JavaScript is disabled in your browser. Please enable JavaScript to view this website.
AB202067

Anti-CDT1/DUP antibody [EPR17891]

5

(3 Reviews)

|

(25 Publications)

Rabbit Recombinant Monoclonal CDT1/DUP antibody. Suitable for IP, WB, ICC/IF, IHC-P and reacts with Human samples. Cited in 25 publications.

View Alternative Names

DNA replication factor Cdt1, Double parked homolog, DUP, CDT1

8 Images
Immunocytochemistry/ Immunofluorescence - Anti-CDT1/DUP antibody [EPR17891] (AB202067)
  • ICC/IF

Supplier Data

Immunocytochemistry/ Immunofluorescence - Anti-CDT1/DUP antibody [EPR17891] (AB202067)

Immunofluorescent analysis of 4% paraformaldehyde-fixed, 0.1% Triton X-100 permeabilized HT-29 (Human colorectal adenocarcinoma cells) cells labeling CDT1/DUP with ab202067 at 1/100 dilution, followed by Goat anti-rabbit IgG (Alexa Fluor® 488) (ab150077) secondary antibody at 1/500 dilution (green).

Confocal image showing nuclear staining on T-29 cell line.

The nuclear counter stain is DAPI (blue).

Tubulin is detected with ab7291 (anti-Tubulin mouse mAb) at 1/1000 dilution and ab150120 (AlexaFluor®594 Goat anti-Mouse secondary) at 1/500 dilution (red).

The negative controls are as follows :
-ve control 1 : ab202067 at 1/100 dilution followed by ab150120 (AlexaFluor®594 Goat anti-Mouse secondary) at 1/500 dilution.
-ve control 2 : ab7291 (anti-Tubulin mouse mAb) at 1/1000 dilution followed by ab150077 (Alexa Fluor®488 Goat Anti-Rabbit IgG H&L) at 1/500 dilution.

Immunocytochemistry/ Immunofluorescence - Anti-CDT1/DUP antibody [EPR17891] (AB202067)
  • ICC/IF

Supplier Data

Immunocytochemistry/ Immunofluorescence - Anti-CDT1/DUP antibody [EPR17891] (AB202067)

Immunofluorescent analysis of 4% paraformaldehyde-fixed, 0.1% Triton X-100 permeabilized HeLa (Human epithelial cells from cervix adenocarcinoma) cells labeling CDT1/DUP with ab202067 at 1/100 dilution, followed by Goat anti-rabbit IgG (Alexa Fluor® 488) (ab150077) secondary antibody at 1/500 dilution (green).

Confocal image showing nuclear staining on HeLa cell line.

The nuclear counter stain is DAPI (blue).

Tubulin is detected with ab7291 (anti-Tubulin mouse mAb) at 1/1000 dilution and ab150120 (AlexaFluor®594 Goat anti-Mouse secondary) at 1/500 dilution (red).

The negative controls are as follows :
-ve control 1 : ab202067 at 1/100 dilution followed by ab150120 (AlexaFluor®594 Goat anti-Mouse secondary) at 1/500 dilution.
-ve control 2 : ab7291 (anti-Tubulin mouse mAb) at 1/1000 dilution followed by ab150077 (Alexa Fluor®488 Goat Anti-Rabbit IgG H&L) at 1/500 dilution.

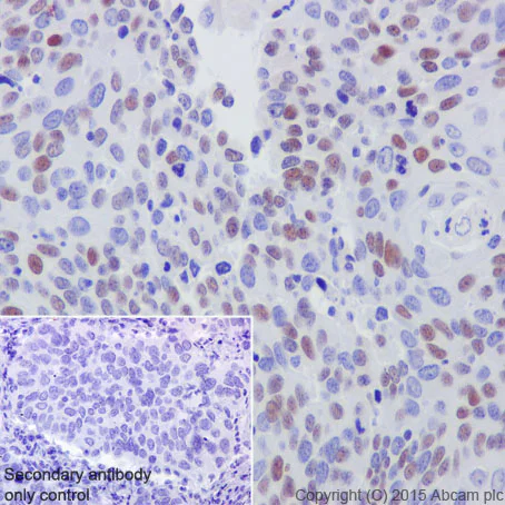
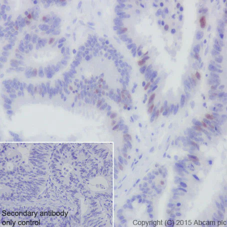
Immunohistochemistry (Formalin/PFA-fixed paraffin-embedded sections) - Anti-CDT1/DUP antibody [EPR17891] (AB202067)
  • IHC-P

