JavaScript is disabled in your browser. Please enable JavaScript to view this website.
AB259268

Anti-Cdk9 antibody [EPR22956-37] - ChIP Grade - BSA and Azide free

  • BOND RX™ Validated
  • RabMAb
  • Advanced Validation
  • Recombinant
  • What is this?

Be the first to review this product! Submit a review

|

(1 Publication)

Rabbit Recombinant Monoclonal CDK9 antibody. Carrier free. Suitable for ChIC/CUT&RUN-seq, IP, ChIP, WB, ICC/IF, ChIP-seq, Flow Cyt (Intra), IHC-P and reacts with Human, Mouse, Rat samples. Cited in 1 publication.

View Alternative Names

CDC2L4, TAK, CDK9, Cyclin-dependent kinase 9, C-2K, Cell division cycle 2-like protein kinase 4, Cell division protein kinase 9, Serine/threonine-protein kinase PITALRE, Tat-associated kinase complex catalytic subunit

13 Images
Flow Cytometry (Intracellular) - Anti-Cdk9 antibody [EPR22956-37] - ChIP Grade - BSA and Azide free (AB259268)
  • Flow Cyt (Intra)

Unknown

Flow Cytometry (Intracellular) - Anti-Cdk9 antibody [EPR22956-37] - ChIP Grade - BSA and Azide free (AB259268)

Intracellular flow cytometric analysis of 4% paraformaldehyde fixed 90% methanol permeabilized HeLa (Human cervix adenocarcinoma) cells labelling CDK9 with ab239364 at 1/600 (Red) compared with a Rabbit monoclonal IgG (ab172730) / Black isotype control and an unlabelled control (cells without incubation with primary antibody and secondary antibody) (Blue). A Goat anti rabbit IgG (Alexa Fluor®488, ab150077) at 1/2000 dilution was used as the secondary antibody.

This data was developed using the same antibody clone in a different buffer formulation containing PBS, BSA, glycerol, and sodium azide (ab239364).

Immunohistochemistry (Formalin/PFA-fixed paraffin-embedded sections) - Anti-Cdk9 antibody [EPR22956-37] - ChIP Grade - BSA and Azide free (AB259268)
  • IHC-P

Unknown

Immunohistochemistry (Formalin/PFA-fixed paraffin-embedded sections) - Anti-Cdk9 antibody [EPR22956-37] - ChIP Grade - BSA and Azide free (AB259268)

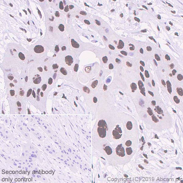
Immunohistochemical analysis of paraffin-embedded Human pancreatic cancer tissue labeling CDK9 with ab239364 at 1/2000 dilution (0.30 ug/ml) followed by a ready to use Rabbit specific IHC polymer detection kit HRP/DAB (ab209101). Nuclear staining on human pancreatic cancer (PMID : 28231737) The section was incubated with ab239364 for 10 mins at RT. The immunostaining was performed on a Leica Biosystems BOND® RX instrument. Counterstained with Hematoxylin.

Secondary antibody only control : Secondary antibody is a ready to use Rabbit specific IHC polymer detection kit HRP/DAB (ab209101).

Heat mediated antigen retrieval with Tris-EDTA buffer (pH 9.0, epitope retrieval solution 2) for 20 mins.

This data was developed using the same antibody clone in a different buffer formulation containing PBS, BSA, glycerol, and sodium azide (ab239364).

Immunohistochemistry (Formalin/PFA-fixed paraffin-embedded sections) - Anti-Cdk9 antibody [EPR22956-37] - ChIP Grade - BSA and Azide free (AB259268)
  • IHC-P

Unknown

Immunohistochemistry (Formalin/PFA-fixed paraffin-embedded sections) - Anti-Cdk9 antibody [EPR22956-37] - ChIP Grade - BSA and Azide free (AB259268)

