JavaScript is disabled in your browser. Please enable JavaScript to view this website.
AB325133

Anti-Cdk8 antibody [EPR26566-270]

  • RabMAb
  • Recombinant
  • 20ul selling size
  • KO Validated
  • What is this?

Be the first to review this product! Submit a review

|

(0 Publication)

Rabbit Recombinant Monoclonal CDK8 antibody. Suitable for I-ELISA, IHC-P, WB and reacts with Recombinant full length protein - Human, Human samples.

View Alternative Names

Cyclin-dependent kinase 8, Cell division protein kinase 8, Mediator complex subunit CDK8, Mediator of RNA polymerase II transcription subunit CDK8, Protein kinase K35, CDK8

6 Images
Immunohistochemistry (Formalin/PFA-fixed paraffin-embedded sections) - Anti-Cdk8 antibody [EPR26566-270] (AB325133)
  • IHC-P

Supplier Data

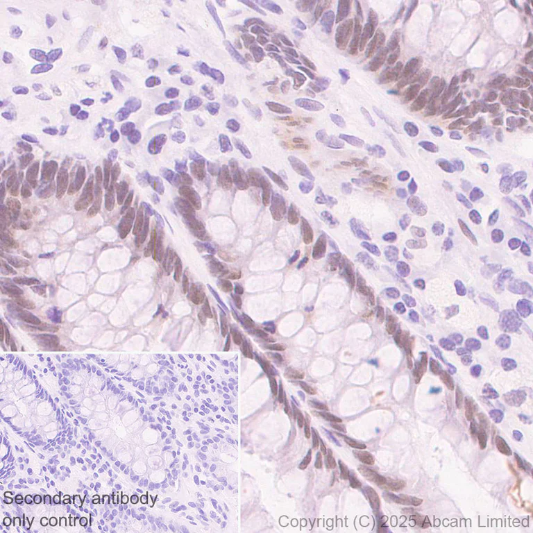
Immunohistochemistry (Formalin/PFA-fixed paraffin-embedded sections) - Anti-Cdk8 antibody [EPR26566-270] (AB325133)

Immunohistochemical analysis of paraffin-embedded Human colon tissue labeling Cdk8 with ab325133 at 1/500 (1.008 ug/ml) dilution, followed by a ready to use LeicaDS9800 (Bond™ Polymer Refine Detection).

Positive staining in human colon.
The primary antibody was incubated for 30 mins at room temperature.
The immunostaining was performed on a Leica Biosystems BOND® RX instrument

Counterstained with Hematoxylin.

Secondary antibody only control : Secondary antibody is a ready to use LeicaDS9800 (Bond™ Polymer Refine Detection).

Heat mediated antigen retrieval was performed with Tris-EDTA buffer (pH 9.0, Epitope Retrieval Solution2) for 20 mins.

Immunohistochemistry (Formalin/PFA-fixed paraffin-embedded sections) - Anti-Cdk8 antibody [EPR26566-270] (AB325133)
  • IHC-P

Supplier Data

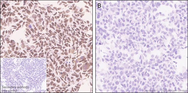
Immunohistochemistry (Formalin/PFA-fixed paraffin-embedded sections) - Anti-Cdk8 antibody [EPR26566-270] (AB325133)

Immunohistochemical analysis of paraffin-embedded (A) Wild-type HAP1 (human chronic myelogenous leukemia near-haploid cell) cell pellet and (B) CDK8 knockout HAP1 cell pellet labeling Cdk8 with ab325133 at 1/1000 (0.504 ug/ml) dilution, followed by a ready to use LeicaDS9800 (Bond™ Polymer Refine Detection).

Positive staining in (A) Wild-type HAP1 cell pellet, and no signal in (B) CDK8 knockout HAP1 cell pellet.
The primary antibody was incubated for 30 mins at room temperature.
The immunostaining was performed on a Leica Biosystems BOND® RX instrument

Counterstained with Hematoxylin.

