JavaScript is disabled in your browser. Please enable JavaScript to view this website.
AB284857

Anti-Cdk1-2-3-5 antibody [EP762RY] - BSA and Azide free

Be the first to review this product! Submit a review

|

(0 Publication)

Rabbit Recombinant Monoclonal CDK5 antibody. Carrier free. Suitable for WB, IHC-P and reacts with Human, Transfected cell lysate samples.

View Alternative Names

CDKN5, PSSALRE, CDK5, Cyclin-dependent kinase 5, Cell division protein kinase 5, Cyclin-dependent-like kinase 5, Serine/threonine-protein kinase PSSALRE, Tau protein kinase II catalytic subunit, TPKII catalytic subunit

3 Images
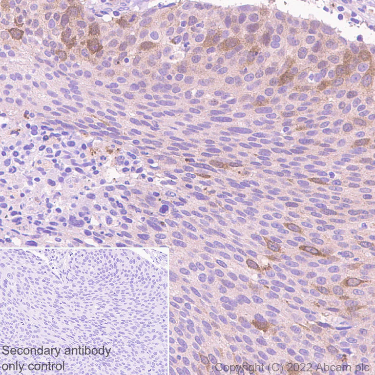
Immunohistochemistry (Formalin/PFA-fixed paraffin-embedded sections) - Anti-Cdk1-2-3-5 antibody [EP762RY] - BSA and Azide free (AB284857)
  • IHC-P

Supplier Data

Immunohistochemistry (Formalin/PFA-fixed paraffin-embedded sections) - Anti-Cdk1-2-3-5 antibody [EP762RY] - BSA and Azide free (AB284857)

Immunohistochemical analysis of paraffin-embedded Human lung carcinoma labeling Cdk1-2-3-5 with ab206314 at 1/500 (1.95 μg/ml) followed by Rabbit specific IHC polymer detection kit HRP/DAB (ab209101). The section was incubated with ab206314 for 30 mins at room temperature. The immunostaining was performed on a Leica Biosystems BOND® RX instrument. Counterstained with Hematoxylin. Heat mediated antigen retrieval with Tris-EDTA buffer (pH 9.0, epitope retrieval solution 2) for 20 mins.

Western blot - Anti-Cdk1-2-3-5 antibody [EP762RY] - BSA and Azide free (AB284857)
  • WB

Supplier Data

Western blot - Anti-Cdk1-2-3-5 antibody [EP762RY] - BSA and Azide free (AB284857)

Blocking and diluting buffer and concentration : 5% NFDM/TBST. Exposure : Lane 1 (180 seconds); Lane 2 (120 seconds).

All lanes:

Western blot - Anti-Cdk1-2-3-5 antibody [EP762RY] (<a href='/en-us/products/primary-antibodies/cdk1-2-3-5-antibody-ep762ry-ab206314'>ab206314</a>) at 1/5000 dilution

Lane 1:

HeLa (human cervix adenocarcinoma epithelial cell) whole cell lysate at 15 µg

Lane 2:

293T (Human embryonic kidney epithelial cell) whole cell lysate at 15 µg

Secondary

All lanes:

Western blot - Goat Anti-Rabbit IgG H&L (HRP) (<a href='/en-us/products/secondary-antibodies/goat-rabbit-igg-h-l-hrp-ab97051'>ab97051</a>) at 1/20000 dilution

false

Western blot - Anti-Cdk1-2-3-5 antibody [EP762RY] - BSA and Azide free (AB284857)
  • WB

Supplier Data

Western blot - Anti-Cdk1-2-3-5 antibody [EP762RY] - BSA and Azide free (AB284857)

Blocking and diluting buffer and concentration : 5% NFDM/TBST.

