JavaScript is disabled in your browser. Please enable JavaScript to view this website.
AB316962

Anti-CDT1/DUP antibody [EPR27439-67] - BSA and Azide free

Be the first to review this product! Submit a review

|

(0 Publication)

Rabbit Recombinant Monoclonal CDT1/DUP antibody. Carrier free. Suitable for WB, Flow Cyt (Intra), IHC-P and reacts with Mouse, Rat samples.

View Alternative Names

Ris2, DNA replication factor Cdt1, Double parked homolog, Retroviral insertion site 2 protein, DUP

10 Images
Flow Cytometry (Intracellular) - Anti-CDT1/DUP antibody [EPR27439-67] - BSA and Azide free (AB316962)
  • Flow Cyt (Intra)

Supplier Data

Flow Cytometry (Intracellular) - Anti-CDT1/DUP antibody [EPR27439-67] - BSA and Azide free (AB316962)

This data was developed using ab316961, the same antibody clone in a different buffer formulation.

Flow cytometric analysis of 4% paraformaldehyde fixed 90% methanol permeabilized NIH/3T3 (mouse embryonic fibroblast) cells labelling CDT1/DUP with ab316961 at 1/50 dilution (1ug)/(Red) compared with a Rabbit monoclonal IgG (ab172730) (Black) isotype control and an unlabelled control (cells without incubation with primary antibody and secondary antibody) (Blue).

Goat Anti-Rabbit IgG (Alexa Fluor® 488, ab150081) at 1/5000 dilution was used as the secondary antibody.

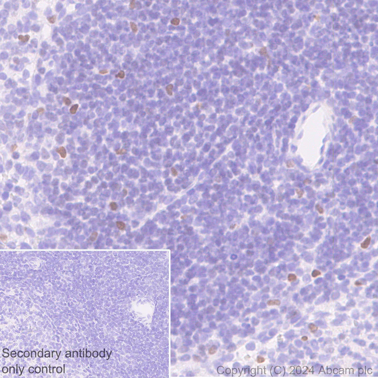
Immunohistochemistry (Formalin/PFA-fixed paraffin-embedded sections) - Anti-CDT1/DUP antibody [EPR27439-67] - BSA and Azide free (AB316962)
  • IHC-P

Supplier Data

Immunohistochemistry (Formalin/PFA-fixed paraffin-embedded sections) - Anti-CDT1/DUP antibody [EPR27439-67] - BSA and Azide free (AB316962)

This data was developed using ab316961, the same antibody clone in a different buffer formulation.

Immunohistochemical analysis of paraffin-embedded Rat spleen tissue labeling CDT1/DUP with ab316961 at 1/100 (5.06 ug/ml) dilution, followed by a ready to use LeicaDS9800 (Bond™ Polymer Refine Detection).

Nuclear staining on rat spleen. The section was incubated with ab316961 for 30 mins at room temperature.
The immunostaining was performed on a Leica Biosystems BOND® RX instrument

Counterstained with Hematoxylin.

Secondary antibody only control : Secondary antibody is a ready to use LeicaDS9800 (Bond™ Polymer Refine Detection).

Heat mediated antigen retrieval was performed with Citrate buffer (pH 6.0, Epitope Retrieval Solution 1) for 20 mins

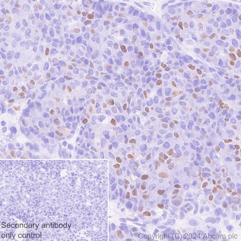
Immunohistochemistry (Formalin/PFA-fixed paraffin-embedded sections) - Anti-CDT1/DUP antibody [EPR27439-67] - BSA and Azide free (AB316962)
  • IHC-P

Supplier Data

Immunohistochemistry (Formalin/PFA-fixed paraffin-embedded sections) - Anti-CDT1/DUP antibody [EPR27439-67] - BSA and Azide free (AB316962)

This data was developed using ab316961, the same antibody clone in a different buffer formulation.

