JavaScript is disabled in your browser. Please enable JavaScript to view this website.
AB226474

Anti-Cdk4 antibody

Be the first to review this product! Submit a review

|

(10 Publications)

Rabbit Polyclonal CDK4 antibody. Suitable for IP, WB, IHC-P and reacts with Human samples. Cited in 10 publications. Immunogen corresponding to Synthetic Peptide within Human CDK4 aa 250 to C-terminus.

View Alternative Names

Cyclin-dependent kinase 4, Cell division protein kinase 4, PSK-J3, CDK4

4 Images
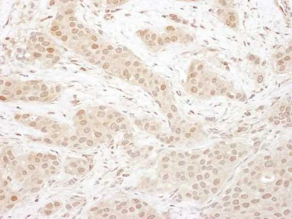
Immunohistochemistry (Formalin/PFA-fixed paraffin-embedded sections) - Anti-Cdk4 antibody (AB226474)
  • IHC-P

Supplier Data

Immunohistochemistry (Formalin/PFA-fixed paraffin-embedded sections) - Anti-Cdk4 antibody (AB226474)

Formalin-fixed, paraffin-embedded human lung cancer tissue stained for Cdk4 using ab226474 at 1 : 1000 dilution in immunohistochemical analysis.

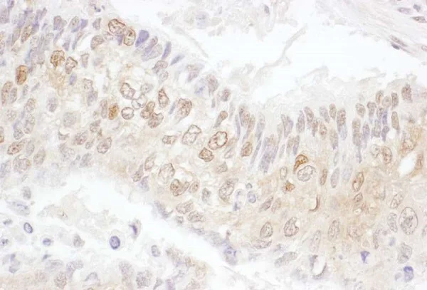
Immunohistochemistry (Formalin/PFA-fixed paraffin-embedded sections) - Anti-Cdk4 antibody (AB226474)
  • IHC-P

Supplier Data

Immunohistochemistry (Formalin/PFA-fixed paraffin-embedded sections) - Anti-Cdk4 antibody (AB226474)

Formalin-fixed, paraffin-embedded human breast carcinoma tissue stained for Cdk4 using ab226474 at 1 : 1000 dilution in immunohistochemical analysis.

Immunoprecipitation - Anti-Cdk4 antibody (AB226474)
  • IP

Supplier Data

Immunoprecipitation - Anti-Cdk4 antibody (AB226474)

Cdk4 was immunoprecipitated from HEK-293T (human epithelial cell line from embryonic kidney transformed with large T antigen) whole cell lysate (1.0 mg for IP, 20% of IP loaded) with ab226474 at 6 μg/mg lysate. Western blot was performed from the immunoprecipitate using a different rabbit anti-Cdk4 antibody at 1 μg/ml.

Lane 1 : ab226474 IP in HEK-293T whole cell lysate.

Lane 2 : Control IgG IP in HEK-293T whole cell lysate.

Detection : Chemiluminescence with exposure time of 10 seconds.

All lanes:

Immunoprecipitation - Anti-Cdk4 antibody (ab226474)

Predicted band size: 34 kDa

true

Exposure time: 10s

Western blot - Anti-Cdk4 antibody (AB226474)
  • WB

Supplier Data

Western blot - Anti-Cdk4 antibody (AB226474)

All lanes:

Western blot - Anti-Cdk4 antibody (ab226474) at 0.1 µg/mL

Lane 1:

HeLa (human epithelial cell line from cervix adenocarcinoma) cell lysate at 50 µg

Lane 2:

HEK-293T (human epithelial cell line from embryonic kidney transformed with large T antigen) cell lysate at 50 µg

Lane 3:

Jurkat (human T cell leukemia cell line from peripheral blood) cell lysate at 50 µg

Predicted band size: 34 kDa

true

Exposure time: 30s

Key facts

Host species

Rabbit

Clonality

Polyclonal

Isotype

IgG

Carrier free

No

Reacts with

Human

Applications

IP, IHC-P, WB

applications

Immunogen

Synthetic Peptide within Human CDK4 aa 250 to C-terminus. The exact immunogen used to generate this antibody is proprietary information.

