JavaScript is disabled in your browser. Please enable JavaScript to view this website.
AB264192

Anti-CDKN2A/p16INK4a antibody

Be the first to review this product! Submit a review

|

(0 Publication)

Rabbit Polyclonal p16INK4A antibody. Suitable for IHC-P, IP, WB and reacts with Human samples. Immunogen corresponding to Synthetic Peptide within Human CDKN2A aa 100 to C-terminus.

View Alternative Names

CDKN2, MTS1, CDKN2A, Cyclin-dependent kinase inhibitor 2A, Cyclin-dependent kinase 4 inhibitor A, Multiple tumor suppressor 1, p16-INK4a, CDK4I, MTS-1, p16-INK4, p16INK4A

3 Images
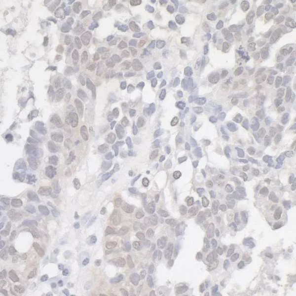
Immunohistochemistry (Formalin/PFA-fixed paraffin-embedded sections) - Anti-CDKN2A/p16INK4a antibody (AB264192)
  • IHC-P

Unknown

Immunohistochemistry (Formalin/PFA-fixed paraffin-embedded sections) - Anti-CDKN2A/p16INK4a antibody (AB264192)

Formalin-fixed, paraffin-embedded human ovarian carcinoma tissue stained for CDKN2A/p16INK4a using ab264192 at 1/200 dilution in immunohistochemical analysis. Detection : DAB.

Immunoprecipitation - Anti-CDKN2A/p16INK4a antibody (AB264192)
  • IP

Supplier Data

Immunoprecipitation - Anti-CDKN2A/p16INK4a antibody (AB264192)

CDKN2A/p16INK4a was immunoprecipitated from 1mg HeLa cell lysate using ab264192 at 6 μg per reaction. Western blot was performed on the immunoprecipitate using ab264192 at 1 μg/ml.

Lane 1 : ab264192 lot 1 IP in HeLa cell lysate.
Lane 2 : ab264192 lot 2 IP in HeLa cell lysate.
Lane 3 : Control IgG.

Detection : Chemiluminescence with an exposure time of 3 minutes.

Cells prepared using NETN lysis buffer.

All lanes:

Immunoprecipitation - Anti-CDKN2A/p16INK4a antibody (ab264192)

Predicted band size: 17 kDa

false

Western blot - Anti-CDKN2A/p16INK4a antibody (AB264192)
  • WB

Supplier Data

Western blot - Anti-CDKN2A/p16INK4a antibody (AB264192)

4-12% SDS-PAGE.

Cells prepared using NETN lysis buffer.

All lanes:

Western blot - Anti-CDKN2A/p16INK4a antibody (ab264192) at 0.1 µg/mL

Lane 1:

HeLa (Human epithelial cell line from cervix adenocarcinoma) whole cell lysate at 50 µg

Lane 2:

HEK-293T (Human epithelial cell line from embryonic kidney transformed with large T antigen) whole cell lysate at 50 µg

Secondary

All lanes:

Goat anti-Rabbit Light Chain HRP Conjugate

Predicted band size: 17 kDa

false

Key facts

Host species

Rabbit

Clonality

Polyclonal

Isotype

IgG

Carrier free

No

Reacts with

Human

Applications

IHC-P, IP, WB

applications

Immunogen

Synthetic Peptide within Human CDKN2A aa 100 to C-terminus. The exact immunogen used to generate this antibody is proprietary information.

P42771

Reactivity data

{ "title": "Reactivity Data", "filters": { "stats": ["", "Species", "Dilution Info", "Notes"], "tabs": { "all-applications": {"fullname" : "All Applications", "shortname": "All Applications"}, "IHCP" : {"fullname" : "Immunohistochemistry (Formalin/PFA-fixed paraffin-embedded sections)", "shortname":"IHC-P"}, "IP" : {"fullname" : "Immunoprecipitation", "shortname":"IP"}, "WB" : {"fullname" : "Western blot", "shortname":"WB"} }, "product-promise": { "all": "all", "testedAndGuaranteed": "tested", "guaranteed": "expected", "predicted": "predicted", "notRecommended": "not-recommended" } }, "values": { "Human": { "IHCP-species-checked": "testedAndGuaranteed", "IHCP-species-dilution-info": "1/100 - 1/500", "IHCP-species-notes": "<p></p> Perform heat-mediated antigen retrieval with citrate buffer pH 6 before commencing with IHC staining protocol.", "IP-species-checked": "testedAndGuaranteed", "IP-species-dilution-info": "2-10 µg/mg of lysate", "IP-species-notes": "<p></p>", "WB-species-checked": "testedAndGuaranteed", "WB-species-dilution-info": "1/2000 - 1/10000", "WB-species-notes": "<p></p>" } } }

Properties and storage information

Form
Liquid
Purification technique
Affinity purification Immunogen
Storage buffer
pH: 6.8 - 7.4 Preservative: 0.09% Sodium azide Constituents: Tris buffered saline, 0.1% BSA
Shipped at conditions
Blue Ice
Appropriate short-term storage duration
1-2 weeks
Appropriate short-term storage conditions
+4°C
Appropriate long-term storage conditions
+4°C
Aliquoting information
Upon delivery aliquot
Storage information
Avoid freeze / thaw cycle

Product protocols

For this product, it's our understanding that no specific protocols are required. You can visit:

Target data

The protein expressed by the gene CDKN2A acts as a negative regulator of normal cell proliferation by strongly interacting with CDK4 and CDK6. This interaction inhibits the ability of CDK4 and CDK6 to interact with cyclins D and to phosphorylate the retinoblastoma protein. This supplementary information is collated from multiple sources and compiled automatically.
See full target information CDKN2A

Product promise

We are committed to supporting your work with high-quality reagents, and we're here for you every step of the way. In the unlikely event that one of our products does not perform as expected, you're protected by our Product Promise.
For full details, please see our Terms & Conditions

Please note: All products are 'FOR RESEARCH USE ONLY. NOT FOR USE IN DIAGNOSTIC OR THERAPEUTIC PROCEDURES'.

For licensing inquiries, please contact partnerships@abcam.com