JavaScript is disabled in your browser. Please enable JavaScript to view this website.
AB189034

Anti-CDKN2A/p16INK4a antibody - N-terminal

3

(5 Reviews)

|

(107 Publications)

Anti-CDKN2A/p16INK4a antibody - N-terminal (ab189034) is a rabbit polyclonal antibody detecting CDKN2A/p16INK4a in Western Blot, IHC-P, ICC/IF. Suitable for Human, Mouse.

- Over 70 publications

View Alternative Names

CDKN2, MTS1, CDKN2A, Cyclin-dependent kinase inhibitor 2A, Cyclin-dependent kinase 4 inhibitor A, Multiple tumor suppressor 1, p16-INK4a, CDK4I, MTS-1, p16-INK4, p16INK4A

4 Images
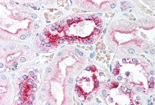
Immunohistochemistry (Formalin/PFA-fixed paraffin-embedded sections) - Anti-CDKN2A/p16INK4a antibody - N-terminal (AB189034)
  • IHC-P

Supplier Data

Immunohistochemistry (Formalin/PFA-fixed paraffin-embedded sections) - Anti-CDKN2A/p16INK4a antibody - N-terminal (AB189034)

Immunohistochemistry (Formalin/PFA-fixed paraffin-embedded sections) analysis of human kidney tissue sections labeling CDKN2A/p16INK4a with ab189034 at 5 μg/ml. Heat mediated antigen retrieval was performed.

Immunocytochemistry/ Immunofluorescence - Anti-CDKN2A/p16INK4a antibody - N-terminal (AB189034)
  • ICC/IF

Supplier Data

Immunocytochemistry/ Immunofluorescence - Anti-CDKN2A/p16INK4a antibody - N-terminal (AB189034)

Immunofuorescent analysis of human colon cells labeling CDKN2A using ab189034 at 20 μg/ml.

Immunohistochemistry (Formalin/PFA-fixed paraffin-embedded sections) - Anti-CDKN2A/p16INK4a antibody - N-terminal (AB189034)
  • IHC-P

Supplier Data

Immunohistochemistry (Formalin/PFA-fixed paraffin-embedded sections) - Anti-CDKN2A/p16INK4a antibody - N-terminal (AB189034)

Immunohistochemical analysis of formalin fixed, paraffin embedded human colon tissue labeling CDKN2A using ab189034 at 5 μg/ml.

Western blot - Anti-CDKN2A/p16INK4a antibody - N-terminal (AB189034)
  • WB

Lab

Western blot - Anti-CDKN2A/p16INK4a antibody - N-terminal (AB189034)

Western blot : Anti-CDKN2A antibody (ab189034) staining at 2 ug/ml, shown in green; Mouse anti-GAPDH antibody [6C5] (ab8245) loading control staining at 1/20000 dilution, shown in magenta. In Western blot, ab189034 was shown to bind specifically to CDKN2A however we recommend using ab270058 for more specific binding in Western blot. First, samples were run on an SDS-PAGE gel then transferred onto a nitrocellulose membrane. Membranes were blocked in 3% milk in TBS-0.1% Tween® 20 (TBS-T) before incubation with primary antibodies overnight at 4°C. Blots were washed four times in TBS-T, incubated with secondary antibodies for 1 h at room temperature, washed again four times then imaged. Secondary antibodies used were Goat anti-Rabbit IgG H&L 800CW and Goat anti-Mouse IgG H&L 680RD at 1/20000 dilution.

All lanes:

Western blot - Anti-CDKN2A/p16INK4a antibody - N-terminal (ab189034) at 2 µg/mL

Lane 1:

HeLa cell lysate at 20 µg

Lane 2:

HEK-293 cell lysate at 20 µg

Lane 3:

Saos-2 cell lysate at 20 µg

Lane 4:

MCF7 cell lysate at 20 µg

Observed band size: 17 kDa

true

Key facts

Host species

Rabbit

Clonality

Polyclonal

Isotype

IgG

Carrier free

No

Reacts with

Mouse, Human

Applications

WB, ICC/IF, IHC-P

applications

Immunogen

Synthetic Peptide within Human CDKN2A. The exact immunogen used to generate this antibody is proprietary information.

P42771

Specificity

Expression levels of the CDKN2A/p16INK4a protein may vary with sample type. It's barely expressed in normal tissue, and mostly expressed in some tumour tissues, such as cervical cancer, breast cancer and so on. Moreover, only expressed in some cell lines. Please see images for recommended positive controls.

