JavaScript is disabled in your browser. Please enable JavaScript to view this website.
AB185620

Anti-CDKN2A/p14ARF antibody [EPR17878]

  • 20ul selling size
  • RabMAb
  • Recombinant
  • KO Validated
  • What is this?

Be the first to review this product! Submit a review

|

(16 Publications)

Rabbit Recombinant Monoclonal p14ARF antibody. Suitable for IP, WB, ICC/IF, Flow Cyt (Intra) and reacts with Human samples. Cited in 16 publications.

View Alternative Names

CDKN2, MLM, CDKN2A, Tumor suppressor ARF, Alternative reading frame, Cyclin-dependent kinase inhibitor 2A, p14ARF, ARF

6 Images
Immunocytochemistry/ Immunofluorescence - Anti-CDKN2A/p14ARF antibody [EPR17878] (AB185620)
  • ICC/IF

Lab

Immunocytochemistry/ Immunofluorescence - Anti-CDKN2A/p14ARF antibody [EPR17878] (AB185620)

Immunofluorescent analysis of 4% paraformaldehyde-fixed, 0.1% Triton X-100 permeabilized HeLa (human cervix adenocarcinoma) cells transfected with CDKN2A/p14ARF or empty vector, labeling CDKN2A/p14ARF with ab185620 at 1/250 dilution, followed by Goat Anti-Rabbit IgG (Alexa Fluor® 488) (ab150077) secondary antibody at 1/1000 dilution

The nuclear counterstain is DAPI (blue).

Tubulin is detected with Anti-alpha Tubulin antibody [DM1A] - Loading Control (ab7291) at 1/1000 dilution and Goat Anti-Mouse IgG H&L (Alexa Fluor® 594) preadsorbed (ab150120) at 1/1000 dilution (red).

The negative controls are as follows : -

-ve control 1 : ab185620 at 1/250 dilution followed by ab150120 at 1/1000 dilution.

-ve control 2 : ab7291 at 1/1000 dilution followed by ab150077 at 1/1000 dilution.

Flow Cytometry (Intracellular) - Anti-CDKN2A/p14ARF antibody [EPR17878] (AB185620)
  • Flow Cyt (Intra)

Supplier Data

Flow Cytometry (Intracellular) - Anti-CDKN2A/p14ARF antibody [EPR17878] (AB185620)

Intracellular flow cytometric analysis of 4% paraformaldehyde-fixed HeLa (Human epithelial cell line from cervix adenocarcinoma) cells transfected with CDKN2A/p14ARF-GFP labeling CDKN2A/p14ARF with ab185620 at 1/120 dilution (red) compared with a Rabbit IgG,monoclonal [EPR25A] - Isotype Control (ab172730) (black) and an unlabelled control (cells without incubation with primary antibody and secondary antibody; blue). Goat anti Rabbit IgG (PE) at 1/150 dilution was used as the secondary antibody.

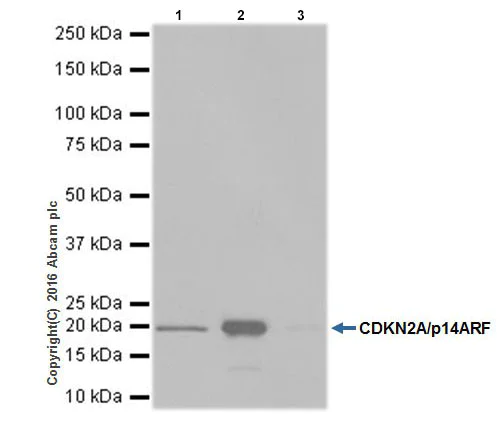
Immunoprecipitation - Anti-CDKN2A/p14ARF antibody [EPR17878] (AB185620)
  • IP

Supplier Data

Immunoprecipitation - Anti-CDKN2A/p14ARF antibody [EPR17878] (AB185620)

CDKN2A/p14ARF was immunoprecipitated from 1mg of CDKN2A/p14ARF transfected HeLa (Human epithelial cells from cervix adenocarcinoma) whole cell lysate with ab185620 at 1/80 dilution.

Western blot was performed from the immunoprecipitate using ab185620 at 1/1000 dilution.

VeriBlot for IP Detection Reagent (HRP) (ab131366), was used for detection at 1/10000 dilution.

Lane 1 : CDKN2A/p14ARF transfected HeLa whole cell lysate, 10μg (Input).

Lane 2 : ab185620 IP in CDKN2A/p14ARF transfected HeLa whole cell lysate.

Lane 3 : Rabbit IgG,monoclonal[EPR25A] - Isotype Control (ab172730) instead of ab185620 in CDKN2A/p14ARF transfected HeLa whole cell lysate.

Blocking and dilution buffer and concentration : 5% NFDM/TBST.

