JavaScript is disabled in your browser. Please enable JavaScript to view this website.
AB251327

Anti-CDK1 (phospho T161) + CDK2 / CDK3 (phospho T160) antibody [EPR19546] - BSA and Azide free

Be the first to review this product! Submit a review

|

(0 Publication)

Rabbit Recombinant Monoclonal CDK1 phospho T161 antibody. Carrier free. Suitable for ICC/IF, IP, Dot, WB, IHC-P and reacts with Human, Mouse, Rat, Synthetic peptide samples.

View Alternative Names

CDC2, CDC28A, CDKN1, P34CDC2, CDK1, Cyclin-dependent kinase 1, Cell division control protein 2 homolog, Cell division protein kinase 1, p34 protein kinase

12 Images
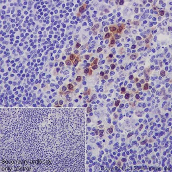
Immunohistochemistry (Formalin/PFA-fixed paraffin-embedded sections) - Anti-CDK1 (phospho T161) + CDK2 / CDK3 (phospho T160) antibody [EPR19546] - BSA and Azide free (AB251327)
  • IHC-P

Supplier Data

Immunohistochemistry (Formalin/PFA-fixed paraffin-embedded sections) - Anti-CDK1 (phospho T161) + CDK2 / CDK3 (phospho T160) antibody [EPR19546] - BSA and Azide free (AB251327)

This data was developed using ab201008, the same antibody clone in a different buffer formulation.

Immunohistochemical analysis of paraffin-embedded human tonsil tissue labeling CDK1 (phospho T161) with ab201008 at 1/500 dilution, followed by Goat Anti-Rabbit IgG H&L (HRP) (ab97051) at 1/500 dilution. Nucleus and weak cytoplasm staining of germinal center from human tonsil is observed. Counter stained with Hematoxylin.

Secondary antibody only control : Used PBS instead of primary antibody, secondary antibody is Goat Anti-Rabbit IgG H&L (HRP) (ab97051) at 1/500 dilution.

Heat mediated antigen retrieval was performed with Tris/EDTA buffer pH 9.0 before commencing with IHC staining protocol.

Immunocytochemistry/ Immunofluorescence - Anti-CDK1 (phospho T161) + CDK2 / CDK3 (phospho T160) antibody [EPR19546] - BSA and Azide free (AB251327)
  • ICC/IF

Supplier Data

Immunocytochemistry/ Immunofluorescence - Anti-CDK1 (phospho T161) + CDK2 / CDK3 (phospho T160) antibody [EPR19546] - BSA and Azide free (AB251327)

This data was developed using ab201008, the same antibody clone in a different buffer formulation.

Immunofluorescent analysis of 4% paraformaldehyde-fixed, 0.1% Triton X-100 permeabilized HeLa (human epithelial cell line from cervix adenocarcinoma) cells labeling CDK1 (phospho T161) with ab201008 at 1/100 dilution, followed by Goat Anti-Rabbit IgG H&L (Alexa Fluor® 488) (ab150077) secondary antibody at 1/1000 dilution (green). Confocal image showing specific signal in M phase cells. The signal decreased after treatment with lambda protein phosphatase 31°C for 5 hours.

The nuclear counter stain is DAPI (blue). Tubulin is detected with Anti-Alpha Tubulin antibody [DM1A] - Microtubule Marker (Alexa Fluor® 594) (ab195889) at 1/200 dilution (red).

Secondary antibody only control : Used PBS instead of primary antibody, secondary antibody is Goat Anti-Rabbit IgG H&L (Alexa Fluor® 488) (ab150077) at 1/1000 dilution.

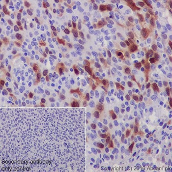
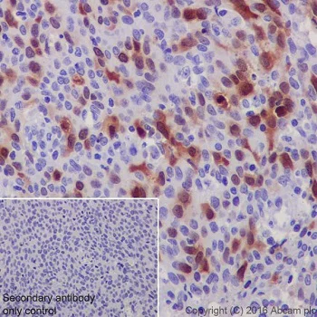
Immunohistochemistry (Formalin/PFA-fixed paraffin-embedded sections) - Anti-CDK1 (phospho T161) + CDK2 / CDK3 (phospho T160) antibody [EPR19546] - BSA and Azide free (AB251327)
  • IHC-P

Supplier Data

Immunohistochemistry (Formalin/PFA-fixed paraffin-embedded sections) - Anti-CDK1 (phospho T161) + CDK2 / CDK3 (phospho T160) antibody [EPR19546] - BSA and Azide free (AB251327)

This data was developed using ab201008, the same antibody clone in a different buffer formulation.