Immunohistochemical analysis of paraffin-embedded Mouse thymus tissue labeling CDT1/DUP with ab316961 at 1/100 (5.06 ug/ml) dilution, followed by a ready to use LeicaDS9800 (Bond™ Polymer Refine Detection).

Nuclear staining on mouse thymus. The section was incubated with ab316961 for 30 mins at room temperature.
The immunostaining was performed on a Leica Biosystems BOND® RX instrument

Counterstained with Hematoxylin.

Secondary antibody only control : Secondary antibody is a ready to use LeicaDS9800 (Bond™ Polymer Refine Detection).

Heat mediated antigen retrieval was performed with Citrate buffer (pH 6.0, Epitope Retrieval Solution 1) for 20 mins

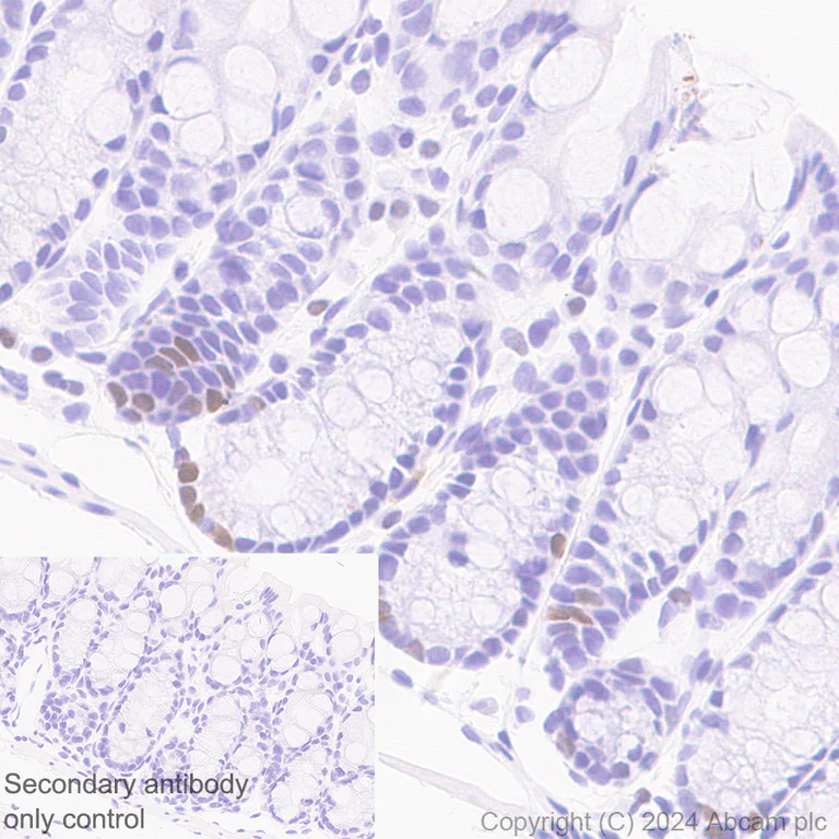
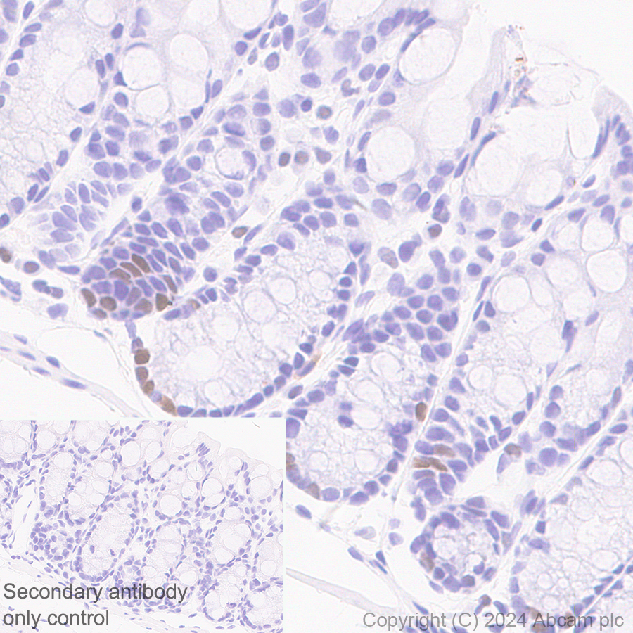
Immunohistochemistry (Formalin/PFA-fixed paraffin-embedded sections) - Anti-CDT1/DUP antibody [EPR27439-67] - BSA and Azide free (AB316962)
  • IHC-P