Exposure time : 1 second.

All lanes:

Immunoprecipitation - Anti-CDKN2A/p14ARF antibody [EPR17878] (ab185620)

Predicted band size: 14 kDa

false

Western blot - Anti-CDKN2A/p14ARF antibody [EPR17878] (AB185620)
  • WB

Lab

Western blot - Anti-CDKN2A/p14ARF antibody [EPR17878] (AB185620)

Lanes 1 - 2 : Merged signal (red and green). Green - ab185620 observed at 14 kDa. Red - loading control, ab9484, observed at 37 kDa.

ab185620 was shown to specifically react with CDKN2A/p14ARF in wild-type HeLa cells as signal was lost in CDKN2A knockout cells. Wild-type and CDKN2A knockout samples were subjected to SDS-PAGE. ab185620 and ab9484 (Mouse anti-GAPDH loading control) were incubated overnight at 4°C at 1/1000 dilution and 1/20000 dilution respectively. Blots were developed with Goat anti-Rabbit IgG H&L (IRDye® 800CW) preabsorbed ab216773 and Goat anti-Mouse IgG H&L (IRDye® 680RD) preabsorbed ab216776 secondary antibodies at 1/20000 dilution for 1 hour at room temperature before imaging.

All lanes:

Western blot - Anti-CDKN2A/p14ARF antibody [EPR17878] (ab185620) at 1/1000 dilution

Lane 1:

Wild-type HeLa whole cell lysate at 20 µg

Lane 2:

CDKN2A knockout HeLa whole cell lysate at 20 µg

Predicted band size: 14 kDa

false

Western blot - Anti-CDKN2A/p14ARF antibody [EPR17878] (AB185620)
  • WB

Supplier Data

Western blot - Anti-CDKN2A/p14ARF antibody [EPR17878] (AB185620)

Blocking/Dilution buffer : 5% NFDM/TBST.

All lanes:

Western blot - Anti-CDKN2A/p14ARF antibody [EPR17878] (ab185620) at 1/5000 dilution

Lane 1:

HeLa (Human epithelial cell line from cervix adenocarcinoma) whole cell lysate transfected with empty vector (vector control) at 10 µg

Lane 2:

HeLa (Human epithelial cell line from cervix adenocarcinoma) whole cell lysate transfected with CDKN2A/p14ARF with His-tag at 10 µg

Secondary

All lanes:

Western blot - Goat Anti-Rabbit IgG H&L (HRP) (<a href='/en-us/products/secondary-antibodies/goat-rabbit-igg-h-l-hrp-ab97051'>ab97051</a>) at 1/100000 dilution

Predicted band size: 14 kDa

false

Exposure time: 1s

Western blot - Anti-CDKN2A/p14ARF antibody [EPR17878] (AB185620)
  • WB

Supplier Data

Western blot - Anti-CDKN2A/p14ARF antibody [EPR17878] (AB185620)

Blocking/Dilution buffer : 5% NFDM/TBST.

The expression level of p14 ARF is relatively low in most cell types and will be induced by oncogene expression. (PMID : 9694807; PMID : 9694806).

All lanes:

Western blot - Anti-CDKN2A/p14ARF antibody [EPR17878] (ab185620) at 1/1000 dilution

Lane 1:

PC-3 (Human prostate adenocarcinoma cell line) whole cell lysate at 20 µg

Lane 2:

HEK-293 (Human epithelial cell line from embryonic kidney) whole cell lysate at 20 µg

Secondary

All lanes:

Western blot - Goat Anti-Rabbit IgG H&L (HRP) (<a href='/en-us/products/secondary-antibodies/goat-rabbit-igg-h-l-hrp-ab97051'>ab97051</a>) at 1/100000 dilution

Predicted band size: 14 kDa

Observed band size: 14 kDa

false

Exposure time: 3min

  • Carrier free

    Anti-CDKN2A/p14ARF antibody [EPR17878] - BSA and Azide free

  • 565 Alexa Fluor® 555

    Alexa Fluor® 555 Anti-CDKN2A/p14ARF antibody [EPR17878]

  • 519 Alexa Fluor® 488

    Alexa Fluor® 488 Anti-CDKN2A/p14ARF antibody [EPR17878]

  • 665 Alexa Fluor® 647

    Alexa Fluor® 647 Anti-CDKN2A/p14ARF antibody [EPR17878]

  • 578 PE

    PE Anti-CDKN2A/p14ARF antibody [EPR17878]

  • 660 APC

    APC Anti-CDKN2A/p14ARF antibody [EPR17878]

  • 617 Alexa Fluor® 594

    Alexa Fluor® 594 Anti-CDKN2A/p14ARF antibody [EPR17878]

Key facts

Host species

Rabbit

Clonality

Monoclonal

Clone number

EPR17878

Isotype

IgG

Carrier free

No

Reacts with

Human

Applications

Flow Cyt (Intra), WB, IP, ICC/IF

applications

Immunogen

The exact immunogen used to generate this antibody is proprietary information.