Immunohistochemical analysis of paraffin-embedded human cervix cancer tissue labeling CDK1 (phospho T161) with ab201008 at 1/500 dilution, followed by Goat Anti-Rabbit IgG H&L (HRP) (ab97051) at 1/500 dilution. Nucleus and cytoplasm staining of cancer cells from human cervix cancer is observed [PMID : 15623629]. Counter stained with Hematoxylin.

Secondary antibody only control : Used PBS instead of primary antibody, secondary antibody is Goat Anti-Rabbit IgG H&L (HRP) (ab97051) at 1/500 dilution.

Heat mediated antigen retrieval was performed with Tris/EDTA buffer pH 9.0 before commencing with IHC staining protocol.

Immunoprecipitation - Anti-CDK1 (phospho T161) + CDK2 / CDK3 (phospho T160) antibody [EPR19546] - BSA and Azide free (AB251327)
  • IP

Supplier Data

Immunoprecipitation - Anti-CDK1 (phospho T161) + CDK2 / CDK3 (phospho T160) antibody [EPR19546] - BSA and Azide free (AB251327)

This data was developed using ab201008, the same antibody clone in a different buffer formulation.

CDK1 (phospho T161) was immunoprecipitated from 0.35mg of HeLa (human epithelial cell line from cervix adenocarcinoma) whole cell lysate with ab201008 at 1/30 dilution. Western blot was performed from the immunoprecipitate using ab201008 at 1/1000 dilution. VeriBlot for IP Detection Reagent (HRP) (ab131366), was used for detection at 1/10000 dilution.

Lane 1 : HeLa treated with 25J/m2 UV for 1 hour whole cell lysate 10 μg (Input).

Lane 2 : ab201008 IP in HeLa treated with 25J/m2 UV for 1 hour whole cell lysate.

Lane 3 : Rabbit monoclonal IgG (ab172730) instead of ab201008 in HeLa treated with 25J/m2 UV for 1 hour whole cell lysate.

Blocking and dilution buffer : 5% NFDM/TBST.

Exposure time : 3 minutes.

All lanes:

Immunoprecipitation - Anti-CDK1 (phospho T161) + CDK2 / CDK3 (phospho T160) antibody [EPR19546] (<a href='/en-us/products/primary-antibodies/cdk1-phospho-t161-cdk2-cdk3-phospho-t160-antibody-epr19546-ab201008'>ab201008</a>)

true

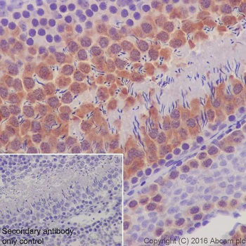
Immunohistochemistry (Formalin/PFA-fixed paraffin-embedded sections) - Anti-CDK1 (phospho T161) + CDK2 / CDK3 (phospho T160) antibody [EPR19546] - BSA and Azide free (AB251327)
  • IHC-P

Supplier Data

Immunohistochemistry (Formalin/PFA-fixed paraffin-embedded sections) - Anti-CDK1 (phospho T161) + CDK2 / CDK3 (phospho T160) antibody [EPR19546] - BSA and Azide free (AB251327)

This data was developed using ab201008, the same antibody clone in a different buffer formulation.

Immunohistochemical analysis of paraffin-embedded rat testis tissue labeling CDK1 (phospho T161) with ab201008 at 1/500 dilution, followed by Goat Anti-Rabbit IgG H&L (HRP) (ab97051) at 1/500 dilution. Nucleus and cytoplasm staining of rat testis is observed. Counter stained with Hematoxylin.

Secondary antibody only control : Used PBS instead of primary antibody, secondary antibody is Goat Anti-Rabbit IgG H&L (HRP) (ab97051) at 1/500 dilution.

Heat mediated antigen retrieval was performed with Tris/EDTA buffer pH 9.0 before commencing with IHC staining protocol.