Supplier Data

Immunohistochemistry (Formalin/PFA-fixed paraffin-embedded sections) - Anti-CDT1/DUP antibody [EPR27439-67] - BSA and Azide free (AB316962)

This data was developed using ab316961, the same antibody clone in a different buffer formulation.

Immunohistochemical analysis of paraffin-embedded Rat colon tissue labeling CDT1/DUP with ab316961 at 1/100 (5.06 ug/ml) dilution, followed by a ready to use LeicaDS9800 (Bond™ Polymer Refine Detection).

Nuclear staining on rat colon. The section was incubated with ab316961 for 30 mins at room temperature.
The immunostaining was performed on a Leica Biosystems BOND® RX instrument

Counterstained with Hematoxylin.

Secondary antibody only control : Secondary antibody is a ready to use LeicaDS9800 (Bond™ Polymer Refine Detection).

Heat mediated antigen retrieval was performed with Citrate buffer (pH 6.0, Epitope Retrieval Solution 1) for 20 mins

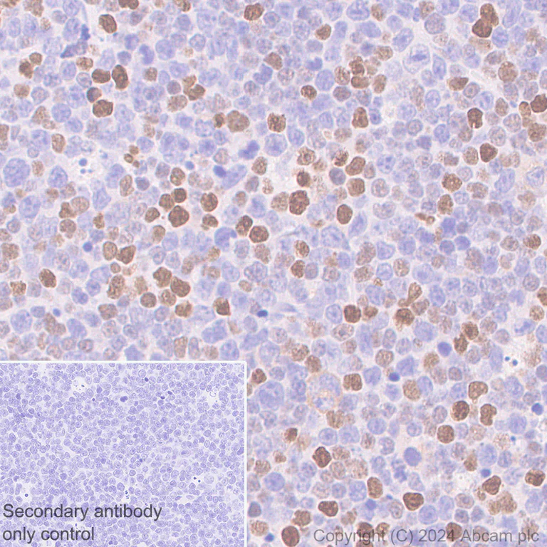
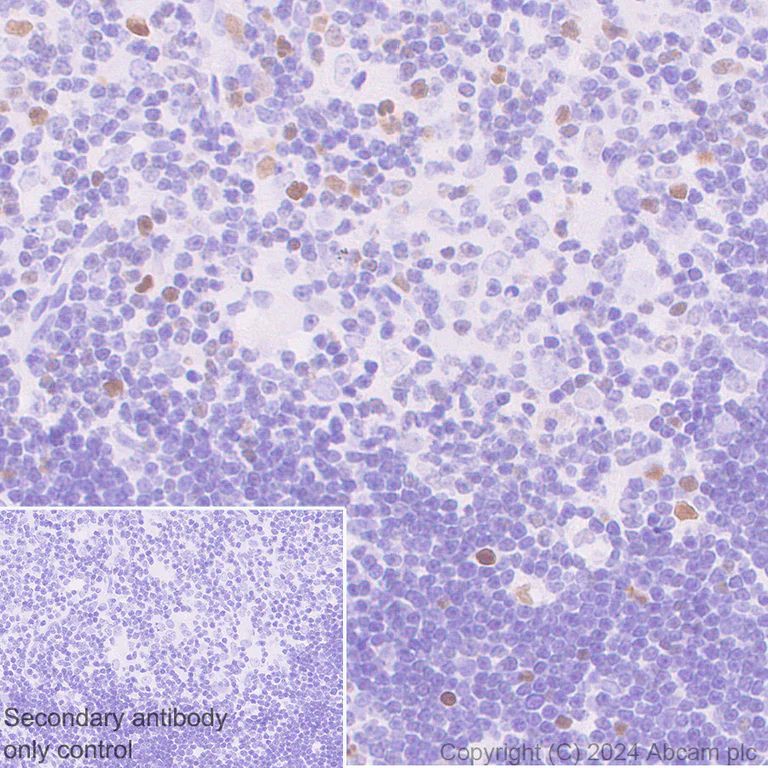
Immunohistochemistry (Formalin/PFA-fixed paraffin-embedded sections) - Anti-CDT1/DUP antibody [EPR27439-67] - BSA and Azide free (AB316962)
  • IHC-P

