JavaScript is disabled in your browser. Please enable JavaScript to view this website.
AB315220

Anti-CDKL5 antibody [EPR26906-28]

Be the first to review this product! Submit a review

|

(0 Publication)

Rabbit Recombinant Monoclonal CDKL5 antibody. Suitable for WB, IP, Flow Cyt (Intra), ICC/IF and reacts with Human, Mouse, Rat samples.

View Alternative Names

STK9, CDKL5, Cyclin-dependent kinase-like 5, Serine/threonine-protein kinase 9

6 Images
Immunocytochemistry/ Immunofluorescence - Anti-CDKL5 antibody [EPR26906-28] (AB315220)
  • ICC/IF

Supplier Data

Immunocytochemistry/ Immunofluorescence - Anti-CDKL5 antibody [EPR26906-28] (AB315220)

Immunofluorescent analysis of 4% Paraformaldehyde-fixed, 0.1% TritonX-100 permeabilized HepG2 (human hepatocellular carcinoma epithelial cell) cells labelling CDKL5 with ab315220 at 1/50 (10.12 ug/ml) dilution, followed by ab150081 Goat Anti-Rabbit IgG H&L (Alexa Fluor® 488) preadsorbed antibody at 1/1000 (2 ug/ml) dilution (Green).

Confocal image showing cytoplasmic and nuclear staining in HepG2 cells. Image was taken with a confocal microscope(Leica-Microsystems, TCS SP8).

ab195889 Anti-alpha Tubulin mouse monoclonal antibody - Microtubule Marker (Alexa Fluor® 594) was used to counterstain tubulin at 1/200 (2.5 ug/ml) dilution (Red). The Nuclear counterstain was DAPI (Blue).

Secondary antibody only control : Secondary antibody is ab150081 Goat Anti-Rabbit IgG H&L (Alexa Fluor® 488) preadsorbed at 1/1000 (2 ug/ml) dilution.

Flow Cytometry (Intracellular) - Anti-CDKL5 antibody [EPR26906-28] (AB315220)
  • Flow Cyt (Intra)

Supplier Data

Flow Cytometry (Intracellular) - Anti-CDKL5 antibody [EPR26906-28] (AB315220)

Flow cytometric analysis of 4% paraformaldehyde fixed 90% methanol permeabilized HepG2 (human hepatocellular carcinoma epithelial cell) cells labelling CDKL5 with ab315220 at 1/500 dilution (0.1 ug, Red) compared with a Rabbit monoclonal IgG (ab172730) (Black) isotype control and an unlabelled control (cells without incubation with primary antibody and secondary antibody) (Blue).

Goat Anti-Rabbit IgG (Alexa Fluor® 488, ab150081) at 1/5000 dilution was used as the secondary antibody.

Immunoprecipitation - Anti-CDKL5 antibody [EPR26906-28] (AB315220)
  • IP

Supplier Data

Immunoprecipitation - Anti-CDKL5 antibody [EPR26906-28] (AB315220)

CDKL5 was immunoprecipitated from 0.35 mg HepG2 (human hepatocellular carcinoma epithelial cell) whole cell lysate with ab315220 at 1/30 dilution (2ug in 0.35mg lysates). Western blot was performed on the immunoprecipitate using ab315220 at 1/1000 dilution. VeriBlot for IP secondary antibody(HRP)(ab131366) was used at 1/5000 dilution.

Lane 1 : HepG2 (human hepatocellular carcinoma epithelial cell) whole cell lysate

Lane 2 : ab315220 IP in HepG2 (human hepatocellular carcinoma epithelial cell) whole cell lysate

Lane 3 : Rabbit monoclonal IgG (ab172730) instead of ab315220 in HepG2 whole cell lysate

Blocking and dilution buffer and concentration : 5% NFDM/TBST.

All lanes:

Immunoprecipitation - Anti-CDKL5 antibody [EPR26906-28] (ab315220) at 1/30 dilution

All lanes:

HepG2 (human hepatocellular carcinoma epithelial cell) whole cell lysate

Secondary

All lanes:

Immunoprecipitation - VeriBlot for IP Detection Reagent (HRP) (<a href='/en-us/products/reagents/veriblot-for-ip-detection-reagent-hrp-ab131366'>ab131366</a>) at 1/5000 dilution

false

Exposure time: 24s

Immunocytochemistry/ Immunofluorescence - Anti-CDKL5 antibody [EPR26906-28] (AB315220)
  • ICC/IF

Supplier Data

Immunocytochemistry/ Immunofluorescence - Anti-CDKL5 antibody [EPR26906-28] (AB315220)

Immunofluorescent analysis of 4% Paraformaldehyde-fixed, 0.1% TritonX-100 permeabilized Neuro-2a (mouse neuroblastoma neuroblast) cells labelling CDKL5 with ab315220 at 1/50 (10.12 ug/ml) dilution, followed by ab150081 Goat Anti-Rabbit IgG H&L (Alexa Fluor® 488) preadsorbed antibody at 1/1000 (2 ug/ml) dilution (Green).

