JavaScript is disabled in your browser. Please enable JavaScript to view this website.
AB252947

Anti-CDCP1 antibody [EPR23162-102]

  • BOND RX™ Validated
  • RabMAb
  • Recombinant
  • 20ul selling size
  • What is this?

Be the first to review this product! Submit a review

|

(6 Publications)

Anti-CDCP1 antibody [EPR23162-102] (ab252947) is a rabbit monoclonal antibody detecting CDCP1 in Western Blot, Flow Cytometry (Intra), Flow Cytometry, IP, IHC-P, ICC/IF. Suitable for Human.

- Biophysical QC for unrivalled batch-batch consistency

View Alternative Names

CD318, TRASK, UNQ2486/PRO5773, CDCP1, CUB domain-containing protein 1, Membrane glycoprotein gp140, Subtractive immunization M plus HEp3-associated 135 kDa protein, Transmembrane and associated with src kinases, SIMA135

8 Images
Immunohistochemistry (Formalin/PFA-fixed paraffin-embedded sections) - Anti-CDCP1 antibody [EPR23162-102] (AB252947)
  • IHC-P

Unknown

Immunohistochemistry (Formalin/PFA-fixed paraffin-embedded sections) - Anti-CDCP1 antibody [EPR23162-102] (AB252947)

Immunohistochemical analysis of paraffin-embedded Human breast cancer tissue labeling CDCP1 with ab252947 at 1/200 dilution (2.8 ug/ml) followed by a ready to use Rabbit specific IHC polymer detection kit HRP/DAB (ab209101). Mainly membranous staining in tumor cells of human breast cancer (PMID : 16823897). The section was incubated with ab252947 for 30 mins at room temperature. The immunostaining was performed on a Leica Biosystems BOND® RX instrument. Counterstained with Hematoxylin.

Secondary antibody only control : Secondary antibody is a ready to use Rabbit specific IHC polymer detection kit HRP/DAB (ab209101).

Heat mediated antigen retrieval with Tris-EDTA buffer (pH 9.0, epitope retrieval solution 2) for 20 mins.

Immunocytochemistry/ Immunofluorescence - Anti-CDCP1 antibody [EPR23162-102] (AB252947)
  • ICC/IF

Unknown

Immunocytochemistry/ Immunofluorescence - Anti-CDCP1 antibody [EPR23162-102] (AB252947)

Immunofluorescent analysis of 4% Paraformaldehyde-fixed, 0.1% TritonX-100 permeabilized HCT 116 (Human colorectal carcinoma epithelial cell) MCF7 (Human breast adenocarcinoma epithelial cell) cells labelling CDCP1 with ab252947 at 1/50 dilution, followed by ab150077 AlexaFluor®488 Goat anti-Rabbit secondary antibody at 1/1000 (2 ug/ml) dilution (Green). Confocal image showing membranous staining in HCT 116 cell line. Negative control : MCF7 cell line (PMID : 24055141). ab195889 Anti-alpha Tubulin antibody [DM1A] - Microtubule Marker (Alexa Fluor® 594) was used to counterstain tubulin at 1/200 dilution (Red). The Nuclear counterstain was DAPI (Blue).

Secondary antibody only control : Secondary antibody is ab150077 AlexaFluor®488 Goat anti-Rabbit secondary at 1/1000 dilution.

Immunohistochemistry (Formalin/PFA-fixed paraffin-embedded sections) - Anti-CDCP1 antibody [EPR23162-102] (AB252947)
  • IHC-P

Unknown

Immunohistochemistry (Formalin/PFA-fixed paraffin-embedded sections) - Anti-CDCP1 antibody [EPR23162-102] (AB252947)

