JavaScript is disabled in your browser. Please enable JavaScript to view this website.
AB243863

Anti-Cdk7 antibody [BL-80-3D4]

Be the first to review this product! Submit a review

|

(2 Publications)

Rabbit Recombinant Monoclonal CDK7 antibody. Suitable for IHC-P, ICC, IP, WB and reacts with Human samples. Cited in 2 publications. Immunogen corresponding to Synthetic Peptide within Human CDK7 aa 300 to C-terminus.

View Alternative Names

CAK, CAK1, CDKN7, MO15, STK1, CDK7, Cyclin-dependent kinase 7, 39 kDa protein kinase, CDK-activating kinase 1, Cell division protein kinase 7, Serine/threonine-protein kinase 1, TFIIH basal transcription factor complex kinase subunit, p39 Mo15

7 Images
Immunohistochemistry (Formalin/PFA-fixed paraffin-embedded sections) - Anti-Cdk7 antibody [BL-80-3D4] (AB243863)
  • IHC-P

Unknown

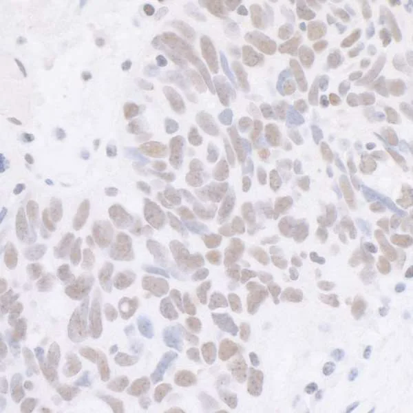
Immunohistochemistry (Formalin/PFA-fixed paraffin-embedded sections) - Anti-Cdk7 antibody [BL-80-3D4] (AB243863)

Formalin-fixed, paraffin-embedded human ovarian carcinoma tissue stained for cdk7 using ab243863 at 1/30 dilution in immunohistochemical analysis. A HRP-conjugated goat anti-rabbit IgG was used as the secondary. DAB staining.

Immunocytochemistry - Anti-Cdk7 antibody [BL-80-3D4] (AB243863)
  • ICC

Unknown

Immunocytochemistry - Anti-Cdk7 antibody [BL-80-3D4] (AB243863)

Formaldehyde-fixed MCF7 (human breast adenocarcinoma cell line) cells labeling brd4 using ab243863 at 1/100 dilution in ICC/IF analysis. A HRP-conjugated goat anti-rabbit IgG was used as the secondary antibody.

Immunocytochemistry - Anti-Cdk7 antibody [BL-80-3D4] (AB243863)
  • ICC

Supplier Data

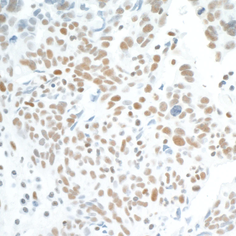
Immunocytochemistry - Anti-Cdk7 antibody [BL-80-3D4] (AB243863)

Immunocytochemical analysis of Formalin-Fixed Paraffin-Embedded MCF7 cells labeling human CDK7 with ab243863, followed by a HRP-conjugated goat anti-rabbit IgG as secondary. Substrate : DAB. Nuclear staining on MCF7 cells is observed. Counter stained with hematoxylin. Epitope retrieval with citrate buffer pH 6.0 for 20 minutes is recommended.

Immunohistochemistry (Formalin/PFA-fixed paraffin-embedded sections) - Anti-Cdk7 antibody [BL-80-3D4] (AB243863)
  • IHC-P

Supplier Data

Immunohistochemistry (Formalin/PFA-fixed paraffin-embedded sections) - Anti-Cdk7 antibody [BL-80-3D4] (AB243863)

Immunohistochemical analysis of Formalin-Fixed Paraffin-Embedded human ovarian carcinoma tissue labeling CDK7 with ab243863, followed by a HRP-conjugated goat anti-rabbit IgG as secondary. Substrate : DAB. Nuclear staining on human ovarian carcinoma is observed. Counter stained with hematoxylin. Epitope retrieval with citrate buffer pH 6.0 for 20 minutes is recommended.

Immunoprecipitation - Anti-Cdk7 antibody [BL-80-3D4] (AB243863)
  • IP

Unknown

Immunoprecipitation - Anti-Cdk7 antibody [BL-80-3D4] (AB243863)

cdk7 was immunoprecipitated from 0.5 mg HeLa whole cell lysate with ab243863 at 20 µl per reaction Western blot was performed on the immunoprecipitate using ab243863 at 1/1000 dilution. Lane 1 : ab243863 IP in HeLa cell lysate.

Lane 2 : Contol IgG in HeLa cell lysate.

