JavaScript is disabled in your browser. Please enable JavaScript to view this website.
AB248508

Anti-CDK1 (pY15) + CDK2 (pY15) + CDK3 (pY15) + CDK5 (pY15) antibody [EPR7875] - BSA and Azide free

Be the first to review this product! Submit a review

|

(1 Publication)

Rabbit Recombinant Monoclonal CDK1 antibody. Carrier free. Suitable for IHC-P, ELISA, Dot, WB and reacts with Human, Mouse, Rat, Synthetic peptide - Human samples. Cited in 1 publication.

View Alternative Names

CDC2, CDC28A, CDKN1, P34CDC2, CDK1, Cyclin-dependent kinase 1, Cell division control protein 2 homolog, Cell division protein kinase 1, p34 protein kinase

14 Images
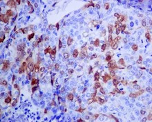
Immunohistochemistry (Formalin/PFA-fixed paraffin-embedded sections) - Anti-CDK1 (phospho Y15) + CDK2 (phospho Y15) + CDK3 (phospho Y15) + CDK5 (phospho Y15) antibody [EPR7875] - BSA and Azide free (AB248508)
  • IHC-P

Unknown

Immunohistochemistry (Formalin/PFA-fixed paraffin-embedded sections) - Anti-CDK1 (phospho Y15) + CDK2 (phospho Y15) + CDK3 (phospho Y15) + CDK5 (phospho Y15) antibody [EPR7875] - BSA and Azide free (AB248508)

This data was developed using ab133463, the same antibody clone in a different buffer formulation.

Immunohistochemical analysis of paraffin embedded human breast carcinoma tissue labelling CDK1+CDK2+CDK3+CDK5 with unpurified ab133463 at 1/50 dilution. Heat mediated antigen retrieval was performed with citrate buffer pH 6 before commencing with IHC staining protocol.

Immunohistochemistry (Formalin/PFA-fixed paraffin-embedded sections) - Anti-CDK1 (phospho Y15) + CDK2 (phospho Y15) + CDK3 (phospho Y15) + CDK5 (phospho Y15) antibody [EPR7875] - BSA and Azide free (AB248508)
  • IHC-P

Lab

Immunohistochemistry (Formalin/PFA-fixed paraffin-embedded sections) - Anti-CDK1 (phospho Y15) + CDK2 (phospho Y15) + CDK3 (phospho Y15) + CDK5 (phospho Y15) antibody [EPR7875] - BSA and Azide free (AB248508)

This data was developed using ab133463, the same antibody clone in a different buffer formulation.

Immunohistochemical staining of paraffin embedded human colon with purified ab133463 at a working dilution of 1 in 75. The secondary antibody used is a HRP polymer for rabbit IgG. The sample is counter-stained with hematoxylin. Antigen retrieval was perfomed using Tris-EDTA buffer, pH 9.0. PBS was used instead of the primary antibody as the negative control, and is shown in the inset.

Immunohistochemistry (Formalin/PFA-fixed paraffin-embedded sections) - Anti-CDK1 (phospho Y15) + CDK2 (phospho Y15) + CDK3 (phospho Y15) + CDK5 (phospho Y15) antibody [EPR7875] - BSA and Azide free (AB248508)
  • IHC-P

Lab

Immunohistochemistry (Formalin/PFA-fixed paraffin-embedded sections) - Anti-CDK1 (phospho Y15) + CDK2 (phospho Y15) + CDK3 (phospho Y15) + CDK5 (phospho Y15) antibody [EPR7875] - BSA and Azide free (AB248508)

This data was developed using ab133463, the same antibody clone in a different buffer formulation.

Immunohistochemical staining of paraffin embedded human colon with unpurified ab133463 at a working dilution of 1 in 50. The secondary antibody used is a HRP polymer for rabbit IgG. The sample is counter-stained with hematoxylin. Antigen retrieval was perfomed using Tris-EDTA buffer, pH 9.0. PBS was used instead of the primary antibody as the negative control, and is shown in the inset.

Western blot - Anti-CDK1 (phospho Y15) + CDK2 (phospho Y15) + CDK3 (phospho Y15) + CDK5 (phospho Y15) antibody [EPR7875] - BSA and Azide free (AB248508)
  • WB

Unknown

Western blot - Anti-CDK1 (phospho Y15) + CDK2 (phospho Y15) + CDK3 (phospho Y15) + CDK5 (phospho Y15) antibody [EPR7875] - BSA and Azide free (AB248508)

This data was developed using ab133463, the same antibody clone in a different buffer formulation.

