JavaScript is disabled in your browser. Please enable JavaScript to view this website.
AB32147

Anti-Cdk2 antibody [E304]

5

(8 Reviews)

|

(235 Publications)

Anti-Cdk2 antibody [E304] (ab32147) is a rabbit monoclonal antibody detecting CDK2 in Western Blot, Flow Cytometry (Intra), Flow Cytometry, IP, IHC-P, ICC/IF. Suitable for Human, Mouse, Rat.

- KO validated for confirmed specificity
- Biophysical QC for unrivalled batch-batch consistency
- Over 230 publications
- Trusted since 2006

View Alternative Names

CDKN2, CDK2, Cyclin-dependent kinase 2, Cell division protein kinase 2, p33 protein kinase

14 Images
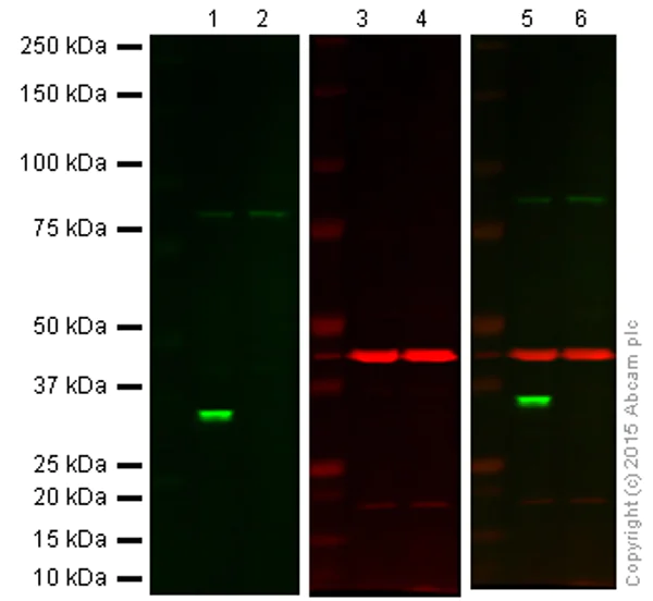
Western blot - Anti-Cdk2 antibody [E304] (AB32147)
  • WB

Lab

Western blot - Anti-Cdk2 antibody [E304] (AB32147)

Lanes 1 : Wild-type HAP1 cell lysate (20 μg)
Lanes 2 : CDK2 knockout HAP1 cell lysate (20 μg)

Lanes 1 - 2 : Merged signal (red and green). Green - ab32147 observed at 34 kDa. Red - loading control, ab8226, observed at 42 kDa or ab18058, observed at 130 kDa.

This western blot image is a comparison between ab32147 and a competitor's top cited rabbit polyclonal antibody.

All lanes:

Western blot - Anti-Cdk2 antibody [E304] (ab32147)

Predicted band size: 34 kDa

false

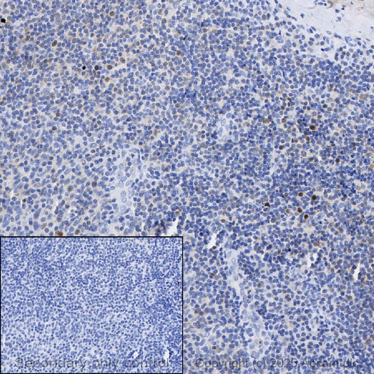
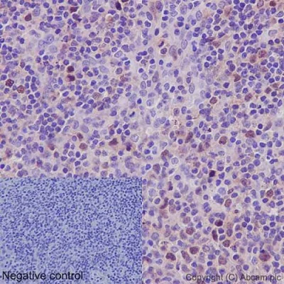
Immunohistochemistry (Formalin/PFA-fixed paraffin-embedded sections) - Anti-Cdk2 antibody [E304] (AB32147)
  • IHC-P

Lab

Immunohistochemistry (Formalin/PFA-fixed paraffin-embedded sections) - Anti-Cdk2 antibody [E304] (AB32147)

Immunohistochemical analysis of formalin fixed paraffin embedded human tonsil labelling Cdk2 with ab32147 at a concentration of 1/ml. The immunostaining was performed on a Ventana DISCOVERY ULTRA (Roche Tissue Diagnostics) instrument with a OptiView DAB IHC Detection Kit. Heat mediated antigen retrieval was performed with DISCOVERY cell conditioning solution (CC1) 100°C, pH8.5 for 32mins.

ab32147 anti-Cdk2 antibody [E304] was incubated for 16mins at 37°C. Sections were counterstained with Hematoxylin II. Image inset shows absence of staining in secondary antibody only control.