All lanes:

Immunoprecipitation - Anti-Cdk7 antibody [BL-80-3D4] (ab243863)

Predicted band size: 39 kDa

false

Western blot - Anti-Cdk7 antibody [BL-80-3D4] (AB243863)
  • WB

Supplier Data

Western blot - Anti-Cdk7 antibody [BL-80-3D4] (AB243863)

All lanes:

Western blot - Anti-Cdk7 antibody [BL-80-3D4] (ab243863) at 1/1000 dilution

Lane 1:

HeLa whole cell lysate at 15 µg

Lane 2:

Jurkat whole cell lysate at 15 µg

Lane 3:

U2OS whole cell lysate at 15 µg

Lane 4:

LNCaP whole cell lysate at 15 µg

Lane 5:

RKO whole cell lysate at 15 µg

Lane 6:

HEK293T whole cell lysate at 15 µg

Lane 7:

MCF-7 whole cell lysate at 15 µg

Secondary

All lanes:

Western blot - Goat Anti-Rabbit IgG H&L (HRP) (<a href='/en-us/products/secondary-antibodies/goat-rabbit-igg-h-l-hrp-ab97051'>ab97051</a>)

Predicted band size: 39 kDa

Observed band size: 39 kDa

true

Exposure time: 10s

Western blot - Anti-Cdk7 antibody [BL-80-3D4] (AB243863)
  • WB

Unknown

Western blot - Anti-Cdk7 antibody [BL-80-3D4] (AB243863)

Western blot analysis using ab243863 at 1/1000 dilution.

Lane 1 : HeLa whole cell lysate (15 µg).

Lane 2 : HEK-293T whole cell lysate (15 µg).

Lane3 : Jurkat whole cell lysate (15 µg).

Lane 4 : MCF-7 whole cell lysate (15 µg).

Lane 5 : HepG2 whole cell lysate (15 µg).

Lane 6 : A549 whole cell lysate (15 µg).

Lane 7 : SW620 whole cell lysate (15 µg).

Lane 8 : SK whole cell lysate (15 µg).

Lane 9 : HCT 116 whole cell lysate (15 µg).

a HRP-conjugated goat anti-rabbit IgG antibody was used as the secondary. Detection : chemiluminescence with an exposure time of 10 seconds

All lanes:

Western blot - Anti-Cdk7 antibody [BL-80-3D4] (ab243863)

Predicted band size: 39 kDa

false

Key facts

Host species

Rabbit

Clonality

Monoclonal

Clone number

BL-80-3D4

Isotype

IgG

Carrier free

No

Reacts with

Human

Applications

WB, ICC, IP, IHC-P

applications

Immunogen

Synthetic Peptide within Human CDK7 aa 300 to C-terminus. The exact immunogen used to generate this antibody is proprietary information.

P50613

Reactivity data

{ "title": "Reactivity Data", "filters": { "stats": ["", "Species", "Dilution Info", "Notes"], "tabs": { "all-applications": {"fullname" : "All Applications", "shortname": "All Applications"}, "IHCP" : {"fullname" : "Immunohistochemistry (Formalin/PFA-fixed paraffin-embedded sections)", "shortname":"IHC-P"}, "ICC" : {"fullname" : "Immunocytochemistry", "shortname":"ICC"}, "IP" : {"fullname" : "Immunoprecipitation", "shortname":"IP"}, "WB" : {"fullname" : "Western blot", "shortname":"WB"} }, "product-promise": { "all": "all", "testedAndGuaranteed": "tested", "guaranteed": "expected", "predicted": "predicted", "notRecommended": "not-recommended" } }, "values": { "Human": { "IHCP-species-checked": "testedAndGuaranteed", "IHCP-species-dilution-info": "1/25 - 1/100", "IHCP-species-notes": "<p></p> Perform heat-mediated antigen retrieval with citrate buffer pH 6 before commencing with IHC staining protocol.", "ICC-species-checked": "testedAndGuaranteed", "ICC-species-dilution-info": "1/50 - 1/200", "ICC-species-notes": "<p></p>", "IP-species-checked": "testedAndGuaranteed", "IP-species-dilution-info": "", "IP-species-notes": "<p>Use 20μl/0.5mg lysate.</p>", "WB-species-checked": "testedAndGuaranteed", "WB-species-dilution-info": "1/1000", "WB-species-notes": "<p></p>" } } }

Product details

This product is sold under License from Bethyl Laboratories, Inc.

Properties and storage information

Form
Liquid
Purification notes
Recombinant antibody was purified from cell culture supernatant.
Storage buffer
pH: 7.8 - 8.6 Preservative: 0.09% Sodium azide Constituents: 98% Borate buffered saline, 0.1% BSA
Shipped at conditions
Blue Ice
Appropriate short-term storage duration
1-2 weeks
Appropriate short-term storage conditions
+4°C
Appropriate long-term storage conditions
+4°C
Aliquoting information
Upon delivery aliquot
Storage information
Avoid freeze / thaw cycle

Supplementary information

This supplementary information is collated from multiple sources and compiled automatically.

