JavaScript is disabled in your browser. Please enable JavaScript to view this website.
AB72264

Anti-CDT2/RAMP antibody

Be the first to review this product! Submit a review

|

(11 Publications)

Rabbit Polyclonal CDT2/RAMP antibody. Suitable for IP, WB, IHC-P and reacts with Human, Mouse samples. Cited in 11 publications. Immunogen corresponding to Synthetic Peptide within Human DTL aa 650 to C-terminus.

View Alternative Names

CDT2, CDW1, DCAF2, L2DTL, RAMP, DTL, Denticleless protein homolog, DDB1- and CUL4-associated factor 2, Lethal(2) denticleless protein homolog, Retinoic acid-regulated nuclear matrix-associated protein

4 Images
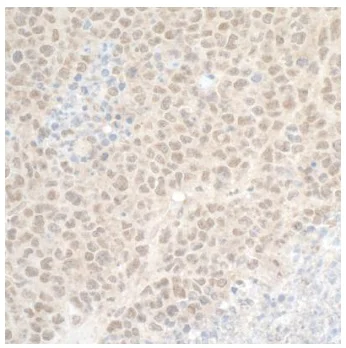
Immunohistochemistry (Formalin/PFA-fixed paraffin-embedded sections) - Anti-CDT2/RAMP antibody (AB72264)
  • IHC-P

Supplier Data

Immunohistochemistry (Formalin/PFA-fixed paraffin-embedded sections) - Anti-CDT2/RAMP antibody (AB72264)

Immunohistochemistry (Formalin/PFA-fixed paraffin-embedded sections) analysis of human prostate carcinoma tissue labelling CDT2/RAMP with ab72264 at 1/1000 (0.2 μg/ml). Detection : DAB.

Immunoprecipitation - Anti-CDT2/RAMP antibody (AB72264)
  • IP

Supplier Data

Immunoprecipitation - Anti-CDT2/RAMP antibody (AB72264)

Detection of human CDT2/RAMP by western blot of immunoprecipitates.
Samples : Whole cell lysate (1.0 mg per IP reaction; 20% of IP loaded) from Jurkat cells prepared using NETN lysis buffer.
Antibodies : ab72264 used for IP at 6 μg per reaction, lanes 1 and 2, lane 3 is control IgG. DTL/CDT2 was also immunoprecipitated by a previous lot of this antibody. For blotting immunoprecipitated CDT2/RAMP, ab72264 was used at 0.1 μg/ml.

All lanes:

Immunoprecipitation - Anti-CDT2/RAMP antibody (ab72264)

Predicted band size: 79 kDa

false

Exposure time: 3s

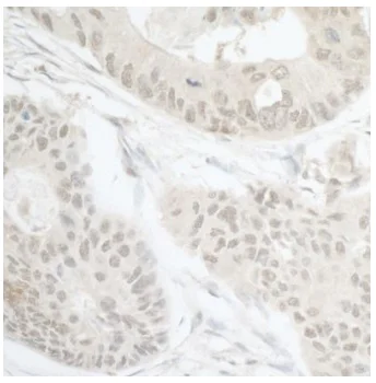
Immunohistochemistry (Formalin/PFA-fixed paraffin-embedded sections) - Anti-CDT2/RAMP antibody (AB72264)
  • IHC-P

Supplier Data

Immunohistochemistry (Formalin/PFA-fixed paraffin-embedded sections) - Anti-CDT2/RAMP antibody (AB72264)

Immunohistochemistry (Formalin/PFA-fixed paraffin-embedded sections) analysis of mouse plasmacytoma tissue labelling CDT2/RAMP with ab72264 at 1/200 (1 μg/ml). Detection : DAB.

Western blot - Anti-CDT2/RAMP antibody (AB72264)
  • WB

Supplier Data

Western blot - Anti-CDT2/RAMP antibody (AB72264)

Lysates prepared using NETN lysis buffer.

All lanes:

Western blot - Anti-CDT2/RAMP antibody (ab72264) at 0.04 µg/mL

Lane 1:

Jurkat (Human T cell leukemia cell line from peripheral blood) whole cell lysate at 15 µg

Lane 2:

HeLa (Human epithelial cell line from cervix adenocarcinoma) whole cell lysate at 15 µg

Lane 3:

HEK-293T (Human epithelial cell line from embryonic kidney transformed with large T antigen) whole cell lysate at 15 µg

Predicted band size: 79 kDa

false

Exposure time: 75s

Key facts

Host species

Rabbit

Clonality

Polyclonal

Isotype

IgG

Carrier free

No

Reacts with

Mouse, Human

Applications

IHC-P, WB, IP

applications

Immunogen

Synthetic Peptide within Human DTL aa 650 to C-terminus. The exact immunogen used to generate this antibody is proprietary information.