Supplier Data

Immunohistochemistry (Formalin/PFA-fixed paraffin-embedded sections) - Anti-CDT1/DUP antibody [EPR17891] (AB202067)

Immunohistochemical analysis of paraffin-embedded human cervix carcinoma tissue labeling CDT1/DUP with ab202067 at 1/100 dilution, followed by Goat Anti-Rabbit IgG H&L (HRP) (ab97051) secondary antibody at 1/500 dilution.

Nuclear staining on human cervix carcinoma tissue is observed.

Counter stained with Hematoxylin.

Secondary antibody only control : Used PBS instead of primary antibody, secondary antibody is Goat Anti-Rabbit IgG H&L (HRP) (ab97051) at 1/500 dilution.

Perform heat mediated antigen retrieval with Tris/EDTA buffer pH 9.0 before commencing with IHC staining protocol.

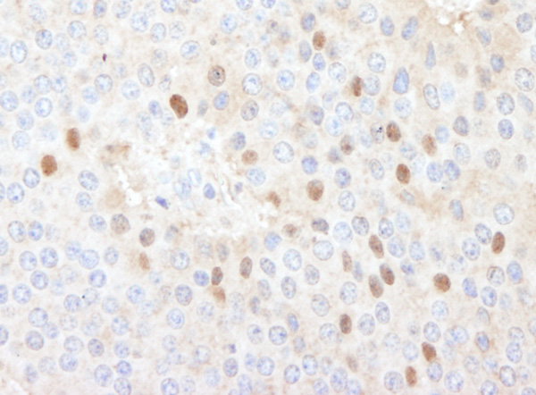
Immunohistochemistry (Formalin/PFA-fixed paraffin-embedded sections) - Anti-CDT1/DUP antibody [EPR17891] (AB202067)
  • IHC-P

Supplier Data

Immunohistochemistry (Formalin/PFA-fixed paraffin-embedded sections) - Anti-CDT1/DUP antibody [EPR17891] (AB202067)

Immunohistochemical analysis of paraffin-embedded Human colonic carcinoma tissue labeling CDT1/DUP with ab202067 at 1/100 dilution, followed by Goat Anti-Rabbit IgG H&L (HRP) (ab97051) secondary antibody at 1/500 dilution.

Nuclear staining on Human colonic carcinoma tissue is observed.

Counter stained with Hematoxylin.

Secondary antibody only control : Used PBS instead of primary antibody, secondary antibody is Goat Anti-Rabbit IgG H&L (HRP) (ab97051) at 1/500 dilution.

Perform heat mediated antigen retrieval with Tris/EDTA buffer pH 9.0 before commencing with IHC staining protocol.

Immunoprecipitation - Anti-CDT1/DUP antibody [EPR17891] (AB202067)
  • IP

Supplier Data

Immunoprecipitation - Anti-CDT1/DUP antibody [EPR17891] (AB202067)

CDT1/DUP was immunoprecipitated from 1mg of HEK-293 (Human epithelial cells from embryonic kidney) whole cell lysate with ab202067 at 1/30 dilution.

Western blot was performed from the immunoprecipitate using ab202067 at 1/1000 dilution.

Anti-Rabbit IgG (HRP), specific to the non-reduced form of IgG was used as secondary antibody at 1/1500 dilution.

Lane 1 : HEK-293 whole cell lysate 10 μg (Input).

Lane 2 : ab202067 IP in HEK-293 whole cell lysate.

Lane 3 : Rabbit monoclonal IgG (ab172730) instead of ab202067 in HEK-293 whole cell lysate.
Blocking and dilution buffer and concentration : 5% NFDM/TBST.

Exposure time : 5 seconds.

