JavaScript is disabled in your browser. Please enable JavaScript to view this website.
AB101682

Anti-Cdk2 antibody [SP80]

  • BOND RX™ Validated
  • RabMAb
  • Recombinant
  • KO Validated
  • What is this?

Be the first to review this product! Submit a review

|

(6 Publications)

Rabbit Recombinant Monoclonal CDK2 antibody. Suitable for WB, IHC-P and reacts with Human, Mouse, Rat samples. Cited in 6 publications.

View Alternative Names

CDKN2, CDK2, Cyclin-dependent kinase 2, Cell division protein kinase 2, p33 protein kinase

6 Images
Immunohistochemistry (Formalin/PFA-fixed paraffin-embedded sections) - Anti-Cdk2 antibody [SP80] (AB101682)
  • IHC-P

Unknown

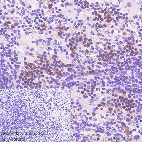
Immunohistochemistry (Formalin/PFA-fixed paraffin-embedded sections) - Anti-Cdk2 antibody [SP80] (AB101682)

Immunohistochemistry (Formalin/PFA-fixed paraffin-embedded sections) analysis of Human tonsil tissue sections labeling Cdk2 with ab101682 at 1/50 dilution (2.20 μg/ml). Heat mediated antigen retrieval with Citrate buffer (pH 6.0, epitope retrieval solution 1) for 10mins. Goat Anti-Rabbit & Mouse IgG (HRP) was used as the secondary antibody. Hematoxylin was used as a counterstain. Mainly nuclear staining on the human tonsil, performed on a Leica Biosystems BOND™ RX instrument.
The section was incubated with ab101682 for 30 mins at room temperature.

Immunohistochemistry (Formalin/PFA-fixed paraffin-embedded sections) - Anti-Cdk2 antibody [SP80] (AB101682)
  • IHC-P

Unknown

Immunohistochemistry (Formalin/PFA-fixed paraffin-embedded sections) - Anti-Cdk2 antibody [SP80] (AB101682)

Immunohistochemical analysis of Cdk2 expression in formalin-fixed, paraffin-embedded Human tonsil using ab101682 at 1/100 dilution.

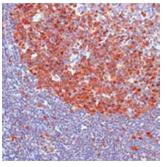
Immunohistochemistry (Formalin/PFA-fixed paraffin-embedded sections) - Anti-Cdk2 antibody [SP80] (AB101682)
  • IHC-P

Unknown

Immunohistochemistry (Formalin/PFA-fixed paraffin-embedded sections) - Anti-Cdk2 antibody [SP80] (AB101682)

Immunohistochemistry (Formalin/PFA-fixed paraffin-embedded sections) analysis of Mouse spleen tissue sections labeling Cdk2 with ab101682 at 1/50 dilution (2.20 μg/ml). Heat mediated antigen retrieval with Citrate buffer (pH 6.0, epitope retrieval solution 1) for 10mins. Goat Anti-Rabbit & Mouse IgG (HRP) was used as the secondary antibody. Hematoxylin was used as a counterstain. Mainly nuclear staining on the mouse spleen, performed on a Leica Biosystems BOND™ RX instrument.
The section was incubated with ab101682 for 30 mins at room temperature.

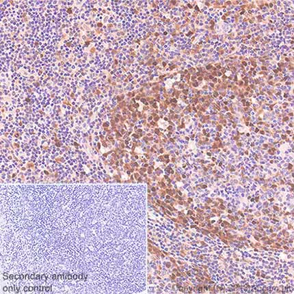
Immunohistochemistry (Formalin/PFA-fixed paraffin-embedded sections) - Anti-Cdk2 antibody [SP80] (AB101682)
  • IHC-P

Unknown

Immunohistochemistry (Formalin/PFA-fixed paraffin-embedded sections) - Anti-Cdk2 antibody [SP80] (AB101682)

Immunohistochemistry (Formalin/PFA-fixed paraffin-embedded sections) analysis of Rat spleen tissue sections labeling Cdk2 with ab101682 at 1/50 dilution (2.20 μg/ml). Heat mediated antigen retrieval with Citrate buffer (pH 6.0, epitope retrieval solution 1) for 10mins. Goat Anti-Rabbit & Mouse IgG (HRP) was used as the secondary antibody. Hematoxylin was used as a counterstain. Mainly nuclear staining on the rat spleen, performed on a Leica Biosystems BOND™ RX instrument.
The section was incubated with ab101682 for 30 mins at room temperature.