All lanes:

Western blot - Anti-CDK1 (phospho Y15) + CDK2 (phospho Y15) + CDK3 (phospho Y15) + CDK5 (phospho Y15) antibody [EPR (<a href='/en-us/products/primary-antibodies/cdk1-phospho-y15-cdk2-phospho-y15-cdk3-phospho-y15-cdk5-phospho-y15-antibody-epr-ab133463'>ab133463</a>) at 1/1000 dilution

Lane 1:

HeLa cell lysate at 10 µg

Lane 2:

HeLa cell lysate treated with UV at 10 µg

Secondary

All lanes:

HRP labelled goat anti-rabbit IgG at 1/2000 dilution

Observed band size: 34 kDa

false

Western blot - Anti-CDK1 (phospho Y15) + CDK2 (phospho Y15) + CDK3 (phospho Y15) + CDK5 (phospho Y15) antibody [EPR7875] - BSA and Azide free (AB248508)
  • WB

Lab

Western blot - Anti-CDK1 (phospho Y15) + CDK2 (phospho Y15) + CDK3 (phospho Y15) + CDK5 (phospho Y15) antibody [EPR7875] - BSA and Azide free (AB248508)

This data was developed using ab133463, the same antibody clone in a different buffer formulation.

Saso2 cells were incubated at 37°C for 24 hours with vehicle control (0 μM) and different concentrations of Amifostine (ab141060). Decreased expression of CDK1 (phospho Y15) (unpurified ab133463) in Saso2 cells correlates with an increase in Amifostine concentration, as described in literature.

Whole cell lysates were prepared with RIPA buffer (containing protease inhibitors and sodium orthovanadate), 10μg of each were loaded on the gel and the WB was run under reducing conditions. After transfer the membrane was blocked for an hour using 5% BSA before being incubated with unpurified ab133463 at 1 μg/ml and ab32384 at 1 μg/ml overnight at 4°C. Antibody binding was detected using an anti-rabbit antibody conjugated to HRP (ab97051) at 1/10000 and visualised using ECL development solution.

All lanes:

Western blot - Anti-CDK1 (phospho Y15) + CDK2 (phospho Y15) + CDK3 (phospho Y15) + CDK5 (phospho Y15) antibody [EPR (<a href='/en-us/products/primary-antibodies/cdk1-phospho-y15-cdk2-phospho-y15-cdk3-phospho-y15-cdk5-phospho-y15-antibody-epr-ab133463'>ab133463</a>)

Observed band size: 34 kDa

true

Exposure time: 4min

Western blot - Anti-CDK1 (phospho Y15) + CDK2 (phospho Y15) + CDK3 (phospho Y15) + CDK5 (phospho Y15) antibody [EPR7875] - BSA and Azide free (AB248508)
  • WB

Lab

Western blot - Anti-CDK1 (phospho Y15) + CDK2 (phospho Y15) + CDK3 (phospho Y15) + CDK5 (phospho Y15) antibody [EPR7875] - BSA and Azide free (AB248508)

This data was developed using ab133463, the same antibody clone in a different buffer formulation.

Blocking and dilution buffer : 5% NFDM/TBST.

All lanes:

Western blot - Anti-CDK1 (phospho Y15) + CDK2 (phospho Y15) + CDK3 (phospho Y15) + CDK5 (phospho Y15) antibody [EPR (<a href='/en-us/products/primary-antibodies/cdk1-phospho-y15-cdk2-phospho-y15-cdk3-phospho-y15-cdk5-phospho-y15-antibody-epr-ab133463'>ab133463</a>) at 1/1000 dilution

All lanes:

HeLa cell lysate treated with UV at 10 µg

Secondary

All lanes:

HRP goat anti-rabbit (H+L) at 1/1000 dilution

Observed band size: 34 kDa

false

Western blot - Anti-CDK1 (phospho Y15) + CDK2 (phospho Y15) + CDK3 (phospho Y15) + CDK5 (phospho Y15) antibody [EPR7875] - BSA and Azide free (AB248508)
  • WB

Lab

Western blot - Anti-CDK1 (phospho Y15) + CDK2 (phospho Y15) + CDK3 (phospho Y15) + CDK5 (phospho Y15) antibody [EPR7875] - BSA and Azide free (AB248508)

This data was developed using ab133463, the same antibody clone in a different buffer formulation.

