JavaScript is disabled in your browser. Please enable JavaScript to view this website.
AB317746

Anti-CDK12 antibody [EPR29009-30]

  • BOND RX™ Validated
  • 20ul selling size
  • Recombinant
  • RabMAb
  • What is this?

Be the first to review this product! Submit a review

|

(1 Publication)

Rabbit Recombinant Monoclonal CDK12 antibody. Suitable for IHC-P, WB, IP and reacts with Human, Mouse, Rat samples. Cited in 1 publication.

View Alternative Names

CRK7, CRKRS, KIAA0904, CDK12, Cyclin-dependent kinase 12, Cell division cycle 2-related protein kinase 7, Cell division protein kinase 12, CrkRS, CDC2-related protein kinase 7, hCDK12

12 Images
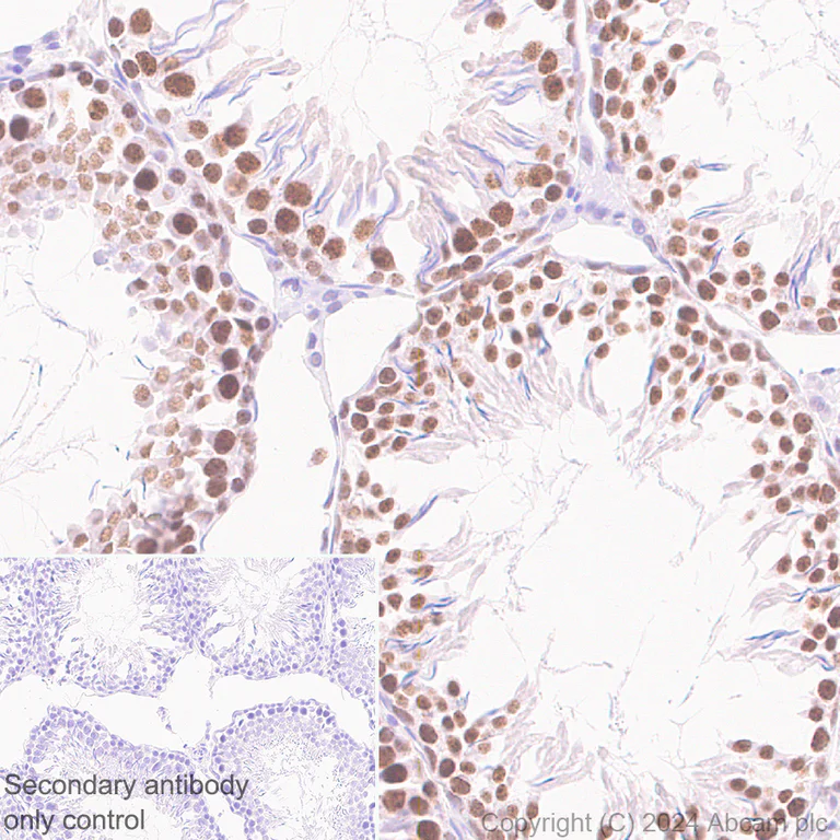
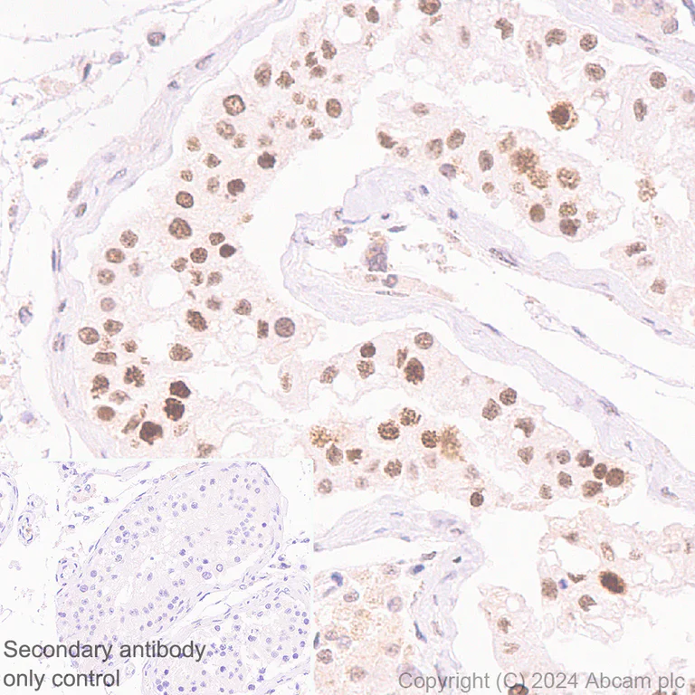
Immunohistochemistry (Formalin/PFA-fixed paraffin-embedded sections) - Anti-CDK12 antibody [EPR29009-30] (AB317746)
  • IHC-P

