JavaScript is disabled in your browser. Please enable JavaScript to view this website.
AB325345

Anti-CDCA2 antibody [EPR28722-6]

  • RabMAb
  • Recombinant
  • 20ul selling size
  • KO Validated
  • Advanced Validation
  • What is this?

Be the first to review this product! Submit a review

|

(0 Publication)

Rabbit Recombinant Monoclonal CDCA2 antibody. Suitable for ICC/IF, IHC-P, WB, mIHC and reacts with Human, Transfected cell lysate - Human samples.

View Alternative Names

Cell division cycle-associated protein 2, Recruits PP1 onto mitotic chromatin at anaphase protein, Repo-Man, CDCA2

11 Images
Immunohistochemistry (Formalin/PFA-fixed paraffin-embedded sections) - Anti-CDCA2 antibody [EPR28722-6] (AB325345)
  • IHC-P

Lab

Immunohistochemistry (Formalin/PFA-fixed paraffin-embedded sections) - Anti-CDCA2 antibody [EPR28722-6] (AB325345)

Immunohistochemical analysis of paraffin-embedded Human testis tissue labeling CDCA2 with ab325345 at 1/100 (5.16 µg/ml) dilution, followed by a ready to use Rabbit specific IHC polymer detection kit HRP/DAB (ab209101).

Positive staining on human testis. The primary antibody was incubated for 30 mins at room temperature.

The immunostaining was performed on a Leica Biosystems BOND®RX instrument

Counterstained with Hematoxylin.

Secondary antibody only control : Secondary antibody is a ready to use Rabbit specific IHC polymer detection kit HRP/DAB (ab209101).

Heat mediated antigen retrieval was performed with Tris-EDTA buffer (pH 9.0, Epitope Retrieval Solution2) for 20 mins

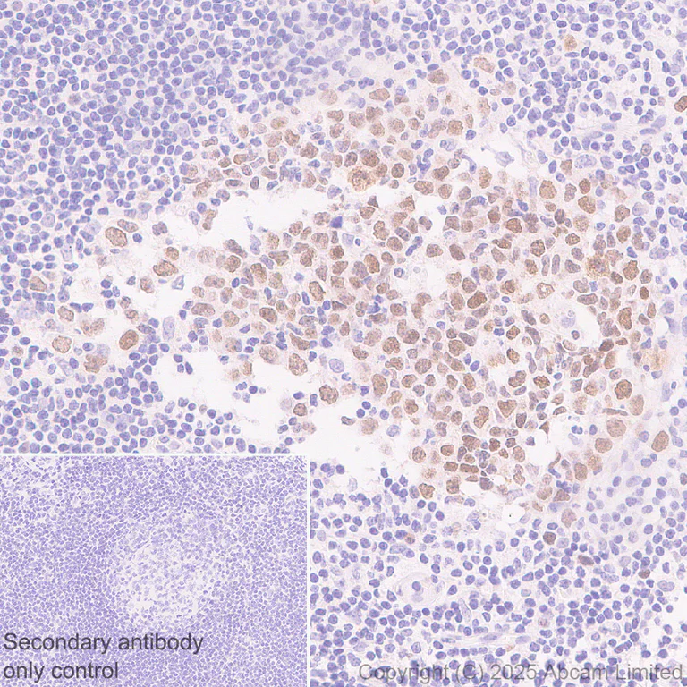
Immunohistochemistry (Formalin/PFA-fixed paraffin-embedded sections) - Anti-CDCA2 antibody [EPR28722-6] (AB325345)
  • IHC-P

Lab

Immunohistochemistry (Formalin/PFA-fixed paraffin-embedded sections) - Anti-CDCA2 antibody [EPR28722-6] (AB325345)

Immunohistochemical analysis of paraffin-embedded Human lymph node tissue labeling CDCA2 with ab325345 at 1/100 (5.16 µg/ml) dilution, followed by a ready to use Rabbit specific IHC polymer detection kit HRP/DAB (ab209101).

Positive staining on human lymph node. The primary antibody was incubated for 30 mins at room temperature.

The immunostaining was performed on a Leica Biosystems BOND® RX instrument

Counterstained with Hematoxylin.

Secondary antibody only control : Secondary antibody is a ready to use Rabbit specific IHC polymer detection kit HRP/DAB (ab209101).

