JavaScript is disabled in your browser. Please enable JavaScript to view this website.
AB186932

Anti-CDKN2A/p16INK4a antibody [EPR1473] - BSA and Azide free

  • BOND RX™ Validated
  • KO Validated
  • RabMAb
  • Recombinant
  • What is this?

4

(2 Reviews)

|

(3 Publications)

Knockout Tested Rabbit Recombinant Monoclonal p16INK4A antibody. Carrier free. Suitable for IP, WB, Flow Cyt (Intra), IHC-P and reacts with Human samples. Cited in 3 publications.

View Alternative Names

CDKN2, MTS1, CDKN2A, Cyclin-dependent kinase inhibitor 2A, Cyclin-dependent kinase 4 inhibitor A, Multiple tumor suppressor 1, p16-INK4a, CDK4I, MTS-1, p16-INK4, p16INK4A

11 Images
Flow Cytometry (Intracellular) - Anti-CDKN2A/p16INK4a antibody [EPR1473] - BSA and Azide free (AB186932)
  • Flow Cyt (Intra)

Lab

Flow Cytometry (Intracellular) - Anti-CDKN2A/p16INK4a antibody [EPR1473] - BSA and Azide free (AB186932)

Flow Cytometry analysis of HEK-293 (Human epithelial cell line from embryonic kidney) cells labeling CDKN2A/p16INK4a with purified ab108349 at 1/270 (red). Cells were fixed with 2% paraformaldehyde. A FITC-conjugated goat anti-rabbit IgG (1/150) was used as the secondary antibody. Black - Isotype control, rabbit monoclonal IgG. Blue - Unlabeled control, cells without incubation with primary and secondary antibodies.

This data was developed using the same antibody clone in a different buffer formulation containing PBS, BSA, glycerol, and sodium azide (ab108349).

Flow Cytometry (Intracellular) - Anti-CDKN2A/p16INK4a antibody [EPR1473] - BSA and Azide free (AB186932)
  • Flow Cyt (Intra)

Lab

Flow Cytometry (Intracellular) - Anti-CDKN2A/p16INK4a antibody [EPR1473] - BSA and Azide free (AB186932)

This data was developed using the same antibody clone in a different buffer formulation containing PBS, BSA, glycerol, and sodium azide (ab108349).

Flow cytometry overlay histogram showing left HeLa positive cells and right negative MCF7 stained with ab108349 (red line). The cells were fixed with 4% formaldehyde (10 min) and then permeabilised with 0.1% PBS-Triton X-100 for 15 min. The cells were then incubated in 1x PBS containing 10% normal goat serum to block non-specific protein-protein interaction followed by the antibody (ab108349) (1x 106 in 100μl at 0.04μg/ml (1/52500)) for 30min at 22°C.

The secondary antibody Goat Anti-Rabbit IgG H&L (Alexa Fluor® 488) preadsorbed was incubated at 1/4000 for 30min at 22°C

Isotype control antibody (black line) was Recombinant Rabbit IgG, monoclonal [EPR25A] - Isotype Control used at the same concentration and conditions as the primary antibody. Unlabelled sample (blue line) was also used as a control.

Acquisition of >5000 events were collected using a 50 mW Blue laser (488nm) and 525/40 bandpass filter.

Flow Cytometry (Intracellular) - Anti-CDKN2A/p16INK4a antibody [EPR1473] - BSA and Azide free (AB186932)
  • Flow Cyt (Intra)

Unknown

Flow Cytometry (Intracellular) - Anti-CDKN2A/p16INK4a antibody [EPR1473] - BSA and Azide free (AB186932)

Overlay histogram showing HEK-293 (Human epithelial cell line from embryonic kidney) cells stained with unpurified ab108349 (red line). The cells were fixed with 4% paraformaldehyde (10 minutes) and then permeabilized with 0.1% PBS-Tween for 20 minutes. The cells were then incubated in 1x PBS / 10% normal goat serum / 0.3M glycine to block non-specific protein-protein interactions followed by the antibody (ab108349, 1/100) for 30 minutes at 22°C. The secondary antibody used was DyLight® 488 goat anti-rabbit IgG (H+L) (ab96899) at 1/500 dilution for 30 minutes at 22°C. Isotype control antibody (black line) was rabbit IgG (monoclonal) (1μg/1x106 cells) used under the same conditions. Acquisition of >5,000 events was performed. This antibody gave a positive signal in HEK-293 cells fixed with 80% methanol (5 minutes)/permeabilized with 0.1% PBS-Tween for 20 minutes used under the same conditions.