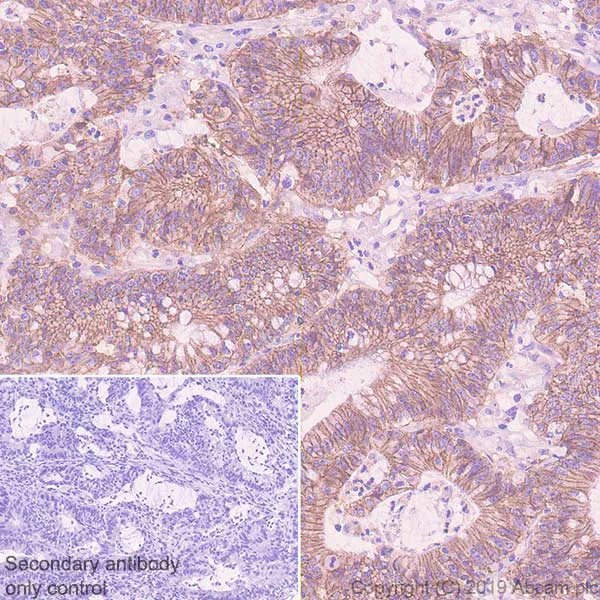
Immunohistochemical analysis of paraffin-embedded Human colon cancer tissue labeling CDCP1 with ab252947 at 1/200 dilution (2.8 ug/ml) followed by a ready to use Rabbit specific IHC polymer detection kit HRP/DAB (ab209101). Mainly membranous staining in tumor cells of human colon cancer (PMID : 12660814). The section was incubated with ab252947 for 30 mins at room temperature. The immunostaining was performed on a Leica Biosystems BOND® RX instrument. Counterstained with Hematoxylin.

Secondary antibody only control : Secondary antibody is a ready to use Rabbit specific IHC polymer detection kit HRP/DAB (ab209101).

Heat mediated antigen retrieval with Tris-EDTA buffer (pH 9.0, epitope retrieval solution 2) for 20 mins.

Flow Cytometry (Intracellular) - Anti-CDCP1 antibody [EPR23162-102] (AB252947)
  • Flow Cyt (Intra)

Unknown

Flow Cytometry (Intracellular) - Anti-CDCP1 antibody [EPR23162-102] (AB252947)

Intracellular flow cytometric analysis of 4% paraformaldehyde fixed, 90% methanol permeabilized MCF7 (Human breast adenocarcinoma epithelial cell, Left) / HCT 116 (Human colorectal carcinoma epithelial cell, Right) cells labeling CDCP1 with ab252947 at 1/500 dilution (Red) compared with a Isotype control details (ab172730) (Black) and an unlabelled control (cells without incubation with primary antibody and secondary antibody) (Blue). Secondary antibody details (ab150077), at 1/2000 dilution was used as the secondary antibody.

Negative control : MCF7 cell line (PMID : 24055141).

Immunohistochemistry (Formalin/PFA-fixed paraffin-embedded sections) - Anti-CDCP1 antibody [EPR23162-102] (AB252947)
  • IHC-P

Unknown

Immunohistochemistry (Formalin/PFA-fixed paraffin-embedded sections) - Anti-CDCP1 antibody [EPR23162-102] (AB252947)

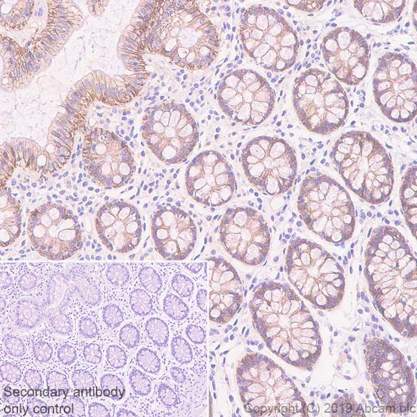
Immunohistochemical analysis of paraffin-embedded Human colon tissue labeling CDCP1 with ab252947 at 1/200 dilution (2.8 ug/ml) followed by a ready to use Rabbit specific IHC polymer detection kit HRP/DAB (ab209101). Positive staining in human colon (PMID : 12660814). The section was incubated with ab252947 for 30 mins at room temperature. The immunostaining was performed on a Leica Biosystems BOND® RX instrument. Counterstained with Hematoxylin.