Supplier Data

Immunohistochemistry (Formalin/PFA-fixed paraffin-embedded sections) - Anti-CDK12 antibody [EPR29009-30] (AB317746)

Immunohistochemical analysis of paraffin-embedded Human testis tissue labeling CDK12 with ab317746 at 1/500 (0.99 ug/ml) dilution, followed by a ready to use Rabbit specific IHC polymer detection kit HRP/DAB (ab209101).

Positive staining on human testis. The section was incubated with ab317746 for 30 mins at room temperature.
The immunostaining was performed on a Leica Biosystems BOND® RX instrument

Counterstained with Hematoxylin.

Secondary antibody only control : Secondary antibody is a ready to use Rabbit specific IHC polymer detection kit HRP/DAB (ab209101).

Heat mediated antigen retrieval was performed with Tris-EDTA buffer (pH 9.0, Epitope Retrieval Solution2) for 20 mins

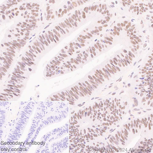
Immunohistochemistry (Formalin/PFA-fixed paraffin-embedded sections) - Anti-CDK12 antibody [EPR29009-30] (AB317746)
  • IHC-P

Supplier Data

Immunohistochemistry (Formalin/PFA-fixed paraffin-embedded sections) - Anti-CDK12 antibody [EPR29009-30] (AB317746)

Immunohistochemical analysis of paraffin-embedded Human stomach tissue labeling CDK12 with ab317746 at 1/500 (0.99 ug/ml) dilution, followed by a ready to use Rabbit specific IHC polymer detection kit HRP/DAB (ab209101).

Positive staining on human stomach. The section was incubated with ab317746 for 30 mins at room temperature.
The immunostaining was performed on a Leica Biosystems BOND® RX instrument

Counterstained with Hematoxylin.

Secondary antibody only control : Secondary antibody is a ready to use Rabbit specific IHC polymer detection kit HRP/DAB (ab209101).

Heat mediated antigen retrieval was performed with Tris-EDTA buffer (pH 9.0, Epitope Retrieval Solution2) for 20 mins

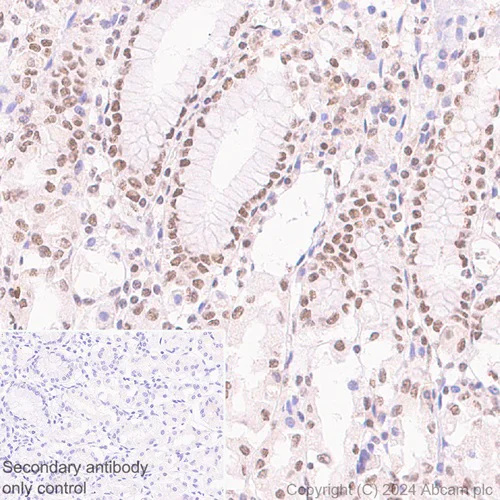
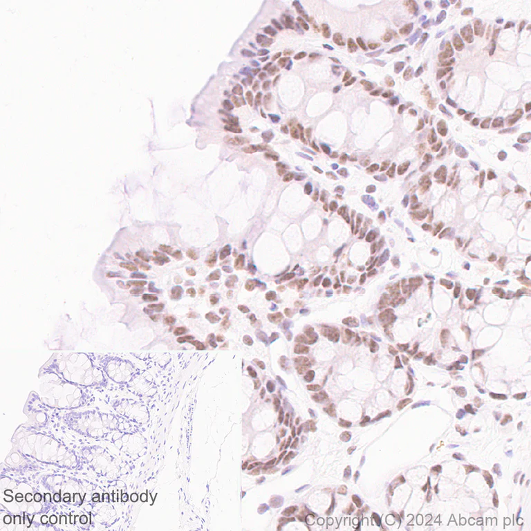
Immunohistochemistry (Formalin/PFA-fixed paraffin-embedded sections) - Anti-CDK12 antibody [EPR29009-30] (AB317746)
  • IHC-P