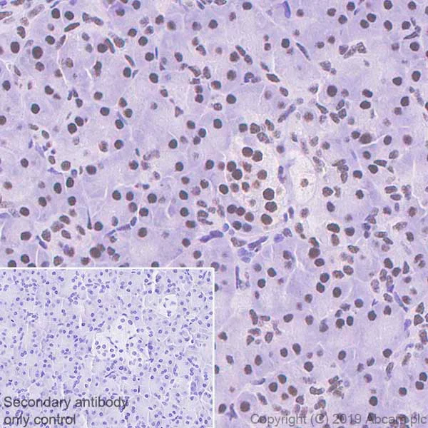
Immunohistochemical analysis of paraffin-embedded Human pancreas tissue labeling CDK9 with ab239364 at 1/2000 dilution (0.30 ug/ml) followed by a ready to use Rabbit specific IHC polymer detection kit HRP/DAB (ab209101). Nuclear staining on human pancreas (PMID : 28231737) The section was incubated with ab239364 for 10 mins at RT. The immunostaining was performed on a Leica Biosystems BOND® RX instrument. Counterstained with Hematoxylin.

Secondary antibody only control : Secondary antibody is a ready to use Rabbit specific IHC polymer detection kit HRP/DAB (ab209101).

Heat mediated antigen retrieval with Tris-EDTA buffer (pH 9.0, epitope retrieval solution 2) for 20 mins.

This data was developed using the same antibody clone in a different buffer formulation containing PBS, BSA, glycerol, and sodium azide (ab239364).

Immunocytochemistry/ Immunofluorescence - Anti-Cdk9 antibody [EPR22956-37] - ChIP Grade - BSA and Azide free (AB259268)
  • ICC/IF

Unknown

Immunocytochemistry/ Immunofluorescence - Anti-Cdk9 antibody [EPR22956-37] - ChIP Grade - BSA and Azide free (AB259268)

Immunofluorescent analysis of 4% Paraformaldehyde-fixed, 0.1% TritonX-100 permeabilized HeLa (human cervix adenocarcinoma epithelial cell) cells labelling CDK9 with ab239364 at 1/100 (6 ug/ml) dilution, followed by ab150077 AlexaFluor®488 Goat anti-Rabbit secondary antibody at 1/1000 (2 ug/ml) dilution (Green). Confocal image showing nuclear staining in HeLa cell line is observed. ab195889 Anti-alpha Tubulin antibody [DM1A] - Microtubule Marker (Alexa Fluor® 594) was used to counterstain tubulin at 1/200 dilution (Red). The Nuclear counterstain was DAPI (Blue).

Secondary antibody only control : Secondary antibody is ab239364 anti-CDK9 ab150077 AlexaFluor®488 Goat anti-Rabbit secondary at 1/1000 (2 ug/ml) dilution.

This data was developed using the same antibody clone in a different buffer formulation containing PBS, BSA, glycerol, and sodium azide (ab239364).

ChIP-sequencing - Anti-Cdk9 antibody [EPR22956-37] - ChIP Grade - BSA and Azide free (AB259268)
  • ChIP-seq

Supplier Data

ChIP-sequencing - Anti-Cdk9 antibody [EPR22956-37] - ChIP Grade - BSA and Azide free (AB259268)

Chromatin was prepared from HeLa cells. Cells were fixed with 1% formaldehyde for 10 minutes. ChIP was performed with 10^7 HeLa cells and 8 μg of ab239364 [EPR22956-37]. ChIP DNA was sequenced on the Illumina NovaSeq 6000 to a depth of 30 million reads. Additional screenshots of mapped reads can be downloaded here.

ChIP - Anti-Cdk9 antibody [EPR22956-37] - ChIP Grade - BSA and Azide free (AB259268)
  • ChIP

Unknown

ChIP - Anti-Cdk9 antibody [EPR22956-37] - ChIP Grade - BSA and Azide free (AB259268)

Chromatin was prepared from HeLa cells according to the Abcam Dual-X-ChIP protocol. Cells were fixed with 1.5 mM EGS for 30mins and then formaldehyde for 10min.
The ChIP was performed with 25 μg of chromatin, 5 μg of ab239364 (red), or 5 μg of rabbit normal IgG ab172730 (gray) and 20 μl of Protein A/G Sepharose beads. The immunoprecipitated DNA was quantified by real time PCR (Taqman approach for active and inactive loci, Sybr green approach for heterochromatic loci).
Primers and probes are from paper PMCID : PMC2756882.

