JavaScript is disabled in your browser. Please enable JavaScript to view this website.
AB211542

Anti-CDKN2A/p16INK4a antibody [EPR20418]

5

(8 Reviews)

|

(161 Publications)

Anti-CDKN2A/p16INK4a antibody [EPR20418] (ab211542) is a rabbit monoclonal antibody detecting CDKN2A/p16INK4a in Western Blot, Flow Cytometry (Intra), Flow Cytometry, IP, ICC/IF. Suitable for Mouse.

- Biophysical QC for unrivalled batch-batch consistency
- Over 80 publications

View Alternative Names

P16ink4a, Cdkn2a, Cyclin-dependent kinase inhibitor 2A, Cyclin-dependent kinase 4 inhibitor A, p16-INK4a, CDK4I, p16-INK4

7 Images
Immunocytochemistry/ Immunofluorescence - Anti-CDKN2A/p16INK4a antibody [EPR20418] (AB211542)
  • ICC/IF

Supplier Data

Immunocytochemistry/ Immunofluorescence - Anti-CDKN2A/p16INK4a antibody [EPR20418] (AB211542)

Immunofluorescent analysis of 100% methanol-fixed MEF (mouse embryonic fibroblast cell line) and NIH/3T3 (mouse embyro fibroblast cell line) cells labeling CDKN2A/p16INK4a with ab211542 at 1/100 dilution, followed by Goat Anti-Rabbit IgG H&L (Alexa Fluor® 488) (ab150077) secondary antibody at 1/1,000 dilution (green). Confocal image showing nuclear and cytoplasmic staining on MEF cell line.

Negative control : NIH/3T3 (PMID : 15210712).

The nuclear counter stain is DAPI (blue). Tubulin is detected with Anti-alpha Tubulin antibody [DM1A] - Microtubule Marker (Alexa Fluor® 594) (ab195889) (red) at 1/200 dilution.

Secondary antibody only control : Used PBS instead of primary antibody, secondary antibody is Goat Anti-Rabbit IgG H&L (Alexa Fluor® 488) (ab150077) secondary antibody at 1/1,000 dilution.

MEF cells were kindly provided by professor Pinlong Xu, Zhejiang University.

Flow Cytometry (Intracellular) - Anti-CDKN2A/p16INK4a antibody [EPR20418] (AB211542)
  • Flow Cyt (Intra)

Supplier Data

Flow Cytometry (Intracellular) - Anti-CDKN2A/p16INK4a antibody [EPR20418] (AB211542)

Intracellular flow cytometric analysis of 4% paraformaldehyde-fixed MEF (mouse embryonic fibroblast cell line) cell line labeling CDKN2A/p16INK4awith ab211542 at 1/500 dilution (red) compared with a Rabbit IgG, monoclonal [EPR25A] - Isotype Control (ab172730) (black) and an unlabeled control (cells without incubation with primary antibody and secondary antibody) (blue). Goat Anti-Rabbit IgG H&L (Alexa Fluor® 488) (ab150077) at 1/2000 dilution was used as the secondary antibody.

MEF cells were kindly provided by professor Pinlong Xu, Zhejiang University.

Immunoprecipitation - Anti-CDKN2A/p16INK4a antibody [EPR20418] (AB211542)
  • IP

Supplier Data

Immunoprecipitation - Anti-CDKN2A/p16INK4a antibody [EPR20418] (AB211542)

CDKN2A/p16INK4a was immunoprecipitated from fresh MEF lysates with ab211542 at 1/30 dilution (2ug in 0.35mg lysates). Lysates were made fresh and used immediately to minimize protein degradation. Western blot was performed on the immunoprecipitate using ab211542 at 1/1000 dilution. VeriBlot for IP secondary antibody(HRP) (ab131366) was used at 1/5000 dilution. Lane 1 : MEF (mouse embryo fibroblast) whole cell lysate 10 μg (IP lysis buffer) Lane 2 : ab211542 in MEF (mouse embryo fibroblast) whole cell lysate (IP lysis buffer) Lane 3 : Rabbit monoclonal IgG (ab172730) instead of ab211542 in MEF whole cell lysate (IP lysis buffer) Blocking and dilution buffer and concentration : 5% NFDM/TBST.

