JavaScript is disabled in your browser. Please enable JavaScript to view this website.
AB234345

Anti-CDK1 antibody [A17.1.1]

Be the first to review this product! Submit a review

|

(0 Publication)

Mouse Monoclonal CDK1 antibody. Suitable for IHC-P and reacts with Human samples. Immunogen corresponding to Recombinant Fragment Protein within Human CDK1.

View Alternative Names

CDC2, CDC28A, CDKN1, P34CDC2, CDK1, Cyclin-dependent kinase 1, Cell division control protein 2 homolog, Cell division protein kinase 1, p34 protein kinase

1 Images
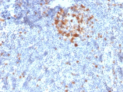
Immunohistochemistry (Formalin/PFA-fixed paraffin-embedded sections) - Anti-CDK1 antibody [A17.1.1] (AB234345)
  • IHC-P

Supplier Data

Immunohistochemistry (Formalin/PFA-fixed paraffin-embedded sections) - Anti-CDK1 antibody [A17.1.1] (AB234345)

Formalin-fixed, paraffin-embedded human tonsil tissue stained for CDK1 using ab234345 at 4 μg/ml in immunohistochemical analysis.

Key facts

Host species

Mouse

Clonality

Monoclonal

Clone number

A17.1.1

Isotype

IgG2a

Light chain type

kappa

Carrier free

No

Reacts with

Human

Applications

IHC-P

applications

Immunogen

Recombinant Fragment Protein within Human CDK1. The exact immunogen used to generate this antibody is proprietary information.

P06493

Reactivity data

{ "title": "Reactivity Data", "filters": { "stats": ["", "Species", "Dilution Info", "Notes"], "tabs": { "all-applications": {"fullname" : "All Applications", "shortname": "All Applications"}, "IHCP" : {"fullname" : "Immunohistochemistry (Formalin/PFA-fixed paraffin-embedded sections)", "shortname":"IHC-P"} }, "product-promise": { "all": "all", "testedAndGuaranteed": "tested", "guaranteed": "expected", "predicted": "predicted", "notRecommended": "not-recommended" } }, "values": { "Human": { "IHCP-species-checked": "testedAndGuaranteed", "IHCP-species-dilution-info": "2-4 µg/mL", "IHCP-species-notes": "<p>(Primary incubation for 30 min at room temperature).</p> Perform heat-mediated antigen retrieval with citrate buffer pH 6 before commencing with IHC staining protocol." }, "Mouse": { "IHCP-species-checked": "predicted", "IHCP-species-dilution-info": "", "IHCP-species-notes": "" }, "Rat": { "IHCP-species-checked": "predicted", "IHCP-species-dilution-info": "", "IHCP-species-notes": "" }, "Chicken": { "IHCP-species-checked": "predicted", "IHCP-species-dilution-info": "", "IHCP-species-notes": "" }, "Guinea pig": { "IHCP-species-checked": "predicted", "IHCP-species-dilution-info": "", "IHCP-species-notes": "" }, "Xenopus laevis": { "IHCP-species-checked": "predicted", "IHCP-species-dilution-info": "", "IHCP-species-notes": "" } } }

Properties and storage information

Form
Liquid
Purification technique
Affinity purification Protein A/G
Purification notes
Purified from Bioreactor Concentrate by Protein A/G.
Storage buffer
pH: 7.2 - 7.4 Preservative: 0.05% Sodium azide Constituents: PBS, 0.05% BSA
Shipped at conditions
Blue Ice
Appropriate short-term storage duration
1-2 weeks
Appropriate short-term storage conditions
+4°C
Appropriate long-term storage conditions
-20°C
Aliquoting information
Upon delivery aliquot
Storage information
Avoid freeze / thaw cycle

Product protocols

For this product, it's our understanding that no specific protocols are required. You can visit:

Target data

Plays a key role in the control of the eukaryotic cell cycle by modulating the centrosome cycle as well as mitotic onset; promotes G2-M transition via association with multiple interphase cyclins (PubMed : 16407259, PubMed : 16933150, PubMed : 17459720, PubMed : 18356527, PubMed : 19509060, PubMed : 19917720, PubMed : 20171170, PubMed : 20935635, PubMed : 20937773, PubMed : 21063390, PubMed : 2188730, PubMed : 23355470, PubMed : 2344612, PubMed : 23601106, PubMed : 23602554, PubMed : 25556658, PubMed : 26829474, PubMed : 27814491, PubMed : 30139873, PubMed : 30704899). Phosphorylates PARVA/actopaxin, APC, AMPH, APC, BARD1, Bcl-xL/BCL2L1, BRCA2, CALD1, CASP8, CDC7, CDC20, CDC25A, CDC25C, CC2D1A, CENPA, CSNK2 proteins/CKII, FZR1/CDH1, CDK7, CEBPB, CHAMP1, DMD/dystrophin, EEF1 proteins/EF-1, EZH2, KIF11/EG5, EGFR, FANCG, FOS, GFAP, GOLGA2/GM130, GRASP1, UBE2A/hHR6A, HIST1H1 proteins/histone H1, HMGA1, HIVEP3/KRC, KAT5, LMNA, LMNB, LBR, LATS1, MAP1B, MAP4, MARCKS, MCM2, MCM4, MKLP1, MLST8, MYB, NEFH, NFIC, NPC/nuclear pore complex, PITPNM1/NIR2, NPM1, NCL, NUCKS1, NPM1/numatrin, ORC1, PRKAR2A, EEF1E1/p18, EIF3F/p47, p53/TP53, NONO/p54NRB, PAPOLA, PLEC/plectin, RB1, TPPP, UL40/R2, RAB4A, RAP1GAP, RBBP8/CtIP, RCC1, RPS6KB1/S6K1, KHDRBS1/SAM68, ESPL1, SKI, BIRC5/survivin, STIP1, TEX14, beta-tubulins, MAPT/TAU, NEDD1, VIM/vimentin, TK1, FOXO1, RUNX1/AML1, SAMHD1, SIRT2, CGAS and RUNX2 (PubMed : 16407259, PubMed : 16933150, PubMed : 17459720, PubMed : 18356527, PubMed : 19202191, PubMed : 19509060, PubMed : 19917720, PubMed : 20171170, PubMed : 20935635, PubMed : 20937773, PubMed : 21063390, PubMed : 2188730, PubMed : 23355470, PubMed : 2344612, PubMed : 23601106, PubMed : 23602554, PubMed : 25556658, PubMed : 26829474, PubMed : 27814491, PubMed : 30704899, PubMed : 32351706, PubMed : 34741373). CDK1/CDC2-cyclin-B controls pronuclear union in interphase fertilized eggs (PubMed : 18480403, PubMed : 20360007). Essential for early stages of embryonic development (PubMed : 18480403, PubMed : 20360007). During G2 and early mitosis, CDC25A/B/C-mediated dephosphorylation activates CDK1/cyclin complexes which phosphorylate several substrates that trigger at least centrosome separation, Golgi dynamics, nuclear envelope breakdown and chromosome condensation (PubMed : 18480403, PubMed : 20360007, PubMed : 2188730, PubMed : 2344612, PubMed : 30139873). Once chromosomes are condensed and aligned at the metaphase plate, CDK1 activity is switched off by WEE1- and PKMYT1-mediated phosphorylation to allow sister chromatid separation, chromosome decondensation, reformation of the nuclear envelope and cytokinesis (PubMed : 18480403, PubMed : 20360007). Phosphorylates KRT5 during prometaphase and metaphase (By similarity). Inactivated by PKR/EIF2AK2- and WEE1-mediated phosphorylation upon DNA damage to stop cell cycle and genome replication at the G2 checkpoint thus facilitating DNA repair (PubMed : 20360007). Reactivated after successful DNA repair through WIP1-dependent signaling leading to CDC25A/B/C-mediated dephosphorylation and restoring cell cycle progression (PubMed : 20395957). Catalyzes lamin (LMNA, LMNB1 and LMNB2) phosphorylation at the onset of mitosis, promoting nuclear envelope breakdown (PubMed : 2188730, PubMed : 2344612, PubMed : 37788673). In proliferating cells, CDK1-mediated FOXO1 phosphorylation at the G2-M phase represses FOXO1 interaction with 14-3-3 proteins and thereby promotes FOXO1 nuclear accumulation and transcription factor activity, leading to cell death of postmitotic neurons (PubMed : 18356527). The phosphorylation of beta-tubulins regulates microtubule dynamics during mitosis (PubMed : 16371510). NEDD1 phosphorylation promotes PLK1-mediated NEDD1 phosphorylation and subsequent targeting of the gamma-tubulin ring complex (gTuRC) to the centrosome, an important step for spindle formation (PubMed : 19509060). In addition, CC2D1A phosphorylation regulates CC2D1A spindle pole localization and association with SCC1/RAD21 and centriole cohesion during mitosis (PubMed : 20171170). The phosphorylation of Bcl-xL/BCL2L1 after prolongated G2 arrest upon DNA damage triggers apoptosis (PubMed : 19917720). In contrast, CASP8 phosphorylation during mitosis prevents its activation by proteolysis and subsequent apoptosis (PubMed : 20937773). This phosphorylation occurs in cancer cell lines, as well as in primary breast tissues and lymphocytes (PubMed : 20937773). EZH2 phosphorylation promotes H3K27me3 maintenance and epigenetic gene silencing (PubMed : 20935635). CALD1 phosphorylation promotes Schwann cell migration during peripheral nerve regeneration (By similarity). CDK1-cyclin-B complex phosphorylates NCKAP5L and mediates its dissociation from centrosomes during mitosis (PubMed : 26549230). Regulates the amplitude of the cyclic expression of the core clock gene BMAL1 by phosphorylating its transcriptional repressor NR1D1, and this phosphorylation is necessary for SCF(FBXW7)-mediated ubiquitination and proteasomal degradation of NR1D1 (PubMed : 27238018). Phosphorylates EML3 at 'Thr-881' which is essential for its interaction with HAUS augmin-like complex and TUBG1 (PubMed : 30723163). Phosphorylates CGAS during mitosis, leading to its inhibition, thereby preventing CGAS activation by self DNA during mitosis (PubMed : 32351706). Phosphorylates SKA3 on multiple sites during mitosis which promotes SKA3 binding to the NDC80 complex and anchoring of the SKA complex to kinetochores, to enable stable attachment of mitotic spindle microtubules to kinetochores (PubMed : 28479321, PubMed : 31804178, PubMed : 32491969).. (Microbial infection) Acts as a receptor for hepatitis C virus (HCV) in hepatocytes and facilitates its cell entry.
See full target information CDK1