This data was developed using the same antibody clone in a different buffer formulation containing PBS, BSA, glycerol, and sodium azide (ab108349).

Immunohistochemistry (Formalin/PFA-fixed paraffin-embedded sections) - Anti-CDKN2A/p16INK4a antibody [EPR1473] - BSA and Azide free (AB186932)
  • IHC-P

PubMed

Immunohistochemistry (Formalin/PFA-fixed paraffin-embedded sections) - Anti-CDKN2A/p16INK4a antibody [EPR1473] - BSA and Azide free (AB186932)

Formalin-fixed, paraffin-embedded human normal breast, luminal-A DCIS (ductal carcinoma in situ) and triple negative breast cancer tissues stained for CDKN2A/p16INK4a using ab108349 in immunohistochemical analysis.

This data was developed using the same antibody clone in a different buffer formulation containing PBS, BSA, glycerol, and sodium azide (ab108349).

Image from Shan M et al., PLoS One. 2013;8(10):e76408. Fig 1.; doi: 10.1371/journal.pone.0076408. eCollection 2013. Reproduced under the Creative Commons license http://creativecommons.org/licenses/by/4.0/

Immunohistochemistry (Formalin/PFA-fixed paraffin-embedded sections) - Anti-CDKN2A/p16INK4a antibody [EPR1473] - BSA and Azide free (AB186932)
  • IHC-P

Lab

Immunohistochemistry (Formalin/PFA-fixed paraffin-embedded sections) - Anti-CDKN2A/p16INK4a antibody [EPR1473] - BSA and Azide free (AB186932)

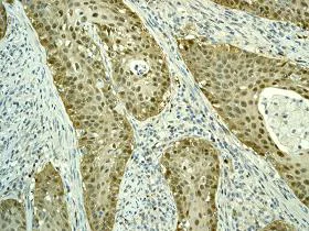
Immunohistochemistry (Formalin/PFA-fixed paraffin-embedded sections) analysis of human cervix carcinoma tissue labeling CDKN2A/p16INK4a with purified ab108349 at 1/100. Heat mediated antigen retrieval was performed using Tris/EDTA buffer pH 9. ab97051, an HRP-conjugated goat anti-rabbit IgG (H+L) was used as the secondary antibody (1/500).

Negative control using PBS instead of primary antibody. Counterstained with hematoxylin.

This data was developed using the same antibody clone in a different buffer formulation containing PBS, BSA, glycerol, and sodium azide (ab108349).

Immunohistochemistry (Formalin/PFA-fixed paraffin-embedded sections) - Anti-CDKN2A/p16INK4a antibody [EPR1473] - BSA and Azide free (AB186932)
  • IHC-P

Unknown

Immunohistochemistry (Formalin/PFA-fixed paraffin-embedded sections) - Anti-CDKN2A/p16INK4a antibody [EPR1473] - BSA and Azide free (AB186932)

Immunohistochemistry (Formalin/PFA-fixed paraffin-embedded sections) analysis of human cervical carcinoma tissue labeling CDKN2A/p16INK4a with unpurified ab108349 at a dilution of 1/250.

This data was developed using the same antibody clone in a different buffer formulation containing PBS, BSA, glycerol, and sodium azide (ab108349).

Immunoprecipitation - Anti-CDKN2A/p16INK4a antibody [EPR1473] - BSA and Azide free (AB186932)
  • IP

Lab

Immunoprecipitation - Anti-CDKN2A/p16INK4a antibody [EPR1473] - BSA and Azide free (AB186932)

ab108349 (purified) at 1/30 immunoprecipitating CDKN2A/p16INK4a in HeLa (Human epithelial cell line from cervix adenocarcinoma) cell lysate. For western blotting, a peroxidase-conjugated goat anti-rabbit IgG (H+L) was used as the secondary antibody (1/1000).

Blocking/Dilution buffer : 5% NFDM/TBST.

This data was developed using the same antibody clone in a different buffer formulation containing PBS, BSA, glycerol, and sodium azide (ab108349).

All lanes:

Immunoprecipitation - Anti-CDKN2A/p16INK4a antibody [EPR1473] - C-terminal (<a href='/en-us/products/primary-antibodies/cdkn2a-p16ink4a-antibody-epr1473-c-terminal-ab108349'>ab108349</a>)

Predicted band size: 17 kDa

Observed band size: 17 kDa

false

Western blot - Anti-CDKN2A/p16INK4a antibody [EPR1473] - BSA and Azide free (AB186932)
  • WB

Lab

Western blot - Anti-CDKN2A/p16INK4a antibody [EPR1473] - BSA and Azide free (AB186932)

This data was developed using the same antibody clone in a different buffer formulation (ab108349).

