JavaScript is disabled in your browser. Please enable JavaScript to view this website.
AB224828

Anti-Cdk8 antibody

Be the first to review this product! Submit a review

|

(7 Publications)

Rabbit Polyclonal CDK8 antibody. Suitable for IHC-P, IP, WB and reacts with Human samples. Cited in 7 publications. Immunogen corresponding to Synthetic Peptide within Human CDK8 aa 400 to C-terminus.

View Alternative Names

Cyclin-dependent kinase 8, Cell division protein kinase 8, Mediator complex subunit CDK8, Mediator of RNA polymerase II transcription subunit CDK8, Protein kinase K35, CDK8

3 Images
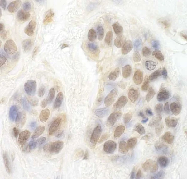
Immunohistochemistry (Formalin/PFA-fixed paraffin-embedded sections) - Anti-Cdk8 antibody (AB224828)
  • IHC-P

Supplier Data

Immunohistochemistry (Formalin/PFA-fixed paraffin-embedded sections) - Anti-Cdk8 antibody (AB224828)

Formalin-fixed, paraffin-embedded human breast carcinoma tissue stained for Cdk8 using ab224828 at 1/200 dilution in immunohistochemical analysis. Detection : DAB staining.

Immunoprecipitation - Anti-Cdk8 antibody (AB224828)
  • IP

Supplier Data

Immunoprecipitation - Anti-Cdk8 antibody (AB224828)

Cdk8 was immunoprecipitated from HeLa (human epithelial cell line from cervix adenocarcinoma) whole cell lysate (1 mg for IP, 20% of IP loaded) with ab224828 at 3 μg/mg lysate. Western blot was performed from the immunoprecipitate using ab224828 at 0.4 μg/ml.

Lane 1 : ab224828 IP in HeLa whole cell lysate.

Lane 2 : Control IgG IP in HeLa whole cell lysate.

Detection : Chemiluminescence with exposure time of 30 seconds.

All lanes:

Immunoprecipitation - Anti-Cdk8 antibody (ab224828)

Predicted band size: 53 kDa

false

Western blot - Anti-Cdk8 antibody (AB224828)
  • WB

Supplier Data

Western blot - Anti-Cdk8 antibody (AB224828)

All lanes:

Western blot - Anti-Cdk8 antibody (ab224828) at 0.04 µg/mL

Lane 1:

HeLa (human epithelial cell line from cervix adenocarcinoma) whole cell lysate at 50 µg

Lane 2:

HeLa (human epithelial cell line from cervix adenocarcinoma) whole cell lysate at 15 µg

Lane 3:

HeLa (human epithelial cell line from cervix adenocarcinoma) whole cell lysate at 5 µg

Lane 4:

HEK-293T (human epithelial cell line from embryonic kidney transformed with large T antigen) whole cell lysate at 50 µg

Predicted band size: 53 kDa

true

Exposure time: 3min

Key facts

Host species

Rabbit

Clonality

Polyclonal

Isotype

IgG

Carrier free

No

Reacts with

Human

Applications

IP, WB, IHC-P

applications

Immunogen

Synthetic Peptide within Human CDK8 aa 400 to C-terminus. The exact immunogen used to generate this antibody is proprietary information.

