JavaScript is disabled in your browser. Please enable JavaScript to view this website.
AB151247

Anti-Cdk6 antibody

5

(2 Reviews)

|

(72 Publications)

Rabbit Polyclonal CDK6 antibody. Suitable for IHC-P, WB, ICC/IF and reacts with Human, Mouse, Rat samples. Cited in 72 publications. Immunogen corresponding to Recombinant Fragment Protein within Human CDK6 aa 1 to C-terminus.

View Alternative Names

CDKN6, CDK6, Cyclin-dependent kinase 6, Cell division protein kinase 6, Serine/threonine-protein kinase PLSTIRE

7 Images
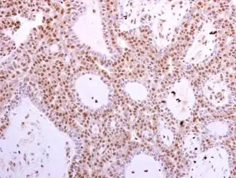
Immunohistochemistry (Formalin/PFA-fixed paraffin-embedded sections) - Anti-Cdk6 antibody (AB151247)
  • IHC-P

Supplier Data

Immunohistochemistry (Formalin/PFA-fixed paraffin-embedded sections) - Anti-Cdk6 antibody (AB151247)

Immunohistochemical analysis of paraffin-embedded human lung adenocarcinoma tissue stained for CDK6 protein at cytoplasm and nucleus with ab151247 at a 1/500 dilution.

Immunocytochemistry/ Immunofluorescence - Anti-Cdk6 antibody (AB151247)
  • ICC/IF

Supplier Data

Immunocytochemistry/ Immunofluorescence - Anti-Cdk6 antibody (AB151247)

Immunofluorescence analysis of HeLa cells fixed in 4% paraformaldehyde at RT for 15 min labelling CDK6 protein at nucleus using ab151247 at a 1/500 dilution (Green). Alpha Tubulin, Cytoskeleton Marker was counterstained in red.

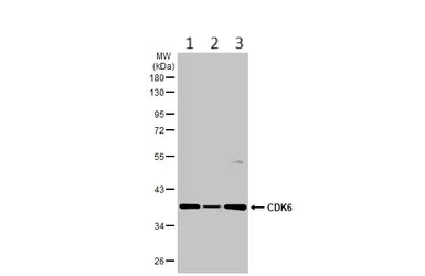
Western blot - Anti-Cdk6 antibody (AB151247)
  • WB

Supplier Data

Western blot - Anti-Cdk6 antibody (AB151247)

Samples were separated by 10% SDS-PAGE.

All lanes:

Western blot - Anti-Cdk6 antibody (ab151247) at 1/1000 dilution

Lane 1:

Jurkat whole cell extracts at 30 µg

Lane 2:

Raji whole cell extracts at 30 µg

Lane 3:

NCI-H929 whole cell extracts at 30 µg

Secondary

All lanes:

HRP-conjugated anti-rabbit IgG

Observed band size: 39 kDa

false

Western blot - Anti-Cdk6 antibody (AB151247)
  • WB

Supplier Data

Western blot - Anti-Cdk6 antibody (AB151247)

Samples were separated by 10% SDS-PAGE.

All lanes:

Western blot - Anti-Cdk6 antibody (ab151247) at 1/500 dilution

All lanes:

Raw264.7 Whole cell extract at 30 µg

Secondary

All lanes:

HRP-conjugated anti-rabbit IgG

Observed band size: 39 kDa

false

Western blot - Anti-Cdk6 antibody (AB151247)
  • WB

Supplier Data

Western blot - Anti-Cdk6 antibody (AB151247)

Samples were separated by 10% SDS-PAGE.

All lanes:

Western blot - Anti-Cdk6 antibody (ab151247) at 1/1000 dilution

All lanes:

Rat2 Whole cell extract at 30 µg

Secondary

All lanes:

HRP-conjugated anti-rabbit IgG

Observed band size: 39 kDa

false

Western blot - Anti-Cdk6 antibody (AB151247)
  • WB

Supplier Data

Western blot - Anti-Cdk6 antibody (AB151247)

Samples were separated by 10% SDS-PAGE.

All lanes:

Western blot - Anti-Cdk6 antibody (ab151247) at 1/500 dilution

All lanes:

C6 Whole cell extract at 30 µg

Secondary

All lanes:

HRP-conjugated anti-rabbit IgG

Observed band size: 39 kDa

false

Western blot - Anti-Cdk6 antibody (AB151247)
  • WB

CiteAb

Western blot - Anti-Cdk6 antibody (AB151247)

Cdk6 western blot using anti-Cdk6 antibody ab151247. Publication image and figure legend from Ma, L., Zhou, Y., et al., 2017, Oncotarget, PubMed 27911852.

ab151247 was used in this publication in western blot. This may not be the same as the application(s) guaranteed by Abcam. For a full list of applications guaranteed by Abcam for ab151247 please see the product overview.