All lanes:

Immunoprecipitation - Anti-CDKN2A/p16INK4a antibody [EPR20418] (ab211542)

All lanes:

MEF lysates

Secondary

All lanes:

Immunoprecipitation - VeriBlot for IP Detection Reagent (HRP) (<a href='/en-us/products/reagents/veriblot-for-ip-detection-reagent-hrp-ab131366'>ab131366</a>) at 1/5000 dilution

false

Exposure time: 137s

Immunoprecipitation - Anti-CDKN2A/p16INK4a antibody [EPR20418] (AB211542)
  • IP

Supplier Data

Immunoprecipitation - Anti-CDKN2A/p16INK4a antibody [EPR20418] (AB211542)

CDKN2A/p16INK4a was immunoprecipitated from 0.35 mg of MEF (mouse embryonic fibroblast cell line) whole cell lysate with ab211542 at 1/30 dilution. Western blot was performed from the immunoprecipitate using ab211542 at 1/5000 dilution. VeriBlot for IP Detection Reagent (HRP) (ab131366), was used for detection at 1/10,000 dilution

Lane 1 : MEF whole cell lysate 10 μg (Input).

Lane 2 : ab211542 IP in MEF whole cell lysate.

Lane 3 : Rabbit monoclonal IgG (ab172730) instead of ab211542 in MEF whole cell lysate.

Blocking/Dilution buffer : 5% NFDM/TBST.

Exposure time : 30 seconds.

MEF cells were kindly provided by professor Pinlong Xu, Zhejiang University.

All lanes:

Immunoprecipitation - Anti-CDKN2A/p16INK4a antibody [EPR20418] (ab211542)

Predicted band size: 17 kDa

false

Western blot - Anti-CDKN2A/p16INK4a antibody [EPR20418] (AB211542)
  • WB

Supplier Data

Western blot - Anti-CDKN2A/p16INK4a antibody [EPR20418] (AB211542)

Blocking/Dilution buffer : 5% NFDM/TBST.

Negative control : NIH/3T3 (PMID : 15210712).

Limited expression in mouse normal tissues has been documented in the literature (PMID : 9244355).

14 kDa band is a proteolytic p16INK4a lacking C-terminus (PMID : 18053084).

MEF cells are kindly provided by professor Pinlong Xu, Zhejiang University.

All lanes:

Western blot - Anti-CDKN2A/p16INK4a antibody [EPR20418] (ab211542) at 1/2000 dilution

Lane 1:

MEF (mouse embryonic fibroblast cell line) whole cell lysate at 20 µg

Lane 2:

NIH/3T3 (mouse embryo fibroblast cell line) whole cell lysate at 20 µg

Lane 3:

Mouse lung lysate at 20 µg

Lane 4:

Mouse spleen lysate at 20 µg

Lane 5:

Mouse testis lysate at 20 µg

Secondary

All lanes:

Western blot - Goat Anti-Rabbit IgG H&L (HRP) (<a href='/en-us/products/secondary-antibodies/goat-rabbit-igg-h-l-hrp-ab97051'>ab97051</a>) at 1/100000 dilution

Predicted band size: 17 kDa

Observed band size: 14 kDa,16 kDa

true

Exposure time: 3s

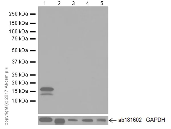
Western blot - Anti-CDKN2A/p16INK4a antibody [EPR20418] (AB211542)
  • WB

Supplier Data

Western blot - Anti-CDKN2A/p16INK4a antibody [EPR20418] (AB211542)

Blocking and dilution buffer : 5% NFDM/TBST.

ab181602 was used as loading control at 1/1000000 dilution.

All lanes:

Western blot - Anti-CDKN2A/p16INK4a antibody [EPR20418] (ab211542) at 1/2000 dilution

Lane 1:

Mouse skin tissue lysate at 20 µg

Lane 2:

Mouse skin cancer tissue lysate at 20 µg

Secondary

All lanes:

Western blot - Goat Anti-Rabbit IgG H&L (HRP) (<a href='/en-us/products/secondary-antibodies/goat-rabbit-igg-h-l-hrp-ab97051'>ab97051</a>) at 1/20000 dilution

Predicted band size: 17 kDa

Observed band size: 14 kDa,16 kDa

false

Exposure time: 10s

Western blot - Anti-CDKN2A/p16INK4a antibody [EPR20418] (AB211542)
  • WB

Supplier Data

Western blot - Anti-CDKN2A/p16INK4a antibody [EPR20418] (AB211542)

Blocking/Dilution buffer : 5% NFDM/TBST.