Reactivity data

{ "title": "Reactivity Data", "filters": { "stats": ["", "Species", "Dilution Info", "Notes"], "tabs": { "all-applications": {"fullname" : "All Applications", "shortname": "All Applications"}, "IP" : {"fullname" : "Immunoprecipitation", "shortname":"IP"}, "WB" : {"fullname" : "Western blot", "shortname":"WB"}, "ICCIF" : {"fullname" : "Immunocytochemistry/ Immunofluorescence", "shortname":"ICC/IF"}, "FlowCytIntra" : {"fullname" : "Flow Cytometry (Intracellular)", "shortname":"Flow Cyt (Intra)"} }, "product-promise": { "all": "all", "testedAndGuaranteed": "tested", "guaranteed": "expected", "predicted": "predicted", "notRecommended": "not-recommended" } }, "values": { "Human": { "IP-species-checked": "testedAndGuaranteed", "IP-species-dilution-info": "1/80", "IP-species-notes": "<p></p>", "WB-species-checked": "testedAndGuaranteed", "WB-species-dilution-info": "1/1000", "WB-species-notes": "<p></p>", "ICCIF-species-checked": "testedAndGuaranteed", "ICCIF-species-dilution-info": "1/250", "ICCIF-species-notes": "<p></p>", "FlowCytIntra-species-checked": "testedAndGuaranteed", "FlowCytIntra-species-dilution-info": "1/120", "FlowCytIntra-species-notes": "<p><a href='/en-us/products/primary-antibodies/rabbit-igg-monoclonal-epr25a-isotype-control-ab172730'>ab172730</a> - Rabbit monoclonal IgG, is suitable for use as an isotype control with this antibody.</p>" } } }

Product details

Patented technology
Our RabMAb® technology is a patented hybridoma-based technology for making rabbit monoclonal antibodies. For details on our patents, please refer to RabMAb® patents.

What are the advantages of a recombinant monoclonal antibody?
This product is a recombinant monoclonal antibody, which offers several advantages including:

  • - High batch-to-batch consistency and reproducibility
  • - Improved sensitivity and specificity
  • - Long-term security of supply
  • - Animal-free batch production

For more information, read more on recombinant antibodies.

Properties and storage information

Form
Liquid
Purification technique
Affinity purification Protein A
Storage buffer
pH: 7.2 - 7.4 Preservative: 0.01% Sodium azide Constituents: PBS, 40% Glycerol (glycerin, glycerine), 0.05% BSA
Shipped at conditions
Blue Ice
Appropriate short-term storage duration
1-2 weeks
Appropriate short-term storage conditions
+4°C
Appropriate long-term storage conditions
-20°C
Aliquoting information
Upon delivery aliquot
Storage information
Avoid freeze / thaw cycle

Product protocols

For this product, it's our understanding that no specific protocols are required. You can visit:

Target data

Capable of inducing cell cycle arrest in G1 and G2 phases. Acts as a tumor suppressor. Binds to MDM2 and blocks its nucleocytoplasmic shuttling by sequestering it in the nucleolus. This inhibits the oncogenic action of MDM2 by blocking MDM2-induced degradation of p53 and enhancing p53-dependent transactivation and apoptosis. Also induces G2 arrest and apoptosis in a p53-independent manner by preventing the activation of cyclin B1/CDC2 complexes. Binds to BCL6 and down-regulates BCL6-induced transcriptional repression. Binds to E2F1 and MYC and blocks their transcriptional activator activity but has no effect on MYC transcriptional repression. Binds to TOP1/TOPOI and stimulates its activity. This complex binds to rRNA gene promoters and may play a role in rRNA transcription and/or maturation. Interacts with NPM1/B23 and promotes its polyubiquitination and degradation, thus inhibiting rRNA processing. Plays a role in inhibiting ribosome biogenesis, perhaps by binding to the nucleolar localization sequence of transcription termination factor TTF1, and thereby preventing nucleolar localization of TTF1 (By similarity). Interacts with COMMD1 and promotes its 'Lys63'-linked polyubiquitination. Interacts with UBE2I/UBC9 and enhances sumoylation of a number of its binding partners including MDM2 and E2F1. Binds to HUWE1 and represses its ubiquitin ligase activity. May play a role in controlling cell proliferation and apoptosis during mammary gland development.. Isoform smARF. May be involved in regulation of autophagy and caspase-independent cell death; the short-lived mitochondrial isoform is stabilized by C1QBP.
See full target information CDKN2A

Publications (16)

Recent publications for all applications. Explore the full list and refine your search

Cancer cell international 25:325 PubMed41044576

2025

Kaempferol triggers cellular senescence via CDK1 ubiquitination in HCC cells.

