JavaScript is disabled in your browser. Please enable JavaScript to view this website.
AB208697

Anti-Cdk2 antibody [E304] - BSA and Azide free

Be the first to review this product! Submit a review

|

(4 Publications)

Rabbit Recombinant Monoclonal CDK2 antibody. Carrier free. Suitable for ICC/IF, IP, WB, Flow Cyt (Intra), IHC-P and reacts with Human, Mouse, Rat samples. Cited in 4 publications.

View Alternative Names

CDKN2, CDK2, Cyclin-dependent kinase 2, Cell division protein kinase 2, p33 protein kinase

8 Images
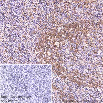
Immunohistochemistry (Formalin/PFA-fixed paraffin-embedded sections) - Anti-Cdk2 antibody [E304] - BSA and Azide free (AB208697)
  • IHC-P

Lab

Immunohistochemistry (Formalin/PFA-fixed paraffin-embedded sections) - Anti-Cdk2 antibody [E304] - BSA and Azide free (AB208697)

This data was developed using ab32147, the same antibody clone in a different buffer formulation.

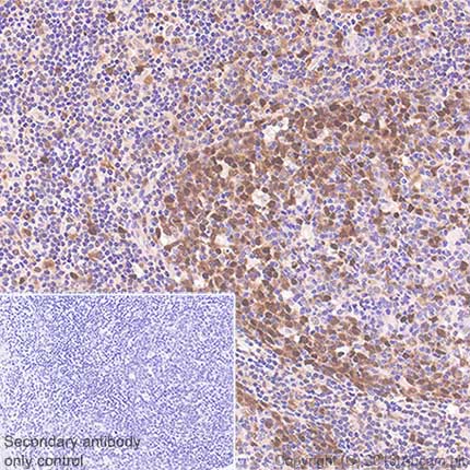
Immunohistochemical analysis of formalin fixed paraffin embedded human tonsil labelling Cdk2 with ab32147 at a concentration of 1/ml. The immunostaining was performed on a Ventana DISCOVERY ULTRA (Roche Tissue Diagnostics) instrument with a OptiView DAB IHC Detection Kit. Heat mediated antigen retrieval was performed with DISCOVERY cell conditioning solution (CC1) 100°C, pH8.5 for 32mins.

ab32147 anti-Cdk2 antibody [E304] was incubated for 16mins at 37°C. Sections were counterstained with Hematoxylin II. Image inset shows absence of staining in secondary antibody only control.

Customers are encouraged to optimise antigen retrieval conditions, antibody concentration, incubation times and temperature for best results in their own IHC assay workflow (automated and manual)

Immunocytochemistry/ Immunofluorescence - Anti-Cdk2 antibody [E304] - BSA and Azide free (AB208697)
  • ICC/IF

Unknown

Immunocytochemistry/ Immunofluorescence - Anti-Cdk2 antibody [E304] - BSA and Azide free (AB208697)

ab32147 staining Cdk2 in the HeLa cell line by ICC/IF (Immunocytochemistry/immunofluorescence). Cells were fixed with 4% Paraformaldehyde permeabilized with 0.1% Triton X-100. Samples were incubated with primary antibody (1/200). ab150078 (1/500) an Alexa Fluor® 555-conjugated Goat anti-rabbit IgG was used as the secondary antibody. Nuclei were counterstained with DAPI.

This data was developed using the same antibody clone in a different buffer formulation containing PBS, BSA, glycerol, and sodium azide (ab32147).

Immunohistochemistry (Formalin/PFA-fixed paraffin-embedded sections) - Anti-Cdk2 antibody [E304] - BSA and Azide free (AB208697)
  • IHC-P

Unknown

Immunohistochemistry (Formalin/PFA-fixed paraffin-embedded sections) - Anti-Cdk2 antibody [E304] - BSA and Azide free (AB208697)

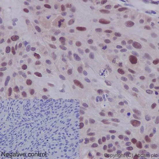
ab32147 staining Cdk2 in human squamous cell carcinoma of cervix tissue sections by Immunohistochemistry (IHC-P - paraformaldehyde-fixed, paraffin-embedded sections). Tissue was fixed and paraffin-embedded, antigen retrieval was by heat mediation in Tris/EDTA buffer pH9. Samples were incubated with primary antibody (1/50). An undiluted HRP-conjugated mouse anti-rabbit IgG was used as the secondary antibody. Tissue counterstained with Hematoxylin. PBS was used in the negative control rather than the Primary antibody.