Secondary antibody only control : Secondary antibody is a ready to use Rabbit specific IHC polymer detection kit HRP/DAB (ab209101).

Heat mediated antigen retrieval with Tris-EDTA buffer (pH 9.0, epitope retrieval solution 2) for 20 mins.

Western blot - Anti-CDCP1 antibody [EPR23162-102] (AB252947)
  • WB

Unknown

Western blot - Anti-CDCP1 antibody [EPR23162-102] (AB252947)

Blocking and dilution buffer : 5% NFDM/TBST.

Exposure times.

Lane 1 : 48 seconds;
Lanes 2-3 : 3 minutes.

The expression profile observed is consistent with what has been described in the literature (PMID : 20551327). Post-translational processing generates a C-terminal 70-kDa fragment from the full-length 135 kDa CDCP1.

Negative control : MCF7 (PMID : 20551327, 24055141).

All lanes:

Western blot - Anti-CDCP1 antibody [EPR23162-102] (ab252947) at 1/1000 dilution

Lane 1:

PC-3 (human prostate adenocarcinoma epithelial cell) whole cell lysate at 20 µg

Lane 2:

MDA-MB-231 (human breast adenocarcinoma epithelial cell) whole cell lysate at 20 µg

Lane 3:

MCF7 (human breast adenocarcinoma epithelial cell) whole cell lysate at 20 µg

Secondary

All lanes:

Western blot - Goat Anti-Rabbit IgG H&L (HRP) (<a href='/en-us/products/secondary-antibodies/goat-rabbit-igg-h-l-hrp-ab97051'>ab97051</a>) at 1/100000 dilution

Predicted band size: 92 kDa

Observed band size: 135 kDa,70 kDa

false

Western blot - Anti-CDCP1 antibody [EPR23162-102] (AB252947)
  • WB

Unknown

Western blot - Anti-CDCP1 antibody [EPR23162-102] (AB252947)

Blocking and dilution buffer : 5% NFDM/TBST.

Exposure time : 3 minutes.

The expression profile observed is consistent with what has been described in the literature (PMID : 20551327). Post-translational processing generates a C-terminal 70-kDa fragment from the full-length 135 kDa CDCP1.

All lanes:

Western blot - Anti-CDCP1 antibody [EPR23162-102] (ab252947) at 1/1000 dilution

All lanes:

Human colon cancer lysate at 20 µg

Secondary

All lanes:

Western blot - VeriBlot for IP Detection Reagent (HRP) (<a href='/en-us/products/reagents/veriblot-for-ip-detection-reagent-hrp-ab131366'>ab131366</a>) at 1/1000 dilution

Predicted band size: 92 kDa

Observed band size: 135 kDa,70 kDa

false

Immunoprecipitation - Anti-CDCP1 antibody [EPR23162-102] (AB252947)
  • IP

Unknown

Immunoprecipitation - Anti-CDCP1 antibody [EPR23162-102] (AB252947)

CDCP1 was immunoprecipitated from 0.35 mg PC-3 (Human prostate adenocarcinoma epithelial cell) whole cell lysate with ab252947 at 1/30 dilution (2ug in 0.35mg lysates). Western blot was performed on the immunoprecipitate using ab252947 at 1/1000 dilution. VeriBlot for IP Detection Reagent (HRP) (ab131366) was used at 1/5000 dilution.

Lane 1 : PC-3 (Human prostate adenocarcinoma epithelial cell) whole cell lysate 10ug

Lane 2 : ab252947 IP in PC-3 whole cell lysate

Lane 3 : Rabbit monoclonal IgG (ab172730) instead of ab252947 in PC-3 whole cell lysate

Blocking and dilution buffer and concentration : 5% NFDM/TBST.

