JavaScript is disabled in your browser. Please enable JavaScript to view this website.
AB213216

Anti-Cdk4 antibody [EPR4513-32-7] - BSA and Azide free

Be the first to review this product! Submit a review

|

(3 Publications)

Rabbit Recombinant Monoclonal CDK4 antibody. Carrier free. Suitable for IHC-P, WB, ICC/IF, Flow Cyt (Intra) and reacts with Human samples. Cited in 3 publications.

View Alternative Names

Cyclin-dependent kinase 4, Cell division protein kinase 4, PSK-J3, CDK4

9 Images
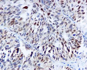
Immunohistochemistry (Formalin/PFA-fixed paraffin-embedded sections) - Anti-Cdk4 antibody [EPR4513-32-7] - BSA and Azide free (AB213216)
  • IHC-P

Lab

Immunohistochemistry (Formalin/PFA-fixed paraffin-embedded sections) - Anti-Cdk4 antibody [EPR4513-32-7] - BSA and Azide free (AB213216)

Immunohistochemistry (Formalin/PFA-fixed paraffin-embedded sections) analysis of human cervix carcinoma tissue labeling Cdk4 with purified ab108357 at 1/100. Heat mediated antigen retrieval was performed using Tris/EDTA buffer (pH 9). ab97051, a HRP-conjugated goat anti-rabbit IgG (H+L), was used as the secondary antibody (1/500). Negative control using PBS instead of primary antibody. Counterstained with hematoxylin.

This data was developed using the same antibody clone in a different buffer formulation containing PBS, BSA, glycerol, and sodium azide (ab108357).

Flow Cytometry (Intracellular) - Anti-Cdk4 antibody [EPR4513-32-7] - BSA and Azide free (AB213216)
  • Flow Cyt (Intra)

Lab

Flow Cytometry (Intracellular) - Anti-Cdk4 antibody [EPR4513-32-7] - BSA and Azide free (AB213216)

Flow Cytometry analysis of MCF7 cells labelling Cdk4 with purified ab108357 at 1/40 (red). Cells were fixed with 2% paraformaldehyde. A FITC-conjugated goat anti-rabbit IgG (1/150) was used as the secondary antibody. Black - Isotype control, rabbit monoclonal IgG. Blue - Unlabelled control, cells without incubation with primary and secondary antibodies.

This data was developed using the same antibody clone in a different buffer formulation containing PBS, BSA, glycerol, and sodium azide (ab108357).

Flow Cytometry (Intracellular) - Anti-Cdk4 antibody [EPR4513-32-7] - BSA and Azide free (AB213216)
  • Flow Cyt (Intra)

Lab

Flow Cytometry (Intracellular) - Anti-Cdk4 antibody [EPR4513-32-7] - BSA and Azide free (AB213216)

ab108357 staining CDK4 in the human cell line MCF-7 (human breast carcinoma) by intracellular flow cytometry. Cells were fixed with 4% paraformaldehyde, permeabilized with 90% methanol and the sample was incubated with the primary antibody at a dilution of 1/20. A goat anti rabbit IgG (Alexa Fluor® 488) at a dilution of 1/2000 was used as the secondary antibody.

Isoytype control : Rabbit monoclonal IgG (Black)

Unlabeled control : Cell without incubation with primary antibody and secondary antibody (Blue)

This data was developed using the same antibody clone in a different buffer formulation containing PBS, BSA, glycerol, and sodium azide (ab108357).

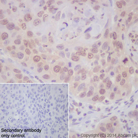
Immunohistochemistry (Formalin/PFA-fixed paraffin-embedded sections) - Anti-Cdk4 antibody [EPR4513-32-7] - BSA and Azide free (AB213216)
  • IHC-P

Unknown

Immunohistochemistry (Formalin/PFA-fixed paraffin-embedded sections) - Anti-Cdk4 antibody [EPR4513-32-7] - BSA and Azide free (AB213216)

Immunohistochemical analysis of formalin/PFA-fixed paraffin-embedded human urothelial carcinoma tissue labelling Cdk4 with unpurified ab108357 at a dilution of 1/100.

This data was developed using the same antibody clone in a different buffer formulation containing PBS, BSA, glycerol, and sodium azide (ab108357).