This data was developed using the same antibody clone in a different buffer formulation containing PBS, BSA, glycerol, and sodium azide (ab239364).

Flow Cytometry (Intracellular) - Anti-Cdk9 antibody [EPR22956-37] - ChIP Grade - BSA and Azide free (AB259268)
  • Flow Cyt (Intra)

Unknown

Flow Cytometry (Intracellular) - Anti-Cdk9 antibody [EPR22956-37] - ChIP Grade - BSA and Azide free (AB259268)

Intracellular flow cytometric analysis of 4% paraformaldehyde fixed 90% methanol permeabilized NIH/3T3 (Mouse embryo) cells labelling CDK9 with ab239364 at 1/600 (Red) compared with a Rabbit monoclonal IgG (ab172730) / Black isotype control and an unlabelled control (cells without incubation with primary antibody and secondary antibody) (Blue). A Goat anti rabbit IgG (Alexa Fluor®488, ab150077) at 1/2000 dilution was used as the secondary antibody.

This data was developed using the same antibody clone in a different buffer formulation containing PBS, BSA, glycerol, and sodium azide (ab239364).

Immunohistochemistry (Formalin/PFA-fixed paraffin-embedded sections) - Anti-Cdk9 antibody [EPR22956-37] - ChIP Grade - BSA and Azide free (AB259268)
  • IHC-P

Unknown

Immunohistochemistry (Formalin/PFA-fixed paraffin-embedded sections) - Anti-Cdk9 antibody [EPR22956-37] - ChIP Grade - BSA and Azide free (AB259268)

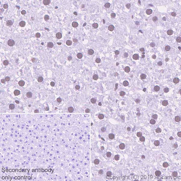
Immunohistochemical analysis of paraffin-embedded Mouse liver tissue labeling CDK9 with ab239364 at 1/2000 dilution (0.30 ug/ml) followed by a ready to use Rabbit specific IHC polymer detection kit HRP/DAB (ab209101). Nuclear staining on mouse liver (PMID : 9766517, 11282025) The section was incubated with ab239364 for 10 mins at RT. The immunostaining was performed on a Leica Biosystems BOND® RX instrument. Counterstained with Hematoxylin.

Secondary antibody only control : Secondary antibody is a ready to use Rabbit specific IHC polymer detection kit HRP/DAB (ab209101).

Heat mediated antigen retrieval with Tris-EDTA buffer (pH 9.0, epitope retrieval solution 2) for 20 mins.

This data was developed using the same antibody clone in a different buffer formulation containing PBS, BSA, glycerol, and sodium azide (ab239364).

Immunocytochemistry/ Immunofluorescence - Anti-Cdk9 antibody [EPR22956-37] - ChIP Grade - BSA and Azide free (AB259268)
  • ICC/IF

Unknown

Immunocytochemistry/ Immunofluorescence - Anti-Cdk9 antibody [EPR22956-37] - ChIP Grade - BSA and Azide free (AB259268)

Immunofluorescent analysis of 4% Paraformaldehyde-fixed, 0.1% TritonX-100 permeabilized NIH/3T3 (mouse embryonic fibroblast) cells labelling CDK9 with ab239364 at 1/100 (6 ug/ml) dilution, followed by ab150077 AlexaFluor®488 Goat anti-Rabbit secondary antibody at 1/1000 (2 ug/ml) dilution (Green). Confocal image showing nuclear staining in NIH/3T3 cell line is observed. ab195889 Anti-alpha Tubulin antibody [DM1A] - Microtubule Marker (Alexa Fluor® 594) was used to counterstain tubulin at 1/200 dilution (Red). The Nuclear counterstain was DAPI (Blue).

Secondary antibody only control : Secondary antibody is ab239364 anti-CDK9 ab150077 AlexaFluor®488 Goat anti-Rabbit secondary at 1/1000 (2 ug/ml) dilution.

This data was developed using the same antibody clone in a different buffer formulation containing PBS, BSA, glycerol, and sodium azide (ab239364).

