JavaScript is disabled in your browser. Please enable JavaScript to view this website.
AB220799

Anti-CDX2 antibody [EPR2764Y] - BSA and Azide free

Be the first to review this product! Submit a review

|

(13 Publications)

Rabbit Recombinant Monoclonal CDX2 antibody. Carrier free. Suitable for IHC-P, WB, ICC/IF, ChIC/CUT&RUN-seq and reacts with Rat, Mouse, Human samples. Cited in 13 publications.

View Alternative Names

CDX3, CDX2, Homeobox protein CDX-2, CDX-3, Caudal-type homeobox protein 2

19 Images
Immunohistochemistry (Formalin/PFA-fixed paraffin-embedded sections) - Anti-CDX2 antibody [EPR2764Y] - BSA and Azide free (AB220799)
  • IHC-P

Lab

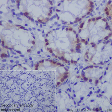
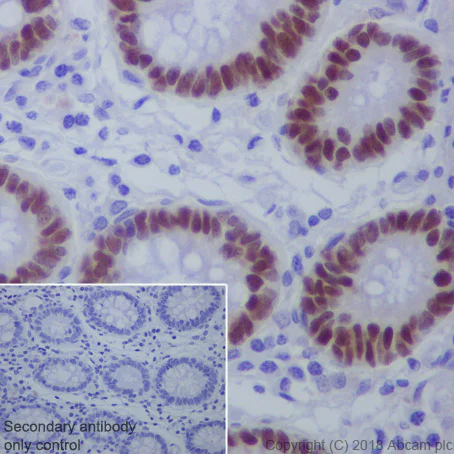
Immunohistochemistry (Formalin/PFA-fixed paraffin-embedded sections) - Anti-CDX2 antibody [EPR2764Y] - BSA and Azide free (AB220799)

This data was developed using the same antibody clone in a different buffer formulation (ab76541).

Immunohistochemical analysis of formalin fixed paraffin embedded human small intestine labelling CDX2 with ab76541 at a concentration of 0.05 µg/ml. The immunostaining was performed on a Ventana DISCOVERY ULTRA (Roche Tissue Diagnostics) instrument with a OptiView DAB IHC Detection Kit. Heat mediated antigen retrieval was performed with DISCOVERY cell conditioning solution (CC1) 100°C, pH8.5 for 32mins.

ab76541 anti-CDX2 [EPR2764Y] was incubated for 16mins at 37°C. Sections were counterstained with Hematoxylin II. Image inset shows absence of staining in secondary antibody only control.

Customers are encouraged to optimise antigen retrieval conditions, antibody concentration, incubation times and temperature for best results in their own IHC assay workflow (automated and manual)

Immunocytochemistry/ Immunofluorescence - Anti-CDX2 antibody [EPR2764Y] - BSA and Azide free (AB220799)
  • ICC/IF

Supplier Data

Immunocytochemistry/ Immunofluorescence - Anti-CDX2 antibody [EPR2764Y] - BSA and Azide free (AB220799)

This data was developed using ab76541, the same antibody clone in a different buffer formulation

Immunofluorescent analysis of 4% Paraformaldehyde-fixed, 0.1% TritonX-100 permeabilized SW480 ( human colorectal adenocarcinoma epithelial cell) labelling CDX2 with ab76541 at 1/400 (1.82 µg/ml) dilution (Green).

Negative control : MCF7.

Confocal image showing nuclear staining on the SW480 cell line.

Nuclear DNA was labelled with DAPI (shown in blue).

Secondary used was ab150081 Goat Anti-Rabbit IgG H&L (Alexa Fluor® 488) preadsorbed at 1/1000 (2 µg/ml).

ab195889 Anti-alpha Tubulin mouse monoclonal antibody -Microtubule Marker (Alexa Fluor® 594) was used as a counterstain at 1/200 (2.5 µg/ml) dilution.

Image was taken with a confocal microscope(Leica-Microsystems, TCS SP8).

Immunohistochemistry (Formalin/PFA-fixed paraffin-embedded sections) - Anti-CDX2 antibody [EPR2764Y] - BSA and Azide free (AB220799)
  • IHC-P

Unknown

Immunohistochemistry (Formalin/PFA-fixed paraffin-embedded sections) - Anti-CDX2 antibody [EPR2764Y] - BSA and Azide free (AB220799)

This image was made using ab76541 which is the same antibody as ab220799 with BSA and Azide
Immunohistochemistry (Formalin/PFA-fixed paraffin-embedded sections) analysis of Human colon tissue sections labeling CDX2 with Purified ab76541 at 1 : 1000 dilution (0.8 μg/ml). Heat mediated antigen retrieval was performed using ab93684 (Tris/EDTA buffer, pH 9.0). Goat Anti-Rabbit IgG H&L (HRP) ab97051
was used as the secondary antibody.Negative control : PBS instead of the primary antibody.Hematoxylin was used as a counterstain.

