JavaScript is disabled in your browser. Please enable JavaScript to view this website.
AB282285

Anti-CDKN2A/p16INK4a antibody [EPR24167-43] - BSA and Azide free

  • BOND RX™ Validated
  • KO Validated
  • RabMAb
  • Recombinant
  • What is this?

3

(1 Review)

|

(0 Publication)

Rabbit Recombinant Monoclonal p16INK4A antibody. Carrier free. Suitable for ICC/IF, IP, WB, IHC-P, Flow Cyt (Intra) and reacts with Human, Recombinant full length protein - Human samples.

View Alternative Names

CDKN2, MTS1, CDKN2A, Cyclin-dependent kinase inhibitor 2A, Cyclin-dependent kinase 4 inhibitor A, Multiple tumor suppressor 1, p16-INK4a, CDK4I, MTS-1, p16-INK4, p16INK4A

11 Images
Immunocytochemistry/ Immunofluorescence - Anti-CDKN2A/p16INK4a antibody [EPR24167-43] - BSA and Azide free (AB282285)
  • ICC/IF

Supplier Data

Immunocytochemistry/ Immunofluorescence - Anti-CDKN2A/p16INK4a antibody [EPR24167-43] - BSA and Azide free (AB282285)

This data was developed using ab270058, the same antibody clone in a different buffer formulation.

Immunofluorescent analysis of 4% Paraformaldehyde-fixed, 0.1% TritonX-100 permeabilized HeLa cells labelling CDKN2A/p16INK4a with ab270058 at 1/50 (9.36 ug/ml) dilution, followed by ab150081 Goat Anti-Rabbit IgG H&L (Alexa Fluor® 488) preadsorbed antibody at 1/1000 dilution (Green). Confocal image showing nuclear and cytoplasmic staining in HeLa cell line. Negative control : MCF7 (PMID : 10914724) is observed.

ab195889 Anti-alpha Tubulin mouse monoclonal antibody - Microtubule Marker (Alexa Fluor® 594) was used to counterstain tubulin at 1/200 dilution (Red). The Nuclear counterstain was DAPI (Blue).

Secondary antibody only control : Secondary antibody is ab150081 Goat Anti-Rabbit IgG H&L (Alexa Fluor® 488) preadsorbed at 1/1000 dilution.

Immunohistochemistry (Formalin/PFA-fixed paraffin-embedded sections) - Anti-CDKN2A/p16INK4a antibody [EPR24167-43] - BSA and Azide free (AB282285)
  • IHC-P

Supplier Data

Immunohistochemistry (Formalin/PFA-fixed paraffin-embedded sections) - Anti-CDKN2A/p16INK4a antibody [EPR24167-43] - BSA and Azide free (AB282285)

This data was developed using ab270058, the same antibody clone in a different buffer formulation.

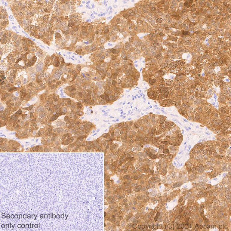
Immunohistochemical analysis of paraffin-embedded Human endometrial cancer tissue labelling CDKN2A/p16INK4a with ab270058 at 1/500 (0.936 ug/ml) dilution followed by a ready to use LeicaDS9800 (Bond™ Polymer Refine Detection). Positive staining in human endometrial cancer. The section was incubated with ab270058 for 30 minutes at room temperature. The immunostaining was performed on a Leica Biosystems BOND® RX instrument. Counterstained with Hematoxylin.

Secondary antibody only control : Secondary antibody is a ready to use LeicaDS9800 (Bond™ Polymer Refine Detection).

Heat mediated antigen retrieval with Tris-EDTA buffer (pH 9.0, epitope retrieval solution2) for 20 minutes.

Flow Cytometry (Intracellular) - Anti-CDKN2A/p16INK4a antibody [EPR24167-43] - BSA and Azide free (AB282285)
  • Flow Cyt (Intra)

Supplier Data

Flow Cytometry (Intracellular) - Anti-CDKN2A/p16INK4a antibody [EPR24167-43] - BSA and Azide free (AB282285)

This data was developed using ab270058, the same antibody clone in a different buffer formulation.