All lanes:

Immunoprecipitation - Anti-CDT1/DUP antibody [EPR17891] (ab202067)

Predicted band size: 60 kDa

false

Western blot - Anti-CDT1/DUP antibody [EPR17891] (AB202067)
  • WB

Supplier Data

Western blot - Anti-CDT1/DUP antibody [EPR17891] (AB202067)

Blocking/Dilution buffer : 5% NFDM/TBST.

All lanes:

Western blot - Anti-CDT1/DUP antibody [EPR17891] (ab202067) at 1/1000 dilution

All lanes:

Human fetal lung lysate at 10 µg

Secondary

All lanes:

Anti-Rabbit IgG (HRP), specific to the non-reduced form of IgG at 1/1000 dilution

Predicted band size: 60 kDa

Observed band size: 60 kDa

false

Exposure time: 1min

Western blot - Anti-CDT1/DUP antibody [EPR17891] (AB202067)
  • WB

Supplier Data

Western blot - Anti-CDT1/DUP antibody [EPR17891] (AB202067)

Blocking/Dilution buffer : 5% NFDM/TBST.

All lanes:

Western blot - Anti-CDT1/DUP antibody [EPR17891] (ab202067) at 1/10000 dilution

All lanes:

HeLa (Human epithelial cells from cervix adenocarcinoma) cell lysate at 20 µg

Secondary

All lanes:

Goat Anti-Rabbit IgG, (H+L), Peroxidase conjugated at 1/1000 dilution

Predicted band size: 47 kDa,60 kDa

Observed band size: 50-70 kDa,60 kDa

false

Exposure time: 1min

Western blot - Anti-CDT1/DUP antibody [EPR17891] (AB202067)
  • WB

Unknown

Western blot - Anti-CDT1/DUP antibody [EPR17891] (AB202067)

Blocking/Dilution buffer : 5% NFDM/TBST.

All lanes:

Western blot - Anti-CDT1/DUP antibody [EPR17891] (ab202067) at 1/2000 dilution

All lanes:

HEK-293 (Human epithelial cells from embryonic kidney) cell lysate at 20 µg

Secondary

All lanes:

Goat Anti-Rabbit IgG, (H+L), Peroxidase conjugated at 1/1000 dilution

Predicted band size: 60 kDa

Observed band size: 60 kDa

false

Exposure time: 1min

Key facts

Host species

Rabbit

Clonality

Monoclonal

Clone number

EPR17891

Isotype

IgG

Carrier free

No

Reacts with

Human

Applications

WB, IHC-P, ICC/IF, IP

applications

Immunogen

The exact immunogen used to generate this antibody is proprietary information.

Reactivity data

{ "title": "Reactivity Data", "filters": { "stats": ["", "Species", "Dilution Info", "Notes"], "tabs": { "all-applications": {"fullname" : "All Applications", "shortname": "All Applications"}, "IP" : {"fullname" : "Immunoprecipitation", "shortname":"IP"}, "WB" : {"fullname" : "Western blot", "shortname":"WB"}, "ICCIF" : {"fullname" : "Immunocytochemistry/ Immunofluorescence", "shortname":"ICC/IF"}, "IHCP" : {"fullname" : "Immunohistochemistry (Formalin/PFA-fixed paraffin-embedded sections)", "shortname":"IHC-P"} }, "product-promise": { "all": "all", "testedAndGuaranteed": "tested", "guaranteed": "expected", "predicted": "predicted", "notRecommended": "not-recommended" } }, "values": { "Human": { "IP-species-checked": "testedAndGuaranteed", "IP-species-dilution-info": "1/30", "IP-species-notes": "<p></p>", "WB-species-checked": "testedAndGuaranteed", "WB-species-dilution-info": "1/1000", "WB-species-notes": "<p></p>", "ICCIF-species-checked": "testedAndGuaranteed", "ICCIF-species-dilution-info": "1/100", "ICCIF-species-notes": "<p></p>", "IHCP-species-checked": "testedAndGuaranteed", "IHCP-species-dilution-info": "1/100", "IHCP-species-notes": "<p></p>" } } }

Product details

What are the advantages of a recombinant monoclonal antibody?
This product is a recombinant monoclonal antibody, which offers several advantages including:

  • - High batch-to-batch consistency and reproducibility
  • - Improved sensitivity and specificity
  • - Long-term security of supply
  • - Animal-free batch production

For more information, read more on recombinant antibodies.