P49336

Reactivity data

{ "title": "Reactivity Data", "filters": { "stats": ["", "Species", "Dilution Info", "Notes"], "tabs": { "all-applications": {"fullname" : "All Applications", "shortname": "All Applications"}, "IHCP" : {"fullname" : "Immunohistochemistry (Formalin/PFA-fixed paraffin-embedded sections)", "shortname":"IHC-P"}, "IP" : {"fullname" : "Immunoprecipitation", "shortname":"IP"}, "WB" : {"fullname" : "Western blot", "shortname":"WB"} }, "product-promise": { "all": "all", "testedAndGuaranteed": "tested", "guaranteed": "expected", "predicted": "predicted", "notRecommended": "not-recommended" } }, "values": { "Human": { "IHCP-species-checked": "testedAndGuaranteed", "IHCP-species-dilution-info": "1/100 - 1/500", "IHCP-species-notes": "<p></p> Perform heat-mediated antigen retrieval with citrate buffer pH 6 before commencing with IHC staining protocol.", "IP-species-checked": "testedAndGuaranteed", "IP-species-dilution-info": "2-5 µg/mg of lysate", "IP-species-notes": "<p></p>", "WB-species-checked": "testedAndGuaranteed", "WB-species-dilution-info": "1/2000 - 1/10000", "WB-species-notes": "<p></p>" }, "Mouse": { "IHCP-species-checked": "predicted", "IHCP-species-dilution-info": "", "IHCP-species-notes": "", "IP-species-checked": "predicted", "IP-species-dilution-info": "", "IP-species-notes": "", "WB-species-checked": "predicted", "WB-species-dilution-info": "", "WB-species-notes": "" } } }

Properties and storage information

Form
Liquid
Purification technique
Affinity purification Immunogen
Purification notes
ab224828 was affinity purified using an epitope specific to Cdk8 immobilized on solid support.
Storage buffer
pH: 6.8 - 7.4 Preservative: 0.09% Sodium azide Constituents: Tris buffered saline, 0.1% BSA
Shipped at conditions
Blue Ice
Appropriate short-term storage duration
1-2 weeks
Appropriate short-term storage conditions
+4°C
Appropriate long-term storage conditions
+4°C
Aliquoting information
Upon delivery aliquot
Storage information
Avoid freeze / thaw cycle

Supplementary information

This supplementary information is collated from multiple sources and compiled automatically.

Cdk8 also known as Cyclin-dependent kinase 8 forms an important component of the transcription regulation machinery. It has a molecular mass of about 66 kDa and is widely expressed in various tissues though its abundance can vary. Cdk8 operates largely in the nucleus of cells where it participates in regulating gene expression. Cdk8 acts as a kinase by modifying other proteins through phosphorylation which alters their activity and function.
Biological function summary

Cdk8 plays a critical role in modulating transcriptional responses. It does this by becoming part of the Mediator complex which is essential for transcription regulation by RNA Polymerase II. The Mediator complex where Cdk8 acts as a kinase influences the initiation and regulation of gene expression. Cdk8 phosphorylates several transcription factors and other components affecting their ability to activate or repress transcription.

Pathways

Cyclin-dependent kinase 8 functions prominently in the Wnt/β-catenin signaling and Notch signaling pathways both essential for development and cell differentiation. In the Wnt pathway it interacts closely with proteins like β-catenin to influence gene activation. In the Notch pathway it modulates transcription factors related to cellular differentiation processes. These interactions underline its role as a regulator in carefully managing cellular responses to signaling cues.

Cdk8 has been implicated in cancer and congenital disorders. Its overactivity can lead to uncontrolled cell growth contributing to tumor progression notably in colorectal cancer where it affects genes in the Wnt pathway. Beyond cancer its dysfunction links to congenital heart defects where it affects cardiogenesis-associated proteins such as NOTCH1. Cdk8’s involvement in these pathways highlights its part in both regular development and disease pathogenesis.

Product protocols

For this product, it's our understanding that no specific protocols are required. You can visit:

Target data

Component of the Mediator complex, a coactivator involved in regulated gene transcription of nearly all RNA polymerase II-dependent genes. Mediator functions as a bridge to convey information from gene-specific regulatory proteins to the basal RNA polymerase II transcription machinery. Mediator is recruited to promoters by direct interactions with regulatory proteins and serves as a scaffold for the assembly of a functional pre-initiation complex with RNA polymerase II and the general transcription factors. Phosphorylates the CTD (C-terminal domain) of the large subunit of RNA polymerase II (RNAp II), which may inhibit the formation of a transcription initiation complex. Phosphorylates CCNH leading to down-regulation of the TFIIH complex and transcriptional repression. Recruited through interaction with MAML1 to hyperphosphorylate the intracellular domain of NOTCH, leading to its degradation.
See full target information CDK8

Publications (7)

Recent publications for all applications. Explore the full list and refine your search

Archives of toxicology 98:1399-1413 PubMed38460002

2024

Circular RNA MKLN1 promotes epithelial-mesenchymal transition in pulmonary fibrosis by regulating the miR-26a/b-5p/CDK8 axis in human alveolar epithelial cells and mice models.

