JavaScript is disabled in your browser. Please enable JavaScript to view this website.
AB216602

Anti-CDKN2A/p14ARF antibody [SP271]

Be the first to review this product! Submit a review

|

(2 Publications)

Rabbit Recombinant Monoclonal p14ARF antibody. Suitable for WB, ICC/IF, Flow Cyt (Intra), IHC-P and reacts with Human samples. Cited in 2 publications.

View Alternative Names

CDKN2, MLM, CDKN2A, Tumor suppressor ARF, Alternative reading frame, Cyclin-dependent kinase inhibitor 2A, p14ARF, ARF

5 Images
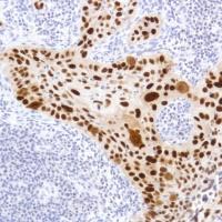
Immunohistochemistry (Formalin/PFA-fixed paraffin-embedded sections) - Anti-CDKN2A/p14ARF antibody [SP271] (AB216602)
  • IHC-P

Unknown

Immunohistochemistry (Formalin/PFA-fixed paraffin-embedded sections) - Anti-CDKN2A/p14ARF antibody [SP271] (AB216602)

Immunohistochemical analysis of formalin-fixed paraffin-embedded Human cervical squamous cell carcinoma labeling CDKN2A/p14ARF with ab216602 at 1/100 dilution.

Flow Cytometry (Intracellular) - Anti-CDKN2A/p14ARF antibody [SP271] (AB216602)
  • Flow Cyt (Intra)

Supplier Data

Flow Cytometry (Intracellular) - Anti-CDKN2A/p14ARF antibody [SP271] (AB216602)

Intracellular flow cytometric analysis of HEK293 cells labeling CDKN2A/p14ARFwith ab216602 at 1/400 dilution (green) compared to negative control rabbit IgG (blue) .

Flow Cytometry (Intracellular) - Anti-CDKN2A/p14ARF antibody [SP271] (AB216602)
  • Flow Cyt (Intra)

Lab

Flow Cytometry (Intracellular) - Anti-CDKN2A/p14ARF antibody [SP271] (AB216602)

Intracellular Flow Cytometry analysis of HeLa (human cervix adenocarcinoma epithelial cell) cells labeling CDKN2A/p14ARF with purified ab216602 at 1/420 dilution (1.02μg/ml) (Red). Cells were fixed with 4% paraformaldehyde and permeabilised with 90% methanol. A Goat anti rabbit IgG (Alexa Fluor® 488, ab150077) secondary antibody was used at 1/2000 dilution. Isotype control - Rabbit monoclonal IgG (ab172730) / Black. Unlabeled control - Unlabelled cells / blue.

Immunocytochemistry/ Immunofluorescence - Anti-CDKN2A/p14ARF antibody [SP271] (AB216602)
  • ICC/IF

Lab

Immunocytochemistry/ Immunofluorescence - Anti-CDKN2A/p14ARF antibody [SP271] (AB216602)

"Immunocytochemistry/ Immunofluorescence analysis of HeLa (human cervix adenocarcinoma epithelial cell) and MCF7 (human breast adenocarcinoma epithelial cell) cells labeling CDKN2A/p14ARF with purified ab216602 at 1/500 (0.86 μg/ml). Cells were fixed in 4% paraformaldehyde and permeabilized with 0.1% Triton X-100. Cells were counterstained with ab195889 Anti-alpha Tubulin antibody [DM1A] - Microtubule Marker (Alexa Fluor® 594) 1/200 (2.5 μg/ml). Goat anti rabbit IgG (Alexa Fluor® 488, ab150077) was used as the secondary antibody at 1/1000 (2 μg/ml) dilution. DAPI (blue) was used as nuclear counterstain. PBS instead of the primary antibody was used as the secondary antibody only control."

