JavaScript is disabled in your browser. Please enable JavaScript to view this website.
AB233965

Anti-CDw75 antibody [LN-1]

Be the first to review this product! Submit a review

|

(1 Publication)

Mouse Monoclonal ST6GAL1 antibody. Suitable for Flow Cyt, IHC-P and reacts with Human samples. Cited in 1 publication. Immunogen corresponding to Cell preparation containing ST6GAL1 protein.

View Alternative Names

SIAT1, ST6GAL1, B-cell antigen CD75, ST6Gal I, Sialyltransferase 1, ST6GalI

2 Images
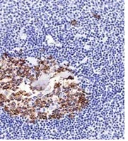
Immunohistochemistry (Formalin/PFA-fixed paraffin-embedded sections) - Anti-CDw75 antibody [LN-1] (AB233965)
  • IHC-P

Supplier Data

Immunohistochemistry (Formalin/PFA-fixed paraffin-embedded sections) - Anti-CDw75 antibody [LN-1] (AB233965)

Formalin-fixed paraffin-embedded human spleen tissue stained for CDw75 using ab233965 at 1 μg/ml in immunohistochemical analysis.

Flow Cytometry - Anti-CDw75 antibody [LN-1] (AB233965)
  • Flow Cyt

Supplier Data

Flow Cytometry - Anti-CDw75 antibody [LN-1] (AB233965)

Flow cytometric analysis of human lymphocytes labeling CDw75 with ab233965 at 1 μg/106 cells (red) compared to an isotype control (green). PPI negative population analyzed. Surface staining.

Key facts

Host species

Mouse

Clonality

Monoclonal

Clone number

LN-1

Isotype

IgM

Light chain type

kappa

Carrier free

No

Reacts with

Human

Applications

IHC-P, Flow Cyt

applications

Immunogen

Cell preparation containing ST6GAL1 protein. The exact immunogen used to generate this antibody is proprietary information.

P15907

Reactivity data

{ "title": "Reactivity Data", "filters": { "stats": ["", "Species", "Dilution Info", "Notes"], "tabs": { "all-applications": {"fullname" : "All Applications", "shortname": "All Applications"}, "FlowCyt" : {"fullname" : "Flow Cytometry", "shortname":"Flow Cyt"}, "IHCP" : {"fullname" : "Immunohistochemistry (Formalin/PFA-fixed paraffin-embedded sections)", "shortname":"IHC-P"} }, "product-promise": { "all": "all", "testedAndGuaranteed": "tested", "guaranteed": "expected", "predicted": "predicted", "notRecommended": "not-recommended" } }, "values": { "Human": { "FlowCyt-species-checked": "testedAndGuaranteed", "FlowCyt-species-dilution-info": "1-2 µg for 10^6 Cells", "FlowCyt-species-notes": "<p></p>", "IHCP-species-checked": "testedAndGuaranteed", "IHCP-species-dilution-info": "1-2 µg/mL", "IHCP-species-notes": "<p>Staining of formalin-fixed tissues requires boiling tissue sections in 10 mM citrate buffer, pH 6.0, for 10-20 minutes followed by cooling at RT for 20 minutes.</p><p>Incubate with primary antibody for 30 minutes at RT.</p>" } } }

Properties and storage information

Form
Liquid
Purification notes
Purified from bioreactor concentrate by PEG precipitation.
Storage buffer
pH: 7.2 - 7.4 Preservative: 0.05% Sodium azide Constituents: PBS, 0.05% BSA
Shipped at conditions
Blue Ice
Appropriate short-term storage duration
1-2 weeks
Appropriate short-term storage conditions
+4°C
Appropriate long-term storage conditions
-20°C
Aliquoting information
Upon delivery aliquot
Storage information
Avoid freeze / thaw cycle

Supplementary information

This supplementary information is collated from multiple sources and compiled automatically.

CDw75 also known as ST6Gal I is a sialyltransferase enzyme. This enzyme adds sialic acid to galactose residues on glycoproteins and glycolipids. Its molecular mass is approximately 45 kDa. This target is expressed in a variety of human tissues including the brain liver and immune system cells such as B-lymphocytes. CDw75 plays a vital role in recognizing and modifying cell surface antigens.
Biological function summary

The glycosylation carried out by CDw75 is essential for cell-cell interaction and adhesion processes. This enzyme is involved in forming specific glycan structures on the cell membrane. It is not part of a larger enzyme complex but functions as an individual glycosyltransferase. The glycans synthesized by CDw75 influence various physiological processes in the immune system neural transmission and liver function.

Pathways

Modification of cell surface antigens is where CDw75 fits into cellular mechanisms. It plays significant roles in the immune response pathway by assisting in immunological recognition. It is related to the glycosylation pathway where it functions alongside proteins like CMP-sialic acid synthetase. CDw75 is also related to proteins involved in the cell signaling pathways due to its role in modifying glycans.

Disruption or changes in CDw75 activity have links to certain cancers and autoimmune diseases. Altered expression patterns of CDw75 are observed in conditions such as lymphoma where it affects tumor cell recognition and metastasis potential. Additionally in autoimmune diseases abnormal glycosylation by CDw75 may interfere with immune cell functions. This enzyme connects to other proteins in these conditions such as CD22 which also participates in B-cell receptor signaling and regulation.

Product protocols

For this product, it's our understanding that no specific protocols are required. You can visit:

Target data

Transfers sialic acid from CMP-sialic acid to galactose-containing acceptor substrates.
See full target information ST6GAL1

Publications (1)

Recent publications for all applications. Explore the full list and refine your search

The Journal of biological chemistry 285:12670-83 PubMed20139084

2010

Down-regulation of MyoD by calpain 3 promotes generation of reserve cells in C2C12 myoblasts.

Applications

Unspecified application

Species

Unspecified reactive species

Pascal Stuelsatz,Frédéric Pouzoulet,Yann Lamarre,Elise Dargelos,Sylvie Poussard,Serge Leibovitch,Patrick Cottin,Philippe Veschambre
View all publications

Product promise

We are committed to supporting your work with high-quality reagents, and we're here for you every step of the way. In the unlikely event that one of our products does not perform as expected, you're protected by our Product Promise.
For full details, please see our Terms & Conditions

Please note: All products are 'FOR RESEARCH USE ONLY. NOT FOR USE IN DIAGNOSTIC OR THERAPEUTIC PROCEDURES'.

For licensing inquiries, please contact partnerships@abcam.com