Immunocytochemistry/ Immunofluorescence - Anti-Cdk4 antibody [EPR4513-32-7] - BSA and Azide free (AB213216)
  • ICC/IF

Lab

Immunocytochemistry/ Immunofluorescence - Anti-Cdk4 antibody [EPR4513-32-7] - BSA and Azide free (AB213216)

ab108357 staining Cdk4 in wild-type HAP1 cells (top panel) and Cdk4 knockout HAP1 cells (bottom panel). The cells were fixed with 4% formaldehyde (10min), permeabilized with 0.1% Triton X-100 for 5 minutes and then blocked with 1% BSA/10% normal goat serum/0.3M glycine in 0.1% PBS-Tween for 1h. The cells were then incubated with ab108357 at 1/500 dilution and ab195889 at 1/250 dilution (shown in pseudo colour red) overnight at +4°C, followed by a further incubation at room temperature for 1h with a goat secondary antibody to Rabbit IgG (Alexa Fluor® 488) (ab150081) at 2 μg/ml (shown in green). Nuclear DNA was labelled in blue with DAPI.

This data was developed using the same antibody clone in a different buffer formulation containing PBS, BSA, glycerol, and sodium azide (ab108357).

Immunocytochemistry/ Immunofluorescence - Anti-Cdk4 antibody [EPR4513-32-7] - BSA and Azide free (AB213216)
  • ICC/IF

Lab

Immunocytochemistry/ Immunofluorescence - Anti-Cdk4 antibody [EPR4513-32-7] - BSA and Azide free (AB213216)

Immunocytochemical analysis of MCF7 cells, labeling Cdk4 with purified ab108357 at 1/100. Cells were fixed with 4% paraformaldehyde and permeabilized with 0.1% Triton X-100. ab150077, an Alexa Fluor® 488-conjugated goat anti-rabbit IgG (1/500), was used as the secondary antibody. DAPI (blue) was used as the nuclear counterstain. ab7291, a mouse anti-tubulin (1/1000) and ab150120, an Alexa Fluor® 594-conjugated goat anti-mouse IgG (1/500) were also used.

Control 1 : primary antibody (1/100) and secondary antibody, ab150120, an Alexa Fluor® 594-conjugated goat anti-mouse IgG (1/500).

Control 2 : ab7291 (1/1000) and secondary antibody, ab150077, an Alexa Fluor® 488-conjugated goat anti-rabbit IgG (1/500).

This data was developed using the same antibody clone in a different buffer formulation containing PBS, BSA, glycerol, and sodium azide (ab108357).

Western blot - Anti-Cdk4 antibody [EPR4513-32-7] - BSA and Azide free (AB213216)
  • WB

Lab

Western blot - Anti-Cdk4 antibody [EPR4513-32-7] - BSA and Azide free (AB213216)

This data was developed using the same antibody clone in a different buffer formulation (ab108357).

Lanes 1- 2 : Merged signal (red and green). Green - ab108357 observed at 34 kDa. Red - Anti-Vinculin antibody [VIN-54] observed at 124 kDa.

ab108357 was shown to react with Cdk4 in wild-type HeLa cells in western blot. Loss of signal was observed when knockout cell line ab255378 (knockout cell lysate ab263780) was used. Wild-type HeLa and CDK4 knockout HeLa cell lysates were subjected to SDS-PAGE. Membrane was blocked for 1 hour at room temperature in 0.1% TBST with 3% non-fat dried milk. ab108357 and Anti-Vinculin antibody [VIN-54] overnight at 4°C at a 1 in 1000 dilution and a 1 in 20000 dilution respectively. Blots were developed with Goat anti-Rabbit IgG H&L (IRDye®800CW) preadsorbed (ab216773) and Goat anti-Mouse IgG H&L (IRDye®680RD) preadsorbed (ab216776) secondary antibodies at 1 in 20000 dilution for 1 hour at room temperature before imaging.

All lanes:

Western blot - Anti-Cdk4 antibody [EPR4513-32-7] (<a href='/en-us/products/primary-antibodies/cdk4-antibody-epr4513-32-7-ab108357'>ab108357</a>) at 1/1000 dilution

Lane 1:

Wild-type HeLa cell lysate at 20 µg

Lane 2:

CDK4 knockout HeLa cell lysate at 20 µg

Lane 2:

Western blot - Human CDK4 knockout HeLa cell line (<a href='/en-us/products/cell-lines/human-cdk4-knockout-hela-cell-line-ab255378'>ab255378</a>)

Predicted band size: 34 kDa,55 kDa

Observed band size: 34 kDa,55 kDa

false

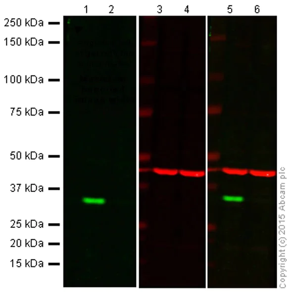
Western blot - Anti-Cdk4 antibody [EPR4513-32-7] - BSA and Azide free (AB213216)
  • WB

Lab

Western blot - Anti-Cdk4 antibody [EPR4513-32-7] - BSA and Azide free (AB213216)

This data was developed using the same antibody clone in a different buffer formulation (ab108357).