Immunohistochemistry (Formalin/PFA-fixed paraffin-embedded sections) - Anti-CDX2 antibody [EPR2764Y] - BSA and Azide free (AB220799)
  • IHC-P

Unknown

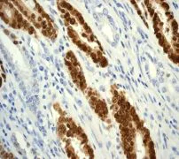
Immunohistochemistry (Formalin/PFA-fixed paraffin-embedded sections) - Anti-CDX2 antibody [EPR2764Y] - BSA and Azide free (AB220799)

Unpurified ab76541, at 1/250 dilution, staining CDX2 in paraffin-embedded human gastric adenocarcinoma tissue, by immunohistochemistry.

This data was developed using the same antibody clone in a different buffer formulation containing PBS, BSA, glycerol, and sodium azide (ab76541).

Heat mediated antigen retrieval was performed before commencing with IHC staining protocol.

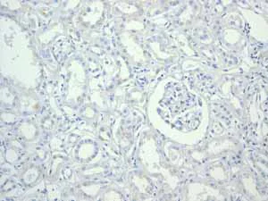
Immunohistochemistry (Formalin/PFA-fixed paraffin-embedded sections) - Anti-CDX2 antibody [EPR2764Y] - BSA and Azide free (AB220799)
  • IHC-P

Unknown

Immunohistochemistry (Formalin/PFA-fixed paraffin-embedded sections) - Anti-CDX2 antibody [EPR2764Y] - BSA and Azide free (AB220799)

Unpurified ab76541 showing negative staining in Normal human kidney tissue.

This data was developed using the same antibody clone in a different buffer formulation containing PBS, BSA, glycerol, and sodium azide (ab76541).

Heat mediated antigen retrieval was performed before commencing with IHC staining protocol.

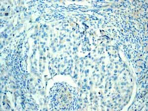
Immunohistochemistry (Formalin/PFA-fixed paraffin-embedded sections) - Anti-CDX2 antibody [EPR2764Y] - BSA and Azide free (AB220799)
  • IHC-P

Unknown

Immunohistochemistry (Formalin/PFA-fixed paraffin-embedded sections) - Anti-CDX2 antibody [EPR2764Y] - BSA and Azide free (AB220799)

Unpurified ab76541 showing negative staining in human Skeletal muscle tissue.

This data was developed using the same antibody clone in a different buffer formulation containing PBS, BSA, glycerol, and sodium azide (ab76541).

Heat mediated antigen retrieval was performed before commencing with IHC staining protocol.

Immunohistochemistry (Formalin/PFA-fixed paraffin-embedded sections) - Anti-CDX2 antibody [EPR2764Y] - BSA and Azide free (AB220799)
  • IHC-P

Unknown

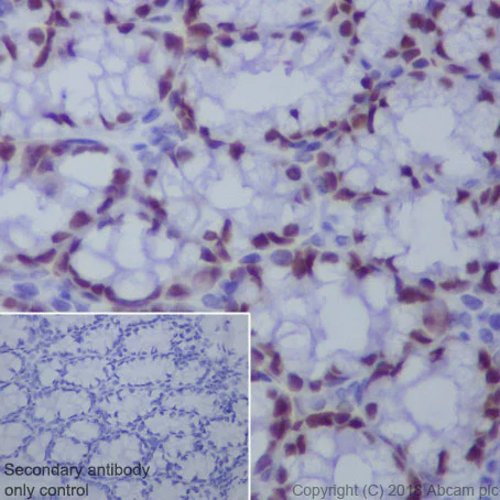
Immunohistochemistry (Formalin/PFA-fixed paraffin-embedded sections) - Anti-CDX2 antibody [EPR2764Y] - BSA and Azide free (AB220799)

Unpurified ab76541 showing positive staining in Normal human colon tissue.

This data was developed using the same antibody clone in a different buffer formulation containing PBS, BSA, glycerol, and sodium azide (ab76541).

Heat mediated antigen retrieval was performed before commencing with IHC staining protocol.

