JavaScript is disabled in your browser. Please enable JavaScript to view this website.
AB206314

Anti-Cdk1-2-3-5 antibody [EP762RY]

Be the first to review this product! Submit a review

|

(2 Publications)

Rabbit Recombinant Monoclonal CDK1 antibody. Suitable for IHC-P, WB and reacts with Human, Transfected cell lysate - Human samples. Cited in 2 publications.

View Alternative Names

CDC2, CDC28A, CDKN1, P34CDC2, CDK1, Cyclin-dependent kinase 1, Cell division control protein 2 homolog, Cell division protein kinase 1, p34 protein kinase, CDKN2, CDK2, Cyclin-dependent kinase 2, Cell division protein kinase 2, p33 protein kinase, CDKN3, CDK3, Cyclin-dependent kinase 3, Cell division protein kinase 3, CDKN5, PSSALRE, CDK5, Cyclin-dependent kinase 5, Cell division protein kinase 5, Cyclin-dependent-like kinase 5, Serine/threonine-protein kinase PSSALRE, Tau protein kinase II catalytic subunit, TPKII catalytic subunit

6 Images
Immunohistochemistry (Formalin/PFA-fixed paraffin-embedded sections) - Anti-Cdk1-2-3-5 antibody [EP762RY] (AB206314)
  • IHC-P

Supplier Data

Immunohistochemistry (Formalin/PFA-fixed paraffin-embedded sections) - Anti-Cdk1-2-3-5 antibody [EP762RY] (AB206314)

Immunohistochemical analysis of paraffin-embedded Human lung carcinoma labeling Cdk1-2-3-5 with ab206314 at 1/500 (1.95 μg/ml) followed by Rabbit specific IHC polymer detection kit HRP/DAB (ab209101). The section was incubated with ab206314 for 30 mins at room temperature. The immunostaining was performed on a Leica Biosystems BOND® RX instrument. Counterstained with Hematoxylin. Heat mediated antigen retrieval with Tris-EDTA buffer (pH 9.0, epitope retrieval solution 2) for 20 mins.

Immunohistochemistry (Formalin/PFA-fixed paraffin-embedded sections) - Anti-Cdk1-2-3-5 antibody [EP762RY] (AB206314)
  • IHC-P

Unknown

Immunohistochemistry (Formalin/PFA-fixed paraffin-embedded sections) - Anti-Cdk1-2-3-5 antibody [EP762RY] (AB206314)

Immunohistochemical analysis of paraffin-embedded human cerebrum tissue sections labeling Cdk1-2-3-5 with purified ab206314 at 1/50 dilution. ImmunoHistoProbe one step HRP Polymer (ready to use) was used as the secondary antibody. Sections were counterstained with Hematoxylin.
Antigen retrieval was heat mediated antigen retrieval using citrate buffer, pH 6.0).

Western blot - Anti-Cdk1-2-3-5 antibody [EP762RY] (AB206314)
  • WB

Supplier Data

Western blot - Anti-Cdk1-2-3-5 antibody [EP762RY] (AB206314)

Blocking and diluting buffer and concentration : 5% NFDM/TBST. Exposure : Lane 1 (180 seconds); Lane 2 (120 seconds).

All lanes:

Western blot - Anti-Cdk1-2-3-5 antibody [EP762RY] (ab206314) at 1/5000 dilution

Lane 1:

HeLa (human cervix adenocarcinoma epithelial cell) whole cell lysate at 15 µg

Lane 2:

293T (Human embryonic kidney epithelial cell) whole cell lysate at 15 µg

Secondary

All lanes:

Western blot - Goat Anti-Rabbit IgG H&L (HRP) (<a href='/en-us/products/secondary-antibodies/goat-rabbit-igg-h-l-hrp-ab97051'>ab97051</a>) at 1/20000 dilution

false

Western blot - Anti-Cdk1-2-3-5 antibody [EP762RY] (AB206314)
  • WB

Lab

Western blot - Anti-Cdk1-2-3-5 antibody [EP762RY] (AB206314)

This data was developed using ab206314, the same antibody clone in a different buffer formulation.