Western blot - Anti-CDKN2A/p14ARF antibody [SP271] (AB216602)
  • WB

Supplier Data

Western blot - Anti-CDKN2A/p14ARF antibody [SP271] (AB216602)

All lanes:

Western blot - Anti-CDKN2A/p14ARF antibody [SP271] (ab216602) at 1/400 dilution

All lanes:

HeLa cell lysate

Predicted band size: 14 kDa

false

  • Carrier free

    Anti-CDKN2A/p14ARF antibody [SP271] - BSA and Azide free

  • 578 PE

    PE Anti-CDKN2A/p14ARF antibody [SP271]

  • 660 APC

    APC Anti-CDKN2A/p14ARF antibody [SP271]

  • HRP

    HRP Anti-CDKN2A/p14ARF antibody [SP271]

  • 665 Alexa Fluor® 647

    Alexa Fluor® 647 Anti-CDKN2A/p14ARF antibody [SP271]

  • Alkaline Phosphatase

    Alkaline Phosphatase Anti-CDKN2A/p14ARF antibody [SP271]

  • 519 Alexa Fluor® 488

    Alexa Fluor® 488 Anti-CDKN2A/p14ARF antibody [SP271]

  • 617 Alexa Fluor® 594

    Alexa Fluor® 594 Anti-CDKN2A/p14ARF antibody [SP271]

  • 565 Alexa Fluor® 555

    Alexa Fluor® 555 Anti-CDKN2A/p14ARF antibody [SP271]

  • 603 Alexa Fluor® 568

    Alexa Fluor® 568 Anti-CDKN2A/p14ARF antibody [SP271]

  • 775 Alexa Fluor® 750

    Alexa Fluor® 750 Anti-CDKN2A/p14ARF antibody [SP271]

Key facts

Host species

Rabbit

Clonality

Monoclonal

Clone number

SP271

Isotype

IgG

Carrier free

No

Reacts with

Human

Applications

IHC-P, WB, ICC/IF, Flow Cyt (Intra)

applications

Immunogen

The exact immunogen used to generate this antibody is proprietary information.

Reactivity data

{ "title": "Reactivity Data", "filters": { "stats": ["", "Species", "Dilution Info", "Notes"], "tabs": { "all-applications": {"fullname" : "All Applications", "shortname": "All Applications"}, "WB" : {"fullname" : "Western blot", "shortname":"WB"}, "ICCIF" : {"fullname" : "Immunocytochemistry/ Immunofluorescence", "shortname":"ICC/IF"}, "FlowCytIntra" : {"fullname" : "Flow Cytometry (Intracellular)", "shortname":"Flow Cyt (Intra)"}, "IHCP" : {"fullname" : "Immunohistochemistry (Formalin/PFA-fixed paraffin-embedded sections)", "shortname":"IHC-P"} }, "product-promise": { "all": "all", "testedAndGuaranteed": "tested", "guaranteed": "expected", "predicted": "predicted", "notRecommended": "not-recommended" } }, "values": { "Human": { "WB-species-checked": "testedAndGuaranteed", "WB-species-dilution-info": "1/400", "WB-species-notes": "<p>(Incubate for 1 hour at room temperature).</p>", "ICCIF-species-checked": "testedAndGuaranteed", "ICCIF-species-dilution-info": "1/500", "ICCIF-species-notes": "<p></p>", "FlowCytIntra-species-checked": "testedAndGuaranteed", "FlowCytIntra-species-dilution-info": "1/400 - 1/420", "FlowCytIntra-species-notes": "<p>(Incubate for 30 minutes at 4°C).</p>", "IHCP-species-checked": "testedAndGuaranteed", "IHCP-species-dilution-info": "1/100", "IHCP-species-notes": "<p>(Primary incubation for 10 minutes at room temperature).</p> Perform heat-mediated antigen retrieval with Tris/EDTA buffer pH 9.0 before commencing with IHC staining protocol." } } }

Product details

Patented technology
Our RabMAb® technology is a patented hybridoma-based technology for making rabbit monoclonal antibodies. For details on our patents, please refer to RabMAb® patents.

