JavaScript is disabled in your browser. Please enable JavaScript to view this website.
AB236152

Anti-CDT1/DUP antibody [EPR17891] - BSA and Azide free

1

(1 Review)

|

(1 Publication)

Rabbit Recombinant Monoclonal CDT1/DUP antibody. Carrier free. Suitable for IP, WB, ICC/IF, IHC-P and reacts with Human samples. Cited in 1 publication.

View Alternative Names

DNA replication factor Cdt1, Double parked homolog, DUP, CDT1

5 Images
Immunocytochemistry/ Immunofluorescence - Anti-CDT1/DUP antibody [EPR17891] - BSA and Azide free (AB236152)
  • ICC/IF

Supplier Data

Immunocytochemistry/ Immunofluorescence - Anti-CDT1/DUP antibody [EPR17891] - BSA and Azide free (AB236152)

Immunofluorescent analysis of 4% paraformaldehyde-fixed, 0.1% Triton X-100 permeabilized HeLa (Human epithelial cells from cervix adenocarcinoma) cells labeling CDT1/DUP with ab202067 at 1/100 dilution, followed by Goat anti-rabbit IgG (Alexa Fluor® 488) (ab150077) secondary antibody at 1/500 dilution (green).

Confocal image showing nuclear staining on HeLa cell line.

The nuclear counter stain is DAPI (blue).

Tubulin is detected with ab7291 (anti-Tubulin mouse mAb) at 1/1000 dilution and ab150120 (AlexaFluor®594 Goat anti-Mouse secondary) at 1/500 dilution (red).

The negative controls are as follows :
-ve control 1 : ab202067 at 1/100 dilution followed by ab150120 (AlexaFluor®594 Goat anti-Mouse secondary) at 1/500 dilution.
-ve control 2 : ab7291 (anti-Tubulin mouse mAb) at 1/1000 dilution followed by ab150077 (Alexa Fluor®488 Goat Anti-Rabbit IgG H&L) at 1/500 dilution.

This data was developed using the same antibody clone in a different buffer formulation containing PBS, BSA, glycerol, and sodium azide (ab202067).

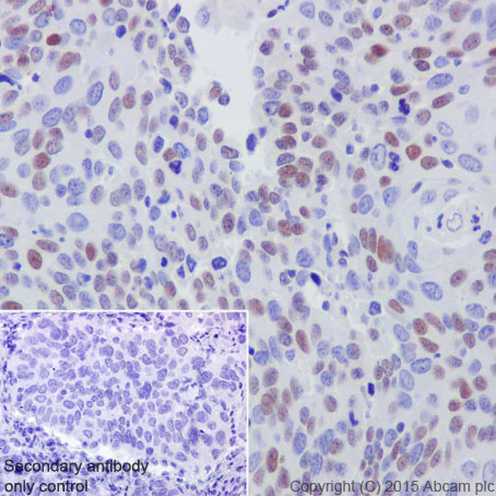
Immunohistochemistry (Formalin/PFA-fixed paraffin-embedded sections) - Anti-CDT1/DUP antibody [EPR17891] - BSA and Azide free (AB236152)
  • IHC-P

Supplier Data

Immunohistochemistry (Formalin/PFA-fixed paraffin-embedded sections) - Anti-CDT1/DUP antibody [EPR17891] - BSA and Azide free (AB236152)

Immunohistochemical analysis of paraffin-embedded human cervix carcinoma tissue labeling CDT1/DUP with ab202067 at 1/100 dilution, followed by Goat Anti-Rabbit IgG H&L (HRP) (ab97051) secondary antibody at 1/500 dilution.

Nuclear staining on human cervix carcinoma tissue is observed.

Counter stained with Hematoxylin.

Secondary antibody only control : Used PBS instead of primary antibody, secondary antibody is Goat Anti-Rabbit IgG H&L (HRP) (ab97051) at 1/500 dilution.