Applications

Unspecified application

Species

Unspecified reactive species

Yong Zhu,Xiaoxiao Meng,Xian Zhu,Jiaxiang Zhang,Hui Lv,Feiyao Wang,Jinfeng Wang,Cheng Chen,Mengting Chen,Dapeng Wang,Wei Jin,Rui Tian,Ruilan Wang

Translational cancer research 13:423-436 PubMed38410227

2024

LncRNA modulates the proliferation, migration, and invasion of hepatocellular carcinoma cells by regulating the axis.

Applications

Unspecified application

Species

Unspecified reactive species

Yening Huang,Dongming Li,Lu Lu,Dan Song,Peng Li

PloS one 16:e0261660 PubMed34941939

2021

Direct visualization by FRET-FLIM of a putative mechanosome complex involving Src, Pyk2 and MBD2 in living MLO-Y4 cells.

Applications

Unspecified application

Species

Unspecified reactive species

Richard N Day,Kathleen H Day,Fredrick M Pavalko

Nature communications 12:2693 PubMed33976158

2021

An RFC4/Notch1 signaling feedback loop promotes NSCLC metastasis and stemness.

Applications

Unspecified application

Species

Unspecified reactive species

Lei Liu,Tianyu Tao,Shihua Liu,Xia Yang,Xuwei Chen,Jiaer Liang,Ruohui Hong,Wenting Wang,Yi Yang,Xiaoyi Li,Youhong Zhang,Quanfeng Li,Shujun Liang,Haocheng Yu,Yun Wu,Xinyu Guo,Yan Lai,Xiaofan Ding,Hongyu Guan,Jueheng Wu,Xun Zhu,Jie Yuan,Jun Li,Shicheng Su,Mengfeng Li,Xiuyu Cai,Junchao Cai,Han Tian

Cancer medicine 10:1377-1393 PubMed33655711

2021

LINC01224 accelerates malignant transformation via MiR-193a-5p/CDK8 axis in gastric cancer.

Applications

Unspecified application

Species

Unspecified reactive species

Hui Sun,Jihong Yan,Guangyu Tian,Xiaojun Chen,Wenbo Song

Molecular medicine reports 22:3316-3326 PubMed32945439

2020

miR‑592 acts as an oncogene and promotes medullary thyroid cancer tumorigenesis by targeting cyclin‑dependent kinase 8.

Applications

Unspecified application

Species

Unspecified reactive species

Ting Liu,Jingjing Meng,Yu Zhang

Cell death & disease 11:34 PubMed31949128

2020

Long non-coding RNA DLGAP1-AS1 facilitates tumorigenesis and epithelial-mesenchymal transition in hepatocellular carcinoma via the feedback loop of miR-26a/b-5p/IL-6/JAK2/STAT3 and Wnt/β-catenin pathway.

Applications

Unspecified application

Species

Unspecified reactive species

Ye Lin,Zhixiang Jian,Haosheng Jin,Xiangling Wei,Xiongfeng Zou,Renguo Guan,Jianfeng Huang
View all publications

Product promise

We are committed to supporting your work with high-quality reagents, and we're here for you every step of the way. In the unlikely event that one of our products does not perform as expected, you're protected by our Product Promise.
For full details, please see our Terms & Conditions

Please note: All products are 'FOR RESEARCH USE ONLY. NOT FOR USE IN DIAGNOSTIC OR THERAPEUTIC PROCEDURES'.

For licensing inquiries, please contact partnerships@abcam.com