JavaScript is disabled in your browser. Please enable JavaScript to view this website.
AB108349

Anti-CDKN2A/p16INK4a antibody [EPR1473] - C-terminal

  • BOND RX™ Validated
  • 20ul selling size
  • KO Validated
  • RabMAb
  • Recombinant
  • What is this?

4

(7 Reviews)

|

(263 Publications)

Anti-CDKN2A/p16INK4a antibody [EPR1473] - C-terminal (ab108349) is a rabbit monoclonal antibody detecting CDKN2A/p16INK4a in Western Blot, Flow Cytometry (Intra), Flow Cytometry, IP, IHC-P. Suitable for Human.

- KO validated for confirmed specificity
- Biophysical QC for unrivalled batch-batch consistency
- Over 190 publications

View Alternative Names

CDKN2, MTS1, CDKN2A, Cyclin-dependent kinase inhibitor 2A, Cyclin-dependent kinase 4 inhibitor A, Multiple tumor suppressor 1, p16-INK4a, CDK4I, MTS-1, p16-INK4, p16INK4A

15 Images
Immunohistochemistry (Formalin/PFA-fixed paraffin-embedded sections) - Anti-CDKN2A/p16INK4a antibody [EPR1473] - C-terminal (AB108349)
  • IHC-P

Unknown

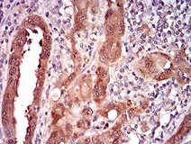
Immunohistochemistry (Formalin/PFA-fixed paraffin-embedded sections) - Anti-CDKN2A/p16INK4a antibody [EPR1473] - C-terminal (AB108349)

Immunohistochemistry (Formalin/PFA-fixed paraffin-embedded sections) analysis of human cervical carcinoma tissue labeling CDKN2A/p16INK4a with unpurified ab108349 at a dilution of 1/250.

Perform heat mediated antigen retrieval with Tris/EDTA buffer pH 9.0 before commencing with IHC staining protocol.

Immunohistochemistry (Formalin/PFA-fixed paraffin-embedded sections) - Anti-CDKN2A/p16INK4a antibody [EPR1473] - C-terminal (AB108349)
  • IHC-P

PubMed

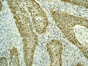
Immunohistochemistry (Formalin/PFA-fixed paraffin-embedded sections) - Anti-CDKN2A/p16INK4a antibody [EPR1473] - C-terminal (AB108349)

Formalin-fixed, paraffin-embedded human normal breast, luminal-A DCIS (ductal carcinoma in situ) and triple negative breast cancer tissues stained for CDKN2A/p16INK4a using ab108349 in immunohistochemical analysis.

Image from Shan M et al., PLoS One. 2013;8(10):e76408. Fig 1.; doi: 10.1371/journal.pone.0076408. eCollection 2013. Reproduced under the Creative Commons license http://creativecommons.org/licenses/by/4.0/

Immunohistochemistry (Formalin/PFA-fixed paraffin-embedded sections) - Anti-CDKN2A/p16INK4a antibody [EPR1473] - C-terminal (AB108349)
  • IHC-P