This data was developed using the same antibody clone in a different buffer formulation containing PBS, BSA, glycerol, and sodium azide (ab32147).

Immunohistochemistry (Formalin/PFA-fixed paraffin-embedded sections) - Anti-Cdk2 antibody [E304] - BSA and Azide free (AB208697)
  • IHC-P

Unknown

Immunohistochemistry (Formalin/PFA-fixed paraffin-embedded sections) - Anti-Cdk2 antibody [E304] - BSA and Azide free (AB208697)

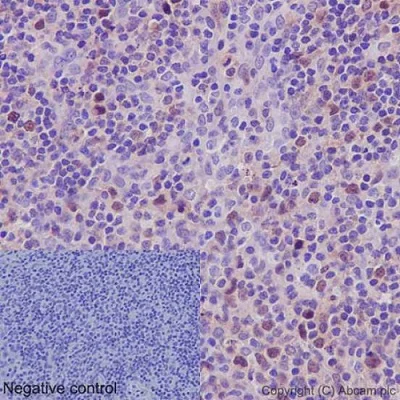
ab32147 staining Cdk2 in human tonsil tissue sections by Immunohistochemistry (IHC-P - paraformaldehyde-fixed, paraffin-embedded sections). Tissue was fixed and paraffin-embedded, antigen retrieval was by heat mediation in Tris/EDTA buffer pH9. Samples were incubated with primary antibody (1/50). An undiluted HRP-conjugated mouse anti-rabbit IgG was used as the secondary antibody. Tissue counterstained with Hematoxylin. PBS was used in the negative control rather than the Primary antibody.

This data was developed using the same antibody clone in a different buffer formulation containing PBS, BSA, glycerol, and sodium azide (ab32147).

Flow Cytometry (Intracellular) - Anti-Cdk2 antibody [E304] - BSA and Azide free (AB208697)
  • Flow Cyt (Intra)

Unknown

Flow Cytometry (Intracellular) - Anti-Cdk2 antibody [E304] - BSA and Azide free (AB208697)

Intracellular Flow Cytometry analysis of HeLa (human cervix adenocarcinoma) cells labelling Cdk2 with purified ab32147 at 1/80 (red). Cells were fixed with 4% paraformaldehyde and permeabilised with 90% methanol. An Alexa Fluor® 488-conjugated goat anti-rabbit IgG (1/2000) was used as the secondary antibody. Black - Isotype control, rabbit monoclonal IgG. Blue - Unlabelled control, cells without incubation with primary and secondary antibodies.

This data was developed using the same antibody clone in a different buffer formulation containing PBS, BSA, glycerol, and sodium azide (ab32147).

Immunocytochemistry/ Immunofluorescence - Anti-Cdk2 antibody [E304] - BSA and Azide free (AB208697)
  • ICC/IF

Lab

Immunocytochemistry/ Immunofluorescence - Anti-Cdk2 antibody [E304] - BSA and Azide free (AB208697)

Clone E304 (ab208697) has been successfully conjugated by Abcam. This image was generated using Anti-Cdk2 antibody [E304] (Alexa Fluor® 647). Please refer to ab206038 for protocol details.

ab206038 staining Cdk2 in HeLa cells. The cells were fixed with 100% methanol (5min), permeabilized with 0.1% Triton X-100 for 5 minutes and then blocked with 1% BSA/10% normal goat serum/0.3M glycine in 0.1% PBS-Tween for 1h. The cells were then incubated overnight at +4°C with ab206038 at 1/100 dilution (shown in red) and ab195887, Mouse monoclonal to alpha Tubulin (Alexa Fluor® 488), at 1/250 dilution (shown in green). Nuclear DNA was labelled with DAPI (shown in blue).

Image was taken with a confocal microscope (Leica-Microsystems, TCS SP8).

Immunoprecipitation - Anti-Cdk2 antibody [E304] - BSA and Azide free (AB208697)
  • IP

Unknown

Immunoprecipitation - Anti-Cdk2 antibody [E304] - BSA and Azide free (AB208697)

ab32147 (purified) at 1/40 immunoprecipitating Cdk2 from HeLa cells(Lane 1). Lane 2 - PBS. For western blotting, a HRP-conjugated anti-rabbit IgG, specific to the non-reduced form of IgG was used as the secondary antibody (1/1000).

Blocking buffer and concentration : 5% NFDM/TBST.

Diluting buffer and concentration : 5% NFDM /TBST.

This data was developed using the same antibody clone in a different buffer formulation containing PBS, BSA, glycerol, and sodium azide (ab32147).