Western blot - Anti-CDK1 (phospho T161) + CDK2 / CDK3 (phospho T160) antibody [EPR19546] - BSA and Azide free (AB251327)
  • WB

Supplier Data

Western blot - Anti-CDK1 (phospho T161) + CDK2 / CDK3 (phospho T160) antibody [EPR19546] - BSA and Azide free (AB251327)

This data was developed using ab201008, the same antibody clone in a different buffer formulation.

Blocking and dilution buffer : 5% NFDM/TBST.

All lanes:

Western blot - Anti-CDK1 (phospho T161) + CDK2 / CDK3 (phospho T160) antibody [EPR19546] (<a href='/en-us/products/primary-antibodies/cdk1-phospho-t161-cdk2-cdk3-phospho-t160-antibody-epr19546-ab201008'>ab201008</a>) at 1/1000 dilution

Lane 1:

HeLa (human epithelial cell line from cervix adenocarcinoma) whole cell lysate at 10 µg

Lane 2:

HeLa treated with UV for 90 minutes whole cell lysate at 10 µg

Lane 3:

HeLa treated with UV for 90 minutes then with alkaline phosphatase for 1-hour whole cell lysate at 10 µg

Lane 4:

HeLa treated with UV for 90 minutes then with alkaline phosphatase overnight whole cell lysate at 10 µg

Secondary

All lanes:

Western blot - Goat Anti-Rabbit IgG H&L (HRP) (<a href='/en-us/products/secondary-antibodies/goat-rabbit-igg-h-l-hrp-ab97051'>ab97051</a>) at 1/100000 dilution

Observed band size: 28 kDa,34 kDa

true

Exposure time: 15s

Western blot - Anti-CDK1 (phospho T161) + CDK2 / CDK3 (phospho T160) antibody [EPR19546] - BSA and Azide free (AB251327)
  • WB

Supplier Data

Western blot - Anti-CDK1 (phospho T161) + CDK2 / CDK3 (phospho T160) antibody [EPR19546] - BSA and Azide free (AB251327)

This data was developed using ab201008, the same antibody clone in a different buffer formulation.

Blocking and dilution buffer : 5% NFDM/TBST.

All lanes:

Western blot - Anti-CDK1 (phospho T161) + CDK2 / CDK3 (phospho T160) antibody [EPR19546] (<a href='/en-us/products/primary-antibodies/cdk1-phospho-t161-cdk2-cdk3-phospho-t160-antibody-epr19546-ab201008'>ab201008</a>) at 1/1000 dilution

Lane 1:

HeLa (human epithelial cell line from cervix adenocarcinoma) whole cell lysate at 10 µg

Lane 2:

HeLa treated with UV for 90 minutes whole cell lysate at 10 µg

Secondary

All lanes:

Western blot - Goat Anti-Rabbit IgG H&L (HRP) (<a href='/en-us/products/secondary-antibodies/goat-rabbit-igg-h-l-hrp-ab97051'>ab97051</a>) at 1/100000 dilution

Observed band size: 28 kDa,34 kDa

true

Exposure time: 30s

Western blot - Anti-CDK1 (phospho T161) + CDK2 / CDK3 (phospho T160) antibody [EPR19546] - BSA and Azide free (AB251327)
  • WB

Supplier Data

Western blot - Anti-CDK1 (phospho T161) + CDK2 / CDK3 (phospho T160) antibody [EPR19546] - BSA and Azide free (AB251327)

This data was developed using ab201008, the same antibody clone in a different buffer formulation.

Blocking and dilution buffer : 5% NFDM/TBST.

All lanes:

Western blot - Anti-CDK1 (phospho T161) + CDK2 / CDK3 (phospho T160) antibody [EPR19546] (<a href='/en-us/products/primary-antibodies/cdk1-phospho-t161-cdk2-cdk3-phospho-t160-antibody-epr19546-ab201008'>ab201008</a>) at 1/1000 dilution

Lane 1:

C6 (rat glial tumor cell line) whole cell lysate at 10 µg

Lane 2:

C6 treated with alkaline phosphatase for 1 hour whole cell lysate at 10 µg

Lane 3:

C6 treated with alkaline phosphatase overnight whole cell lysate at 10 µg

Secondary

All lanes:

Western blot - Goat Anti-Rabbit IgG H&L (HRP) (<a href='/en-us/products/secondary-antibodies/goat-rabbit-igg-h-l-hrp-ab97051'>ab97051</a>) at 1/100000 dilution

Observed band size: 28 kDa,34 kDa

true

Exposure time: 10s

Western blot - Anti-CDK1 (phospho T161) + CDK2 / CDK3 (phospho T160) antibody [EPR19546] - BSA and Azide free (AB251327)
  • WB

Supplier Data

Western blot - Anti-CDK1 (phospho T161) + CDK2 / CDK3 (phospho T160) antibody [EPR19546] - BSA and Azide free (AB251327)

This data was developed using ab201008, the same antibody clone in a different buffer formulation.