Supplier Data

Immunohistochemistry (Formalin/PFA-fixed paraffin-embedded sections) - Anti-CDK12 antibody [EPR29009-30] (AB317746)

Immunohistochemical analysis of paraffin-embedded Human colon carcinoma tissue labeling CDK12 with ab317746 at 1/500 (0.99 ug/ml) dilution, followed by a ready to use Rabbit specific IHC polymer detection kit HRP/DAB (ab209101).

Positive staining on human colon carcinoma. The section was incubated with ab317746 for 30 mins at room temperature.
The immunostaining was performed on a Leica Biosystems BOND® RX instrument

Counterstained with Hematoxylin.

Secondary antibody only control : Secondary antibody is a ready to use Rabbit specific IHC polymer detection kit HRP/DAB (ab209101).

Heat mediated antigen retrieval was performed with Tris-EDTA buffer (pH 9.0, Epitope Retrieval Solution2) for 20 mins

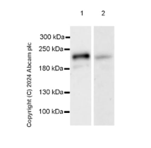
Immunoprecipitation - Anti-CDK12 antibody [EPR29009-30] (AB317746)
  • IP

Supplier Data

Immunoprecipitation - Anti-CDK12 antibody [EPR29009-30] (AB317746)

CDK12 was immunoprecipitated from 0.35 mg 293T (human embryonic kidney epithelial cell) whole cell fresh lysate with ab317746 at 1/30 dilution (2ug in 0.35mg lysates). Western blot was performed on the immunoprecipitate using ab317746 at 1/1000 dilution. VeriBlot for IP secondary antibody(HRP)(ab131366) was used at 1/5000 dilution.

Lane 1 : 293T (human embryonic kidney epithelial cell) whole cell fresh lysate
Lane 2 : ab317746 IP in 293T (human embryonic kidney epithelial cell) whole cell fresh lysate
Lane 3 : Rabbit monoclonal IgG (ab172730) instead of ab317746 in 293T whole cell fresh lysate

All lanes:

Immunoprecipitation - Anti-CDK12 antibody [EPR29009-30] (ab317746) at 1/30 dilution

All lanes:

293T (human embryonic kidney epithelial cell) whole cell fresh lysate

Secondary

All lanes:

Immunoprecipitation - VeriBlot for IP Detection Reagent (HRP) (<a href='/en-us/products/reagents/veriblot-for-ip-detection-reagent-hrp-ab131366'>ab131366</a>) at 1/5000 dilution

false

Exposure time: 180s

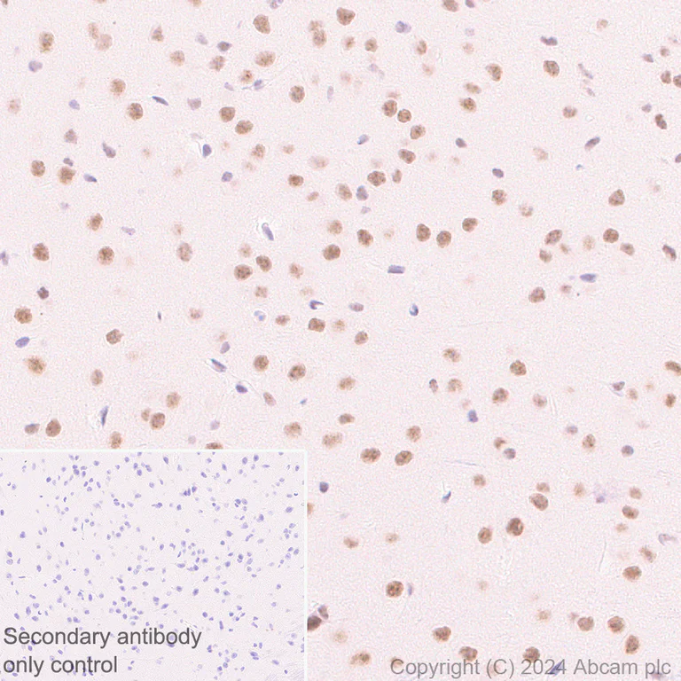
Immunohistochemistry (Formalin/PFA-fixed paraffin-embedded sections) - Anti-CDK12 antibody [EPR29009-30] (AB317746)
  • IHC-P