All lanes:

Western blot - Anti-CDKN2A/p16INK4a antibody [EPR20418] (ab211542) at 1/1000 dilution

Lane 1:

His-tagged mouse CDKN2A/p16INK4a recombinant protein at 0.01 µg

Lane 2:

His-tagged mouse CDKN2B/p15INK4b recombinant protein at 0.01 µg

Secondary

All lanes:

Western blot - Goat Anti-Rabbit IgG H&L (HRP) (<a href='/en-us/products/secondary-antibodies/goat-rabbit-igg-h-l-hrp-ab97051'>ab97051</a>) at 1/100000 dilution

Predicted band size: 17 kDa

Observed band size: 18 kDa

true

Exposure time: 1s

  • Carrier free

    Anti-CDKN2A/p16INK4a antibody [EPR20418] - BSA and Azide free

Key facts

Host species

Rabbit

Clonality

Monoclonal

Clone number

EPR20418

Isotype

IgG

Carrier free

No

Reacts with

Mouse

Applications

IP, Flow Cyt (Intra), ICC/IF, WB

applications

Immunogen

The exact immunogen used to generate this antibody is proprietary information.

Specificity

Expression levels of the CDKN2A/p16INK4a protein may vary with sample type. It's barely expressed in normal tissue, and mostly expressed in some tumour tissues, such as cervical cancer, breast cancer and so on. Moreover, only expressed in some cell lines. Please see images for recommended positive controls.

Please navigate to the Product Protocol section for specificity details in Chinese.

Reactivity data

{ "title": "Reactivity Data", "filters": { "stats": ["", "Species", "Dilution Info", "Notes"], "tabs": { "all-applications": {"fullname" : "All Applications", "shortname": "All Applications"}, "IP" : {"fullname" : "Immunoprecipitation", "shortname":"IP"}, "WB" : {"fullname" : "Western blot", "shortname":"WB"}, "IHCP" : {"fullname" : "Immunohistochemistry (Formalin/PFA-fixed paraffin-embedded sections)", "shortname":"IHC-P"}, "ICCIF" : {"fullname" : "Immunocytochemistry/ Immunofluorescence", "shortname":"ICC/IF"}, "FlowCytIntra" : {"fullname" : "Flow Cytometry (Intracellular)", "shortname":"Flow Cyt (Intra)"} }, "product-promise": { "all": "all", "testedAndGuaranteed": "tested", "guaranteed": "expected", "predicted": "predicted", "notRecommended": "not-recommended" } }, "values": { "Human": { "IP-species-checked": "notRecommended", "IP-species-dilution-info": "", "IP-species-notes": "", "WB-species-checked": "notRecommended", "WB-species-dilution-info": "1/2000", "WB-species-notes": "<p></p>", "IHCP-species-checked": "notRecommended", "IHCP-species-dilution-info": "", "IHCP-species-notes": "<p></p>", "ICCIF-species-checked": "notRecommended", "ICCIF-species-dilution-info": "", "ICCIF-species-notes": "", "FlowCytIntra-species-checked": "notRecommended", "FlowCytIntra-species-dilution-info": "", "FlowCytIntra-species-notes": "" }, "Mouse": { "IP-species-checked": "testedAndGuaranteed", "IP-species-dilution-info": "1/30", "IP-species-notes": "<p></p>", "WB-species-checked": "testedAndGuaranteed", "WB-species-dilution-info": "1/2000", "WB-species-notes": "<p></p>", "IHCP-species-checked": "notRecommended", "IHCP-species-dilution-info": "", "IHCP-species-notes": "", "ICCIF-species-checked": "testedAndGuaranteed", "ICCIF-species-dilution-info": "1/100", "ICCIF-species-notes": "<p></p>", "FlowCytIntra-species-checked": "testedAndGuaranteed", "FlowCytIntra-species-dilution-info": "1/500", "FlowCytIntra-species-notes": "<p></p>" }, "Rat": { "IP-species-checked": "notRecommended", "IP-species-dilution-info": "", "IP-species-notes": "", "WB-species-checked": "notRecommended", "WB-species-dilution-info": "1/2000", "WB-species-notes": "<p></p>", "IHCP-species-checked": "notRecommended", "IHCP-species-dilution-info": "", "IHCP-species-notes": "<p></p>", "ICCIF-species-checked": "notRecommended", "ICCIF-species-dilution-info": "", "ICCIF-species-notes": "", "FlowCytIntra-species-checked": "notRecommended", "FlowCytIntra-species-dilution-info": "", "FlowCytIntra-species-notes": "" } } }

Product details

Anti-CDKN2A/p16INK4a antibody [EPR20418] (ab211542) was developed by Abcam using patented rabbit monoclonal antibody technology and is validated for use in Flow Cyt (Intra), ICC/IF, IP, WB in mouse samples.