Exposure time : 3 min

All lanes:

Immunoprecipitation - Anti-CDCP1 antibody [EPR23162-102] (ab252947)

Predicted band size: 92 kDa

false

Key facts

Host species

Rabbit

Clonality

Monoclonal

Clone number

EPR23162-102

Isotype

IgG

Carrier free

No

Reacts with

Human

Applications

ICC/IF, WB, Flow Cyt (Intra), IHC-P, IP

applications

Immunogen

The exact immunogen used to generate this antibody is proprietary information.

Reactivity data

{ "title": "Reactivity Data", "filters": { "stats": ["", "Species", "Dilution Info", "Notes"], "tabs": { "all-applications": {"fullname" : "All Applications", "shortname": "All Applications"}, "IP" : {"fullname" : "Immunoprecipitation", "shortname":"IP"}, "WB" : {"fullname" : "Western blot", "shortname":"WB"}, "ICCIF" : {"fullname" : "Immunocytochemistry/ Immunofluorescence", "shortname":"ICC/IF"}, "FlowCytIntra" : {"fullname" : "Flow Cytometry (Intracellular)", "shortname":"Flow Cyt (Intra)"}, "IHCP" : {"fullname" : "Immunohistochemistry (Formalin/PFA-fixed paraffin-embedded sections)", "shortname":"IHC-P"} }, "product-promise": { "all": "all", "testedAndGuaranteed": "tested", "guaranteed": "expected", "predicted": "predicted", "notRecommended": "not-recommended" } }, "values": { "Human": { "IP-species-checked": "testedAndGuaranteed", "IP-species-dilution-info": "1/30", "IP-species-notes": "<p></p>", "WB-species-checked": "testedAndGuaranteed", "WB-species-dilution-info": "1/1000", "WB-species-notes": "<p></p>", "ICCIF-species-checked": "testedAndGuaranteed", "ICCIF-species-dilution-info": "1/50", "ICCIF-species-notes": "<p></p>", "FlowCytIntra-species-checked": "testedAndGuaranteed", "FlowCytIntra-species-dilution-info": "1/500", "FlowCytIntra-species-notes": "<p></p>", "IHCP-species-checked": "testedAndGuaranteed", "IHCP-species-dilution-info": "1/200", "IHCP-species-notes": "<p></p> Perform heat-mediated antigen retrieval with Tris/EDTA buffer pH 9.0 before commencing with IHC staining protocol." } } }

Product details

What is this antibody validated in?
Anti-CDCP1 antibody [EPR23162-102] (ab252947) is a rabbit recombinant monoclonal antibody and is validated for use in Western Blot (WB), Flow Cytometry (Intra), Flow Cytometry (Flow Cyt), Immunoprecipitation (IP), Immunohistochemistry (IHC-P), Immunocytochemistry/immunofluorescence (ICC/IF) in Human samples.

What is the molecular weight of CDCP1?
Anti-CDCP1 [EPR23162-102] (ab252947) specifically detects a band for CDCP1 (UniProt: Q9H5V8) at a molecular weight of 92kDa.

Trial sizes available!
Test your antibody or perform pre-screening before committing to a larger quantity. Sold in 10µl. Discover our selection of trial-size antibodies.

Other related products
We have a range of other formats of antibody clone [EPR23162-102] also available for your convenience: ab252947, Carrier free - ab264472

Patented technology
Our RabMAb® technology is a patented hybridoma-based technology for making rabbit monoclonal antibodies. For details on our patents, please refer to RabMAb® patents.

What are the advantages of a recombinant monoclonal antibody?
This product is a recombinant monoclonal antibody, which offers several advantages including:

  • - High batch-to-batch consistency and reproducibility
  • - Improved sensitivity and specificity
  • - Long-term security of supply
  • - Animal-free batch production

For more information, read more on recombinant antibodies.