Western blot - Anti-Cdk2 antibody [SP80] (AB101682)
  • WB

Lab

Western blot - Anti-Cdk2 antibody [SP80] (AB101682)

Western blot : Anti-CDK2 antibody [SP80] (ab101682) staining at 1/200 dilution, shown in green; Mouse anti-Alpha Tubulin [DM1A] (ab7291) loading control staining at 1/20000 dilution, shown in magenta. In Western blot, ab101682 was shown to bind specifically to CDK2. A band was observed at 34 kDa in wild-type MCF7 cell lysates with no signal observed at this size in CDK2 knockout cell line ab282628. To generate this image, wild-type and CDK2 knockout MCF7 cell lysates were analysed. First, samples were run on an SDS-PAGE gel then transferred onto a nitrocellulose membrane. Membranes were blocked in 3 % milk in TBS-0.1 % Tween® 20 (TBS-T) before incubation with primary antibodies overnight at 4 °C. Blots were washed four times in TBS-T, incubated with secondary antibodies for 1 h at room temperature, washed again four times then imaged. Secondary antibodies used were Goat anti-Rabbit IgG H&L 800CW and Goat anti-Mouse IgG H&L 680RD at 1/20000 dilution.

All lanes:

Western blot - Anti-Cdk2 antibody [SP80] (ab101682) at 1/200 dilution

Lane 1:

Wild-type MCF7 cell lysate at 20 µg

Lane 2:

CDK2 knockout MCF7 cell lysate at 20 µg

Lane 2:

Western blot - Human CDK2 knockout (hetero) MCF7 cell line (ab282628)

Secondary

All lanes:

Goat anti-Rabbit IgG H&L 800CW and Goat anti-Mouse IgG H&L 680RD at 1/20000 dilution

false

Western blot - Anti-Cdk2 antibody [SP80] (AB101682)
  • WB

Unknown

Western blot - Anti-Cdk2 antibody [SP80] (AB101682)

All lanes:

Western blot - Anti-Cdk2 antibody [SP80] (ab101682) at 1/100 dilution

All lanes:

lysate prepared from HeLa cells

Predicted band size: 34 kDa

Observed band size: 33 kDa

false

  • Carrier free

    Anti-Cdk2 antibody [SP80] - BSA and Azide free

Key facts

Host species

Rabbit

Clonality

Monoclonal

Clone number

SP80

Isotype

IgG

Carrier free

No

Reacts with

Mouse, Rat, Human

Applications

IHC-P, WB

applications

Immunogen

The exact immunogen used to generate this antibody is proprietary information.

Specificity

Based on the immunogen sequence, we do not expect the antibody to cross-react with other CDK family members. No cross-reactivity testing has been performed.

Reactivity data

{ "title": "Reactivity Data", "filters": { "stats": ["", "Species", "Dilution Info", "Notes"], "tabs": { "all-applications": {"fullname" : "All Applications", "shortname": "All Applications"}, "WB" : {"fullname" : "Western blot", "shortname":"WB"}, "IHCP" : {"fullname" : "Immunohistochemistry (Formalin/PFA-fixed paraffin-embedded sections)", "shortname":"IHC-P"} }, "product-promise": { "all": "all", "testedAndGuaranteed": "tested", "guaranteed": "expected", "predicted": "predicted", "notRecommended": "not-recommended" } }, "values": { "Human": { "WB-species-checked": "testedAndGuaranteed", "WB-species-dilution-info": "1/50", "WB-species-notes": "<p>for 1 hour at RT.</p>", "IHCP-species-checked": "testedAndGuaranteed", "IHCP-species-dilution-info": "1/100", "IHCP-species-notes": "<p>Incubate for 30 minutes at RT. Antigen retrieval is recommended: boil tissue section in 1mM EDTA, pH 8.0 for 10 min followed by cooling at RT for 20 min.</p>" }, "Mouse": { "WB-species-checked": "guaranteed", "WB-species-dilution-info": "", "WB-species-notes": "", "IHCP-species-checked": "testedAndGuaranteed", "IHCP-species-dilution-info": "1/100", "IHCP-species-notes": "<p>Incubate for 30 minutes at RT. Antigen retrieval is recommended: boil tissue section in 1mM EDTA, pH 8.0 for 10 min followed by cooling at RT for 20 min.</p>" }, "Rat": { "WB-species-checked": "guaranteed", "WB-species-dilution-info": "", "WB-species-notes": "", "IHCP-species-checked": "testedAndGuaranteed", "IHCP-species-dilution-info": "1/100", "IHCP-species-notes": "<p>Incubate for 30 minutes at RT. Antigen retrieval is recommended: boil tissue section in 1mM EDTA, pH 8.0 for 10 min followed by cooling at RT for 20 min.</p>" } } }