Customers are encouraged to optimise antigen retrieval conditions, antibody concentration, incubation times and temperature for best results in their own IHC assay workflow (automated and manual)

Western blot - Anti-Cdk2 antibody [E304] (AB32147)
  • WB

Supplier Data

Western blot - Anti-Cdk2 antibody [E304] (AB32147)

All lanes:

Western blot - Anti-Cdk2 antibody [E304] (ab32147) at 1/1000 dilution

Lane 1:

Jurkat cell lysate at 20 µg

Lane 2:

Hela cell lysate at 20 µg

Lane 3:

K562 cell lysate at 20 µg

Lane 4:

293 cell lysate at 20 µg

Secondary

All lanes:

Goat Anti-Rabbit IgG, (H+L), HRP-conjugated at 1/1000 dilution

Predicted band size: 34 kDa

false

Western blot - Anti-Cdk2 antibody [E304] (AB32147)
  • WB

Supplier Data

Western blot - Anti-Cdk2 antibody [E304] (AB32147)

All lanes:

Western blot - Anti-Cdk2 antibody [E304] (ab32147) at 1/1000 dilution

All lanes:

NIH/3T3 cell lysate at 20 µg

Secondary

All lanes:

Goat Anti-Rabbit IgG, (H+L), HRP-conjugated at 1/1000 dilution

Predicted band size: 34 kDa

false

Western blot - Anti-Cdk2 antibody [E304] (AB32147)
  • WB

Supplier Data

Western blot - Anti-Cdk2 antibody [E304] (AB32147)

All lanes:

Western blot - Anti-Cdk2 antibody [E304] (ab32147) at 1/5000 dilution

Lane 1:

C6 cell lysate at 10 µg

Lane 2:

PC-12 cell lysate at 10 µg

Secondary

All lanes:

Goat Anti-Rabbit IgG, (H+L), HRP-conjugated at 1/1000 dilution

Predicted band size: 34 kDa

false

Immunocytochemistry/ Immunofluorescence - Anti-Cdk2 antibody [E304] (AB32147)
  • ICC/IF

Unknown

Immunocytochemistry/ Immunofluorescence - Anti-Cdk2 antibody [E304] (AB32147)

ab32147 staining Cdk2 in the HeLa cell line by ICC/IF (Immunocytochemistry/immunofluorescence). Cells were fixed with 4% Paraformaldehyde permeabilized with 0.1% Triton X-100. Samples were incubated with primary antibody (1/200). ab150078 (1/500) an Alexa Fluor® 555-conjugated Goat anti-rabbit IgG was used as the secondary antibody. Nuclei were counterstained with DAPI.

Immunohistochemistry (Formalin/PFA-fixed paraffin-embedded sections) - Anti-Cdk2 antibody [E304] (AB32147)
  • IHC-P

Unknown

Immunohistochemistry (Formalin/PFA-fixed paraffin-embedded sections) - Anti-Cdk2 antibody [E304] (AB32147)

ab32147 staining Cdk2 in human tonsil tissue sections by Immunohistochemistry (IHC-P - paraformaldehyde-fixed, paraffin-embedded sections). Tissue was fixed and paraffin-embedded, antigen retrieval was by heat mediation in Tris/EDTA buffer pH9. Samples were incubated with primary antibody (1/50). An undiluted HRP-conjugated mouse anti-rabbit IgG was used as the secondary antibody. Tissue counterstained with Hematoxylin. PBS was used in the negative control rather than the Primary antibody.