Blocking and dilution buffer : 5% NFDM/TBST.

All lanes:

Western blot - Anti-CDK1 (phospho Y15) + CDK2 (phospho Y15) + CDK3 (phospho Y15) + CDK5 (phospho Y15) antibody [EPR (<a href='/en-us/products/primary-antibodies/cdk1-phospho-y15-cdk2-phospho-y15-cdk3-phospho-y15-cdk5-phospho-y15-antibody-epr-ab133463'>ab133463</a>) at 1/1500 dilution

All lanes:

C6 cell lysate at 10 µg

Secondary

All lanes:

HRP goat anti-rabbit (H+L) at 1/1000 dilution

Observed band size: 34 kDa

false

Western blot - Anti-CDK1 (phospho Y15) + CDK2 (phospho Y15) + CDK3 (phospho Y15) + CDK5 (phospho Y15) antibody [EPR7875] - BSA and Azide free (AB248508)
  • WB

Lab

Western blot - Anti-CDK1 (phospho Y15) + CDK2 (phospho Y15) + CDK3 (phospho Y15) + CDK5 (phospho Y15) antibody [EPR7875] - BSA and Azide free (AB248508)

This data was developed using ab133463, the same antibody clone in a different buffer formulation.

Blocking and dilution buffer : 5% NFDM/TBST.

All lanes:

Western blot - Anti-CDK1 (phospho Y15) + CDK2 (phospho Y15) + CDK3 (phospho Y15) + CDK5 (phospho Y15) antibody [EPR (<a href='/en-us/products/primary-antibodies/cdk1-phospho-y15-cdk2-phospho-y15-cdk3-phospho-y15-cdk5-phospho-y15-antibody-epr-ab133463'>ab133463</a>) at 1/1500 dilution

All lanes:

NIH/3T3 cell lysate at 1/1000 dilution

Secondary

All lanes:

HRP goat anti-rabbit (H+L) at 1/1000 dilution

Observed band size: 34 kDa

false

Western blot - Anti-CDK1 (phospho Y15) + CDK2 (phospho Y15) + CDK3 (phospho Y15) + CDK5 (phospho Y15) antibody [EPR7875] - BSA and Azide free (AB248508)
  • WB

Lab

Western blot - Anti-CDK1 (phospho Y15) + CDK2 (phospho Y15) + CDK3 (phospho Y15) + CDK5 (phospho Y15) antibody [EPR7875] - BSA and Azide free (AB248508)

This data was developed using ab133463, the same antibody clone in a different buffer formulation.

Blocking and dilution buffer : 5% NFDM/TBST.

All lanes:

Western blot - Anti-CDK1 (phospho Y15) + CDK2 (phospho Y15) + CDK3 (phospho Y15) + CDK5 (phospho Y15) antibody [EPR (<a href='/en-us/products/primary-antibodies/cdk1-phospho-y15-cdk2-phospho-y15-cdk3-phospho-y15-cdk5-phospho-y15-antibody-epr-ab133463'>ab133463</a>) at 1/2000 dilution

All lanes:

NIH/3T3 cell lysate at 10 µg

Secondary

All lanes:

HRP goat anti-rabbit (H+L) at 1/1000 dilution

Observed band size: 34 kDa

false

Western blot - Anti-CDK1 (phospho Y15) + CDK2 (phospho Y15) + CDK3 (phospho Y15) + CDK5 (phospho Y15) antibody [EPR7875] - BSA and Azide free (AB248508)
  • WB

Lab

Western blot - Anti-CDK1 (phospho Y15) + CDK2 (phospho Y15) + CDK3 (phospho Y15) + CDK5 (phospho Y15) antibody [EPR7875] - BSA and Azide free (AB248508)

This data was developed using ab133463, the same antibody clone in a different buffer formulation.

Blocking and dilution buffer : 5% NFDM/TBST.

