JavaScript is disabled in your browser. Please enable JavaScript to view this website.
AB256787

Anti-Cdk7 antibody [EPR23695-115]

  • BOND RX™ Validated
  • 20ul selling size
  • RabMAb
  • Recombinant
  • Advanced Validation
  • What is this?

Be the first to review this product! Submit a review

|

(3 Publications)

Rabbit Recombinant Monoclonal CDK7 antibody. Suitable for IP, WB, Flow Cyt (Intra), IHC-P, mIHC and reacts with Mouse, Rat, Human samples. Cited in 3 publications.

View Alternative Names

CAK, CAK1, CDKN7, MO15, STK1, CDK7, Cyclin-dependent kinase 7, 39 kDa protein kinase, CDK-activating kinase 1, Cell division protein kinase 7, Serine/threonine-protein kinase 1, TFIIH basal transcription factor complex kinase subunit, p39 Mo15

9 Images
Flow Cytometry (Intracellular) - Anti-Cdk7 antibody [EPR23695-115] (AB256787)
  • Flow Cyt (Intra)

Unknown

Flow Cytometry (Intracellular) - Anti-Cdk7 antibody [EPR23695-115] (AB256787)

Intracellular flow cytometric analysis of 4% paraformaldehyde fixed, 90% methanol permeabilized HeLa (Human cervix adenocarcinoma epithelial cell) cells labelling Cdk7 with ab256787 at 1/50 dilution (1ug) (Red) compared with a Rabbit monoclonal IgG (ab172730) (Black) isotype control and an unlabelled control (cells without incubation with primary antibody and secondary antibody) (Blue).

A Goat anti rabbit IgG (Alexa Fluor® 488, ab150077) at 1/2000 dilution was used as the secondary antibody.

Multiplex immunohistochemistry - Anti-Cdk7 antibody [EPR23695-115] (AB256787)
  • mIHC

Lab

Multiplex immunohistochemistry - Anti-Cdk7 antibody [EPR23695-115] (AB256787)

Multiplex immunohistochemistry analysis of formalin/PFA-fixed paraffin-embedded mouse skin staining Collagen VII with ab309143 at a 1/100 dilution, ab256787 anti-Cdk7 used at 1/100 dilution and ab315806 anti-Loricrin used at a 1/500 dilution.

Panel A : merged staining of anti-Collagen VII (green; Opal™520), anti-Cdk7 (magenta; Opal™690) and anti-Loricrin (gray; Opal™570) on mouse skin.

Panel B : anti-Collagen VII staining basement membrane in mouse skin.

Panel C : anti-Cdk7 staining nucleus in mouse skin.

Panel D : anti-Loricrin staining terminally differentiated epidermal cells in mouse skin.

Nuclear DNA was labeled with DAPI (shown in blue).

The section was incubated in three rounds of staining : in the order of ab309143, ab256787 and ab315806 for 30 mins at room temperature. Each round was followed by a separate fluorescent tyramide signal amplification system.

The immunostaining was performed on a Leica Biosystems BOND® RX instrument with an Opal™ 4-color kit. Image acquisition was performed with Leica SP8 confocal microscope.

Heat mediated antigen retrieval with Tris-EDTA buffer (pH 9.0, epitope retrieval solution2) for 20 mins.

Immunohistochemistry (Formalin/PFA-fixed paraffin-embedded sections) - Anti-Cdk7 antibody [EPR23695-115] (AB256787)
  • IHC-P

Unknown

Immunohistochemistry (Formalin/PFA-fixed paraffin-embedded sections) - Anti-Cdk7 antibody [EPR23695-115] (AB256787)

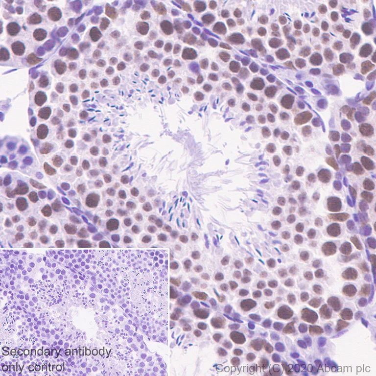
Immunohistochemical analysis of paraffin-embedded Rat testis tissue labeling Cdk7 with ab256787 at 1/100 dilution followed by a ready to use Rabbit specific IHC polymer detection kit HRP/DAB (ab209101). Nuclear staining in rat testis (PMID : 11319144, PMID : 8521393). The section was incubated with ab256787 for 30 mins at room temperature. The immunostaining was performed on a Leica Biosystems BOND® RX instrument. Counterstained with Hematoxylin.