P11802

Reactivity data

{ "title": "Reactivity Data", "filters": { "stats": ["", "Species", "Dilution Info", "Notes"], "tabs": { "all-applications": {"fullname" : "All Applications", "shortname": "All Applications"}, "IP" : {"fullname" : "Immunoprecipitation", "shortname":"IP"}, "WB" : {"fullname" : "Western blot", "shortname":"WB"}, "IHCP" : {"fullname" : "Immunohistochemistry (Formalin/PFA-fixed paraffin-embedded sections)", "shortname":"IHC-P"} }, "product-promise": { "all": "all", "testedAndGuaranteed": "tested", "guaranteed": "expected", "predicted": "predicted", "notRecommended": "not-recommended" } }, "values": { "Human": { "IP-species-checked": "testedAndGuaranteed", "IP-species-dilution-info": "2-10 µg/mg of lysate", "IP-species-notes": "<p></p>", "WB-species-checked": "testedAndGuaranteed", "WB-species-dilution-info": "1/2000 - 1/10000", "WB-species-notes": "<p></p>", "IHCP-species-checked": "testedAndGuaranteed", "IHCP-species-dilution-info": "1/500 - 1/2000", "IHCP-species-notes": "<p>Epitope retrieval with citrate buffer pH6.0 isrecommended for FFPE tissue sections.</p>" } } }

Properties and storage information

Form
Liquid
Purification technique
Affinity purification Immunogen
Storage buffer
pH: 7 - 8 Preservative: 0.09% Sodium azide Constituents: Tris citrate/phosphate
Shipped at conditions
Blue Ice
Appropriate short-term storage duration
1-2 weeks
Appropriate short-term storage conditions
+4°C
Appropriate long-term storage conditions
+4°C
Aliquoting information
Upon delivery aliquot
Storage information
Avoid freeze / thaw cycle

Supplementary information

This supplementary information is collated from multiple sources and compiled automatically.

Cdk4 also known as Cyclin-dependent kinase 4 is a serine/threonine kinase involved in cell cycle regulation. Cdk4 has a molecular weight of approximately 34 kDa. This protein mainly locates in the nucleus of the cell and its expression occurs in diverse tissues. Cdk4 partners with D-type cyclins to exert its function which is essential for the transition from the G1 phase to the S phase of the cell cycle. Researchers often study Cdk4 using techniques like immunohistochemistry (IHC) to determine its expression and localization in different tissues.
Biological function summary

Cdk4 plays a fundamental role in cell cycle regulation by forming a complex with D-type cyclins. Together they phosphorylate the retinoblastoma protein (Rb) resulting in the release of E2F transcription factors which promote the expression of genes necessary for DNA replication. The Cdk4/cyclin D complex regulates the cell's commitment to enter S phase and continue cell division. This regulation is key for normal cell proliferation and tissue homeostasis. Cdk4 activity is strictly controlled by INK4 family members acting as inhibitors and adding an extra regulation layer.

Pathways

Cdk4 is an integral part of important signaling pathways like the cell cycle and PI3K/AKT pathways. In the cell cycle pathway Cdk4 relays signals downstream that drive the transition from the G1 to S phase through its interaction with cyclin D and Rb. In the PI3K/AKT pathway signaling can influence cyclin D expression indirectly affecting Cdk4 activity. Proteins such as Cdk6 closely relate to Cdk4 and often compensate or partner with Cdk4 in these pathways to maintain proper cell cycle progression.

Abnormalities in Cdk4 function or regulation relate to cancer and certain metabolic syndromes. Hyperactivity of Cdk4 due to overexpression or mutation frequently occurs in several cancers including melanoma and breast cancer. In these malignancies Cdk4 aberrantly drives excessive cell proliferation. Mutations or alterations in proteins such as p16 an inhibitor of Cdk4 are often found in these cancers highlighting the critical role of Cdk4 in disease progression. Understanding the role of Cdk4 allows researchers to develop targeted therapies such as Cdk4/6 inhibitors offering new treatment options.

Product protocols

For this product, it's our understanding that no specific protocols are required. You can visit:

Target data

Ser/Thr-kinase component of cyclin D-CDK4 (DC) complexes that phosphorylate and inhibit members of the retinoblastoma (RB) protein family including RB1 and regulate the cell-cycle during G(1)/S transition. Phosphorylation of RB1 allows dissociation of the transcription factor E2F from the RB/E2F complexes and the subsequent transcription of E2F target genes which are responsible for the progression through the G(1) phase. Hypophosphorylates RB1 in early G(1) phase. Cyclin D-CDK4 complexes are major integrators of various mitogenenic and antimitogenic signals. Also phosphorylates SMAD3 in a cell-cycle-dependent manner and represses its transcriptional activity. Component of the ternary complex, cyclin D/CDK4/CDKN1B, required for nuclear translocation and activity of the cyclin D-CDK4 complex.
See full target information CDK4

Publications (10)

Recent publications for all applications. Explore the full list and refine your search

Cell adhesion & migration 18:1-12 PubMed38831518

2024

Knockdown of PIK3R6 impedes the onset and advancement of clear cell renal cell carcinoma.