Lab

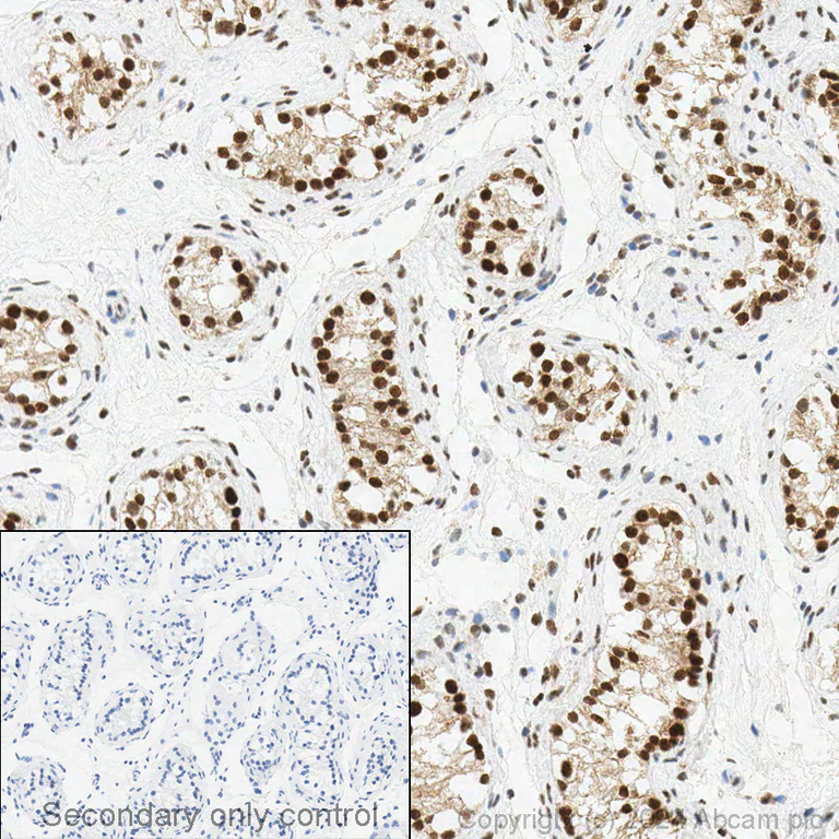
Immunohistochemistry (Formalin/PFA-fixed paraffin-embedded sections) - Anti-CDKN2A/p16INK4a antibody [EPR1473] - C-terminal (AB108349)

Immunohistochemical analysis of formalin fixed paraffin embedded human testis labelling CDKN2A/p16INK4a with ab108349 at a concentration of 1µg/ml. The immunostaining was performed on a Leica Biosystems BOND® RX instrument with a Bond™ Polymer Refine Detection kit. Heat mediated antigen retrieval was performed with Tris-EDTA buffer (pH 9.0, Epitope Retrieval Solution 2) for 20mins.

ab108349 anti-CDKN2A/p16INK4a antibody [EPR1473] was incubated for 15mins at room temperature. Sections were counterstained with Hematoxylin. Image inset shows absence of staining in secondary antibody only control.

Customers are encouraged to optimise antigen retrieval conditions, antibody concentration, incubation times and temperature for best results in their own IHC assay workflow (automated and manual)

Flow Cytometry (Intracellular) - Anti-CDKN2A/p16INK4a antibody [EPR1473] - C-terminal (AB108349)
  • Flow Cyt (Intra)

Lab

Flow Cytometry (Intracellular) - Anti-CDKN2A/p16INK4a antibody [EPR1473] - C-terminal (AB108349)

Flow cytometry overlay histogram showing left HeLa positive cells and right negative MCF7 stained with ab108349 (red line). The cells were fixed with 4% formaldehyde (10 min) and then permeabilised with 0.1% PBS-Triton X-100 for 15 min. The cells were then incubated in 1x PBS containing 10% normal goat serum to block non-specific protein-protein interaction followed by the antibody (ab108349) (1x 106 in 100μl at 0.04μg/ml (1/52500)) for 30min at 22°C.

The secondary antibody Goat Anti-Rabbit IgG H&L (Alexa Fluor® 488) preadsorbed was incubated at 1/4000 for 30min at 22°C

Isotype control antibody (black line) was Recombinant Rabbit IgG, monoclonal [EPR25A] - Isotype Control used at the same concentration and conditions as the primary antibody. Unlabelled sample (blue line) was also used as a control.

Acquisition of >5000 events were collected using a 50 mW Blue laser (488nm) and 525/40 bandpass filter.

Flow Cytometry (Intracellular) - Anti-CDKN2A/p16INK4a antibody [EPR1473] - C-terminal (AB108349)
  • Flow Cyt (Intra)

Lab

Flow Cytometry (Intracellular) - Anti-CDKN2A/p16INK4a antibody [EPR1473] - C-terminal (AB108349)

Intracellular Flow Cytometry analysis of HEK-293 (Human epithelial cell line from embryonic kidney) cells labeling CDKN2A/p16INK4a with purified ab108349 at 1/270 (red). Cells were fixed with 2% paraformaldehyde. A FITC-conjugated goat anti-rabbit IgG (1/150) was used as the secondary antibody. Black - Isotype control, rabbit monoclonal IgG. Blue - Unlabeled control, cells without incubation with primary and secondary antibodies.