All lanes:

Western blot - Anti-Cdk1-2-3-5 antibody [EP762RY] (ab206314) at 1/1000 dilution

Lane 1:

293T Human embryonic kidney epithelial cell transfected with an empty vector vector control containing a GFP-myc-tag®, whole cell lysate at 15 µg

Lane 2:

293T Human embryonic kidney epithelial cell transfected with CDK1 expression vector containing a GFP-myc-tag®, whole cell lysate at 15 µg

Lane 3:

293T Human embryonic kidney epithelial cell transfected with CDK2 expression vector containing a GFP-myc-tag®, whole cell lysate at 15 µg

Lane 4:

293T Human embryonic kidney epithelial cell whole cell lysate transfected with CDK3 with GFP-Myc tag at 15 µg

Lane 5:

293T Human embryonic kidney epithelial cell whole cell lysate transfected with CDK5 with GFP-Myc tag at 15 µg

Secondary

All lanes:

Western blot - Goat Anti-Rabbit IgG H&L (HRP) (<a href='/en-us/products/secondary-antibodies/goat-rabbit-igg-h-l-hrp-ab97051'>ab97051</a>) at 1/20000 dilution

false

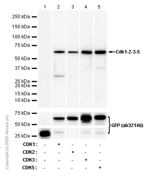
Western blot - Anti-Cdk1-2-3-5 antibody [EP762RY] (AB206314)
  • WB

Lab

Western blot - Anti-Cdk1-2-3-5 antibody [EP762RY] (AB206314)

All lanes:

Western blot - Anti-Cdk1-2-3-5 antibody [EP762RY] (ab206314) at 1/1000 dilution

Lane 1:

293T (Human embryonic kidney epithelial cell) transfected with an empty vector (vector control) containing a GFP-myc-tag®, whole cell lysate at 15 µg

Lane 2:

293T (Human embryonic kidney epithelial cell) transfected with CDK1 expression vector containing a GFP-myc-tag®, whole cell lysate at 15 µg

Lane 3:

293T (Human embryonic kidney epithelial cell) transfected with CDK2 expression vector containing a GFP-myc-tag®, whole cell lysate at 15 µg

Lane 4:

293T (Human embryonic kidney epithelial cell) whole cell lysate transfected with CDK3 with GFP-Myc tag at 15 µg

Lane 5:

293T (Human embryonic kidney epithelial cell) whole cell lysate transfected with CDK5 with GFP-Myc tag at 15 µg

Secondary

All lanes:

Western blot - Goat Anti-Rabbit IgG H&L (HRP) (<a href='/en-us/products/secondary-antibodies/goat-rabbit-igg-h-l-hrp-ab97051'>ab97051</a>) at 1/20000 dilution

Predicted band size: 33 kDa

Observed band size: 33 kDa

false

Western blot - Anti-Cdk1-2-3-5 antibody [EP762RY] (AB206314)
  • WB

Supplier Data

Western blot - Anti-Cdk1-2-3-5 antibody [EP762RY] (AB206314)

Blocking and diluting buffer and concentration : 5% NFDM/TBST.

All lanes:

Western blot - Anti-Cdk1-2-3-5 antibody [EP762RY] (ab206314) at 1/5000 dilution

Lane 1:

293T (Human embryonic kidney epithelial cell) transfected with an empty vector containing a GFP-myc-tag® whole cell lysate at 20 µg

Lane 2:

293T (Human embryonic kidney epithelial cell) transfected with CDK1 expression vector containing a GFP-myc-tag® whole cell lysate at 20 µg

Lane 3:

293T (Human embryonic kidney epithelial cell) transfected with CDK2 expression vector containing a GFP-myc-tag® whole cell lysate at 20 µg