Heat mediated antigen retrieval was performed with Tris-EDTA buffer (pH 9.0, Epitope Retrieval Solution2) for 20 mins

Multiplex immunohistochemistry - Anti-CDCA2 antibody [EPR28722-6] (AB325345)
  • mIHC

Lab

Multiplex immunohistochemistry - Anti-CDCA2 antibody [EPR28722-6] (AB325345)

Multiplex immunohistochemistry analysis of formalin/PFA-fixed paraffin-embedded human testis tissue staining CDCA2 with ab325345 at a 1/100 (5.16 μg/ml) dilution, ab315240 anti-Perlecan used at a 1/2000 (0.254 μg/ml) dilution, and ab267377 anti-Wilms tumor protein used at a 1/500 (0.706 μg/ml) dilution.

Panel A : anti-CDCA2 (green; Opal™520), anti-Perlecan (magenta; Opal™690), anti-Wilms tumor protein (gray; Opal™570) on human testis.

Panel B : anti-CDCA2 staining mitotic cells in human testis.

Panel C : anti-Perlecan staining basement membrane and endothelium in human testis.

Panel D : anti-Wilms tumor protein staining Sertoli cells in human testis.

Nuclear DNA was labeled with DAPI (shown in blue).

The section was incubated in three rounds of staining : in the order of ab325345, ab315240 and ab267377 for 30 mins at room temperature. Each round was followed by a separate fluorescent tyramide signal amplification system.

The immunostaining was performed on a Leica Biosystems BOND® RX instrument with an Opal™ 4-color kit. Image acquisition was performed with Leica SP8 confocal microscope.

Heat mediated antigen retrieval was performed with Tris-EDTA buffer (pH 9.0, Epitope Retrieval Solution2) for 20 mins.

Multiplex immunohistochemistry - Anti-CDCA2 antibody [EPR28722-6] (AB325345)
  • mIHC

Lab

Multiplex immunohistochemistry - Anti-CDCA2 antibody [EPR28722-6] (AB325345)

Multiplex immunohistochemistry analysis of formalin/PFA-fixed paraffin-embedded human testis tissue staining CDCA2 with ab325345 at a 1/100 (5.16 μg/ml) dilution, ab318972 anti-COL8A1 used at a 1/2000 (0.264 μg/ml) dilution, and ab267377 anti-Wilms tumor protein used at a 1/500 (0.706 μg/ml) dilution.

Panel A : anti-CDCA2 (green; Opal™520), anti-COL8A1 (magenta; Opal™690), anti-Wilms tumor protein (gray; Opal™570) on human testis.

Panel B : anti-CDCA2 staining mitotic cells in human testis.

Panel C : anti-COL8A1 staining basement membrane in human testis.

Panel D : anti-Wilms tumor protein staining Sertoli cells in human testis.

Nuclear DNA was labeled with DAPI (shown in blue).

The section was incubated in three rounds of staining : in the order of ab325345, ab318972 and ab267377 for 30 mins at room temperature. Each round was followed by a separate fluorescent tyramide signal amplification system.

The immunostaining was performed on a Leica Biosystems BOND® RX instrument with an Opal™ 4-color kit. Image acquisition was performed with Leica SP8 confocal microscope.

Heat mediated antigen retrieval was performed with Tris-EDTA buffer (pH 9.0, Epitope Retrieval Solution2) for 20 mins.

Immunocytochemistry/ Immunofluorescence - Anti-CDCA2 antibody [EPR28722-6] (AB325345)
  • ICC/IF

Lab

Immunocytochemistry/ Immunofluorescence - Anti-CDCA2 antibody [EPR28722-6] (AB325345)

Immunofluorescent analysis of 4% Paraformaldehyde-fixed, 0.1% TritonX-100 permeabilized HeLa (human cervical adenocarcinoma epithelial cell) cells labelling CDCA2 with ab325345 at 1/50 (10.32 µg/ml) dilution , followed by ab150081 Goat Anti-Rabbit IgG H&L (Alexa Fluor®488) preadsorbed antibody at 1/1000 dilution (Green).

Confocal image showing nuclear staining in HeLa cells (shown in green). In early mitosis, signal is observed at the periphery of chromosomes (arrow). The counterstain was observed in magenta. Nuclear DNA was labelled with DAPI (shown in blue). Image was taken with a confocal microscope (Leica-Microsystems, TCS SP8).

ab7291 Anti-alpha Tubulin mouse monoclonal antibody was used to counterstain tubulin at 1/1000 dilution (Magenta). The Nuclear counterstain was DAPI (Blue).

Secondary antibody only control : Secondary antibody is ab150081 Goat Anti-Rabbit IgG H&L (Alexa Fluor®488) preadsorbed at 1/1000 dilution.

