JavaScript is disabled in your browser. Please enable JavaScript to view this website.
AB76320

Anti-Cdk9 antibody [EPR3119Y]

3

(3 Reviews)

|

(21 Publications)

Anti-Cdk9 antibody [EPR3119Y] (ab76320) is a rabbit monoclonal antibody detecting Cdk9 in Western Blot, Flow Cytometry (Intra), Flow Cytometry, IP, IHC-P, ICC/IF. Suitable for Human, Mouse, Rat.

- Biophysical QC for unrivalled batch-batch consistency
- Over 10 publications
- Trusted since 2009

View Alternative Names

CDC2L4, TAK, CDK9, Cyclin-dependent kinase 9, C-2K, Cell division cycle 2-like protein kinase 4, Cell division protein kinase 9, Serine/threonine-protein kinase PITALRE, Tat-associated kinase complex catalytic subunit

14 Images
Immunohistochemistry (Formalin/PFA-fixed paraffin-embedded sections) - Anti-Cdk9 antibody [EPR3119Y] (AB76320)
  • IHC-P

Unknown

Immunohistochemistry (Formalin/PFA-fixed paraffin-embedded sections) - Anti-Cdk9 antibody [EPR3119Y] (AB76320)

Unpurified ab76320 showing positive staining in Colonic adenocarcinoma tissue.

Heat mediated antigen retrieval was performed before commencing with IHC staining protocol.

Immunohistochemistry (Formalin/PFA-fixed paraffin-embedded sections) - Anti-Cdk9 antibody [EPR3119Y] (AB76320)
  • IHC-P

Unknown

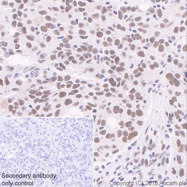
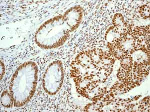
Immunohistochemistry (Formalin/PFA-fixed paraffin-embedded sections) - Anti-Cdk9 antibody [EPR3119Y] (AB76320)

Immunohistochemistry (Formalin/PFA-fixed paraffin-embedded sections) analysis of Human bladder carcinoma tissue sections labeling Cdk9 with Purified ab76320 at 1 : 100 dilution (1.08 μg/ml). Heat mediated antigen retrieval was performed using ab93684 (Tris/EDTA buffer, pH 9.0). ImmunoHistoProbe one step HRP Polymer (ready to use)was used as the secondary antibody. Negative control : PBS instead of the primary antibody. Hematoxylin was used as a counterstain.

Immunocytochemistry/ Immunofluorescence - Anti-Cdk9 antibody [EPR3119Y] (AB76320)
  • ICC/IF

AbReview32453****

Immunocytochemistry/ Immunofluorescence - Anti-Cdk9 antibody [EPR3119Y] (AB76320)

Unpurified ab76320 (1/200) staining Cdk9 in HeLa cells (green). Cells were fixed in paraformaldehyde, permeabilised in 0.5% Triton X100/ PBS and counterstained with DAPI in order to highlight the nucleus (red). For further experimental details please refer to Abreview.

This image is courtesy of an Abreview submitted by Kirk McManus.

Flow Cytometry (Intracellular) - Anti-Cdk9 antibody [EPR3119Y] (AB76320)
  • Flow Cyt (Intra)

Unknown

Flow Cytometry (Intracellular) - Anti-Cdk9 antibody [EPR3119Y] (AB76320)

Intracellular Flow Cytometry analysis of HeLa (Human cervix adenocarcinoma epithelial cell) cells labeling Cdk9 with Purified ab76320 at 1/60 dilution (10 μg/ml) (red). Cells were fixed with 4% Paraformaldehyde. A Goat anti rabbit IgG (Alexa Fluor® 488, ab150077) secondary antibody was used at 1/2000. Isotype control - Rabbit monoclonal IgG (Black). Unlabeled control - Cell without incubation with primary antibody and secondary antibody (Blue).

Immunohistochemistry (Formalin/PFA-fixed paraffin-embedded sections) - Anti-Cdk9 antibody [EPR3119Y] (AB76320)
  • IHC-P

Supplier Data

Immunohistochemistry (Formalin/PFA-fixed paraffin-embedded sections) - Anti-Cdk9 antibody [EPR3119Y] (AB76320)

Unpurified ab76320 showing positive staining in Normal tonsil tissue.