Applications

Unspecified application

Species

Unspecified reactive species

Damin Liang,Min Tian,Guomei Hu,Yu Zhang,Lunyou Zhang,Juqi Chen,Xin Shen,Huayong Jian,Peng Tian,Tingchao Li,Xiaoju Cheng

Frontiers in immunology 16:1557848 PubMed40557159

2025

Cellular senescence-related gene signatures in idiopathic pulmonary fibrosis: insights from bioinformatics.

Applications

Unspecified application

Species

Unspecified reactive species

Shuting Weng,Jingye Zuo,Jiali Mo,Leping Ye

British journal of pharmacology 182:2409-2425 PubMed39933533

2025

Targeting FDX1 by trilobatin to inhibit cuproptosis in doxorubicin-induced cardiotoxicity.

Applications

Unspecified application

Species

Unspecified reactive species

Jiajia Wei,Guozhen Lan,Wenfang Zhang,Wang Ran,Yu Wei,Xin Liu,Yuandong Zhang,Qihai Gong,Haibo Li,Jianmei Gao

Molecular cell 84:4538-4557.e12 PubMed39532099

2024

ARF alters PAF1 complex integrity to selectively repress oncogenic transcription programs upon p53 loss.

Applications

Unspecified application

Species

Unspecified reactive species

Jinli Wang,Nikole L Fendler,Ashutosh Shukla,Shwu-Yuan Wu,Ashwini Challa,Jeon Lee,Lukasz A Joachimiak,John D Minna,Cheng-Ming Chiang,Seychelle M Vos,Iván D'Orso

Discover oncology 15:519 PubMed39361158

2024

Identification of key genes participating in copper-diethyldithiocarbamate-related cell death process and predicting the development of prostate cancer.

Applications

Unspecified application

Species

Unspecified reactive species

Xin'an Wang,Chengdang Xu,Junjie Ma,Xiao Wang,Xi Chen

Human genomics 18:55 PubMed38822443

2024

Pan-cancer analysis of CDKN2A alterations identifies a subset of gastric cancer with a cold tumor immune microenvironment.

Applications

Unspecified application

Species

Unspecified reactive species

Chao Deng,Zi-Xi Li,Chen-Jun Xie,Qing-Lin Zhang,Ben-Shun Hu,Mei-Dan Wang,Jie Mei,Chen Yang,Zhangfeng Zhong,Ke-Wei Wang

Journal of inflammation research 17:1857-1871 PubMed38523689

2024

FTO Stabilizes MIS12 to Inhibit Vascular Smooth Muscle Cell Senescence in Atherosclerotic Plaque.

Applications

Unspecified application

Species

Unspecified reactive species

Jingzhao Sun,Mengqi Wang,Fengming Jia,Jiantao Song,Jinlin Ren,Bo Hu

Molecular biology reports 51:385 PubMed38438773

2024

CDKN2A promoter methylation enhances self-renewal of glioblastoma stem cells and confers resistance to carmustine.

Applications

Unspecified application

Species

Unspecified reactive species

Jing Wang,Yan-Feng Xi,Qi Zhao,Jiang-Hong Guo,Zhen Zhang,Mao-Bai Zhang,Jiang Chang,Yue-Qin Wu,Wen Su

Science advances 9:eadg7112 PubMed37595040

2023

FOXA1 O-GlcNAcylation-mediated transcriptional switch governs metastasis capacity in breast cancer.

Applications

Unspecified application

Species

Unspecified reactive species

Yajie Liu,Kairan Yu,Xiaotian Kong,Keren Zhang,Lingyan Wang,Nana Zhang,Qiushi Chen,Mingshan Niu,Wenli Li,Xiaomin Zhong,Sijin Wu,Jianing Zhang,Yubo Liu

Acta biochimica et biophysica Sinica 55:367-381 PubMed36942988

2023

Long noncoding RNA LINC01088 inhibits esophageal squamous cell carcinoma progression by targeting the NPM1-HDM2-p53 axis.

Applications

Unspecified application

Species

Unspecified reactive species

Fan Liang,Qiuli Luo,Haibo Han,Jianzhi Zhang,Yue Yang,Jinfeng Chen
View all publications

Product promise

We are committed to supporting your work with high-quality reagents, and we're here for you every step of the way. In the unlikely event that one of our products does not perform as expected, you're protected by our Product Promise.
For full details, please see our Terms & Conditions

Please note: All products are 'FOR RESEARCH USE ONLY. NOT FOR USE IN DIAGNOSTIC OR THERAPEUTIC PROCEDURES'.

For licensing inquiries, please contact partnerships@abcam.com