Flow Cytometry (Intracellular) - Anti-Cdk2 antibody [E304] (AB32147)
  • Flow Cyt (Intra)

Unknown

Flow Cytometry (Intracellular) - Anti-Cdk2 antibody [E304] (AB32147)

Intracellular Flow Cytometry analysis of HeLa (human cervix adenocarcinoma) cells labelling Cdk2 with purified ab32147 at 1/80 (red). Cells were fixed with 4% paraformaldehyde and permeabilised with 90% methanol. An Alexa Fluor® 488-conjugated goat anti-rabbit IgG (1/2000) was used as the secondary antibody. Black - Isotype control, rabbit monoclonal IgG. Blue - Unlabelled control, cells without incubation with primary and secondary antibodies.

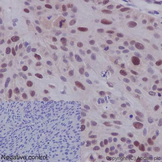
Immunohistochemistry (Formalin/PFA-fixed paraffin-embedded sections) - Anti-Cdk2 antibody [E304] (AB32147)
  • IHC-P

Unknown

Immunohistochemistry (Formalin/PFA-fixed paraffin-embedded sections) - Anti-Cdk2 antibody [E304] (AB32147)

ab32147 staining Cdk2 in human squamous cell carcinoma of cervix tissue sections by Immunohistochemistry (IHC-P - paraformaldehyde-fixed, paraffin-embedded sections). Tissue was fixed and paraffin-embedded, antigen retrieval was by heat mediation in Tris/EDTA buffer pH9. Samples were incubated with primary antibody (1/50). An undiluted HRP-conjugated mouse anti-rabbit IgG was used as the secondary antibody. Tissue counterstained with Hematoxylin. PBS was used in the negative control rather than the Primary antibody.

Immunoprecipitation - Anti-Cdk2 antibody [E304] (AB32147)
  • IP

Unknown

Immunoprecipitation - Anti-Cdk2 antibody [E304] (AB32147)

ab32147 (purified) at 1/40 immunoprecipitating Cdk2 from HeLa cells(Lane 1). Lane 2 - PBS. For western blotting, a HRP-conjugated anti-rabbit IgG, specific to the non-reduced form of IgG was used as the secondary antibody (1/1000).

Blocking buffer and concentration : 5% NFDM/TBST.

Diluting buffer and concentration : 5% NFDM /TBST.

All lanes:

Immunoprecipitation - Anti-Cdk2 antibody [E304] (ab32147)

Predicted band size: 34 kDa

false

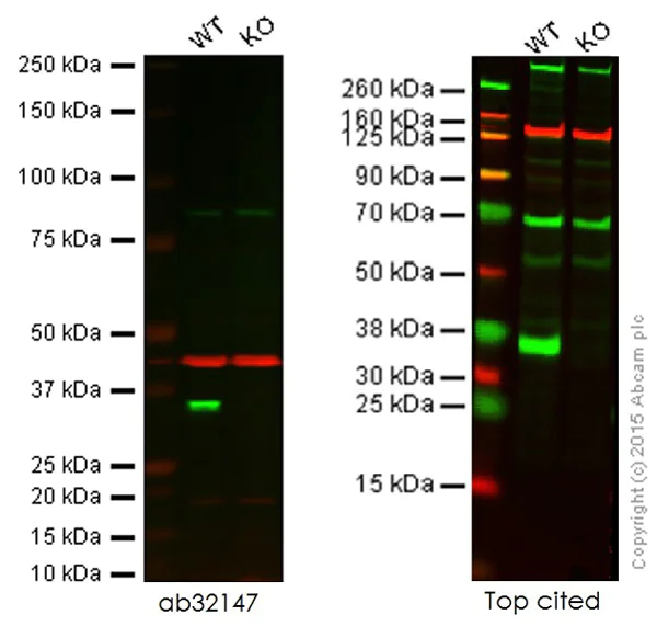
Western blot - Anti-Cdk2 antibody [E304] (AB32147)
  • WB

Unknown

Western blot - Anti-Cdk2 antibody [E304] (AB32147)

Lanes 1, 3 and 5 : Wild-type HAP1 cell lysate (20 μg)
Lanes 2, 4 and 6 : CDK2 knockout HAP1 cell lysate (20 μg)
Lanes 1 and 2 : Green signal from target – ab32147 observed at 34 kDa
Lanes 3 and 4 : Red signal from loading control – ab8226 observed at 42 kDa
Lanes 5 and 6 : Merged (red and green) signal

ab32147 was shown to specifically react with CDK2 when CDK2 knockout samples were used. Wild-type and CDK2 knockout samples were subjected to SDS-PAGE. ab32147 and ab8226 (loading control to beta actin) were both diluted 1/1000 and incubated overnight at 4°C. Blots were developed with Goat anti-Rabbit IgG H&L (IRDye® 800CW) preadsorbed (ab216773) and Goat anti-Mouse IgG H&L (IRDye® 680RD) preadsorbed (ab216776) secondary antibodies at 1/10 000 dilution for 1 h at room temperature before imaging.

