JavaScript is disabled in your browser. Please enable JavaScript to view this website.
AB122715

Anti-CDKN2AIP antibody

Be the first to review this product! Submit a review

|

(1 Publication)

Rabbit Polyclonal CDKN2AIP antibody. Suitable for IHC-P, WB, ICC/IF and reacts with Human samples. Cited in 1 publication. Immunogen corresponding to Recombinant Fragment Protein within Human CDKN2AIP.

View Alternative Names

CARF, CDKN2AIP, CDKN2A-interacting protein, Collaborator of ARF

3 Images
Immunocytochemistry/ Immunofluorescence - Anti-CDKN2AIP antibody (AB122715)
  • ICC/IF

Unknown

Immunocytochemistry/ Immunofluorescence - Anti-CDKN2AIP antibody (AB122715)

Immunofluorescent staining of Human cell line U-2 OS shows positivity in nucleus and cytoplasm. Recommended concentration of ab122715 1-4 µg/ml. Cells treated with PFA/Triton X-100.

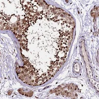
Immunohistochemistry (Formalin/PFA-fixed paraffin-embedded sections) - Anti-CDKN2AIP antibody (AB122715)
  • IHC-P

Unknown

Immunohistochemistry (Formalin/PFA-fixed paraffin-embedded sections) - Anti-CDKN2AIP antibody (AB122715)

ab122715, at 1/50 dilution, staining CDKN2AIP in paraffin-embedded Human testis tissue by Immunohistochemistry.

Western blot - Anti-CDKN2AIP antibody (AB122715)
  • WB

Unknown

Western blot - Anti-CDKN2AIP antibody (AB122715)

All lanes:

Western blot - Anti-CDKN2AIP antibody (ab122715) at 1/250 dilution

Lane 1:

RT 4 lysate

Lane 2:

U 251 MG lysate

Lane 3:

Human plasma lysate

Lane 4:

Human liver lysate

Lane 5:

Human tonsil lysate

Predicted band size: 61 kDa

true

Key facts

Host species

Rabbit

Clonality

Polyclonal

Isotype

IgG

Carrier free

No

Reacts with

Human

Applications

IHC-P, WB, ICC/IF

applications

Immunogen

Recombinant Fragment Protein within Human CDKN2AIP. The exact immunogen used to generate this antibody is proprietary information.

Q9NXV6

Reactivity data

{ "title": "Reactivity Data", "filters": { "stats": ["", "Species", "Dilution Info", "Notes"], "tabs": { "all-applications": {"fullname" : "All Applications", "shortname": "All Applications"}, "IHCP" : {"fullname" : "Immunohistochemistry (Formalin/PFA-fixed paraffin-embedded sections)", "shortname":"IHC-P"}, "WB" : {"fullname" : "Western blot", "shortname":"WB"}, "ICCIF" : {"fullname" : "Immunocytochemistry/ Immunofluorescence", "shortname":"ICC/IF"} }, "product-promise": { "all": "all", "testedAndGuaranteed": "tested", "guaranteed": "expected", "predicted": "predicted", "notRecommended": "not-recommended" } }, "values": { "Human": { "IHCP-species-checked": "testedAndGuaranteed", "IHCP-species-dilution-info": "1/50 - 1/200", "IHCP-species-notes": "<p></p> Perform heat-mediated antigen retrieval with citrate buffer pH 6 before commencing with IHC staining protocol.", "WB-species-checked": "testedAndGuaranteed", "WB-species-dilution-info": "0.04-0.4 µg/mL", "WB-species-notes": "<p></p>", "ICCIF-species-checked": "testedAndGuaranteed", "ICCIF-species-dilution-info": "1-4 µg/mL", "ICCIF-species-notes": "<p>Recommend PFA Fixation and Triton X-100 treatment</p>" } } }

Properties and storage information

Form
Liquid
Purification technique
Affinity purification Immunogen
Storage buffer
pH: 7.2 Preservative: 0.02% Sodium azide Constituents: PBS, 40% Glycerol (glycerin, glycerine)
Shipped at conditions
Blue Ice
Appropriate short-term storage conditions
+4°C
Appropriate long-term storage conditions
-20°C
Aliquoting information
Upon delivery aliquot
Storage information
Avoid freeze / thaw cycle

Supplementary information

This supplementary information is collated from multiple sources and compiled automatically.

CDKN2AIP also known as CARF (CDKN2A interacting protein) is a protein involved in cell cycle regulation. It plays a mechanical role by stabilizing the tumor suppressor protein p53 influencing cell proliferation and senescence. CARF is a 12 kDa protein expressed in various tissues with notable levels in the brain and certain tumor tissues. The protein interacts with the CDKN2A locus which encodes the similar tumor suppressor proteins p16 and p14ARF leading to its alternate name association.
Biological function summary

The protein CDKN2AIP/CARF participates in modulating cellular response to DNA damage. It forms complexes with p53 and other regulators like HDM2 to control cell cycle checkpoints and apoptosis. This regulatory mechanism ensures cells with damaged DNA do not progress through the cell cycle reducing the risk of malignant transformations. Additionally CDKN2AIP/CARF influences the expression of genes associated with cellular aging and stress response impacting how a cell responds to various biological signals.

Pathways

CDKN2AIP/CARF influences the p53 signaling pathway a critical axis in maintaining genomic integrity. It partners with p53 essentially regulating cell cycle arrest senescence and apoptosis which is a protective measure against cancer development. CARF interacts closely with CDKN2A and other elements in the retinoblastoma protein (pRb) pathway highlighting its role in regulating cell division and ensuring proper cell cycle progression.

CDKN2AIP/CARF links to cancers such as glioblastoma and melanoma due to its influence on the p53 pathway. Its interaction with p53 and p14ARF suggests a role in tumor suppression mechanisms that when disrupted could lead to uncontrolled cell proliferation. Additionally dysregulation of CDKN2AIP/CARF expression may also relate to age-related disorders as its influence on cellular senescence impacts processes like aging and neurodegeneration. Because of its associations with p53 in these pathways it poses as a potential therapeutic target in cases where these mechanisms fail highlighting its relevance in disease intervention strategies.

Product protocols

For this product, it's our understanding that no specific protocols are required. You can visit:

Target data

Regulates DNA damage response in a dose-dependent manner through a number of signaling pathways involved in cell proliferation, apoptosis and senescence.
See full target information CDKN2AIP

Publications (1)

Recent publications for all applications. Explore the full list and refine your search

Nature cell biology 26:1261-1273 PubMed38969763

2024

Functional multi-organelle units control inflammatory lipid metabolism of macrophages.

Applications

Unspecified application

Species

Unspecified reactive species

Julia A Zimmermann,Kerstin Lucht,Manuel Stecher,Chahat Badhan,Katharina M Glaser,Maximilian W Epple,Lena R Koch,Ward Deboutte,Thomas Manke,Klaus Ebnet,Frauke Brinkmann,Olesja Fehler,Thomas Vogl,Ev-Marie Schuster,Anna Bremser,Joerg M Buescher,Angelika S Rambold
View all publications

Product promise

We are committed to supporting your work with high-quality reagents, and we're here for you every step of the way. In the unlikely event that one of our products does not perform as expected, you're protected by our Product Promise.
For full details, please see our Terms & Conditions

Please note: All products are 'FOR RESEARCH USE ONLY. NOT FOR USE IN DIAGNOSTIC OR THERAPEUTIC PROCEDURES'.

For licensing inquiries, please contact partnerships@abcam.com