JavaScript is disabled in your browser. Please enable JavaScript to view this website.
AB267833

Anti-CDKN2A/p16INK4a antibody [JC2]

Be the first to review this product! Submit a review

|

(2 Publications)

Mouse Monoclonal p16INK4A antibody. Suitable for IHC-P and reacts with Human samples. Cited in 2 publications. Immunogen corresponding to Recombinant Full Length Protein corresponding to Human CDKN2A.

View Alternative Names

CDKN2, MTS1, CDKN2A, Cyclin-dependent kinase inhibitor 2A, Cyclin-dependent kinase 4 inhibitor A, Multiple tumor suppressor 1, p16-INK4a, CDK4I, MTS-1, p16-INK4, p16INK4A

4 Images
Immunohistochemistry (Formalin/PFA-fixed paraffin-embedded sections) - Anti-CDKN2A/p16INK4a antibody [JC2] (AB267833)
  • IHC-P

Unknown

Immunohistochemistry (Formalin/PFA-fixed paraffin-embedded sections) - Anti-CDKN2A/p16INK4a antibody [JC2] (AB267833)

Formalin-fixed, parafin-embedded tonsil tissue stained for CDKN2A/p16INK4a using ab267833 at 1/50 dilution for 30 minutes at room temperature. Antigen retrieval was performed using TEDTA buffer pH 8 and blue Hematoxylin was used as a counter stain. Scatter epithelial cells display a moderate to strong nuclear and cytoplasmic staining reaction.

Immunohistochemistry (Formalin/PFA-fixed paraffin-embedded sections) - Anti-CDKN2A/p16INK4a antibody [JC2] (AB267833)
  • IHC-P

Unknown

Immunohistochemistry (Formalin/PFA-fixed paraffin-embedded sections) - Anti-CDKN2A/p16INK4a antibody [JC2] (AB267833)

Formalin-fixed, parafin-embedded high-grade squamous intraepithelial (HSIL) lesions stained for CDKN2A/p16INK4a using ab267833 at 1/50 dilution for 30 minutes at room temperature. Antigen retrieval was performed using TEDTA buffer pH 8 and blue Hematoxylin was used as a counter stain.

Immunohistochemistry (Formalin/PFA-fixed paraffin-embedded sections) - Anti-CDKN2A/p16INK4a antibody [JC2] (AB267833)
  • IHC-P

Supplier Data

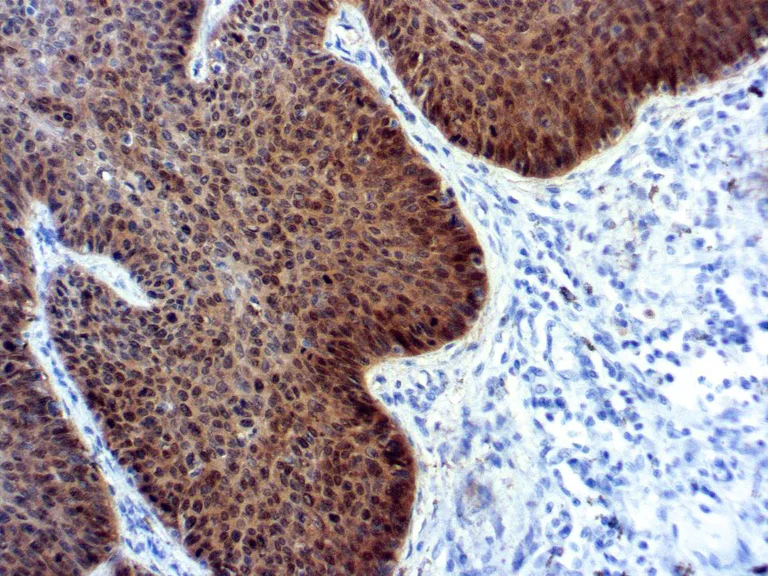
Immunohistochemistry (Formalin/PFA-fixed paraffin-embedded sections) - Anti-CDKN2A/p16INK4a antibody [JC2] (AB267833)

Formalin-fixed, parafin-embedded human uterine cervical squamous cell carcinoma tissue stained for CDKN2A/p16INK4a using ab267833 at 1/50 dilution for 30 minutes at room temperature. Antigen retrieval was performed using TEDTA buffer pH 8 and blue Hematoxylin was used as a counter stain.