Secondary antibody only control : Secondary antibody is a ready to use Rabbit specific IHC polymer detection kit HRP/DAB (ab209101).

Heat mediated antigen retrieval with Tris-EDTA buffer (pH 9.0, epitope retrieval solution2) for 20 mins.

Flow Cytometry (Intracellular) - Anti-Cdk7 antibody [EPR23695-115] (AB256787)
  • Flow Cyt (Intra)

Unknown

Flow Cytometry (Intracellular) - Anti-Cdk7 antibody [EPR23695-115] (AB256787)

Intracellular flow cytometric analysis of 4% paraformaldehyde fixed, 90% methanol permeabilized NIH/3T3 (Mouse embryonic fibroblast) cells labelling Cdk7 with ab256787 at 1/50 dilution (1ug) (Red) compared with a Rabbit monoclonal IgG (ab172730) (Black) isotype control and an unlabelled control (cells without incubation with primary antibody and secondary antibody) (Blue).

A Goat anti rabbit IgG (Alexa Fluor® 488, ab150077) at 1/2000 dilution was used as the secondary antibody.

Immunohistochemistry (Formalin/PFA-fixed paraffin-embedded sections) - Anti-Cdk7 antibody [EPR23695-115] (AB256787)
  • IHC-P

Unknown

Immunohistochemistry (Formalin/PFA-fixed paraffin-embedded sections) - Anti-Cdk7 antibody [EPR23695-115] (AB256787)

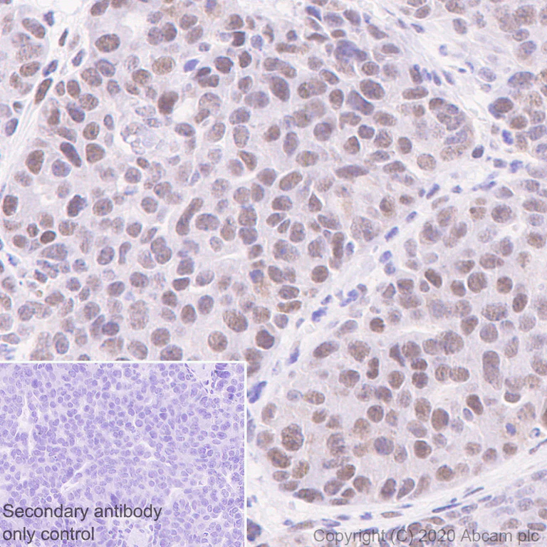
Immunohistochemical analysis of paraffin-embedded Mouse breast cancer tissue labeling Cdk7 with ab256787 at 1/100 followed by a ready to use Rabbit specific IHC polymer detection kit HRP/DAB (ab209101). Nuclear staining in mouse breast cancer (PMID : 27301701). The section was incubated with ab256787 for 30 mins at room temperature. The immunostaining was performed on a Leica Biosystems BOND® RX instrument. Counterstained with Hematoxylin.

Secondary antibody only control : Secondary antibody is a ready to use Rabbit specific IHC polymer detection kit HRP/DAB (ab209101).

Heat mediated antigen retrieval with Tris-EDTA buffer (pH 9.0, epitope retrieval solution2) for 20 mins.