This data was developed using the same antibody clone in a different buffer formulation containing PBS, BSA, glycerol, and sodium azide (ab202067).

Heat mediated antigen retrieval was performed with Tris/EDTA buffer pH 9.0 before commencing with IHC staining protocol.

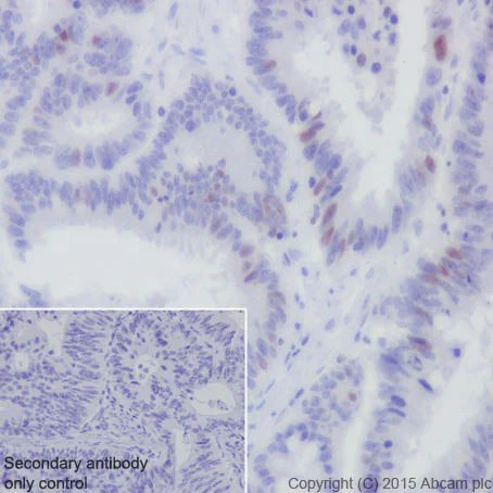
Immunohistochemistry (Formalin/PFA-fixed paraffin-embedded sections) - Anti-CDT1/DUP antibody [EPR17891] - BSA and Azide free (AB236152)
  • IHC-P

Supplier Data

Immunohistochemistry (Formalin/PFA-fixed paraffin-embedded sections) - Anti-CDT1/DUP antibody [EPR17891] - BSA and Azide free (AB236152)

Immunohistochemical analysis of paraffin-embedded Human colonic carcinoma tissue labeling CDT1/DUP with ab202067 at 1/100 dilution, followed by Goat Anti-Rabbit IgG H&L (HRP) (ab97051) secondary antibody at 1/500 dilution.

Nuclear staining on Human colonic carcinoma tissue is observed.

Counter stained with Hematoxylin.

Secondary antibody only control : Used PBS instead of primary antibody, secondary antibody is Goat Anti-Rabbit IgG H&L (HRP) (ab97051) at 1/500 dilution.

This data was developed using the same antibody clone in a different buffer formulation containing PBS, BSA, glycerol, and sodium azide (ab202067).

Heat mediated antigen retrieval was performed with Tris/EDTA buffer pH 9.0 before commencing with IHC staining protocol.

Immunocytochemistry/ Immunofluorescence - Anti-CDT1/DUP antibody [EPR17891] - BSA and Azide free (AB236152)
  • ICC/IF

Supplier Data

Immunocytochemistry/ Immunofluorescence - Anti-CDT1/DUP antibody [EPR17891] - BSA and Azide free (AB236152)

Immunofluorescent analysis of 4% paraformaldehyde-fixed, 0.1% Triton X-100 permeabilized HT-29 (Human colorectal adenocarcinoma cells) cells labeling CDT1/DUP with ab202067 at 1/100 dilution, followed by Goat anti-rabbit IgG (Alexa Fluor® 488) (ab150077) secondary antibody at 1/500 dilution (green).

Confocal image showing nuclear staining on T-29 cell line.

The nuclear counter stain is DAPI (blue).

Tubulin is detected with ab7291 (anti-Tubulin mouse mAb) at 1/1000 dilution and ab150120 (AlexaFluor®594 Goat anti-Mouse secondary) at 1/500 dilution (red).

The negative controls are as follows :
-ve control 1 : ab202067 at 1/100 dilution followed by ab150120 (AlexaFluor®594 Goat anti-Mouse secondary) at 1/500 dilution.
-ve control 2 : ab7291 (anti-Tubulin mouse mAb) at 1/1000 dilution followed by ab150077 (Alexa Fluor®488 Goat Anti-Rabbit IgG H&L) at 1/500 dilution.

This data was developed using the same antibody clone in a different buffer formulation containing PBS, BSA, glycerol, and sodium azide (ab202067).