All lanes:

Western blot - Anti-Cdk2 antibody [E304] (ab32147)

Predicted band size: 34 kDa

false

Western blot - Anti-Cdk2 antibody [E304] (AB32147)
  • WB

AbReview45219****

Western blot - Anti-Cdk2 antibody [E304] (AB32147)

All lanes:

Western blot - Anti-Cdk2 antibody [E304] (ab32147) at 1/1000 dilution

Lane 1:

Human osteosarcoma whole cell lysate - control, non-targeting siRNA at 20 µg

Lane 2:

Human osteosarcoma whole cell lysate - siRNA for CDK2 at 20 µg

Secondary

All lanes:

HRP-conjugated goat anti-rabbit IgG polyclonal at 1/2000 dilution

Predicted band size: 34 kDa

Observed band size: 34 kDa

true

Exposure time: 2s

This image is courtesy of an Abreview submitted by Sonia Rocha

Western blot - Anti-Cdk2 antibody [E304] (AB32147)
  • WB

Lab

Western blot - Anti-Cdk2 antibody [E304] (AB32147)

Western blot : Anti-CDK2 antibody [E304] (ab32147) staining at 1/2000 dilution, shown in green; Mouse anti-Alpha Tubulin [DM1A] (ab7291) loading control staining at 1/20000 dilution, shown in magenta. In Western blot, ab32147 was shown to bind specifically to CDK2. A band was observed at 34 kDa in wild-type MCF7 cell lysates with no signal observed at this size in CDK2 knockout cell line ab282628. To generate this image, wild-type and CDK2 knockout MCF7 cell lysates were analysed. First, samples were run on an SDS-PAGE gel then transferred onto a nitrocellulose membrane. Membranes were blocked in 3 % milk in TBS-0.1 % Tween® 20 (TBS-T) before incubation with primary antibodies overnight at 4 °C. Blots were washed four times in TBS-T, incubated with secondary antibodies for 1 h at room temperature, washed again four times then imaged. Secondary antibodies used were Goat anti-Rabbit IgG H&L 800CW and Goat anti-Mouse IgG H&L 680RD at 1/20000 dilution.

All lanes:

Western blot - Anti-Cdk2 antibody [E304] (ab32147)

Lane 1:

Wild-type MCF7 cell lysate at 10 µg

Lane 2:

CDK2 knockout MCF7 cell lysate at 10 µg

Lane 2:

Western blot - Human CDK2 knockout (hetero) MCF7 cell line (ab282628)

Secondary

All lanes:

Goat anti-Rabbit IgG H&L 800CW and Goat anti-Mouse IgG H&L 680RD at 1/20000 dilution

false

Western blot - Anti-Cdk2 antibody [E304] (AB32147)
  • WB

Lab

Western blot - Anti-Cdk2 antibody [E304] (AB32147)

This blot was produced using a 10% Bis-tris gel under the MOPS buffer system. The gel was run at 200V for 50 minutes before being transferred onto a Nitrocellulose membrane at 30V for 70 minutes. The membrane was then blocked for an hour using 5% Bovine Serum Albumin before being incubated with ab32147 overnight at 4°C. Antibody binding was detected using an anti-rabbit antibody conjugated to HRP, and visualised using ECL development solution.