Supplier Data

Immunohistochemistry (Formalin/PFA-fixed paraffin-embedded sections) - Anti-CDT1/DUP antibody [EPR27439-67] - BSA and Azide free (AB316962)

This data was developed using ab316961, the same antibody clone in a different buffer formulation.

Immunohistochemical analysis of paraffin-embedded Mouse T cell lymphoma tissue labeling CDT1/DUP with ab316961 at 1/100 (5.06 ug/ml) dilution, followed by a ready to use LeicaDS9800 (Bond™ Polymer Refine Detection).

Nuclear staining on mouse T cell lymphoma. The section was incubated with ab316961 for 30 mins at room temperature.
The immunostaining was performed on a Leica Biosystems BOND® RX instrument

Counterstained with Hematoxylin.

Secondary antibody only control : Secondary antibody is a ready to use LeicaDS9800 (Bond™ Polymer Refine Detection).

Heat mediated antigen retrieval was performed with Citrate buffer (pH 6.0, Epitope Retrieval Solution 1) for 20 mins

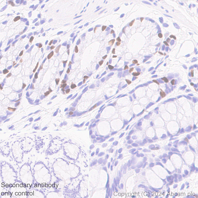
Immunohistochemistry (Formalin/PFA-fixed paraffin-embedded sections) - Anti-CDT1/DUP antibody [EPR27439-67] - BSA and Azide free (AB316962)
  • IHC-P

Supplier Data

Immunohistochemistry (Formalin/PFA-fixed paraffin-embedded sections) - Anti-CDT1/DUP antibody [EPR27439-67] - BSA and Azide free (AB316962)

This data was developed using ab316961, the same antibody clone in a different buffer formulation.

Immunohistochemical analysis of paraffin-embedded Mouse colon tissue labeling CDT1/DUP with ab316961 at 1/100 (5.06 ug/ml) dilution, followed by a ready to use LeicaDS9800 (Bond™ Polymer Refine Detection).

Nuclear staining on mouse colon. The section was incubated with ab316961 for 30 mins at room temperature.
The immunostaining was performed on a Leica Biosystems BOND® RX instrument

Counterstained with Hematoxylin.

Secondary antibody only control : Secondary antibody is a ready to use LeicaDS9800 (Bond™ Polymer Refine Detection).

Heat mediated antigen retrieval was performed with Citrate buffer (pH 6.0, Epitope Retrieval Solution 1) for 20 mins

Immunohistochemistry (Formalin/PFA-fixed paraffin-embedded sections) - Anti-CDT1/DUP antibody [EPR27439-67] - BSA and Azide free (AB316962)
  • IHC-P

Supplier Data

Immunohistochemistry (Formalin/PFA-fixed paraffin-embedded sections) - Anti-CDT1/DUP antibody [EPR27439-67] - BSA and Azide free (AB316962)

This data was developed using ab316961, the same antibody clone in a different buffer formulation.

Immunohistochemical analysis of paraffin-embedded Mouse breast cancer tissue labeling CDT1/DUP with ab316961 at 1/100 (5.06 ug/ml) dilution, followed by a ready to use LeicaDS9800 (Bond™ Polymer Refine Detection).