Heat mediated antigen retrieval was performed before commencing with IHC staining protocol.

Immunohistochemistry (Formalin/PFA-fixed paraffin-embedded sections) - Anti-Cdk9 antibody [EPR3119Y] (AB76320)
  • IHC-P

Unknown

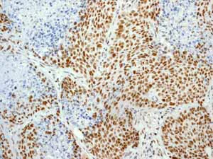
Immunohistochemistry (Formalin/PFA-fixed paraffin-embedded sections) - Anti-Cdk9 antibody [EPR3119Y] (AB76320)

Unpurified ab76320 showing positive staining in Lung adenocarcinoma tissue.

Heat mediated antigen retrieval was performed before commencing with IHC staining protocol.

Immunohistochemistry (Formalin/PFA-fixed paraffin-embedded sections) - Anti-Cdk9 antibody [EPR3119Y] (AB76320)
  • IHC-P

Unknown

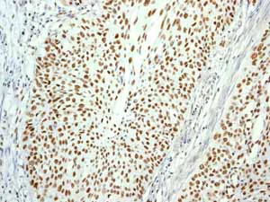
Immunohistochemistry (Formalin/PFA-fixed paraffin-embedded sections) - Anti-Cdk9 antibody [EPR3119Y] (AB76320)

Unpurified ab76320 showing positive staining in Cervical carcinoma tissue.
Heat mediated antigen retrieval was performed before commencing with IHC staining protocol.

Immunocytochemistry/ Immunofluorescence - Anti-Cdk9 antibody [EPR3119Y] (AB76320)
  • ICC/IF

Unknown

Immunocytochemistry/ Immunofluorescence - Anti-Cdk9 antibody [EPR3119Y] (AB76320)

Immunocytochemistry/ Immunofluorescence analysis of HT-29 (Human colorectal adenocarcinoma epithelial cell) cells labeling Cdk9 with Purified ab76320 at 1 : 50 dilution (2.2 µg/ml). Cells were fixed in 4% Paraformaldehyde and permeabilized with 0.1% tritonX-100. Goat anti rabbit IgG (Alexa Fluor® 488, ab150077) was used as the secondary antibody at 1 : 1000 (2 µg/ml) dilution. DAPI nuclear counterstain. PBS instead of the primary antibody was used as the secondary antibody only control.

Immunohistochemistry (Formalin/PFA-fixed paraffin-embedded sections) - Anti-Cdk9 antibody [EPR3119Y] (AB76320)
  • IHC-P

Unknown

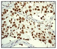
Immunohistochemistry (Formalin/PFA-fixed paraffin-embedded sections) - Anti-Cdk9 antibody [EPR3119Y] (AB76320)

Immunohistochemical analysis of paraffin-embedded human breast carcinoma using unpurified ab76320 at 1/100 dilution.

Heat mediated antigen retrieval was performed before commencing with IHC staining protocol.

Immunoprecipitation - Anti-Cdk9 antibody [EPR3119Y] (AB76320)
  • IP

Unknown

Immunoprecipitation - Anti-Cdk9 antibody [EPR3119Y] (AB76320)

ab76320 (purified) at 1 : 20 dilution (0.5μg) immunoprecipitating Cdk9 in HeLa whole cell lysate.
Lane 1 (input) : HeLa (Human cervix adenocarcinoma epithelial cell) whole cell lysate 10μg
Lane 2 (+) : ab76320 & HeLa whole cell lysate
Lane 3 (-) : Rabbit monoclonal IgG (ab172730) instead of ab76320 in HeLa whole cell lysate
For western blotting, VeriBlot for IP Detection Reagent (HRP) (ab131366) was used for detection at 1 : 1000 dilution.
Blocking and diluting buffer : 5% NFDM/TBST.