Anti-CDKN2A/p16INK4a antibody [EPR20418] (ab211542) has been cited over 83 times in peer reviewed journals and is trusted by the scientific community.

Abcams high quality manufacturing and validation processes ensure Anti-CDKN2A/p16INK4a antibody [EPR20418] (ab211542) has high sensitivity and specificity alongside high lot-to-lot consistency and reproducibility.

Anti-CDKN2A/p16INK4a antibody [EPR20418] (ab211542) has 8 independent reviews from customers.

Anti-CDKN2A/p16INK4a antibody [EPR20418] (ab211542) specifically detects CDKN2A/p16INK4a (UniProt ID: P51480; Molecular weight: 18kDa) and is sold in a convenient trial size to enable initial testing (20 uL) and larger sizes for subsequent scaling up experiments (100 uL and 1 mL).

Conjugation-ready, carrier free format available for antibody clone EPR20418 - ab23242.

CDKN2A, also known as p16INK4a, is a crucial tumor suppressor gene involved in cell cycle regulation and cancer development. It encodes the p16INK4a protein, which inhibits cyclin-dependent kinases (CDKs) 4 and 6, preventing the phosphorylation of the retinoblastoma protein (Rb) and halting cell cycle progression from the G1 to the S phase.

Patented technology
Our RabMAb® technology is a patented hybridoma-based technology for making rabbit monoclonal antibodies. For details on our patents, please refer to RabMAb® patents.

What are the advantages of a recombinant monoclonal antibody?
This product is a recombinant monoclonal antibody, which offers several advantages including:

  • - High batch-to-batch consistency and reproducibility
  • - Improved sensitivity and specificity
  • - Long-term security of supply
  • - Animal-free batch production

For more information, read more on recombinant antibodies.

Properties and storage information

Form
Liquid
Purification technique
Affinity purification Protein A
Storage buffer
pH: 7.2 - 7.4 Preservative: 0.01% Sodium azide Constituents: PBS, 40% Glycerol (glycerin, glycerine), 0.05% BSA
Shipped at conditions
Blue Ice
Appropriate short-term storage duration
1-2 weeks
Appropriate short-term storage conditions
+4°C
Appropriate long-term storage conditions
-20°C
Aliquoting information
Upon delivery aliquot
Storage information
Avoid freeze / thaw cycle

Product protocols

For this product, it's our understanding that no specific protocols are required. You can visit:

Target data

Acts as a negative regulator of the proliferation of normal cells by interacting strongly with CDK4 and CDK6. This inhibits their ability to interact with cyclins D and to phosphorylate the retinoblastoma protein.
See full target information Cdkn2a

Publications (161)

Recent publications for all applications. Explore the full list and refine your search

Nature communications 16:8654 PubMed41027967

2025

Diabetes reshapes pancreatic cancer-associated endothelial niche by accelerating senescence.

Applications

Unspecified application

Species

Unspecified reactive species

Yu-Wei Ling,Juan-Li Duan,Zi-Jian Jiang,Zhen Yang,Jing-Jing Liu,Ping Song,Zhi-Qiang Fang,Zhen-Sheng Yue,Fei He,Ke-Feng Dou,Lin Wang

Science advances 11:eadq7665 PubMed40991686

2025

Impaired macroautophagy in oligodendrocyte precursor cells suppresses neuronal plasticity via a senescence-associated signaling.

Applications

Unspecified application

Species

Unspecified reactive species

Hong Chen,Yan-Yun Sun,Qi-Fa Li,Yu-Tong Du,Na-Na Hu,Ao-Ran Sui,Xiao-Qing Luo,Xin Huang,Chao Zhu,Gang Yang,Lin-Lin Yao,Yong Tang,Hua Hu,Chun-Feng Liu,Jin Tao,Lei Feng,Frank Kirchhoff,Wenhui Huang,Shao Li,Quan-Hong Ma

Physiological reports 13:e70560 PubMed40985117

2025

Distinct lung functional, histological and cell senescence signatures in the single and repetitive bleomycin mouse models of idiopathic pulmonary fibrosis.