Immunohistochemistry (Formalin/PFA-fixed paraffin-embedded sections) - Anti-CDKN2A/p16INK4a antibody [EPR1473] - C-terminal (AB108349)
  • IHC-P

Lab

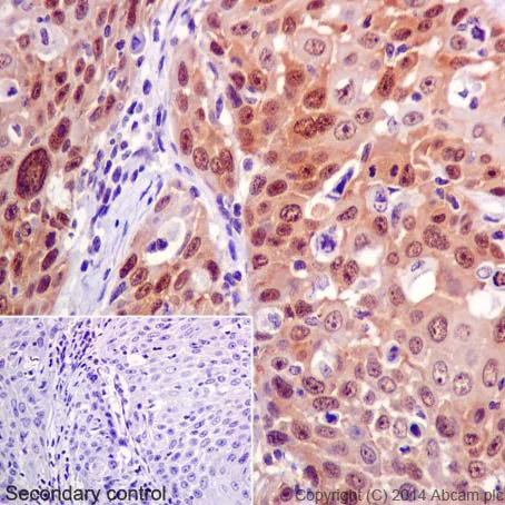
Immunohistochemistry (Formalin/PFA-fixed paraffin-embedded sections) - Anti-CDKN2A/p16INK4a antibody [EPR1473] - C-terminal (AB108349)

Immunohistochemistry (Formalin/PFA-fixed paraffin-embedded sections) analysis of human cervix carcinoma tissue labeling CDKN2A/p16INK4a with purified ab108349 at 1/100. Heat mediated antigen retrieval was performed using Tris/EDTA buffer pH 9. ab97051, an HRP-conjugated goat anti-rabbit IgG (H+L) was used as the secondary antibody (1/500).

Negative control using PBS instead of primary antibody. Counterstained with hematoxylin.

Flow Cytometry (Intracellular) - Anti-CDKN2A/p16INK4a antibody [EPR1473] - C-terminal (AB108349)
  • Flow Cyt (Intra)

Unknown

Flow Cytometry (Intracellular) - Anti-CDKN2A/p16INK4a antibody [EPR1473] - C-terminal (AB108349)

Overlay histogram showing HEK-293 (Human epithelial cell line from embryonic kidney) cells stained with unpurified ab108349 (red line). The cells were fixed with 4% paraformaldehyde (10 minutes) and then permeabilized with 0.1% PBS-Tween for 20 minutes. The cells were then incubated in 1x PBS / 10% normal goat serum / 0.3M glycine to block non-specific protein-protein interactions followed by the antibody (ab108349 1/100) for 30 minutes at 22°C. The secondary antibody used was DyLight® 488 goat anti-rabbit IgG (H+L) (ab96899) at 1/500 dilution for 30 minutes at 22°C. Isotype control antibody (black line) was rabbit IgG (monoclonal) (1μg/1x106 cells) used under the same conditions. Acquisition of >5000 events was performed. This antibody gave a positive signal in HEK-293 cells fixed with 80% methanol (5 minutes)/permeabilized with 0.1% PBS-Tween for 20 minutes used under the same conditions.

Immunohistochemistry (Formalin/PFA-fixed paraffin-embedded sections) - Anti-CDKN2A/p16INK4a antibody [EPR1473] - C-terminal (AB108349)
  • IHC-P

Lab

Immunohistochemistry (Formalin/PFA-fixed paraffin-embedded sections) - Anti-CDKN2A/p16INK4a antibody [EPR1473] - C-terminal (AB108349)

Immunohistochemical analysis of formalin fixed paraffin embedded human testis labelling CDKN2A/p16INK4a with ab108349 at a concentration of 0.5µg/ml. The immunostaining was performed on a Ventana DISCOVERY ULTRA (Roche Tissue Diagnostics) instrument with a OptiView DAB IHC Detection Kit. Heat mediated antigen retrieval was performed with DISCOVERY cell conditioning solution (CC1) 100°C, pH8.5 for 32mins.

ab108349 anti-CDKN2A/p16INK4a antibody [EPR1473] was incubated for 16mins at 37°C. Sections were counterstained with Hematoxylin II. Image inset shows absence of staining in secondary antibody only control.