Immunohistochemistry (Formalin/PFA-fixed paraffin-embedded sections) - Anti-CDX2 antibody [EPR2764Y] - BSA and Azide free (AB220799)
  • IHC-P

Unknown

Immunohistochemistry (Formalin/PFA-fixed paraffin-embedded sections) - Anti-CDX2 antibody [EPR2764Y] - BSA and Azide free (AB220799)

Unpurified ab76541 showing positive staining in human Colonic adenocarcinoma tissue.

This data was developed using the same antibody clone in a different buffer formulation containing PBS, BSA, glycerol, and sodium azide (ab76541).

Heat mediated antigen retrieval was performed before commencing with IHC staining protocol.

Immunohistochemistry (Formalin/PFA-fixed paraffin-embedded sections) - Anti-CDX2 antibody [EPR2764Y] - BSA and Azide free (AB220799)
  • IHC-P

Unknown

Immunohistochemistry (Formalin/PFA-fixed paraffin-embedded sections) - Anti-CDX2 antibody [EPR2764Y] - BSA and Azide free (AB220799)

Unpurified ab76541 showing negative staining in Normal human brain tissue.

This data was developed using the same antibody clone in a different buffer formulation containing PBS, BSA, glycerol, and sodium azide (ab76541).

Heat mediated antigen retrieval was performed before commencing with IHC staining protocol.

Immunohistochemistry (Formalin/PFA-fixed paraffin-embedded sections) - Anti-CDX2 antibody [EPR2764Y] - BSA and Azide free (AB220799)
  • IHC-P

AbReview19013****

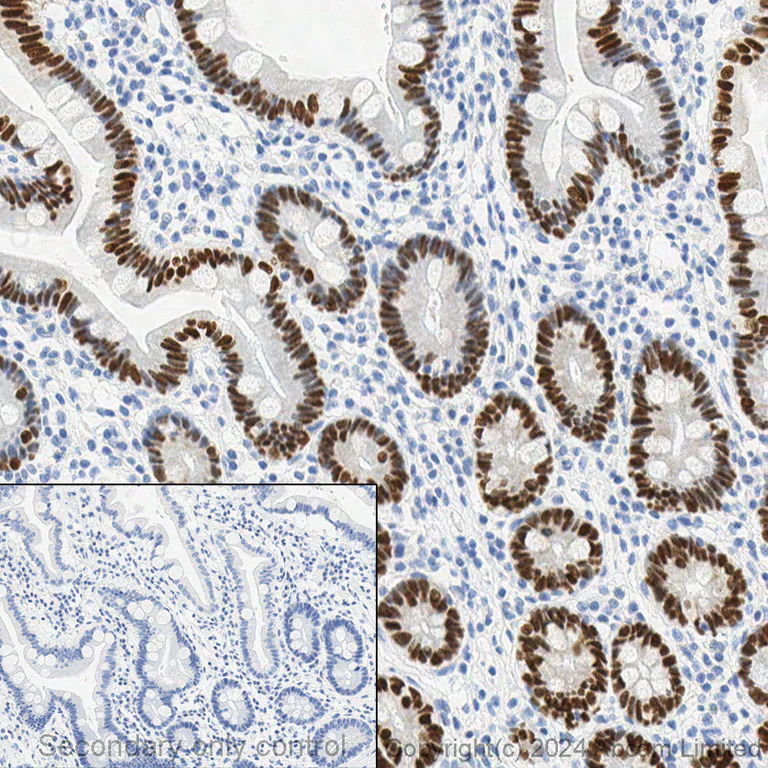
Immunohistochemistry (Formalin/PFA-fixed paraffin-embedded sections) - Anti-CDX2 antibody [EPR2764Y] - BSA and Azide free (AB220799)

Unpurified ab76541 staining CDX2 in Human intestinal tissue sections by Immunohistochemistry (IHC-P - paraformaldehyde-fixed, paraffin-embedded sections). Tissue was fixed with paraformaldehyde and blocked with 5% BSA for 1 hours at 25°C; antigen retrieval was by heat mediation. Samples were incubated with primary antibody (1/100 in PBS containing 5% BSA) for 18 hours at 4°C. An HRP-conjugated goat anti-rabbit IgG polyclonal (1/500) was used as the secondary antibody.

This data was developed using the same antibody clone in a different buffer formulation containing PBS, BSA, glycerol, and sodium azide (ab76541).