Supplier Data

Immunohistochemistry (Formalin/PFA-fixed paraffin-embedded sections) - Anti-CDK12 antibody [EPR29009-30] (AB317746)

Immunohistochemical analysis of paraffin-embedded Mouse cerebrum tissue labeling CDK12 with ab317746 at 1/2000 (0.248 ug/ml) dilution, followed by a ready to use LeicaDS9800 (Bond™ Polymer Refine Detection).

Positive staining on mouse cerebrum. The section was incubated with ab317746 for 30 mins at room temperature.
The immunostaining was performed on a Leica Biosystems BOND® RX instrument

Counterstained with Hematoxylin.

Secondary antibody only control : Secondary antibody is a ready to use LeicaDS9800 (Bond™ Polymer Refine Detection).

Heat mediated antigen retrieval was performed with Tris-EDTA buffer (pH 9.0, Epitope Retrieval Solution2) for 20 mins

Immunohistochemistry (Formalin/PFA-fixed paraffin-embedded sections) - Anti-CDK12 antibody [EPR29009-30] (AB317746)
  • IHC-P

Supplier Data

Immunohistochemistry (Formalin/PFA-fixed paraffin-embedded sections) - Anti-CDK12 antibody [EPR29009-30] (AB317746)

Immunohistochemical analysis of paraffin-embedded Rat colon tissue labeling CDK12 with ab317746 at 1/2000 (0.248 ug/ml) dilution, followed by a ready to use LeicaDS9800 (Bond™ Polymer Refine Detection).

Positive staining on rat colon. The section was incubated with ab317746 for 30 mins at room temperature.
The immunostaining was performed on a Leica Biosystems BOND® RX instrument

Counterstained with Hematoxylin.

Secondary antibody only control : Secondary antibody is a ready to use LeicaDS9800 (Bond™ Polymer Refine Detection).

Heat mediated antigen retrieval was performed with Tris-EDTA buffer (pH 9.0, Epitope Retrieval Solution2) for 20 mins

Immunohistochemistry (Formalin/PFA-fixed paraffin-embedded sections) - Anti-CDK12 antibody [EPR29009-30] (AB317746)
  • IHC-P

Supplier Data

Immunohistochemistry (Formalin/PFA-fixed paraffin-embedded sections) - Anti-CDK12 antibody [EPR29009-30] (AB317746)

Immunohistochemical analysis of paraffin-embedded Mouse colon tissue labeling CDK12 with ab317746 at 1/2000 (0.248 ug/ml) dilution, followed by a ready to use LeicaDS9800 (Bond™ Polymer Refine Detection).

Positive staining on mouse colon. The section was incubated with ab317746 for 30 mins at room temperature.
The immunostaining was performed on a Leica Biosystems BOND® RX instrument

Counterstained with Hematoxylin.

Secondary antibody only control : Secondary antibody is a ready to use LeicaDS9800 (Bond™ Polymer Refine Detection).