Flow cytometric analysis of 4% paraformaldehyde fixed 90% methanol permeabilized MCF7 ( Human breast adenocarcinoma epithelial cell, Left)/ HeLa (Human cervix adenocarcinoma epithelial cell, Right) cells labelling CDKN2A/p16INK4a with ab270058 at 1/500 dilution (0.1ug) (Red) compared with a Rabbit monoclonal IgG (ab172730) (Black) isotype control and an unlabelled control (cells without incubation with primary antibody and secondary antibody) (Blue). A Goat anti rabbit IgG (Alexa Fluor® 488, ab150077) at 1/2000 dilution was used as the secondary antibody. Negative control : MCF7 (PMID : 10914724).

Immunohistochemistry (Formalin/PFA-fixed paraffin-embedded sections) - Anti-CDKN2A/p16INK4a antibody [EPR24167-43] - BSA and Azide free (AB282285)
  • IHC-P

Supplier Data

Immunohistochemistry (Formalin/PFA-fixed paraffin-embedded sections) - Anti-CDKN2A/p16INK4a antibody [EPR24167-43] - BSA and Azide free (AB282285)

This data was developed using ab270058, the same antibody clone in a different buffer formulation.

Immunohistochemical analysis of paraffin-embedded Human cervix tissue labelling CDKN2A/p16INK4a with ab270058 at 1/500 (0.936 ug/ml) dilution followed by a ready to use LeicaDS9800 (Bond™ Polymer Refine Detection). Negative control : No staining in human cervix (PMID : 9736404). The section was incubated with ab270058 for 30 minutes at room temperature. The immunostaining was performed on a Leica Biosystems BOND® RX instrument Counterstained with Hematoxylin.

Secondary antibody only control : Secondary antibody is a ready to use LeicaDS9800 (Bond™ Polymer Refine Detection).

Heat mediated antigen retrieval with Tris-EDTA buffer (pH 9.0, epitope retrieval solution2) for 20 minutes.

Immunohistochemistry (Formalin/PFA-fixed paraffin-embedded sections) - Anti-CDKN2A/p16INK4a antibody [EPR24167-43] - BSA and Azide free (AB282285)
  • IHC-P

Supplier Data

Immunohistochemistry (Formalin/PFA-fixed paraffin-embedded sections) - Anti-CDKN2A/p16INK4a antibody [EPR24167-43] - BSA and Azide free (AB282285)

This data was developed using ab270058, the same antibody clone in a different buffer formulation.

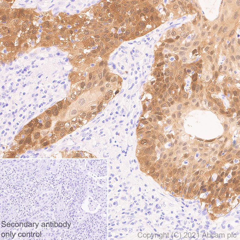
Immunohistochemical analysis of paraffin-embedded Human cervical cancer tissue labelling CDKN2A/p16INK4a with ab270058 at 1/500 (0.936 ug/ml) dilution followed by a ready to use LeicaDS9800 (Bond™ Polymer Refine Detection). Positive staining in human cervical cancer (PMID : 9736404). The section was incubated with ab270058 for 30 minutes at room temperature. The immunostaining was performed on a Leica Biosystems BOND® RX instrument. Counterstained with Hematoxylin.

Secondary antibody only control : Secondary antibody is a ready to use LeicaDS9800 (Bond™ Polymer Refine Detection).

Heat mediated antigen retrieval with Tris-EDTA buffer (pH 9.0, epitope retrieval solution2) for 20 minutes.

Western blot - Anti-CDKN2A/p16INK4a antibody [EPR24167-43] - BSA and Azide free (AB282285)
  • WB

Lab

Western blot - Anti-CDKN2A/p16INK4a antibody [EPR24167-43] - BSA and Azide free (AB282285)

This data was developed using the same antibody clone in a different buffer formulation (ab270058).