This image is courtesy of an anonymous Abreview

Immunohistochemistry (Formalin/PFA-fixed paraffin-embedded sections) - Anti-CDX2 antibody [EPR2764Y] - BSA and Azide free (AB220799)
  • IHC-P

Unknown

Immunohistochemistry (Formalin/PFA-fixed paraffin-embedded sections) - Anti-CDX2 antibody [EPR2764Y] - BSA and Azide free (AB220799)

Unpurified ab76541 showing negative staining in Normal human brain tissue.

This data was developed using the same antibody clone in a different buffer formulation containing PBS, BSA, glycerol, and sodium azide (ab76541).

Heat mediated antigen retrieval was performed before commencing with IHC staining protocol.

Immunohistochemistry (Formalin/PFA-fixed paraffin-embedded sections) - Anti-CDX2 antibody [EPR2764Y] - BSA and Azide free (AB220799)
  • IHC-P

Unknown

Immunohistochemistry (Formalin/PFA-fixed paraffin-embedded sections) - Anti-CDX2 antibody [EPR2764Y] - BSA and Azide free (AB220799)

This image was made using ab76541 which is the same antibody as ab220799 with BSA and Azide
Immunohistochemistry (Formalin/PFA-fixed paraffin-embedded sections) analysis of Rat colon tissue sections labeling CDX2 with Purified ab76541 at 1 : 1000 dilution (0.8 μg/ml). Heat mediated antigen retrieval was performed using ab93684 (Tris/EDTA buffer, pH 9.0). Goat Anti-Rabbit IgG H&L (HRP) ab97051
was used as the secondary antibody. Negative control : PBS instead of the primary antibody. Hematoxylin was used as a counterstain.

Immunohistochemistry (Formalin/PFA-fixed paraffin-embedded sections) - Anti-CDX2 antibody [EPR2764Y] - BSA and Azide free (AB220799)
  • IHC-P

Unknown

Immunohistochemistry (Formalin/PFA-fixed paraffin-embedded sections) - Anti-CDX2 antibody [EPR2764Y] - BSA and Azide free (AB220799)

This image was made using ab76541 which is the same antibody as ab220799 with BSA and Azide
Immunohistochemistry (Formalin/PFA-fixed paraffin-embedded sections) analysis of Mouse colon tissue sections labeling CDX2 with Purified ab76541 at 1 : 1000 dilution (0.8 μg/ml). Heat mediated antigen retrieval was performed using ab93684 (Tris/EDTA buffer, pH 9.0). Goat Anti-Rabbit IgG H&L (HRP) ab97051
was used as the secondary antibody.Negative control : PBS instead of the primary antibody.Hematoxylin was used as a counterstain.

Western blot - Anti-CDX2 antibody [EPR2764Y] - BSA and Azide free (AB220799)
  • WB

Lab

Western blot - Anti-CDX2 antibody [EPR2764Y] - BSA and Azide free (AB220799)

This data was developed using ab76541, the same antibody clone in a different buffer formulation

All lanes:

Western blot - Anti-CDX2 antibody [EPR2764Y] (<a href='/en-us/products/primary-antibodies/cdx2-antibody-epr2764y-ab76541'>ab76541</a>) at 1/10000 dilution

Lane 1:

Caco-2 (Human colorectal adenocarcinoma epithelial cell) whole cell lysates at 20 µg

Lane 2:

Human colon cancer lysates at 20 µg

Lane 3:

Rat colon lysates at 20 µg

Lane 4:

Mouse colon lysates at 20 µg

Secondary

All lanes:

Goat Anti-Rabbit IgG (HRP) with minimal cross-reactivity with human IgG at 1/10000 dilution

Predicted band size: 33 kDa

Observed band size: 40 kDa

false

ChIC/CUT&RUN sequencing - Anti-CDX2 antibody [EPR2764Y] - BSA and Azide free (AB220799)
  • ChIC/CUT&RUN-seq

Lab

ChIC/CUT&RUN sequencing - Anti-CDX2 antibody [EPR2764Y] - BSA and Azide free (AB220799)

This data was developed using the same antibody clone in a different buffer formulation (ab76541).

ChIC/CUT&RUN was performed using a pAG-MNase at a final concentration of 700 ng/mL, 2.5 x 105 Caco-2 (human colorectal adenocarcinoma epithelial cell) cells and 5 µg of ab76541 [EPR2764Y]. The resulting DNA was sequenced on the Illumina NovaSeq 6000 to a depth of 10 million reads. The negative IgG control ab172730 is also shown.

The University of Geneva owns patents relevant to ChIC (Chromatin Immuno-Cleavage) methods.