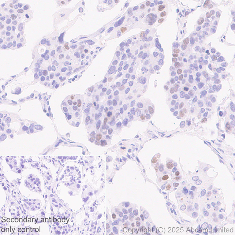
Immunohistochemistry (Formalin/PFA-fixed paraffin-embedded sections) - Anti-CDCA2 antibody [EPR28722-6] (AB325345)
  • IHC-P

Lab

Immunohistochemistry (Formalin/PFA-fixed paraffin-embedded sections) - Anti-CDCA2 antibody [EPR28722-6] (AB325345)

Immunohistochemical analysis of paraffin-embedded Human ovarian cancer tissue labeling CDCA2 with ab325345 at 1/100 (5.16 µg/ml) dilution, followed by a ready to use Rabbit specific IHC polymer detection kit HRP/DAB (ab209101).

Positive staining on human ovarian cancer. The primary antibody was incubated for 30 mins at room temperature.

The immunostaining was performed on a Leica Biosystems BOND® RX instrument

Counterstained with Hematoxylin.

Secondary antibody only control : Secondary antibody is a ready to use Rabbit specific IHC polymer detection kit HRP/DAB (ab209101).

Heat mediated antigen retrieval was performed with Tris-EDTA buffer (pH 9.0, Epitope Retrieval Solution2) for 20 mins

Western blot - Anti-CDCA2 antibody [EPR28722-6] (AB325345)
  • WB

Lab

Western blot - Anti-CDCA2 antibody [EPR28722-6] (AB325345)

Blocking and diluting buffer and concentration : 5% NFDM/TBST.

To minimize protein degradation, lysates were made fresh.The identity of the bands below 75 kDa are unknown.

In Western blot, Anti-GAPDH antibody [EPR16891] - Loading Control (ab181602) (1 : 200000) (36KDa).

Exposure time : Lane 1 : 125 seconds; Lanes 2-3 : 180 seconds

All lanes:

Western blot - Anti-CDCA2 antibody [EPR28722-6] (ab325345) at 1/1000 dilution

Lane 1:

DLD-1 (human colorectal adenocarcinoma epithelial cell) whole cell lysate at 20 µg

Lane 2:

SW480 (human colorectal adenocarcinoma epithelial cell) whole cell lysate at 20 µg

Lane 3:

HeLa (human cervical adenocarcinoma epithelial cell) whole cell lysate at 20 µg

Secondary

All lanes:

Western blot - Goat Anti-Rabbit IgG H&L (HRP) (<a href='/en-us/products/secondary-antibodies/goat-rabbit-igg-h-l-hrp-ab97051'>ab97051</a>) at 1/20000 dilution

Observed band size: 140 kDa,36 kDa

false

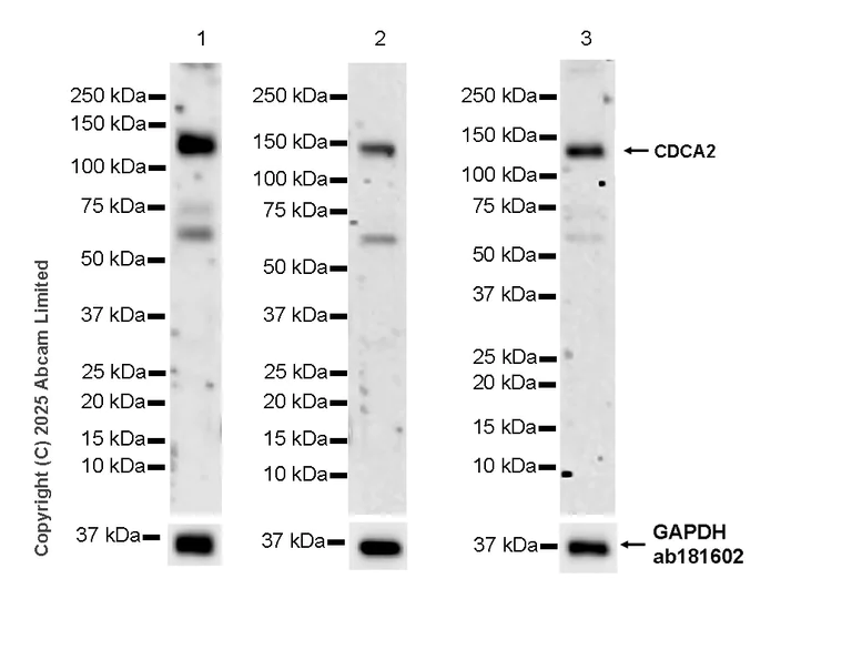
Western blot - Anti-CDCA2 antibody [EPR28722-6] (AB325345)
  • WB

Lab

Western blot - Anti-CDCA2 antibody [EPR28722-6] (AB325345)

Blocking and diluting buffer and concentration : 5% NFDM/TBST.

