JavaScript is disabled in your browser. Please enable JavaScript to view this website.
AB192237

Anti-CDCA5 antibody [EPR16331] - C-terminal

Be the first to review this product! Submit a review

|

(18 Publications)

Anti-CDCA5 antibody [EPR16331] - C-terminal (ab192237) is a rabbit monoclonal antibody detecting CDCA5 in Western Blot, Flow Cytometry (Intra), Flow Cytometry, IHC-P, ICC/IF. Suitable for Human.

- Biophysical QC for unrivalled batch-batch consistency
- Over 10 publications

View Alternative Names

Sororin, Cell division cycle-associated protein 5, p35, CDCA5

5 Images
Immunohistochemistry (Formalin/PFA-fixed paraffin-embedded sections) - Anti-CDCA5 antibody [EPR16331] - C-terminal (AB192237)
  • IHC-P

Supplier Data

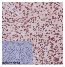
Immunohistochemistry (Formalin/PFA-fixed paraffin-embedded sections) - Anti-CDCA5 antibody [EPR16331] - C-terminal (AB192237)

Immunohistochemical analysis of paraffin-embedded Human stomach tissue labeling CDCA5 with ab192237 at 1/100 (5 μg/ml) dilution followed by pre-diluted HRP Polymer for Rabbit/Mouse IgG secondary antibody and counter-stained with Hematoxylin. (inset : negative control).

Perform heat mediated antigen retrieval with Tris/EDTA buffer pH 9.0 before commencing with IHC staining protocol.

Immunocytochemistry/ Immunofluorescence - Anti-CDCA5 antibody [EPR16331] - C-terminal (AB192237)
  • ICC/IF

Lab

Immunocytochemistry/ Immunofluorescence - Anti-CDCA5 antibody [EPR16331] - C-terminal (AB192237)

Immunofluorescent analysis of HeLa cells (4% Paraformaldehyde-fixed, 0.1% tritonX-100 permeabilized) labeling CDCA5 with ab192237 at 1/100 dilution (5μg/mL) followed by Goat anti rabbit IgG (AlexaFluor® 488) (ab150077) secondary at 1/200 dilution and counter-stained with DAPI (blue).
Negative controls : anti-CDCA5 at 1/100 dilution, Secondary ab (Goat anti mouse IgG (Alexa Fluor®594)) at 1/400 dilution.

Immunohistochemistry (Formalin/PFA-fixed paraffin-embedded sections) - Anti-CDCA5 antibody [EPR16331] - C-terminal (AB192237)
  • IHC-P

Supplier Data

Immunohistochemistry (Formalin/PFA-fixed paraffin-embedded sections) - Anti-CDCA5 antibody [EPR16331] - C-terminal (AB192237)

Immunohistochemical analysis of paraffin-embedded Human endometrium adenocarcinoma tissue labeling CDCA5 with ab192237 at 1/100 (5 μg/ml) dilution followed by pre-diluted HRP Polymer for Rabbit/Mouse IgG secondary antibody and counter-stained with Hematoxylin. (inset : negative control).

Perform heat mediated antigen retrieval with Tris/EDTA buffer pH 9.0 before commencing with IHC staining protocol.

Flow Cytometry (Intracellular) - Anti-CDCA5 antibody [EPR16331] - C-terminal (AB192237)
  • Flow Cyt (Intra)

Supplier Data

Flow Cytometry (Intracellular) - Anti-CDCA5 antibody [EPR16331] - C-terminal (AB192237)

Intracellular flow cytometric analysis of 293 cells (paraformaldehyde-fixed, 2%) labeling CDCA5with ab192237 at 1/100 dilution (red) or a rabbit IgG (negative) (green), followed by Goat anti rabbit IgG (FITC) secondary at 1/150 dilution.

