JavaScript is disabled in your browser. Please enable JavaScript to view this website.
AB245446

Anti-Cdc6 antibody

Be the first to review this product! Submit a review

|

(0 Publication)

Rabbit Polyclonal CDC6 antibody. Suitable for IHC-P, IP and reacts with Human samples. Immunogen corresponding to Synthetic Peptide within Human CDC6 aa 1-50.

View Alternative Names

CDC18L, CDC6, Cell division control protein 6 homolog, CDC6-related protein, Cdc18-related protein, p62(cdc6), HsCdc18, HsCDC6

2 Images
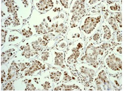
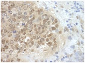
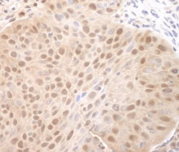
Immunohistochemistry (Formalin/PFA-fixed paraffin-embedded sections) - Anti-Cdc6 antibody (AB245446)
  • IHC-P

Supplier Data

Immunohistochemistry (Formalin/PFA-fixed paraffin-embedded sections) - Anti-Cdc6 antibody (AB245446)

Formalin-fixed, paraffin-embedded human lung carcinoma tissue stained for Cdc6 with ab245446 at 1/1000 dilution in immunohistochemical analysis. DAB staining.

Immunoprecipitation - Anti-Cdc6 antibody (AB245446)
  • IP

Supplier Data

Immunoprecipitation - Anti-Cdc6 antibody (AB245446)

Cdc6 was immunoprecipitated from HeLa (human epithelial cell line from cervix adenocarcinoma) whole cell lysate (1 mg per IP reaction; 20% of IP loaded) with ab245446 at 3 μg/mg lysate. Western blot was performed from the immunoprecipitate using an alternative anti-Cdc6 antibody at 1 μg/ml.

Lane 1 : ab245446 IP in HeLa whole cell lysate.
Lane 2 : Control IgG in HeLa whole cell lysate.

Detection : Chemiluminescence with exposure time of 3 minutes.

All lanes:

Immunoprecipitation - Anti-Cdc6 antibody (ab245446)

Predicted band size: 63 kDa

false

Key facts

Host species

Rabbit

Clonality

Polyclonal

Isotype

IgG

Carrier free

No

Reacts with

Human

Applications

IP, IHC-P

applications

Immunogen

Synthetic Peptide within Human CDC6 aa 1-50. The exact immunogen used to generate this antibody is proprietary information.

Q99741

Reactivity data

{ "title": "Reactivity Data", "filters": { "stats": ["", "Species", "Dilution Info", "Notes"], "tabs": { "all-applications": {"fullname" : "All Applications", "shortname": "All Applications"}, "IHCP" : {"fullname" : "Immunohistochemistry (Formalin/PFA-fixed paraffin-embedded sections)", "shortname":"IHC-P"}, "IP" : {"fullname" : "Immunoprecipitation", "shortname":"IP"} }, "product-promise": { "all": "all", "testedAndGuaranteed": "tested", "guaranteed": "expected", "predicted": "predicted", "notRecommended": "not-recommended" } }, "values": { "Human": { "IHCP-species-checked": "testedAndGuaranteed", "IHCP-species-dilution-info": "1/1000 - 1/5000", "IHCP-species-notes": "<p></p> Perform heat-mediated antigen retrieval with citrate buffer pH 6 before commencing with IHC staining protocol.", "IP-species-checked": "testedAndGuaranteed", "IP-species-dilution-info": "2-5 µg/mg of lysate", "IP-species-notes": "<p></p>" } } }

Properties and storage information

Form
Liquid
Purification technique
Affinity purification Immunogen
Purification notes
ab245446 was affinity purified using an epitope specific to Cdc6 immobilized on solid support.
Storage buffer
pH: 7 - 8 Preservative: 0.09% Sodium azide Constituents: Tris citrate/phosphate
Shipped at conditions
Blue Ice
Appropriate short-term storage duration
1-2 weeks
Appropriate short-term storage conditions
+4°C
Appropriate long-term storage conditions
-20°C
Aliquoting information
Upon delivery aliquot
Storage information
Avoid freeze / thaw cycle

Supplementary information

This supplementary information is collated from multiple sources and compiled automatically.

The Cdc6 protein also known simply as Cdc6 plays an important role in the initiation of DNA replication. This protein with a mass of around 60 kDa is widely expressed notably in the nucleus of eukaryotic cells. Cdc6 is responsible for loading the mini-chromosome maintenance (MCM) complex onto DNA an essential step in the formation of the pre-replicative complex at the origins of replication. Acting as an ATPase Cdc6 coordinates with other replication factors during the G1 phase of the cell cycle.
Biological function summary

The Cdc6 protein serves as a regulator of the cell cycle and is part of the origin recognition complex (ORC) which is essential for proper DNA replication initiation. As an important element in the pre-replication complex Cdc6 interacts with Cdt1 to recruit the MCM helicase. This interaction ensures that DNA helicase loading is tightly controlled and regulated during the cell cycle preventing premature replication that could lead to genomic instability.

Pathways

Cdc6 protein plays a vital role in the DNA replication pathway primarily activating at the G1/S transition to initiate replication. Cdc6 associates with other proteins such as ORC and MCM to facilitate the unwinding of DNA and formation of replication forks. Furthermore Cdc6 is integrated into the checkpoint pathways that monitor and control DNA replication and repair processes contributing to maintenance of genomic integrity.

Alterations or dysregulation of the Cdc6 protein are linked to several types of cancers and may contribute to tumorigenesis. Overexpression of Cdc6 has been observed in cancers such as colorectal cancer where it might enhance cellular proliferation through interactions with cyclin proteins. Additionally Cdc6’s role in replication stress has been associated with the development of chromosomal instability syndromes leading to genomic instability and potentially contributing to cancer progression.

Product protocols

For this product, it's our understanding that no specific protocols are required. You can visit:

Target data

Involved in the initiation of DNA replication. Also participates in checkpoint controls that ensure DNA replication is completed before mitosis is initiated.
See full target information CDC6

Product promise

We are committed to supporting your work with high-quality reagents, and we're here for you every step of the way. In the unlikely event that one of our products does not perform as expected, you're protected by our Product Promise.
For full details, please see our Terms & Conditions

Please note: All products are 'FOR RESEARCH USE ONLY. NOT FOR USE IN DIAGNOSTIC OR THERAPEUTIC PROCEDURES'.

For licensing inquiries, please contact partnerships@abcam.com