Blocking and dilution buffer : 5% NFDM/TBST.

All lanes:

Western blot - Anti-CDK1 (phospho T161) + CDK2 / CDK3 (phospho T160) antibody [EPR19546] (<a href='/en-us/products/primary-antibodies/cdk1-phospho-t161-cdk2-cdk3-phospho-t160-antibody-epr19546-ab201008'>ab201008</a>) at 1/1000 dilution

Lane 1:

NIH/3T3 (mouse embryo fibroblast cell line) whole cell lysate at 10 µg

Lane 2:

C6 (rat glial tumor cell line) whole cell lysate at 10 µg

Secondary

All lanes:

Western blot - Goat Anti-Rabbit IgG H&L (HRP) (<a href='/en-us/products/secondary-antibodies/goat-rabbit-igg-h-l-hrp-ab97051'>ab97051</a>) at 1/100000 dilution

Predicted band size: 35 kDa

Observed band size: 28 kDa

true

Exposure time: 3s

Dot Blot - Anti-CDK1 (phospho T161) + CDK2 / CDK3 (phospho T160) antibody [EPR19546] - BSA and Azide free (AB251327)
  • Dot

Supplier Data

Dot Blot - Anti-CDK1 (phospho T161) + CDK2 / CDK3 (phospho T160) antibody [EPR19546] - BSA and Azide free (AB251327)

This data was developed using ab201008, the same antibody clone in a different buffer formulation.

Dot blot analysis of CDK1 (phospho T161) labeled with ab201008 at 1/1000 dilution.

Lane 1 : CDK1 (phospho T161) phospho peptide.
Lane 2 : CDK1 non-phospho peptide.

Goat Anti-Rabbit IgG H&L (HRP) (ab97051) at 1/100000 dilution was used as secondary antibody.

Blocking and dilution buffer : 5% NFDM/TBST.

Exposure time : 3 minutes.

Dot Blot - Anti-CDK1 (phospho T161) + CDK2 / CDK3 (phospho T160) antibody [EPR19546] - BSA and Azide free (AB251327)
  • Dot

Supplier Data

Dot Blot - Anti-CDK1 (phospho T161) + CDK2 / CDK3 (phospho T160) antibody [EPR19546] - BSA and Azide free (AB251327)

This data was developed using ab201008, the same antibody clone in a different buffer formulation.

Dot blot analysis of CDK2 (phospho T160) labeled with ab201008 at 1/1000 dilution.

Lane 1 : CDK2 (phospho T160) phospho peptide.
Lane 2 : CDK2 non-phospho peptide.

Goat Anti-Rabbit IgG H&L (HRP) (ab97051) at 1/100000 dilution was used as secondary antibody.

Blocking and dilution buffer : 5% NFDM/TBST.

Exposure time : 3 minutes.

Dot Blot - Anti-CDK1 (phospho T161) + CDK2 / CDK3 (phospho T160) antibody [EPR19546] - BSA and Azide free (AB251327)
  • Dot

Supplier Data

Dot Blot - Anti-CDK1 (phospho T161) + CDK2 / CDK3 (phospho T160) antibody [EPR19546] - BSA and Azide free (AB251327)

This data was developed using ab201008, the same antibody clone in a different buffer formulation.

Dot blot analysis of CDK3 (phospho T160) labeled with ab201008 at 1/1000 dilution.

Lane 1 : CDK3 (phospho T160) phospho peptide.
Lane 2 : CDK3 non-phospho peptide.

Goat Anti-Rabbit IgG H&L (HRP) (ab97051) at 1/100000 dilution was used as secondary antibody.

Blocking and dilution buffer : 5% NFDM/TBST.

Exposure time : 3 minutes.

  • Unconjugated

    Anti-CDK1 (phospho T161) + CDK2 / CDK3 (phospho T160) antibody [EPR19546]

Key facts

Host species

Rabbit

Clonality

Monoclonal

Clone number

EPR19546

Isotype

IgG

Carrier free

Yes

Reacts with

Mouse, Rat, Human

Applications

IHC-P, Dot, IP, ICC/IF, WB

applications

Immunogen

The exact immunogen used to generate this antibody is proprietary information.