Western blot : Anti-CDKN2A antibody [EPR1473] (ab108349) staining at 1/4000 dilution, shown in green; Mouse anti-GAPDH antibody [6C5] (ab8245) loading control staining at 1/20000 dilution, shown in magenta. In Western blot, ab108349 was shown to bind specifically to CDKN2A. A band was observed at 17 kDa in wild-type HEK-293T cell lysates with no signal observed at this size in CDKN2A knockout cell line. To generate this image, wild-type and CDKN2A knockout HEK-293T cell lysates were analysed. First, samples were run on an SDS-PAGE gel then transferred onto a nitrocellulose membrane. Membranes were blocked in 5 % milk in TBS-0.1 % Tween® 20 (TBS-T) before incubation with primary antibodies overnight at 4 °C. Blots were washed four times in TBS-T, incubated with secondary antibodies for 1 h at room temperature, washed again four times then imaged. Secondary antibodies used were Goat anti-Rabbit IgG H&L 800CW and Goat anti-Mouse IgG H&L 680RD at 1/20000 dilution.

All lanes:

Western blot - Anti-CDKN2A/p16INK4a antibody [EPR1473] - C-terminal (<a href='/en-us/products/primary-antibodies/cdkn2a-p16ink4a-antibody-epr1473-c-terminal-ab108349'>ab108349</a>) at 1/4000 dilution

Lane 1:

Wild-type HEK-293T cell lysate at 20 µg

Lane 2:

CDKN2A knockout HEK-293T cell lysate at 20 µg

Lane 3:

HeLa cell lysate at 20 µg

Lane 4:

MCF7 cell lysate at 20 µg

Secondary

All lanes:

Goat anti-Rabbit IgG H&L 800CW and Goat anti-Mouse IgG H&L 680RD at 1/20000 dilution

Predicted band size: 17 kDa

Observed band size: 17 kDa

false

Western blot - Anti-CDKN2A/p16INK4a antibody [EPR1473] - BSA and Azide free (AB186932)
  • WB

Lab

Western blot - Anti-CDKN2A/p16INK4a antibody [EPR1473] - BSA and Azide free (AB186932)

Blocking buffer and concentration : 5% NFDM/TBST

Diluting buffer and concentration : 5% NFDM/TBST

All lanes:

Western blot - Anti-CDKN2A/p16INK4a antibody [EPR1473] - BSA and Azide free (ab186932)

All lanes:

HEK293 (human embryonic kidney) whole cell lysate at 10 µg

Secondary

All lanes:

Western blot - Goat Anti-Rabbit IgG H&L (HRP) (<a href='/en-us/products/secondary-antibodies/goat-rabbit-igg-h-l-hrp-ab97051'>ab97051</a>)

Predicted band size: 17 kDa

false

Exposure time: 3min

Western blot - Anti-CDKN2A/p16INK4a antibody [EPR1473] - BSA and Azide free (AB186932)
  • WB

Lab

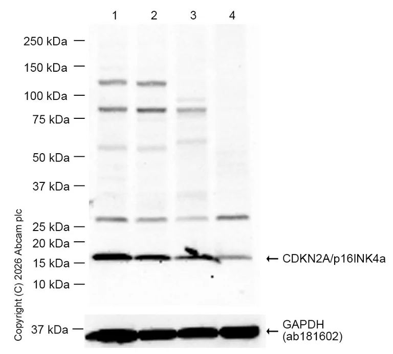
Western blot - Anti-CDKN2A/p16INK4a antibody [EPR1473] - BSA and Azide free (AB186932)

This data was developed using ab108349, the same antibody clone in a different buffer formulation.

In Western blot, anti-GAPDH antibody (ab181602) loading control staining at 1/1000000 dilution.

Blocking and diluting buffer and concentration : 5% NFDM/TBST.