Lane 4:

293T (Human embryonic kidney epithelial cell) transfected with CDK3 expression vector containing a GFP-myc-tag® whole cell lysate at 20 µg

Lane 5:

293T (Human embryonic kidney epithelial cell) transfected with CDK5 expression vector containing a GFP-myc-tag® whole cell lysate at 20 µg

Secondary

All lanes:

Western blot - Goat Anti-Rabbit IgG H&L (HRP) (<a href='/en-us/products/secondary-antibodies/goat-rabbit-igg-h-l-hrp-ab97051'>ab97051</a>) at 1/20000 dilution

false

Exposure time: 120s

  • Carrier free

    Anti-Cdk1-2-3-5 antibody [EP762RY] - BSA and Azide free

Key facts

Host species

Rabbit

Clonality

Monoclonal

Clone number

EP762RY

Isotype

IgG

Carrier free

No

Reacts with

Human

Applications

WB, IHC-P

applications

Immunogen

The exact immunogen used to generate this antibody is proprietary information.

Reactivity data

{ "title": "Reactivity Data", "filters": { "stats": ["", "Species", "Dilution Info", "Notes"], "tabs": { "all-applications": {"fullname" : "All Applications", "shortname": "All Applications"}, "IP" : {"fullname" : "Immunoprecipitation", "shortname":"IP"}, "FlowCyt" : {"fullname" : "Flow Cytometry", "shortname":"Flow Cyt"}, "IHCP" : {"fullname" : "Immunohistochemistry (Formalin/PFA-fixed paraffin-embedded sections)", "shortname":"IHC-P"}, "WB" : {"fullname" : "Western blot", "shortname":"WB"} }, "product-promise": { "all": "all", "testedAndGuaranteed": "tested", "guaranteed": "expected", "predicted": "predicted", "notRecommended": "not-recommended" } }, "values": { "Human": { "IP-species-checked": "notRecommended", "IP-species-dilution-info": "", "IP-species-notes": "<p></p>", "FlowCyt-species-checked": "notRecommended", "FlowCyt-species-dilution-info": "", "FlowCyt-species-notes": "<p></p>", "IHCP-species-checked": "testedAndGuaranteed", "IHCP-species-dilution-info": "1/500", "IHCP-species-notes": "<p><a href='/en-us/products/primary-antibodies/rabbit-igg-monoclonal-epr25a-isotype-control-ab172730'>ab172730</a> - Rabbit monoclonal IgG, is suitable for use as an isotype control with this antibody.</p> Perform heat-mediated antigen retrieval with citrate buffer pH 6 before commencing with IHC staining protocol.", "WB-species-checked": "testedAndGuaranteed", "WB-species-dilution-info": "1/5000", "WB-species-notes": "<p></p>" }, "Transfected cell lysate - Human": { "IP-species-checked": "notRecommended", "IP-species-dilution-info": "", "IP-species-notes": "", "FlowCyt-species-checked": "notRecommended", "FlowCyt-species-dilution-info": "", "FlowCyt-species-notes": "", "IHCP-species-checked": "notRecommended", "IHCP-species-dilution-info": "", "IHCP-species-notes": "", "WB-species-checked": "testedAndGuaranteed", "WB-species-dilution-info": "1/5000", "WB-species-notes": "<p></p>" } } }

Product details

Patented technology
Our RabMAb® technology is a patented hybridoma-based technology for making rabbit monoclonal antibodies. For details on our patents, please refer to RabMAb® patents.

What are the advantages of a recombinant monoclonal antibody?
This product is a recombinant monoclonal antibody, which offers several advantages including:

  • - High batch-to-batch consistency and reproducibility
  • - Improved sensitivity and specificity
  • - Long-term security of supply
  • - Animal-free batch production

For more information, read more on recombinant antibodies.