Heat mediated antigen retrieval was performed with Tris-EDTA buffer (pH 9.0, Epitope Retrieval Solution2) for 20 mins

Immunohistochemistry (Formalin/PFA-fixed paraffin-embedded sections) - Anti-CDK12 antibody [EPR29009-30] (AB317746)
  • IHC-P

Supplier Data

Immunohistochemistry (Formalin/PFA-fixed paraffin-embedded sections) - Anti-CDK12 antibody [EPR29009-30] (AB317746)

Immunohistochemical analysis of paraffin-embedded Rat testis tissue labeling CDK12 with ab317746 at 1/2000 (0.248 ug/ml) dilution, followed by a ready to use LeicaDS9800 (Bond™ Polymer Refine Detection).

Positive staining on rat testis. The section was incubated with ab317746 for 30 mins at room temperature.
The immunostaining was performed on a Leica Biosystems BOND® RX instrument

Counterstained with Hematoxylin.

Secondary antibody only control : Secondary antibody is a ready to use LeicaDS9800 (Bond™ Polymer Refine Detection).

Heat mediated antigen retrieval was performed with Tris-EDTA buffer (pH 9.0, Epitope Retrieval Solution2) for 20 mins

Western blot - Anti-CDK12 antibody [EPR29009-30] (AB317746)
  • WB

Supplier Data

Western blot - Anti-CDK12 antibody [EPR29009-30] (AB317746)

In lanes 1-3, the lysates were stored at -80°C prior to Western Blotting. The bands beneath the target band (205 kDa) are likey to be degradation products. In lanes 4-6, the lysates were freshly made and used for Western Blotting immediately to minimize protein degradation.

In Western blot, Anti-Vinculin antibody [EPR8185] (ab129002) staining at 1/10000 dilution.

All lanes:

Western blot - Anti-CDK12 antibody [EPR29009-30] (ab317746) at 1/1000 dilution

Lane 1:

HeLa (human cervical adenocarcinoma epithelial cell) whole cell lysate at 20 µg

Lane 2:

293T (human embryonic kidney epithelial cell) whole cell lysate at 20 µg

Lane 3:

K-562 (human chronic myelogenous leukemia lymphoblast) whole cell lysate at 20 µg

Lane 4:

HeLa (human cervical adenocarcinoma epithelial cell) whole fresh cell lysate at 20 µg

Lane 5:

293T (human embryonic kidney epithelial cell) whole fresh cell lysate at 20 µg

Lane 6:

K-562 (human chronic myelogenous leukemia lymphoblast) whole fresh cell lysate at 20 µg

Secondary

All lanes:

Western blot - Goat Anti-Rabbit IgG H&L (HRP) (<a href='/en-us/products/secondary-antibodies/goat-rabbit-igg-h-l-hrp-ab97051'>ab97051</a>) at 1/100000 dilution

Observed band size: 205 kDa,124 kDa

false

Exposure time: 180s

Western blot - Anti-CDK12 antibody [EPR29009-30] (AB317746)
  • WB

Supplier Data

Western blot - Anti-CDK12 antibody [EPR29009-30] (AB317746)

In Western blot, Anti-Vinculin antibody [EPR8185] (ab129002) staining at 1/10000 dilution.

All lanes:

Western blot - Anti-CDK12 antibody [EPR29009-30] (ab317746) at 1/1000 dilution

Lane 1:

293T (human embryonic kidney epithelial cell) transfected with scrambled siRNA control whole cell lysate at 20 µg

Lane 2:

293T transfected with siRNA specifically targeting CDK12 whole cell lysate at 20 µg

Secondary

All lanes:

Western blot - Goat Anti-Rabbit IgG H&L (HRP) (<a href='/en-us/products/secondary-antibodies/goat-rabbit-igg-h-l-hrp-ab97051'>ab97051</a>) at 1/100000 dilution

Observed band size: 205 kDa,124 kDa

false

Exposure time: 180s

Western blot - Anti-CDK12 antibody [EPR29009-30] (AB317746)
  • WB

Supplier Data

Western blot - Anti-CDK12 antibody [EPR29009-30] (AB317746)

The lysates were freshly made and used for Western Blotting immediately to minimize protein degradation.