Confocal image showing cytoplasmic and nuclear staining in Neuro-2a cells. Image was taken with a confocal microscope(Leica-Microsystems, TCS SP8).

ab195889 Anti-alpha Tubulin mouse monoclonal antibody - Microtubule Marker (Alexa Fluor® 594) was used to counterstain tubulin at 1/200 (2.5 ug/ml) dilution (Red). The Nuclear counterstain was DAPI (Blue).

Secondary antibody only control : Secondary antibody is ab150081 Goat Anti-Rabbit IgG H&L (Alexa Fluor® 488) preadsorbed at 1/1000 (2 ug/ml) dilution.

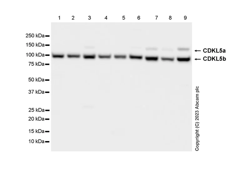
Western blot - Anti-CDKL5 antibody [EPR26906-28] (AB315220)
  • WB

Supplier Data

Western blot - Anti-CDKL5 antibody [EPR26906-28] (AB315220)

Blocking and diluting buffer and concentration : 5% NFDM/TBST.

ab315220 detects both two isoforms of CDKL5, separately named as CDKL5a and CDKL5b, around 130 and 100 kDa in Western blot (PMID : 20861382).

All lanes:

Western blot - Anti-CDKL5 antibody [EPR26906-28] (ab315220) at 1/1000 dilution

Lane 1:

Mouse brain tissue lysate at 50 µg

Lane 2:

Mouse lung tissue lysate at 50 µg

Lane 3:

Mouse liver tissue lysate at 50 µg

Lane 4:

Rat brain tissue lysate at 50 µg

Lane 5:

Rat lung tissue lysate at 50 µg

Lane 6:

Rat lilver tissue lysate at 50 µg

Lane 7:

HEK-293 (human embryonic kidney epithelial cell) whole cell lysate at 50 µg

Lane 8:

PC-3 (human prostate adenocarcinoma epithelial cell) whole cell lysate at 50 µg

Lane 9:

C2C12 (mouse myoblast) whole cell lysate at 50 µg

Secondary

All lanes:

Goat Anti-Rabbit IgG (HRP) with minimal cross-reactivity with human IgG at 1/2000 dilution

Observed band size: 100 kDa,130 kDa,110 kDa

false

Exposure time: 1s

Western blot - Anti-CDKL5 antibody [EPR26906-28] (AB315220)
  • WB

Supplier Data

Western blot - Anti-CDKL5 antibody [EPR26906-28] (AB315220)

Blocking and diluting buffer and concentration : 5% NFDM/TBST.

ab315220 detects both two isoforms of CDKL5, separately named as CDKL5a and CDKL5b, around 130 and 100 kDa in Western blot (PMID : 20861382).

In Western blot, Anti-GAPDH antibody [EPR16891] - Loading Control (ab181602) staining at 1/200000 dilution.

All lanes:

Western blot - Anti-CDKL5 antibody [EPR26906-28] (ab315220) at 1/1000 dilution

Lane 1:

HepG2 (human hepatocellular carcinoma epithelial cell) transfected with scrambled siRNA control whole cell lysate at 50 µg

Lane 2:

HepG2 transfected with siRNA specifically targeting CDKL5 whole cell lysate at 50 µg

Lane 3:

HeLa (human cervical adenocarcinoma epithelial cell) whole cell lysate at 50 µg

Lane 4:

Human lung tissue lysate at 50 µg

Lane 5:

Human liver tissue lysate at 50 µg

Lane 6:

LNCaP (human prostate carcinoma epithelial cell) whole cell lysate at 50 µg

Lane 7:

Neuro-2a (mouse neuroblastoma neuroblast) whole cell lysate at 50 µg

Secondary

All lanes:

Goat Anti-Rabbit IgG (HRP) with minimal cross-reactivity with human IgG at 1/2000 dilution

Observed band size: 100 kDa,130 kDa,110 kDa,36 kDa

false

Exposure time: 1s

Key facts

Host species

Rabbit

Clonality

Monoclonal

Clone number

EPR26906-28

Isotype

IgG

Carrier free

No

Reacts with

Human, Mouse, Rat

Applications

IP, Flow Cyt (Intra), WB, ICC/IF

applications

Immunogen

The exact immunogen used to generate this antibody is proprietary information.