All lanes:

Immunoprecipitation - Anti-Cdk9 antibody [EPR3119Y] (ab76320)

Predicted band size: 43 kDa

false

Immunohistochemistry (Formalin/PFA-fixed paraffin-embedded sections) - Anti-Cdk9 antibody [EPR3119Y] (AB76320)
  • IHC-P

Unknown

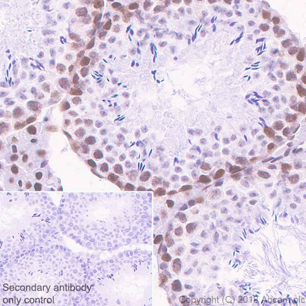
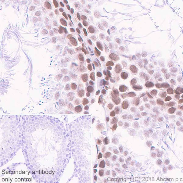
Immunohistochemistry (Formalin/PFA-fixed paraffin-embedded sections) - Anti-Cdk9 antibody [EPR3119Y] (AB76320)

Immunohistochemistry (Formalin/PFA-fixed paraffin-embedded sections) analysis of Rat testis tissue sections labeling Cdk9 with Purified ab76320 at 1 : 100 dilution (1.08 μg/ml). Heat mediated antigen retrieval was performed using ab93684 (Tris/EDTA buffer, pH 9.0). ImmunoHistoProbe one step HRP Polymer (ready to use)was used as the secondary antibody. Negative control : PBS instead of the primary antibody. Hematoxylin was used as a counterstain.

Immunohistochemistry (Formalin/PFA-fixed paraffin-embedded sections) - Anti-Cdk9 antibody [EPR3119Y] (AB76320)
  • IHC-P

Unknown

Immunohistochemistry (Formalin/PFA-fixed paraffin-embedded sections) - Anti-Cdk9 antibody [EPR3119Y] (AB76320)

Immunohistochemistry (Formalin/PFA-fixed paraffin-embedded sections) analysis of Mouse testis tissue sections labeling Cdk9 with Purified ab76320 at 1 : 100 dilution (1.08 μg/ml). Heat mediated antigen retrieval was performed using ab93684 (Tris/EDTA buffer, pH 9.0). ImmunoHistoProbe one step HRP Polymer (ready to use)was used as the secondary antibody. Negative control : PBS instead of the primary antibody. Hematoxylin was used as a counterstain.

Western blot - Anti-Cdk9 antibody [EPR3119Y] (AB76320)
  • WB

Unknown

Western blot - Anti-Cdk9 antibody [EPR3119Y] (AB76320)

All lanes:

Western blot - Anti-Cdk9 antibody [EPR3119Y] (ab76320) at 1/2000 dilution

Lane 1:

HT-29 cell lysate at 10 µg

Lane 2:

HL-60 cell lysate at 10 µg

Lane 3:

HeLa cell lysate at 10 µg

Lane 4:

293 cell lysate at 10 µg

Secondary

All lanes:

Goat anti-rabbit HRP at 1/1000 dilution

Predicted band size: 43 kDa

false

Western blot - Anti-Cdk9 antibody [EPR3119Y] (AB76320)
  • WB

Lab

Western blot - Anti-Cdk9 antibody [EPR3119Y] (AB76320)

All lanes:

Western blot - Anti-Cdk9 antibody [EPR3119Y] (ab76320) at 1/5000 dilution

Lane 1:

HT-29 (Human colorectal adenocarcinoma epithelial cell) whole cell lysates at 15 µg

Lane 2:

NIH/3T3 (Mouse embryonic fibroblast) whole cell lysates at 15 µg

Lane 3:

C6 (Rat glial tumor glial cell) whole cell lysates at 15 µg

Secondary

All lanes:

Western blot - Goat Anti-Rabbit IgG H&L (HRP) (<a href='/en-us/products/secondary-antibodies/goat-rabbit-igg-h-l-hrp-ab97051'>ab97051</a>) at 1/20000 dilution

Predicted band size: 43 kDa

Observed band size: 43 kDa

false

Key facts

Host species

Rabbit

Clonality

Monoclonal

Clone number

EPR3119Y

Isotype

IgG

Carrier free

No

Reacts with

Mouse, Rat, Human

Applications

IHC-P, IP, ICC/IF, WB, Flow Cyt (Intra)

applications

Immunogen

The exact immunogen used to generate this antibody is proprietary information.