XIST inhibition decreased HGC-27 cell proliferation and invasion(A) XIST expression in HGC-27 cells transduced with control shRNA vector (sh-ctrl) or XIST shRNA vector (sh-XIST). (B) The MTT assay revealed that XIST down-regulation significantly decreased cell proliferation. (C) Colony formation assay demonstrated that oncogenic survival was significantly decreased in sh-XIST cells compared with sh-ctrl cells. (D) sh-XIST cells displayed a significantly higher frequency of cells at the G1 phase and a lower frequency of cells at S phase. (E) The number of cells incorporating EdU was significantly decreased in the sh-XIST group when compared with the sh-ctrl group. (F) XIST down-regulation affected the expression of G1/S phase checkpoint proteins. (G) XIST down-regulation increased the proportion of apoptosis in HGC-27 cells. (H) The alteration of pro-apoptotic proteins (Bax and Bim) and anti-apoptotic proteins (Bcl-2 and Mcl-1) in sh-XIST cells. (I) XIST down-regulation decreased the HGC-27 cell invasion ability, as revealed by the boyden assay. (J) The expression levels of MMP-2, MMP-3, MMP-9, N-cadherin and Vimentin protein were lower in sh-XIST cells. The expression level of E-cadherin was higher.

false

Key facts

Host species

Rabbit

Clonality

Polyclonal

Isotype

IgG

Carrier free

No

Reacts with

Mouse, Rat, Human

Applications

IHC-P, ICC/IF, WB

applications

Immunogen

Recombinant Fragment Protein within Human CDK6 aa 1 to C-terminus. The exact immunogen used to generate this antibody is proprietary information.

Q00534

Reactivity data

{ "title": "Reactivity Data", "filters": { "stats": ["", "Species", "Dilution Info", "Notes"], "tabs": { "all-applications": {"fullname" : "All Applications", "shortname": "All Applications"}, "IHCP" : {"fullname" : "Immunohistochemistry (Formalin/PFA-fixed paraffin-embedded sections)", "shortname":"IHC-P"}, "WB" : {"fullname" : "Western blot", "shortname":"WB"}, "ICCIF" : {"fullname" : "Immunocytochemistry/ Immunofluorescence", "shortname":"ICC/IF"} }, "product-promise": { "all": "all", "testedAndGuaranteed": "tested", "guaranteed": "expected", "predicted": "predicted", "notRecommended": "not-recommended" } }, "values": { "Human": { "IHCP-species-checked": "testedAndGuaranteed", "IHCP-species-dilution-info": "1/100 - 1/1000", "IHCP-species-notes": "<p></p> Perform heat-mediated antigen retrieval with citrate buffer pH 6 before commencing with IHC staining protocol.", "WB-species-checked": "testedAndGuaranteed", "WB-species-dilution-info": "1/500 - 1/3000", "WB-species-notes": "<p></p>", "ICCIF-species-checked": "testedAndGuaranteed", "ICCIF-species-dilution-info": "1/100 - 1/1000", "ICCIF-species-notes": "<p></p>" }, "Mouse": { "IHCP-species-checked": "guaranteed", "IHCP-species-dilution-info": "", "IHCP-species-notes": "", "WB-species-checked": "testedAndGuaranteed", "WB-species-dilution-info": "1/500 - 1/3000", "WB-species-notes": "<p></p>", "ICCIF-species-checked": "guaranteed", "ICCIF-species-dilution-info": "", "ICCIF-species-notes": "" }, "Rat": { "IHCP-species-checked": "guaranteed", "IHCP-species-dilution-info": "", "IHCP-species-notes": "", "WB-species-checked": "testedAndGuaranteed", "WB-species-dilution-info": "1/500 - 1/3000", "WB-species-notes": "<p></p>", "ICCIF-species-checked": "guaranteed", "ICCIF-species-dilution-info": "", "ICCIF-species-notes": "" }, "Chicken": { "IHCP-species-checked": "predicted", "IHCP-species-dilution-info": "", "IHCP-species-notes": "", "WB-species-checked": "predicted", "WB-species-dilution-info": "", "WB-species-notes": "", "ICCIF-species-checked": "predicted", "ICCIF-species-dilution-info": "", "ICCIF-species-notes": "" }, "Cow": { "IHCP-species-checked": "predicted", "IHCP-species-dilution-info": "", "IHCP-species-notes": "", "WB-species-checked": "predicted", "WB-species-dilution-info": "", "WB-species-notes": "", "ICCIF-species-checked": "predicted", "ICCIF-species-dilution-info": "", "ICCIF-species-notes": "" } } }