Immunohistochemistry (Formalin/PFA-fixed paraffin-embedded sections) - Anti-CDKN2A/p16INK4a antibody [JC2] (AB267833)
  • IHC-P

Unknown

Immunohistochemistry (Formalin/PFA-fixed paraffin-embedded sections) - Anti-CDKN2A/p16INK4a antibody [JC2] (AB267833)

Formalin-fixed, parafin-embedded uterine cervix tissue stained for CDKN2A/p16INK4a using ab267833 at 1/50 dilution for 30 mins at room temperature. Antigen retrieval was performed using TEDTA buffer pH 8 and blue Hematoxylin was used as a counter stain. No staining reaction is seen in the squamous epithelial cell.

Key facts

Host species

Mouse

Clonality

Monoclonal

Clone number

JC2

Isotype

IgG2a

Carrier free

No

Reacts with

Human

Applications

IHC-P

applications

Immunogen

Recombinant Full Length Protein corresponding to Human CDKN2A.

P42771

Reactivity data

{ "title": "Reactivity Data", "filters": { "stats": ["", "Species", "Dilution Info", "Notes"], "tabs": { "all-applications": {"fullname" : "All Applications", "shortname": "All Applications"}, "IHCP" : {"fullname" : "Immunohistochemistry (Formalin/PFA-fixed paraffin-embedded sections)", "shortname":"IHC-P"} }, "product-promise": { "all": "all", "testedAndGuaranteed": "tested", "guaranteed": "expected", "predicted": "predicted", "notRecommended": "not-recommended" } }, "values": { "Human": { "IHCP-species-checked": "testedAndGuaranteed", "IHCP-species-dilution-info": "1/50 - 1/100", "IHCP-species-notes": "<p>Antigen retrieval: EDTA buffer pH 8.0. Tissue fixed in 10% formalin are suitable for use prior to paraffin embedding.</p><p>Incubate with primary antibody for 30 mins at RT.</p>" } } }

Properties and storage information

Form
Liquid
Purity
Tissue culture supernatant
Storage buffer
pH: 7.3 - 7.5 Preservative: 0.099% Sodium azide Constituents: Tissue culture supernatant
Shipped at conditions
Blue Ice
Appropriate short-term storage duration
1-2 weeks
Appropriate short-term storage conditions
+4°C
Appropriate long-term storage conditions
-20°C
Aliquoting information
Upon delivery aliquot
Storage information
Avoid freeze / thaw cycle

Product protocols

For this product, it's our understanding that no specific protocols are required. You can visit:

Target data

The protein expressed by the gene CDKN2A acts as a negative regulator of normal cell proliferation by strongly interacting with CDK4 and CDK6. This interaction inhibits the ability of CDK4 and CDK6 to interact with cyclins D and to phosphorylate the retinoblastoma protein. This supplementary information is collated from multiple sources and compiled automatically.
See full target information CDKN2A

Publications (2)

Recent publications for all applications. Explore the full list and refine your search

Frontiers in oncology 12:864066 PubMed35494029

2022

Epstein-Barr Virus, But Not Human Papillomavirus, Is Associated With Preinvasive and Invasive Ocular Surface Squamous Neoplasias in Zambian Patients.

Applications

Unspecified application

Species

Unspecified reactive species

Peter Julius,Stepfanie N Siyumbwa,Phyllis Moonga,Fred Maate,Trevor Kaile,Gleb Haynatski,Veenu Minhas,Jazmine Snow,Kerstin Peterson,Patience Gihozo,Sam Streeter,Salan Kaur,Annika Evans,Daniela Gonzalez,Kandali Samwel,Guobin Kang,John T West,Charles Wood,Peter C Angeletti

Journal of translational medicine 17:198 PubMed31185999

2019

Discriminant analysis and machine learning approach for evaluating and improving the performance of immunohistochemical algorithms for COO classification of DLBCL.

Applications

Unspecified application

Species

Unspecified reactive species

Yocanxóchitl Perfecto-Avalos,Alejandro Garcia-Gonzalez,Ana Hernandez-Reynoso,Gildardo Sánchez-Ante,Carlos Ortiz-Hidalgo,Sean-Patrick Scott,Rita Q Fuentes-Aguilar,Ricardo Diaz-Dominguez,Grettel León-Martínez,Verónica Velasco-Vales,Mara A Cárdenas-Escudero,José A Hernández-Hernández,Arturo Santos,José R Borbolla-Escoboza,Luis Villela
View all publications

Product promise

We are committed to supporting your work with high-quality reagents, and we're here for you every step of the way. In the unlikely event that one of our products does not perform as expected, you're protected by our Product Promise.
For full details, please see our Terms & Conditions

Please note: All products are 'FOR RESEARCH USE ONLY. NOT FOR USE IN DIAGNOSTIC OR THERAPEUTIC PROCEDURES'.

For licensing inquiries, please contact partnerships@abcam.com