Applications

Unspecified application

Species

Unspecified reactive species

Jia Yang,Xiaoni Zhong,Xiaoling Gao,Wenyi Xie,Yaokai Chen,Yuanjiang Liao,Peilin Zhang

Heliyon 10:e31520 PubMed38828336

2024

ANGPTL3 diminishes the resistance of ovarian cancer to paclitaxel by blocking the PI3K-AKT-mTOR signaling pathway.

Applications

Unspecified application

Species

Unspecified reactive species

Dandan Wu,Jia Liu,Xin Yang,Zhifen Wu,Tingzhao Wang,Meiqin Xiao

Cellular & molecular biology letters 27:39 PubMed35578166

2022

Identification and validation of an eight-lncRNA signature that predicts prognosis in patients with esophageal squamous cell carcinoma.

Applications

Unspecified application

Species

Unspecified reactive species

Jinfeng Zhang,Xiaodong Ling,Chengyuan Fang,Jianqun Ma

Cellular & molecular biology letters 27:25 PubMed35260070

2022

MiR-5195-3p functions as a tumor suppressor in prostate cancer via targeting CCNL1.

Applications

Unspecified application

Species

Unspecified reactive species

Xing Zeng,Zhiquan Hu,Yuanqing Shen,Xian Wei,Jiahua Gan,Zheng Liu

Polish journal of pathology : official journal of the Polish Society of Pathologists 73:364-370 PubMed36946274

2022

Atypical spindle cell lipomatous tumour presenting as a large retroperitoneal mass - a case report and review of the literature.

Applications

Unspecified application

Species

Unspecified reactive species

Martyna Krupinska,Carmen León,Rocío López Henríquez,Beatriz Esquivel Vázquez,Rosa Nieves Rodríguez Rodríguez,Patricia Marrero Marrero,Luciano Delgado Plasencia,Eduardo Salido

Oncology letters 21:389 PubMed33777212

2021

MicroRNA-365b-3p represses the proliferation and promotes the apoptosis of non-small cell lung cancer cells by targeting PPP5C.

Applications

Unspecified application

Species

Unspecified reactive species

Xiaomiao Zhang,Jin Wang,Yuqin Pan,Jun Zhao,Yingge Pan,Yunqi Yan,Zhenya Shen

Journal of cellular physiology 236:7001-7013 PubMed33724469

2021

PTHrP promotes development of mouse preimplantation embryos through the AKT/cyclin D1 pathway and nuclear translocation of HDAC4.

Applications

Unspecified application

Species

Unspecified reactive species

Yuan-Yuan Li,Lei Guo,Hui Li,Wen-Long Lei,Li-Hua Fan,Ying-Chun Ouyang,Yi Hou,Zhen-Bo Wang,Qing-Yuan Sun,Sheng-Sheng Lu,Zhiming Han

Journal of cellular and molecular medicine 25:2238-2253 PubMed33439514

2021

Piezo type mechanosensitive ion channel component 1 facilitates gastric cancer omentum metastasis.

Applications

Unspecified application

Species

Unspecified reactive species

Xiaofei Wang,Guang Cheng,Yu Miao,Fangyuan Qiu,Lugen Bai,Zhongfei Gao,Yunning Huang,Liru Dong,Xing Niu,Xin Wang,Yuyang Li,Hui Tang,Yuanyi Xu,Xudong Song

Oncology reports 45:706-716 PubMed33416185

2021

miRNA‑490‑3p promotes the metastatic progression of invasive ductal carcinoma.

Applications

Unspecified application

Species

Unspecified reactive species

Ning Lu,Mei Zhang,Lu Lu,Yan-Zhao Liu,Hai-Hong Zhang,Xiao-Dong Liu

International journal of cancer 144:2516-2528 PubMed30415472

2018

Upregulation of mtSSB by interleukin-6 promotes cell growth through mitochondrial biogenesis-mediated telomerase activation in colorectal cancer.

Applications

Unspecified application

Species

Unspecified reactive species

Gang Wang,Qian Wang,Qichao Huang,Yibing Chen,Xiacheng Sun,Linjie He,Lei Zhan,Xu Guo,Chun Yin,Yujiang Fang,Xianli He,Jinliang Xing
View all publications

Product promise

We are committed to supporting your work with high-quality reagents, and we're here for you every step of the way. In the unlikely event that one of our products does not perform as expected, you're protected by our Product Promise.
For full details, please see our Terms & Conditions

Please note: All products are 'FOR RESEARCH USE ONLY. NOT FOR USE IN DIAGNOSTIC OR THERAPEUTIC PROCEDURES'.

For licensing inquiries, please contact partnerships@abcam.com