Secondary antibody only control : Secondary antibody is a ready to use LeicaDS9800 (Bond™ Polymer Refine Detection).

Heat mediated antigen retrieval was performed with Tris-EDTA buffer (pH 9.0, Epitope Retrieval Solution2) for 20 mins.

Immunohistochemistry (Formalin/PFA-fixed paraffin-embedded sections) - Anti-Cdk8 antibody [EPR26566-270] (AB325133)
  • IHC-P

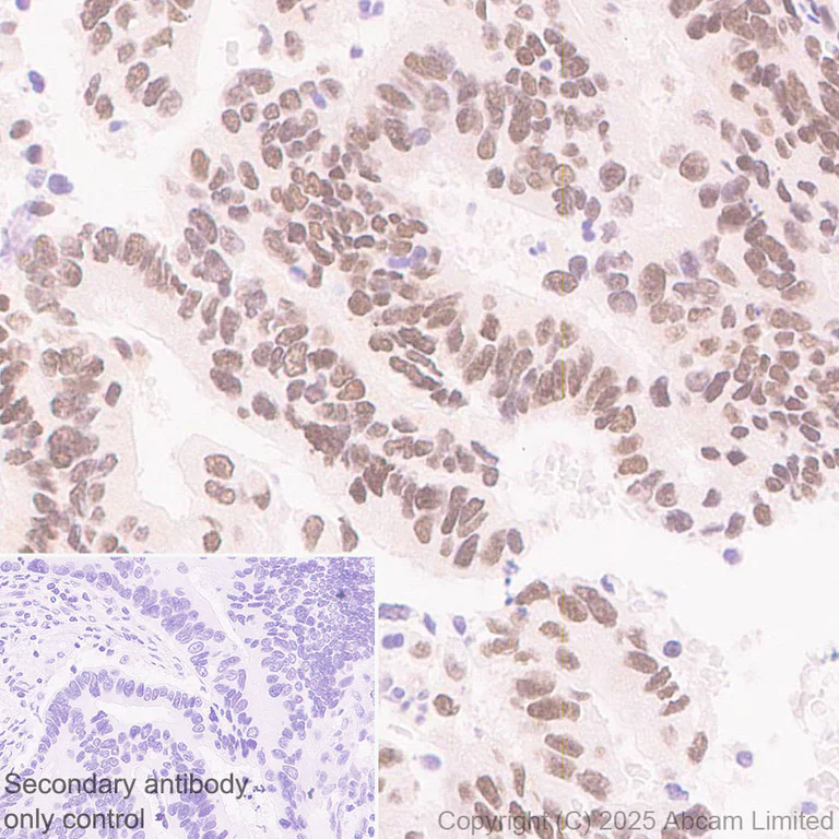
Supplier Data

Immunohistochemistry (Formalin/PFA-fixed paraffin-embedded sections) - Anti-Cdk8 antibody [EPR26566-270] (AB325133)

Immunohistochemical analysis of paraffin-embedded Human colon cancer tissue labeling Cdk8 with ab325133 at 1/500 (1.008 ug/ml) dilution, followed by a ready to use LeicaDS9800 (Bond™ Polymer Refine Detection).

Positive staining in human colon cancer.
The primary antibody was incubated for 30 mins at room temperature.
The immunostaining was performed on a Leica Biosystems BOND® RX instrument

Counterstained with Hematoxylin.

Secondary antibody only control : Secondary antibody is a ready to use LeicaDS9800 (Bond™ Polymer Refine Detection).

Heat mediated antigen retrieval was performed with Tris-EDTA buffer (pH 9.0, Epitope Retrieval Solution2) for 20 mins.

Western blot - Anti-Cdk8 antibody [EPR26566-270] (AB325133)
  • WB

Supplier Data

Western blot - Anti-Cdk8 antibody [EPR26566-270] (AB325133)

Blocking and diluting buffer and concentration : 5% NFDM/TBST.