All lanes:

Western blot - Anti-Cdk2 antibody [E304] (ab32147) at 1/1000 dilution

Lane 1:

HeLa (Human epithelial carcinoma cell line) Whole Cell Lysate (ab27252) at 10 µg

Lane 2:

HeLa (Human epithelial carcinoma cell line) Whole Cell Lysate (ab27252) at 20 µg

Secondary

All lanes:

Western blot - Goat Anti-Rabbit IgG H&L (HRP) (<a href='/en-us/products/secondary-antibodies/goat-rabbit-igg-h-l-hrp-ab97051'>ab97051</a>) at 1/10000 dilution

Predicted band size: 34 kDa

Observed band size: 34 kDa

true

Exposure time: 4min

Key facts

Host species

Rabbit

Clonality

Monoclonal

Clone number

E304

Isotype

IgG

Carrier free

No

Reacts with

Mouse, Rat, Human

Applications

IHC-P, IP, WB, ICC/IF, Flow Cyt (Intra)

applications

Immunogen

The exact immunogen used to generate this antibody is proprietary information.

Epitope

The epitope is within the C-terminus of human Cdk2

Reactivity data

{ "title": "Reactivity Data", "filters": { "stats": ["", "Species", "Dilution Info", "Notes"], "tabs": { "all-applications": {"fullname" : "All Applications", "shortname": "All Applications"}, "IP" : {"fullname" : "Immunoprecipitation", "shortname":"IP"}, "WB" : {"fullname" : "Western blot", "shortname":"WB"}, "ICCIF" : {"fullname" : "Immunocytochemistry/ Immunofluorescence", "shortname":"ICC/IF"}, "FlowCytIntra" : {"fullname" : "Flow Cytometry (Intracellular)", "shortname":"Flow Cyt (Intra)"}, "IHCP" : {"fullname" : "Immunohistochemistry (Formalin/PFA-fixed paraffin-embedded sections)", "shortname":"IHC-P"} }, "product-promise": { "all": "all", "testedAndGuaranteed": "tested", "guaranteed": "expected", "predicted": "predicted", "notRecommended": "not-recommended" } }, "values": { "Human": { "IP-species-checked": "testedAndGuaranteed", "IP-species-dilution-info": "1/40", "IP-species-notes": "<p></p>", "WB-species-checked": "testedAndGuaranteed", "WB-species-dilution-info": "1/1000 - 1/10000", "WB-species-notes": "<p></p>", "ICCIF-species-checked": "testedAndGuaranteed", "ICCIF-species-dilution-info": "1/200", "ICCIF-species-notes": "<p><strong>For unpurified use at 1/100.</strong></p>", "FlowCytIntra-species-checked": "testedAndGuaranteed", "FlowCytIntra-species-dilution-info": "1/80", "FlowCytIntra-species-notes": "<p><a href='/en-us/products/primary-antibodies/rabbit-igg-monoclonal-epr25a-isotype-control-ab172730'>ab172730</a> - Rabbit monoclonal IgG, is suitable for use as an isotype control with this antibody.</p>", "IHCP-species-checked": "testedAndGuaranteed", "IHCP-species-dilution-info": "1/50", "IHCP-species-notes": "<p></p> Perform heat-mediated antigen retrieval before commencing with IHC staining protocol." }, "Mouse": { "IP-species-checked": "guaranteed", "IP-species-dilution-info": "", "IP-species-notes": "", "WB-species-checked": "testedAndGuaranteed", "WB-species-dilution-info": "1/1000 - 1/10000", "WB-species-notes": "<p></p>", "ICCIF-species-checked": "guaranteed", "ICCIF-species-dilution-info": "", "ICCIF-species-notes": "", "FlowCytIntra-species-checked": "guaranteed", "FlowCytIntra-species-dilution-info": "", "FlowCytIntra-species-notes": "", "IHCP-species-checked": "guaranteed", "IHCP-species-dilution-info": "", "IHCP-species-notes": "" }, "Rat": { "IP-species-checked": "guaranteed", "IP-species-dilution-info": "", "IP-species-notes": "", "WB-species-checked": "testedAndGuaranteed", "WB-species-dilution-info": "1/1000 - 1/10000", "WB-species-notes": "<p></p>", "ICCIF-species-checked": "guaranteed", "ICCIF-species-dilution-info": "", "ICCIF-species-notes": "", "FlowCytIntra-species-checked": "guaranteed", "FlowCytIntra-species-dilution-info": "", "FlowCytIntra-species-notes": "", "IHCP-species-checked": "guaranteed", "IHCP-species-dilution-info": "", "IHCP-species-notes": "" } } }

You may be interested in:

AB316258

Human CDK2 ELISA Kit

0

0 Reviews

View product

We recommend this product because it’s often used in the same experiment or related research.

