JavaScript is disabled in your browser. Please enable JavaScript to view this website.
AB201980

Anti-CDKN2A/p16INK4a antibody [1D7D2A1]

4

(1 Review)

|

(22 Publications)

Mouse Monoclonal p16INK4A antibody. Suitable for Flow Cyt, WB, IHC-P and reacts with Human samples. Cited in 22 publications. Immunogen corresponding to Recombinant Full Length Protein corresponding to Human CDKN2A.

View Alternative Names

CDKN2, MTS1, CDKN2A, Cyclin-dependent kinase inhibitor 2A, Cyclin-dependent kinase 4 inhibitor A, Multiple tumor suppressor 1, p16-INK4a, CDK4I, MTS-1, p16-INK4, p16INK4A

6 Images
Immunohistochemistry (Formalin/PFA-fixed paraffin-embedded sections) - Anti-CDKN2A/p16INK4a antibody [1D7D2A1] (AB201980)
  • IHC-P

Supplier Data

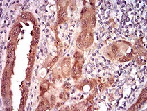
Immunohistochemistry (Formalin/PFA-fixed paraffin-embedded sections) - Anti-CDKN2A/p16INK4a antibody [1D7D2A1] (AB201980)

Immunohistochemical analysis of paraffin-embedded human endometrial cancer tissues labeling CDKN2A using ab201980 at 1/200 dilution followed by DAB staining.

Immunohistochemistry (Formalin/PFA-fixed paraffin-embedded sections) - Anti-CDKN2A/p16INK4a antibody [1D7D2A1] (AB201980)
  • IHC-P

Supplier Data

Immunohistochemistry (Formalin/PFA-fixed paraffin-embedded sections) - Anti-CDKN2A/p16INK4a antibody [1D7D2A1] (AB201980)

Immunohistochemical analysis of paraffin-embedded human esophageal cancer tissues labeling CDKN2A using ab201980 at 1/200 dilution followed by DAB staining.

Flow Cytometry - Anti-CDKN2A/p16INK4a antibody [1D7D2A1] (AB201980)
  • Flow Cyt

Supplier Data

Flow Cytometry - Anti-CDKN2A/p16INK4a antibody [1D7D2A1] (AB201980)

Flow cytometric analysis of HeLa (Human epithelial cell line from cervix adenocarcinoma) cells labeling CDKN2A using ab201980 at 1/200 dilution (green) compared with a negative control (red).

Western blot - Anti-CDKN2A/p16INK4a antibody [1D7D2A1] (AB201980)
  • WB

Supplier Data

Western blot - Anti-CDKN2A/p16INK4a antibody [1D7D2A1] (AB201980)

All lanes:

Western blot - Anti-CDKN2A/p16INK4a antibody [1D7D2A1] (ab201980) at 1/500 dilution

Lane 1:

HeLa (Human epithelial cell line from cervix adenocarcinoma) cell lysate

Lane 2:

HepG2 (Human liver hepatocellular carcinoma cell line) cell lysate

Lane 3:

HEK-293 (Human epithelial cell line from embryonic kidney) cell lysate

Predicted band size: 17 kDa

false

Western blot - Anti-CDKN2A/p16INK4a antibody [1D7D2A1] (AB201980)
  • WB

Supplier Data

Western blot - Anti-CDKN2A/p16INK4a antibody [1D7D2A1] (AB201980)

All lanes:

Western blot - Anti-CDKN2A/p16INK4a antibody [1D7D2A1] (ab201980) at 1/500 dilution

All lanes:

recombinant human CDKN2A protein

Predicted band size: 17 kDa

false

Western blot - Anti-CDKN2A/p16INK4a antibody [1D7D2A1] (AB201980)
  • WB

Supplier Data

Western blot - Anti-CDKN2A/p16INK4a antibody [1D7D2A1] (AB201980)

All lanes:

Western blot - Anti-CDKN2A/p16INK4a antibody [1D7D2A1] (ab201980) at 1/500 dilution

Lane 1:

Non-transfected HEK-293 (Human epithelial cell line from embryonic kidney) cell lysate

Lane 2:

CDKN2A (AA: 1-156)-hIgGFc transfected HEK-293 (Human epithelial cell line from embryonic kidney) cell lysate

Predicted band size: 17 kDa

false

Key facts

Host species

Mouse

Clonality

Monoclonal

Clone number

1D7D2A1

Isotype

IgG1

Carrier free

No

Reacts with

Human

Applications

IHC-P, WB, Flow Cyt

applications

Immunogen

Recombinant Full Length Protein corresponding to Human CDKN2A.

