JavaScript is disabled in your browser. Please enable JavaScript to view this website.
AB229187

Anti-CDC7 antibody [EPR20337]

3

(2 Reviews)

|

(9 Publications)

Rabbit Recombinant Monoclonal CDC7 antibody. Suitable for IP, WB, IHC-P and reacts with Human, Mouse, Rat samples. Cited in 9 publications.

View Alternative Names

CDC7L1, CDC7, Cell division cycle 7-related protein kinase, CDC7-related kinase, HsCdc7, huCdc7

7 Images
Immunohistochemistry (Formalin/PFA-fixed paraffin-embedded sections) - Anti-CDC7 antibody [EPR20337] (AB229187)
  • IHC-P

Supplier Data

Immunohistochemistry (Formalin/PFA-fixed paraffin-embedded sections) - Anti-CDC7 antibody [EPR20337] (AB229187)

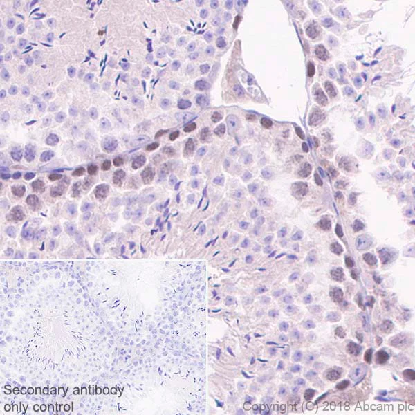
Immunohistochemical analysis of paraffin-embedded human testis tissue labeling CDC7 with ab229187 at 1/500 dilution followed by a ready to use Goat Anti-Rabbit IgG H&L (HRP). Nuclear staining in germ cells of human testis (PMID : 9250678) is observed. Counter stained with Hematoxylin.

Secondary antibody only control : Used PBS instead of primary antibody secondary antibody is a ready to use Goat Anti-Rabbit IgG H&L (HRP).

Perform heat mediated antigen retrieval using ab93684 (Tris/EDTA buffer pH 9.0).

Immunohistochemistry (Formalin/PFA-fixed paraffin-embedded sections) - Anti-CDC7 antibody [EPR20337] (AB229187)
  • IHC-P

Supplier Data

Immunohistochemistry (Formalin/PFA-fixed paraffin-embedded sections) - Anti-CDC7 antibody [EPR20337] (AB229187)

Immunohistochemical analysis of paraffin-embedded human normal breast tissue (panel A) and human breast cancer tissue (panel B) labeling CDC7 with ab229187 at 1/500 dilution followed by a ready to use Goat Anti-Rabbit IgG H&L (HRP). Weak nuclear Cdc7 expression (arrow) found in human breast epithelial cells while strong nuclear Cdc7 expression found in human breast cancer cells (PMID : 19896697) is observed. Counter stained with Hematoxylin.

Secondary antibody only control : Used PBS instead of primary antibody secondary antibody is a ready to use Goat Anti-Rabbit IgG H&L (HRP).

Perform heat mediated antigen retrieval using ab93684 (Tris/EDTA buffer pH 9.0).

Immunoprecipitation - Anti-CDC7 antibody [EPR20337] (AB229187)
  • IP

Supplier Data

Immunoprecipitation - Anti-CDC7 antibody [EPR20337] (AB229187)

CDC7 was immunoprecipitated from 0.35 mg HeLa (human cervix adenocarcinoma epithelial cell) whole cell lysate with ab229187 at 1/30 dilution. Western blot was performed from the immunoprecipitate using ab229187 at 1/1000 dilution. VeriBlot for IP Detection Reagent (HRP) (ab131366), was used for detection at 1/10000 dilution.

Lane 1 : HeLa (human cervix adenocarcinoma epithelial cell) whole cell lysate 10 μg (Input).
Lane 2 : ab229187 IP in HeLa whole cell lysate (+).
Lane 3 : Rabbit monoclonal IgG (ab172730) instead of ab229187 in HeLa whole cell lysate (-).

Blocking and dilution buffer and concentration : 5% NFDM/TBST.
Exposure time : 10 seconds.