Immunoprecipitation - Anti-CDT1/DUP antibody [EPR17891] - BSA and Azide free (AB236152)
  • IP

Supplier Data

Immunoprecipitation - Anti-CDT1/DUP antibody [EPR17891] - BSA and Azide free (AB236152)

CDT1/DUP was immunoprecipitated from 1mg of HEK-293 (Human epithelial cells from embryonic kidney) whole cell lysate with ab202067 at 1/30 dilution.

Western blot was performed from the immunoprecipitate using ab202067 at 1/1000 dilution.

Anti-Rabbit IgG (HRP), specific to the non-reduced form of IgG was used as secondary antibody at 1/1500 dilution.

Lane 1 : HEK-293 whole cell lysate 10 μg (Input).

Lane 2 : ab202067 IP in HEK-293 whole cell lysate.

Lane 3 : Rabbit monoclonal IgG (ab172730) instead of ab202067 in HEK-293 whole cell lysate.
Blocking and dilution buffer and concentration : 5% NFDM/TBST.

Exposure time : 5 seconds.

This data was developed using the same antibody clone in a different buffer formulation containing PBS, BSA, glycerol, and sodium azide (ab202067).

All lanes:

Immunoprecipitation - Anti-CDT1/DUP antibody [EPR17891] (<a href='/en-us/products/primary-antibodies/cdt1-dup-antibody-epr17891-ab202067'>ab202067</a>)

Predicted band size: 60 kDa

false

Key facts

Host species

Rabbit

Clonality

Monoclonal

Clone number

EPR17891

Isotype

IgG

Carrier free

Yes

Reacts with

Human

Applications

WB, IP, IHC-P, ICC/IF

applications

Immunogen

The exact immunogen used to generate this antibody is proprietary information.

Reactivity data

{ "title": "Reactivity Data", "filters": { "stats": ["", "Species", "Dilution Info", "Notes"], "tabs": { "all-applications": {"fullname" : "All Applications", "shortname": "All Applications"}, "IP" : {"fullname" : "Immunoprecipitation", "shortname":"IP"}, "WB" : {"fullname" : "Western blot", "shortname":"WB"}, "ICCIF" : {"fullname" : "Immunocytochemistry/ Immunofluorescence", "shortname":"ICC/IF"}, "IHCP" : {"fullname" : "Immunohistochemistry (Formalin/PFA-fixed paraffin-embedded sections)", "shortname":"IHC-P"} }, "product-promise": { "all": "all", "testedAndGuaranteed": "tested", "guaranteed": "expected", "predicted": "predicted", "notRecommended": "not-recommended" } }, "values": { "Human": { "IP-species-checked": "testedAndGuaranteed", "IP-species-dilution-info": "", "IP-species-notes": "<p></p>", "WB-species-checked": "guaranteed", "WB-species-dilution-info": "", "WB-species-notes": "<p></p>", "ICCIF-species-checked": "testedAndGuaranteed", "ICCIF-species-dilution-info": "", "ICCIF-species-notes": "<p></p>", "IHCP-species-checked": "testedAndGuaranteed", "IHCP-species-dilution-info": "", "IHCP-species-notes": "<p></p>" } } }

Product details

ab236152 is the carrier-free version of ab202067.

What are the advantages of a recombinant monoclonal antibody?
This product is a recombinant monoclonal antibody, which offers several advantages including:

  • - High batch-to-batch consistency and reproducibility
  • - Improved sensitivity and specificity
  • - Long-term security of supply
  • - Animal-free batch production

For more information, read more on recombinant antibodies.

Conjugation ready
Our carrier-free antibodies are typically supplied in a PBS-only formulation, purified and free of BSA, sodium azide and glycerol. This conjugation-ready format is designed for use with fluorochromes, metal isotopes, oligonucleotides, and enzymes, which makes them ideal for antibody labelling, functional and cell-based assays, flow-based assays (e.g. mass cytometry) and Multiplex Imaging applications.

Use our conjugation kits for antibody conjugates that are ready-to-use in as little as 20 minutes with 1 minute hands-on-time and 100% antibody recovery: available for fluorescent dyes, HRP, biotin and gold.