ChIC/CUT&RUN sequencing - Anti-CDX2 antibody [EPR2764Y] - BSA and Azide free (AB220799)
  • ChIC/CUT&RUN-seq

Lab

ChIC/CUT&RUN sequencing - Anti-CDX2 antibody [EPR2764Y] - BSA and Azide free (AB220799)

This data was developed using the same antibody clone in a different buffer formulation (ab76541).

ChIC/CUT&RUN was performed using a pAG-MNase at a final concentration of 700 ng/mL, 2.5 x 105 Caco-2 (human colorectal adenocarcinoma epithelial cell) cells and 5 µg of ab76541 [EPR2764Y]. The resulting DNA was sequenced on the Illumina NovaSeq 6000 to a depth of 10 million reads. The negative IgG control ab172730 is also shown.

The University of Geneva owns patents relevant to ChIC (Chromatin Immuno-Cleavage) methods.

ChIC/CUT&RUN sequencing - Anti-CDX2 antibody [EPR2764Y] - BSA and Azide free (AB220799)
  • ChIC/CUT&RUN-seq

Lab

ChIC/CUT&RUN sequencing - Anti-CDX2 antibody [EPR2764Y] - BSA and Azide free (AB220799)

This data was developed using the same antibody clone in a different buffer formulation (ab76541).

ChIC/CUT&RUN was performed using a pAG-MNase at a final concentration of 700 ng/mL, 2.5 x 105 Caco-2 (human colorectal adenocarcinoma epithelial cell) cells and 5 µg of ab76541 [EPR2764Y]. The resulting DNA was sequenced on the Illumina NovaSeq 6000 to a depth of 10 million reads. The negative IgG control ab172730 is also shown.

The University of Geneva owns patents relevant to ChIC (Chromatin Immuno-Cleavage) methods.

Western blot - Anti-CDX2 antibody [EPR2764Y] - BSA and Azide free (AB220799)
  • WB

Unknown

Western blot - Anti-CDX2 antibody [EPR2764Y] - BSA and Azide free (AB220799)

This data was developed using ab76541, the same antibody clone in a different buffer formulation

Lane 1:

Western blot - Anti-CDX2 antibody [EPR2764Y] (<a href='/en-us/products/primary-antibodies/cdx2-antibody-epr2764y-ab76541'>ab76541</a>) at 1/1000 dilution

Lanes 2 - 3:

Western blot - Anti-CDX2 antibody [EPR2764Y] (<a href='/en-us/products/primary-antibodies/cdx2-antibody-epr2764y-ab76541'>ab76541</a>) at 1/5000 dilution

Lane 1:

HT-29 (Human colorectal adenocarcinoma cell line) lysate at 10 µg

Lane 2:

Colon cancer lysate at 10 µg

Lane 3:

Human small intestine lysate at 10 µg

Secondary

All lanes:

HRP labeled goat anti-rabbit at 1/2000 dilution

Predicted band size: 33 kDa

Observed band size: 40 kDa

false

OI-RD Scanning - Anti-CDX2 antibody [EPR2764Y] - BSA and Azide free (AB220799)
  • OI-RD Scanning

Unknown

OI-RD Scanning - Anti-CDX2 antibody [EPR2764Y] - BSA and Azide free (AB220799)

We have systematically measured KD (the equilibrium dissociation constant between the antibody and its antigen), of more than 840 recombinant antibodies to assess not only their individual KD values but also to see the average affinity of antibody. Based on the comparison with published literature values for mouse monoclonal antibodies, Recombinant antibodies appear to be on average 1-2 order of magnitude higher affinity.

  • Unconjugated

    Anti-CDX2 antibody [EPR2764Y]

  • 519 Alexa Fluor® 488

    Alexa Fluor® 488 Anti-CDX2 antibody [EPR2764Y]

  • 665 Alexa Fluor® 647

    Alexa Fluor® 647 Anti-CDX2 antibody [EPR2764Y]

  • 578 PE

    PE Anti-CDX2 antibody [EPR2764Y]

  • 660 APC

    APC Anti-CDX2 antibody [EPR2764Y]

  • HRP

    HRP Anti-CDX2 antibody [EPR2764Y]

  • 565 Alexa Fluor® 555

    Alexa Fluor® 555 Anti-CDX2 antibody [EPR2764Y]

Key facts

Host species

Rabbit

Clonality

Monoclonal

Clone number

EPR2764Y

Isotype

IgG

Carrier free

Yes

Reacts with

Mouse, Rat, Human

Applications

ChIC/CUT&RUN-seq, WB, IHC-P, ICC/IF

applications

Immunogen

The exact immunogen used to generate this antibody is proprietary information.