P42771

Specificity

Expression levels of the CDKN2A/p16INK4a protein may vary with sample type. It's barely expressed in normal tissue, and mostly expressed in some tumour tissues, such as cervical cancer, breast cancer and so on. Moreover, only expressed in some cell lines. Please see images for recommended positive controls.

Reactivity data

{ "title": "Reactivity Data", "filters": { "stats": ["", "Species", "Dilution Info", "Notes"], "tabs": { "all-applications": {"fullname" : "All Applications", "shortname": "All Applications"}, "FlowCyt" : {"fullname" : "Flow Cytometry", "shortname":"Flow Cyt"}, "WB" : {"fullname" : "Western blot", "shortname":"WB"}, "IHCP" : {"fullname" : "Immunohistochemistry (Formalin/PFA-fixed paraffin-embedded sections)", "shortname":"IHC-P"} }, "product-promise": { "all": "all", "testedAndGuaranteed": "tested", "guaranteed": "expected", "predicted": "predicted", "notRecommended": "not-recommended" } }, "values": { "Human": { "FlowCyt-species-checked": "testedAndGuaranteed", "FlowCyt-species-dilution-info": "1/200 - 1/400", "FlowCyt-species-notes": "<p><a href='/en-us/products/primary-antibodies/mouse-igg1-kappa-monoclonal-15-6e10a7-isotype-control-ab170190'>ab170190</a> - Mouse monoclonal IgG1, is suitable for use as an isotype control with this antibody.</p>", "WB-species-checked": "testedAndGuaranteed", "WB-species-dilution-info": "1/500 - 1/2000", "WB-species-notes": "<p></p>", "IHCP-species-checked": "testedAndGuaranteed", "IHCP-species-dilution-info": "1/200 - 1/1000", "IHCP-species-notes": "<p></p>" } } }

Product details

This product was changed from ascites to supernatant. Lot no's high than GR286368-6 are from Tissue Culture Supernatant

Properties and storage information

Form
Liquid
Purification technique
Affinity purification Protein G
Purification notes
Purified from tissue culture supernatant.
Storage buffer
Preservative: 0.05% Sodium azide Constituents: PBS
Shipped at conditions
Blue Ice
Appropriate short-term storage duration
1-2 weeks
Appropriate short-term storage conditions
+4°C
Appropriate long-term storage conditions
-20°C
Aliquoting information
Upon delivery aliquot
Storage information
Avoid freeze / thaw cycle

Product protocols

For this product, it's our understanding that no specific protocols are required. You can visit:

Target data

The protein expressed by the gene CDKN2A acts as a negative regulator of normal cell proliferation by strongly interacting with CDK4 and CDK6. This interaction inhibits the ability of CDK4 and CDK6 to interact with cyclins D and to phosphorylate the retinoblastoma protein. This supplementary information is collated from multiple sources and compiled automatically.
See full target information CDKN2A

Publications (22)

Recent publications for all applications. Explore the full list and refine your search

Cells 14: PubMed40214502

2025

Utilisation of Deep Neural Networks for Estimation of Cajal Cells in the Anal Canal Wall of Patients with Advanced Haemorrhoidal Disease Treated by LigaSure Surgery.

Applications

Unspecified application

Species

Unspecified reactive species

Inese Fišere,Edgars Edelmers,Šimons Svirskis,Valērija Groma

Folia neuropathologica 61:249-265 PubMed37818686

2023

MiR-484 promotes the malignant progression of glioma by inhibiting CDKN2A expression.