The antibody recognizes a band at the expected size (just above the 97 kDa marker) in HCT116 and HEK293 cells. This band is missing in the HCT116 CDCA2/RepoMan KO cell line, and depleted when CDCA2/RepoMan is knocked down in HEK293 cells by lentiviral-driven shRNA expression. The image was kindly provided by the Trinkle-Mulcahy lab (University of Ottawa).

All lanes:

Western blot - Anti-CDCA2 antibody [EPR28722-6] (ab325345) at 1/1000 dilution

Lane 1:

HCT116 parental at 40 µg

Lanes 2 - 3:

HCT116 CDCA2/RepoMan knockout at 40 µg

Lane 4:

HEK293 untreated at 40 µg

Lane 5:

HEK293 infected with shRNA control (48 hours) at 40 µg

Lane 6:

HEK293 infected with shRNA control (72 hours) at 40 µg

Lane 7:

HEK293 infected with shRNA targeting CDCA2/RepoMan (48 hours) at 40 µg

Lane 8:

HEK293 infected with shRNA targeting CDCA2/RepoMan (72 hours) at 40 µg

Secondary

All lanes:

Goat Anti-Rabbit IgG, (H+L), Peroxidase conjugated at 1/1000 dilution

Observed band size: 110-140 kDa

false

Western blot - Anti-CDCA2 antibody [EPR28722-6] (AB325345)
  • WB

Lab

Western blot - Anti-CDCA2 antibody [EPR28722-6] (AB325345)

Blocking and diluting buffer and concentration : 5% NFDM/TBST.

This blot was developed using a high-sensitivity ECL substrate, allowing for the detection of proteins in the mid-femtogram range.

In Western blot, Anti-GAPDH antibody [EPR16891] - Loading Control (ab181602) (1 : 200000) (36KDa).

All lanes:

Western blot - Anti-CDCA2 antibody [EPR28722-6] (ab325345) at 1/1000 dilution

Lane 1:

HeLa (human cervical adenocarcinoma epithelial cell) transfected with scrambled siRNA control whole cell lysate at 20 µg

Lane 2:

HeLa transfected with siRNA specifically targeting CDCA2 whole cell lysate at 20 µg

Secondary

All lanes:

Western blot - Goat Anti-Rabbit IgG H&L (HRP) (<a href='/en-us/products/secondary-antibodies/goat-rabbit-igg-h-l-hrp-ab97051'>ab97051</a>) at 1/20000 dilution

Observed band size: 140 kDa,36 kDa

true

Exposure time: 180s

Immunohistochemistry (Formalin/PFA-fixed paraffin-embedded sections) - Anti-CDCA2 antibody [EPR28722-6] (AB325345)
  • IHC-P

Lab

Immunohistochemistry (Formalin/PFA-fixed paraffin-embedded sections) - Anti-CDCA2 antibody [EPR28722-6] (AB325345)

Immunohistochemical analysis of paraffin-embedded Human skeletal muscle tissue labeling CDCA2 with ab325345 at 1/100 (5.16 µg/ml) dilution, followed by a ready to use Rabbit specific IHC polymer detection kit HRP/DAB (ab209101).

Negative control : no staining on human skeletal muscle. The primary antibody was incubated for 30 mins at room temperature.

The immunostaining was performed on a Leica Biosystems BOND® RX instrument

Counterstained with Hematoxylin.

Secondary antibody only control : Secondary antibody is a ready to use Rabbit specific IHC polymer detection kit HRP/DAB (ab209101).

Heat mediated antigen retrieval was performed with Tris-EDTA buffer (pH 9.0, Epitope Retrieval Solution2) for 20 mins

Western blot - Anti-CDCA2 antibody [EPR28722-6] (AB325345)
  • WB

Lab

Western blot - Anti-CDCA2 antibody [EPR28722-6] (AB325345)

Blocking and diluting buffer and concentration : 5% NFDM/TBST.

The antibody recognizes both endogenous RepoMan and tagged RepoMan in U2OS cells. Transiently overexpressed mStayGold-tagged RepoMan runs higher than the endogenous protein (+37kDa). The image was kindly provided by the Trinkle-Mulcahy lab (University of Ottawa).

All lanes:

Western blot - Anti-CDCA2 antibody [EPR28722-6] (ab325345) at 1/1000 dilution

Lane 1:

U2OS untransfected at 50 µg

Lane 2:

U2OS transfected mStay-Gold-CDCA2/RepoMan at 50 µg

Secondary

All lanes:

Goat Anti-Rabbit IgG, (H+L), Peroxidase conjugated at 1/1000 dilution

Observed band size: 110-140 kDa

false

Key facts

Host species

Rabbit

Clonality

Monoclonal

Clone number

EPR28722-6

Isotype

IgG

Carrier free

No

Reacts with

Human

Applications

WB, ICC/IF, IHC-P, mIHC

applications

Immunogen

The exact immunogen used to generate this antibody is proprietary information.