Product details

What are the advantages of a recombinant monoclonal antibody?
This product is a recombinant monoclonal antibody, which offers several advantages including:

  • - High batch-to-batch consistency and reproducibility
  • - Improved sensitivity and specificity
  • - Long-term security of supply
  • - Animal-free batch production

For more information, read more on recombinant antibodies.

Properties and storage information

Form
Liquid
Purification technique
Affinity purification Protein A/G
Purification notes
Purified from TCS by protein A/G.
Storage buffer
pH: 7.6 Preservative: 0.1% Sodium azide Constituents: PBS, 1% BSA
Shipped at conditions
Blue Ice
Appropriate short-term storage conditions
+4°C
Appropriate long-term storage conditions
+4°C
Storage information
Do Not Freeze

Product protocols

For this product, it's our understanding that no specific protocols are required. You can visit:

Target data

Serine/threonine-protein kinase involved in the control of the cell cycle; essential for meiosis, but dispensable for mitosis (PubMed : 10499802, PubMed : 10884347, PubMed : 10995386, PubMed : 10995387, PubMed : 11051553, PubMed : 11113184, PubMed : 12944431, PubMed : 15800615, PubMed : 17495531, PubMed : 19966300, PubMed : 20935635, PubMed : 21262353, PubMed : 21596315, PubMed : 28216226, PubMed : 28666995). Phosphorylates CABLES1, CTNNB1, CDK2AP2, ERCC6, NBN, USP37, p53/TP53, NPM1, CDK7, RB1, BRCA2, MYC, NPAT, EZH2 (PubMed : 10499802, PubMed : 10995386, PubMed : 10995387, PubMed : 11051553, PubMed : 11113184, PubMed : 12944431, PubMed : 15800615, PubMed : 19966300, PubMed : 20935635, PubMed : 21262353, PubMed : 21596315, PubMed : 28216226). Triggers duplication of centrosomes and DNA (PubMed : 11051553). Acts at the G1-S transition to promote the E2F transcriptional program and the initiation of DNA synthesis, and modulates G2 progression; controls the timing of entry into mitosis/meiosis by controlling the subsequent activation of cyclin B/CDK1 by phosphorylation, and coordinates the activation of cyclin B/CDK1 at the centrosome and in the nucleus (PubMed : 18372919, PubMed : 19238148, PubMed : 19561645). Crucial role in orchestrating a fine balance between cellular proliferation, cell death, and DNA repair in embryonic stem cells (ESCs) (PubMed : 18372919, PubMed : 19238148, PubMed : 19561645). Activity of CDK2 is maximal during S phase and G2; activated by interaction with cyclin E during the early stages of DNA synthesis to permit G1-S transition, and subsequently activated by cyclin A2 (cyclin A1 in germ cells) during the late stages of DNA replication to drive the transition from S phase to mitosis, the G2 phase (PubMed : 18372919, PubMed : 19238148, PubMed : 19561645). EZH2 phosphorylation promotes H3K27me3 maintenance and epigenetic gene silencing (PubMed : 20935635). Cyclin E/CDK2 prevents oxidative stress-mediated Ras-induced senescence by phosphorylating MYC (PubMed : 19966300). Involved in G1-S phase DNA damage checkpoint that prevents cells with damaged DNA from initiating mitosis; regulates homologous recombination-dependent repair by phosphorylating BRCA2, this phosphorylation is low in S phase when recombination is active, but increases as cells progress towards mitosis (PubMed : 15800615, PubMed : 20195506, PubMed : 21319273). In response to DNA damage, double-strand break repair by homologous recombination a reduction of CDK2-mediated BRCA2 phosphorylation (PubMed : 15800615). Involved in regulation of telomere repair by mediating phosphorylation of NBN (PubMed : 28216226). Phosphorylation of RB1 disturbs its interaction with E2F1 (PubMed : 10499802). NPM1 phosphorylation by cyclin E/CDK2 promotes its dissociates from unduplicated centrosomes, thus initiating centrosome duplication (PubMed : 11051553). Cyclin E/CDK2-mediated phosphorylation of NPAT at G1-S transition and until prophase stimulates the NPAT-mediated activation of histone gene transcription during S phase (PubMed : 10995386, PubMed : 10995387). Required for vitamin D-mediated growth inhibition by being itself inactivated (PubMed : 20147522). Involved in the nitric oxide- (NO) mediated signaling in a nitrosylation/activation-dependent manner (PubMed : 20079829). USP37 is activated by phosphorylation and thus triggers G1-S transition (PubMed : 21596315). CTNNB1 phosphorylation regulates insulin internalization (PubMed : 21262353). Phosphorylates FOXP3 and negatively regulates its transcriptional activity and protein stability (By similarity). Phosphorylates ERCC6 which is essential for its chromatin remodeling activity at DNA double-strand breaks (PubMed : 29203878).
See full target information CDK2