Properties and storage information

Form
Liquid
Purification technique
Affinity purification Protein A
Storage buffer
pH: 7.2 - 7.4 Preservative: 0.01% Sodium azide Constituents: PBS, 40% Glycerol (glycerin, glycerine), 0.05% BSA
Shipped at conditions
Blue Ice
Appropriate short-term storage duration
1-2 weeks
Appropriate short-term storage conditions
+4°C
Appropriate long-term storage conditions
-20°C
Aliquoting information
Upon delivery aliquot
Storage information
Avoid freeze / thaw cycle

Product protocols

For this product, it's our understanding that no specific protocols are required. You can visit:

Target data

May be involved in cell adhesion and cell matrix association. May play a role in the regulation of anchorage versus migration or proliferation versus differentiation via its phosphorylation. May be a novel marker for leukemia diagnosis and for immature hematopoietic stem cell subsets. Belongs to the tetraspanin web involved in tumor progression and metastasis.
See full target information CDCP1

Publications (6)

Recent publications for all applications. Explore the full list and refine your search

Molecular therapy. Oncology 33:201024 PubMed40800005

2025

CDCP1-targeting ADC outperforms standard therapies in Ras-mutant pancreatic cancer.

Applications

Unspecified application

Species

Unspecified reactive species

Yun Jung Um,Hee-Dong Noh,Jin Gu Cho,Han-Jik Ko,Tae Min Wi,Jin-Ock Kim,Sang Gyu Park

BMC biotechnology 25:67 PubMed40624715

2025

CDCP1 promotes the malignant phenotypes of nasopharyngeal carcinoma via the Wnt/β-catenin signaling pathway.

Applications

Unspecified application

Species

Unspecified reactive species

Guoliang Bie,Shuang Cheng,Weiping Huang,Zhongpu Yin,Jianzhi Liu

Discover oncology 15:582 PubMed39441449

2024

Overexpression of a disintegrin and metalloproteinase 9 (ADAM9) in relation to poor prognosis of patients with oral squamous cell carcinoma.

Applications

Unspecified application

Species

Unspecified reactive species

Shuangjiang Wu,Lang Cheng,Tao Luo,Anupong Makeudom,Lei Wang,Suttichai Krisanaprakornkit

Molecular medicine (Cambridge, Mass.) 29:162 PubMed38041015

2023

The linear ANRIL transcript P14AS regulates the NF-κB signaling to promote colon cancer progression.

Applications

Unspecified application

Species

Unspecified reactive species

Wanru Ma,Junhua Hu

Frontiers in oncology 13:1142755 PubMed37469398

2023

Ascites-derived CDCP1+ extracellular vesicles subcluster as a novel biomarker and therapeutic target for ovarian cancer.

Applications

Unspecified application

Species

Unspecified reactive species

Lingnan Kong,Famei Xu,Yukuan Yao,Zhihui Gao,Peng Tian,Shichao Zhuang,Di Wu,Tangyue Li,Yanling Cai,Jing Li

Journal of hematology & oncology 15:168 PubMed36434634

2022

Proteogenomic insights into the biology and treatment of pancreatic ductal adenocarcinoma.

Applications

Unspecified application

Species

Unspecified reactive species

Yexin Tong,Mingjun Sun,Lingli Chen,Yunzhi Wang,Yan Li,Lingling Li,Xuan Zhang,Yumeng Cai,Jingbo Qie,Yanrui Pang,Ziyan Xu,Jiangyan Zhao,Xiaolei Zhang,Yang Liu,Sha Tian,Zhaoyu Qin,Jinwen Feng,Fan Zhang,Jiajun Zhu,Yifan Xu,Wenhui Lou,Yuan Ji,Jianyuan Zhao,Fuchu He,Yingyong Hou,Chen Ding
View all publications

Product promise

We are committed to supporting your work with high-quality reagents, and we're here for you every step of the way. In the unlikely event that one of our products does not perform as expected, you're protected by our Product Promise.
For full details, please see our Terms & Conditions

Please note: All products are 'FOR RESEARCH USE ONLY. NOT FOR USE IN DIAGNOSTIC OR THERAPEUTIC PROCEDURES'.

For licensing inquiries, please contact partnerships@abcam.com