Reactivity data

{ "title": "Reactivity Data", "filters": { "stats": ["", "Species", "Dilution Info", "Notes"], "tabs": { "all-applications": {"fullname" : "All Applications", "shortname": "All Applications"}, "IHCP" : {"fullname" : "Immunohistochemistry (Formalin/PFA-fixed paraffin-embedded sections)", "shortname":"IHC-P"}, "IP" : {"fullname" : "Immunoprecipitation", "shortname":"IP"}, "WB" : {"fullname" : "Western blot", "shortname":"WB"}, "ICCIF" : {"fullname" : "Immunocytochemistry/ Immunofluorescence", "shortname":"ICC/IF"}, "FlowCytIntra" : {"fullname" : "Flow Cytometry (Intracellular)", "shortname":"Flow Cyt (Intra)"}, "ChICCUTRUNseq" : {"fullname" : "ChIC/CUT&RUN sequencing", "shortname":"ChIC/CUT&RUN-seq"} }, "product-promise": { "all": "all", "testedAndGuaranteed": "tested", "guaranteed": "expected", "predicted": "predicted", "notRecommended": "not-recommended" } }, "values": { "Human": { "IHCP-species-checked": "testedAndGuaranteed", "IHCP-species-dilution-info": "", "IHCP-species-notes": "<p></p>", "IP-species-checked": "notRecommended", "IP-species-dilution-info": "", "IP-species-notes": "<p></p>", "WB-species-checked": "testedAndGuaranteed", "WB-species-dilution-info": "", "WB-species-notes": "<p></p>", "ICCIF-species-checked": "testedAndGuaranteed", "ICCIF-species-dilution-info": "", "ICCIF-species-notes": "<p></p>", "FlowCytIntra-species-checked": "notRecommended", "FlowCytIntra-species-dilution-info": "", "FlowCytIntra-species-notes": "<p></p>", "ChICCUTRUNseq-species-checked": "testedAndGuaranteed", "ChICCUTRUNseq-species-dilution-info": "", "ChICCUTRUNseq-species-notes": "<p></p>" }, "Mouse": { "IHCP-species-checked": "testedAndGuaranteed", "IHCP-species-dilution-info": "", "IHCP-species-notes": "<p></p>", "IP-species-checked": "notRecommended", "IP-species-dilution-info": "", "IP-species-notes": "<p></p>", "WB-species-checked": "guaranteed", "WB-species-dilution-info": "", "WB-species-notes": "<p></p>", "ICCIF-species-checked": "guaranteed", "ICCIF-species-dilution-info": "", "ICCIF-species-notes": "", "FlowCytIntra-species-checked": "notRecommended", "FlowCytIntra-species-dilution-info": "", "FlowCytIntra-species-notes": "", "ChICCUTRUNseq-species-checked": "guaranteed", "ChICCUTRUNseq-species-dilution-info": "", "ChICCUTRUNseq-species-notes": "" }, "Rat": { "IHCP-species-checked": "testedAndGuaranteed", "IHCP-species-dilution-info": "", "IHCP-species-notes": "<p></p>", "IP-species-checked": "notRecommended", "IP-species-dilution-info": "", "IP-species-notes": "<p></p>", "WB-species-checked": "guaranteed", "WB-species-dilution-info": "", "WB-species-notes": "<p></p>", "ICCIF-species-checked": "guaranteed", "ICCIF-species-dilution-info": "", "ICCIF-species-notes": "", "FlowCytIntra-species-checked": "notRecommended", "FlowCytIntra-species-dilution-info": "", "FlowCytIntra-species-notes": "", "ChICCUTRUNseq-species-checked": "guaranteed", "ChICCUTRUNseq-species-dilution-info": "", "ChICCUTRUNseq-species-notes": "" }, "Rabbit": { "IHCP-species-checked": "predicted", "IHCP-species-dilution-info": "", "IHCP-species-notes": "", "IP-species-checked": "notRecommended", "IP-species-dilution-info": "", "IP-species-notes": "", "WB-species-checked": "predicted", "WB-species-dilution-info": "", "WB-species-notes": "", "ICCIF-species-checked": "predicted", "ICCIF-species-dilution-info": "", "ICCIF-species-notes": "", "FlowCytIntra-species-checked": "notRecommended", "FlowCytIntra-species-dilution-info": "", "FlowCytIntra-species-notes": "", "ChICCUTRUNseq-species-checked": "predicted", "ChICCUTRUNseq-species-dilution-info": "", "ChICCUTRUNseq-species-notes": "" } } }

Product details

ab220799 is the carrier-free version of ab76541.