Reactivity data

{ "title": "Reactivity Data", "filters": { "stats": ["", "Species", "Dilution Info", "Notes"], "tabs": { "all-applications": {"fullname" : "All Applications", "shortname": "All Applications"}, "IHCP" : {"fullname" : "Immunohistochemistry (Formalin/PFA-fixed paraffin-embedded sections)", "shortname":"IHC-P"}, "WB" : {"fullname" : "Western blot", "shortname":"WB"}, "ICCIF" : {"fullname" : "Immunocytochemistry/ Immunofluorescence", "shortname":"ICC/IF"} }, "product-promise": { "all": "all", "testedAndGuaranteed": "tested", "guaranteed": "expected", "predicted": "predicted", "notRecommended": "not-recommended" } }, "values": { "Human": { "IHCP-species-checked": "testedAndGuaranteed", "IHCP-species-dilution-info": "5 µg/mL", "IHCP-species-notes": "<p></p>", "WB-species-checked": "guaranteed", "WB-species-dilution-info": "", "WB-species-notes": "", "ICCIF-species-checked": "testedAndGuaranteed", "ICCIF-species-dilution-info": "20 µg/mL", "ICCIF-species-notes": "<p></p>" }, "Mouse": { "IHCP-species-checked": "guaranteed", "IHCP-species-dilution-info": "", "IHCP-species-notes": "", "WB-species-checked": "testedAndGuaranteed", "WB-species-dilution-info": "1-2 µg/mL", "WB-species-notes": "<p></p>", "ICCIF-species-checked": "guaranteed", "ICCIF-species-dilution-info": "", "ICCIF-species-notes": "" }, "Rat": { "IHCP-species-checked": "predicted", "IHCP-species-dilution-info": "", "IHCP-species-notes": "", "WB-species-checked": "predicted", "WB-species-dilution-info": "", "WB-species-notes": "", "ICCIF-species-checked": "predicted", "ICCIF-species-dilution-info": "", "ICCIF-species-notes": "" } } }

Product details

Product Specifications

Anti-CDKN2A/p16INK4a antibody - N-terminal (ab189034) is a rabbit polyclonal antibody and is validated for use in ICC/IF, IHC-P, WB in human, mouse samples.
Anti-CDKN2A/p16INK4a antibody - N-terminal (ab189034) specifically detects CDKN2A/p16INK4a (UniProt ID: P42771; Molecular weight: 17kDa) and is sold in 50 µL selling sizes.

Quality and Validation

Abcam's high quality validation processes ensure Anti-CDKN2A/p16INK4a antibody - N-terminal (ab189034) has high sensitivity and specificity.
Anti-CDKN2A/p16INK4a antibody - N-terminal (ab189034) has been cited over 72 times in peer reviewed journals and is trusted by the scientific community.
Anti-CDKN2A/p16INK4a antibody - N-terminal (ab189034) has 4 independent reviews from customers.

Target Information
CDKN2A, also known as cyclin-dependent kinase inhibitor 2A, is a crucial tumor suppressor gene located on chromosome 9p211. It encodes two proteins, p16INK4a and p14ARF, both of which play significant roles in regulating the cell cycle. p16INK4a inhibits cyclin-dependent kinases 4 and 6 (CDK4 and CDK6), preventing the progression from the G1 to S phase of the cell cycle. This inhibition is vital for controlling cell proliferation and preventing tumor growth. Mutations or deletions in CDKN2A are frequently associated with various cancers, including melanoma, pancreatic cancer, and head and neck squamous cell carcinoma.

Properties and storage information

Form
Liquid
Purification technique
Affinity purification Immunogen
Storage buffer
pH: 7.4 Preservative: 0.02% Sodium azide Constituents: PBS
Shipped at conditions
Blue Ice
Appropriate short-term storage duration
1-2 weeks
Appropriate short-term storage conditions
+4°C
Appropriate long-term storage conditions
-20°C
Aliquoting information
Upon delivery aliquot
Storage information
Avoid freeze / thaw cycle

Product protocols

For this product, it's our understanding that no specific protocols are required. You can visit:

Target data

The protein expressed by the gene CDKN2A acts as a negative regulator of normal cell proliferation by strongly interacting with CDK4 and CDK6. This interaction inhibits the ability of CDK4 and CDK6 to interact with cyclins D and to phosphorylate the retinoblastoma protein. This supplementary information is collated from multiple sources and compiled automatically.
See full target information CDKN2A

Publications (107)

Recent publications for all applications. Explore the full list and refine your search

Journal of cellular and molecular medicine 29:e70800 PubMed40845179

2025

Decoy Receptor 2 as a Cell Cycle Arrest Biomarker for Predicting Renal Recovery Following Acute Kidney Injury.