Applications

Unspecified application

Species

Unspecified reactive species

Yingrui Gu,Hongbing Lei,Peipei Ma,Yi Chen

Cancers 15: PubMed37345059

2023

The Role of the p16 and p53 Tumor Suppressor Proteins and Viral HPV16 E6 and E7 Oncoproteins in the Assessment of Survival in Patients with Head and Neck Cancers Associated with Human Papillomavirus Infections.

Applications

Unspecified application

Species

Unspecified reactive species

Andrejs Lifsics,Maksims Cistjakovs,Liba Sokolovska,Renars Deksnis,Modra Murovska,Valerija Groma

CNS neuroscience & therapeutics 29:691-711 PubMed36550594

2022

LncRNA LINC01018/miR-942-5p/KNG1 axis regulates the malignant development of glioma in vitro and in vivo.

Applications

Unspecified application

Species

Unspecified reactive species

Jinfang Xu,Jianli Wang,Mingfei Zhao,Chenguang Li,Shen Hong,Jianmin Zhang

Scientific reports 12:17990 PubMed36289272

2022

ACSL1 promotes imatinib-induced chronic myeloid leukemia cell senescence by regulating SIRT1/p53/p21 pathway.

Applications

Unspecified application

Species

Unspecified reactive species

Wen Liu,Xiaoying Zhu,Ling Tang,Na Shen,Fanjun Cheng,Ping Zou,Yong You,Guolin Yuan,Qing Li,Xiaojian Zhu

Pharmaceutical biology 59:1388-1401 PubMed34663173

2021

Genistein alleviates HO-induced senescence of human umbilical vein endothelial cells via regulating the TXNIP/NLRP3 axis.

Applications

Unspecified application

Species

Unspecified reactive species

Guihua Wu,Siming Li,Guangjin Qu,Jiajia Hua,Jing Zong,Xiaofeng Li,Fanghui Xu

Translational oncology 14:101199 PubMed34388692

2021

Oncosuppressive role of MicroRNA-205-3p in gastric cancer through inhibition of proliferation and induction of senescence: Oncosuppressive role of MicroRNA-205 in gastric cancer.

Applications

Unspecified application

Species

Unspecified reactive species

Xiaoyu Ma,Naiqian Wang,Keyan Chen,Chenlu Zhang

American journal of translational research 13:5866-5879 PubMed34306331

2021

ZNRD1-AS1 knockdown alleviates malignant phenotype of retinoblastoma through miR-128-3p/BMI1 axis.

Applications

Unspecified application

Species

Unspecified reactive species

Guanghua Yang,Chen Zeng,Yang Liu,Dongliang Li,Juanjuan Cui

Viruses 13: PubMed34072187

2021

Identification of High-Risk Human Papillomavirus DNA, p16, and E6/E7 Oncoproteins in Laryngeal and Hypopharyngeal Squamous Cell Carcinomas.

Applications

Unspecified application

Species

Unspecified reactive species

Andrejs Lifsics,Valerija Groma,Maksims Cistjakovs,Sandra Skuja,Renars Deksnis,Modra Murovska

eLife 10: PubMed33983115

2021

A non-genetic, cell cycle-dependent mechanism of platinum resistance in lung adenocarcinoma.

Applications

Unspecified application

Species

Unspecified reactive species

Alvaro Gonzalez Rajal,Kamila A Marzec,Rachael A McCloy,Max Nobis,Venessa Chin,Jordan F Hastings,Kaitao Lai,Marina Kennerson,William E Hughes,Vijesh Vaghjiani,Paul Timpson,Jason E Cain,D Neil Watkins,David R Croucher,Andrew Burgess
View all publications

Product promise

We are committed to supporting your work with high-quality reagents, and we're here for you every step of the way. In the unlikely event that one of our products does not perform as expected, you're protected by our Product Promise.
For full details, please see our Terms & Conditions

Please note: All products are 'FOR RESEARCH USE ONLY. NOT FOR USE IN DIAGNOSTIC OR THERAPEUTIC PROCEDURES'.

For licensing inquiries, please contact partnerships@abcam.com