Western blot - Anti-CDCA5 antibody [EPR16331] - C-terminal (AB192237)
  • WB

Supplier Data

Western blot - Anti-CDCA5 antibody [EPR16331] - C-terminal (AB192237)

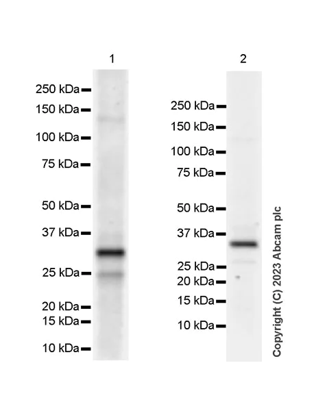
Lysates were freshly made and used for Western blotting immediately to minimize protein degradation. Blocking and diluting buffer and concntration : 5% NFDM/TBST Imaging carried out using iBright CL 1000 Imaging System Exposure time : Lane 1 : 180 seconds, Lane 2 : 48 seconds.

All lanes:

Western blot - Anti-CDCA5 antibody [EPR16331] - C-terminal (ab192237) at 1/1000 dilution

Lane 1:

HeLa (human cervical adenocarcinoma epithelial cell) whole cell lysate at 20 µg

Lane 2:

SH-SY5Y (human neuroblastoma epithelial cell) whole cell lysate at 20 µg

Secondary

All lanes:

Western blot - Goat Anti-Rabbit IgG H&L (HRP) (<a href='/en-us/products/secondary-antibodies/goat-rabbit-igg-h-l-hrp-ab97051'>ab97051</a>) at 1/20000 dilution

Predicted band size: 28 kDa

Observed band size: 27 kDa

false

  • 665 Alexa Fluor® 647

    Alexa Fluor® 647 Anti-CDCA5 antibody [EPR16331]

  • 617 Alexa Fluor® 594

    Alexa Fluor® 594 Anti-CDCA5 antibody [EPR16331] – C–terminal

  • 565 Alexa Fluor® 555

    Alexa Fluor® 555 Anti-CDCA5 antibody [EPR16331] – C–terminal

  • 519 Alexa Fluor® 488

    Alexa Fluor® 488 Anti-CDCA5 antibody [EPR16331] – C–terminal

  • 660 APC

    APC Anti-CDCA5 antibody [EPR16331] – C–terminal

  • 775 Alexa Fluor® 750

    Alexa Fluor® 750 Anti-CDCA5 antibody [EPR16331] - C-terminal

Key facts

Host species

Rabbit

Clonality

Monoclonal

Clone number

EPR16331

Isotype

IgG

Carrier free

No

Reacts with

Human

Applications

WB, IHC-P, Flow Cyt (Intra), ICC/IF

applications

Immunogen

The exact immunogen used to generate this antibody is proprietary information.

Reactivity data

{ "title": "Reactivity Data", "filters": { "stats": ["", "Species", "Dilution Info", "Notes"], "tabs": { "all-applications": {"fullname" : "All Applications", "shortname": "All Applications"}, "WB" : {"fullname" : "Western blot", "shortname":"WB"}, "ICCIF" : {"fullname" : "Immunocytochemistry/ Immunofluorescence", "shortname":"ICC/IF"}, "FlowCytIntra" : {"fullname" : "Flow Cytometry (Intracellular)", "shortname":"Flow Cyt (Intra)"}, "IHCP" : {"fullname" : "Immunohistochemistry (Formalin/PFA-fixed paraffin-embedded sections)", "shortname":"IHC-P"} }, "product-promise": { "all": "all", "testedAndGuaranteed": "tested", "guaranteed": "expected", "predicted": "predicted", "notRecommended": "not-recommended" } }, "values": { "Human": { "WB-species-checked": "testedAndGuaranteed", "WB-species-dilution-info": "1/1000 - 1/10000", "WB-species-notes": "<p></p>", "ICCIF-species-checked": "testedAndGuaranteed", "ICCIF-species-dilution-info": "1/100", "ICCIF-species-notes": "<p></p>", "FlowCytIntra-species-checked": "testedAndGuaranteed", "FlowCytIntra-species-dilution-info": "1/100", "FlowCytIntra-species-notes": "<p><a href='/en-us/products/primary-antibodies/rabbit-igg-monoclonal-epr25a-isotype-control-ab172730'>ab172730</a> - Rabbit monoclonal IgG, is suitable for use as an isotype control with this antibody.</p>", "IHCP-species-checked": "testedAndGuaranteed", "IHCP-species-dilution-info": "1/50 - 1/100", "IHCP-species-notes": "<p></p>" } } }