Immunohistochemistry (Formalin/PFA-fixed paraffin-embedded sections) - Anti-Cdk9 antibody [EPR22956-37] - ChIP Grade - BSA and Azide free (AB259268)
  • IHC-P

Unknown

Immunohistochemistry (Formalin/PFA-fixed paraffin-embedded sections) - Anti-Cdk9 antibody [EPR22956-37] - ChIP Grade - BSA and Azide free (AB259268)

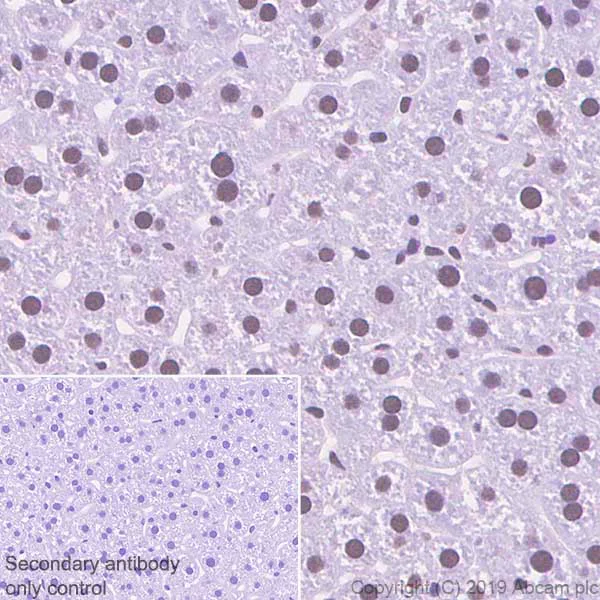
Immunohistochemical analysis of paraffin-embedded Rat liver tissue labeling CDK9 with ab239364 at 1/2000 dilution (0.30 ug/ml) followed by a ready to use Rabbit specific IHC polymer detection kit HRP/DAB (ab209101). Nuclear staining on rat liver (PMID : 9766517, 11282025). The section was incubated with ab239364 for 10 mins at RT. The immunostaining was performed on a Leica Biosystems BOND® RX instrument. Counterstained with Hematoxylin.

Secondary antibody only control : Secondary antibody is a ready to use Rabbit specific IHC polymer detection kit HRP/DAB (ab209101).

Heat mediated antigen retrieval with Tris-EDTA buffer (pH 9.0, epitope retrieval solution 2) for 20 mins.

This data was developed using the same antibody clone in a different buffer formulation containing PBS, BSA, glycerol, and sodium azide (ab239364).

Immunoprecipitation - Anti-Cdk9 antibody [EPR22956-37] - ChIP Grade - BSA and Azide free (AB259268)
  • IP

Unknown

Immunoprecipitation - Anti-Cdk9 antibody [EPR22956-37] - ChIP Grade - BSA and Azide free (AB259268)

CDK9 was immunoprecipitated from 0.35 mg NIH/3T3 (mouse embryonic fibroblast), whole cell lysate 10 ug with ab239364 at 1/30 dilution (2ug in 0.35mg lysates). Western blot was performed on the immunoprecipitate using ab239364 at 1/1000 dilution. VeriBlot for IP Detection Reagent (HRP) (ab131366) was used at 1/5000 dilution.

Lane 1 : NIH/3T3 (mouse embryonic fibroblast), whole cell lysate 10 ug

Lane 2 : ab239364 IP in NIH/3T3 whole cell lysate

Lane 3 : Rabbit monoclonal IgG (ab172730) instead of ab239364 in NIH/3T3 whole cell lysate

Blocking and dilution buffer and concentration : 5% NFDM/TBST.

Exposure time : 6 seconds

This data was developed using the same antibody clone in a different buffer formulation containing PBS, BSA, glycerol, and sodium azide (ab239364).

All lanes:

Immunoprecipitation - Anti-Cdk9 antibody [EPR22956-37] - ChIP Grade (<a href='/en-us/products/primary-antibodies/cdk9-antibody-epr22956-37-chip-grade-ab239364'>ab239364</a>)

Predicted band size: 43 kDa

Observed band size: 42 kDa,55 kDa

false

ChIP - Anti-Cdk9 antibody [EPR22956-37] - ChIP Grade - BSA and Azide free (AB259268)
  • ChIP

Lab

ChIP - Anti-Cdk9 antibody [EPR22956-37] - ChIP Grade - BSA and Azide free (AB259268)

This data was developed using the same antibody clone in a different buffer formulation (ab239364).