Customers are encouraged to optimise antigen retrieval conditions, antibody concentration, incubation times and temperature for best results in their own IHC assay workflow (automated and manual)

Immunoprecipitation - Anti-CDKN2A/p16INK4a antibody [EPR1473] - C-terminal (AB108349)
  • IP

Lab

Immunoprecipitation - Anti-CDKN2A/p16INK4a antibody [EPR1473] - C-terminal (AB108349)

ab108349 (purified) at 1/30 immunoprecipitating CDKN2A/p16INK4a in HeLa (Human epithelial cell line from cervix adenocarcinoma) cell lysate. For western blotting, a peroxidase-conjugated goat anti-rabbit IgG (H+L) was used as the secondary antibody (1/1000).

Blocking/Dilution buffer : 5% NFDM/TBST.

All lanes:

Immunoprecipitation - Anti-CDKN2A/p16INK4a antibody [EPR1473] - C-terminal (ab108349)

Predicted band size: 17 kDa

Observed band size: 17 kDa

false

Western blot - Anti-CDKN2A/p16INK4a antibody [EPR1473] - C-terminal (AB108349)
  • WB

Lab

Western blot - Anti-CDKN2A/p16INK4a antibody [EPR1473] - C-terminal (AB108349)

Western blot : Anti-CDKN2A antibody [EPR1473] (ab108349) staining at 1/4000 dilution, shown in green; Mouse anti-GAPDH antibody [6C5] (ab8245) loading control staining at 1/20000 dilution, shown in magenta. In Western blot, ab108349 was shown to bind specifically to CDKN2A. A band was observed at 17 kDa in wild-type HEK-293T cell lysates with no signal observed at this size in CDKN2A knockout cell line. To generate this image, wild-type and CDKN2A knockout HEK-293T cell lysates were analysed. First, samples were run on an SDS-PAGE gel then transferred onto a nitrocellulose membrane. Membranes were blocked in 5 % milk in TBS-0.1 % Tween® 20 (TBS-T) before incubation with primary antibodies overnight at 4 °C. Blots were washed four times in TBS-T, incubated with secondary antibodies for 1 h at room temperature, washed again four times then imaged. Secondary antibodies used were Goat anti-Rabbit IgG H&L 800CW and Goat anti-Mouse IgG H&L 680RD at 1/20000 dilution.

All lanes:

Western blot - Anti-CDKN2A/p16INK4a antibody [EPR1473] - C-terminal (ab108349) at 1/4000 dilution

Lane 1:

Wild-type HEK-293T cell lysate at 20 µg

Lane 2:

CDKN2A knockout HEK-293T cell lysate at 20 µg

Lane 3:

HeLa cell lysate at 20 µg

Lane 4:

MCF7 cell lysate at 20 µg

Secondary

All lanes:

Goat anti-Rabbit IgG H&L 800CW and Goat anti-Mouse IgG H&L 680RD at 1/20000 dilution

Predicted band size: 17 kDa

Observed band size: 17 kDa

false

Western blot - Anti-CDKN2A/p16INK4a antibody [EPR1473] - C-terminal (AB108349)
  • WB

Lab

Western blot - Anti-CDKN2A/p16INK4a antibody [EPR1473] - C-terminal (AB108349)

Blocking/Dilution buffer : 5% NFDM/TBST.