All lanes:

Immunoprecipitation - Anti-CDC7 antibody [EPR20337] (ab229187)

Predicted band size: 64 kDa

Observed band size: 64 kDa

true

Immunohistochemistry (Formalin/PFA-fixed paraffin-embedded sections) - Anti-CDC7 antibody [EPR20337] (AB229187)
  • IHC-P

Supplier Data

Immunohistochemistry (Formalin/PFA-fixed paraffin-embedded sections) - Anti-CDC7 antibody [EPR20337] (AB229187)

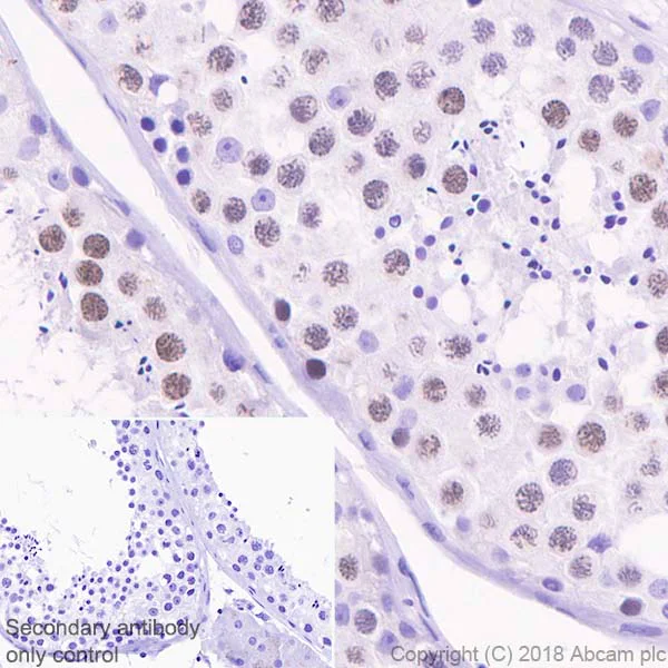
Immunohistochemical analysis of paraffin-embedded rat testis tissue labeling CDC7 with ab229187 at 1/500 dilution followed by a ready to use Goat Anti-Rabbit IgG H&L (HRP). Nuclear staining in germ cells of rat testis is observed. Counter stained with Hematoxylin.

Secondary antibody only control : Used PBS instead of primary antibody secondary antibody is a ready to use Goat Anti-Rabbit IgG H&L (HRP).

Perform heat mediated antigen retrieval using ab93684 (Tris/EDTA buffer pH 9.0).

Immunohistochemistry (Formalin/PFA-fixed paraffin-embedded sections) - Anti-CDC7 antibody [EPR20337] (AB229187)
  • IHC-P

Supplier Data

Immunohistochemistry (Formalin/PFA-fixed paraffin-embedded sections) - Anti-CDC7 antibody [EPR20337] (AB229187)

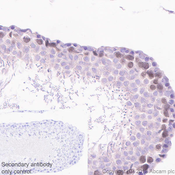
Immunohistochemical analysis of paraffin-embedded mouse testis tissue labeling CDC7 with ab229187 at 1/500 dilution followed by a ready to use Goat Anti-Rabbit IgG H&L (HRP). Nuclear staining in germ cells of mouse testis (PMID : 9722556) is observed. Counter stained with Hematoxylin.

Secondary antibody only control : Used PBS instead of primary antibody secondary antibody is a ready to use Goat Anti-Rabbit IgG H&L (HRP).

Perform heat mediated antigen retrieval using ab93684 (Tris/EDTA buffer pH 9.0).

Western blot - Anti-CDC7 antibody [EPR20337] (AB229187)
  • WB

Supplier Data

Western blot - Anti-CDC7 antibody [EPR20337] (AB229187)

Blocking/Dilution buffer : 5% NFDM/TBST.

The blot was developed on a BIO-RAD® ChemiDoc™ MP instrument (PMID : 19318489).

All lanes:

Western blot - Anti-CDC7 antibody [EPR20337] (ab229187) at 1/1000 dilution

Lane 1:

WI-38 (human fetal lung fibroblast) serum deprived (0.1% FBS) for 72 hours, whole cell lysate at 10 µg

Lane 2:

WI-38 serum deprived (0.1% FBS) for 72 hours, then added 10% FBS for 18 hours, whole cell lysate at 10 µg

Secondary

All lanes:

Western blot - Goat Anti-Rabbit IgG H&L (HRP) (<a href='/en-us/products/secondary-antibodies/goat-rabbit-igg-h-l-hrp-ab97051'>ab97051</a>) at 1/100000 dilution

Predicted band size: 64 kDa

Observed band size: 64 kDa

true

Exposure time: 3min

Western blot - Anti-CDC7 antibody [EPR20337] (AB229187)
  • WB

Supplier Data

Western blot - Anti-CDC7 antibody [EPR20337] (AB229187)

Blocking/Dilution buffer : 5%NFDM/TBST.

Exposure times :

Lanes 1-2 : 3 minutes

Lane 3 : 32 seconds

Lane 3 was developed on a BIO-RAD® ChemiDoc™ MP instrument.