Reactivity data

{ "title": "Reactivity Data", "filters": { "stats": ["", "Species", "Dilution Info", "Notes"], "tabs": { "all-applications": {"fullname" : "All Applications", "shortname": "All Applications"}, "WB" : {"fullname" : "Western blot", "shortname":"WB"}, "IP" : {"fullname" : "Immunoprecipitation", "shortname":"IP"}, "FlowCytIntra" : {"fullname" : "Flow Cytometry (Intracellular)", "shortname":"Flow Cyt (Intra)"}, "ICCIF" : {"fullname" : "Immunocytochemistry/ Immunofluorescence", "shortname":"ICC/IF"}, "IHCP" : {"fullname" : "Immunohistochemistry (Formalin/PFA-fixed paraffin-embedded sections)", "shortname":"IHC-P"} }, "product-promise": { "all": "all", "testedAndGuaranteed": "tested", "guaranteed": "expected", "predicted": "predicted", "notRecommended": "not-recommended" } }, "values": { "Human": { "WB-species-checked": "testedAndGuaranteed", "WB-species-dilution-info": "1/1000", "WB-species-notes": "<p></p>", "IP-species-checked": "testedAndGuaranteed", "IP-species-dilution-info": "1/30", "IP-species-notes": "<p></p>", "FlowCytIntra-species-checked": "testedAndGuaranteed", "FlowCytIntra-species-dilution-info": "1/500", "FlowCytIntra-species-notes": "<p></p>", "ICCIF-species-checked": "testedAndGuaranteed", "ICCIF-species-dilution-info": "1/50", "ICCIF-species-notes": "<p></p>", "IHCP-species-checked": "notRecommended", "IHCP-species-dilution-info": "", "IHCP-species-notes": "<p></p>" }, "Mouse": { "WB-species-checked": "testedAndGuaranteed", "WB-species-dilution-info": "1/1000", "WB-species-notes": "<p></p>", "IP-species-checked": "guaranteed", "IP-species-dilution-info": "", "IP-species-notes": "", "FlowCytIntra-species-checked": "guaranteed", "FlowCytIntra-species-dilution-info": "", "FlowCytIntra-species-notes": "", "ICCIF-species-checked": "testedAndGuaranteed", "ICCIF-species-dilution-info": "1/50", "ICCIF-species-notes": "<p></p>", "IHCP-species-checked": "notRecommended", "IHCP-species-dilution-info": "", "IHCP-species-notes": "<p></p>" }, "Rat": { "WB-species-checked": "testedAndGuaranteed", "WB-species-dilution-info": "1/1000", "WB-species-notes": "<p></p>", "IP-species-checked": "guaranteed", "IP-species-dilution-info": "", "IP-species-notes": "", "FlowCytIntra-species-checked": "guaranteed", "FlowCytIntra-species-dilution-info": "", "FlowCytIntra-species-notes": "", "ICCIF-species-checked": "guaranteed", "ICCIF-species-dilution-info": "", "ICCIF-species-notes": "", "IHCP-species-checked": "notRecommended", "IHCP-species-dilution-info": "", "IHCP-species-notes": "<p></p>" } } }

Product details

Patented technology
Our RabMAb® technology is a patented hybridoma-based technology for making rabbit monoclonal antibodies. For details on our patents, please refer to RabMAb® patents.

What are the advantages of a recombinant monoclonal antibody?
This product is a recombinant monoclonal antibody, which offers several advantages including:

  • - High batch-to-batch consistency and reproducibility
  • - Improved sensitivity and specificity
  • - Long-term security of supply
  • - Animal-free batch production

For more information, read more on recombinant antibodies.

Properties and storage information

Form
Liquid
Purification technique
Affinity purification Protein A
Storage buffer
pH: 7.2 - 7.4 Preservative: 0.01% Sodium azide Constituents: PBS, 40% Glycerol (glycerin, glycerine), 0.05% BSA
Shipped at conditions
Blue Ice
Appropriate short-term storage duration
1-2 weeks
Appropriate short-term storage conditions
+4°C
Appropriate long-term storage conditions
-20°C
Aliquoting information
Upon delivery aliquot
Storage information
Avoid freeze / thaw cycle

Product protocols

For this product, it's our understanding that no specific protocols are required. You can visit:

Target data

Mediates phosphorylation of MECP2 (PubMed : 15917271, PubMed : 16935860). May regulate ciliogenesis (PubMed : 29420175).
See full target information CDKL5

Product promise

We are committed to supporting your work with high-quality reagents, and we're here for you every step of the way. In the unlikely event that one of our products does not perform as expected, you're protected by our Product Promise.
For full details, please see our Terms & Conditions

Please note: All products are 'FOR RESEARCH USE ONLY. NOT FOR USE IN DIAGNOSTIC OR THERAPEUTIC PROCEDURES'.

For licensing inquiries, please contact partnerships@abcam.com