Properties and storage information

Form
Liquid
Purification technique
Affinity purification Protein A
Storage buffer
pH: 7.2 - 7.4 Preservative: 0.01% Sodium azide Constituents: PBS, 40% Glycerol (glycerin, glycerine), 0.05% BSA
Shipped at conditions
Blue Ice
Appropriate short-term storage duration
1-2 weeks
Appropriate short-term storage conditions
+4°C
Appropriate long-term storage conditions
-20°C
Aliquoting information
Upon delivery aliquot
Storage information
Avoid freeze / thaw cycle

Supplementary information

This supplementary information is collated from multiple sources and compiled automatically.

CDT1 also known as DUP or CDT-1 is an important regulator in cell cycle control. CDT1 has a molecular weight of approximately 68 kDa and is expressed predominantly in the nucleus during the late M and early G1 phases of the cell cycle. This protein plays an essential role in the licensing of DNA replication origins ensuring that DNA replication occurs precisely once per cell cycle. The careful regulation of CDT1 activity is necessary to prevent re-replication which can lead to genomic instability.
Biological function summary

This protein is necessary for the correct assembly of the pre-replicative complex (pre-RC) on replication origins. CDT1 works closely with CDC6 and the minichromosome maintenance (MCM) complex to form the pre-RC facilitating the loading of MCM helicase onto the DNA. This process tightly regulates replication origin licensing and ensures DNA replication fidelity. Misregulation of CDT1 can disrupt cell cycle progression and compromise genomic integrity.

Pathways

CDT1 functions primarily in cell cycle regulation and DNA replication. It participates in the origin recognition complex (ORC) pathway that initiates DNA replication. The proper function of CDT1 is critical to these pathways working alongside other proteins such as ORC1 and MCM complex members. Together they contribute to the accurate duplication of the genome which is pivotal for cell proliferation and maintenance of chromosomal stability.

CDT1 dysregulation associates with cancer and genomic instability. Overexpression or uncontrolled activity of CDT1 can lead to re-replication increasing the risk of mutations and chromosomal aberrations characteristic of neoplastic transformations. The protein's relationship with MCM components particularly those involved in cancer-related pathways highlights its relevance in tumorigenesis. Understanding CDT1's role in these diseases guides the development of targeted therapies and diagnostic strategies.

Product protocols

For this product, it's our understanding that no specific protocols are required. You can visit:

Target data

Required for both DNA replication and mitosis (PubMed : 11125146, PubMed : 14993212, PubMed : 21856198, PubMed : 22581055, PubMed : 26842564). DNA replication licensing factor, required for pre-replication complex assembly. Cooperates with CDC6 and the origin recognition complex (ORC) during G1 phase of the cell cycle to promote the loading of the mini-chromosome maintenance (MCM) complex onto DNA to generate pre-replication complexes (pre-RC) (PubMed : 14672932). Required also for mitosis by promoting stable kinetochore-microtubule attachments (PubMed : 22581055). Potential oncogene (By similarity).
See full target information CDT1

Publications (25)

Recent publications for all applications. Explore the full list and refine your search

Nature communications 16:8836 PubMed41044090

2025

Mitotic DNA repair by TMEJ suppresses replication stress-induced nuclear envelope reassembly defect.

Applications

Unspecified application

Species

Unspecified reactive species

Guojun Ye,Yide He,Yihui Zhang,Dongchen Li,Fuhai Liu,Yi Li,Qinglian Ge,Qiong Guo,Shuya Han,Chunyu Song,Weiping Chang,Haoyue Zhang,Qin Peng,Kun Sun,Weike Ji,Lin Deng

Nature communications 16:7799 PubMed40921755

2025

The DNA replication machinery transmits dual signals to prevent unscheduled licensing and execution of centrosome duplication.

Applications

Unspecified application

Species

Unspecified reactive species

Kyohei Matsuhashi,Kei K Ito,Kaho Nagai,Akira Sanada,Koki Watanabe,Kasuga Takumi,Atsushi Toyoda,Masamitsu Fukuyama,Shohei Yamamoto,Takumi Chinen,Grant S Stewart,Shoji Hata,Daiju Kitagawa

Nature genetics 57:2509-2521 PubMed40908343

2025

DNA methylation influences human centromere positioning and function.