All lanes:

Immunoprecipitation - Anti-Cdk2 antibody [E304] (<a href='/en-us/products/primary-antibodies/cdk2-antibody-e304-ab32147'>ab32147</a>)

Predicted band size: 34 kDa

false

Western blot - Anti-Cdk2 antibody [E304] - BSA and Azide free (AB208697)
  • WB

Unknown

Western blot - Anti-Cdk2 antibody [E304] - BSA and Azide free (AB208697)

This WB data was generated using the same anti-Cdk2 antibody clone, E304, in a different buffer formulation (cat# ab32147).

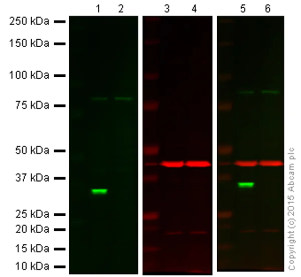
Lanes 1, 3 and 5 : Wild-type HAP1 cell lysate (20 μg)
Lanes 2, 4 and 6 : CDK2 knockout HAP1 cell lysate (20 μg)
Lanes 1 and 2 : Green signal from target – ab32147 observed at 34 kDa
Lanes 3 and 4 : Red signal from loading control – ab8226 observed at 42 kDa
Lanes 5 and 6 : Merged (red and green) signal

ab32147 was shown to specifically react with CDK2 when CDK2 knockout samples were used. Wild-type and CDK2 knockout samples were subjected to SDS-PAGE. ab32147 and ab8226 (loading control to beta actin) were both diluted 1/1000 and incubated overnight at 4°C. Blots were developed with Goat anti-Rabbit IgG H&L (IRDye® 800CW) preadsorbed (ab216773) and Goat anti-Mouse IgG H&L (IRDye® 680RD) preadsorbed (ab216776) secondary antibodies at 1/10 000 dilution for 1 h at room temperature before imaging.

All lanes:

Western blot - Anti-Cdk2 antibody [E304] (<a href='/en-us/products/primary-antibodies/cdk2-antibody-e304-ab32147'>ab32147</a>)

Predicted band size: 34 kDa

false

Key facts

Host species

Rabbit

Clonality

Monoclonal

Clone number

E304

Isotype

IgG

Carrier free

Yes

Reacts with

Mouse, Rat, Human

Applications

ICC/IF, WB, IHC-P, IP, Flow Cyt (Intra)

applications

Immunogen

The exact immunogen used to generate this antibody is proprietary information.

Epitope

The epitope is within the C-terminus of human Cdk2

Reactivity data

{ "title": "Reactivity Data", "filters": { "stats": ["", "Species", "Dilution Info", "Notes"], "tabs": { "all-applications": {"fullname" : "All Applications", "shortname": "All Applications"}, "ICCIF" : {"fullname" : "Immunocytochemistry/ Immunofluorescence", "shortname":"ICC/IF"}, "IP" : {"fullname" : "Immunoprecipitation", "shortname":"IP"}, "WB" : {"fullname" : "Western blot", "shortname":"WB"}, "FlowCytIntra" : {"fullname" : "Flow Cytometry (Intracellular)", "shortname":"Flow Cyt (Intra)"}, "IHCP" : {"fullname" : "Immunohistochemistry (Formalin/PFA-fixed paraffin-embedded sections)", "shortname":"IHC-P"} }, "product-promise": { "all": "all", "testedAndGuaranteed": "tested", "guaranteed": "expected", "predicted": "predicted", "notRecommended": "not-recommended" } }, "values": { "Human": { "ICCIF-species-checked": "testedAndGuaranteed", "ICCIF-species-dilution-info": "", "ICCIF-species-notes": "<p></p>", "IP-species-checked": "testedAndGuaranteed", "IP-species-dilution-info": "", "IP-species-notes": "<p></p>", "WB-species-checked": "testedAndGuaranteed", "WB-species-dilution-info": "", "WB-species-notes": "<p></p>", "FlowCytIntra-species-checked": "testedAndGuaranteed", "FlowCytIntra-species-dilution-info": "", "FlowCytIntra-species-notes": "<p><a href='/en-us/products/primary-antibodies/rabbit-igg-monoclonal-epr25a-isotype-control-low-endotoxin-azide-free-ab199376'>ab199376</a> - Rabbit monoclonal IgG, is suitable for use as an isotype control with this antibody.</p>", "IHCP-species-checked": "testedAndGuaranteed", "IHCP-species-dilution-info": "", "IHCP-species-notes": "<p></p>" }, "Mouse": { "ICCIF-species-checked": "guaranteed", "ICCIF-species-dilution-info": "", "ICCIF-species-notes": "", "IP-species-checked": "guaranteed", "IP-species-dilution-info": "", "IP-species-notes": "", "WB-species-checked": "testedAndGuaranteed", "WB-species-dilution-info": "", "WB-species-notes": "<p></p>", "FlowCytIntra-species-checked": "guaranteed", "FlowCytIntra-species-dilution-info": "", "FlowCytIntra-species-notes": "", "IHCP-species-checked": "guaranteed", "IHCP-species-dilution-info": "", "IHCP-species-notes": "" }, "Rat": { "ICCIF-species-checked": "guaranteed", "ICCIF-species-dilution-info": "", "ICCIF-species-notes": "", "IP-species-checked": "guaranteed", "IP-species-dilution-info": "", "IP-species-notes": "", "WB-species-checked": "testedAndGuaranteed", "WB-species-dilution-info": "", "WB-species-notes": "<p></p>", "FlowCytIntra-species-checked": "guaranteed", "FlowCytIntra-species-dilution-info": "", "FlowCytIntra-species-notes": "", "IHCP-species-checked": "guaranteed", "IHCP-species-dilution-info": "", "IHCP-species-notes": "" } } }