Specificity

This antibody also recognizes CDK2 (phospho T160) and CDK3 (phospho T160).

Reactivity data

{ "title": "Reactivity Data", "filters": { "stats": ["", "Species", "Dilution Info", "Notes"], "tabs": { "all-applications": {"fullname" : "All Applications", "shortname": "All Applications"}, "ICCIF" : {"fullname" : "Immunocytochemistry/ Immunofluorescence", "shortname":"ICC/IF"}, "IP" : {"fullname" : "Immunoprecipitation", "shortname":"IP"}, "Dot" : {"fullname" : "Dot Blot", "shortname":"Dot"}, "WB" : {"fullname" : "Western blot", "shortname":"WB"}, "IHCP" : {"fullname" : "Immunohistochemistry (Formalin/PFA-fixed paraffin-embedded sections)", "shortname":"IHC-P"} }, "product-promise": { "all": "all", "testedAndGuaranteed": "tested", "guaranteed": "expected", "predicted": "predicted", "notRecommended": "not-recommended" } }, "values": { "Human": { "ICCIF-species-checked": "testedAndGuaranteed", "ICCIF-species-dilution-info": "", "ICCIF-species-notes": "<p></p>", "IP-species-checked": "testedAndGuaranteed", "IP-species-dilution-info": "", "IP-species-notes": "<p></p>", "Dot-species-checked": "guaranteed", "Dot-species-dilution-info": "", "Dot-species-notes": "", "WB-species-checked": "testedAndGuaranteed", "WB-species-dilution-info": "", "WB-species-notes": "<p></p>", "IHCP-species-checked": "testedAndGuaranteed", "IHCP-species-dilution-info": "", "IHCP-species-notes": "<p>Recommended for human and rat only.</p>" }, "Mouse": { "ICCIF-species-checked": "guaranteed", "ICCIF-species-dilution-info": "", "ICCIF-species-notes": "", "IP-species-checked": "guaranteed", "IP-species-dilution-info": "", "IP-species-notes": "", "Dot-species-checked": "guaranteed", "Dot-species-dilution-info": "", "Dot-species-notes": "", "WB-species-checked": "testedAndGuaranteed", "WB-species-dilution-info": "", "WB-species-notes": "<p></p>", "IHCP-species-checked": "guaranteed", "IHCP-species-dilution-info": "", "IHCP-species-notes": "" }, "Rat": { "ICCIF-species-checked": "guaranteed", "ICCIF-species-dilution-info": "", "ICCIF-species-notes": "", "IP-species-checked": "guaranteed", "IP-species-dilution-info": "", "IP-species-notes": "", "Dot-species-checked": "guaranteed", "Dot-species-dilution-info": "", "Dot-species-notes": "", "WB-species-checked": "testedAndGuaranteed", "WB-species-dilution-info": "", "WB-species-notes": "<p></p>", "IHCP-species-checked": "testedAndGuaranteed", "IHCP-species-dilution-info": "", "IHCP-species-notes": "<p>Recommended for human and rat only.</p>" }, "Synthetic peptide": { "ICCIF-species-checked": "notRecommended", "ICCIF-species-dilution-info": "", "ICCIF-species-notes": "", "IP-species-checked": "notRecommended", "IP-species-dilution-info": "", "IP-species-notes": "", "Dot-species-checked": "testedAndGuaranteed", "Dot-species-dilution-info": "", "Dot-species-notes": "<p></p>", "WB-species-checked": "notRecommended", "WB-species-dilution-info": "", "WB-species-notes": "", "IHCP-species-checked": "notRecommended", "IHCP-species-dilution-info": "", "IHCP-species-notes": "" } } }

Product details

ab251327 is the carrier-free version of ab201008.

Patented technology
Our RabMAb® technology is a patented hybridoma-based technology for making rabbit monoclonal antibodies. For details on our patents, please refer to RabMAb® patents.

What are the advantages of a recombinant monoclonal antibody?
This product is a recombinant monoclonal antibody, which offers several advantages including:

  • - High batch-to-batch consistency and reproducibility
  • - Improved sensitivity and specificity
  • - Long-term security of supply
  • - Animal-free batch production

For more information, read more on recombinant antibodies.