Reactivity data

{ "title": "Reactivity Data", "filters": { "stats": ["", "Species", "Dilution Info", "Notes"], "tabs": { "all-applications": {"fullname" : "All Applications", "shortname": "All Applications"}, "ICCIF" : {"fullname" : "Immunocytochemistry/ Immunofluorescence", "shortname":"ICC/IF"}, "IHCP" : {"fullname" : "Immunohistochemistry (Formalin/PFA-fixed paraffin-embedded sections)", "shortname":"IHC-P"}, "WB" : {"fullname" : "Western blot", "shortname":"WB"}, "mIHC" : {"fullname" : "Multiplex immunohistochemistry", "shortname":"mIHC"} }, "product-promise": { "all": "all", "testedAndGuaranteed": "tested", "guaranteed": "expected", "predicted": "predicted", "notRecommended": "not-recommended" } }, "values": { "Human": { "ICCIF-species-checked": "testedAndGuaranteed", "ICCIF-species-dilution-info": "1/50", "ICCIF-species-notes": "<p></p>", "IHCP-species-checked": "testedAndGuaranteed", "IHCP-species-dilution-info": "1/100", "IHCP-species-notes": "<p></p> Perform heat-mediated antigen retrieval with Tris/EDTA buffer pH 9.0 before commencing with IHC staining protocol.", "WB-species-checked": "testedAndGuaranteed", "WB-species-dilution-info": "1/1000", "WB-species-notes": "<p></p>", "mIHC-species-checked": "testedAndGuaranteed", "mIHC-species-dilution-info": "1/100", "mIHC-species-notes": "<p></p> Perform heat-mediated antigen retrieval with Tris/EDTA buffer pH 9.0 before commencing with IHC staining protocol." }, "Transfected cell lysate - Human": { "ICCIF-species-checked": "notRecommended", "ICCIF-species-dilution-info": "", "ICCIF-species-notes": "", "IHCP-species-checked": "notRecommended", "IHCP-species-dilution-info": "", "IHCP-species-notes": "", "WB-species-checked": "testedAndGuaranteed", "WB-species-dilution-info": "1/1000", "WB-species-notes": "<p></p>", "mIHC-species-checked": "notRecommended", "mIHC-species-dilution-info": "", "mIHC-species-notes": "" } } }

Product details

What are the advantages of a recombinant monoclonal antibody?
This product is a recombinant monoclonal antibody, which offers several advantages including:

  • - High batch-to-batch consistency and reproducibility
  • - Improved sensitivity and specificity
  • - Long-term security of supply
  • - Animal-free batch production

For more information, read more on recombinant antibodies.

Patented technology
Our RabMAb® technology is a patented hybridoma-based technology for making rabbit monoclonal antibodies. For details on our patents, please refer to RabMAb® patents.

Properties and storage information

Form
Liquid
Purification technique
Affinity purification Protein A
Storage buffer
pH: 7.2 - 7.4 Preservative: 0.01% Sodium azide Constituents: PBS, 40% Glycerol (glycerin, glycerine), 0.05% BSA
Shipped at conditions
Blue Ice
Appropriate short-term storage duration
1-2 weeks
Appropriate short-term storage conditions
+4°C
Appropriate long-term storage conditions
-20°C
Aliquoting information
Upon delivery aliquot
Storage information
Avoid freeze / thaw cycle

Product protocols

For this product, it's our understanding that no specific protocols are required. You can visit:

Target data

Regulator of chromosome structure during mitosis required for condensin-depleted chromosomes to retain their compact architecture through anaphase. Acts by mediating the recruitment of phosphatase PP1-gamma subunit (PPP1CC) to chromatin at anaphase and into the following interphase. At anaphase onset, its association with chromatin targets a pool of PPP1CC to dephosphorylate substrates.
See full target information Cell division cycle-associated protein 2

Product promise

We are committed to supporting your work with high-quality reagents, and we're here for you every step of the way. In the unlikely event that one of our products does not perform as expected, you're protected by our Product Promise.
For full details, please see our Terms & Conditions

Please note: All products are 'FOR RESEARCH USE ONLY. NOT FOR USE IN DIAGNOSTIC OR THERAPEUTIC PROCEDURES'.

For licensing inquiries, please contact partnerships@abcam.com