Properties and storage information

Form
Liquid
Purification technique
Affinity purification Immunogen
Storage buffer
pH: 7 Preservative: 0.025% Proclin 300 Constituents: PBS, 20% Glycerol (glycerin, glycerine)
Shipped at conditions
Blue Ice
Appropriate short-term storage conditions
+4°C
Appropriate long-term storage conditions
-20°C
Aliquoting information
Upon delivery aliquot
Storage information
Avoid freeze / thaw cycle

Supplementary information

This supplementary information is collated from multiple sources and compiled automatically.

Cdk6 also known as Cyclin-dependent kinase 6 is a protein kinase involved in the regulation of the cell cycle. It has a molecular weight of approximately 40 kDa. Cdk6 is expressed in various tissues including lymphoid tissues and the brain. It plays a mechanical role by phosphorylating target proteins which impacts cell cycle progression particularly during the transition from G1 phase to S phase. Cdk6 can work in conjunction with D-type cyclins to form a complex that is critical for its activity.
Biological function summary

Cdk6 functions as a regulator of the cell cycle. It participates in a complex with cyclin D to control the G1 phase progression. This activity is essential for the regulation of cell division and proliferation. The association with cyclin D allows Cdk6 to phosphorylate the retinoblastoma protein (Rb) leading to the release of E2F transcription factors that promote the expression of genes necessary for DNA synthesis.

Pathways

Cdk6 is an important component of the cell cycle control pathway. It interacts primarily with the retinoblastoma protein and Cyclin D1 in this context. The cell cycle pathway is critical for controlled cell proliferation and its dysregulation can lead to diseases like cancer. Another involved pathway is the PI3K/AKT pathway which can activate Cdk6 activity through upstream signaling events implicating Cdk6 in cellular responses to growth signals.

Cdk6 has a significant role in cancer development due to its involvement in uncontrolled cell proliferation. Its overexpression or dysregulation is often linked to cancers such as leukemia and glioblastoma. In cancer the interaction with proteins like cyclin D1 can lead to unchecked progression through the cell cycle contributing to oncogenesis. Additionally Cdk6 inhibitors are being explored as therapeutic agents in cancer treatment due to their potential to restore control over cell cycle progression.

Product protocols

For this product, it's our understanding that no specific protocols are required. You can visit:

Target data

Serine/threonine-protein kinase involved in the control of the cell cycle and differentiation; promotes G1/S transition. Phosphorylates pRB/RB1 and NPM1. Interacts with D-type G1 cyclins during interphase at G1 to form a pRB/RB1 kinase and controls the entrance into the cell cycle. Involved in initiation and maintenance of cell cycle exit during cell differentiation; prevents cell proliferation and negatively regulates cell differentiation, but is required for the proliferation of specific cell types (e.g. erythroid and hematopoietic cells). Essential for cell proliferation within the dentate gyrus of the hippocampus and the subventricular zone of the lateral ventricles. Required during thymocyte development. Promotes the production of newborn neurons, probably by modulating G1 length. Promotes, at least in astrocytes, changes in patterns of gene expression, changes in the actin cytoskeleton including loss of stress fibers, and enhanced motility during cell differentiation. Prevents myeloid differentiation by interfering with RUNX1 and reducing its transcription transactivation activity, but promotes proliferation of normal myeloid progenitors. Delays senescence. Promotes the proliferation of beta-cells in pancreatic islets of Langerhans. May play a role in the centrosome organization during the cell cycle phases (PubMed : 23918663).
See full target information CDK6

Publications (72)

Recent publications for all applications. Explore the full list and refine your search

Translational oncology 56:102382 PubMed40215679

2025

Raddeanin A exerts potent efficacy against non-small cell lung cancer by inhibiting cyclin-dependent kinase 6.