All lanes:

Western blot - Anti-CDKN2A/p16INK4a antibody [EPR1473] - C-terminal (ab108349) at 1/2000 dilution

All lanes:

HeLa (Human epithelial cell line from cervix adenocarcinoma) cell lysate at 10 µg

Secondary

All lanes:

Peroxidase-conjugated goat anti-rabbit IgG (H+L) at 1/1000 dilution

Predicted band size: 17 kDa

Observed band size: 17 kDa

false

Western blot - Anti-CDKN2A/p16INK4a antibody [EPR1473] - C-terminal (AB108349)
  • WB

Unknown

Western blot - Anti-CDKN2A/p16INK4a antibody [EPR1473] - C-terminal (AB108349)

All lanes:

Western blot - Anti-CDKN2A/p16INK4a antibody [EPR1473] - C-terminal (ab108349) at 1/1000 dilution

Lane 1:

HeLa (Human epithelial cell line from cervix adenocarcinoma) cell lysate at 10 µg

Lane 2:

HEK-293T (Human epithelial cell line from embryonic kidney) cell lysate at 10 µg

Lane 3:

Saos-2 (Human osteosarcoma cell line) cell lysate at 10 µg

Predicted band size: 17 kDa

false

Western blot - Anti-CDKN2A/p16INK4a antibody [EPR1473] - C-terminal (AB108349)
  • WB

Lab

Western blot - Anti-CDKN2A/p16INK4a antibody [EPR1473] - C-terminal (AB108349)

Blocking/Dilution buffer : 5% NFDM/TBST.

All lanes:

Western blot - Anti-CDKN2A/p16INK4a antibody [EPR1473] - C-terminal (ab108349) at 1/2000 dilution

Lane 1:

HEK-293 (Human epithelial cell line from embryonic kidney) cell lysate at 10 µg

Lane 2:

Saos-2 (Human osteosarcoma cell line) cell lysate at 10 µg

Secondary

All lanes:

Peroxidase-conjugated goat anti-rabbit IgG (H+L) at 1/1000 dilution

Predicted band size: 17 kDa

Observed band size: 17 kDa

false

Immunohistochemistry (Formalin/PFA-fixed paraffin-embedded sections) - Anti-CDKN2A/p16INK4a antibody [EPR1473] - C-terminal (AB108349)
  • IHC-P

Lab

Immunohistochemistry (Formalin/PFA-fixed paraffin-embedded sections) - Anti-CDKN2A/p16INK4a antibody [EPR1473] - C-terminal (AB108349)

Tissue Microarrays stained for "Anti-CDKN2A/p16INK4a antibody [EPR1473] - C-terminal" using "ab108349"in immunohistochemical analysis. This table provides a detailed overview of positive (tick mark) and negative (cross mark) staining per sample type tested. The sections were pre-treated using Heat mediated antigen retrieval using Bond™ Epitope Retrieval Solution 2 (pH 9.0) for 20 minutes. The sections were incubated with ab108349 for 30 mins at room temperature followed by a ready to use Rabbit specific IHC polymer detection kit HRP/DAB (ab209101). The immunostaining was performed on a Leica Biosystems BOND® RX instrument.

Western blot - Anti-CDKN2A/p16INK4a antibody [EPR1473] - C-terminal (AB108349)
  • WB

Supplier Data

Western blot - Anti-CDKN2A/p16INK4a antibody [EPR1473] - C-terminal (AB108349)

5% NFDM/TBST was used as a blocking and diluting buffer.

All lanes:

Western blot - Anti-CDKN2A/p16INK4a antibody [EPR1473] - C-terminal (ab108349) at 1/1000 dilution

Lane 1:

Human CDKN2A full-length recombinant protein with His-tag at 0.01 µg

Lane 2:

Human CDKN2B full-length recombinant protein with GST-tag at 0.01 µg

Secondary

All lanes:

Western blot - Goat Anti-Rabbit IgG H&L (HRP) (<a href='/en-us/products/secondary-antibodies/goat-rabbit-igg-h-l-hrp-ab97051'>ab97051</a>) at 1/20000 dilution

Predicted band size: 17 kDa

Observed band size: 17 kDa

false

Exposure time: 10s

  • 578 PE

    PE Anti-CDKN2A/p16INK4a antibody [EPR1473]

  • 665 Alexa Fluor® 647

    Alexa Fluor® 647 Anti-CDKN2A/p16INK4a antibody [EPR1473]

  • Carrier free

    Anti-CDKN2A/p16INK4a antibody [EPR1473] - BSA and Azide free

Key facts

Host species

Rabbit

Clonality

Monoclonal

Clone number

EPR1473

Isotype

IgG

Carrier free

No

Reacts with

Human

Applications

IHC-P, Flow Cyt (Intra), WB, IP

applications

Immunogen

The exact immunogen used to generate this antibody is proprietary information.