Immunohistochemistry (Formalin/PFA-fixed paraffin-embedded sections) - Anti-Cdk7 antibody [EPR23695-115] (AB256787)
  • IHC-P

Unknown

Immunohistochemistry (Formalin/PFA-fixed paraffin-embedded sections) - Anti-Cdk7 antibody [EPR23695-115] (AB256787)

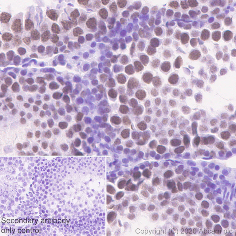
Immunohistochemical analysis of paraffin-embedded Mouse testis tissue labeling Cdk7 with ab256787 at 1/100 dilution followed by a ready to use Rabbit specific IHC polymer detection kit HRP/DAB (ab209101). Nuclear staining in mouse testis (PMID : 11319144, PMID : 8521393). The section was incubated with ab256787 for 30 mins at room temperature. The immunostaining was performed on a Leica Biosystems BOND® RX instrument. Counterstained with Hematoxylin.

Secondary antibody only control : Secondary antibody is a ready to use Rabbit specific IHC polymer detection kit HRP/DAB (ab209101).

Heat mediated antigen retrieval with Tris-EDTA buffer (pH 9.0, epitope retrieval solution2) for 20 mins.

Immunoprecipitation - Anti-Cdk7 antibody [EPR23695-115] (AB256787)
  • IP

Unknown

Immunoprecipitation - Anti-Cdk7 antibody [EPR23695-115] (AB256787)

Cdk7 was immunoprecipitated from 0.35 mg NIH/3T3 (mouse embryonic fibroblast) whole cell lysate with ab256787 at 1/30 dilution (2ug in 0.35mg lysates). Western blot was performed on the immunoprecipitate using ab256787 at 1/1000 dilution. VeriBlot for IP Detection Reagent (HRP)(ab131366) was used at 1/5000 dilution.

Lane 1 : NIH/3T3 (mouse embryonic fibroblast) whole cell lysate 10 ug

Lane 2 : ab256787 IP in NIH/3T3 whole cell lysate

Lane 3 : Rabbit monoclonal IgG (ab172730) instead of ab256787 in NIH/3T3 whole cell lysate

Blocking and dilution buffer and concentration : 5% NFDM/TBST.

Exposure time : 3 minutes.

All lanes:

Immunoprecipitation - Anti-Cdk7 antibody [EPR23695-115] (ab256787)

Predicted band size: 39 kDa

Observed band size: 39 kDa

false

Western blot - Anti-Cdk7 antibody [EPR23695-115] (AB256787)
  • WB

Lab

Western blot - Anti-Cdk7 antibody [EPR23695-115] (AB256787)

Blocking and diluting buffer and concentration : 5% NFDM/TBST.

Exposure time : 70 seconds.

All lanes:

Western blot - Anti-Cdk7 antibody [EPR23695-115] (ab256787) at 1/1000 dilution

Lane 1:

HeLa (human cervix adenocarcinoma epithelial cell) whole cell lysate at 20 µg

Lane 2:

HEK-293 (human embryonic kidney epithelial cell) whole cell lysate at 20 µg

Lane 3:

NIH/3T3 (mouse embryonic fibroblast) whole cell lysate at 20 µg

Lane 4:

RAW 264.7 (mouse abelson murine leukemia virus-induced tumor macrophage) whole cell lysate at 20 µg

Lane 5:

C6 (rat glial tumor glial cell) whole cell lysate at 20 µg

Secondary

All lanes:

Goat Anti-Rabbit IgG, (H+L), Peroxidase conjugated (<a href='/en-us/products/secondary-antibodies/goat-rabbit-igg-h-l-hrp-ab97051'>ab97051</a>) at 1/50000 dilution

Predicted band size: 39 kDa

Observed band size: 39 kDa

false

Western blot - Anti-Cdk7 antibody [EPR23695-115] (AB256787)
  • WB

Lab

Western blot - Anti-Cdk7 antibody [EPR23695-115] (AB256787)

Blocking and diluting buffer and concentration : 5% NFDM/TBST.

Exposure time : 92 seconds.