All lanes:

Western blot - Anti-CDC7 antibody [EPR20337] (ab229187) at 1/1000 dilution

Lane 1:

HeLa (human cervix adenocarcinoma epithelial cell), whole cell lysate at 10 µg

Lane 2:

MCF7 (human breast adenocarcinoma epithelial cell), whole cell lysate at 10 µg

Lane 3:

Jurkat (human T cell leukemia T lymphocyte), whole cell lysate at 10 µg

Secondary

Lanes 1 - 2:

Western blot - Goat Anti-Rabbit IgG H&L (HRP) (<a href='/en-us/products/secondary-antibodies/goat-rabbit-igg-h-l-hrp-ab97051'>ab97051</a>) at 1/100000 dilution

Lane 3:

Western blot - Goat Anti-Rabbit IgG H&L (HRP) (<a href='/en-us/products/secondary-antibodies/goat-rabbit-igg-h-l-hrp-ab97051'>ab97051</a>) at 1/50000 dilution

Predicted band size: 64 kDa

Observed band size: 64 kDa

true

  • Carrier free

    Anti-CDC7 antibody [EPR20337] - BSA and Azide free

Key facts

Host species

Rabbit

Clonality

Monoclonal

Clone number

EPR20337

Isotype

IgG

Carrier free

No

Reacts with

Mouse, Rat, Human

Applications

IP, IHC-P, WB

applications

Immunogen

The exact immunogen used to generate this antibody is proprietary information.

Reactivity data

{ "title": "Reactivity Data", "filters": { "stats": ["", "Species", "Dilution Info", "Notes"], "tabs": { "all-applications": {"fullname" : "All Applications", "shortname": "All Applications"}, "IP" : {"fullname" : "Immunoprecipitation", "shortname":"IP"}, "WB" : {"fullname" : "Western blot", "shortname":"WB"}, "IHCP" : {"fullname" : "Immunohistochemistry (Formalin/PFA-fixed paraffin-embedded sections)", "shortname":"IHC-P"} }, "product-promise": { "all": "all", "testedAndGuaranteed": "tested", "guaranteed": "expected", "predicted": "predicted", "notRecommended": "not-recommended" } }, "values": { "Human": { "IP-species-checked": "testedAndGuaranteed", "IP-species-dilution-info": "1/30", "IP-species-notes": "<p></p>", "WB-species-checked": "testedAndGuaranteed", "WB-species-dilution-info": "1/1000", "WB-species-notes": "<p></p>", "IHCP-species-checked": "testedAndGuaranteed", "IHCP-species-dilution-info": "1/500", "IHCP-species-notes": "<p></p>" }, "Mouse": { "IP-species-checked": "guaranteed", "IP-species-dilution-info": "", "IP-species-notes": "", "WB-species-checked": "guaranteed", "WB-species-dilution-info": "", "WB-species-notes": "", "IHCP-species-checked": "testedAndGuaranteed", "IHCP-species-dilution-info": "1/500", "IHCP-species-notes": "<p></p>" }, "Rat": { "IP-species-checked": "guaranteed", "IP-species-dilution-info": "", "IP-species-notes": "", "WB-species-checked": "guaranteed", "WB-species-dilution-info": "", "WB-species-notes": "", "IHCP-species-checked": "testedAndGuaranteed", "IHCP-species-dilution-info": "1/500", "IHCP-species-notes": "<p></p>" } } }

Product details

Patented technology
Our RabMAb® technology is a patented hybridoma-based technology for making rabbit monoclonal antibodies. For details on our patents, please refer to RabMAb® patents.

What are the advantages of a recombinant monoclonal antibody?
This product is a recombinant monoclonal antibody, which offers several advantages including:

  • - High batch-to-batch consistency and reproducibility
  • - Improved sensitivity and specificity
  • - Long-term security of supply
  • - Animal-free batch production

For more information, read more on recombinant antibodies.

Properties and storage information

Form
Liquid
Purification technique
Affinity purification Protein A
Storage buffer
pH: 7.2 - 7.4 Preservative: 0.01% Sodium azide Constituents: PBS, 40% Glycerol (glycerin, glycerine), 0.05% BSA
Shipped at conditions
Blue Ice
Appropriate short-term storage duration
1-2 weeks
Appropriate short-term storage conditions
+4°C
Appropriate long-term storage conditions
-20°C
Aliquoting information
Upon delivery aliquot
Storage information
Avoid freeze / thaw cycle

Product protocols

For this product, it's our understanding that no specific protocols are required. You can visit:

Target data

Kinase involved in initiation of DNA replication. Phosphorylates critical substrates that regulate the G1/S phase transition and initiation of DNA replication, such as MCM proteins and CLASPIN.
See full target information CDC7

Publications (9)

Recent publications for all applications. Explore the full list and refine your search

Translational cancer research 14:3319-3335 PubMed40687256

2025

Hepatitis B virus core/capsid protein induces hepatocellular carcinoma progression via long non-coding RNA KCNQ1OT1/miR-335-5p/CDC7 axis.