Conjugation ready
Our carrier-free antibodies are typically supplied in a PBS-only formulation, purified and free of BSA, sodium azide and glycerol. This conjugation-ready format is designed for use with fluorochromes, metal isotopes, oligonucleotides, and enzymes, which makes them ideal for antibody labelling, functional and cell-based assays, flow-based assays (e.g. mass cytometry) and Multiplex Imaging applications.

Use our conjugation kits for antibody conjugates that are ready-to-use in as little as 20 minutes with 1 minute hands-on-time and 100% antibody recovery: available for fluorescent dyes, HRP, biotin and gold.

Compatibility
This product is compatible with the Maxpar® Antibody Labeling Kit from Fluidigm, without the need for antibody preparation. Maxpar® is a trademark of Fluidigm Canada Inc.

Properties and storage information

Form
Liquid
Purification technique
Affinity purification Protein A
Storage buffer
pH: 7.2 - 7.4 Constituents: PBS
Shipped at conditions
Blue Ice
Appropriate short-term storage conditions
+4°C
Appropriate long-term storage conditions
+4°C
Storage information
Do Not Freeze

Product protocols

For this product, it's our understanding that no specific protocols are required. You can visit:

Target data

Plays a key role in the control of the eukaryotic cell cycle by modulating the centrosome cycle as well as mitotic onset; promotes G2-M transition via association with multiple interphase cyclins (PubMed : 16407259, PubMed : 16933150, PubMed : 17459720, PubMed : 18356527, PubMed : 19509060, PubMed : 19917720, PubMed : 20171170, PubMed : 20935635, PubMed : 20937773, PubMed : 21063390, PubMed : 2188730, PubMed : 23355470, PubMed : 2344612, PubMed : 23601106, PubMed : 23602554, PubMed : 25556658, PubMed : 26829474, PubMed : 27814491, PubMed : 30139873, PubMed : 30704899). Phosphorylates PARVA/actopaxin, APC, AMPH, APC, BARD1, Bcl-xL/BCL2L1, BRCA2, CALD1, CASP8, CDC7, CDC20, CDC25A, CDC25C, CC2D1A, CENPA, CSNK2 proteins/CKII, FZR1/CDH1, CDK7, CEBPB, CHAMP1, DMD/dystrophin, EEF1 proteins/EF-1, EZH2, KIF11/EG5, EGFR, FANCG, FOS, GFAP, GOLGA2/GM130, GRASP1, UBE2A/hHR6A, HIST1H1 proteins/histone H1, HMGA1, HIVEP3/KRC, KAT5, LMNA, LMNB, LBR, LATS1, MAP1B, MAP4, MARCKS, MCM2, MCM4, MKLP1, MLST8, MYB, NEFH, NFIC, NPC/nuclear pore complex, PITPNM1/NIR2, NPM1, NCL, NUCKS1, NPM1/numatrin, ORC1, PRKAR2A, EEF1E1/p18, EIF3F/p47, p53/TP53, NONO/p54NRB, PAPOLA, PLEC/plectin, RB1, TPPP, UL40/R2, RAB4A, RAP1GAP, RBBP8/CtIP, RCC1, RPS6KB1/S6K1, KHDRBS1/SAM68, ESPL1, SKI, BIRC5/survivin, STIP1, TEX14, beta-tubulins, MAPT/TAU, NEDD1, VIM/vimentin, TK1, FOXO1, RUNX1/AML1, SAMHD1, SIRT2, CGAS and RUNX2 (PubMed : 16407259, PubMed : 16933150, PubMed : 17459720, PubMed : 18356527, PubMed : 19202191, PubMed : 19509060, PubMed : 19917720, PubMed : 20171170, PubMed : 20935635, PubMed : 20937773, PubMed : 21063390, PubMed : 2188730, PubMed : 23355470, PubMed : 2344612, PubMed : 23601106, PubMed : 23602554, PubMed : 25556658, PubMed : 26829474, PubMed : 27814491, PubMed : 30704899, PubMed : 32351706, PubMed : 34741373). CDK1/CDC2-cyclin-B controls pronuclear union in interphase fertilized eggs (PubMed : 18480403, PubMed : 20360007). Essential for early stages of embryonic development (PubMed : 18480403, PubMed : 20360007). During G2 and early mitosis, CDC25A/B/C-mediated dephosphorylation activates CDK1/cyclin complexes which phosphorylate several substrates that trigger at least centrosome separation, Golgi dynamics, nuclear envelope breakdown and chromosome condensation (PubMed : 18480403, PubMed : 20360007, PubMed : 2188730, PubMed : 2344612, PubMed : 30139873). Once chromosomes are condensed and aligned at the metaphase plate, CDK1 activity is switched off by WEE1- and PKMYT1-mediated phosphorylation