Chromatin was prepared from MEF cells according to the Abcam Dual-X-ChIP protocol*. Cells were fixed with 1.5 mM EGS for 30mins and then formaldehyde for 10min. The ChIP was performed with 25 μg of chromatin, 5 μg of ab239364 (red), or 5 μg of rabbit normal IgG ab172730 (gray) and 20 μl of Protein A/G Sepharose beads. The immunoprecipitated DNA was quantified by real time PCR (Taqman approach for active and inactive loci, Sybr green approach for heterochromatic loci).

Primers and probes are from paper PMC4103662 (PMID : 23663783)
*http : //www.abcam.com/resources?keywords=X%20ChIP%20protocol

ChIC/CUT&RUN sequencing - Anti-Cdk9 antibody [EPR22956-37] - ChIP Grade - BSA and Azide free (AB259268)
  • ChIC/CUT&RUN-seq

Supplier Data

ChIC/CUT&RUN sequencing - Anti-Cdk9 antibody [EPR22956-37] - ChIP Grade - BSA and Azide free (AB259268)

ChIC/CUT&RUN was performed using a pAG-MNAse at a final concentration of 700 ng/mL, 2 x 10^5 HeLa (Human cervix adenocarcinoma epithelial cell line) cells and 5 µg of ab239364 [EPR22956-37]. The resulting DNA was sequenced on the Illumina NovaSeq 6000 to a depth of 10 million reads. The negative IgG control ab172730 is also shown. The ChIP data was conducted on chromatin prepared from HeLa cells. Cells were fixed with 1% formaldehyde for 10 minutes. ChIP was performed with 10^7 HeLa cells and 8 µg of ab239364. ChIP DNA was sequenced on the Illumina NovaSeq 6000 to a depth of 30 million reads. Additional screenshots of mapped reads can be found in the Protocol booklet in the Product Protocol section. The University of Geneva owns patents relevant to ChIC (Chromatin Immuno-Cleavage) methods. This data was developed using the same antibody clone in a different buffer formulation containing PBS, BSA, glycerol, and sodium azide (ab239364).

  • Unconjugated

    Anti-Cdk9 antibody [EPR22956-37] - ChIP Grade

Key facts

Host species

Rabbit

Clonality

Monoclonal

Clone number

EPR22956-37

Isotype

IgG

Carrier free

Yes

Reacts with

Mouse, Rat, Human

Applications

ChIP, ICC/IF, Flow Cyt (Intra), IHC-P, ChIP-seq, WB, IP, ChIC/CUT&RUN-seq

applications

Immunogen

The exact immunogen used to generate this antibody is proprietary information.