All lanes:

Western blot - Anti-Cdk7 antibody [EPR23695-115] (ab256787) at 1/1000 dilution

Lane 1:

HepG2 (human hepatocellular carcinoma epithelial cell) whole cell lysate at 20 µg

Lane 2:

HCT 116 (human colorectal carcinoma epithelial cell) whole cell lysate at 20 µg

Lane 3:

MEF (mouse embryonic fibroblast (immortalized)) whole cell lysate at 20 µg

Lane 4:

Mouse spleen tissue lysate at 20 µg

Lane 5:

Rat spleen tissue lysate at 20 µg

Secondary

All lanes:

Goat Anti-Rabbit IgG, (H+L), Peroxidase conjugated (<a href='/en-us/products/secondary-antibodies/goat-rabbit-igg-h-l-hrp-ab97051'>ab97051</a>) at 1/50000 dilution

Predicted band size: 39 kDa

Observed band size: 39 kDa

false

  • Carrier free

    Anti-Cdk7 antibody [EPR23695-115] - BSA and Azide free

Key facts

Host species

Rabbit

Clonality

Monoclonal

Clone number

EPR23695-115

Isotype

IgG

Carrier free

No

Reacts with

Mouse, Rat, Human

Applications

Flow Cyt (Intra), IHC-P, IP, mIHC, WB

applications

Immunogen

The exact immunogen used to generate this antibody is proprietary information.

Reactivity data

{ "title": "Reactivity Data", "filters": { "stats": ["", "Species", "Dilution Info", "Notes"], "tabs": { "all-applications": {"fullname" : "All Applications", "shortname": "All Applications"}, "IP" : {"fullname" : "Immunoprecipitation", "shortname":"IP"}, "ChIP" : {"fullname" : "ChIP", "shortname":"ChIP"}, "WB" : {"fullname" : "Western blot", "shortname":"WB"}, "ICCIF" : {"fullname" : "Immunocytochemistry/ Immunofluorescence", "shortname":"ICC/IF"}, "FlowCytIntra" : {"fullname" : "Flow Cytometry (Intracellular)", "shortname":"Flow Cyt (Intra)"}, "IHCP" : {"fullname" : "Immunohistochemistry (Formalin/PFA-fixed paraffin-embedded sections)", "shortname":"IHC-P"}, "mIHC" : {"fullname" : "Multiplex immunohistochemistry", "shortname":"mIHC"} }, "product-promise": { "all": "all", "testedAndGuaranteed": "tested", "guaranteed": "expected", "predicted": "predicted", "notRecommended": "not-recommended" } }, "values": { "Human": { "IP-species-checked": "notRecommended", "IP-species-dilution-info": "1/30", "IP-species-notes": "<p></p>", "ChIP-species-checked": "notRecommended", "ChIP-species-dilution-info": "", "ChIP-species-notes": "<p></p>", "WB-species-checked": "testedAndGuaranteed", "WB-species-dilution-info": "1/1000", "WB-species-notes": "<p></p>", "ICCIF-species-checked": "notRecommended", "ICCIF-species-dilution-info": "", "ICCIF-species-notes": "<p></p>", "FlowCytIntra-species-checked": "testedAndGuaranteed", "FlowCytIntra-species-dilution-info": "1/50", "FlowCytIntra-species-notes": "<p></p>", "IHCP-species-checked": "notRecommended", "IHCP-species-dilution-info": "1/100", "IHCP-species-notes": "<p></p>", "mIHC-species-checked": "guaranteed", "mIHC-species-dilution-info": "", "mIHC-species-notes": "" }, "Mouse": { "IP-species-checked": "testedAndGuaranteed", "IP-species-dilution-info": "1/30", "IP-species-notes": "<p></p>", "ChIP-species-checked": "notRecommended", "ChIP-species-dilution-info": "", "ChIP-species-notes": "", "WB-species-checked": "testedAndGuaranteed", "WB-species-dilution-info": "1/1000", "WB-species-notes": "<p></p>", "ICCIF-species-checked": "notRecommended", "ICCIF-species-dilution-info": "", "ICCIF-species-notes": "<p></p>", "FlowCytIntra-species-checked": "testedAndGuaranteed", "FlowCytIntra-species-dilution-info": "1/50", "FlowCytIntra-species-notes": "<p></p>", "IHCP-species-checked": "testedAndGuaranteed", "IHCP-species-dilution-info": "1/100", "IHCP-species-notes": "<p></p>", "mIHC-species-checked": "testedAndGuaranteed", "mIHC-species-dilution-info": "1/100", "mIHC-species-notes": "<p></p> Perform heat-mediated antigen retrieval with Tris/EDTA buffer pH 9.0 before commencing with IHC staining protocol." }, "Rat": { "IP-species-checked": "guaranteed", "IP-species-dilution-info": "", "IP-species-notes": "", "ChIP-species-checked": "notRecommended", "ChIP-species-dilution-info": "", "ChIP-species-notes": "", "WB-species-checked": "testedAndGuaranteed", "WB-species-dilution-info": "1/1000", "WB-species-notes": "<p></p>", "ICCIF-species-checked": "notRecommended", "ICCIF-species-dilution-info": "", "ICCIF-species-notes": "", "FlowCytIntra-species-checked": "guaranteed", "FlowCytIntra-species-dilution-info": "", "FlowCytIntra-species-notes": "", "IHCP-species-checked": "testedAndGuaranteed", "IHCP-species-dilution-info": "1/100", "IHCP-species-notes": "<p></p>", "mIHC-species-checked": "guaranteed", "mIHC-species-dilution-info": "", "mIHC-species-notes": "" } } }