Nuclear staining on mouse breast cancer. The section was incubated with ab316961 for 30 mins at room temperature.
The immunostaining was performed on a Leica Biosystems BOND® RX instrument

Counterstained with Hematoxylin.

Secondary antibody only control : Secondary antibody is a ready to use LeicaDS9800 (Bond™ Polymer Refine Detection).

Heat mediated antigen retrieval was performed with Citrate buffer (pH 6.0, Epitope Retrieval Solution 1) for 20 mins

Western blot - Anti-CDT1/DUP antibody [EPR27439-67] - BSA and Azide free (AB316962)
  • WB

Supplier Data

Western blot - Anti-CDT1/DUP antibody [EPR27439-67] - BSA and Azide free (AB316962)

This data was developed using ab316961, the same antibody clone in a different buffer formulation.

In Western blot, Anti-GAPDH antibody [EPR16891] - Loading Control (ab181602) staining at 1/200000 dilution.

All lanes:

Western blot - Anti-CDT1/DUP antibody [EPR27439-67] (<a href='/en-us/products/primary-antibodies/cdt1-dup-antibody-epr27439-67-ab316961'>ab316961</a>) at 1/1000 dilution

Lane 1:

NIH/3T3 (mouse embryonic fibroblast) transfected with scrambled siRNA control whole cell lysate at 20 µg

Lane 2:

NIH/3T3 transfected with siRNA specifically targeting CDT1 whole cell lysate at 20 µg

Secondary

All lanes:

Western blot - Goat Anti-Rabbit IgG H&L (HRP) (<a href='/en-us/products/secondary-antibodies/goat-rabbit-igg-h-l-hrp-ab97051'>ab97051</a>) at 1/100000 dilution

Observed band size: 75 kDa,36 kDa

false

Exposure time: 180s

Western blot - Anti-CDT1/DUP antibody [EPR27439-67] - BSA and Azide free (AB316962)
  • WB

Supplier Data

Western blot - Anti-CDT1/DUP antibody [EPR27439-67] - BSA and Azide free (AB316962)

This data was developed using ab316961, the same antibody clone in a different buffer formulation.

The identity of the lower MW band at approximately 40kDa is unknown.

In Western blot, Anti-GAPDH antibody [EPR16891] - Loading Control (ab181602) staining at 1/200000 dilution.

Exposure time : Lane 1 : 180 seconds; Lane 2-3 : 81 seconds

All lanes:

Western blot - Anti-CDT1/DUP antibody [EPR27439-67] (<a href='/en-us/products/primary-antibodies/cdt1-dup-antibody-epr27439-67-ab316961'>ab316961</a>) at 1/1000 dilution

Lane 1:

F9 (mouse embryonal carcinoma epithelial cell) whole cell lysate at 20 µg

Lane 2:

Mouse colon tissue fresh lysate at 20 µg

Lane 3:

Mouse thymus tissue fresh lysate at 20 µg

Secondary

All lanes:

Western blot - Goat Anti-Rabbit IgG H&L (HRP) (<a href='/en-us/products/secondary-antibodies/goat-rabbit-igg-h-l-hrp-ab97051'>ab97051</a>) at 1/100000 dilution

Observed band size: 75 kDa,36 kDa

false

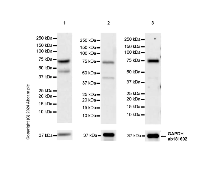
Western blot - Anti-CDT1/DUP antibody [EPR27439-67] - BSA and Azide free (AB316962)
  • WB

Supplier Data

Western blot - Anti-CDT1/DUP antibody [EPR27439-67] - BSA and Azide free (AB316962)

This data was developed using ab316961, the same antibody clone in a different buffer formulation.

The identity of the lower MW bands between 37kDa and 50 kDa are unknown.

In Western blot, Anti-GAPDH antibody [EPR16891] - Loading Control (ab181602) staining at 1/200000 dilution.