Publications (6)

Recent publications for all applications. Explore the full list and refine your search

Cell death & disease 15:822 PubMed39537605

2024

SPINK13 acts as a tumor suppressor in hepatocellular carcinoma by inhibiting Akt phosphorylation.

Applications

Unspecified application

Species

Unspecified reactive species

Yongzhi Lun,Jie Sun,Ling Wei,Ben Liu,Zhixue Li,Wen Dong,Wenqi Zhao

Journal of Cancer 13:1985-2000 PubMed35399734

2022

ASF1b is a novel prognostic predictor associated with cell cycle signaling pathway in gastric cancer.

Applications

Unspecified application

Species

Unspecified reactive species

Chuanzhi Chen,Haili Bao,Wu Lin,Xiangliu Chen,Yingying Huang,Haohao Wang,Yan Yang,Jin Liu,Xiadong Lv,Lisong Teng

Frontiers in pharmacology 12:764015 PubMed34744744

2021

Aberrant ROS Mediate Cell Cycle and Motility in Colorectal Cancer Cells Through an Oncogenic CXCL14 Signaling Pathway.

Applications

Unspecified application

Species

Unspecified reactive species

Jun Zeng,Mei Li,Jun-Yu Xu,Heng Xiao,Xian Yang,Jiao-Xiu Fan,Kang Wu,Shuang Chen

Journal of hepatocellular carcinoma 8:333-348 PubMed33977095

2021

LncRNA-CCDC144NL-AS1 Promotes the Development of Hepatocellular Carcinoma by Inducing WDR5 Expression via Sponging miR-940.

Applications

Unspecified application

Species

Unspecified reactive species

Yingying Zhang,Hongyu Zhang,Shuhuan Wu

International journal of biological sciences 15:522-532 PubMed30745839

2019

Combined Androgen receptor blockade overcomes the resistance of breast cancer cells to palbociclib.

Applications

Unspecified application

Species

Unspecified reactive species

Wenfei Ji,Yaqin Shi,Xin Wang,Weiwei He,Lin Tang,Shengwang Tian,Hua Jiang,Yongqian Shu,Xiaoxiang Guan

Molecular therapy. Nucleic acids 8:277-290 PubMed28918029

2017

Activation of AMPK Attenuated Cardiac Fibrosis by Inhibiting CDK2 via p21/p27 and miR-29 Family Pathways in Rats.

Applications

Unspecified application

Species

Unspecified reactive species

Hanping Qi,Yan Liu,Shuzhi Li,Yunping Chen,Lei Li,Yonggang Cao,Mingyao E,Pilong Shi,Chao Song,Baiyan Li,Hongli Sun
View all publications

Product promise

We are committed to supporting your work with high-quality reagents, and we're here for you every step of the way. In the unlikely event that one of our products does not perform as expected, you're protected by our Product Promise.
For full details, please see our Terms & Conditions

Please note: All products are 'FOR RESEARCH USE ONLY. NOT FOR USE IN DIAGNOSTIC OR THERAPEUTIC PROCEDURES'.

For licensing inquiries, please contact partnerships@abcam.com