All lanes:

Western blot - Anti-Cdk1-2-3-5 antibody [EP762RY] (<a href='/en-us/products/primary-antibodies/cdk1-2-3-5-antibody-ep762ry-ab206314'>ab206314</a>) at 1/5000 dilution

Lane 1:

293T (Human embryonic kidney epithelial cell) transfected with an empty vector containing a GFP-myc-tag® whole cell lysate at 20 µg

Lane 2:

293T (Human embryonic kidney epithelial cell) transfected with CDK1 expression vector containing a GFP-myc-tag® whole cell lysate at 20 µg

Lane 3:

293T (Human embryonic kidney epithelial cell) transfected with CDK2 expression vector containing a GFP-myc-tag® whole cell lysate at 20 µg

Lane 4:

293T (Human embryonic kidney epithelial cell) transfected with CDK3 expression vector containing a GFP-myc-tag® whole cell lysate at 20 µg

Lane 5:

293T (Human embryonic kidney epithelial cell) transfected with CDK5 expression vector containing a GFP-myc-tag® whole cell lysate at 20 µg

Secondary

All lanes:

Western blot - Goat Anti-Rabbit IgG H&L (HRP) (<a href='/en-us/products/secondary-antibodies/goat-rabbit-igg-h-l-hrp-ab97051'>ab97051</a>) at 1/20000 dilution

false

Exposure time: 120s

Key facts

Host species

Rabbit

Clonality

Monoclonal

Clone number

EP762RY

Isotype

IgG

Carrier free

Yes

Reacts with

Human

Applications

WB, IHC-P

applications

Immunogen

The exact immunogen used to generate this antibody is proprietary information.

Reactivity data

{ "title": "Reactivity Data", "filters": { "stats": ["", "Species", "Dilution Info", "Notes"], "tabs": { "all-applications": {"fullname" : "All Applications", "shortname": "All Applications"}, "WB" : {"fullname" : "Western blot", "shortname":"WB"}, "IHCP" : {"fullname" : "Immunohistochemistry (Formalin/PFA-fixed paraffin-embedded sections)", "shortname":"IHC-P"}, "FlowCyt" : {"fullname" : "Flow Cytometry", "shortname":"Flow Cyt"}, "IP" : {"fullname" : "Immunoprecipitation", "shortname":"IP"} }, "product-promise": { "all": "all", "testedAndGuaranteed": "tested", "guaranteed": "expected", "predicted": "predicted", "notRecommended": "not-recommended" } }, "values": { "Human": { "WB-species-checked": "testedAndGuaranteed", "WB-species-dilution-info": "", "WB-species-notes": "<p></p>", "IHCP-species-checked": "testedAndGuaranteed", "IHCP-species-dilution-info": "", "IHCP-species-notes": "<p><a href='/en-us/products/primary-antibodies/rabbit-igg-monoclonal-epr25a-isotype-control-ab172730'>ab172730</a> - Rabbit monoclonal IgG, is suitable for use as an isotype control with this antibody.</p>", "FlowCyt-species-checked": "notRecommended", "FlowCyt-species-dilution-info": "", "FlowCyt-species-notes": "<p></p>", "IP-species-checked": "notRecommended", "IP-species-dilution-info": "", "IP-species-notes": "<p></p>" }, "Transfected cell lysate": { "WB-species-checked": "testedAndGuaranteed", "WB-species-dilution-info": "", "WB-species-notes": "<p></p>", "IHCP-species-checked": "notRecommended", "IHCP-species-dilution-info": "", "IHCP-species-notes": "", "FlowCyt-species-checked": "notRecommended", "FlowCyt-species-dilution-info": "", "FlowCyt-species-notes": "", "IP-species-checked": "notRecommended", "IP-species-dilution-info": "", "IP-species-notes": "" } } }

Product details

ab284857 is the carrier-free version of ab206314.

This product has switched from a hybridoma to recombinant production method on 30th September 2022.

Patented technology
Our RabMAb® technology is a patented hybridoma-based technology for making rabbit monoclonal antibodies. For details on our patents, please refer to RabMAb® patents.

Conjugation ready
Our carrier-free antibodies are typically supplied in a PBS-only formulation, purified and free of BSA, sodium azide and glycerol. This conjugation-ready format is designed for use with fluorochromes, metal isotopes, oligonucleotides, and enzymes, which makes them ideal for antibody labelling, functional and cell-based assays, flow-based assays (e.g. mass cytometry) and Multiplex Imaging applications.

Use our conjugation kits for antibody conjugates that are ready-to-use in as little as 20 minutes with 1 minute hands-on-time and 100% antibody recovery: available for fluorescent dyes, HRP, biotin and gold.