Applications

Unspecified application

Species

Unspecified reactive species

Jamal Bousamaki,Emma A Rørbeck,Asbjørn Graver Petersen,Stefanie H Korntner,Susanne E Pors,Elizabeth F Redente,Denise Oró,Casper Gravesen Salinas,Rebecca Wendelboe Olsen,Ulf Simonsen,Michael Feigh,Henrik H Hansen

Journal of extracellular vesicles 14:e70162 PubMed40919882

2025

Targeted Blockage of Pathological Extracellular Vesicles and Particles From Fibroblast-Like Synoviocytes for Osteoarthritis Relief: Proteomic Analysis and Cellular Effect.

Applications

Unspecified application

Species

Unspecified reactive species

Bin Liu,Yansi Xian,Tao Shen,Yu Ben,Wenshu Wu,Yong Shi,Xueying An,Rui Peng,Wentian Gao,Wang Gong,Xiang Chen,Baosheng Guo,Qing Jiang

Nature communications 16:6617 PubMed40731111

2025

Senescence-associated lysosomal dysfunction impairs cystine deprivation-induced lipid peroxidation and ferroptosis.

Applications

Unspecified application

Species

Unspecified reactive species

Tze Mun Loo,Xiangyu Zhou,Yoko Tanaka,Sho Sugawara,Shota Yamauchi,Hiroko Kawasaki,Yuta Matsuoka,Yuki Sugiura,Shinya Sakuma,Yoko Yamanishi,Satoshi Yotsumoto,Kosuke Dodo,Yoshitaka Shirasaki,Takashi Kamatani,Akiko Takahashi

Pharmaceutical biology 63:524-548 PubMed40719285

2025

Wen-Shen-Tong-Luo-Zhi-Tong Decoction alleviates bone loss in aged mice by suppressing LONP1-mediated macrophage senescence.

Applications

Unspecified application

Species

Unspecified reactive species

Qinfeng Zhou,Kaixuan Wang,Cong Wang,Xiaoxian Sun,Lining Wang,Jie Sun,Yalan Pan,Muzhe Li,Zitong Zhao,Shijie Zhou,Qing Wang,Yafeng Zhang,Yong Ma,Yang Guo

Science advances 11:eadv6642 PubMed40668916

2025

Heterochronic parabiosis uncovers AdipoR1 as a critical player in retinal rejuvenation.

Applications

Unspecified application

Species

Unspecified reactive species

Yidan Liu,Xiuxing Liu,Jianjie Lv,Qi Zhang,Zhenlan Yang,Xuhao Chen,Chenyang Gu,Chun Zhang,Yehong Zhuo,Wenru Su

Nature communications 16:6207 PubMed40617829

2025

Multiomics and cellular senescence profiling of aging human skeletal muscle uncovers Maraviroc as a senotherapeutic approach for sarcopenia.

Applications

Unspecified application

Species

Unspecified reactive species

Yang Li,Chuhan Li,Qin Zhou,Xingyuan Liu,Yulong Qiao,Ting Xie,Hao Sun,Michael Tim-Yun Ong,Huating Wang

Investigative ophthalmology & visual science 66:8 PubMed40459496

2025

PRMT5 Regulates Senescence in Retinal Ganglion Cells by Targeting the Wnt/β-Catenin Signaling Cascade.

Applications

Unspecified application

Species

Unspecified reactive species

Yumeng Zhang,Hanwen Huang,Huimin Zhong,Yang Zhang,Siqi He,Yanzhi Guo,Yiwei Wang,Ping Huang,Shouyue Huang,Yisheng Zhong

Diabetes & metabolism journal 49:1229-1241 PubMed40403762

2025

Anti-Senescence Effect of Inhibiting Sodium-Glucose Cotransporter 2 and α-Glucosidase in a Type 2 Diabetes Mellitus Animal Model.

Applications

Unspecified application

Species

Unspecified reactive species

Serin Hong,Byung Soo Kong,Hyunsuk Lee,Young Min Cho
View all publications
websiteProtocolBooklet
zh

Product promise

We are committed to supporting your work with high-quality reagents, and we're here for you every step of the way. In the unlikely event that one of our products does not perform as expected, you're protected by our Product Promise.
For full details, please see our Terms & Conditions

Please note: All products are 'FOR RESEARCH USE ONLY. NOT FOR USE IN DIAGNOSTIC OR THERAPEUTIC PROCEDURES'.

For licensing inquiries, please contact partnerships@abcam.com