Specificity

Expression levels of the CDKN2A/p16INK4a protein may vary with sample type. It is barely expressed in normal tissue, and mostly expressed in some tumour tissues, such as cervical cancer, breast cancer and so on. Moreover, only expressed in some cell lines. Please see images for recommended positive controls.

Reactivity data

{ "title": "Reactivity Data", "filters": { "stats": ["", "Species", "Dilution Info", "Notes"], "tabs": { "all-applications": {"fullname" : "All Applications", "shortname": "All Applications"}, "IP" : {"fullname" : "Immunoprecipitation", "shortname":"IP"}, "WB" : {"fullname" : "Western blot", "shortname":"WB"}, "ICCIF" : {"fullname" : "Immunocytochemistry/ Immunofluorescence", "shortname":"ICC/IF"}, "FlowCytIntra" : {"fullname" : "Flow Cytometry (Intracellular)", "shortname":"Flow Cyt (Intra)"}, "IHCP" : {"fullname" : "Immunohistochemistry (Formalin/PFA-fixed paraffin-embedded sections)", "shortname":"IHC-P"} }, "product-promise": { "all": "all", "testedAndGuaranteed": "tested", "guaranteed": "expected", "predicted": "predicted", "notRecommended": "not-recommended" } }, "values": { "Human": { "IP-species-checked": "testedAndGuaranteed", "IP-species-dilution-info": "1/30", "IP-species-notes": "<p><strong>For unpurified use at 1/10 - 1/100.</strong></p>", "WB-species-checked": "testedAndGuaranteed", "WB-species-dilution-info": "1/2000", "WB-species-notes": "<p><strong>For unpurified use at 1/1000 - 1/10000.</strong></p>", "ICCIF-species-checked": "notRecommended", "ICCIF-species-dilution-info": "1/270", "ICCIF-species-notes": "<p><strong>For unpurified use at 1/100 - 1/250.</strong></p>", "FlowCytIntra-species-checked": "testedAndGuaranteed", "FlowCytIntra-species-dilution-info": "1/270 - 1/500", "FlowCytIntra-species-notes": "<p>For unpurified use at 1/100 - 1/500. <a href='/en-us/products/primary-antibodies/rabbit-igg-monoclonal-epr25a-isotype-control-ab172730'>ab172730</a> - Rabbit monoclonal IgG, is suitable for use as an isotype control with this antibody.</p>", "IHCP-species-checked": "testedAndGuaranteed", "IHCP-species-dilution-info": "1/100", "IHCP-species-notes": "<p><strong>For unpurified use at 1/250 - 1/500.</strong></p> Perform heat-mediated antigen retrieval with Tris/EDTA buffer pH 9.0 before commencing with IHC staining protocol." } } }

Product details

Anti-CDKN2A/p16INK4a antibody [EPR1473] - C-terminal (ab108349) was developed by Abcam using patented rabbit monoclonal antibody technology and is validated for use in Flow Cyt (Intra), IHC-P, IP and WB.

Anti-CDKN2A/p16INK4a antibody [EPR1473] - C-terminal (ab108349) was first used in a scientific publication in 2013 and has been cited over 192 times in peer reviewed journals. It's performance in Western Blot and IHC in human samples is trusted by the scientific community.

Abcam's high quality manufacturing and validation processes ensure Anti-CDKN2A/p16INK4a antibody [EPR1473] - C-terminal (ab108349) has high sensitivity and specificity alongside high lot-to-lot consistency and reproducibility.

The specificity of Anti-CDKN2A/p16INK4a antibody [EPR1473] - C-terminal (ab108349) has been confirmed by Western Blot testing in CDKN2A/p16INK4a knockout HEK-293T cells.