In Western blot, ab325133 was shown to bind specifically to Cdk8. Target of interest was observed at 53 kDa in wild-type HAP1 cell lysates (lane

  1. with no signal observed at this size in Cdk8 knockout cell line (lane 2).

The expression profile/ molecular weight observed is consistent with what has been described in the literature (PMID : 32596239; PMID : 23746844).

In Western blot, Anti-GAPDH antibody [EPR16891] - Loading Control (ab181602) staining at 1/200000 dilution.

All lanes:

Western blot - Anti-Cdk8 antibody [EPR26566-270] (ab325133) at 1/1000 dilution

Lane 1:

Wild-type HAP1 (human chronic myelogenous leukemia near-haploid cell ) whole cell lysate at 20 µg

Lane 2:

CDK8 knockout HAP1 whole cell lysate at 20 µg

Lane 3:

SW480 (human colorectal adenocarcinoma epithelial cell) whole cell lysate at 20 µg

Lane 4:

HCT 116 (human colorectal carcinoma epithelial cell) whole cell lysate at 20 µg

Lane 5:

Daudi (human Burkitt's lymphoma lymphoblast) whole cell lysate at 20 µg

Lane 6:

K-562 (human chronic myelogenous leukemia lymphoblast) whole cell lysate at 20 µg

Lane 7:

HeLa (human cervical adenocarcinoma epithelial cell) whole cell lysate at 20 µg

Secondary

All lanes:

Western blot - Goat Anti-Rabbit IgG H&L (HRP) (<a href='/en-us/products/secondary-antibodies/goat-rabbit-igg-h-l-hrp-ab97051'>ab97051</a>) at 1/20000 dilution

Observed band size: 53 kDa,36 kDa

false

Exposure time: 81s

Western blot - Anti-Cdk8 antibody [EPR26566-270] (AB325133)
  • WB

Supplier Data

Western blot - Anti-Cdk8 antibody [EPR26566-270] (AB325133)

Blocking and diluting buffer and concentration : 5% NFDM/TBST.

The expression profile/ molecular weight observed is consistent with what has been described in the literature (PMID : 32596239; PMID : 23746844).

The identity of the lower MW band at approximately 30 kDa is unknown.

In Western blot, Anti-GAPDH antibody [EPR16891] - Loading Control (ab181602) staining at 1/200000 dilution.

All lanes:

Western blot - Anti-Cdk8 antibody [EPR26566-270] (ab325133) at 1/1000 dilution

Lane 1:

Human colon tissue lysate at 48 µg

Lane 2:

Human colon cancer tissue lysate at 48 µg

Lane 3:

Human pancreas tissue lysate at 48 µg

Lane 4:

Human pancreas cancer tissue lysate at 48 µg

Lane 5:

Human testis tissue lysate at 48 µg

Secondary

All lanes:

Goat Anti-Rabbit IgG (HRP) with minimal cross-reactivity with human IgG at 1/2000 dilution

Observed band size: 53 kDa,36 kDa

false

Exposure time: 103s

Indirect ELISA - Anti-Cdk8 antibody [EPR26566-270] (AB325133)
  • I-ELISA

Supplier Data

Indirect ELISA - Anti-Cdk8 antibody [EPR26566-270] (AB325133)

Indirect ELISA analysis of ab325133 at 1000-0 ng/ml. The Secondary antibody used was Alkaline Phosphatase-conjugated AffiniPure Goat Anti-Rabbit IgG (H+L) at 1 : 2500 dilution dilution.

Antigen : Human CDK8, Human CDK19.

Antigen concentration : 1000 ng/ml

This antibody does not cross-react with human CDK19

Key facts

Host species

Rabbit

Clonality

Monoclonal

Clone number

EPR26566-270

Isotype

IgG

Carrier free

No

Reacts with

Human

Applications

IHC-P, WB, I-ELISA

applications

Immunogen

The exact immunogen used to generate this antibody is proprietary information.