Patented technology
Our RabMAb® technology is a patented hybridoma-based technology for making rabbit monoclonal antibodies. For details on our patents, please refer to RabMAb® patents.

What are the advantages of a recombinant monoclonal antibody?
This product is a recombinant monoclonal antibody, which offers several advantages including:

  • - High batch-to-batch consistency and reproducibility
  • - Improved sensitivity and specificity
  • - Long-term security of supply
  • - Animal-free batch production

For more information, read more on recombinant antibodies.

Conjugation ready
Our carrier-free antibodies are typically supplied in a PBS-only formulation, purified and free of BSA, sodium azide and glycerol. This conjugation-ready format is designed for use with fluorochromes, metal isotopes, oligonucleotides, and enzymes, which makes them ideal for antibody labelling, functional and cell-based assays, flow-based assays (e.g. mass cytometry) and Multiplex Imaging applications.

Use our conjugation kits for antibody conjugates that are ready-to-use in as little as 20 minutes with 1 minute hands-on-time and 100% antibody recovery: available for fluorescent dyes, HRP, biotin and gold.

Compatibility
This product is compatible with the Maxpar® Antibody Labeling Kit from Fluidigm, without the need for antibody preparation. Maxpar® is a trademark of Fluidigm Canada Inc.

Properties and storage information

Form
Liquid
Purification technique
Affinity purification Protein A
Storage buffer
pH: 7.2 - 7.4 Constituents: PBS
Shipped at conditions
Blue Ice
Appropriate short-term storage conditions
+4°C
Appropriate long-term storage conditions
+4°C
Storage information
Do Not Freeze

Supplementary information

This supplementary information is collated from multiple sources and compiled automatically.

CDX2 or Caudal Type Homeobox 2 is a transcription factor involved in intestinal development and differentiation. Alternative names for CDX2 include Cdx-2 and CDX-2. This protein has a molecular mass of approximately 38 kDa. CDX2 is expressed mainly in the epithelial cells of the intestine. Researchers can identify CDX2 through techniques like CDX2 stain CDX2 immunostain and CDX2 IHC which are useful for determining its expression in tissue samples.
Biological function summary

CDX2 plays an important role in controlling the expression of genes necessary for maintaining intestinal epithelial cell identity. It functions as a part of regulatory networks that guide cell fate and differentiation in the gut. CDX2 does not generally form complexes but acts as a transcriptional regulator that binds directly to DNA influencing genes involved in cell adhesion proliferation and the maintenance of tissue structure.

Pathways

CDX2 is integral to the Wnt signaling and Hedgehog pathways which are vital for intestinal development and homeostasis. Within these pathways CDX2 works closely with other proteins like beta-catenin influencing cell proliferation and differentiation. The Wnt pathway in particular modulates the expression of proliferative genes while CDX2 ensures that proliferation maintains tissue integrity by guiding cellular differentiation.

CDX2 has a significant link to colorectal cancer and Barrett's esophagus. Loss of CDX2 expression often marks the progression from normal to malignant tissue in colorectal cancer where it connects with proteins like p-catenin affecting cellular growth and differentiation. Similarly abnormal expression of CDX2 correlates with the development of Barrett's esophagus a condition that may progress to esophageal adenocarcinoma. These disease associations make CDX2 a potential diagnostic marker and therapeutic target in gastrointestinal pathologies.

Product protocols

For this product, it's our understanding that no specific protocols are required. You can visit:

Target data

Transcription factor which regulates the transcription of multiple genes expressed in the intestinal epithelium (By similarity). Binds to the promoter of the intestinal sucrase-isomaltase SI and activates SI transcription (By similarity). Binds to the DNA sequence 5'-ATAAAAACTTAT-3' in the promoter region of VDR and activates VDR transcription (By similarity). Binds to and activates transcription of LPH (By similarity). Activates transcription of CLDN2 and intestinal mucin MUC2 (By similarity). Binds to the 5'-AATTTTTTACAACACCT-3' DNA sequence in the promoter region of CA1 and activates CA1 transcription (By similarity). Important in broad range of functions from early differentiation to maintenance of the intestinal epithelial lining of both the small and large intestine. Binds preferentially to methylated DNA (PubMed : 28473536).
See full target information CDX2

Publications (13)

Recent publications for all applications. Explore the full list and refine your search

STAR protocols 5:103336 PubMed39356640

2024

Protocol for simultaneous detection of mRNAs and (phospho-)proteins with ARTseq-FISH in mouse embryonic stem cells.