We advise that you always check the datasheet to ensure it fits your experiments, or contact ourtechnical teamfor help.

Product details

Properties and storage information

Form
Liquid
Purification technique
Affinity purification Protein A
Storage buffer
pH: 7.2 - 7.4 Preservative: 0.01% Sodium azide Constituents: 59% PBS, 40% Glycerol (glycerin, glycerine), 0.05% BSA
Shipped at conditions
Conditional Ambient
Appropriate short-term storage duration
1-2 weeks
Appropriate short-term storage conditions
+4°C
Appropriate long-term storage conditions
-20°C
Aliquoting information
Upon delivery aliquot
Storage information
Avoid freeze / thaw cycle

Product protocols

For this product, it's our understanding that no specific protocols are required. You can visit:

Target data

Serine/threonine-protein kinase involved in the control of the cell cycle; essential for meiosis, but dispensable for mitosis (PubMed : 10499802, PubMed : 10884347, PubMed : 10995386, PubMed : 10995387, PubMed : 11051553, PubMed : 11113184, PubMed : 12944431, PubMed : 15800615, PubMed : 17495531, PubMed : 19966300, PubMed : 20935635, PubMed : 21262353, PubMed : 21596315, PubMed : 28216226, PubMed : 28666995). Phosphorylates CABLES1, CTNNB1, CDK2AP2, ERCC6, NBN, USP37, p53/TP53, NPM1, CDK7, RB1, BRCA2, MYC, NPAT, EZH2 (PubMed : 10499802, PubMed : 10995386, PubMed : 10995387, PubMed : 11051553, PubMed : 11113184, PubMed : 12944431, PubMed : 15800615, PubMed : 19966300, PubMed : 20935635, PubMed : 21262353, PubMed : 21596315, PubMed : 28216226). Triggers duplication of centrosomes and DNA (PubMed : 11051553). Acts at the G1-S transition to promote the E2F transcriptional program and the initiation of DNA synthesis, and modulates G2 progression; controls the timing of entry into mitosis/meiosis by controlling the subsequent activation of cyclin B/CDK1 by phosphorylation, and coordinates the activation of cyclin B/CDK1 at the centrosome and in the nucleus (PubMed : 18372919, PubMed : 19238148, PubMed : 19561645). Crucial role in orchestrating a fine balance between cellular proliferation, cell death, and DNA repair in embryonic stem cells (ESCs) (PubMed : 18372919, PubMed : 19238148, PubMed : 19561645). Activity of CDK2 is maximal during S phase and G2; activated by interaction with cyclin E during the early stages of DNA synthesis to permit G1-S transition, and subsequently activated by cyclin A2 (cyclin A1 in germ cells) during the late stages of DNA replication to drive the transition from S phase to mitosis, the G2 phase (PubMed : 18372919, PubMed : 19238148, PubMed : 19561645). EZH2 phosphorylation promotes H3K27me3 maintenance and epigenetic gene silencing (PubMed : 20935635). Cyclin E/CDK2 prevents oxidative stress-mediated Ras-induced senescence by phosphorylating MYC (PubMed : 19966300). Involved in G1-S phase DNA damage checkpoint that prevents cells with damaged DNA from initiating mitosis; regulates homologous recombination-dependent repair by phosphorylating BRCA2, this phosphorylation is low in S phase when recombination is active, but increases as cells progress towards mitosis (PubMed : 15800615, PubMed : 20195506, PubMed : 21319273). In response to DNA damage, double-strand break repair by homologous recombination a reduction of CDK2-mediated BRCA2 phosphorylation (PubMed : 15800615). Involved in regulation of telomere repair by mediating phosphorylation of NBN (PubMed : 28216226). Phosphorylation of RB1 disturbs its interaction with E2F1 (PubMed : 10499802). NPM1 phosphorylation by cyclin E/CDK2 promotes its dissociates from unduplicated centrosomes, thus initiating centrosome duplication (PubMed : 11051553). Cyclin E/CDK2-mediated phosphorylation of NPAT at G1-S transition and until prophase stimulates the NPAT-mediated activation of histone gene transcription during S phase (PubMed : 10995386, PubMed : 10995387). Required for vitamin D-mediated growth inhibition by being itself inactivated (PubMed : 20147522). Involved in the nitric oxide- (NO) mediated signaling in a nitrosylation/activation-dependent manner (PubMed : 20079829). USP37 is activated by phosphorylation and thus triggers G1-S transition (PubMed : 21596315). CTNNB1 phosphorylation regulates insulin internalization (PubMed : 21262353). Phosphorylates FOXP3 and negatively regulates its transcriptional activity and protein stability (By similarity). Phosphorylates ERCC6 which is essential for its chromatin remodeling activity at DNA double-strand breaks (PubMed : 29203878).
See full target information CDK2