All lanes:

Western blot - Anti-CDK1 (phospho Y15) + CDK2 (phospho Y15) + CDK3 (phospho Y15) + CDK5 (phospho Y15) antibody [EPR (<a href='/en-us/products/primary-antibodies/cdk1-phospho-y15-cdk2-phospho-y15-cdk3-phospho-y15-cdk5-phospho-y15-antibody-epr-ab133463'>ab133463</a>) at 1/2000 dilution

All lanes:

C6 cell lysate at 10 µg

Secondary

All lanes:

HRP goat anti-rabbit (H+L) at 1/1000 dilution

Observed band size: 34 kDa

false

ELISA - Anti-CDK1 (pY15) + CDK2 (pY15) + CDK3 (pY15) + CDK5 (pY15) antibody [EPR7875] - BSA and Azide free (AB248508)
  • ELISA

Lab

ELISA - Anti-CDK1 (pY15) + CDK2 (pY15) + CDK3 (pY15) + CDK5 (pY15) antibody [EPR7875] - BSA and Azide free (AB248508)

This data was developed using ab133463, the same antibody clone in a different buffer formulation.

Direct ELISA antibody dose-response curve using purified ab133463 at 0-1000 ng/ml. Antigen concentration of 1000 ng/mL. An alkaline phosphatase-conjugated goat anti-rabbit IgG (H+L) (1/2500) was used as the secondary antibody.

ELISA - Anti-CDK1 (pY15) + CDK2 (pY15) + CDK3 (pY15) + CDK5 (pY15) antibody [EPR7875] - BSA and Azide free (AB248508)
  • ELISA

Lab

ELISA - Anti-CDK1 (pY15) + CDK2 (pY15) + CDK3 (pY15) + CDK5 (pY15) antibody [EPR7875] - BSA and Azide free (AB248508)

This data was developed using ab133463, the same antibody clone in a different buffer formulation.

Direct ELISA antibody dose-response curve using purified ab133463 at 0-1000 ng/ml. Antigen concentration of 1000 ng/mL. An alkaline phosphatase-conjugated goat anti-rabbit IgG (H+L) (1/2500) was used as the secondary antibody.

Dot Blot - Anti-CDK1 (pY15) + CDK2 (pY15) + CDK3 (pY15) + CDK5 (pY15) antibody [EPR7875] - BSA and Azide free (AB248508)
  • Dot

Lab

Dot Blot - Anti-CDK1 (pY15) + CDK2 (pY15) + CDK3 (pY15) + CDK5 (pY15) antibody [EPR7875] - BSA and Azide free (AB248508)

This data was developed using ab133463, the same antibody clone in a different buffer formulation.

Dot blot analysis of CDK1+CDK2+CDK3+CDK5 (pY15) phospho peptide (lane 1) and CDK1+CDK2+CDK3+CDK5 non-phospho peptide (lane 2) labelling CDK1+CDK2+CDK3+CDK5 (phospho Y15) with unpurified ab133463 at a dilution of 1/1000. A peroxidase-conjugated goat anti-rabbit IgG (H+L) was used as the secondary antibody (1/2500).

Blocking and dilution buffer : 5% NFDM/TBST.

Exposure time : 10 seconds.

OI-RD Scanning - Anti-CDK1 (pY15) + CDK2 (pY15) + CDK3 (pY15) + CDK5 (pY15) antibody [EPR7875] - BSA and Azide free (AB248508)
  • OI-RD Scanning

Unknown

OI-RD Scanning - Anti-CDK1 (pY15) + CDK2 (pY15) + CDK3 (pY15) + CDK5 (pY15) antibody [EPR7875] - BSA and Azide free (AB248508)

We have systematically measured KD (the equilibrium dissociation constant between the antibody and its antigen), of more than 840 recombinant antibodies to assess not only their individual KD values but also to see the average affinity of antibody. Based on the comparison with published literature values for mouse monoclonal antibodies, Recombinant antibodies appear to be on average 1-2 order of magnitude higher affinity.

  • Unconjugated

    Anti-CDK1 (phospho Y15) + CDK2 (phospho Y15) + CDK3 (phospho Y15) + CDK5 (phospho Y15) antibody [EPR

Key facts

Host species

Rabbit

Clonality

Monoclonal

Clone number

EPR7875

Isotype

IgG

Carrier free

Yes

Reacts with

Mouse, Rat, Human

Applications

Dot, ELISA, WB, IHC-P

applications

Immunogen

The exact immunogen used to generate this antibody is proprietary information.