Product details

Patented technology
Our RabMAb® technology is a patented hybridoma-based technology for making rabbit monoclonal antibodies. For details on our patents, please refer to RabMAb® patents.

What are the advantages of a recombinant monoclonal antibody?
This product is a recombinant monoclonal antibody, which offers several advantages including:

  • - High batch-to-batch consistency and reproducibility
  • - Improved sensitivity and specificity
  • - Long-term security of supply
  • - Animal-free batch production

For more information, read more on recombinant antibodies.

Properties and storage information

Form
Liquid
Purification technique
Affinity purification Protein A
Storage buffer
pH: 7.2 - 7.4 Preservative: 0.01% Sodium azide Constituents: PBS, 40% Glycerol (glycerin, glycerine), 0.05% BSA
Shipped at conditions
Blue Ice
Appropriate short-term storage duration
1-2 weeks
Appropriate short-term storage conditions
+4°C
Appropriate long-term storage conditions
-20°C
Aliquoting information
Upon delivery aliquot
Storage information
Avoid freeze / thaw cycle

Supplementary information

This supplementary information is collated from multiple sources and compiled automatically.

Cyclin-dependent kinase 7 (Cdk7) also known as CAK is a protein that functions as a serine/threonine kinase. It has a mass of approximately 37 kDa and is expressed in various tissues including the liver heart and testis. Cdk7 forms part of the CDK-activating complex required for the cell cycle's progression and transcription processes. By phosphorylating important sites on target proteins Cdk7 contributes to the regulation of the cell cycle and RNA polymerase II-mediated transcription.
Biological function summary

Cdk7 interacts with other molecules playing a fundamental role in the regulation of cell division and transcription. Cdk7 is a component of the Cdk-activating kinase (CAK) complex alongside cyclin H and MAT1. This complex enables activation of other cyclin-dependent kinases through phosphorylation which is essential for DNA replication and repair. As part of the transcription complex TFIIH Cdk7 enhances RNA polymerase II's transcriptional activity influencing gene expression and cellular responses to external signals.

Pathways

Cdk7 participates in significant regulatory pathways controlling cell cycle and transcription. It is integral to the p53 Signaling and Cell Cycle pathways where it facilitates the activation of CDK1 CDK2 and CDK4/6 key players in cell cycle progression from the G1 to S phase. Through these pathways Cdk7 maintains cellular control upon environmental stress responses and DNA damage providing connections to tumor suppressor proteins such as p53.