Product details

ab208697 is the carrier-free version of ab32147.

Patented technology
Our RabMAb® technology is a patented hybridoma-based technology for making rabbit monoclonal antibodies. For details on our patents, please refer to RabMAb® patents.

What are the advantages of a recombinant monoclonal antibody?
This product is a recombinant monoclonal antibody, which offers several advantages including:

  • - High batch-to-batch consistency and reproducibility
  • - Improved sensitivity and specificity
  • - Long-term security of supply
  • - Animal-free batch production

For more information, read more on recombinant antibodies.

Conjugation ready
Our carrier-free antibodies are typically supplied in a PBS-only formulation, purified and free of BSA, sodium azide and glycerol. This conjugation-ready format is designed for use with fluorochromes, metal isotopes, oligonucleotides, and enzymes, which makes them ideal for antibody labelling, functional and cell-based assays, flow-based assays (e.g. mass cytometry) and Multiplex Imaging applications.

Use our conjugation kits for antibody conjugates that are ready-to-use in as little as 20 minutes with 1 minute hands-on-time and 100% antibody recovery: available for fluorescent dyes, HRP, biotin and gold.

Compatibility
This product is compatible with the Maxpar® Antibody Labeling Kit from Fluidigm, without the need for antibody preparation. Maxpar® is a trademark of Fluidigm Canada Inc.

Properties and storage information

Form
Liquid
Purification technique
Affinity purification Protein A
Storage buffer
pH: 7.2 - 7.4 Constituents: PBS
Shipped at conditions
Blue Ice
Appropriate short-term storage conditions
+4°C
Appropriate long-term storage conditions
+4°C
Storage information
Do Not Freeze

Product protocols

For this product, it's our understanding that no specific protocols are required. You can visit:

Target data

Serine/threonine-protein kinase involved in the control of the cell cycle; essential for meiosis, but dispensable for mitosis (PubMed : 10499802, PubMed : 10884347, PubMed : 10995386, PubMed : 10995387, PubMed : 11051553, PubMed : 11113184, PubMed : 12944431, PubMed : 15800615, PubMed : 17495531, PubMed : 19966300, PubMed : 20935635, PubMed : 21262353, PubMed : 21596315, PubMed : 28216226, PubMed : 28666995). Phosphorylates CABLES1, CTNNB1, CDK2AP2, ERCC6, NBN, USP37, p53/TP53, NPM1, CDK7, RB1, BRCA2, MYC, NPAT, EZH2 (PubMed : 10499802, PubMed : 10995386, PubMed : 10995387, PubMed : 11051553, PubMed : 11113184, PubMed : 12944431, PubMed : 15800615, PubMed : 19966300, PubMed : 20935635, PubMed : 21262353, PubMed : 21596315, PubMed : 28216226). Triggers duplication of centrosomes and DNA (PubMed : 11051553). Acts at the G1-S transition to promote the E2F transcriptional program and the initiation of DNA synthesis, and modulates G2 progression; controls the timing of entry into mitosis/meiosis by controlling the subsequent activation of cyclin B/CDK1 by phosphorylation, and coordinates the activation of cyclin B/CDK1 at the centrosome and in the nucleus (PubMed : 18372919, PubMed : 19238148, PubMed : 19561645). Crucial role in orchestrating a fine balance between cellular proliferation, cell death, and DNA repair in embryonic stem cells (ESCs) (PubMed : 18372919, PubMed : 19238148, PubMed : 19561645). Activity of CDK2 is maximal during S phase and G2; activated by interaction with cyclin E during the early stages of DNA synthesis to permit G1-S transition, and subsequently activated by cyclin A2 (cyclin A1 in germ cells) during the late stages of DNA replication to drive the transition from S phase to mitosis, the G2 phase (PubMed : 18372919, PubMed : 19238148, PubMed : 19561645). EZH2 phosphorylation promotes H3K27me3 maintenance and epigenetic gene silencing (PubMed : 20935635). Cyclin E/CDK2 prevents oxidative stress-mediated Ras-induced senescence by phosphorylating MYC (PubMed : 19966300). Involved in G1-S phase DNA damage checkpoint that prevents cells with damaged DNA from initiating mitosis; regulates homologous recombination-dependent repair by phosphorylating BRCA2, this phosphorylation is low in S phase when recombination is active, but increases as cells progress towards mitosis (PubMed : 15800615, PubMed : 20195506, PubMed : 21319273). In response to DNA damage, double-strand break repair by homologous recombination a reduction of CDK2-mediated BRCA2 phosphorylation (PubMed : 15800615). Involved in regulation of telomere repair by mediating phosphorylation of NBN (PubMed : 28216226). Phosphorylation of RB1 disturbs its interaction with E2F1 (PubMed : 10499802). NPM1 phosphorylation by cyclin E/CDK2 promotes its dissociates from unduplicated centrosomes, thus initiating centrosome duplication (PubMed : 11051553). Cyclin E/CDK2-mediated phosphorylation of NPAT at G1-S transition and until prophase stimulates the NPAT-mediated activation of histone gene transcription during S phase (PubMed : 10995386, PubMed : 10995387). Required for vitamin D-mediated growth inhibition by being itself inactivated (PubMed : 20147522). Involved in the nitric oxide- (NO) mediated signaling in a nitrosylation/activation-dependent manner (PubMed : 20079829). USP37 is activated by phosphorylation and thus triggers G1-S transition (PubMed : 21596315). CTNNB1 phosphorylation regulates insulin internalization (PubMed : 21262353). Phosphorylates FOXP3 and negatively regulates its transcriptional activity and protein stability (By similarity). Phosphorylates ERCC6 which is essential for its chromatin remodeling activity at DNA double-strand breaks (PubMed : 29203878).
See full target information CDK2

Publications (4)

Recent publications for all applications. Explore the full list and refine your search

Oncology letters 16:3706-3714 PubMed30127981

2018

si-TP73-AS1 suppressed proliferation and increased the chemotherapeutic response of GC cells to cisplatin.

Applications

Unspecified application

Species

Unspecified reactive species

Jianjun Peng

Molecular and cellular biology 34:4232-43 PubMed25246633

2014

ERBB2 deficiency alters an E2F-1-dependent adaptive stress response and leads to cardiac dysfunction.

Applications

WB, WB

Species

Human, Mouse

Marie-Claude Perry,Catherine R Dufour,Lillian J Eichner,David W K Tsang,Geneviève Deblois,William J Muller,Vincent Giguère

Yonsei medical journal 53:834-41 PubMed22665354

2012

Capsaicin-induced apoptosis of FaDu human pharyngeal squamous carcinoma cells.

Applications

WB

Species

Unspecified reactive species

Thanh-Do Le,Dongchun Jin,Dong Chun Jin,Se Ra Rho,Myung Su Kim,Rina Yu,Hoon Yoo

International journal of molecular sciences 13:828-39 PubMed22312289

2012

Lewis y regulate cell cycle related factors in ovarian carcinoma cell RMG-I in vitro via ERK and Akt signaling pathways.

Applications

WB

Species

Unspecified reactive species

Dawo Liu,Juanjuan Liu,Bei Lin,Shuice Liu,Rui Hou,Yingying Hao,Qing Liu,Shulan Zhang,Masao Iwamori
View all publications

Product promise

We are committed to supporting your work with high-quality reagents, and we're here for you every step of the way. In the unlikely event that one of our products does not perform as expected, you're protected by our Product Promise.
For full details, please see our Terms & Conditions

Please note: All products are 'FOR RESEARCH USE ONLY. NOT FOR USE IN DIAGNOSTIC OR THERAPEUTIC PROCEDURES'.

For licensing inquiries, please contact partnerships@abcam.com