All lanes:

Western blot - Anti-CDKN2A/p16INK4a antibody [EPR1473] - C-terminal (<a href='/en-us/products/primary-antibodies/cdkn2a-p16ink4a-antibody-epr1473-c-terminal-ab108349'>ab108349</a>) at 1/1000 dilution

Lane 1:

HeLa (human cervix adenocarcinoma epithelial cell) whole cell lysate at 20 µg

Lane 2:

293T (human embryonic kidney epithelial cell) whole cell lysate at 20 µg

Lane 3:

Saos-2 (human osteosarcoma epithelial) whole cell lysate at 20 µg

Lane 4:

HUVEC (human umbilical vein endothelial cell) whole cell lysate at 20 µg

Secondary

All lanes:

Western blot - Goat Anti-Rabbit IgG H&L (HRP) (<a href='/en-us/products/secondary-antibodies/goat-rabbit-igg-h-l-hrp-ab97051'>ab97051</a>) at 1/20000 dilution

Observed band size: 16 kDa,36 kDa

false

Exposure time: 120s

Immunohistochemistry (Formalin/PFA-fixed paraffin-embedded sections) - Anti-CDKN2A/p16INK4a antibody [EPR1473] - BSA and Azide free (AB186932)
  • IHC-P

Lab

Immunohistochemistry (Formalin/PFA-fixed paraffin-embedded sections) - Anti-CDKN2A/p16INK4a antibody [EPR1473] - BSA and Azide free (AB186932)

Tissue Microarrays stained for "Anti-CDKN2A/p16INK4a antibody [EPR1473] - C-terminal" using "ab108349"in immunohistochemical analysis. This table provides a detailed overview of positive (tick mark) and negative (cross mark) staining per sample type tested. The sections were pre-treated using Heat mediated antigen retrieval using Bond™ Epitope Retrieval Solution 2 (pH 9.0) for 20 minutes. The sections were incubated with ab108349 for 30 mins at room temperature followed by a ready to use Rabbit specific IHC polymer detection kit HRP/DAB (ab209101). The immunostaining was performed on a Leica Biosystems BOND® RX instrument.

  • Unconjugated

    Anti-CDKN2A/p16INK4a antibody [EPR1473] - C-terminal

  • 578 PE

    PE Anti-CDKN2A/p16INK4a antibody [EPR1473]

  • 665 Alexa Fluor® 647

    Alexa Fluor® 647 Anti-CDKN2A/p16INK4a antibody [EPR1473]

Key facts

Host species

Rabbit

Clonality

Monoclonal

Clone number

EPR1473

Isotype

IgG

Carrier free

Yes

Reacts with

Human

Applications

IP, WB, Flow Cyt (Intra), IHC-P

applications

Immunogen

The exact immunogen used to generate this antibody is proprietary information.

Specificity

Expression levels of the CDKN2A/p16INK4a protein may vary with sample type. It is barely expressed in normal tissue, and mostly expressed in some tumour tissues, such as cervical cancer, breast cancer and so on. Moreover, only expressed in some cell lines. Please see images for recommended positive controls.

Reactivity data

{ "title": "Reactivity Data", "filters": { "stats": ["", "Species", "Dilution Info", "Notes"], "tabs": { "all-applications": {"fullname" : "All Applications", "shortname": "All Applications"}, "ICCIF" : {"fullname" : "Immunocytochemistry/ Immunofluorescence", "shortname":"ICC/IF"}, "IP" : {"fullname" : "Immunoprecipitation", "shortname":"IP"}, "WB" : {"fullname" : "Western blot", "shortname":"WB"}, "FlowCytIntra" : {"fullname" : "Flow Cytometry (Intracellular)", "shortname":"Flow Cyt (Intra)"}, "IHCP" : {"fullname" : "Immunohistochemistry (Formalin/PFA-fixed paraffin-embedded sections)", "shortname":"IHC-P"} }, "product-promise": { "all": "all", "testedAndGuaranteed": "tested", "guaranteed": "expected", "predicted": "predicted", "notRecommended": "not-recommended" } }, "values": { "Human": { "ICCIF-species-checked": "notRecommended", "ICCIF-species-dilution-info": "", "ICCIF-species-notes": "<p></p>", "IP-species-checked": "testedAndGuaranteed", "IP-species-dilution-info": "", "IP-species-notes": "<p></p>", "WB-species-checked": "testedAndGuaranteed", "WB-species-dilution-info": "", "WB-species-notes": "<p>Please check the parent abID, <a href='/en-us/products/primary-antibodies/cdkn2a-p16ink4a-antibody-epr1473-c-terminal-ab108349'>ab108349</a>, for a recommended dilution.</p>", "FlowCytIntra-species-checked": "testedAndGuaranteed", "FlowCytIntra-species-dilution-info": "", "FlowCytIntra-species-notes": "<p><a href='/en-us/products/primary-antibodies/rabbit-igg-monoclonal-epr25a-isotype-control-low-endotoxin-azide-free-ab199376'>ab199376</a> - Rabbit monoclonal IgG, is suitable for use as an isotype control with this antibody.</p>", "IHCP-species-checked": "testedAndGuaranteed", "IHCP-species-dilution-info": "", "IHCP-species-notes": "<p></p>" } } }

Product details

ab186932 is the carrier-free version of ab108349.