Applications

Unspecified application

Species

Unspecified reactive species

Catalina Salinas-Luypaert,Danilo Dubocanin,Rosa Jooyoung Lee,Lorena Andrade Ruiz,Riccardo Gamba,Marine Grison,Leonid Velikovsky,Annapaola Angrisani,Andrea Scelfo,Yuan Xu,Marie Dumont,Viviana Barra,Therese Wilhelm,Guillaume Velasco,Marialucrezia Losito,René Wardenaar,Claire Francastel,Floris Foijer,Geert J P L Kops,Karen H Miga,Nicolas Altemose,Daniele Fachinetti

Scientific reports 14:31000 PubMed39730687

2024

Chromatin licensing and DNA replication factor 1 as a potential prognostic and diagnostic biomarker for gastric cancer.

Applications

Unspecified application

Species

Unspecified reactive species

Sijia Wang,Min Cui,Na Zhou,Meichen Tong,Shuhua Wu,Hong Li,Zhang Cao

Journal of cancer research and clinical oncology 150:30 PubMed38270643

2024

The mA demethylase FTO targets POLQ to promote ccRCC cell proliferation and genome stability maintenance.

Applications

Unspecified application

Species

Unspecified reactive species

Yichen He,Yimeng Chen,Zhengsheng Li,Changping Wu

eLife 12: PubMed37461317

2023

Metabolic clogging of mannose triggers dNTP loss and genomic instability in human cancer cells.

Applications

Unspecified application

Species

Unspecified reactive species

Yoichiro Harada,Yu Mizote,Takehiro Suzuki,Akiyoshi Hirayama,Satsuki Ikeda,Mikako Nishida,Toru Hiratsuka,Ayaka Ueda,Yusuke Imagawa,Kento Maeda,Yuki Ohkawa,Junko Murai,Hudson H Freeze,Eiji Miyoshi,Shigeki Higashiyama,Heiichiro Udono,Naoshi Dohmae,Hideaki Tahara,Naoyuki Taniguchi

Cell proliferation 56:e13377 PubMed36479743

2022

CDT1 is the major functional regulatory subunit of the pre-replication complex in zygotes.

Applications

Unspecified application

Species

Unspecified reactive species

Chao Li,Yong-Peng Tan,Xue-Shan Ma,Zhen-Bo Wang,Tie-Gang Meng,Qing-Yuan Sun

Developmental dynamics : an official publication of the American Association of Anatomists 252:276-293 PubMed36058892

2022

Non-ubiquitous expression of core spliceosomal protein SmB/B' in chick and mouse embryos.

Applications

Unspecified application

Species

Unspecified reactive species

Benedict R H Turner,Charlotte Mellor,Clara McElroy,Natalie Bowen,Wenjia Gu,Chris Knill,Nobue Itasaki

Bioengineered 13:9411-9424 PubMed35412947

2022

Long non-coding RNA-PCGEM1 contributes to prostate cancer progression by sponging microRNA miR-129-5p to enhance chromatin licensing and DNA replication factor 1 expression.

Applications

Unspecified application

Species

Unspecified reactive species

Qiao Fu,Fangfang Wang,Jun Yang,Wei Sun,Zhi Hu,Lv Xu,Hao Chu,Xiao Wang,Wei Zhang

Cells 11: PubMed35326512

2022

A Temporary Pause in the Replication Licensing Restriction Leads to Rereplication during Early Human Cell Differentiation.

Applications

Unspecified application

Species

Unspecified reactive species

Marie Minet,Masood Abu-Halima,Yiqing Du,Julia Doerr,Christina Isted,Nicole Ludwig,Andreas Keller,Eckart Meese,Ulrike Fischer
View all publications

Product promise

We are committed to supporting your work with high-quality reagents, and we're here for you every step of the way. In the unlikely event that one of our products does not perform as expected, you're protected by our Product Promise.
For full details, please see our Terms & Conditions

Please note: All products are 'FOR RESEARCH USE ONLY. NOT FOR USE IN DIAGNOSTIC OR THERAPEUTIC PROCEDURES'.

For licensing inquiries, please contact partnerships@abcam.com