Applications

Unspecified application

Species

Unspecified reactive species

Xinyu Hu,Bob van Sluijs,Óscar García-Blay,Wilhelm T S Huck,Maike M K Hansen

Nature communications 15:3918 PubMed38724524

2024

ARTseq-FISH reveals position-dependent differences in gene expression of micropatterned mESCs.

Applications

Unspecified application

Species

Unspecified reactive species

Xinyu Hu,Bob van Sluijs,Óscar García-Blay,Yury Stepanov,Koen Rietrae,Wilhelm T S Huck,Maike M K Hansen

Proceedings of the National Academy of Sciences of 112:E2337-46 PubMed25870291

2015

Heightened potency of human pluripotent stem cell lines created by transient BMP4 exposure.

Applications

Unspecified application

Species

Unspecified reactive species

Ying Yang,Katsuyuki Adachi,Megan A Sheridan,Andrei P Alexenko,Danny J Schust,Laura C Schulz,Toshihiko Ezashi,R Michael Roberts

PloS one 9:e107308 PubMed25203285

2014

Establishment of trophoblast stem cells under defined culture conditions in mice.

Applications

ICC/IF

Species

Unspecified reactive species

Yasuhide Ohinata,Tomoyuki Tsukiyama

The Journal of pathology 234:34-45 PubMed24797403

2014

Rapidly derived colorectal cancer cultures recapitulate parental cancer characteristics and enable personalized therapeutic assays.

Applications

Unspecified application

Species

Human

Neil Ashley,Matthew Jones,Djamila Ouaret,Jenny Wilding,Walter F Bodmer

Nature 502:340-5 PubMed24025773

2013

Reprogramming in vivo produces teratomas and iPS cells with totipotency features.

Applications

IHC

Species

Unspecified reactive species

María Abad,Lluc Mosteiro,Cristina Pantoja,Marta Cañamero,Teresa Rayon,Inmaculada Ors,Osvaldo Graña,Diego Megías,Orlando Domínguez,Dolores Martínez,Miguel Manzanares,Sagrario Ortega,Manuel Serrano

The Journal of biological chemistry 288:18546-60 PubMed23649632

2013

Smad2 is essential for maintenance of the human and mouse primed pluripotent stem cell state.

Applications

Unspecified application

Species

Unspecified reactive species

Masayo Sakaki-Yumoto,Jianming Liu,Miguel Ramalho-Santos,Nobuaki Yoshida,Rik Derynck

Proceedings of the National Academy of Sciences of the United States of America 110:E1212-21 PubMed23493551

2013

Complete and unidirectional conversion of human embryonic stem cells to trophoblast by BMP4.

Applications

ICC/IF

Species

Human

Mitsuyoshi Amita,Katsuyuki Adachi,Andrei P Alexenko,Sunilima Sinha,Danny J Schust,Laura C Schulz,R Michael Roberts,Toshihiko Ezashi

The Journal of biological chemistry 287:2257-68 PubMed22123820

2011

SATB homeobox proteins regulate trophoblast stem cell renewal and differentiation.

Applications

WB

Species

Rat

Kazuo Asanoma,Kaiyu Kubota,Damayanti Chakraborty,Stephen J Renaud,Norio Wake,Kotaro Fukushima,Michael J Soares,M A Karim Rumi

Developmental biology 351:110-9 PubMed21215265

2011

FGF4-dependent stem cells derived from rat blastocysts differentiate along the trophoblast lineage.

Applications

WB

Species

Unspecified reactive species

Kazuo Asanoma,M A Karim Rumi,Lindsey N Kent,Damayanti Chakraborty,Stephen J Renaud,Norio Wake,Dong-Soo Lee,Kaiyu Kubota,Michael J Soares
View all publications

Product promise

We are committed to supporting your work with high-quality reagents, and we're here for you every step of the way. In the unlikely event that one of our products does not perform as expected, you're protected by our Product Promise.
For full details, please see our Terms & Conditions

Please note: All products are 'FOR RESEARCH USE ONLY. NOT FOR USE IN DIAGNOSTIC OR THERAPEUTIC PROCEDURES'.

For licensing inquiries, please contact partnerships@abcam.com