All lanes:

Western blot - Anti-CDK12 antibody [EPR29009-30] (ab317746) at 1/1000 dilution

Lane 1:

Mouse testis tissue lysate at 20 µg

Lane 2:

Rat testis tissue lysate at 20 µg

Secondary

All lanes:

Western blot - Goat Anti-Rabbit IgG H&L (HRP) (<a href='/en-us/products/secondary-antibodies/goat-rabbit-igg-h-l-hrp-ab97051'>ab97051</a>) at 1/100000 dilution

Observed band size: 205 kDa

false

Exposure time: 180s

Western blot - Anti-CDK12 antibody [EPR29009-30] (AB317746)
  • WB

Supplier Data

Western blot - Anti-CDK12 antibody [EPR29009-30] (AB317746)

The lysates were freshly made and used for Western Blotting immediately to minimize protein degradation.

All lanes:

Western blot - Anti-CDK12 antibody [EPR29009-30] (ab317746) at 1/1000 dilution

Lane 1:

NIH/3T3 (mouse embryonic fibroblast) whole cell lysate at 20 µg

Lane 2:

PC-12 (rat adrenal gland pheochromocytoma cell) whole cell lysate at 20 µg

Secondary

All lanes:

Western blot - Goat Anti-Rabbit IgG H&L (HRP) (<a href='/en-us/products/secondary-antibodies/goat-rabbit-igg-h-l-hrp-ab97051'>ab97051</a>) at 1/100000 dilution

Observed band size: 205 kDa

false

Exposure time: 180s

  • Carrier free

    Anti-CDK12 antibody [EPR29009-30] - BSA and Azide free

Key facts

Host species

Rabbit

Clonality

Monoclonal

Clone number

EPR29009-30

Isotype

IgG

Carrier free

No

Reacts with

Human, Mouse, Rat

Applications

IP, IHC-P, WB

applications

Immunogen

The exact immunogen used to generate this antibody is proprietary information.

Reactivity data

{ "title": "Reactivity Data", "filters": { "stats": ["", "Species", "Dilution Info", "Notes"], "tabs": { "all-applications": {"fullname" : "All Applications", "shortname": "All Applications"}, "IHCP" : {"fullname" : "Immunohistochemistry (Formalin/PFA-fixed paraffin-embedded sections)", "shortname":"IHC-P"}, "WB" : {"fullname" : "Western blot", "shortname":"WB"}, "IP" : {"fullname" : "Immunoprecipitation", "shortname":"IP"}, "ICCIF" : {"fullname" : "Immunocytochemistry/ Immunofluorescence", "shortname":"ICC/IF"}, "FlowCytIntra" : {"fullname" : "Flow Cytometry (Intracellular)", "shortname":"Flow Cyt (Intra)"} }, "product-promise": { "all": "all", "testedAndGuaranteed": "tested", "guaranteed": "expected", "predicted": "predicted", "notRecommended": "not-recommended" } }, "values": { "Human": { "IHCP-species-checked": "testedAndGuaranteed", "IHCP-species-dilution-info": "1/500", "IHCP-species-notes": "<p></p> Perform heat-mediated antigen retrieval with Tris/EDTA buffer pH 9.0 before commencing with IHC staining protocol.", "WB-species-checked": "testedAndGuaranteed", "WB-species-dilution-info": "1/1000", "WB-species-notes": "<p></p>", "IP-species-checked": "testedAndGuaranteed", "IP-species-dilution-info": "1/30", "IP-species-notes": "<p></p>", "ICCIF-species-checked": "notRecommended", "ICCIF-species-dilution-info": "", "ICCIF-species-notes": "<p></p>", "FlowCytIntra-species-checked": "notRecommended", "FlowCytIntra-species-dilution-info": "", "FlowCytIntra-species-notes": "<p></p>" }, "Mouse": { "IHCP-species-checked": "testedAndGuaranteed", "IHCP-species-dilution-info": "1/2000", "IHCP-species-notes": "<p></p> Perform heat-mediated antigen retrieval with Tris/EDTA buffer pH 9.0 before commencing with IHC staining protocol.", "WB-species-checked": "testedAndGuaranteed", "WB-species-dilution-info": "1/1000", "WB-species-notes": "<p></p>", "IP-species-checked": "guaranteed", "IP-species-dilution-info": "", "IP-species-notes": "", "ICCIF-species-checked": "notRecommended", "ICCIF-species-dilution-info": "", "ICCIF-species-notes": "", "FlowCytIntra-species-checked": "notRecommended", "FlowCytIntra-species-dilution-info": "", "FlowCytIntra-species-notes": "" }, "Rat": { "IHCP-species-checked": "testedAndGuaranteed", "IHCP-species-dilution-info": "1/2000", "IHCP-species-notes": "<p></p> Perform heat-mediated antigen retrieval with Tris/EDTA buffer pH 9.0 before commencing with IHC staining protocol.", "WB-species-checked": "testedAndGuaranteed", "WB-species-dilution-info": "1/1000", "WB-species-notes": "<p></p>", "IP-species-checked": "guaranteed", "IP-species-dilution-info": "", "IP-species-notes": "", "ICCIF-species-checked": "notRecommended", "ICCIF-species-dilution-info": "", "ICCIF-species-notes": "", "FlowCytIntra-species-checked": "notRecommended", "FlowCytIntra-species-dilution-info": "", "FlowCytIntra-species-notes": "" } } }