Properties and storage information

Form
Liquid
Purification technique
Affinity purification Protein A
Storage buffer
pH: 7.2 - 7.4 Preservative: 0.01% Sodium azide Constituents: PBS, 40% Glycerol (glycerin, glycerine), 0.05% BSA
Shipped at conditions
Blue Ice
Appropriate short-term storage duration
1-2 weeks
Appropriate short-term storage conditions
+4°C
Appropriate long-term storage conditions
-20°C
Aliquoting information
Upon delivery aliquot
Storage information
Avoid freeze / thaw cycle

Supplementary information

This supplementary information is collated from multiple sources and compiled automatically.

Cdk1 Cdk2 Cdk3 and Cdk5 also known as Cyclin-dependent kinases are essential regulators of the cell cycle. Cdk1 often called CDC2 has a molecular mass of approximately 34 kDa while Cdk2 Cdk3 and Cdk5 have similar masses. These proteins are serine/threonine kinases that become activated upon binding to specific cyclins with their expression most prominent in proliferating cells such as those in the brain and various tissues undergoing cell division. Cdk1 plays a role in G2-M transition in the cell cycle Cdk2 influences G1-S transition Cdk3 contributes to the entry into G1 and Cdk5 though not part of the traditional cell cycle is important in neuronal processes.
Biological function summary

Cyclin-dependent kinases drive essential cell cycle phases and are part of complex networks involving other cyclins. Cdk1 complexes with cyclin B to promote mitosis whereas Cdk2 typically interacts with cyclins A and E to facilitate DNA replication and S-phase entry. Cdk3 works less conventionally linking to transcriptional regulation mechanisms as well and Cdk5 often associated with p35 or p39 performs critical neuron-specific functions including synaptic signaling and neuronal development independently from the cell cycle.

Pathways

Cyclin-dependent kinases significantly impact the regulation of the cell cycle and apoptosis. They are vital in the p53 signaling pathway and cell cycle control pathway acting in coordination with retinoblastoma protein (Rb) and E2F transcription factors to regulate cell growth and repair. Cdk1 and Cdk2 share roles in checkpoint mechanisms for DNA damage ensuring genomic integrity before cell division. Cdk5 although not traditionally within cell cycle pathways influences pathways that affect neuroplasticity and neuron survival integrating with proteins such as tau and neurofilaments.

Cyclin-dependent kinases are critically linked to cancer and neurodegenerative diseases. In cancer their dysregulation especially Cdk1 and Cdk2 often leads to uncontrolled cell proliferation associated with cancer progression making them targets for anti-cancer therapies. In neurodegenerative conditions like Alzheimer's disease aberrant Cdk5 activity along with p25 formation can cause tau hyperphosphorylation contributing to neuronal dysfunction and death. Understanding these associations provides valuable insights into potential therapeutic strategies for managing these complex diseases.

Product protocols

For this product, it's our understanding that no specific protocols are required. You can visit:

