JavaScript is disabled in your browser. Please enable JavaScript to view this website.
AB211734

Anti-Cdc6 antibody [EPR714(2)] - BSA and Azide free

Be the first to review this product! Submit a review

|

(1 Publication)

Rabbit Recombinant Monoclonal CDC6 antibody. Carrier free. Suitable for WB, ICC/IF, IHC-P and reacts with Human samples. Cited in 1 publication.

View Alternative Names

CDC18L, CDC6, Cell division control protein 6 homolog, CDC6-related protein, Cdc18-related protein, p62(cdc6), HsCdc18, HsCDC6

5 Images
Immunohistochemistry (Formalin/PFA-fixed paraffin-embedded sections) - Anti-Cdc6 antibody [EPR714(2)] - BSA and Azide free (AB211734)
  • IHC-P

Unknown

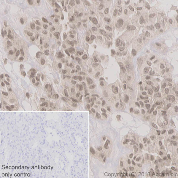
Immunohistochemistry (Formalin/PFA-fixed paraffin-embedded sections) - Anti-Cdc6 antibody [EPR714(2)] - BSA and Azide free (AB211734)

Immunohistochemical analysis of Cdc6 in paraffin embedded Human breast carcinoma tissue, using unpurified ab109315 at a 1/1000 dilution.

This data was developed using the same antibody clone in a different buffer formulation containing PBS, BSA, glycerol, and sodium azide (ab109315).

Immunocytochemistry/ Immunofluorescence - Anti-Cdc6 antibody [EPR714(2)] - BSA and Azide free (AB211734)
  • ICC/IF

Unknown

Immunocytochemistry/ Immunofluorescence - Anti-Cdc6 antibody [EPR714(2)] - BSA and Azide free (AB211734)

Immunocytochemistry/ Immunofluorescence analysis of HeLa (Human cervix adenocarcinoma epithelial cell) cells labeling Cdc6 with Purified ab109315 at 1 : 100 dilution (9.4 µg/ml). Cells were fixed in 4% Paraformaldehyde and permeabilized with 0.1% tritonX-100. Cells were counterstained with ab195889 Anti-alpha Tubulin antibody [DM1A] - Microtubule Marker (Alexa Fluor®594) 1 : 200 (2.5 µg/ml). Goat anti rabbit IgG (Alexa Fluor®488, ab150077) was used as the secondary antibody at 1 : 1000 (2 µg/ml) dilution. DAPI nuclear counterstain. PBS instead of the primary antibody was used as the secondary antibody only control.This data was developed using the same antibody clone in a different buffer formulation containing PBS, BSA, glycerol, and sodium azide (ab109315).

Immunohistochemistry (Formalin/PFA-fixed paraffin-embedded sections) - Anti-Cdc6 antibody [EPR714(2)] - BSA and Azide free (AB211734)
  • IHC-P

Unknown

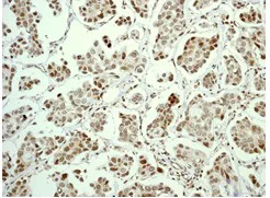
Immunohistochemistry (Formalin/PFA-fixed paraffin-embedded sections) - Anti-Cdc6 antibody [EPR714(2)] - BSA and Azide free (AB211734)

Immunohistochemistry (Formalin/PFA-fixed paraffin-embedded sections) analysis of Human thyroid cancer tissue sections labeling Cdc6 with Purified ab109315 at 1 : 90 dilution (10.4 µg/ml). Heat mediated antigen retrieval was performed using using ab93684 (Tris/EDTA buffer, pH 9.0)ImmunoHistoProbe one step HRP Polymer (ready to use)was used as the secondary antibody.Negative control : PBS instead of the primary antibody.Hematoxylinwas used as a counterstainThis data was developed using the same antibody clone in a different buffer formulation containing PBS, BSA, glycerol, and sodium azide (ab109315).