All lanes:

Western blot - Anti-CDT1/DUP antibody [EPR27439-67] (<a href='/en-us/products/primary-antibodies/cdt1-dup-antibody-epr27439-67-ab316961'>ab316961</a>) at 1/1000 dilution

Lane 1:

Rat testis tissue fresh lysate at 20 µg

Lane 2:

Rat spleen tissue fresh lysate at 20 µg

Secondary

All lanes:

Western blot - Goat Anti-Rabbit IgG H&L (HRP) (<a href='/en-us/products/secondary-antibodies/goat-rabbit-igg-h-l-hrp-ab97051'>ab97051</a>) at 1/100000 dilution

Observed band size: 75 kDa,36 kDa

false

Exposure time: 136s

Key facts

Host species

Rabbit

Clonality

Monoclonal

Clone number

EPR27439-67

Isotype

IgG

Carrier free

Yes

Reacts with

Mouse, Rat

Applications

Flow Cyt (Intra), WB, IHC-P

applications

Immunogen

The exact immunogen used to generate this antibody is proprietary information.

Reactivity data

{ "title": "Reactivity Data", "filters": { "stats": ["", "Species", "Dilution Info", "Notes"], "tabs": { "all-applications": {"fullname" : "All Applications", "shortname": "All Applications"}, "WB" : {"fullname" : "Western blot", "shortname":"WB"}, "FlowCytIntra" : {"fullname" : "Flow Cytometry (Intracellular)", "shortname":"Flow Cyt (Intra)"}, "IHCP" : {"fullname" : "Immunohistochemistry (Formalin/PFA-fixed paraffin-embedded sections)", "shortname":"IHC-P"}, "ICCIF" : {"fullname" : "Immunocytochemistry/ Immunofluorescence", "shortname":"ICC/IF"} }, "product-promise": { "all": "all", "testedAndGuaranteed": "tested", "guaranteed": "expected", "predicted": "predicted", "notRecommended": "not-recommended" } }, "values": { "Human": { "WB-species-checked": "notRecommended", "WB-species-dilution-info": "", "WB-species-notes": "<p></p>", "FlowCytIntra-species-checked": "notRecommended", "FlowCytIntra-species-dilution-info": "", "FlowCytIntra-species-notes": "", "IHCP-species-checked": "notRecommended", "IHCP-species-dilution-info": "", "IHCP-species-notes": "<p></p>", "ICCIF-species-checked": "notRecommended", "ICCIF-species-dilution-info": "", "ICCIF-species-notes": "" }, "Mouse": { "WB-species-checked": "testedAndGuaranteed", "WB-species-dilution-info": "", "WB-species-notes": "<p></p>", "FlowCytIntra-species-checked": "testedAndGuaranteed", "FlowCytIntra-species-dilution-info": "", "FlowCytIntra-species-notes": "<p></p>", "IHCP-species-checked": "testedAndGuaranteed", "IHCP-species-dilution-info": "", "IHCP-species-notes": "<p></p>", "ICCIF-species-checked": "notRecommended", "ICCIF-species-dilution-info": "", "ICCIF-species-notes": "<p></p>" }, "Rat": { "WB-species-checked": "testedAndGuaranteed", "WB-species-dilution-info": "", "WB-species-notes": "<p></p>", "FlowCytIntra-species-checked": "guaranteed", "FlowCytIntra-species-dilution-info": "", "FlowCytIntra-species-notes": "", "IHCP-species-checked": "testedAndGuaranteed", "IHCP-species-dilution-info": "", "IHCP-species-notes": "<p></p>", "ICCIF-species-checked": "notRecommended", "ICCIF-species-dilution-info": "", "ICCIF-species-notes": "" } } }

Product details

ab316962 is the carrier-free version of ab316961.

Patented technology
Our RabMAb® technology is a patented hybridoma-based technology for making rabbit monoclonal antibodies. For details on our patents, please refer to RabMAb® patents.

What are the advantages of a recombinant monoclonal antibody?
This product is a recombinant monoclonal antibody, which offers several advantages including:

  • - High batch-to-batch consistency and reproducibility
  • - Improved sensitivity and specificity
  • - Long-term security of supply
  • - Animal-free batch production

For more information, read more on recombinant antibodies.