Reactivity data

{ "title": "Reactivity Data", "filters": { "stats": ["", "Species", "Dilution Info", "Notes"], "tabs": { "all-applications": {"fullname" : "All Applications", "shortname": "All Applications"}, "ChICCUTRUNseq" : {"fullname" : "ChIC/CUT&RUN sequencing", "shortname":"ChIC/CUT&RUN-seq"}, "IP" : {"fullname" : "Immunoprecipitation", "shortname":"IP"}, "ChIP" : {"fullname" : "ChIP", "shortname":"ChIP"}, "WB" : {"fullname" : "Western blot", "shortname":"WB"}, "ICCIF" : {"fullname" : "Immunocytochemistry/ Immunofluorescence", "shortname":"ICC/IF"}, "ChIPseq" : {"fullname" : "ChIP-sequencing", "shortname":"ChIP-seq"}, "FlowCytIntra" : {"fullname" : "Flow Cytometry (Intracellular)", "shortname":"Flow Cyt (Intra)"}, "IHCP" : {"fullname" : "Immunohistochemistry (Formalin/PFA-fixed paraffin-embedded sections)", "shortname":"IHC-P"} }, "product-promise": { "all": "all", "testedAndGuaranteed": "tested", "guaranteed": "expected", "predicted": "predicted", "notRecommended": "not-recommended" } }, "values": { "Human": { "ChICCUTRUNseq-species-checked": "testedAndGuaranteed", "ChICCUTRUNseq-species-dilution-info": "", "ChICCUTRUNseq-species-notes": "<p></p>", "IP-species-checked": "guaranteed", "IP-species-dilution-info": "", "IP-species-notes": "", "ChIP-species-checked": "guaranteed", "ChIP-species-dilution-info": "", "ChIP-species-notes": "", "WB-species-checked": "testedAndGuaranteed", "WB-species-dilution-info": "", "WB-species-notes": "<p></p>", "ICCIF-species-checked": "testedAndGuaranteed", "ICCIF-species-dilution-info": "", "ICCIF-species-notes": "<p></p>", "ChIPseq-species-checked": "testedAndGuaranteed", "ChIPseq-species-dilution-info": "8 µg for 10^7 Cells", "ChIPseq-species-notes": "<p></p>", "FlowCytIntra-species-checked": "testedAndGuaranteed", "FlowCytIntra-species-dilution-info": "", "FlowCytIntra-species-notes": "<p></p>", "IHCP-species-checked": "testedAndGuaranteed", "IHCP-species-dilution-info": "", "IHCP-species-notes": "<p></p>" }, "Mouse": { "ChICCUTRUNseq-species-checked": "guaranteed", "ChICCUTRUNseq-species-dilution-info": "", "ChICCUTRUNseq-species-notes": "", "IP-species-checked": "testedAndGuaranteed", "IP-species-dilution-info": "", "IP-species-notes": "<p></p>", "ChIP-species-checked": "testedAndGuaranteed", "ChIP-species-dilution-info": "5 µg for 25 µg chromatin", "ChIP-species-notes": "<p></p>", "WB-species-checked": "testedAndGuaranteed", "WB-species-dilution-info": "", "WB-species-notes": "<p></p>", "ICCIF-species-checked": "testedAndGuaranteed", "ICCIF-species-dilution-info": "", "ICCIF-species-notes": "<p></p>", "ChIPseq-species-checked": "guaranteed", "ChIPseq-species-dilution-info": "", "ChIPseq-species-notes": "", "FlowCytIntra-species-checked": "testedAndGuaranteed", "FlowCytIntra-species-dilution-info": "", "FlowCytIntra-species-notes": "<p></p>", "IHCP-species-checked": "testedAndGuaranteed", "IHCP-species-dilution-info": "", "IHCP-species-notes": "<p></p>" }, "Rat": { "ChICCUTRUNseq-species-checked": "guaranteed", "ChICCUTRUNseq-species-dilution-info": "", "ChICCUTRUNseq-species-notes": "", "IP-species-checked": "guaranteed", "IP-species-dilution-info": "", "IP-species-notes": "", "ChIP-species-checked": "guaranteed", "ChIP-species-dilution-info": "", "ChIP-species-notes": "", "WB-species-checked": "testedAndGuaranteed", "WB-species-dilution-info": "", "WB-species-notes": "<p></p>", "ICCIF-species-checked": "guaranteed", "ICCIF-species-dilution-info": "", "ICCIF-species-notes": "", "ChIPseq-species-checked": "guaranteed", "ChIPseq-species-dilution-info": "", "ChIPseq-species-notes": "", "FlowCytIntra-species-checked": "guaranteed", "FlowCytIntra-species-dilution-info": "", "FlowCytIntra-species-notes": "", "IHCP-species-checked": "testedAndGuaranteed", "IHCP-species-dilution-info": "", "IHCP-species-notes": "<p></p>" } } }

Product details

ab259268 is the carrier-free version of ab239364.

Patented technology
Our RabMAb® technology is a patented hybridoma-based technology for making rabbit monoclonal antibodies. For details on our patents, please refer to RabMAb® patents.

What are the advantages of a recombinant monoclonal antibody?
This product is a recombinant monoclonal antibody, which offers several advantages including:

  • - High batch-to-batch consistency and reproducibility
  • - Improved sensitivity and specificity
  • - Long-term security of supply
  • - Animal-free batch production

For more information, read more on recombinant antibodies.