Western blot : Anti-CDKN2A antibody [EPR24167-43] (ab270058) staining at 1/2000 dilution, shown in green; Mouse anti-GAPDH antibody [6C5] (ab8245) loading control staining at 1/20000 dilution, shown in magenta. In Western blot, ab270058 was shown to bind specifically to CDKN2A. A band was observed at 17 kDa in wild-type HEK-293T cell lysates with no signal observed at this size in CDKN2A knockout cell line. To generate this image, wild-type and CDKN2A knockout HEK-293T cell lysates were analysed. First, samples were run on an SDS-PAGE gel then transferred onto a nitrocellulose membrane. Membranes were blocked in 5 % milk in TBS-0.1 % Tween® 20 (TBS-T) before incubation with primary antibodies overnight at 4 °C. Blots were washed four times in TBS-T, incubated with secondary antibodies for 1 h at room temperature, washed again four times then imaged. Secondary antibodies used were Goat anti-Rabbit IgG H&L 800CW and Goat anti-Mouse IgG H&L 680RD at 1/20000 dilution.

All lanes:

Western blot - Anti-CDKN2A/p16INK4a antibody [EPR24167-43] (<a href='/en-us/products/primary-antibodies/cdkn2a-p16ink4a-antibody-epr24167-43-ab270058'>ab270058</a>) at 1/2000 dilution

Lane 1:

Wild-type HEK-293T cell lysate at 20 µg

Lane 2:

CDKN2A knockout HEK-293T cell lysate at 20 µg

Lane 3:

HeLa cell lysate at 20 µg

Lane 4:

MCF7 cell lysate at 20 µg

Secondary

All lanes:

Goat anti-Rabbit IgG H&L 800CW and Goat anti-Mouse IgG H&L 680RD at 1/20000 dilution

Predicted band size: 17 kDa

Observed band size: 17 kDa

false

Western blot - Anti-CDKN2A/p16INK4a antibody [EPR24167-43] - BSA and Azide free (AB282285)
  • WB

Lab

Western blot - Anti-CDKN2A/p16INK4a antibody [EPR24167-43] - BSA and Azide free (AB282285)

This data was developed using ab270058, the same antibody clone in a different buffer formulation. Western blot : Anti-CDKN2A antibody [EPR24167-43] (ab270058) staining at 1/1000 dilution, shown in green; Mouse anti-GAPDH antibody [6C5] (ab8245) loading control staining at 1/20000 dilution, shown in magenta. In Western blot, ab270058 was shown to bind specifically to CDKN2A. First, samples were run on an SDS-PAGE gel then transferred onto a nitrocellulose membrane. Membranes were blocked in 3% milk in TBS-0.1% Tween® 20 (TBS-T) before incubation with primary antibodies overnight at 4°C. Blots were washed four times in TBS-T, incubated with secondary antibodies for 1 h at room temperature, washed again four times then imaged. Secondary antibodies used were Goat anti-Rabbit IgG H&L 800CW and Goat anti-Mouse IgG H&L 680RD at 1/20000 dilution.

All lanes:

Western blot - Anti-CDKN2A/p16INK4a antibody [EPR24167-43] (<a href='/en-us/products/primary-antibodies/cdkn2a-p16ink4a-antibody-epr24167-43-ab270058'>ab270058</a>) at 1/1000 dilution

Lane 1:

HeLa cell lysate at 20 µg

Lane 2:

HEK-293 cell lysate at 20 µg

Lane 3:

Saos-2 cell lysate at 20 µg

Lane 4:

MCF7 cell lysate at 20 µg

Observed band size: 17 kDa

true

Immunoprecipitation - Anti-CDKN2A/p16INK4a antibody [EPR24167-43] - BSA and Azide free (AB282285)
  • IP

Supplier Data

Immunoprecipitation - Anti-CDKN2A/p16INK4a antibody [EPR24167-43] - BSA and Azide free (AB282285)

This data was developed using ab270058, the same antibody clone in a different buffer formulation.

CDKN2A/p16INK4a was immunoprecipitated from 0.35 mg HEK-293 (human embryonic kidney epithelial cell), whole cell lysate 10 ug with ab270058 at 1/30 dilution (2ug in 0.35mg lysates). Western blot was performed on the immunoprecipitate using ab270058 at 1/1000 dilution. VeriBlot for IP secondary antibody(HRP)(ab131366) was used at 1/5000 dilution.