Product details

What is this antibody validated in?
Anti-CDCA5 antibody [EPR16331] - C-terminal (ab192237) is a rabbit recombinant monoclonal antibody and is validated for use in Western Blot (WB), Flow Cytometry (Intra), Flow Cytometry (Flow Cyt), Immunohistochemistry (IHC-P), Immunocytochemistry/immunofluorescence (ICC/IF) in Human samples.

What is the molecular weight of CDCA5?
Anti-CDCA5 [EPR16331] - C-terminal (ab192237) specifically detects a band for CDCA5 (UniProt: Q96FF9) at a molecular weight of 28kDa.

Trusted by the scientific community
Anti-CDCA5 [EPR16331] - C-terminal (ab192237) was first used in a scientific publication in 2014 and has been cited over 10 times in peer-reviewed journals.

Trial sizes available!
Test your antibody or perform pre-screening before committing to a larger quantity. Sold in 10µl. Discover our selection of trial-size antibodies.

Other related products
We have a range of other formats of antibody clone [EPR16331] also available for your convenience: ab192237, Alexa Fluor® 647 - ab225376, PE - ab225377, Carrier free - ab240328, APC - ab319299, Alexa Fluor® 488 - ab319573, Alexa Fluor® 594 - ab319792, Alexa Fluor® 555 - ab319933, Alexa Fluor® 750 - ab321325

Patented technology
Our RabMAb® technology is a patented hybridoma-based technology for making rabbit monoclonal antibodies. For details on our patents, please refer to RabMAb® patents.

What are the advantages of a recombinant monoclonal antibody?
This product is a recombinant monoclonal antibody, which offers several advantages including:

  • - High batch-to-batch consistency and reproducibility
  • - Improved sensitivity and specificity
  • - Long-term security of supply
  • - Animal-free batch production

For more information, read more on recombinant antibodies.

Properties and storage information

Form
Liquid
Purification technique
Affinity purification Protein A
Storage buffer
pH: 7.2 - 7.4 Preservative: 0.01% Sodium azide Constituents: PBS, 40% Glycerol (glycerin, glycerine), 0.05% BSA
Shipped at conditions
Blue Ice
Appropriate short-term storage duration
1-2 weeks
Appropriate short-term storage conditions
+4°C
Appropriate long-term storage conditions
-20°C
Aliquoting information
Upon delivery aliquot
Storage information
Avoid freeze / thaw cycle

Product protocols

For this product, it's our understanding that no specific protocols are required. You can visit:

Target data

Regulator of sister chromatid cohesion in mitosis stabilizing cohesin complex association with chromatin. May antagonize the action of WAPL which stimulates cohesin dissociation from chromatin. Cohesion ensures that chromosome partitioning is accurate in both meiotic and mitotic cells and plays an important role in DNA repair. Required for efficient DNA double-stranded break repair.
See full target information Sororin

Publications (18)

Recent publications for all applications. Explore the full list and refine your search

The EMBO journal 43:2424-2452 PubMed38714893

2024

A non-canonical role of the inner kinetochore in regulating sister-chromatid cohesion at centromeres.

Applications

Unspecified application

Species

Unspecified reactive species

Lu Yan,Xueying Yuan,Mingjie Liu,Qinfu Chen,Miao Zhang,Junfen Xu,Ling-Hui Zeng,Long Zhang,Jun Huang,Weiguo Lu,Xiaojing He,Haiyan Yan,Fangwei Wang

Nature structural & molecular biology 30:853-859 PubMed37081319

2023

Structural basis of centromeric cohesion protection.