Publications (235)

Recent publications for all applications. Explore the full list and refine your search

Scientific reports 13:19208 PubMed37932321

2023

9-oxo-ODAs suppresses the proliferation of human cervical cancer cells through the inhibition of CDKs and HPV oncoproteins.

Applications

Unspecified application

Species

Unspecified reactive species

Kazumasa Mogi,Yoshihiro Koya,Masato Yoshihara,Mai Sugiyama,Rika Miki,Emiri Miyamoto,Hiroki Fujimoto,Kazuhisa Kitami,Shohei Iyoshi,Sho Tano,Kaname Uno,Satoshi Tamauchi,Akira Yokoi,Yusuke Shimizu,Yoshiki Ikeda,Nobuhisa Yoshikawa,Kaoru Niimi,Yoshihiko Yamakita,Hiroyuki Tomita,Kiyosumi Shibata,Akihiro Nawa,Yutaka Tomoda,Hiroaki Kajiyama

Biology direct 18:67 PubMed37875967

2023

Nuclear respiratory factor 1 drives hepatocellular carcinoma progression by activating LPCAT1-ERK1/2-CREB axis.

Applications

Unspecified application

Species

Unspecified reactive species

Ran Liu,Chuanzheng Yin,Peng Zhao,Bing Guo,Wenbo Ke,Xichuan Zheng,Dawei Xie,Yaofeng Wang,Gengqiao Wang,Yinzhao Jia,Yang Gao,Wenjun Hu,Gang Logan Liu,Zifang Song

Oncology reports 50: PubMed37859622

2023

Licochalcone A induces cell cycle arrest and apoptosis via suppressing MAPK signaling pathway and the expression of FBXO5 in lung squamous cell cancer.

Applications

Unspecified application

Species

Unspecified reactive species

Xiaoli Fan,Guoqiang Guan,Juan Wang,Meihua Jin,Liming Wang,Xiaoqun Duan

Cell death discovery 9:286 PubMed37542074

2023

Cannabidiol-induced crosstalk of apoptosis and macroautophagy in colorectal cancer cells involves p53 and Hsp70.

Applications

Unspecified application

Species

Unspecified reactive species

Fei Wang,Ali Bashiri Dezfouli,Mohammad Khosravi,Wolfgang Sievert,Stefan Stangl,Melissa Schwab,Zhiyuan Wu,Katja Steiger,Hu Ma,Gabriele Multhoff

Oncogene 42:2249-2262 PubMed37311811

2023

USP13 deubiquitinates and stabilizes cyclin D1 to promote gastric cancer cell cycle progression and cell proliferation.

Applications

Unspecified application

Species

Unspecified reactive species

Cunying Ma,Dandan Wang,Zhuangfei Tian,Wenrong Gao,Yichen Zang,Lilin Qian,Xia Xu,Jihui Jia,Zhifang Liu

Journal of cell science 136: PubMed36995025

2023

A robust dual gene ON-OFF toggle directed by two independent promoter-degron pairs.

Applications

Unspecified application

Species

Unspecified reactive species

Tsz Kwan Yeung,Sehong Kim,Hoi Tang Ma,Randy Y C Poon

Cell death & disease 14:159 PubMed36841806

2023

NRP1 promotes prostate cancer progression via modulating EGFR-dependent AKT pathway activation.