Reactivity data

{ "title": "Reactivity Data", "filters": { "stats": ["", "Species", "Dilution Info", "Notes"], "tabs": { "all-applications": {"fullname" : "All Applications", "shortname": "All Applications"}, "IELISA" : {"fullname" : "Indirect ELISA", "shortname":"I-ELISA"}, "IHCP" : {"fullname" : "Immunohistochemistry (Formalin/PFA-fixed paraffin-embedded sections)", "shortname":"IHC-P"}, "WB" : {"fullname" : "Western blot", "shortname":"WB"} }, "product-promise": { "all": "all", "testedAndGuaranteed": "tested", "guaranteed": "expected", "predicted": "predicted", "notRecommended": "not-recommended" } }, "values": { "Human": { "IELISA-species-checked": "guaranteed", "IELISA-species-dilution-info": "", "IELISA-species-notes": "", "IHCP-species-checked": "testedAndGuaranteed", "IHCP-species-dilution-info": "1/500", "IHCP-species-notes": "<p></p> Perform heat-mediated antigen retrieval with Tris/EDTA buffer pH 9.0 before commencing with IHC staining protocol.", "WB-species-checked": "testedAndGuaranteed", "WB-species-dilution-info": "1/1000", "WB-species-notes": "<p></p>" }, "Recombinant full length protein - Human": { "IELISA-species-checked": "testedAndGuaranteed", "IELISA-species-dilution-info": "31.25 ng/mL", "IELISA-species-notes": "<p></p>", "IHCP-species-checked": "notRecommended", "IHCP-species-dilution-info": "", "IHCP-species-notes": "", "WB-species-checked": "notRecommended", "WB-species-dilution-info": "", "WB-species-notes": "" } } }

Product details

Patented technology
Our RabMAb® technology is a patented hybridoma-based technology for making rabbit monoclonal antibodies. For details on our patents, please refer to RabMAb® patents.

What are the advantages of a recombinant monoclonal antibody?
This product is a recombinant monoclonal antibody, which offers several advantages including:

  • - High batch-to-batch consistency and reproducibility
  • - Improved sensitivity and specificity
  • - Long-term security of supply
  • - Animal-free batch production

For more information, read more on recombinant antibodies.

Properties and storage information

Form
Liquid
Purification technique
Affinity purification Protein A
Storage buffer
pH: 7.2 - 7.4 Preservative: 0.01% Sodium azide Constituents: PBS, 40% Glycerol (glycerin, glycerine), 0.05% BSA
Shipped at conditions
Blue Ice
Appropriate short-term storage duration
1-2 weeks
Appropriate short-term storage conditions
+4°C
Appropriate long-term storage conditions
-20°C
Aliquoting information
Upon delivery aliquot
Storage information
Avoid freeze / thaw cycle

Product protocols

For this product, it's our understanding that no specific protocols are required. You can visit:

Target data

Component of the Mediator complex, a coactivator involved in regulated gene transcription of nearly all RNA polymerase II-dependent genes. Mediator functions as a bridge to convey information from gene-specific regulatory proteins to the basal RNA polymerase II transcription machinery. Mediator is recruited to promoters by direct interactions with regulatory proteins and serves as a scaffold for the assembly of a functional pre-initiation complex with RNA polymerase II and the general transcription factors. Phosphorylates the CTD (C-terminal domain) of the large subunit of RNA polymerase II (RNAp II), which may inhibit the formation of a transcription initiation complex. Phosphorylates CCNH leading to down-regulation of the TFIIH complex and transcriptional repression. Recruited through interaction with MAML1 to hyperphosphorylate the intracellular domain of NOTCH, leading to its degradation.
See full target information CDK8

Product promise

We are committed to supporting your work with high-quality reagents, and we're here for you every step of the way. In the unlikely event that one of our products does not perform as expected, you're protected by our Product Promise.
For full details, please see our Terms & Conditions

Please note: All products are 'FOR RESEARCH USE ONLY. NOT FOR USE IN DIAGNOSTIC OR THERAPEUTIC PROCEDURES'.

For licensing inquiries, please contact partnerships@abcam.com