Anti-CDKN2A/p16INK4a antibody [EPR1473] - C-terminal (ab108349) has 6 independent reviews from customers.

Anti-CDKN2A/p16INK4a antibody [EPR1473] - C-terminal (ab108349) specifically detects CDKN2A/p16INK4a (UniProt ID: P42771; Molecular weight: 17kDa) and is sold in a convenient trial size to enable initial testing (20 µL) and larger sizes for subsequent scaling up experiments (100 µL and 1 mL).

Conjugation-ready, carrier free format available for antibody clone EPR1473 - ab186932.

Antibody clone EPR1473 is also available pre-conjugated to a variety of labels for your convenience - Alexa Fluor® 647, PE (ab192054, ab209579).

CDKN2A, encoding the tumor suppressor protein p16INK4a, plays a crucial role in regulating the cell cycle by inhibiting cyclin-dependent kinases, thereby preventing uncontrolled cell proliferation. Mutations or deletions in CDKN2A are frequently associated with various cancers, including melanoma, pancreatic cancer and head and neck squamous cell carcinoma.

Patented technology
Our RabMAb® technology is a patented hybridoma-based technology for making rabbit monoclonal antibodies. For details on our patents, please refer to RabMAb® patents.

What are the advantages of a recombinant monoclonal antibody?
This product is a recombinant monoclonal antibody, which offers several advantages including:

  • - High batch-to-batch consistency and reproducibility
  • - Improved sensitivity and specificity
  • - Long-term security of supply
  • - Animal-free batch production

For more information, read more on recombinant antibodies.

Properties and storage information

Form
Liquid
Purification technique
Affinity purification Protein A
Storage buffer
pH: 7.2 - 7.4 Preservative: 0.01% Sodium azide Constituents: PBS, 40% Glycerol (glycerin, glycerine), 0.05% BSA
Shipped at conditions
Blue Ice
Appropriate short-term storage duration
1-2 weeks
Appropriate short-term storage conditions
+4°C
Appropriate long-term storage conditions
-20°C
Aliquoting information
Upon delivery aliquot
Storage information
Avoid freeze / thaw cycle

Product protocols

For this product, it's our understanding that no specific protocols are required. You can visit:

Target data

The protein expressed by the gene CDKN2A acts as a negative regulator of normal cell proliferation by strongly interacting with CDK4 and CDK6. This interaction inhibits the ability of CDK4 and CDK6 to interact with cyclins D and to phosphorylate the retinoblastoma protein. This supplementary information is collated from multiple sources and compiled automatically.
See full target information CDKN2A

Publications (263)

Recent publications for all applications. Explore the full list and refine your search

Translational cancer research 14:4939-4954 PubMed40950681

2025

Inhibition of SLC25A10 promotes cellular senescence and impedes hepatocellular carcinoma progression.

Applications

Unspecified application

Species

Unspecified reactive species

Yi-Hong Ding,Tian-Yi Huang,Shi-Meng Xu,Min Li,Xiang Shi,Wen-Yan Sun,Cui-Hua Lu,Zhao-Xiu Liu,Wei Huang

Science advances 11:eadu2294 PubMed40680126

2025

Multiomic identification of senescent stem cell populations critical for osteoarthritis progression and therapy in subchondral bones.

Applications

Unspecified application

Species

Unspecified reactive species

Pei Lin Li,Jie Tang,Xiao Tong Li,Shi Rong Zhao,Run Xiang Xu,Zhi Dong Zhao,Zhong Li Li,Zhi Ling Li,Bo Feng Yin,Fu Hao Yu,Chu Tse Wu,Heng Zhu

MedComm 6:e70205 PubMed40636284

2025

Depletion of Fat Mass and Obesity-Associated Protein (FTO) Drives Heterochromatin Loss via Lysine Acetyltransferase 8 (KAT8)-Mediated Remodeling and Spacing Factor 1 (RSF1) Acetylation in Skin Aging.