Product promise

We are committed to supporting your work with high-quality reagents, and we're here for you every step of the way. In the unlikely event that one of our products does not perform as expected, you're protected by our Product Promise.
For full details, please see our Terms & Conditions

Associated Products

Select an associated product type
Alternative Product
Primary Antibodies

AB203852

Alexa Fluor® 488 Anti-CDK1 antibody [A17]

primary-antibodies

alexa-fluor-488-cdk1-antibody-a17-ab203852

0

(0 reviews)

Alternative Product
Primary Antibodies

AB133327

Anti-CDK1 antibody [EPR165]

primary-antibodies

cdk1-antibody-epr165-ab133327

5

(4 reviews)

Alternative Product
Primary Antibodies

AB201008

Anti-CDK1 (phospho T161) + CDK2 / CDK3 (phospho T160) antibody [EPR19546]

primary-antibodies

cdk1-phospho-t161-cdk2-cdk3-phospho-t160-antibody-epr19546-ab201008

0

(0 reviews)

Alternative Product
Primary Antibodies

AB32094

Anti-CDK1 antibody [YE324]

primary-antibodies

cdk1-antibody-ye324-ab32094

5

(1 reviews)

Alternative Product
Primary Antibodies

AB264084

Anti-CDK1 antibody [A17] - BSA and Azide free

primary-antibodies

cdk1-antibody-a17-bsa-and-azide-free-ab264084

0

(0 reviews)

Alternative Product
Primary Antibodies

AB18

Anti-CDK1 antibody [A17]

primary-antibodies

cdk1-antibody-a17-ab18

5

(2 reviews)

Alternative Product
Primary Antibodies

AB224269

Anti-CDK1 antibody [EPR165] - BSA and Azide free

primary-antibodies

cdk1-antibody-epr165-bsa-and-azide-free-ab224269

0

(0 reviews)

Alternative Version
Primary Antibodies

AB236309

Anti-CDK1 antibody [A17.1.1] - BSA and Azide free

primary-antibodies

cdk1-antibody-a1711-bsa-and-azide-free-ab236309

0

(0 reviews)

Please note: All products are 'FOR RESEARCH USE ONLY. NOT FOR USE IN DIAGNOSTIC OR THERAPEUTIC PROCEDURES'.

For licensing inquiries, please contact partnerships@abcam.com