Applications

Unspecified application

Species

Unspecified reactive species

Yang Liu,Xinyi Kong,Xin Yu,Jie Qiao,Kaming Yang,Zhenlin Li,Yiling Wu,Wanwen Lao,Yuetong Li,Yiqi Lin,Yanping Zhang,Changlong Bi,Aixia Zhai

EMBO molecular medicine 16:1755-1790 PubMed39030302

2024

LILRB1-HLA-G axis defines a checkpoint driving natural killer cell exhaustion in tuberculosis.

Applications

Unspecified application

Species

Unspecified reactive species

Jing Wang,Qiyao Chai,Zehui Lei,Yiru Wang,Jiehua He,Pupu Ge,Zhe Lu,Lihua Qiang,Dongdong Zhao,Shanshan Yu,Changgen Qiu,Yanzhao Zhong,Bing-Xi Li,Lingqiang Zhang,Yu Pang,George Fu Gao,Cui Hua Liu

International journal of biological sciences 19:3412-3427 PubMed37497004

2023

DBF4 Dependent Kinase Inhibition Suppresses Hepatocellular Carcinoma Progression and Potentiates Anti-Programmed Cell Death-1 Therapy.

Applications

Unspecified application

Species

Unspecified reactive species

Liang Zhang,Jiawei Hong,Wei Chen,Wei Zhang,Xi Liu,Jiahua Lu,Hong Tang,Zhentao Yang,Ke Zhou,Haiyang Xie,Changku Jia,Donghai Jiang,Shusen Zheng

BMC cancer 23:19 PubMed36609254

2023

Analysis of the expression and prognostic significance of DDK complex in Hepatocarcinoma.

Applications

Unspecified application

Species

Unspecified reactive species

Min Wang,Zu-Hua Qiu,Yu-Zhuo Wang,Bo Lian,Jing-Kun Bai,Yong-Jie Zhou,Hong-Jie Ji

Cell reports 41:111836 PubMed36516748

2022

Increased replication origin firing links replication stress to whole chromosomal instability in human cancer.

Applications

Unspecified application

Species

Unspecified reactive species

Nicolas Böhly,Ann-Kathrin Schmidt,Xiaoxiao Zhang,Benjamin O Slusarenko,Magdalena Hennecke,Maik Kschischo,Holger Bastians

Nature 605:357-365 PubMed35508654

2022

CDC7-independent G1/S transition revealed by targeted protein degradation.

Applications

Unspecified application

Species

Unspecified reactive species

Jan M Suski,Nalin Ratnayeke,Marcin Braun,Tian Zhang,Vladislav Strmiska,Wojciech Michowski,Geylani Can,Antoine Simoneau,Konrad Snioch,Mikolaj Cup,Caitlin M Sullivan,Xiaoji Wu,Joanna Nowacka,Timothy B Branigan,Lindsey R Pack,James A DeCaprio,Yan Geng,Lee Zou,Steven P Gygi,Johannes C Walter,Tobias Meyer,Piotr Sicinski

Neuropsychiatric disease and treatment 17:2073-2087 PubMed34276213

2021

Long Non-Coding RNA GABPB1-AS1 Augments Malignancy of Glioma Cells by Sequestering MicroRNA-330 and Reinforcing the ZNF367/Cell Cycle Signaling Pathway.

Applications

Unspecified application

Species

Unspecified reactive species

Xiulong Li,Hongfeng Wang

Molecular and cellular biochemistry 476:2409-2420 PubMed33599894

2021

MiR-200a with CDC7 as a direct target declines cell viability and promotes cell apoptosis in Wilm's tumor via Wnt/β-catenin signaling pathway.

Applications

Unspecified application

Species

Unspecified reactive species

Xiu-Ling Liang,Yu-Long Wang,Pei-Rong Wang

Annals of translational medicine 8:1496 PubMed33313241

2020

MicroRNA-29b targeting of cell division cycle 7-related protein kinase (CDC7) regulated vascular smooth muscle cell (VSMC) proliferation and migration.

Applications

Unspecified application

Species

Unspecified reactive species

Qunhua Ma,Jing Zhang,Ming Zhang,Huan Lan,Qian Yang,Chengping Li,Li Zeng
View all publications

Product promise

We are committed to supporting your work with high-quality reagents, and we're here for you every step of the way. In the unlikely event that one of our products does not perform as expected, you're protected by our Product Promise.
For full details, please see our Terms & Conditions

Please note: All products are 'FOR RESEARCH USE ONLY. NOT FOR USE IN DIAGNOSTIC OR THERAPEUTIC PROCEDURES'.

For licensing inquiries, please contact partnerships@abcam.com