Lanes 5 and 6 : Merged signal (red and green). Green - ab108357 observed at 34kDa. Red - loading control to beta actin observed at 40kDa.

ab108357 was shown to specifically react with CDK4 in wild-type HAP1 cells. No band was observed when CDK4 knockout samples were examined. Wild-type and CDK4 knockout samples were subjected to SDS-PAGE. ab108357 and ab8226 (loading control to beta actin) were both diluted at 1/1000 and incubated overnight at 4°C. Blots were developed with Goat anti-Rabbit IgG H&L (IRDye® 800CW) preadsorbed (ab216773) and Goat anti-Mouse IgG H&L (IRDye® 680RD) preadsorbed (ab216776) secondary antibodies at 1/10,000 dilution for 1 hour at room temperature before imaging.

Lanes 1 - 4:

Western blot - Anti-Cdk4 antibody [EPR4513-32-7] - BSA and Azide free (ab213216) at 1/1000 dilution

Lanes 5 - 6:

Western blot - Anti-Cdk4 antibody [EPR4513-32-7] - BSA and Azide free (ab213216)

Lanes 1, 3 and 5:

Wild-type HAP1 cell lysate at 20 µg

Lanes 2, 4 and 6:

CDK4 knockout HAP1 cell lysate at 20 µg

Predicted band size: 34 kDa

false

OI-RD Scanning - Anti-Cdk4 antibody [EPR4513-32-7] - BSA and Azide free (AB213216)
  • OI-RD Scanning

Unknown

OI-RD Scanning - Anti-Cdk4 antibody [EPR4513-32-7] - BSA and Azide free (AB213216)

We have systematically measured KD (the equilibrium dissociation constant between the antibody and its antigen), of more than 840 recombinant antibodies to assess not only their individual KD values but also to see the average affinity of antibody. Based on the comparison with published literature values for mouse monoclonal antibodies, Recombinant antibodies appear to be on average 1-2 order of magnitude higher affinity.

  • Unconjugated

    Anti-Cdk4 antibody [EPR4513-32-7]

  • 565 Alexa Fluor® 555

    Alexa Fluor® 555 Anti-Cdk4 antibody [EPR4513-32-7]

  • 519 Alexa Fluor® 488

    Alexa Fluor® 488 Anti-Cdk4 antibody [EPR4513-32-7]

  • 665 Alexa Fluor® 647

    Alexa Fluor® 647 Anti-Cdk4 antibody [EPR4513-32-7]

  • HRP

    HRP Anti-Cdk4 antibody [EPR4513-32-7] - Loading Control

Key facts

Host species

Rabbit

Clonality

Monoclonal

Clone number

EPR4513-32-7

Isotype

IgG

Carrier free

Yes

Reacts with

Human

Applications

WB, Flow Cyt (Intra), IHC-P, ICC/IF

applications

Immunogen

The exact immunogen used to generate this antibody is proprietary information.

Reactivity data

{ "title": "Reactivity Data", "filters": { "stats": ["", "Species", "Dilution Info", "Notes"], "tabs": { "all-applications": {"fullname" : "All Applications", "shortname": "All Applications"}, "IHCP" : {"fullname" : "Immunohistochemistry (Formalin/PFA-fixed paraffin-embedded sections)", "shortname":"IHC-P"}, "WB" : {"fullname" : "Western blot", "shortname":"WB"}, "ICCIF" : {"fullname" : "Immunocytochemistry/ Immunofluorescence", "shortname":"ICC/IF"}, "FlowCytIntra" : {"fullname" : "Flow Cytometry (Intracellular)", "shortname":"Flow Cyt (Intra)"} }, "product-promise": { "all": "all", "testedAndGuaranteed": "tested", "guaranteed": "expected", "predicted": "predicted", "notRecommended": "not-recommended" } }, "values": { "Human": { "IHCP-species-checked": "testedAndGuaranteed", "IHCP-species-dilution-info": "", "IHCP-species-notes": "<p></p> Perform heat-mediated antigen retrieval before commencing with IHC staining protocol.", "WB-species-checked": "testedAndGuaranteed", "WB-species-dilution-info": "", "WB-species-notes": "<p></p>", "ICCIF-species-checked": "testedAndGuaranteed", "ICCIF-species-dilution-info": "", "ICCIF-species-notes": "<p></p>", "FlowCytIntra-species-checked": "testedAndGuaranteed", "FlowCytIntra-species-dilution-info": "", "FlowCytIntra-species-notes": "<p><a href='/en-us/products/primary-antibodies/rabbit-igg-monoclonal-epr25a-isotype-control-low-endotoxin-azide-free-ab199376'>ab199376</a> - Rabbit monoclonal IgG, is suitable for use as an isotype control with this antibody.</p>" } } }