Compatibility
This product is compatible with the Maxpar® Antibody Labeling Kit from Fluidigm, without the need for antibody preparation. Maxpar® is a trademark of Fluidigm Canada Inc.

What are the advantages of a recombinant monoclonal antibody?
This product is a recombinant monoclonal antibody, which offers several advantages including:

  • - High batch-to-batch consistency and reproducibility
  • - Improved sensitivity and specificity
  • - Long-term security of supply
  • - Animal-free batch production

For more information, read more on recombinant antibodies.

Properties and storage information

Form
Liquid
Purification technique
Affinity purification Protein A
Storage buffer
pH: 7.2 - 7.4 Constituents: PBS
Shipped at conditions
Blue Ice
Appropriate short-term storage conditions
+4°C
Appropriate long-term storage conditions
+4°C

Supplementary information

This supplementary information is collated from multiple sources and compiled automatically.

Cdk1 Cdk2 Cdk3 and Cdk5 also known as Cyclin-dependent kinases are essential regulators of the cell cycle. Cdk1 often called CDC2 has a molecular mass of approximately 34 kDa while Cdk2 Cdk3 and Cdk5 have similar masses. These proteins are serine/threonine kinases that become activated upon binding to specific cyclins with their expression most prominent in proliferating cells such as those in the brain and various tissues undergoing cell division. Cdk1 plays a role in G2-M transition in the cell cycle Cdk2 influences G1-S transition Cdk3 contributes to the entry into G1 and Cdk5 though not part of the traditional cell cycle is important in neuronal processes.
Biological function summary

Cyclin-dependent kinases drive essential cell cycle phases and are part of complex networks involving other cyclins. Cdk1 complexes with cyclin B to promote mitosis whereas Cdk2 typically interacts with cyclins A and E to facilitate DNA replication and S-phase entry. Cdk3 works less conventionally linking to transcriptional regulation mechanisms as well and Cdk5 often associated with p35 or p39 performs critical neuron-specific functions including synaptic signaling and neuronal development independently from the cell cycle.

Pathways

Cyclin-dependent kinases significantly impact the regulation of the cell cycle and apoptosis. They are vital in the p53 signaling pathway and cell cycle control pathway acting in coordination with retinoblastoma protein (Rb) and E2F transcription factors to regulate cell growth and repair. Cdk1 and Cdk2 share roles in checkpoint mechanisms for DNA damage ensuring genomic integrity before cell division. Cdk5 although not traditionally within cell cycle pathways influences pathways that affect neuroplasticity and neuron survival integrating with proteins such as tau and neurofilaments.

Cyclin-dependent kinases are critically linked to cancer and neurodegenerative diseases. In cancer their dysregulation especially Cdk1 and Cdk2 often leads to uncontrolled cell proliferation associated with cancer progression making them targets for anti-cancer therapies. In neurodegenerative conditions like Alzheimer's disease aberrant Cdk5 activity along with p25 formation can cause tau hyperphosphorylation contributing to neuronal dysfunction and death. Understanding these associations provides valuable insights into potential therapeutic strategies for managing these complex diseases.

Product protocols

For this product, it's our understanding that no specific protocols are required. You can visit:

Target data

Proline-directed serine/threonine-protein kinase essential for neuronal cell cycle arrest and differentiation and may be involved in apoptotic cell death in neuronal diseases by triggering abortive cell cycle re-entry. Interacts with D1 and D3-type G1 cyclins. Phosphorylates SRC, NOS3, VIM/vimentin, p35/CDK5R1, MEF2A, SIPA1L1, SH3GLB1, PXN, PAK1, MCAM/MUC18, SEPT5, SYN1, DNM1, AMPH, SYNJ1, CDK16, RAC1, RHOA, CDC42, TONEBP/NFAT5, MAPT/TAU, MAP1B, histone H1, p53/TP53, HDAC1, APEX1, PTK2/FAK1, huntingtin/HTT, ATM, MAP2, NEFH and NEFM. Regulates several neuronal development and physiological processes including neuronal survival, migration and differentiation, axonal and neurite growth, synaptogenesis, oligodendrocyte differentiation, synaptic plasticity and neurotransmission, by phosphorylating key proteins. Negatively regulates the CACNA1B/CAV2.2 -mediated Ca(2+) release probability at hippocampal neuronal soma and synaptic terminals (By similarity). Activated by interaction with CDK5R1 (p35) and CDK5R2 (p39), especially in postmitotic neurons, and promotes CDK5R1 (p35) expression in an autostimulation loop. Phosphorylates many downstream substrates such as Rho and Ras family small GTPases (e.g. PAK1, RAC1, RHOA, CDC42) or microtubule-binding proteins (e.g. MAPT/TAU, MAP2, MAP1B), and modulates actin dynamics to regulate neurite growth and/or spine morphogenesis. Phosphorylates also exocytosis associated proteins such as MCAM/MUC18, SEPT5, SYN1, and CDK16/PCTAIRE1 as well as endocytosis associated proteins such as DNM1, AMPH and SYNJ1 at synaptic terminals. In the mature central nervous system (CNS), regulates neurotransmitter movements by phosphorylating substrates associated with neurotransmitter release and synapse plasticity; synaptic vesicle exocytosis, vesicles fusion with the presynaptic membrane, and endocytosis. Promotes cell survival by activating anti-apoptotic proteins BCL2 and STAT3, and negatively regulating of JNK3/MAPK10 activity. Phosphorylation of p53/TP53 in response to genotoxic and oxidative stresses enhances its stabilization by preventing ubiquitin ligase-mediated proteasomal degradation, and induces transactivation of p53/TP53 target genes, thus regulating apoptosis. Phosphorylation of p35/CDK5R1 enhances its stabilization by preventing calpain-mediated proteolysis producing p25/CDK5R1 and avoiding ubiquitin ligase-mediated proteasomal degradation. During aberrant cell-cycle activity and DNA damage, p25/CDK5 activity elicits cell-cycle activity and double-strand DNA breaks that precedes neuronal death by deregulating HDAC1. DNA damage triggered phosphorylation of huntingtin/HTT in nuclei of neurons protects neurons against polyglutamine expansion as well as DNA damage mediated toxicity. Phosphorylation of PXN reduces its interaction with PTK2/FAK1 in matrix-cell focal adhesions (MCFA) during oligodendrocytes (OLs) differentiation. Negative regulator of Wnt/beta-catenin signaling pathway. Activator of the GAIT (IFN-gamma-activated inhibitor of translation) pathway, which suppresses expression of a post-transcriptional regulon of proinflammatory genes in myeloid cells; phosphorylates the linker domain of glutamyl-prolyl tRNA synthetase (EPRS) in a IFN-gamma-dependent manner, the initial event in assembly of the GAIT complex. Phosphorylation of SH3GLB1 is required for autophagy induction in starved neurons. Phosphorylation of TONEBP/NFAT5 in response to osmotic stress mediates its rapid nuclear localization. MEF2 is inactivated by phosphorylation in nucleus in response to neurotoxin, thus leading to neuronal apoptosis. APEX1 AP-endodeoxyribonuclease is repressed by phosphorylation, resulting in accumulation of DNA damage and contributing to neuronal death. NOS3 phosphorylation down regulates NOS3-derived nitrite (NO) levels. SRC phosphorylation mediates its ubiquitin-dependent degradation and thus leads to cytoskeletal reorganization. May regulate endothelial cell migration and angiogenesis via the modulation of lamellipodia formation. Involved in dendritic spine morphogenesis by mediating the EFNA1-EPHA4 signaling. The complex p35/CDK5 participates in the regulation of the circadian clock by modulating the function of CLOCK protein : phosphorylates CLOCK at 'Thr-451' and 'Thr-461' and regulates the transcriptional activity of the CLOCK-BMAL1 heterodimer in association with altered stability and subcellular distribution.
See full target information CDK5

Product promise

We are committed to supporting your work with high-quality reagents, and we're here for you every step of the way. In the unlikely event that one of our products does not perform as expected, you're protected by our Product Promise.
For full details, please see our Terms & Conditions

Please note: All products are 'FOR RESEARCH USE ONLY. NOT FOR USE IN DIAGNOSTIC OR THERAPEUTIC PROCEDURES'.

For licensing inquiries, please contact partnerships@abcam.com