Patented technology
Our RabMAb® technology is a patented hybridoma-based technology for making rabbit monoclonal antibodies. For details on our patents, please refer to RabMAb® patents.

What are the advantages of a recombinant monoclonal antibody?
This product is a recombinant monoclonal antibody, which offers several advantages including:

  • - High batch-to-batch consistency and reproducibility
  • - Improved sensitivity and specificity
  • - Long-term security of supply
  • - Animal-free batch production

For more information, read more on recombinant antibodies.

Conjugation ready
Our carrier-free antibodies are typically supplied in a PBS-only formulation, purified and free of BSA, sodium azide and glycerol. This conjugation-ready format is designed for use with fluorochromes, metal isotopes, oligonucleotides, and enzymes, which makes them ideal for antibody labelling, functional and cell-based assays, flow-based assays (e.g. mass cytometry) and Multiplex Imaging applications.

Use our conjugation kits for antibody conjugates that are ready-to-use in as little as 20 minutes with 1 minute hands-on-time and 100% antibody recovery: available for fluorescent dyes, HRP, biotin and gold.

Compatibility
This product is compatible with the Maxpar® Antibody Labeling Kit from Fluidigm, without the need for antibody preparation. Maxpar® is a trademark of Fluidigm Canada Inc.

Properties and storage information

Form
Liquid
Purification technique
Affinity purification Protein A
Storage buffer
pH: 7.2 - 7.4 Constituents: PBS
Shipped at conditions
Blue Ice
Appropriate short-term storage conditions
+4°C
Appropriate long-term storage conditions
+4°C
Storage information
Do Not Freeze

Product protocols

For this product, it's our understanding that no specific protocols are required. You can visit:

Target data

The protein expressed by the gene CDKN2A acts as a negative regulator of normal cell proliferation by strongly interacting with CDK4 and CDK6. This interaction inhibits the ability of CDK4 and CDK6 to interact with cyclins D and to phosphorylate the retinoblastoma protein. This supplementary information is collated from multiple sources and compiled automatically.
See full target information CDKN2A

Publications (3)

Recent publications for all applications. Explore the full list and refine your search

iScience 25:103647 PubMed35028532

2022

4-(Methylnitrosamino)-1-(3-pyridyl)-1-butanone provokes progression from chronic pancreatitis to pancreatic intraepithelial neoplasia.

Applications

Unspecified application

Species

Unspecified reactive species

Xin Chen,Liang Sheng,Jiguang Ma,Dan Qi,Xuqi Li,Zheng Wang,Zheng Wu,Lucas Wong,Jason H Huang,Erxi Wu,Qingyong Ma,Dong Zhang

PloS one 8:e80828 PubMed24278325

2013

Distinct effects of alcohol consumption and smoking on genetic alterations in head and neck carcinoma.

Applications

IHC-P

Species

Human

Mitsuyoshi Urashima,Takanori Hama,Toshihito Suda,Yutaka Suzuki,Masahiro Ikegami,Chikako Sakanashi,Taisuke Akutsu,Suguru Amagaya,Kazuhumi Horiuchi,Yu Imai,Hidetoshi Mezawa,Miki Noya,Akio Nakashima,Aki Mafune,Takakuni Kato,Hiromi Kojima

PloS one 8:e76408 PubMed24146864

2013

P16 and p53 play distinct roles in different subtypes of breast cancer.

Applications

IHC-P

Species

Human

Ming Shan,Xianyu Zhang,Xiaolong Liu,Yu Qin,Tong Liu,Yang Liu,Ji Wang,Zhenbin Zhong,Youxue Zhang,Jingshu Geng,Da Pang
View all publications

Product promise

We are committed to supporting your work with high-quality reagents, and we're here for you every step of the way. In the unlikely event that one of our products does not perform as expected, you're protected by our Product Promise.
For full details, please see our Terms & Conditions

Please note: All products are 'FOR RESEARCH USE ONLY. NOT FOR USE IN DIAGNOSTIC OR THERAPEUTIC PROCEDURES'.

For licensing inquiries, please contact partnerships@abcam.com