What are the advantages of a recombinant monoclonal antibody?
This product is a recombinant monoclonal antibody, which offers several advantages including:

  • - High batch-to-batch consistency and reproducibility
  • - Improved sensitivity and specificity
  • - Long-term security of supply
  • - Animal-free batch production

For more information, read more on recombinant antibodies.

Properties and storage information

Form
Liquid
Purification technique
Affinity purification Protein A
Storage buffer
pH: 7.2 - 7.4 Preservative: 0.1% Sodium azide Constituents: PBS, 1% BSA
Shipped at conditions
Blue Ice
Appropriate short-term storage duration
1-2 weeks
Appropriate short-term storage conditions
+4°C
Appropriate long-term storage conditions
-20°C
Aliquoting information
Upon delivery aliquot
Storage information
Avoid freeze / thaw cycle

Product protocols

For this product, it's our understanding that no specific protocols are required. You can visit:

Target data

Capable of inducing cell cycle arrest in G1 and G2 phases. Acts as a tumor suppressor. Binds to MDM2 and blocks its nucleocytoplasmic shuttling by sequestering it in the nucleolus. This inhibits the oncogenic action of MDM2 by blocking MDM2-induced degradation of p53 and enhancing p53-dependent transactivation and apoptosis. Also induces G2 arrest and apoptosis in a p53-independent manner by preventing the activation of cyclin B1/CDC2 complexes. Binds to BCL6 and down-regulates BCL6-induced transcriptional repression. Binds to E2F1 and MYC and blocks their transcriptional activator activity but has no effect on MYC transcriptional repression. Binds to TOP1/TOPOI and stimulates its activity. This complex binds to rRNA gene promoters and may play a role in rRNA transcription and/or maturation. Interacts with NPM1/B23 and promotes its polyubiquitination and degradation, thus inhibiting rRNA processing. Plays a role in inhibiting ribosome biogenesis, perhaps by binding to the nucleolar localization sequence of transcription termination factor TTF1, and thereby preventing nucleolar localization of TTF1 (By similarity). Interacts with COMMD1 and promotes its 'Lys63'-linked polyubiquitination. Interacts with UBE2I/UBC9 and enhances sumoylation of a number of its binding partners including MDM2 and E2F1. Binds to HUWE1 and represses its ubiquitin ligase activity. May play a role in controlling cell proliferation and apoptosis during mammary gland development.. Isoform smARF. May be involved in regulation of autophagy and caspase-independent cell death; the short-lived mitochondrial isoform is stabilized by C1QBP.
See full target information CDKN2A

Publications (2)

Recent publications for all applications. Explore the full list and refine your search

Biology open 12: PubMed37670689

2023

CRISPR/Cas9-mediated knockout of the ubiquitin variant UbKEKS reveals a role in regulating nucleolar structures and composition.

Applications

Unspecified application

Species

Unspecified reactive species

Julie Frion,Anna Meller,Gwendoline Marbach,Dominique Lévesque,Xavier Roucou,François-Michel Boisvert

The Journal of comparative neurology 531:1017-1031 PubMed37121600

2023

Uncovering the brain-wide pattern of synaptic input to vasopressin-expressing neurons in the paraventricular nucleus of the hypothalamus.

Applications

Unspecified application

Species

Unspecified reactive species

Jonathan Woodson,Joseph F Bergan
View all publications

Product promise

We are committed to supporting your work with high-quality reagents, and we're here for you every step of the way. In the unlikely event that one of our products does not perform as expected, you're protected by our Product Promise.
For full details, please see our Terms & Conditions

Please note: All products are 'FOR RESEARCH USE ONLY. NOT FOR USE IN DIAGNOSTIC OR THERAPEUTIC PROCEDURES'.

For licensing inquiries, please contact partnerships@abcam.com