Applications

Unspecified application

Species

Unspecified reactive species

Fan Wang,Lei Zhou,Yun Zhong,Yisheng Cai,Xin Meng,Mengting Chen,Rui Mao,Xin Xiao,Caitan Yi,Yi Guo,Hongfu Xie,Yiya Zhang,Ji Li

International journal of molecular sciences 26: PubMed40564900

2025

The Profile of Retinal Ganglion Cell Death and Cellular Senescence in Mice with Aging.

Applications

Unspecified application

Species

Unspecified reactive species

Wen-Ying Wang,Xin Bin,Yanxuan Xu,Si Chen,Shuyi Zhou,Shaowan Chen,Yingjie Cao,Kunliang Qiu,Tsz Kin Ng

MedComm 6:e70261 PubMed40547942

2025

Tet Methylcytosine Dioxygenase 3 Promotes Cardiovascular Senescence by DNA 5-Hydroxymethylcytosine-Mediated Sp1 Transcription Factor Expression.

Applications

Unspecified application

Species

Unspecified reactive species

Yanqi Dang,Jing Ma,Shuang Ling,Shurong Wang,Huining Guo,Jun Liu,Guang Ji,Jin-Wen Xu

Cellular oncology (Dordrecht, Netherlands) 48:1363-1375 PubMed40522623

2025

Efficacy of CDK4/6 Inhibition in colorectal cancer and the role of p16 expression in predicting drug resistance.

Applications

Unspecified application

Species

Unspecified reactive species

Julia S Schneider,Najib Ben Khaled,Liangtao Ye,Ralf Wimmer,Linda Hammann,Alexander Weich,Christoph Suppan,Ujjwal M Mahajan,Andreas Jung,Jörg Kumbrink,Gerald Denk,Monika Rau,Volker Kunzmann,Solveig Kuss,Jens Neuman,Julia Mayerle,Andreas Geier,Heike M Hermanns,Enrico N De Toni,Florian P Reiter

Frontiers in medicine 12:1451056 PubMed40357269

2025

Senolytic therapy reduces inflammation in epithelial cells from COPD patients and in smoke-exposure mice.

Applications

Unspecified application

Species

Unspecified reactive species

Jonathan R Baker,Leah Daly,Shyreen Hassibi,Genki Kimura,Yuki Nishimoto,Yasuo Kizawa,Kazuhiro Ito

npj aging 11:35 PubMed40348751

2025

SGLT2 inhibitors as a novel senotherapeutic approach.

Applications

Unspecified application

Species

Unspecified reactive species

Zeynep Elif Yesilyurt-Dirican,Ce Qi,Yi-Chian Wang,Annika Simm,Laura Deelen,Alia Hafiz Abbas Gasim,Fiona Lewis-McDougall,Georgina M Ellison-Hughes

Science advances 11:eads1875 PubMed40279419

2025

Single-cell morphology encodes functional subtypes of senescence in aging human dermal fibroblasts.

Applications

Unspecified application

Species

Unspecified reactive species

Pratik Kamat,Nico Macaluso,Yukang Li,Anshika Agrawal,Aaron Winston,Lauren Pan,Teasia Stewart,Bartholomew Starich,Nicholas Milcik,Chanhong Min,Pei-Hsun Wu,Jeremy Walston,Jean Fan,Jude M Phillip

Respiratory research 26:138 PubMed40223048

2025

Analysis of tumor cell proliferation (Ki-67) and cell cycle regulator proteins in lung adenocarcinoma with different radiological subtypes.

Applications

Unspecified application

Species

Unspecified reactive species

Rirong Qu,Yang Zhang,Shenghui Qin,Jing Xiong,Xiangning Fu,Lequn Li,Dehao Tu,Yixin Cai
View all publications

Product promise

We are committed to supporting your work with high-quality reagents, and we're here for you every step of the way. In the unlikely event that one of our products does not perform as expected, you're protected by our Product Promise.
For full details, please see our Terms & Conditions

Please note: All products are 'FOR RESEARCH USE ONLY. NOT FOR USE IN DIAGNOSTIC OR THERAPEUTIC PROCEDURES'.

For licensing inquiries, please contact partnerships@abcam.com