Applications

Unspecified application

Species

Unspecified reactive species

Alberto García-Nieto,Amrita Patel,Yan Li,Roel Oldenkamp,Leonardo Feletto,Joshua J Graham,Laureen Willems,Kyle W Muir,Daniel Panne,Benjamin D Rowland

International journal of oncology 61: PubMed35642672

2022

Loss of cell division cycle‑associated 5 promotes cell apoptosis by activating DNA damage response in clear cell renal cell carcinoma.

Applications

Unspecified application

Species

Unspecified reactive species

Xing Huang,Yan Huang,Zheng Lv,Tao Wang,Huayi Feng,Hanfeng Wang,Songliang Du,Shengpan Wu,Donglai Shen,Chenfeng Wang,Hongzhao Li,Baojun Wang,Xin Ma,Xu Zhang

Molecular medicine reports 25: PubMed35506437

2022

Knockdown of CDCA5 suppresses malignant progression of breast cancer cells by regulating PDS5A.

Applications

Unspecified application

Species

Unspecified reactive species

Yang Wang,Jian Yao,Yulin Zhu,Xuejiao Zhao,Jing Lv,Fulan Sun

Science advances 7:eabg9335 PubMed34559563

2021

The cohesin stabilizer Sororin drives G-M transition and spindle assembly in mammalian oocytes.

Applications

Unspecified application

Species

Unspecified reactive species

Changyin Zhou,Xue Zhang,Yilong Miao,Yu Zhang,Yu Li,Bo Xiong

Neoplasia (New York, N.Y.) 23:1037-1047 PubMed34509929

2021

SPOP promotes CDCA5 degradation to regulate prostate cancer progression via the AKT pathway.

Applications

Unspecified application

Species

Unspecified reactive species

Zhenzhen Luo,Jing Wang,Yue Zhu,Xiao Sun,Chenchen He,Mengjiao Cai,Jinlu Ma,Yi Wang,Suxia Han

Oncology reports 45:921-932 PubMed33650660

2021

CDCA5 promotes the progression of prostate cancer by affecting the ERK signalling pathway.

Applications

Unspecified application

Species

Unspecified reactive species

Junpeng Ji,Tianyu Shen,Yang Li,Yixi Liu,Zhiqun Shang,Yuanjie Niu

The Journal of biological chemistry 296:100194 PubMed33334891

2020

USP13 interacts with cohesin and regulates its ubiquitination in human cells.

Applications

Unspecified application

Species

Unspecified reactive species

Xiaoyuan He,Jung-Sik Kim,Laura A Diaz-Martinez,Cecil Han,William S Lane,Bogdan Budnik,Todd Waldman

Medical science monitor : international medical jo 26:e923664 PubMed32759885

2020

Cyclin-Dependent Kinase 1 (CDK1) is Co-Expressed with CDCA5: Their Functions in Gastric Cancer Cell Line MGC-803.

Applications

Unspecified application

Species

Unspecified reactive species

Zhigang Huang,Shizhuo Zhang,Jinlin Du,Xing Zhang,Weijian Zhang,Zhaowei Huang,Ping Ouyang

Cell research 30:590-601 PubMed32350394

2020

Regulation of sister chromatid cohesion by nuclear PD-L1.

Applications

Unspecified application

Species

Unspecified reactive species

Jia Yu,Bo Qin,Ann M Moyer,Somaira Nowsheen,Xinyi Tu,Haidong Dong,Judy C Boughey,Matthew P Goetz,Richard Weinshilboum,Zhenkun Lou,Liewei Wang
View all publications

Product promise

We are committed to supporting your work with high-quality reagents, and we're here for you every step of the way. In the unlikely event that one of our products does not perform as expected, you're protected by our Product Promise.
For full details, please see our Terms & Conditions

Please note: All products are 'FOR RESEARCH USE ONLY. NOT FOR USE IN DIAGNOSTIC OR THERAPEUTIC PROCEDURES'.

For licensing inquiries, please contact partnerships@abcam.com