Immunohistochemistry (Formalin/PFA-fixed paraffin-embedded sections) - Anti-Cdc6 antibody [EPR714(2)] - BSA and Azide free (AB211734)
  • IHC-P

Unknown

Immunohistochemistry (Formalin/PFA-fixed paraffin-embedded sections) - Anti-Cdc6 antibody [EPR714(2)] - BSA and Azide free (AB211734)

Immunohistochemical analysis of Cdc6 in paraffin embedded Human gastric adenocarcinoma tissue, using unpurified ab109315 at a 1/1000 dilution.

This data was developed using the same antibody clone in a different buffer formulation containing PBS, BSA, glycerol, and sodium azide (ab109315).

Immunocytochemistry/ Immunofluorescence - Anti-Cdc6 antibody [EPR714(2)] - BSA and Azide free (AB211734)
  • ICC/IF

AbReview60916****

Immunocytochemistry/ Immunofluorescence - Anti-Cdc6 antibody [EPR714(2)] - BSA and Azide free (AB211734)

Unpurified ab109315 staining Cdc6 in the Hela cell line from Human cervix by ICC/IF (Immunocytochemistry/immunofluorescence). Cells were fixed with paraformaldehyde, permeabilized with 0.5% Triton X-100. Samples were incubated with primary antibody (1/500 in PBS) for 1 hour at 22°C. ab150081 (1/200) was used as the secondary antibody.

This data was developed using the same antibody clone in a different buffer formulation containing PBS, BSA, glycerol, and sodium azide (ab109315).

This image is courtesy of an abreview by Kirk Mcmanus

Key facts

Host species

Rabbit

Clonality

Monoclonal

Clone number

EPR714(2)

Isotype

IgG

Carrier free

Yes

Reacts with

Human

Applications

ICC/IF, IHC-P, WB

applications

Immunogen

The exact immunogen used to generate this antibody is proprietary information.

Reactivity data

{ "title": "Reactivity Data", "filters": { "stats": ["", "Species", "Dilution Info", "Notes"], "tabs": { "all-applications": {"fullname" : "All Applications", "shortname": "All Applications"}, "IP" : {"fullname" : "Immunoprecipitation", "shortname":"IP"}, "WB" : {"fullname" : "Western blot", "shortname":"WB"}, "ICCIF" : {"fullname" : "Immunocytochemistry/ Immunofluorescence", "shortname":"ICC/IF"}, "FlowCytIntra" : {"fullname" : "Flow Cytometry (Intracellular)", "shortname":"Flow Cyt (Intra)"}, "IHCP" : {"fullname" : "Immunohistochemistry (Formalin/PFA-fixed paraffin-embedded sections)", "shortname":"IHC-P"} }, "product-promise": { "all": "all", "testedAndGuaranteed": "tested", "guaranteed": "expected", "predicted": "predicted", "notRecommended": "not-recommended" } }, "values": { "Human": { "IP-species-checked": "notRecommended", "IP-species-dilution-info": "", "IP-species-notes": "<p></p>", "WB-species-checked": "testedAndGuaranteed", "WB-species-dilution-info": "", "WB-species-notes": "<p></p>", "ICCIF-species-checked": "testedAndGuaranteed", "ICCIF-species-dilution-info": "", "ICCIF-species-notes": "<p></p>", "FlowCytIntra-species-checked": "notRecommended", "FlowCytIntra-species-dilution-info": "", "FlowCytIntra-species-notes": "<p></p>", "IHCP-species-checked": "testedAndGuaranteed", "IHCP-species-dilution-info": "", "IHCP-species-notes": "<p>Perform antigen retrieval before commencing with IHC staining protocol.</p>" } } }

Product details

ab211734 is the carrier-free version of ab109315.

Species reactivity
Mouse: We have preliminary internal testing data to indicate this antibody may not react with this species.
Please contact us for more information.

Patented technology
Our RabMAb® technology is a patented hybridoma-based technology for making rabbit monoclonal antibodies. For details on our patents, please refer to RabMAb® patents.

What are the advantages of a recombinant monoclonal antibody?
This product is a recombinant monoclonal antibody, which offers several advantages including:

  • - High batch-to-batch consistency and reproducibility
  • - Improved sensitivity and specificity
  • - Long-term security of supply
  • - Animal-free batch production

For more information, read more on recombinant antibodies.