to allow sister chromatid separation, chromosome decondensation, reformation of the nuclear envelope and cytokinesis (PubMed : 18480403, PubMed : 20360007). Phosphorylates KRT5 during prometaphase and metaphase (By similarity). Inactivated by PKR/EIF2AK2- and WEE1-mediated phosphorylation upon DNA damage to stop cell cycle and genome replication at the G2 checkpoint thus facilitating DNA repair (PubMed : 20360007). Reactivated after successful DNA repair through WIP1-dependent signaling leading to CDC25A/B/C-mediated dephosphorylation and restoring cell cycle progression (PubMed : 20395957). Catalyzes lamin (LMNA, LMNB1 and LMNB2) phosphorylation at the onset of mitosis, promoting nuclear envelope breakdown (PubMed : 2188730, PubMed : 2344612, PubMed : 37788673). In proliferating cells, CDK1-mediated FOXO1 phosphorylation at the G2-M phase represses FOXO1 interaction with 14-3-3 proteins and thereby promotes FOXO1 nuclear accumulation and transcription factor activity, leading to cell death of postmitotic neurons (PubMed : 18356527). The phosphorylation of beta-tubulins regulates microtubule dynamics during mitosis (PubMed : 16371510). NEDD1 phosphorylation promotes PLK1-mediated NEDD1 phosphorylation and subsequent targeting of the gamma-tubulin ring complex (gTuRC) to the centrosome, an important step for spindle formation (PubMed : 19509060). In addition, CC2D1A phosphorylation regulates CC2D1A spindle pole localization and association with SCC1/RAD21 and centriole cohesion during mitosis (PubMed : 20171170). The phosphorylation of Bcl-xL/BCL2L1 after prolongated G2 arrest upon DNA damage triggers apoptosis (PubMed : 19917720). In contrast, CASP8 phosphorylation during mitosis prevents its activation by proteolysis and subsequent apoptosis (PubMed : 20937773). This phosphorylation occurs in cancer cell lines, as well as in primary breast tissues and lymphocytes (PubMed : 20937773). EZH2 phosphorylation promotes H3K27me3 maintenance and epigenetic gene silencing (PubMed : 20935635). CALD1 phosphorylation promotes Schwann cell migration during peripheral nerve regeneration (By similarity). CDK1-cyclin-B complex phosphorylates NCKAP5L and mediates its dissociation from centrosomes during mitosis (PubMed : 26549230). Regulates the amplitude of the cyclic expression of the core clock gene BMAL1 by phosphorylating its transcriptional repressor NR1D1, and this phosphorylation is necessary for SCF(FBXW7)-mediated ubiquitination and proteasomal degradation of NR1D1 (PubMed : 27238018). Phosphorylates EML3 at 'Thr-881' which is essential for its interaction with HAUS augmin-like complex and TUBG1 (PubMed : 30723163). Phosphorylates CGAS during mitosis, leading to its inhibition, thereby preventing CGAS activation by self DNA during mitosis (PubMed : 32351706). Phosphorylates SKA3 on multiple sites during mitosis which promotes SKA3 binding to the NDC80 complex and anchoring of the SKA complex to kinetochores, to enable stable attachment of mitotic spindle microtubules to kinetochores (PubMed : 28479321, PubMed : 31804178, PubMed : 32491969).. (Microbial infection) Acts as a receptor for hepatitis C virus (HCV) in hepatocytes and facilitates its cell entry.
See full target information CDK1 phospho T161

Additional targets

CDK2 phospho T160,

Product promise

We are committed to supporting your work with high-quality reagents, and we're here for you every step of the way. In the unlikely event that one of our products does not perform as expected, you're protected by our Product Promise.
For full details, please see our Terms & Conditions

Please note: All products are 'FOR RESEARCH USE ONLY. NOT FOR USE IN DIAGNOSTIC OR THERAPEUTIC PROCEDURES'.

For licensing inquiries, please contact partnerships@abcam.com