Specificity

The antibody will cross-react with phosphorylated CDK1 (pY15), CDK2 (pY15), CDK3 (pY15) and CDK5 (pY15) but not with non-phosphorylated CDK1, CDK2, CDK3 and CDK5. Please see our ELISA results on the images section.

Reactivity data

{ "title": "Reactivity Data", "filters": { "stats": ["", "Species", "Dilution Info", "Notes"], "tabs": { "all-applications": {"fullname" : "All Applications", "shortname": "All Applications"}, "IHCP" : {"fullname" : "Immunohistochemistry (Formalin/PFA-fixed paraffin-embedded sections)", "shortname":"IHC-P"}, "ELISA" : {"fullname" : "ELISA", "shortname":"ELISA"}, "Dot" : {"fullname" : "Dot Blot", "shortname":"Dot"}, "WB" : {"fullname" : "Western blot", "shortname":"WB"} }, "product-promise": { "all": "all", "testedAndGuaranteed": "tested", "guaranteed": "expected", "predicted": "predicted", "notRecommended": "not-recommended" } }, "values": { "Human": { "IHCP-species-checked": "testedAndGuaranteed", "IHCP-species-dilution-info": "", "IHCP-species-notes": "<p></p>", "ELISA-species-checked": "guaranteed", "ELISA-species-dilution-info": "", "ELISA-species-notes": "", "Dot-species-checked": "guaranteed", "Dot-species-dilution-info": "", "Dot-species-notes": "", "WB-species-checked": "testedAndGuaranteed", "WB-species-dilution-info": "", "WB-species-notes": "<p></p>" }, "Mouse": { "IHCP-species-checked": "guaranteed", "IHCP-species-dilution-info": "", "IHCP-species-notes": "", "ELISA-species-checked": "guaranteed", "ELISA-species-dilution-info": "", "ELISA-species-notes": "", "Dot-species-checked": "guaranteed", "Dot-species-dilution-info": "", "Dot-species-notes": "", "WB-species-checked": "testedAndGuaranteed", "WB-species-dilution-info": "", "WB-species-notes": "<p></p>" }, "Rat": { "IHCP-species-checked": "guaranteed", "IHCP-species-dilution-info": "", "IHCP-species-notes": "", "ELISA-species-checked": "guaranteed", "ELISA-species-dilution-info": "", "ELISA-species-notes": "", "Dot-species-checked": "guaranteed", "Dot-species-dilution-info": "", "Dot-species-notes": "", "WB-species-checked": "testedAndGuaranteed", "WB-species-dilution-info": "", "WB-species-notes": "<p></p>" }, "Synthetic peptide - Human": { "IHCP-species-checked": "notRecommended", "IHCP-species-dilution-info": "", "IHCP-species-notes": "", "ELISA-species-checked": "testedAndGuaranteed", "ELISA-species-dilution-info": "", "ELISA-species-notes": "<p></p>", "Dot-species-checked": "testedAndGuaranteed", "Dot-species-dilution-info": "", "Dot-species-notes": "<p></p>", "WB-species-checked": "notRecommended", "WB-species-dilution-info": "", "WB-species-notes": "" } } }

Product details

ab248508 is the carrier-free version of ab133463.

Patented technology
Our RabMAb® technology is a patented hybridoma-based technology for making rabbit monoclonal antibodies. For details on our patents, please refer to RabMAb® patents.

What are the advantages of a recombinant monoclonal antibody?
This product is a recombinant monoclonal antibody, which offers several advantages including:

  • - High batch-to-batch consistency and reproducibility
  • - Improved sensitivity and specificity
  • - Long-term security of supply
  • - Animal-free batch production

For more information, read more on recombinant antibodies.

Conjugation ready
Our carrier-free antibodies are typically supplied in a PBS-only formulation, purified and free of BSA, sodium azide and glycerol. This conjugation-ready format is designed for use with fluorochromes, metal isotopes, oligonucleotides, and enzymes, which makes them ideal for antibody labelling, functional and cell-based assays, flow-based assays (e.g. mass cytometry) and Multiplex Imaging applications.

Use our conjugation kits for antibody conjugates that are ready-to-use in as little as 20 minutes with 1 minute hands-on-time and 100% antibody recovery: available for fluorescent dyes, HRP, biotin and gold.

Compatibility
This product is compatible with the Maxpar® Antibody Labeling Kit from Fluidigm, without the need for antibody preparation. Maxpar® is a trademark of Fluidigm Canada Inc.