Applications

Unspecified application

Species

Unspecified reactive species

Xiangling Yi,Liming Wang,Xiao-Yue Wang,Yu Fang,Jiarui Liu,Kehong Chen,Ya-Ni He,Jia Chen

Science advances 11:eadv4238 PubMed40712009

2025

Genetically engineered chondrocyte-mimetic nanoplatform attenuates osteoarthritis by blocking IL-1β and restoring sirtuin-3.

Applications

Unspecified application

Species

Unspecified reactive species

Caifeng Deng,Liukang Yu,Xuan Zhao,Yuxiao Chen,Jiabin Mei,Jie Wei,Xiaoyuan Chen,Guanghua Lei,Chao Zeng

Investigative ophthalmology & visual science 66:28 PubMed40643341

2025

Transcriptomic Analysis of Human Lens Epithelium Tissue With and Without Cataract Surgery: Uncovering Novel Pathways of Post-Surgical Lens Epithelium Remodeling.

Applications

Unspecified application

Species

Unspecified reactive species

Caili Hao,Kailin Li,Zongbo Wei,Kazi Rafsan Radeen,Xiang Zhang,Sharad Purohit,Xingjun Fan

International journal of molecular sciences 26: PubMed40332382

2025

The Protective Role of DUSP4 in Retinal Pigment Epithelium Senescence and Degeneration.

Applications

Unspecified application

Species

Unspecified reactive species

Xiyuan Liu,Zhaoze Ni,Jing Zhang,Xiaoyan Lin,Chenxin Wu,Yuyang Wu,Lingqin Dong,Zongduan Zhang,Zai-Long Chi

eLife 13: PubMed40266679

2025

Simply crushed zizyphi spinosi semen prevents neurodegenerative diseases and reverses age-related cognitive decline in mice.

Applications

Unspecified application

Species

Unspecified reactive species

Tomohiro Umeda,Ayumi Sakai,Rumi Uekado,Keiko Shigemori,Ryota Nakajima,Kei Yamana,Takami Tomiyama

Cell death & disease 16:185 PubMed40108127

2025

NAT10 mediates TLR2 to promote podocyte senescence in adriamycin-induced nephropathy.

Applications

Unspecified application

Species

Unspecified reactive species

Mingyang Hu,Linxiao Lv,Yuqi Lei,Min Chen,Sijie Zhou,Zhangsuo Liu

JOR spine 8:e70044 PubMed40046265

2025

Ruxolitinib Delays Nucleus Pulposus Cell Senescence in Rat Intervertebral Discs.

Applications

Unspecified application

Species

Unspecified reactive species

Honggang Hao,Weidong Liang,Shuwen Zhang,Xiaoyu Cai,Abulizi Yakefu,Shutao Gao,Chuanhui Xun,Tao Xu,Rui Cao,Weibin Sheng

Frontiers in immunology 15:1470907 PubMed39877352

2025

Terminal complement complex deposition on chondrocytes promotes premature senescence in age- and trauma-related osteoarthritis.

Applications

Unspecified application

Species

Unspecified reactive species

Leonie Ruths,Jana Hengge,Graciosa Q Teixeira,Melanie Haffner-Luntzer,Anita Ignatius,Jana Riegger

International journal of molecular sciences 26: PubMed39795874

2025

Loss of CHOP Prevents Joint Degeneration and Pain in a Mouse Model of Pseudoachondroplasia.

Applications

Unspecified application

Species

Unspecified reactive species

Jacqueline T Hecht,Alka C Veerisetty,Mohammad G Hossain,Debabrata Patra,Michele Carrer,Frankie Chiu,Dorde Relic,Paymaan Jafar-Nejad,Karen L Posey

Nature communications 15:10547 PubMed39627248

2024

Coxsackievirus and adenovirus receptor expression facilitates enteroviral infections to drive the development of pancreatic cancer.

Applications

Unspecified application

Species

Unspecified reactive species

Ligia I Bastea,Xiang Liu,Alicia K Fleming,Veethika Pandey,Heike Döppler,Brandy H Edenfield,Murli Krishna,Lizhi Zhang,E Aubrey Thompson,Paul M Grandgenett,Michael A Hollingsworth,DeLisa Fairweather,Dahn Clemens,Peter Storz
View all publications

Product promise

We are committed to supporting your work with high-quality reagents, and we're here for you every step of the way. In the unlikely event that one of our products does not perform as expected, you're protected by our Product Promise.
For full details, please see our Terms & Conditions

Please note: All products are 'FOR RESEARCH USE ONLY. NOT FOR USE IN DIAGNOSTIC OR THERAPEUTIC PROCEDURES'.

For licensing inquiries, please contact partnerships@abcam.com