Compatibility
This product is compatible with the Maxpar® Antibody Labeling Kit from Fluidigm, without the need for antibody preparation. Maxpar® is a trademark of Fluidigm Canada Inc.

Properties and storage information

Form
Liquid
Purification technique
Affinity purification Protein A
Storage buffer
pH: 7.2 - 7.4 Constituents: PBS
Shipped at conditions
Blue Ice
Appropriate short-term storage conditions
+4°C
Appropriate long-term storage conditions
+4°C
Storage information
Do Not Freeze

Supplementary information

This supplementary information is collated from multiple sources and compiled automatically.

CDT1 also known as DUP or CDT-1 is an important regulator in cell cycle control. CDT1 has a molecular weight of approximately 68 kDa and is expressed predominantly in the nucleus during the late M and early G1 phases of the cell cycle. This protein plays an essential role in the licensing of DNA replication origins ensuring that DNA replication occurs precisely once per cell cycle. The careful regulation of CDT1 activity is necessary to prevent re-replication which can lead to genomic instability.
Biological function summary

This protein is necessary for the correct assembly of the pre-replicative complex (pre-RC) on replication origins. CDT1 works closely with CDC6 and the minichromosome maintenance (MCM) complex to form the pre-RC facilitating the loading of MCM helicase onto the DNA. This process tightly regulates replication origin licensing and ensures DNA replication fidelity. Misregulation of CDT1 can disrupt cell cycle progression and compromise genomic integrity.

Pathways

CDT1 functions primarily in cell cycle regulation and DNA replication. It participates in the origin recognition complex (ORC) pathway that initiates DNA replication. The proper function of CDT1 is critical to these pathways working alongside other proteins such as ORC1 and MCM complex members. Together they contribute to the accurate duplication of the genome which is pivotal for cell proliferation and maintenance of chromosomal stability.

CDT1 dysregulation associates with cancer and genomic instability. Overexpression or uncontrolled activity of CDT1 can lead to re-replication increasing the risk of mutations and chromosomal aberrations characteristic of neoplastic transformations. The protein's relationship with MCM components particularly those involved in cancer-related pathways highlights its relevance in tumorigenesis. Understanding CDT1's role in these diseases guides the development of targeted therapies and diagnostic strategies.

Product protocols

For this product, it's our understanding that no specific protocols are required. You can visit:

Target data

Required for both DNA replication and mitosis (PubMed : 11125146, PubMed : 14993212, PubMed : 21856198, PubMed : 22581055, PubMed : 26842564). DNA replication licensing factor, required for pre-replication complex assembly. Cooperates with CDC6 and the origin recognition complex (ORC) during G1 phase of the cell cycle to promote the loading of the mini-chromosome maintenance (MCM) complex onto DNA to generate pre-replication complexes (pre-RC) (PubMed : 14672932). Required also for mitosis by promoting stable kinetochore-microtubule attachments (PubMed : 22581055). Potential oncogene (By similarity).
See full target information CDT1

Publications (1)

Recent publications for all applications. Explore the full list and refine your search

Nature communications 13:7099 PubMed36402816

2022

The non-catalytic role of DNA polymerase epsilon in replication initiation in human cells.

Applications

Unspecified application

Species

Unspecified reactive species

Sameera Vipat,Dipika Gupta,Sagun Jonchhe,Hele Anderspuk,Eli Rothenberg,Tatiana N Moiseeva
View all publications

Product promise

We are committed to supporting your work with high-quality reagents, and we're here for you every step of the way. In the unlikely event that one of our products does not perform as expected, you're protected by our Product Promise.
For full details, please see our Terms & Conditions

Please note: All products are 'FOR RESEARCH USE ONLY. NOT FOR USE IN DIAGNOSTIC OR THERAPEUTIC PROCEDURES'.

For licensing inquiries, please contact partnerships@abcam.com