Applications

Unspecified application

Species

Unspecified reactive species

Peng Zhang,Liang Chen,Fenfang Zhou,Zhiwen He,Gang Wang,Yongwen Luo

Experimental & molecular medicine 54:2022-2035 PubMed36424455

2022

Protective effect of hepatocyte-enriched lncRNA-Mir122hg by promoting hepatocyte proliferation in acute liver injury.

Applications

Unspecified application

Species

Unspecified reactive species

Zhenjun Yu,Yuhan Li,Shuai Shao,Beichen Guo,Mengxia Zhang,Lina Zheng,Kun Zhang,Feng Zhou,Li Zhang,Chiyi Chen,Wentao Jiang,Wei Hong,Tao Han

Frontiers in oncology 12:1046473 PubMed36483027

2022

Integrated systemic analysis of FAM72A to identify its clinical relevance, biological function, and relationship to drug sensitivity in hepatocellular carcinoma.

Applications

Unspecified application

Species

Unspecified reactive species

Qi Zhou,Lingjun Chen,Luo Yang,Haoxiong Zhou,Yan Chen,Yunwei Guo

Disease markers 2022:6832680 PubMed36438898

2022

Study on the Mechanism of miR-125b-5p Affecting Melanocyte Biological Behavior and Melanogenesis in Vitiligo through Regulation of MITF.

Applications

Unspecified application

Species

Unspecified reactive species

Xiaochuan Wang,Yifei Wu,Peng Du,Liangheng Xu,Yuan Chen,Jingzi Li,Xuying Pan,Zhiqiong Wang
View all publications

Product promise

We are committed to supporting your work with high-quality reagents, and we're here for you every step of the way. In the unlikely event that one of our products does not perform as expected, you're protected by our Product Promise.
For full details, please see our Terms & Conditions

Associated Products

Select an associated product type
Alternative Product
Primary Antibodies

AB194868

Anti-Cdk2 (phospho T160) antibody

primary-antibodies

cdk2-phospho-t160-antibody-ab194868

0

(0 reviews)

Alternative Product
Primary Antibodies

AB101682

Anti-Cdk2 antibody [SP80]

primary-antibodies

cdk2-antibody-sp80-ab101682

0

(0 reviews)

Alternative Product
Primary Antibodies

AB235941

Anti-Cdk2 antibody

primary-antibodies

cdk2-antibody-ab235941

0

(0 reviews)

Alternative Product
Primary Antibodies

AB76146

Anti-CDK1 + CDK2 + CDK3 + CDK5 (phospho Y15) antibody [EPR2233Y]

primary-antibodies

cdk1-cdk2-cdk3-cdk5-phospho-y15-antibody-epr2233y-ab76146

5

(2 reviews)

Alternative Product
Primary Antibodies

AB68265

Anti-CDK2 (phospho T14) antibody [EP2234Y]

primary-antibodies

cdk2-phospho-t14-antibody-ep2234y-ab68265

0

(0 reviews)

Alternative Product
Primary Antibodies

AB239860

Anti-CDK2 (phospho T14) antibody [EP2234Y] - BSA and Azide free

primary-antibodies

cdk2-phospho-t14-antibody-ep2234y-bsa-and-azide-free-ab239860

0

(0 reviews)

Alternative Product
Primary Antibodies

AB240937

Anti-Cdk2 antibody [SP80] - BSA and Azide free

primary-antibodies

cdk2-antibody-sp80-bsa-and-azide-free-ab240937

0

(0 reviews)

Alternative Product
Primary Antibodies

AB176312

Anti-CDK1 + CDK2 + CDK3 + CDK5 (phospho Y15) antibody [EPR2233Y] - BSA and Azide free

primary-antibodies

cdk1-cdk2-cdk3-cdk5-phospho-y15-antibody-epr2233y-bsa-and-azide-free-ab176312

0

(0 reviews)

Please note: All products are 'FOR RESEARCH USE ONLY. NOT FOR USE IN DIAGNOSTIC OR THERAPEUTIC PROCEDURES'.

For licensing inquiries, please contact partnerships@abcam.com