Immunogen

The exact immunogen used to generate this antibody is proprietary information.

Reactivity data

{ "title": "Reactivity Data", "filters": { "stats": ["", "Species", "Dilution Info", "Notes"], "tabs": { "all-applications": {"fullname" : "All Applications", "shortname": "All Applications"}, "IHCP" : {"fullname" : "Immunohistochemistry (Formalin/PFA-fixed paraffin-embedded sections)", "shortname":"IHC-P"}, "IP" : {"fullname" : "Immunoprecipitation", "shortname":"IP"}, "WB" : {"fullname" : "Western blot", "shortname":"WB"}, "ICCIF" : {"fullname" : "Immunocytochemistry/ Immunofluorescence", "shortname":"ICC/IF"} }, "product-promise": { "all": "all", "testedAndGuaranteed": "tested", "guaranteed": "expected", "predicted": "predicted", "notRecommended": "not-recommended" } }, "values": { "Human": { "IHCP-species-checked": "testedAndGuaranteed", "IHCP-species-dilution-info": "1/100 - 1/250", "IHCP-species-notes": "<p>(heat up to 98 degrees C, below boiling, and then let cool for 10-20 min.)</p>", "IP-species-checked": "notRecommended", "IP-species-dilution-info": "", "IP-species-notes": "<p></p>", "WB-species-checked": "testedAndGuaranteed", "WB-species-dilution-info": "1/1000 - 1/10000", "WB-species-notes": "<p></p>", "ICCIF-species-checked": "testedAndGuaranteed", "ICCIF-species-dilution-info": "1/100 - 1/250", "ICCIF-species-notes": "<p></p>" }, "Mouse": { "IHCP-species-checked": "predicted", "IHCP-species-dilution-info": "", "IHCP-species-notes": "", "IP-species-checked": "notRecommended", "IP-species-dilution-info": "", "IP-species-notes": "", "WB-species-checked": "predicted", "WB-species-dilution-info": "", "WB-species-notes": "", "ICCIF-species-checked": "predicted", "ICCIF-species-dilution-info": "", "ICCIF-species-notes": "" }, "Rat": { "IHCP-species-checked": "predicted", "IHCP-species-dilution-info": "", "IHCP-species-notes": "", "IP-species-checked": "notRecommended", "IP-species-dilution-info": "", "IP-species-notes": "", "WB-species-checked": "predicted", "WB-species-dilution-info": "", "WB-species-notes": "", "ICCIF-species-checked": "predicted", "ICCIF-species-dilution-info": "", "ICCIF-species-notes": "" } } }

Product details

Patented technology
Our RabMAb® technology is a patented hybridoma-based technology for making rabbit monoclonal antibodies. For details on our patents, please refer to RabMAb® patents.

What are the advantages of a recombinant monoclonal antibody?
This product is a recombinant monoclonal antibody, which offers several advantages including:

  • - High batch-to-batch consistency and reproducibility
  • - Improved sensitivity and specificity
  • - Long-term security of supply
  • - Animal-free batch production

For more information, read more on recombinant antibodies.

Properties and storage information

Form
Liquid
Purification technique
Affinity purification Protein A
Storage buffer
pH: 7.2 - 7.4 Preservative: 0.01% Sodium azide Constituents: PBS, 50% Tissue culture supernatant, 40% Glycerol (glycerin, glycerine), 0.05% BSA
Shipped at conditions
Blue Ice
Appropriate short-term storage conditions
+4°C
Appropriate long-term storage conditions
-20°C
Storage information
Stable for 12 months at -20°C

Product protocols

For this product, it's our understanding that no specific protocols are required. You can visit:

Target data

Required for initiation of chromosomal DNA replication. Core component of CDC45-MCM-GINS (CMG) helicase, the molecular machine that unwinds template DNA during replication, and around which the replisome is built.
See full target information CDC45

Publications (6)

Recent publications for all applications. Explore the full list and refine your search

Nature communications 13:7796 PubMed36528626

2022

Translation factor eIF5a is essential for IFNγ production and cell cycle regulation in primary CD8 T lymphocytes.

Applications

Unspecified application

Species

Unspecified reactive species

Thomas C J Tan,Van Kelly,Xiaoyan Zou,David Wright,Tony Ly,Rose Zamoyska

Cancer medicine 11:1396-1412 PubMed34984849

2022

BCAT1: A risk factor in multiple cancers based on a pan-cancer analysis.

Applications

Unspecified application

Species

Unspecified reactive species

Guo-Sheng Li,He-Qing Huang,Yao Liang,Qiu-Yu Pang,Hao-Jia Sun,Zhi-Guang Huang,Yi-Wu Dang,Lin-Jie Yang,Gang Chen

Medical science monitor : international medical journal of experimental and clinical research 27:e928800 PubMed33622998

2021

Expression of Cell Division Cycle Protein 45 in Tissue Microarrays and the CDC45 Gene by Bioinformatics Analysis in Human Hepatocellular Carcinoma and Patient Outcomes.

Applications

Unspecified application

Species

Unspecified reactive species

Hui-Ping Lu,Xiu-Fang Du,Jian-Di Li,Su-Ning Huang,Rong-Quan He,Hua-Yu Wu,Ming-Fen Li,Wei-Zi Wu,Ji-Tian Chen,Wei-Jia Mo,Gang Chen

Cell reports 27:1794-1808.e5 PubMed31067464

2019

Remodeling of Interstrand Crosslink Proximal Replisomes Is Dependent on ATR, FANCM, and FANCD2.

Applications

Unspecified application

Species

Unspecified reactive species

Jing Huang,Jing Zhang,Marina A Bellani,Durga Pokharel,Julia Gichimu,Ryan C James,Himabindu Gali,Chen Ling,Zhijiang Yan,Dongyi Xu,Junjie Chen,Amom Ruhikanta Meetei,Lei Li,Weidong Wang,Michael M Seidman

Journal of cancer research and clinical oncology 145:363-371 PubMed30465075

2018

Induced expression of GINS complex is an essential step for reactivation of quiescent stem-like tumor cells within the peri-necrotic niche in human glioblastoma.

Applications

Unspecified application

Species

Unspecified reactive species

Tokuhiro Kimura,Dan Cui,Hiroo Kawano,Chihiro Yoshitomi-Sakamoto,Nobuyuki Takakura,Eiji Ikeda

Molecular cell 72:650-660.e8 PubMed30392930

2018

Nuclear PGK1 Alleviates ADP-Dependent Inhibition of CDC7 to Promote DNA Replication.

Applications

Unspecified application

Species

Unspecified reactive species

Xinjian Li,Xu Qian,Hongfei Jiang,Yan Xia,Yanhua Zheng,Jing Li,Bi-Jun Huang,Jing Fang,Chao-Nan Qian,Tao Jiang,Yi-Xin Zeng,Zhimin Lu
View all publications

Product promise

We are committed to supporting your work with high-quality reagents, and we're here for you every step of the way. In the unlikely event that one of our products does not perform as expected, you're protected by our Product Promise.
For full details, please see our Terms & Conditions

Please note: All products are 'FOR RESEARCH USE ONLY. NOT FOR USE IN DIAGNOSTIC OR THERAPEUTIC PROCEDURES'.

For licensing inquiries, please contact partnerships@abcam.com