Lane 1 : HEK-293 (human embryonic kidney epithelial cell), whole cell lysate 10 ug

Lane 2 : ab270058 IP in HEK-293 whole cell lysate

Lane 3 : Rabbit monoclonal IgG (ab172730) instead of ab270058 in HEK-293 whole cell lysate

Blocking and dilution buffer and concentration : 5% NFDM/TBST.

Exposure time : 32 seconds

All lanes:

Immunoprecipitation - Anti-CDKN2A/p16INK4a antibody [EPR24167-43] (<a href='/en-us/products/primary-antibodies/cdkn2a-p16ink4a-antibody-epr24167-43-ab270058'>ab270058</a>)

Predicted band size: 17 kDa

Observed band size: 16 kDa

false

Immunoprecipitation - Anti-CDKN2A/p16INK4a antibody [EPR24167-43] - BSA and Azide free (AB282285)
  • IP

Supplier Data

Immunoprecipitation - Anti-CDKN2A/p16INK4a antibody [EPR24167-43] - BSA and Azide free (AB282285)

This data was developed using ab270058, the same antibody clone in a different buffer formulation.

CDKN2A/p16INK4a was immunoprecipitated from 0.35 mg HeLa (human cervix adenocarcinoma epithelial cell), whole cell lysate 10 ug with ab270058 at 1/30 dilution (2ug in 0.35mg lysates). Western blot was performed on the immunoprecipitate using ab270058 at 1/1000 dilution. VeriBlot for IP secondary antibody(HRP)(ab131366) was used at 1/5000 dilution.

Lane 1 : HeLa (human cervix adenocarcinoma epithelial cell), whole cell lysate 10 ug

Lane 2 : ab270058 IP in HeLa whole cell lysate

Lane 3 : Rabbit monoclonal IgG (ab172730) instead of ab270058 in HeLa whole cell lysate

Blocking and dilution buffer and concentration : 5% NFDM/TBST.

Exposure time : 32 seconds

All lanes:

Immunoprecipitation - Anti-CDKN2A/p16INK4a antibody [EPR24167-43] (<a href='/en-us/products/primary-antibodies/cdkn2a-p16ink4a-antibody-epr24167-43-ab270058'>ab270058</a>)

Predicted band size: 17 kDa

Observed band size: 16 kDa

false

Western blot - Anti-CDKN2A/p16INK4a antibody [EPR24167-43] - BSA and Azide free (AB282285)
  • WB

Lab

Western blot - Anti-CDKN2A/p16INK4a antibody [EPR24167-43] - BSA and Azide free (AB282285)

This data was developed using ab270058, the same antibody clone in a different buffer formulation.

Blocking and diluting buffer and concentration : 5% NFDM/TBST

This antibody specifically recognizes CDKN2A recombinant protein, but not CDKN2B recombinant protein.

Exposure time : 3.25 seconds

All lanes:

Western blot - Anti-CDKN2A/p16INK4a antibody [EPR24167-43] (<a href='/en-us/products/primary-antibodies/cdkn2a-p16ink4a-antibody-epr24167-43-ab270058'>ab270058</a>) at 1/1000 dilution

Lane 1:

His-tagged human CDKN2A recombinant protein at 0.01 µg

Lane 2:

GST-tagged human CDKN2B recombinant protein at 0.01 µg

Secondary

All lanes:

Western blot - Goat Anti-Rabbit IgG H&L (HRP) (<a href='/en-us/products/secondary-antibodies/goat-rabbit-igg-h-l-hrp-ab97051'>ab97051</a>) at 1/100000 dilution

Predicted band size: 17 kDa

Observed band size: 16 kDa

false

Western blot - Anti-CDKN2A/p16INK4a antibody [EPR24167-43] - BSA and Azide free (AB282285)
  • WB

Lab

Western blot - Anti-CDKN2A/p16INK4a antibody [EPR24167-43] - BSA and Azide free (AB282285)

This data was developed using ab270058, the same antibody clone in a different buffer formulation.