Q9NZJ0

Reactivity data

{ "title": "Reactivity Data", "filters": { "stats": ["", "Species", "Dilution Info", "Notes"], "tabs": { "all-applications": {"fullname" : "All Applications", "shortname": "All Applications"}, "IP" : {"fullname" : "Immunoprecipitation", "shortname":"IP"}, "WB" : {"fullname" : "Western blot", "shortname":"WB"}, "IHCP" : {"fullname" : "Immunohistochemistry (Formalin/PFA-fixed paraffin-embedded sections)", "shortname":"IHC-P"} }, "product-promise": { "all": "all", "testedAndGuaranteed": "tested", "guaranteed": "expected", "predicted": "predicted", "notRecommended": "not-recommended" } }, "values": { "Human": { "IP-species-checked": "testedAndGuaranteed", "IP-species-dilution-info": "2-5 µg/mg of lysate", "IP-species-notes": "<p></p>", "WB-species-checked": "testedAndGuaranteed", "WB-species-dilution-info": "1/2000 - 1/10000", "WB-species-notes": "<p></p>", "IHCP-species-checked": "testedAndGuaranteed", "IHCP-species-dilution-info": "1/100 - 1/500", "IHCP-species-notes": "<p></p>" }, "Mouse": { "IP-species-checked": "guaranteed", "IP-species-dilution-info": "", "IP-species-notes": "", "WB-species-checked": "guaranteed", "WB-species-dilution-info": "", "WB-species-notes": "", "IHCP-species-checked": "testedAndGuaranteed", "IHCP-species-dilution-info": "1/100 - 1/500", "IHCP-species-notes": "<p></p>" } } }

Properties and storage information

Form
Liquid
Purification technique
Affinity purification Immunogen
Storage buffer
pH: 6.8 - 7.4 Preservative: 0.09% Sodium azide Constituents: Tris buffered saline, 0.1% BSA
Shipped at conditions
Blue Ice
Appropriate short-term storage conditions
+4°C
Appropriate long-term storage conditions
+4°C
Aliquoting information
Upon delivery aliquot
Storage information
Avoid freeze / thaw cycle|Do Not Freeze

Supplementary information

This supplementary information is collated from multiple sources and compiled automatically.

CDT2 also known as RAMP (Rbx1-Associated Cullin 4-DCAF12-Dependent E3 Ligase) is part of the CRL4 complex and serves as a substrate recognition component for E3 ubiquitin ligases. The molecular weight of the CDT2 protein is approximately 85 kDa. This protein shows expression in various tissues with higher levels in actively dividing cells like those found in the testes and thymus.
Biological function summary

CDT2 regulates cell cycle progression by targeting specific cell cycle regulators for ubiquitin-mediated degradation. It functions within the CRL4 complex where it helps to ensure the timely turnover of replication licensing factors such as Cdt1 and other proteins involved in cell cycle checkpoints. This regulation is important for maintaining genomic stability by preventing inappropriate replication origin firing.

Pathways

CDT2 plays a significant role in DNA replication and cell cycle control pathways. Within these pathways the protein coordinates with Cdt1 to prevent unscheduled DNA replication. CDT2's involvement in these processes links it closely to proteins such as CUL4 which forms part of the CRL4 complex and to the ubiquitin-proteasome system a critical pathway for protein homeostasis.

CDT2 has implications in cancer and genomic instability. Aberrations in CDT2 expression or function can lead to dysregulation of cell proliferation contributing to oncogenesis. Connections between CDT2 and cancer are emphasized by its interaction with substrates like Cdt1 where misregulation may drive the development of tumors. CDT2 is also connected to p21 through its influence on cell cycle checkpoints highlighting an additional role in tumor suppression pathways.

Product protocols

For this product, it's our understanding that no specific protocols are required. You can visit:

Target data

Substrate-specific adapter of a DCX (DDB1-CUL4-X-box) E3 ubiquitin-protein ligase complex required for cell cycle control, DNA damage response and translesion DNA synthesis. The DCX(DTL) complex, also named CRL4(CDT2) complex, mediates the polyubiquitination and subsequent degradation of CDT1, CDKN1A/p21(CIP1), FBH1, KMT5A and SDE2 (PubMed : 16861906, PubMed : 16949367, PubMed : 16964240, PubMed : 17085480, PubMed : 18703516, PubMed : 18794347, PubMed : 18794348, PubMed : 19332548, PubMed : 20129063, PubMed : 23478441, PubMed : 23478445, PubMed : 23677613, PubMed : 27906959). CDT1 degradation in response to DNA damage is necessary to ensure proper cell cycle regulation of DNA replication (PubMed : 16861906, PubMed : 16949367, PubMed : 17085480). CDKN1A/p21(CIP1) degradation during S phase or following UV irradiation is essential to control replication licensing (PubMed : 18794348, PubMed : 19332548). KMT5A degradation is also important for a proper regulation of mechanisms such as TGF-beta signaling, cell cycle progression, DNA repair and cell migration (PubMed : 23478445). Most substrates require their interaction with PCNA for their polyubiquitination : substrates interact with PCNA via their PIP-box, and those containing the 'K+4' motif in the PIP box, recruit the DCX(DTL) complex, leading to their degradation. In undamaged proliferating cells, the DCX(DTL) complex also promotes the 'Lys-164' monoubiquitination of PCNA, thereby being involved in PCNA-dependent translesion DNA synthesis (PubMed : 20129063, PubMed : 23478441, PubMed : 23478445, PubMed : 23677613). The DDB1-CUL4A-DTL E3 ligase complex regulates the circadian clock function by mediating the ubiquitination and degradation of CRY1 (PubMed : 26431207).
See full target information DTL

Publications (11)

Recent publications for all applications. Explore the full list and refine your search

Frontiers in oncology 15:1583752 PubMed40391156

2025

Rewired glycolysis by DTL accelerates oncometabolite L-lactate generation to promote breast cancer progression.