Conjugation ready
Our carrier-free antibodies are typically supplied in a PBS-only formulation, purified and free of BSA, sodium azide and glycerol. This conjugation-ready format is designed for use with fluorochromes, metal isotopes, oligonucleotides, and enzymes, which makes them ideal for antibody labelling, functional and cell-based assays, flow-based assays (e.g. mass cytometry) and Multiplex Imaging applications.

Use our conjugation kits for antibody conjugates that are ready-to-use in as little as 20 minutes with 1 minute hands-on-time and 100% antibody recovery: available for fluorescent dyes, HRP, biotin and gold.

Compatibility
This product is compatible with the Maxpar® Antibody Labeling Kit from Fluidigm, without the need for antibody preparation. Maxpar® is a trademark of Fluidigm Canada Inc.

Properties and storage information

Form
Liquid
Purification technique
Affinity purification Protein A
Storage buffer
pH: 7.2 - 7.4 Constituents: PBS
Shipped at conditions
Blue Ice
Appropriate short-term storage conditions
+4°C
Appropriate long-term storage conditions
+4°C

Supplementary information

This supplementary information is collated from multiple sources and compiled automatically.

CDT1 also known as DUP or CDT-1 is an important regulator in cell cycle control. CDT1 has a molecular weight of approximately 68 kDa and is expressed predominantly in the nucleus during the late M and early G1 phases of the cell cycle. This protein plays an essential role in the licensing of DNA replication origins ensuring that DNA replication occurs precisely once per cell cycle. The careful regulation of CDT1 activity is necessary to prevent re-replication which can lead to genomic instability.
Biological function summary

This protein is necessary for the correct assembly of the pre-replicative complex (pre-RC) on replication origins. CDT1 works closely with CDC6 and the minichromosome maintenance (MCM) complex to form the pre-RC facilitating the loading of MCM helicase onto the DNA. This process tightly regulates replication origin licensing and ensures DNA replication fidelity. Misregulation of CDT1 can disrupt cell cycle progression and compromise genomic integrity.

Pathways

CDT1 functions primarily in cell cycle regulation and DNA replication. It participates in the origin recognition complex (ORC) pathway that initiates DNA replication. The proper function of CDT1 is critical to these pathways working alongside other proteins such as ORC1 and MCM complex members. Together they contribute to the accurate duplication of the genome which is pivotal for cell proliferation and maintenance of chromosomal stability.

CDT1 dysregulation associates with cancer and genomic instability. Overexpression or uncontrolled activity of CDT1 can lead to re-replication increasing the risk of mutations and chromosomal aberrations characteristic of neoplastic transformations. The protein's relationship with MCM components particularly those involved in cancer-related pathways highlights its relevance in tumorigenesis. Understanding CDT1's role in these diseases guides the development of targeted therapies and diagnostic strategies.

Product protocols

For this product, it's our understanding that no specific protocols are required. You can visit:

Target data

Required for both DNA replication and mitosis. DNA replication licensing factor, required for pre-replication complex assembly. Cooperates with CDC6 and the origin recognition complex (ORC) during G1 phase of the cell cycle to promote the loading of the mini-chromosome maintenance (MCM) complex onto DNA to generate pre-replication complexes (pre-RC). Required also for mitosis by promoting stable kinetochore-microtubule attachments (By similarity). Potential oncogene (PubMed : 11850834).
See full target information CDT1/DUP

Product promise

We are committed to supporting your work with high-quality reagents, and we're here for you every step of the way. In the unlikely event that one of our products does not perform as expected, you're protected by our Product Promise.
For full details, please see our Terms & Conditions

Please note: All products are 'FOR RESEARCH USE ONLY. NOT FOR USE IN DIAGNOSTIC OR THERAPEUTIC PROCEDURES'.

For licensing inquiries, please contact partnerships@abcam.com