Blocking and diluting buffer and concentration : 5% NFDM/TBST

Negative control : MCF7, MDA-MB-231 (PMID : 10914724)

The MW observed is consistent with the literature. (PMID : 18053084)

This blot was developed using a higher sensitivity ECL substrate.

Exposure time : 70 seconds

All lanes:

Western blot - Anti-CDKN2A/p16INK4a antibody [EPR24167-43] (<a href='/en-us/products/primary-antibodies/cdkn2a-p16ink4a-antibody-epr24167-43-ab270058'>ab270058</a>) at 1/1000 dilution

Lane 1:

HeLa (human cervix adenocarcinoma epithelial cell), whole cell lysate at 20 µg

Lane 2:

HEK-293 (human embryonic kidney epithelial cell), whole cell lysate at 20 µg

Lane 3:

Saos-2 (human osteosarcoma epithelial), whole cell lysate at 20 µg

Lane 4:

MCF7 (human breast adenocarcinoma epithelial cell), whole cell lysate at 20 µg

Lane 5:

MDA-MB-231 (human breast adenocarcinoma epithelial cell), whole cell lysate at 20 µg

Secondary

All lanes:

Western blot - Goat Anti-Rabbit IgG H&L (HRP) (<a href='/en-us/products/secondary-antibodies/goat-rabbit-igg-h-l-hrp-ab97051'>ab97051</a>) at 1/100000 dilution

Predicted band size: 17 kDa

Observed band size: 16 kDa

false

Key facts

Host species

Rabbit

Clonality

Monoclonal

Clone number

EPR24167-43

Isotype

IgG

Carrier free

Yes

Reacts with

Human

Applications

WB, ICC/IF, IP, IHC-P, Flow Cyt (Intra)

applications

Immunogen

The exact immunogen used to generate this antibody is proprietary information.

Reactivity data

{ "title": "Reactivity Data", "filters": { "stats": ["", "Species", "Dilution Info", "Notes"], "tabs": { "all-applications": {"fullname" : "All Applications", "shortname": "All Applications"}, "ICCIF" : {"fullname" : "Immunocytochemistry/ Immunofluorescence", "shortname":"ICC/IF"}, "IP" : {"fullname" : "Immunoprecipitation", "shortname":"IP"}, "WB" : {"fullname" : "Western blot", "shortname":"WB"}, "IHCP" : {"fullname" : "Immunohistochemistry (Formalin/PFA-fixed paraffin-embedded sections)", "shortname":"IHC-P"}, "FlowCytIntra" : {"fullname" : "Flow Cytometry (Intracellular)", "shortname":"Flow Cyt (Intra)"} }, "product-promise": { "all": "all", "testedAndGuaranteed": "tested", "guaranteed": "expected", "predicted": "predicted", "notRecommended": "not-recommended" } }, "values": { "Human": { "ICCIF-species-checked": "testedAndGuaranteed", "ICCIF-species-dilution-info": "", "ICCIF-species-notes": "<p></p>", "IP-species-checked": "testedAndGuaranteed", "IP-species-dilution-info": "", "IP-species-notes": "<p></p>", "WB-species-checked": "testedAndGuaranteed", "WB-species-dilution-info": "", "WB-species-notes": "<p></p>", "IHCP-species-checked": "testedAndGuaranteed", "IHCP-species-dilution-info": "", "IHCP-species-notes": "<p></p>", "FlowCytIntra-species-checked": "testedAndGuaranteed", "FlowCytIntra-species-dilution-info": "", "FlowCytIntra-species-notes": "<p></p>" }, "Mouse": { "ICCIF-species-checked": "notRecommended", "ICCIF-species-dilution-info": "", "ICCIF-species-notes": "", "IP-species-checked": "notRecommended", "IP-species-dilution-info": "", "IP-species-notes": "", "WB-species-checked": "notRecommended", "WB-species-dilution-info": "", "WB-species-notes": "<p></p>", "IHCP-species-checked": "notRecommended", "IHCP-species-dilution-info": "", "IHCP-species-notes": "<p></p>", "FlowCytIntra-species-checked": "notRecommended", "FlowCytIntra-species-dilution-info": "", "FlowCytIntra-species-notes": "" }, "Rat": { "ICCIF-species-checked": "notRecommended", "ICCIF-species-dilution-info": "", "ICCIF-species-notes": "", "IP-species-checked": "notRecommended", "IP-species-dilution-info": "", "IP-species-notes": "", "WB-species-checked": "notRecommended", "WB-species-dilution-info": "", "WB-species-notes": "<p></p>", "IHCP-species-checked": "notRecommended", "IHCP-species-dilution-info": "", "IHCP-species-notes": "<p></p>", "FlowCytIntra-species-checked": "notRecommended", "FlowCytIntra-species-dilution-info": "", "FlowCytIntra-species-notes": "" }, "Recombinant full length protein - Human": { "ICCIF-species-checked": "notRecommended", "ICCIF-species-dilution-info": "", "ICCIF-species-notes": "", "IP-species-checked": "notRecommended", "IP-species-dilution-info": "", "IP-species-notes": "", "WB-species-checked": "testedAndGuaranteed", "WB-species-dilution-info": "", "WB-species-notes": "<p></p>", "IHCP-species-checked": "notRecommended", "IHCP-species-dilution-info": "", "IHCP-species-notes": "", "FlowCytIntra-species-checked": "notRecommended", "FlowCytIntra-species-dilution-info": "", "FlowCytIntra-species-notes": "" } } }