Target data

Plays a key role in the control of the eukaryotic cell cycle by modulating the centrosome cycle as well as mitotic onset; promotes G2-M transition via association with multiple interphase cyclins (PubMed : 16407259, PubMed : 16933150, PubMed : 17459720, PubMed : 18356527, PubMed : 19509060, PubMed : 19917720, PubMed : 20171170, PubMed : 20935635, PubMed : 20937773, PubMed : 21063390, PubMed : 2188730, PubMed : 23355470, PubMed : 2344612, PubMed : 23601106, PubMed : 23602554, PubMed : 25556658, PubMed : 26829474, PubMed : 27814491, PubMed : 30139873, PubMed : 30704899, PubMed : 40440427). Phosphorylates PARVA/actopaxin, APC, AMPH, APC, ASB7, BARD1, Bcl-xL/BCL2L1, BRCA2, CALD1, CASP8, CDC7, CDC20, CDC25A, CDC25C, CC2D1A, CENPA, CSNK2 proteins/CKII, FZR1/CDH1, CDK7, CEBPB, CHAMP1, DMD/dystrophin, EEF1 proteins/EF-1, EZH2, KIF11/EG5, EGFR, FANCG, FOS, GFAP, GOLGA2/GM130, GRASP1, UBE2A/hHR6A, HIST1H1 proteins/histone H1, HMGA1, HIVEP3/KRC, UHRF1, KAT5, LMNA, LMNB, LBR, MKI67, LATS1, MAP1B, MAP4, MARCKS, MCM2, MCM4, MKLP1, MLST8, MYB, NEFH, NFIC, NPC/nuclear pore complex, PITPNM1/NIR2, NPM1, NCL, NUCKS1, NPM1/numatrin, ORC1, PRKAR2A, EEF1E1/p18, EIF3F/p47, p53/TP53, NONO/p54NRB, PAPOLA, PLEC/plectin, RB1, TPPP, UL40/R2, RAB4A, RAP1GAP, RBBP8/CtIP, RCC1, RPS6KB1/S6K1, KHDRBS1/SAM68, ESPL1, SKI, BIRC5/survivin, STIP1, TEX14, beta-tubulins, MAPT/TAU, NEDD1, VIM/vimentin, TK1, FOXO1, RUNX1/AML1, SAMHD1, SIRT2, CGAS and RUNX2 (PubMed : 16407259, PubMed : 16933150, PubMed : 17459720, PubMed : 18356527, PubMed : 19202191, PubMed : 19509060, PubMed : 19917720, PubMed : 20171170, PubMed : 20935635, PubMed : 20937773, PubMed : 21063390, PubMed : 2188730, PubMed : 22411829, PubMed : 23355470, PubMed : 2344612, PubMed : 23601106, PubMed : 23602554, PubMed : 25012651, PubMed : 25556658, PubMed : 26829474, PubMed : 27814491, PubMed : 30704899, PubMed : 32351706, PubMed : 34741373, PubMed : 40440427). CDK1/CDC2-cyclin-B controls pronuclear union in interphase fertilized eggs (PubMed : 18480403, PubMed : 20360007). Essential for early stages of embryonic development (PubMed : 18480403, PubMed : 20360007). During G2 and early mitosis, CDC25A/B/C-mediated dephosphorylation activates CDK1/cyclin complexes which phosphorylate several substrates that trigger at least centrosome separation, Golgi dynamics, nuclear envelope breakdown and chromosome condensation (PubMed : 18480403, PubMed : 20360007, PubMed : 2188730, PubMed : 2344612, PubMed : 30139873). Once chromosomes are condensed and aligned at the metaphase plate, CDK1 activity is switched off by WEE1- and PKMYT1-mediated phosphorylation to allow sister chromatid separation, chromosome decondensation, reformation of the nuclear envelope and cytokinesis (PubMed : 18480403, PubMed : 20360007). Phosphorylates KRT5 during prometaphase and metaphase (By similarity). Inactivated by PKR/EIF2AK2- and WEE1-mediated phosphorylation upon DNA damage to stop cell cycle and genome replication at the G2 checkpoint thus facilitating DNA repair (PubMed : 20360007). Reactivated after successful DNA repair through WIP1-dependent signaling leading to CDC25A/B/C-mediated dephosphorylation and restoring cell cycle progression (PubMed : 20395957). Catalyzes lamin (LMNA, LMNB1 and LMNB2) phosphorylation at the onset of mitosis, promoting nuclear envelope breakdown (PubMed : 2188730, PubMed : 2344612, PubMed : 37788673). In proliferating cells, CDK1-mediated FOXO1 phosphorylation at the G2-M phase represses FOXO1 interaction with 14-3-3 proteins and thereby promotes FOXO1 nuclear accumulation and transcription factor activity, leading to cell death of postmitotic neurons (PubMed : 18356527). The phosphorylation of beta-tubulins regulates microtubule dynamics during mitosis (PubMed : 16371510). NEDD1 phosphorylation promotes PLK1-mediated NEDD1 phosphorylation and subsequent targeting of the gamma-tubulin ring complex (gTuRC) to the centrosome, an important step for spindle formation (PubMed : 19509060). In addition, CC2D1A phosphorylation regulates CC2D1A spindle pole localization and association with SCC1/RAD21 and centriole cohesion during mitosis (PubMed : 20171170). The phosphorylation of Bcl-xL/BCL2L1 after prolongated G2 arrest upon DNA damage triggers apoptosis (PubMed : 19917720). In contrast, CASP8 phosphorylation during mitosis prevents its activation by proteolysis and subsequent apoptosis (PubMed : 20937773). This phosphorylation occurs in cancer cell lines, as well as in primary breast tissues and lymphocytes (PubMed : 20937773). EZH2 phosphorylation promotes H3K27me3 maintenance and epigenetic gene silencing (PubMed : 20935635). CALD1 phosphorylation promotes Schwann cell migration during peripheral nerve regeneration (By similarity). CDK1-cyclin-B complex phosphorylates NCKAP5L and mediates its dissociation from centrosomes during mitosis (PubMed : 26549230). Regulates the amplitude of the cyclic expression of the core clock gene BMAL1 by phosphorylating its transcriptional repressor NR1D1, and this phosphorylation is necessary for SCF(FBXW7)-mediated ubiquitination and proteasomal degradation of NR1D1 (PubMed : 27238018). Phosphorylates EML3 at 'Thr-881' which is essential for its interaction with HAUS augmin-like complex and TUBG1 (PubMed : 30723163). Phosphorylates CGAS during mitosis, leading to its inhibition, thereby preventing CGAS activation by self DNA during mitosis (PubMed : 32351706). Phosphorylates SKA3 on multiple sites during mitosis which promotes SKA3 binding to the NDC80 complex and anchoring of the SKA complex to kinetochores, to enable stable attachment of mitotic spindle microtubules to kinetochores (PubMed : 28479321, PubMed : 31804178, PubMed : 32491969).. (Microbial infection) Acts as a receptor for hepatitis C virus (HCV) in hepatocytes and facilitates its cell entry.
See full target information CDK1