Properties and storage information

Form
Liquid
Purification technique
Affinity purification Protein A
Storage buffer
pH: 7.2 - 7.4 Constituents: PBS
Shipped at conditions
Blue Ice
Appropriate short-term storage conditions
+4°C
Appropriate long-term storage conditions
+4°C
Storage information
Do Not Freeze

Product protocols

For this product, it's our understanding that no specific protocols are required. You can visit:

Target data

Plays a key role in the control of the eukaryotic cell cycle by modulating the centrosome cycle as well as mitotic onset; promotes G2-M transition via association with multiple interphase cyclins (PubMed : 16407259, PubMed : 16933150, PubMed : 17459720, PubMed : 18356527, PubMed : 19509060, PubMed : 19917720, PubMed : 20171170, PubMed : 20935635, PubMed : 20937773, PubMed : 21063390, PubMed : 2188730, PubMed : 23355470, PubMed : 2344612, PubMed : 23601106, PubMed : 23602554, PubMed : 25556658, PubMed : 26829474, PubMed : 27814491, PubMed : 30139873, PubMed : 30704899). Phosphorylates PARVA/actopaxin, APC, AMPH, APC, BARD1, Bcl-xL/BCL2L1, BRCA2, CALD1, CASP8, CDC7, CDC20, CDC25A, CDC25C, CC2D1A, CENPA, CSNK2 proteins/CKII, FZR1/CDH1, CDK7, CEBPB, CHAMP1, DMD/dystrophin, EEF1 proteins/EF-1, EZH2, KIF11/EG5, EGFR, FANCG, FOS, GFAP, GOLGA2/GM130, GRASP1, UBE2A/hHR6A, HIST1H1 proteins/histone H1, HMGA1, HIVEP3/KRC, KAT5, LMNA, LMNB, LBR, LATS1, MAP1B, MAP4, MARCKS, MCM2, MCM4, MKLP1, MLST8, MYB, NEFH, NFIC, NPC/nuclear pore complex, PITPNM1/NIR2, NPM1, NCL, NUCKS1, NPM1/numatrin, ORC1, PRKAR2A, EEF1E1/p18, EIF3F/p47, p53/TP53, NONO/p54NRB, PAPOLA, PLEC/plectin, RB1, TPPP, UL40/R2, RAB4A, RAP1GAP, RBBP8/CtIP, RCC1, RPS6KB1/S6K1, KHDRBS1/SAM68, ESPL1, SKI, BIRC5/survivin, STIP1, TEX14, beta-tubulins, MAPT/TAU, NEDD1, VIM/vimentin, TK1, FOXO1, RUNX1/AML1, SAMHD1, SIRT2, CGAS and RUNX2 (PubMed : 16407259, PubMed : 16933150, PubMed : 17459720, PubMed : 18356527, PubMed : 19202191, PubMed : 19509060, PubMed : 19917720, PubMed : 20171170, PubMed : 20935635, PubMed : 20937773, PubMed : 21063390, PubMed : 2188730, PubMed : 23355470, PubMed : 2344612, PubMed : 23601106, PubMed : 23602554, PubMed : 25556658, PubMed : 26829474, PubMed : 27814491, PubMed : 30704899, PubMed : 32351706, PubMed : 34741373). CDK1/CDC2-cyclin-B controls pronuclear union in interphase fertilized eggs (PubMed : 18480403, PubMed : 20360007). Essential for early stages of embryonic development (PubMed : 18480403, PubMed : 20360007). During G2 and early mitosis, CDC25A/B/C-mediated dephosphorylation activates CDK1/cyclin complexes which phosphorylate several substrates that trigger at least centrosome separation, Golgi dynamics, nuclear envelope breakdown and chromosome condensation (PubMed : 18480403, PubMed : 20360007, PubMed : 2188730, PubMed : 2344612, PubMed : 30139873). Once chromosomes are condensed and aligned at the metaphase plate, CDK1 activity is switched off by WEE1- and PKMYT1-mediated phosphorylation to allow sister chromatid separation, chromosome decondensation, reformation of the nuclear envelope and cytokinesis (PubMed : 18480403, PubMed : 20360007). Phosphorylates KRT5 during prometaphase and metaphase (By similarity). Inactivated by PKR/EIF2AK2- and WEE1-mediated phosphorylation upon DNA damage to stop cell cycle and genome replication at the G2 checkpoint thus facilitating DNA repair (PubMed : 20360007). Reactivated after successful DNA repair through WIP1-dependent signaling leading to CDC25A/B/C-mediated dephosphorylation and restoring cell cycle progression (PubMed : 20395957). Catalyzes lamin (LMNA, LMNB1 and LMNB2) phosphorylation at the onset of mitosis, promoting