Product details

ab282285 is the carrier-free version of ab270058.

Patented technology
Our RabMAb® technology is a patented hybridoma-based technology for making rabbit monoclonal antibodies. For details on our patents, please refer to RabMAb® patents.

What are the advantages of a recombinant monoclonal antibody?
This product is a recombinant monoclonal antibody, which offers several advantages including:

  • - High batch-to-batch consistency and reproducibility
  • - Improved sensitivity and specificity
  • - Long-term security of supply
  • - Animal-free batch production

For more information, read more on recombinant antibodies.

Conjugation ready
Our carrier-free antibodies are typically supplied in a PBS-only formulation, purified and free of BSA, sodium azide and glycerol. This conjugation-ready format is designed for use with fluorochromes, metal isotopes, oligonucleotides, and enzymes, which makes them ideal for antibody labelling, functional and cell-based assays, flow-based assays (e.g. mass cytometry) and Multiplex Imaging applications.

Use our conjugation kits for antibody conjugates that are ready-to-use in as little as 20 minutes with 1 minute hands-on-time and 100% antibody recovery: available for fluorescent dyes, HRP, biotin and gold.

Compatibility
This product is compatible with the Maxpar® Antibody Labeling Kit from Fluidigm, without the need for antibody preparation. Maxpar® is a trademark of Fluidigm Canada Inc.

Properties and storage information

Form
Liquid
Purification technique
Affinity purification Protein A
Storage buffer
pH: 7.2 - 7.4 Constituents: PBS
Shipped at conditions
Blue Ice
Appropriate short-term storage conditions
+4°C
Appropriate long-term storage conditions
+4°C

Product protocols

For this product, it's our understanding that no specific protocols are required. You can visit:

Target data

The protein expressed by the gene CDKN2A acts as a negative regulator of normal cell proliferation by strongly interacting with CDK4 and CDK6. This interaction inhibits the ability of CDK4 and CDK6 to interact with cyclins D and to phosphorylate the retinoblastoma protein. This supplementary information is collated from multiple sources and compiled automatically.
See full target information CDKN2A

Product promise

We are committed to supporting your work with high-quality reagents, and we're here for you every step of the way. In the unlikely event that one of our products does not perform as expected, you're protected by our Product Promise.
For full details, please see our Terms & Conditions

Please note: All products are 'FOR RESEARCH USE ONLY. NOT FOR USE IN DIAGNOSTIC OR THERAPEUTIC PROCEDURES'.

For licensing inquiries, please contact partnerships@abcam.com