Reactivity data

{ "title": "Reactivity Data", "filters": { "stats": ["", "Species", "Dilution Info", "Notes"], "tabs": { "all-applications": {"fullname" : "All Applications", "shortname": "All Applications"}, "IHCP" : {"fullname" : "Immunohistochemistry (Formalin/PFA-fixed paraffin-embedded sections)", "shortname":"IHC-P"}, "IP" : {"fullname" : "Immunoprecipitation", "shortname":"IP"}, "WB" : {"fullname" : "Western blot", "shortname":"WB"}, "ICCIF" : {"fullname" : "Immunocytochemistry/ Immunofluorescence", "shortname":"ICC/IF"}, "FlowCytIntra" : {"fullname" : "Flow Cytometry (Intracellular)", "shortname":"Flow Cyt (Intra)"} }, "product-promise": { "all": "all", "testedAndGuaranteed": "tested", "guaranteed": "expected", "predicted": "predicted", "notRecommended": "not-recommended" } }, "values": { "Human": { "IHCP-species-checked": "testedAndGuaranteed", "IHCP-species-dilution-info": "1/100 - 1/250", "IHCP-species-notes": "<p></p> Perform heat-mediated antigen retrieval before commencing with IHC staining protocol.", "IP-species-checked": "testedAndGuaranteed", "IP-species-dilution-info": "1/20", "IP-species-notes": "<p><strong>For unpurified use as 1/40</strong></p>", "WB-species-checked": "testedAndGuaranteed", "WB-species-dilution-info": "1/5000", "WB-species-notes": "<p><strong>For unpurified use as 1/1000 - 1/2000</strong></p>", "ICCIF-species-checked": "testedAndGuaranteed", "ICCIF-species-dilution-info": "1/50", "ICCIF-species-notes": "<p><strong>For unpurified use as 1/100 - 1/250</strong></p>", "FlowCytIntra-species-checked": "testedAndGuaranteed", "FlowCytIntra-species-dilution-info": "1/60", "FlowCytIntra-species-notes": "<p></p>" }, "Mouse": { "IHCP-species-checked": "testedAndGuaranteed", "IHCP-species-dilution-info": "1/100 - 1/250", "IHCP-species-notes": "<p></p> Perform heat-mediated antigen retrieval before commencing with IHC staining protocol.", "IP-species-checked": "guaranteed", "IP-species-dilution-info": "", "IP-species-notes": "", "WB-species-checked": "testedAndGuaranteed", "WB-species-dilution-info": "1/5000", "WB-species-notes": "<p><strong>For unpurified use as 1/1000 - 1/2000</strong></p>", "ICCIF-species-checked": "guaranteed", "ICCIF-species-dilution-info": "", "ICCIF-species-notes": "", "FlowCytIntra-species-checked": "guaranteed", "FlowCytIntra-species-dilution-info": "", "FlowCytIntra-species-notes": "" }, "Rat": { "IHCP-species-checked": "testedAndGuaranteed", "IHCP-species-dilution-info": "1/100 - 1/250", "IHCP-species-notes": "<p></p> Perform heat-mediated antigen retrieval before commencing with IHC staining protocol.", "IP-species-checked": "guaranteed", "IP-species-dilution-info": "", "IP-species-notes": "", "WB-species-checked": "testedAndGuaranteed", "WB-species-dilution-info": "1/5000", "WB-species-notes": "<p><strong>For unpurified use as 1/1000 - 1/2000</strong></p>", "ICCIF-species-checked": "guaranteed", "ICCIF-species-dilution-info": "", "ICCIF-species-notes": "", "FlowCytIntra-species-checked": "guaranteed", "FlowCytIntra-species-dilution-info": "", "FlowCytIntra-species-notes": "" } } }

Product details

What is this antibody validated in?
Anti-Cdk9 antibody [EPR3119Y] (ab76320) is a rabbit recombinant monoclonal antibody and is validated for use in Western Blot (WB), Flow Cytometry (Intra), Flow Cytometry (Flow Cyt), Immunoprecipitation (IP), Immunohistochemistry (IHC-P), Immunocytochemistry/immunofluorescence (ICC/IF) in Human, Mouse, Rat samples.

What is the molecular weight of Cdk9?
Anti-Cdk9 [EPR3119Y] (ab76320) specifically detects a band for Cdk9 (UniProt: P50750) at a molecular weight of 43kDa.

Trusted by the scientific community
Anti-Cdk9 [EPR3119Y] (ab76320) was first used in a scientific publication in 2009 and has been cited over 10 times in peer-reviewed journals.