Additional targets

CDK2,CDK3,CDK5

Publications (2)

Recent publications for all applications. Explore the full list and refine your search

Translational lung cancer research 14:1351-1370 PubMed40386722

2025

was stabilized through N-methyladenosine methylation and exerted its anticancer effects in lung squamous cell carcinoma by inhibiting SIRT1 activity via CCAR2.

Applications

Unspecified application

Species

Unspecified reactive species

Qihang Yan,Wingshing Wong,Jinsong Lei,Dachuan Liang,Jie Yang,Li Gong,Rossana Berardi,Shuqin Dai,Junye Wang

International journal of biological sciences 16:3149-3162 PubMed33162821

2020

Identification of a novel cancer stem cell subpopulation that promotes progression of human fatal renal cell carcinoma by single-cell RNA-seq analysis.

Applications

Unspecified application

Species

Unspecified reactive species

Xiu-Wu Pan,Hao Zhang,Da Xu,Jia-Xin Chen,Wen-Jin Chen,Si-Shun Gan,Fa-Jun Qu,Chuan-Min Chu,Jian-Wei Cao,Ying-Hui Fan,Xu Song,Jian-Qing Ye,Wang Zhou,Xin-Gang Cui
View all publications

Product promise

We are committed to supporting your work with high-quality reagents, and we're here for you every step of the way. In the unlikely event that one of our products does not perform as expected, you're protected by our Product Promise.
For full details, please see our Terms & Conditions

Please note: All products are 'FOR RESEARCH USE ONLY. NOT FOR USE IN DIAGNOSTIC OR THERAPEUTIC PROCEDURES'.

For licensing inquiries, please contact partnerships@abcam.com