Conjugation ready
Our carrier-free antibodies are typically supplied in a PBS-only formulation, purified and free of BSA, sodium azide and glycerol. This conjugation-ready format is designed for use with fluorochromes, metal isotopes, oligonucleotides, and enzymes, which makes them ideal for antibody labelling, functional and cell-based assays, flow-based assays (e.g. mass cytometry) and Multiplex Imaging applications.

Use our conjugation kits for antibody conjugates that are ready-to-use in as little as 20 minutes with 1 minute hands-on-time and 100% antibody recovery: available for fluorescent dyes, HRP, biotin and gold.

Compatibility
This product is compatible with the Maxpar® Antibody Labeling Kit from Fluidigm, without the need for antibody preparation. Maxpar® is a trademark of Fluidigm Canada Inc.

Properties and storage information

Form
Liquid
Purification technique
Affinity purification Protein A
Storage buffer
pH: 7.2 - 7.4 Constituents: PBS
Shipped at conditions
Blue Ice
Appropriate short-term storage conditions
+4°C
Appropriate long-term storage conditions
+4°C
Storage information
Do Not Freeze

Supplementary information

This supplementary information is collated from multiple sources and compiled automatically.

Cyclin-dependent kinase 9 (Cdk9) is a serine/threonine protein kinase involved in regulating transcription elongation. It is often referred to as part of the positive transcription elongation factor b (P-TEFb) complex. Cdk9 partners with cyclin T1 T2 or K to form this complex allowing it to phosphorylate the carboxyl-terminal domain (CTD) of RNA polymerase II. The molecular weight of Cdk9 is around 42 kDa. This protein is ubiquitously expressed found in many tissues including the heart liver and brain reflecting its important role.
Biological function summary

Cdk9 functions as a central component of transcriptional processes. It is essential for the transition of RNA polymerase II from the initiation phase to productive elongation. As part of the P-TEFb complex Cdk9 targets negative elongation factors helping relieve their inhibition. This regulation is especially important in the control of genes with strong promoter proximally paused polymerase. By doing so Cdk9 controls the expression of several genes involved in cell growth differentiation and response to stress.

Pathways

Cdk9 plays a significant role in transcription and signal transduction pathways. One important pathway is the NF-κB signaling where Cdk9 regulates the transcription of NF-κB target genes involved in immune response. Another significant pathway is the heat shock response where Cdk9 enhances the expression of heat shock proteins helping cells deal with stress. In both pathways it cooperates with other proteins like cyclins and negative elongation factors illustrating its interconnected role in cellular function.

Cdk9 has been linked to several conditions most notably cancer and cardiac hypertrophy. Its overactivation can lead to increased transcription of genes involved in proliferation making it a focus for cancer research. Cdk9 is also implicated in cardiac hypertrophy where its activity affects gene expression that can exacerbate the condition. Researchers study its interaction with other proteins such as THZ1 a Cdk9 inhibitor to explore potential therapeutic avenues.

Product protocols

For this product, it's our understanding that no specific protocols are required. You can visit:

Target data

Protein kinase involved in the regulation of transcription (PubMed : 10574912, PubMed : 10757782, PubMed : 11145967, PubMed : 11575923, PubMed : 11809800, PubMed : 11884399, PubMed : 14701750, PubMed : 16109376, PubMed : 16109377, PubMed : 20930849, PubMed : 28426094, PubMed : 29335245). Member of the cyclin-dependent kinase pair (CDK9/cyclin-T) complex, also called positive transcription elongation factor b (P-TEFb), which facilitates the transition from abortive to productive elongation by phosphorylating the CTD (C-terminal domain) of the large subunit of RNA polymerase II (RNAP II) POLR2A, SUPT5H and RDBP (PubMed : 10574912, PubMed : 10757782, PubMed : 11145967, PubMed : 11575923, PubMed : 11809800, PubMed : 11884399, PubMed : 14701750, PubMed : 16109376, PubMed : 16109377, PubMed : 16427012, PubMed : 20930849, PubMed : 28426094, PubMed : 30134174). This complex is inactive when in the 7SK snRNP complex form (PubMed : 10574912, PubMed : 10757782, PubMed : 11145967, PubMed : 11575923, PubMed : 11809800, PubMed : 11884399, PubMed : 14701750, PubMed : 16109376, PubMed : 16109377, PubMed : 20930849, PubMed : 28426094). Phosphorylates EP300, MYOD1, RPB1/POLR2A and AR and the negative elongation factors DSIF and NELFE (PubMed : 10912001, PubMed : 11112772, PubMed : 12037670, PubMed : 16427012, PubMed : 20081228, PubMed : 20980437, PubMed : 21127351, PubMed : 9857195). Regulates cytokine inducible transcription networks by facilitating promoter recognition of target transcription factors (e.g. TNF-inducible RELA/p65 activation and IL-6-inducible STAT3 signaling) (PubMed : 17956865, PubMed : 18362169). Promotes RNA synthesis in genetic programs for cell growth, differentiation and viral pathogenesis (PubMed : 10393184, PubMed : 11112772). P-TEFb is also involved in cotranscriptional histone modification, mRNA processing and mRNA export (PubMed : 15564463, PubMed : 19575011, PubMed : 19844166, PubMed : 28539972). Modulates a complex network of chromatin modifications including histone H2B monoubiquitination (H2Bub1), H3 lysine 4 trimethylation (H3K4me3) and H3K36me3; integrates phosphorylation during transcription with chromatin modifications to control co-transcriptional histone mRNA processing (PubMed : 15564463, PubMed : 19575011, PubMed : 19844166). Also catalyzes phosphorylation of histone H1.4 (H1-4) at Ser-187' (H1.4S187Ph), a modification associated with transcription activation (PubMed : 28539972). The CDK9/cyclin-K complex has also a kinase activity towards CTD of RNAP II and can substitute for CDK9/cyclin-T P-TEFb in vitro (PubMed : 21127351). Replication stress response protein; the CDK9/cyclin-K complex is required for genome integrity maintenance, by promoting cell cycle recovery from replication arrest and limiting single-stranded DNA amount in response to replication stress, thus reducing the breakdown of stalled replication forks and avoiding DNA damage (PubMed : 20493174). In addition, probable function in DNA repair of isoform 2 via interaction with KU70/XRCC6 (PubMed : 20493174). Promotes cardiac myocyte enlargement (PubMed : 20081228). RPB1/POLR2A phosphorylation on 'Ser-2' in CTD activates transcription (PubMed : 21127351). AR phosphorylation modulates AR transcription factor promoter selectivity and cell growth. DSIF and NELF phosphorylation promotes transcription by inhibiting their negative effect (PubMed : 10912001, PubMed : 11112772, PubMed : 9857195). The phosphorylation of MYOD1 enhances its transcriptional activity and thus promotes muscle differentiation (PubMed : 12037670). Catalyzes phosphorylation of KAT5, promoting KAT5 recruitment to chromatin and histone acetyltransferase activity (PubMed : 29335245).
See full target information CDK9

Publications (1)

Recent publications for all applications. Explore the full list and refine your search

International journal of biological sciences 21:5476-5495 PubMed40959275

2025

Increased CAPG inhibits ferroptosis to drive tumor proliferation and sorafenib resistance in hepatocellular carcinoma via the WDR74-p53-SLC7A11 pathway.

Applications

Unspecified application

Species

Unspecified reactive species

Bing Quan,Fan Yao,Wenfeng Liu,Bei Tang,Miao Li,Shenxin Lu,Jinghuan Li,Rongxin Chen,Zhenggang Ren,Xin Yin
View all publications
chicCutRunSequencingBooklet
en

Product promise

We are committed to supporting your work with high-quality reagents, and we're here for you every step of the way. In the unlikely event that one of our products does not perform as expected, you're protected by our Product Promise.
For full details, please see our Terms & Conditions

Please note: All products are 'FOR RESEARCH USE ONLY. NOT FOR USE IN DIAGNOSTIC OR THERAPEUTIC PROCEDURES'.

For licensing inquiries, please contact partnerships@abcam.com