Cyclin-dependent kinase 7 (Cdk7) also known as CAK is a protein that functions as a serine/threonine kinase. It has a mass of approximately 37 kDa and is expressed in various tissues including the liver heart and testis. Cdk7 forms part of the CDK-activating complex required for the cell cycle's progression and transcription processes. By phosphorylating important sites on target proteins Cdk7 contributes to the regulation of the cell cycle and RNA polymerase II-mediated transcription.
Biological function summary

Cdk7 interacts with other molecules playing a fundamental role in the regulation of cell division and transcription. Cdk7 is a component of the Cdk-activating kinase (CAK) complex alongside cyclin H and MAT1. This complex enables activation of other cyclin-dependent kinases through phosphorylation which is essential for DNA replication and repair. As part of the transcription complex TFIIH Cdk7 enhances RNA polymerase II's transcriptional activity influencing gene expression and cellular responses to external signals.

Pathways

Cdk7 participates in significant regulatory pathways controlling cell cycle and transcription. It is integral to the p53 Signaling and Cell Cycle pathways where it facilitates the activation of CDK1 CDK2 and CDK4/6 key players in cell cycle progression from the G1 to S phase. Through these pathways Cdk7 maintains cellular control upon environmental stress responses and DNA damage providing connections to tumor suppressor proteins such as p53.

Cdk7 has associations with cancer and neurodegenerative diseases. Its dysregulation can lead to unchecked cell proliferation contributing to the development of various cancers like breast and lung cancer. Cdk7's role in transcription implicates it in disorders like Alzheimer's disease where altered transcriptional regulation is observed. Furthermore its interaction with proteins such as p53 links it to cancer as p53 mutations can result in the loss of control over the cell cycle exacerbating tumorigenic processes.

Product protocols

For this product, it's our understanding that no specific protocols are required. You can visit:

Target data

Serine/threonine kinase involved in cell cycle control and in RNA polymerase II-mediated RNA transcription. Cyclin-dependent kinases (CDKs) are activated by the binding to a cyclin and mediate the progression through the cell cycle. Each different complex controls a specific transition between 2 subsequent phases in the cell cycle. Required for both activation and complex formation of CDK1/cyclin-B during G2-M transition, and for activation of CDK2/cyclins during G1-S transition (but not complex formation). CDK7 is the catalytic subunit of the CDK-activating kinase (CAK) complex. Phosphorylates SPT5/SUPT5H, SF1/NR5A1, POLR2A, p53/TP53, CDK1, CDK2, CDK4, CDK6 and CDK11B/CDK11. CAK activates the cyclin-associated kinases CDK1, CDK2, CDK4 and CDK6 by threonine phosphorylation, thus regulating cell cycle progression. CAK complexed to the core-TFIIH basal transcription factor activates RNA polymerase II by serine phosphorylation of the repetitive C-terminal domain (CTD) of its large subunit (POLR2A), allowing its escape from the promoter and elongation of the transcripts (PubMed : 9852112). Phosphorylation of POLR2A in complex with DNA promotes transcription initiation by triggering dissociation from DNA. Its expression and activity are constant throughout the cell cycle. Upon DNA damage, triggers p53/TP53 activation by phosphorylation, but is inactivated in turn by p53/TP53; this feedback loop may lead to an arrest of the cell cycle and of the transcription, helping in cell recovery, or to apoptosis. Required for DNA-bound peptides-mediated transcription and cellular growth inhibition.
See full target information CDK7

Publications (2)

Recent publications for all applications. Explore the full list and refine your search

Journal of hematology & oncology 18:67 PubMed40598222

2025

BRD4 acts as a transcriptional repressor of RhoB to inhibit terminal erythropoiesis.

Applications

Unspecified application

Species

Unspecified reactive species

Yijin Chen,Dawei Huo,Ye Meng,Jie Zhang,Mengmeng Huang,Qian Luo,Yulin Xu,Haiqiong Zheng,Yingli Han,Xiangjun Zeng,Yanjuan Liu,Yunfei Liu,Rui Wen,Delin Kong,Ruxiu Tie,Shanshan Pei,Nan Liu,Pengxu Qian,He Huang,Meng Zhang

Signal transduction and targeted therapy 8:302 PubMed37582812

2023

CDK7-YAP-LDHD axis promotes D-lactate elimination and ferroptosis defense to support cancer stem cell-like properties.

Applications

Unspecified application

Species

Unspecified reactive species

Mengzhu Lv,Ying Gong,Xuesong Liu,Yan Wang,Qingnan Wu,Jie Chen,Qingjie Min,Dongyu Zhao,Xianfeng Li,Dongshao Chen,Di Yang,Danna Yeerken,Rui Liu,Jinting Li,Weimin Zhang,Qimin Zhan
View all publications

Product promise

We are committed to supporting your work with high-quality reagents, and we're here for you every step of the way. In the unlikely event that one of our products does not perform as expected, you're protected by our Product Promise.
For full details, please see our Terms & Conditions

Please note: All products are 'FOR RESEARCH USE ONLY. NOT FOR USE IN DIAGNOSTIC OR THERAPEUTIC PROCEDURES'.

For licensing inquiries, please contact partnerships@abcam.com