nuclear envelope breakdown (PubMed : 2188730, PubMed : 2344612, PubMed : 37788673). In proliferating cells, CDK1-mediated FOXO1 phosphorylation at the G2-M phase represses FOXO1 interaction with 14-3-3 proteins and thereby promotes FOXO1 nuclear accumulation and transcription factor activity, leading to cell death of postmitotic neurons (PubMed : 18356527). The phosphorylation of beta-tubulins regulates microtubule dynamics during mitosis (PubMed : 16371510). NEDD1 phosphorylation promotes PLK1-mediated NEDD1 phosphorylation and subsequent targeting of the gamma-tubulin ring complex (gTuRC) to the centrosome, an important step for spindle formation (PubMed : 19509060). In addition, CC2D1A phosphorylation regulates CC2D1A spindle pole localization and association with SCC1/RAD21 and centriole cohesion during mitosis (PubMed : 20171170). The phosphorylation of Bcl-xL/BCL2L1 after prolongated G2 arrest upon DNA damage triggers apoptosis (PubMed : 19917720). In contrast, CASP8 phosphorylation during mitosis prevents its activation by proteolysis and subsequent apoptosis (PubMed : 20937773). This phosphorylation occurs in cancer cell lines, as well as in primary breast tissues and lymphocytes (PubMed : 20937773). EZH2 phosphorylation promotes H3K27me3 maintenance and epigenetic gene silencing (PubMed : 20935635). CALD1 phosphorylation promotes Schwann cell migration during peripheral nerve regeneration (By similarity). CDK1-cyclin-B complex phosphorylates NCKAP5L and mediates its dissociation from centrosomes during mitosis (PubMed : 26549230). Regulates the amplitude of the cyclic expression of the core clock gene BMAL1 by phosphorylating its transcriptional repressor NR1D1, and this phosphorylation is necessary for SCF(FBXW7)-mediated ubiquitination and proteasomal degradation of NR1D1 (PubMed : 27238018). Phosphorylates EML3 at 'Thr-881' which is essential for its interaction with HAUS augmin-like complex and TUBG1 (PubMed : 30723163). Phosphorylates CGAS during mitosis, leading to its inhibition, thereby preventing CGAS activation by self DNA during mitosis (PubMed : 32351706). Phosphorylates SKA3 on multiple sites during mitosis which promotes SKA3 binding to the NDC80 complex and anchoring of the SKA complex to kinetochores, to enable stable attachment of mitotic spindle microtubules to kinetochores (PubMed : 28479321, PubMed : 31804178, PubMed : 32491969).. (Microbial infection) Acts as a receptor for hepatitis C virus (HCV) in hepatocytes and facilitates its cell entry.
See full target information CDK1

Additional targets

CDK1,CDK3,CDK5 phospho Y15

Publications (1)

Recent publications for all applications. Explore the full list and refine your search

BioMed research international 2022:9940566 PubMed35127947

2022

Prognostic Bone Metastasis-Associated Immune-Related Genes Regulated by Transcription Factors in Mesothelioma.

Applications

Unspecified application

Species

Unspecified reactive species

Zhiquan Hao,Siqiao Wang,Zixuan Zheng,Jiehan Li,Wanting Fu,Donglin Han,Yinrou Huang,Qing Lin,Shuyuan Xian,Penghui Yan,Man Li,Ruoyi Lin,Tong Meng,Jie Zhang,Zongqiang Huang
View all publications

Product promise

We are committed to supporting your work with high-quality reagents, and we're here for you every step of the way. In the unlikely event that one of our products does not perform as expected, you're protected by our Product Promise.
For full details, please see our Terms & Conditions

Please note: All products are 'FOR RESEARCH USE ONLY. NOT FOR USE IN DIAGNOSTIC OR THERAPEUTIC PROCEDURES'.

For licensing inquiries, please contact partnerships@abcam.com