Applications

Unspecified application

Species

Unspecified reactive species

Yuhao Liu,Jinting Li,Yiren Cao,Mengzhu Lv

BMC cancer 23:328 PubMed37038185

2023

Pan-cancer analysis and experimental validation of DTL as a potential diagnosis, prognosis and immunotherapy biomarker.

Applications

Unspecified application

Species

Unspecified reactive species

Yumei Tang,Ye Lei,Peng Gao,Junting Jia,Huijun Du,Qitong Wang,Zhixin Yan,Chen Zhang,Guojun Liang,Yanfeng Wang,Weijun Ma,Nianzeng Xing,Le Cheng,Laifeng Ren

Immunity, inflammation and disease 10:e631 PubMed35634959

2022

Cdk2 suppresses IL-23 expression and the onset of severe acute pancreatitis.

Applications

Unspecified application

Species

Unspecified reactive species

Yanpeng Ma,Longlong Liu,Bin Li,Wenyao Wang,Tingting Zhao

Frontiers in immunology 13:834606 PubMed35392073

2022

Role of DTL in Hepatocellular Carcinoma and Its Impact on the Tumor Microenvironment.

Applications

Unspecified application

Species

Unspecified reactive species

Zuyin Li,Rangrang Wang,Chen Qiu,Can Cao,Jianming Zhang,Jun Ge,Yuanping Shi

Oxidative medicine and cellular longevity 2022:3369858 PubMed35103094

2022

DTL Is a Prognostic Biomarker and Promotes Bladder Cancer Progression through Regulating the AKT/mTOR axis.

Applications

Unspecified application

Species

Unspecified reactive species

Yongwen Luo,Zhiwen He,Wei Liu,Fenfang Zhou,Tao Liu,Gang Wang

Cell death & disease 12:929 PubMed34635635

2021

Overexpression of DTL enhances cell motility and promotes tumor metastasis in cervical adenocarcinoma by inducing RAC1-JNK-FOXO1 axis.

Applications

Unspecified application

Species

Unspecified reactive species

Sijia Liu,Lina Gu,Nan Wu,Jiayu Song,Jiazhuo Yan,Shanshan Yang,Yue Feng,Zhao Wang,Le Wang,Yunyan Zhang,Yan Jin

Science advances 7: PubMed33523889

2021

Cell cycle inertia underlies a bifurcation in cell fates after DNA damage.

Applications

Unspecified application

Species

Unspecified reactive species

Jenny F Nathans,James A Cornwell,Marwa M Afifi,Debasish Paul,Steven D Cappell

Nature communications 11:24 PubMed31911655

2020

The RepID-CRL4 ubiquitin ligase complex regulates metaphase to anaphase transition via BUB3 degradation.

Applications

Unspecified application

Species

Unspecified reactive species

Sang-Min Jang,Jenny F Nathans,Haiqing Fu,Christophe E Redon,Lisa M Jenkins,Bhushan L Thakur,Lőrinc S Pongor,Adrian M Baris,Jacob M Gross,Maura J OʹNeill,Fred E Indig,Steven D Cappell,Mirit I Aladjem

Science advances 5:eaau7130 PubMed30775435

2019

Restriction of hepatitis B virus replication by c-Abl-induced proteasomal degradation of the viral polymerase.

Applications

Unspecified application

Species

Unspecified reactive species

Lidan Hou,Jie Zhao,Shaobing Gao,Tong Ji,Tianyu Song,Yining Li,Jingjie Wang,Chenlu Geng,Min Long,Jiang Chen,Hui Lin,Xiujun Cai,Yong Cang

Nature communications 9:2782 PubMed30018425

2018

The replication initiation determinant protein (RepID) modulates replication by recruiting CUL4 to chromatin.

Applications

Unspecified application

Species

Unspecified reactive species

Sang-Min Jang,Ya Zhang,Koichi Utani,Haiqing Fu,Christophe E Redon,Anna B Marks,Owen K Smith,Catherine J Redmond,Adrian M Baris,Danielle A Tulchinsky,Mirit I Aladjem
View all publications

Product promise

We are committed to supporting your work with high-quality reagents, and we're here for you every step of the way. In the unlikely event that one of our products does not perform as expected, you're protected by our Product Promise.
For full details, please see our Terms & Conditions

Please note: All products are 'FOR RESEARCH USE ONLY. NOT FOR USE IN DIAGNOSTIC OR THERAPEUTIC PROCEDURES'.

For licensing inquiries, please contact partnerships@abcam.com