Trial sizes available!
Test your antibody or perform pre-screening before committing to a larger quantity. Sold in 10µl. Discover our selection of trial-size antibodies.

Other related products
We have a range of other formats of antibody clone [EPR3119Y] also available for your convenience: ab76320, Alexa Fluor® 647 - ab225029, Alexa Fluor® 488 - ab225030, Carrier free - ab236045, PE - ab306087, APC - ab306088, HRP - ab306089, Alkaline Phosphatase - ab308697, Alexa Fluor® 594 - ab310407, Alexa Fluor® 555 - ab311934, Alexa Fluor® 568 - ab312405, Alexa Fluor® 750 - ab321726

Patented technology
Our RabMAb® technology is a patented hybridoma-based technology for making rabbit monoclonal antibodies. For details on our patents, please refer to RabMAb® patents.

What are the advantages of a recombinant monoclonal antibody?
This product is a recombinant monoclonal antibody, which offers several advantages including:

  • - High batch-to-batch consistency and reproducibility
  • - Improved sensitivity and specificity
  • - Long-term security of supply
  • - Animal-free batch production

For more information, read more on recombinant antibodies.

Properties and storage information

Form
Liquid
Purification technique
Affinity purification Protein A
Storage buffer
pH: 7.2 - 7.4 Preservative: 0.01% Sodium azide Constituents: PBS, 40% Glycerol (glycerin, glycerine), 0.05% BSA
Shipped at conditions
Blue Ice
Appropriate short-term storage conditions
+4°C
Appropriate long-term storage conditions
-20°C
Aliquoting information
Upon delivery aliquot
Storage information
Avoid freeze / thaw cycle

Supplementary information

This supplementary information is collated from multiple sources and compiled automatically.

Cyclin-dependent kinase 9 (Cdk9) is a serine/threonine protein kinase involved in regulating transcription elongation. It is often referred to as part of the positive transcription elongation factor b (P-TEFb) complex. Cdk9 partners with cyclin T1 T2 or K to form this complex allowing it to phosphorylate the carboxyl-terminal domain (CTD) of RNA polymerase II. The molecular weight of Cdk9 is around 42 kDa. This protein is ubiquitously expressed found in many tissues including the heart liver and brain reflecting its important role.
Biological function summary

Cdk9 functions as a central component of transcriptional processes. It is essential for the transition of RNA polymerase II from the initiation phase to productive elongation. As part of the P-TEFb complex Cdk9 targets negative elongation factors helping relieve their inhibition. This regulation is especially important in the control of genes with strong promoter proximally paused polymerase. By doing so Cdk9 controls the expression of several genes involved in cell growth differentiation and response to stress.

Pathways

Cdk9 plays a significant role in transcription and signal transduction pathways. One important pathway is the NF-κB signaling where Cdk9 regulates the transcription of NF-κB target genes involved in immune response. Another significant pathway is the heat shock response where Cdk9 enhances the expression of heat shock proteins helping cells deal with stress. In both pathways it cooperates with other proteins like cyclins and negative elongation factors illustrating its interconnected role in cellular function.

Cdk9 has been linked to several conditions most notably cancer and cardiac hypertrophy. Its overactivation can lead to increased transcription of genes involved in proliferation making it a focus for cancer research. Cdk9 is also implicated in cardiac hypertrophy where its activity affects gene expression that can exacerbate the condition. Researchers study its interaction with other proteins such as THZ1 a Cdk9 inhibitor to explore potential therapeutic avenues.

Product protocols

For this product, it's our understanding that no specific protocols are required. You can visit:

Target data

Protein kinase involved in the regulation of transcription (PubMed : 10574912, PubMed : 10757782, PubMed : 11145967, PubMed : 11575923, PubMed : 11809800, PubMed : 11884399, PubMed : 14701750, PubMed : 16109376, PubMed : 16109377, PubMed : 20930849, PubMed : 28426094, PubMed : 29335245). Member of the cyclin-dependent kinase pair (CDK9/cyclin-T) complex, also called positive transcription elongation factor b (P-TEFb), which facilitates the transition from abortive to productive elongation by phosphorylating the CTD (C-terminal domain) of the large subunit of RNA polymerase II (RNAP II) POLR2A, SUPT5H and RDBP (PubMed : 10574912, PubMed : 10757782, PubMed : 11145967, PubMed : 11575923, PubMed : 11809800, PubMed : 11884399, PubMed : 14701750, PubMed : 16109376, PubMed : 16109377, PubMed : 20930849, PubMed : 28426094, PubMed : 30134174). This complex is inactive when in the 7SK snRNP complex form (PubMed : 10574912, PubMed : 10757782, PubMed : 11145967, PubMed : 11575923, PubMed : 11809800, PubMed : 11884399, PubMed : 14701750, PubMed : 16109376, PubMed : 16109377, PubMed : 20930849, PubMed : 28426094). Phosphorylates EP300, MYOD1, RPB1/POLR2A and AR and the negative elongation factors DSIF and NELFE (PubMed : 10912001, PubMed : 11112772, PubMed : 12037670, PubMed : 20081228, PubMed : 20980437, PubMed : 21127351, PubMed : 9857195). Regulates cytokine inducible transcription networks by facilitating promoter recognition of target transcription factors (e.g. TNF-inducible RELA/p65 activation and IL-6-inducible STAT3 signaling) (PubMed : 17956865, PubMed : 18362169). Promotes RNA synthesis in genetic programs for cell growth, differentiation and viral pathogenesis (PubMed : 10393184, PubMed : 11112772). P-TEFb is also involved in cotranscriptional histone modification, mRNA processing and mRNA export (PubMed : 15564463, PubMed : 19575011, PubMed : 19844166). Modulates a complex network of chromatin modifications including histone H2B monoubiquitination (H2Bub1), H3 lysine 4 trimethylation (H3K4me3) and H3K36me3; integrates phosphorylation during transcription with chromatin modifications to control co-transcriptional histone mRNA processing (PubMed : 15564463, PubMed : 19575011, PubMed : 19844166). The CDK9/cyclin-K complex has also a kinase activity towards CTD of RNAP II and can substitute for CDK9/cyclin-T P-TEFb in vitro (PubMed : 21127351). Replication stress response protein; the CDK9/cyclin-K complex is required for genome integrity maintenance, by promoting cell cycle recovery from replication arrest and limiting single-stranded DNA amount in response to replication stress, thus reducing the breakdown of stalled replication forks and avoiding DNA damage (PubMed : 20493174). In addition, probable function in DNA repair of isoform 2 via interaction with KU70/XRCC6 (PubMed : 20493174). Promotes cardiac myocyte enlargement (PubMed : 20081228). RPB1/POLR2A phosphorylation on 'Ser-2' in CTD activates transcription (PubMed : 21127351). AR phosphorylation modulates AR transcription factor promoter selectivity and cell growth. DSIF and NELF phosphorylation promotes transcription by inhibiting their negative effect (PubMed : 10912001, PubMed : 11112772, PubMed : 9857195). The phosphorylation of MYOD1 enhances its transcriptional activity and thus promotes muscle differentiation (PubMed : 12037670). Catalyzes phosphorylation of KAT5, promoting KAT5 recruitment to chromatin and histone acetyltransferase activity (PubMed : 29335245).
See full target information CDK9

Publications (21)

Recent publications for all applications. Explore the full list and refine your search

Nature communications 15:4616 PubMed38816355

2024

Rapid P-TEFb-dependent transcriptional reorganization underpins the glioma adaptive response to radiotherapy.

Applications

Unspecified application

Species

Unspecified reactive species

Faye M Walker,Lays Martin Sobral,Etienne Danis,Bridget Sanford,Sahiti Donthula,Ilango Balakrishnan,Dong Wang,Angela Pierce,Sana D Karam,Soudabeh Kargar,Natalie J Serkova,Nicholas K Foreman,Sujatha Venkataraman,Robin Dowell,Rajeev Vibhakar,Nathan A Dahl

Cell cycle (Georgetown, Tex.) 23:262-278 PubMed38597826

2024

DNMT1-mediated epigenetic suppression of FBXO32 expression promoting cyclin dependent kinase 9 (CDK9) survival and esophageal cancer cell growth.