Conjugation ready
Our carrier-free antibodies are typically supplied in a PBS-only formulation, purified and free of BSA, sodium azide and glycerol. This conjugation-ready format is designed for use with fluorochromes, metal isotopes, oligonucleotides, and enzymes, which makes them ideal for antibody labelling, functional and cell-based assays, flow-based assays (e.g. mass cytometry) and Multiplex Imaging applications.

Use our conjugation kits for antibody conjugates that are ready-to-use in as little as 20 minutes with 1 minute hands-on-time and 100% antibody recovery: available for fluorescent dyes, HRP, biotin and gold.

Compatibility
This product is compatible with the Maxpar® Antibody Labeling Kit from Fluidigm, without the need for antibody preparation. Maxpar® is a trademark of Fluidigm Canada Inc.

Properties and storage information

Form
Liquid
Purification technique
Affinity purification Protein A
Storage buffer
pH: 7.2 - 7.4 Constituents: PBS
Shipped at conditions
Blue Ice
Appropriate short-term storage conditions
+4°C
Appropriate long-term storage conditions
+4°C
Storage information
Do Not Freeze

Supplementary information

This supplementary information is collated from multiple sources and compiled automatically.

The Cdc6 protein also known simply as Cdc6 plays an important role in the initiation of DNA replication. This protein with a mass of around 60 kDa is widely expressed notably in the nucleus of eukaryotic cells. Cdc6 is responsible for loading the mini-chromosome maintenance (MCM) complex onto DNA an essential step in the formation of the pre-replicative complex at the origins of replication. Acting as an ATPase Cdc6 coordinates with other replication factors during the G1 phase of the cell cycle.
Biological function summary

The Cdc6 protein serves as a regulator of the cell cycle and is part of the origin recognition complex (ORC) which is essential for proper DNA replication initiation. As an important element in the pre-replication complex Cdc6 interacts with Cdt1 to recruit the MCM helicase. This interaction ensures that DNA helicase loading is tightly controlled and regulated during the cell cycle preventing premature replication that could lead to genomic instability.

Pathways

Cdc6 protein plays a vital role in the DNA replication pathway primarily activating at the G1/S transition to initiate replication. Cdc6 associates with other proteins such as ORC and MCM to facilitate the unwinding of DNA and formation of replication forks. Furthermore Cdc6 is integrated into the checkpoint pathways that monitor and control DNA replication and repair processes contributing to maintenance of genomic integrity.

Alterations or dysregulation of the Cdc6 protein are linked to several types of cancers and may contribute to tumorigenesis. Overexpression of Cdc6 has been observed in cancers such as colorectal cancer where it might enhance cellular proliferation through interactions with cyclin proteins. Additionally Cdc6’s role in replication stress has been associated with the development of chromosomal instability syndromes leading to genomic instability and potentially contributing to cancer progression.

Product protocols

For this product, it's our understanding that no specific protocols are required. You can visit:

Target data

Involved in the initiation of DNA replication. Also participates in checkpoint controls that ensure DNA replication is completed before mitosis is initiated.
See full target information CDC6

Publications (1)

Recent publications for all applications. Explore the full list and refine your search

Oncotarget 8:111697-111714 PubMed29340085

2017

6-(Methylsulfonyl) hexyl isothiocyanate as potential chemopreventive agent: molecular and cellular profile in leukaemia cell lines.

Applications

Unspecified application

Species

Unspecified reactive species

Monia Lenzi,Veronica Cocchi,Marco Malaguti,Maria Cristina Barbalace,Silvia Marchionni,Silvana Hrelia,Patrizia Hrelia
View all publications

Product promise

We are committed to supporting your work with high-quality reagents, and we're here for you every step of the way. In the unlikely event that one of our products does not perform as expected, you're protected by our Product Promise.
For full details, please see our Terms & Conditions

Please note: All products are 'FOR RESEARCH USE ONLY. NOT FOR USE IN DIAGNOSTIC OR THERAPEUTIC PROCEDURES'.

For licensing inquiries, please contact partnerships@abcam.com