Product details

Properties and storage information

Form
Liquid
Purification technique
Affinity purification Protein A
Storage buffer
pH: 7.2 - 7.4 Constituents: PBS
Shipped at conditions
Blue Ice
Appropriate short-term storage conditions
+4°C
Appropriate long-term storage conditions
+4°C
Storage information
Do Not Freeze

Supplementary information

This supplementary information is collated from multiple sources and compiled automatically.

Cdk4 also known as Cyclin-dependent kinase 4 is a serine/threonine kinase involved in cell cycle regulation. Cdk4 has a molecular weight of approximately 34 kDa. This protein mainly locates in the nucleus of the cell and its expression occurs in diverse tissues. Cdk4 partners with D-type cyclins to exert its function which is essential for the transition from the G1 phase to the S phase of the cell cycle. Researchers often study Cdk4 using techniques like immunohistochemistry (IHC) to determine its expression and localization in different tissues.
Biological function summary

Cdk4 plays a fundamental role in cell cycle regulation by forming a complex with D-type cyclins. Together they phosphorylate the retinoblastoma protein (Rb) resulting in the release of E2F transcription factors which promote the expression of genes necessary for DNA replication. The Cdk4/cyclin D complex regulates the cell's commitment to enter S phase and continue cell division. This regulation is key for normal cell proliferation and tissue homeostasis. Cdk4 activity is strictly controlled by INK4 family members acting as inhibitors and adding an extra regulation layer.

Pathways

Cdk4 is an integral part of important signaling pathways like the cell cycle and PI3K/AKT pathways. In the cell cycle pathway Cdk4 relays signals downstream that drive the transition from the G1 to S phase through its interaction with cyclin D and Rb. In the PI3K/AKT pathway signaling can influence cyclin D expression indirectly affecting Cdk4 activity. Proteins such as Cdk6 closely relate to Cdk4 and often compensate or partner with Cdk4 in these pathways to maintain proper cell cycle progression.

Abnormalities in Cdk4 function or regulation relate to cancer and certain metabolic syndromes. Hyperactivity of Cdk4 due to overexpression or mutation frequently occurs in several cancers including melanoma and breast cancer. In these malignancies Cdk4 aberrantly drives excessive cell proliferation. Mutations or alterations in proteins such as p16 an inhibitor of Cdk4 are often found in these cancers highlighting the critical role of Cdk4 in disease progression. Understanding the role of Cdk4 allows researchers to develop targeted therapies such as Cdk4/6 inhibitors offering new treatment options.

Product protocols

For this product, it's our understanding that no specific protocols are required. You can visit:

Target data

Ser/Thr-kinase component of cyclin D-CDK4 (DC) complexes that phosphorylate and inhibit members of the retinoblastoma (RB) protein family including RB1 and regulate the cell-cycle during G(1)/S transition. Phosphorylation of RB1 allows dissociation of the transcription factor E2F from the RB/E2F complexes and the subsequent transcription of E2F target genes which are responsible for the progression through the G(1) phase. Hypophosphorylates RB1 in early G(1) phase. Cyclin D-CDK4 complexes are major integrators of various mitogenenic and antimitogenic signals. Also phosphorylates SMAD3 in a cell-cycle-dependent manner and represses its transcriptional activity. Component of the ternary complex, cyclin D/CDK4/CDKN1B, required for nuclear translocation and activity of the cyclin D-CDK4 complex.
See full target information CDK4

Publications (3)

Recent publications for all applications. Explore the full list and refine your search

Molecular medicine reports 13:4279-88 PubMed27035789

2016

MicroRNA-197 inhibits cell proliferation by targeting GAB2 in glioblastoma.