Applications

Unspecified application

Species

Unspecified reactive species

Xian-Qiang Song,Bin-Bin Chen,Yong-Mei Jin,Chang-Yong Wang

Cancer biology & therapy 24:2279241 PubMed38031910

2023

CDK2 inhibition disorders centrosome stoichiometry and alters cellular outcomes in aneuploid cancer cells.

Applications

Unspecified application

Species

Unspecified reactive species

Zibo Chen,Xi Liu,Masanori Kawakami,Xiuxia Liu,Allison Baker,Aayush Bhatawadekar,Liliya Tyutyunyk-Massey,Kedar Narayan,Ethan Dmitrovsky

Nature communications 14:4275 PubMed37460529

2023

Maternal TDP-43 interacts with RNA Pol II and regulates zygotic genome activation.

Applications

Unspecified application

Species

Unspecified reactive species

Xiaoqing Nie,Qianhua Xu,Chengpeng Xu,Fengling Chen,Qizhi Wang,Dandan Qin,Rui Wang,Zheng Gao,Xukun Lu,Xinai Yang,Yu Wu,Chen Gu,Wei Xie,Lei Li

Science advances 9:eade7500 PubMed37163588

2023

7SK methylation by METTL3 promotes transcriptional activity.

Applications

Unspecified application

Species

Unspecified reactive species

Marcelo Perez-Pepe,Anthony W Desotell,Hengyi Li,Wenxue Li,Bing Han,Qishan Lin,Daryl E Klein,Yansheng Liu,Hani Goodarzi,Claudio R Alarcón

Clinical & translational oncology : official publication of the Federation of Spanish Oncology Societies and of the National Cancer Institute of Mexico 25:830-840 PubMed36374405

2022

The prognostic role of p53 and its correlation with CDK9 in urothelial carcinoma.

Applications

Unspecified application

Species

Unspecified reactive species

Jędrzej Borowczak,Krzysztof Szczerbowski,Mateusz Maniewski,Marek Zdrenka,Piotr Słupski,Hanna Andrusewicz,Joanna Łysik-Miśkurka,Paula Rutkiewicz,Magdalena Bodnar,Łukasz Szylberg

Acta pharmaceutica Sinica. B 12:1390-1405 PubMed35530158

2022

Inhibition of the CDK9-cyclin T1 protein-protein interaction as a new approach against triple-negative breast cancer.

Applications

Unspecified application

Species

Unspecified reactive species

Sha-Sha Cheng,Yuan-Qing Qu,Jia Wu,Guan-Jun Yang,Hao Liu,Wanhe Wang,Qi Huang,Feng Chen,Guodong Li,Chun-Yuen Wong,Vincent Kam Wai Wong,Dik-Lung Ma,Chung-Hang Leung

Cancers 14: PubMed35326643

2022

The Prognostic Role of CDK9 in Bladder Cancer.

Applications

Unspecified application

Species

Unspecified reactive species

Jędrzej Borowczak,Krzysztof Szczerbowski,Mateusz Maniewski,Marek Zdrenka,Piotr Słupski,Paulina Antosik,Sylwia Kołodziejska,Marta Sekielska-Domanowska,Mariusz Dubiel,Magdalena Bodnar,Łukasz Szylberg

Medicine 101:e28309 PubMed35119000

2022

CDK9 is up-regulated and associated with prognosis in patients with papillary thyroid carcinoma.

Applications

Unspecified application

Species

Unspecified reactive species

Tao Guo,De-Feng Liu,Shi-Hao Peng

Journal of virology 95:e0046021 PubMed33827943

2021

Deubiquitinating Enzyme USP21 Inhibits HIV-1 Replication by Downregulating Tat Expression.

Applications

Unspecified application

Species

Unspecified reactive species

Wenying Gao,Guangquan Li,Simin Zhao,Hong Wang,Chen Huan,Baisong Zheng,Chunlai Jiang,Wenyan Zhang
View all publications

Product promise

We are committed to supporting your work with high-quality reagents, and we're here for you every step of the way. In the unlikely event that one of our products does not perform as expected, you're protected by our Product Promise.
For full details, please see our Terms & Conditions

Please note: All products are 'FOR RESEARCH USE ONLY. NOT FOR USE IN DIAGNOSTIC OR THERAPEUTIC PROCEDURES'.

For licensing inquiries, please contact partnerships@abcam.com