Cdk7 has associations with cancer and neurodegenerative diseases. Its dysregulation can lead to unchecked cell proliferation contributing to the development of various cancers like breast and lung cancer. Cdk7's role in transcription implicates it in disorders like Alzheimer's disease where altered transcriptional regulation is observed. Furthermore its interaction with proteins such as p53 links it to cancer as p53 mutations can result in the loss of control over the cell cycle exacerbating tumorigenic processes.

Product protocols

For this product, it's our understanding that no specific protocols are required. You can visit:

Target data

Serine/threonine kinase involved in cell cycle control and in RNA polymerase II-mediated RNA transcription. Cyclin-dependent kinases (CDKs) are activated by the binding to a cyclin and mediate the progression through the cell cycle. Each different complex controls a specific transition between 2 subsequent phases in the cell cycle. Required for both activation and complex formation of CDK1/cyclin-B during G2-M transition, and for activation of CDK2/cyclins during G1-S transition (but not complex formation). CDK7 is the catalytic subunit of the CDK-activating kinase (CAK) complex. Phosphorylates SPT5/SUPT5H, SF1/NR5A1, POLR2A, p53/TP53, CDK1, CDK2, CDK4, CDK6 and CDK11B/CDK11. CAK activates the cyclin-associated kinases CDK1, CDK2, CDK4 and CDK6 by threonine phosphorylation, thus regulating cell cycle progression. CAK complexed to the core-TFIIH basal transcription factor activates RNA polymerase II by serine phosphorylation of the repetitive C-terminal domain (CTD) of its large subunit (POLR2A), allowing its escape from the promoter and elongation of the transcripts (PubMed : 9852112). Phosphorylation of POLR2A in complex with DNA promotes transcription initiation by triggering dissociation from DNA. Its expression and activity are constant throughout the cell cycle. Upon DNA damage, triggers p53/TP53 activation by phosphorylation, but is inactivated in turn by p53/TP53; this feedback loop may lead to an arrest of the cell cycle and of the transcription, helping in cell recovery, or to apoptosis. Required for DNA-bound peptides-mediated transcription and cellular growth inhibition.
See full target information CDK7

Publications (3)

Recent publications for all applications. Explore the full list and refine your search

Signal transduction and targeted therapy 10:280 PubMed40887473

2025

Focal adhesion kinase/Src family kinase axis-mediated tyrosine phosphorylation of metabolic enzymes facilitates tumor metastasis.

Applications

Unspecified application

Species

Unspecified reactive species

Jie Chen,Jing Zhang,Yuheng Zhu,Yanmeng Zhu,Jingyuan Pang,Qingnan Wu,Yan Wang,Qimin Zhan

Nature communications 16:1271 PubMed39894879

2025

Nuclear ANLN regulates transcription initiation related Pol II clustering and target gene expression.

Applications

Unspecified application

Species

Unspecified reactive species

Yu-Fei Cao,Hui Wang,Yong Sun,Bei-Bei Tong,Wen-Qi Shi,Liu Peng,Yi-Meng Zhang,Yu-Qiu Wu,Teng Fu,Hua-Yan Zou,Kai Zhang,Li-Yan Xu,En-Min Li

Bioengineering & translational medicine 8:e10430 PubMed37476070

2023

An iRGD-conjugated photothermal therapy-responsive gold nanoparticle system carrying siCDK7 induces necroptosis and immunotherapeutic responses in lung adenocarcinoma.

Applications

Unspecified application

Species

Unspecified reactive species

Rui Cai,Meng Wang,Meiyuan Liu,Xiongjie Zhu,Longbao Feng,Zhongjian Yu,Xia Yang,Zhiwu Zhang,Huili Guo,Rui Guo,Yanfang Zheng
View all publications

Product promise

We are committed to supporting your work with high-quality reagents, and we're here for you every step of the way. In the unlikely event that one of our products does not perform as expected, you're protected by our Product Promise.
For full details, please see our Terms & Conditions

Please note: All products are 'FOR RESEARCH USE ONLY. NOT FOR USE IN DIAGNOSTIC OR THERAPEUTIC PROCEDURES'.

For licensing inquiries, please contact partnerships@abcam.com