Applications

Unspecified application

Species

Unspecified reactive species

Li-Qiang Tian,En-Qin Liu,Xi-De Zhu,Xin-Gong Wang,Jian Li,Guang-Ming Xu

Oncology reports 35:2315-27 PubMed26782095

2016

RNA-binding motif protein 5 inhibits the proliferation of cigarette smoke-transformed BEAS-2B cells through cell cycle arrest and apoptosis.

Applications

Unspecified application

Species

Unspecified reactive species

Xue-Jiao Lv,Yan-Wei Du,Yu-Qiu Hao,Zhen-Zhong Su,Lin Zhang,Li-Jing Zhao,Jie Zhang

Journal of hematology & oncology 8:120 PubMed26503334

2015

NLK functions to maintain proliferation and stemness of NSCLC and is a target of metformin.

Applications

Unspecified application

Species

Human

Dong Suwei,Zeng Liang,Liu Zhimin,Li Ruilei,Zou Yingying,Li Zhen,Ge Chunlei,Lai Zhangchao,Xue Yuanbo,Yang Jinyan,Li Gaofeng,Song Xin
View all publications

Product promise

We are committed to supporting your work with high-quality reagents, and we're here for you every step of the way. In the unlikely event that one of our products does not perform as expected, you're protected by our Product Promise.
For full details, please see our Terms & Conditions

Associated Products

Select an associated product type
Alternative Product
Primary Antibodies

AB137675

Anti-Cdk4 antibody

primary-antibodies

cdk4-antibody-ab137675

5

(1 reviews)

Alternative Product
Primary Antibodies

AB226474

Anti-Cdk4 antibody

primary-antibodies

cdk4-antibody-ab226474

0

(0 reviews)

Alternative Product
Primary Antibodies

AB214642

Alexa Fluor® 488 Anti-Cdk4 antibody [EPR2513Y]

primary-antibodies

alexa-fluor-488-cdk4-antibody-epr2513y-ab214642

0

(0 reviews)

Alternative Product
Primary Antibodies

AB213664

PE Anti-Cdk4 antibody [EPR2513Y]

primary-antibodies

pe-cdk4-antibody-epr2513y-ab213664

0

(0 reviews)

Alternative Product
Primary Antibodies

AB199728

Anti-Cdk4 antibody [EPR17525]

primary-antibodies

cdk4-antibody-epr17525-ab199728

0

(0 reviews)

Alternative Product
Primary Antibodies

AB68266

Anti-Cdk4 antibody [EPR2513Y]

primary-antibodies

cdk4-antibody-epr2513y-ab68266

0

(0 reviews)

Alternative Product
Primary Antibodies

AB108355

Anti-Cdk4 antibody [EPR4513-54-3]

primary-antibodies

cdk4-antibody-epr4513-54-3-ab108355

5

(1 reviews)

Alternative Product
Primary Antibodies

AB236042

Anti-Cdk4 antibody [EPR2513Y] - BSA and Azide free

primary-antibodies

cdk4-antibody-epr2513y-bsa-and-azide-free-ab236042

0

(0 reviews)

Alternative Product
Primary Antibodies

AB236019

Anti-Cdk4 antibody [EPR17525] - BSA and Azide free

primary-antibodies

cdk4-antibody-epr17525-bsa-and-azide-free-ab236019

0

(0 reviews)

Alternative Version
Primary Antibodies

AB215318

Alexa Fluor® 555 Anti-Cdk4 antibody [EPR4513-32-7]

primary-antibodies

alexa-fluor-555-cdk4-antibody-epr4513-32-7-ab215318

2

(1 reviews)

Alternative Version
Primary Antibodies

AB193966

Alexa Fluor® 488 Anti-Cdk4 antibody [EPR4513-32-7]

primary-antibodies

alexa-fluor-488-cdk4-antibody-epr4513-32-7-ab193966

0

(0 reviews)

Alternative Version
Primary Antibodies

AB193967

Alexa Fluor® 647 Anti-Cdk4 antibody [EPR4513-32-7]

primary-antibodies

alexa-fluor-647-cdk4-antibody-epr4513-32-7-ab193967

0

(0 reviews)

Alternative Version
Primary Antibodies

AB193968

HRP Anti-Cdk4 antibody [EPR4513-32-7] - Loading Control

primary-antibodies

hrp-cdk4-antibody-epr4513-32-7-loading-control-ab193968

0

(0 reviews)

Please note: All products are 'FOR RESEARCH USE ONLY. NOT FOR USE IN DIAGNOSTIC OR THERAPEUTIC PROCEDURES'.

For licensing inquiries, please contact partnerships@abcam.com