Applications

Unspecified application

Species

Unspecified reactive species

Xian Wang,Xiao Lin,Yuxin Liu,Chunbo Ma,Mengchu Liu,Jiayu Bai,Yihan Ye,Chengguang Zhao,Lehe Yang,Xiaoying Huang,Liangxing Wang

Iranian journal of public health 52:2412-2416 PubMed38106830

2023

Lncrna FGFR3-AS1 Is a Prognostic Indicator for Ovarian Cancer and Induces Cell Proliferation and Hinders Apoptosis.

Applications

Unspecified application

Species

Unspecified reactive species

Yuyang Zhang,Lili Sun,Tieshuang Chen,Yuanyuan Yue,Lin Zhao,Dan Zhang

Cell cycle (Georgetown, Tex.) 22:2097-2112 PubMed37974357

2023

Depleting ANTXR1 suppresses glioma growth via deactivating PI3K/AKT pathway.

Applications

Unspecified application

Species

Unspecified reactive species

Chaoyang Zhou,Aijun Liang,Jianzhong Zhang,Jingxing Leng,Bin Xi,Bin Zhou,Yu Yang,Ronglan Zhu,Liangchen Zhong,Xingxing Jiang,Dengfeng Wan

Nature communications 14:6699 PubMed37872167

2023

Broad-spectrum kinome profiling identifies CDK6 upregulation as a driver of lenvatinib resistance in hepatocellular carcinoma.

Applications

Unspecified application

Species

Unspecified reactive species

Carmen Oi Ning Leung,Yang Yang,Rainbow Wing Hei Leung,Karl Kam Hei So,Hai Jun Guo,Martina Mang Leng Lei,Gregory Kenneth Muliawan,Yuan Gao,Qian Qian Yu,Jing Ping Yun,Stephanie Ma,Qian Zhao,Terence Kin Wah Lee

Frontiers in oncology 12:985827 PubMed36818671

2023

Identification of NLE1/CDK1 axis as key regulator in the development and progression of non-small cell lung cancer.

Applications

Unspecified application

Species

Unspecified reactive species

Pei Xu,Lei Wang,Bin Mo,Xiao Xie,Rui Hu,Lianyong Jiang,Fengqing Hu,Fangbao Ding,Haibo Xiao

Annals of translational medicine 11:97 PubMed36819538

2023

facilitates the growth and development of gastric cancer by activating .

Applications

Unspecified application

Species

Unspecified reactive species

Kang Li,Rulan Ma,Lei Meng,Qing Wang,Jun Cao,Dawei Yuan,Tuanhe Sun,Li Kang,Nan Hao,Haonan Wang,Kun Zhu

Frontiers in pharmacology 14:1124240 PubMed36874033

2023

Celastrol-regulated gut microbiota and bile acid metabolism alleviate hepatocellular carcinoma proliferation by regulating the interaction between FXR and RXRα and .

Applications

Unspecified application

Species

Unspecified reactive species

Dequan Zeng,Lipen Zhang,Qiang Luo

Journal of dental sciences 18:282-294 PubMed36643258

2023

Hsa_circ_0005050 regulated the progression of oral squamous cell carcinoma via miR-487a-3p/CHSY1 axis.

Applications

Unspecified application

Species

Unspecified reactive species

Xubin Chen,Qiaojiang Chen,Chen Zhao,Zhiqi Lu

Journal of biochemical and molecular toxicology 37:e23274 PubMed36536496

2022

Circ_0000284 upregulates RHPN2 to facilitate pancreatic cancer proliferation, metastasis, and angiogenesis through sponging miR-1179.

Applications

Unspecified application

Species

Unspecified reactive species

Jian Zhang,Jiangwei Li,Yongqiang Xiong,Ren Li

Cancers 14: PubMed35884471

2022

C8orf76 Modulates Ferroptosis in Liver Cancer via Transcriptionally Up-Regulating SLC7A11.

Applications

Unspecified application

Species

Unspecified reactive species

Duguang Li,Junhai Pan,Yiyin Zhang,Yirun Li,Shengxi Jin,Cheng Zhong,Peng Chen,Jingjing Ma,Wendi Hu,Xiaoxiao Fan,Hui Lin
View all publications

Product promise

We are committed to supporting your work with high-quality reagents, and we're here for you every step of the way. In the unlikely event that one of our products does not perform as expected, you're protected by our Product Promise.
For full details, please see our Terms & Conditions

Please note: All products are 'FOR RESEARCH USE ONLY. NOT FOR USE IN DIAGNOSTIC OR THERAPEUTIC PROCEDURES'.

For licensing inquiries, please contact partnerships@abcam.com