Product details

Patented technology
Our RabMAb® technology is a patented hybridoma-based technology for making rabbit monoclonal antibodies. For details on our patents, please refer to RabMAb® patents.

What are the advantages of a recombinant monoclonal antibody?
This product is a recombinant monoclonal antibody, which offers several advantages including:

  • - High batch-to-batch consistency and reproducibility
  • - Improved sensitivity and specificity
  • - Long-term security of supply
  • - Animal-free batch production

For more information, read more on recombinant antibodies.

Properties and storage information

Form
Liquid
Purification technique
Affinity purification Protein A
Storage buffer
pH: 7.2 - 7.4 Preservative: 0.01% Sodium azide Constituents: PBS, 40% Glycerol (glycerin, glycerine), 0.05% BSA
Shipped at conditions
Blue Ice
Appropriate short-term storage duration
1-2 weeks
Appropriate short-term storage conditions
+4°C
Appropriate long-term storage conditions
-20°C
Aliquoting information
Upon delivery aliquot
Storage information
Avoid freeze / thaw cycle

Product protocols

For this product, it's our understanding that no specific protocols are required. You can visit:

Target data

Cyclin-dependent kinase that phosphorylates the C-terminal domain (CTD) of the large subunit of RNA polymerase II (POLR2A), thereby acting as a key regulator of transcription elongation. Regulates the expression of genes involved in DNA repair and is required for the maintenance of genomic stability. Preferentially phosphorylates 'Ser-5' in CTD repeats that are already phosphorylated at 'Ser-7', but can also phosphorylate 'Ser-2'. Required for RNA splicing, possibly by phosphorylating SRSF1/SF2. Involved in regulation of MAP kinase activity, possibly leading to affect the response to estrogen inhibitors.
See full target information CDK12

Publications (1)

Recent publications for all applications. Explore the full list and refine your search

Journal of gastrointestinal oncology 16:823-839 PubMed40672076

2025

CDK12 inhibition enhances oxaliplatin efficacy in gastric cancer by suppressing the MAPK signaling pathway.

Applications

Unspecified application

Species

Unspecified reactive species

Dayin Huang,Zhizhong Xiong,Bin Zhong,Xianwen Li,Saddam Ahmed Mohamed,Jiachen Sun,Haoyang Xu,Jianping Guo,Zijian Deng,Xianzhe Li,Khaldoun Almhanna,Yonghe Chen,Lei Lian
View all publications

Product promise

We are committed to supporting your work with high-quality reagents, and we're here for you every step of the way. In the unlikely event that one of our products does not perform as expected, you're protected by our Product Promise.
For full details, please see our Terms & Conditions

Please note: All products are 'FOR RESEARCH USE ONLY. NOT FOR USE IN DIAGNOSTIC OR THERAPEUTIC PROCEDURES'.

For licensing inquiries, please contact partnerships@abcam.com