JavaScript is disabled in your browser. Please enable JavaScript to view this website.
AB236536

Anti-CDX2 antibody [PCRP-CDX2-1A3]

Be the first to review this product! Submit a review

|

(1 Publication)

Mouse Monoclonal CDX2 antibody. Suitable for IHC-P, Protein Array and reacts with Human, Recombinant full length protein - Human samples. Cited in 1 publication. Immunogen corresponding to Recombinant Full Length Protein corresponding to Human CDX2.

View Alternative Names

CDX3, CDX2, Homeobox protein CDX-2, CDX-3, Caudal-type homeobox protein 2

2 Images
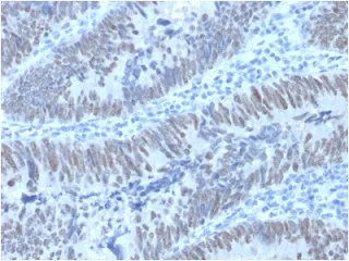
Immunohistochemistry (Formalin/PFA-fixed paraffin-embedded sections) - Anti-CDX2 antibody [PCRP-CDX2-1A3] (AB236536)
  • IHC-P

Supplier Data

Immunohistochemistry (Formalin/PFA-fixed paraffin-embedded sections) - Anti-CDX2 antibody [PCRP-CDX2-1A3] (AB236536)

Formalin-fixed paraffin-embedded human colon carcinoma tissue stained for CDX2 using ab236536 at 1 μg/ml in immunohistochemical analysis.

Protein Array - Anti-CDX2 antibody [PCRP-CDX2-1A3] (AB236536)
  • Protein Array

Unknown

Protein Array - Anti-CDX2 antibody [PCRP-CDX2-1A3] (AB236536)

ab236536 was tested in protein array against over 19000 different full-length human proteins.
Z- and S- Score : The Z-score represents the strength of a signal that a monoclonal antibody (MAb) (in combination with a fluorescently-tagged anti-IgG secondary antibody) produces when binding to a particular protein on the HuProtTM array. Z-scores are described in units of standard deviations (SD's) above the mean value of all signals generated on that array. If targets on HuProtTM are arranged in descending order of the Z-score the S-score is the difference (also in units of SD's) between the Z-score. S-score therefore represents the relative target specificity of a MAb to its intended target.
A MAb is specific to its intended target if the MAb has an S-score of at least 2.5. For example if a MAb binds to protein X with a Z-score of 43 and to protein Y with a Z-score of 14 then the S-score for the binding of that MAb to protein X is equal to 29.

Key facts

Host species

Mouse

Clonality

Monoclonal

Clone number

PCRP-CDX2-1A3

Isotype

IgG1

Carrier free

No

Reacts with

Human

Applications

IHC-P, Protein Array

applications

Immunogen

Recombinant Full Length Protein corresponding to Human CDX2.

Q99626

Reactivity data

{ "title": "Reactivity Data", "filters": { "stats": ["", "Species", "Dilution Info", "Notes"], "tabs": { "all-applications": {"fullname" : "All Applications", "shortname": "All Applications"}, "IHCP" : {"fullname" : "Immunohistochemistry (Formalin/PFA-fixed paraffin-embedded sections)", "shortname":"IHC-P"}, "ProteinArray" : {"fullname" : "Protein Array", "shortname":"Protein Array"} }, "product-promise": { "all": "all", "testedAndGuaranteed": "tested", "guaranteed": "expected", "predicted": "predicted", "notRecommended": "not-recommended" } }, "values": { "Human": { "IHCP-species-checked": "testedAndGuaranteed", "IHCP-species-dilution-info": "0.5-1 µg/mL", "IHCP-species-notes": "<p>Primary incubation for 30 minutes at room temperature.</p> Perform heat-mediated antigen retrieval with citrate buffer pH 6 before commencing with IHC staining protocol.", "ProteinArray-species-checked": "guaranteed", "ProteinArray-species-dilution-info": "", "ProteinArray-species-notes": "" }, "Mouse": { "IHCP-species-checked": "predicted", "IHCP-species-dilution-info": "", "IHCP-species-notes": "", "ProteinArray-species-checked": "predicted", "ProteinArray-species-dilution-info": "", "ProteinArray-species-notes": "" }, "Hamster": { "IHCP-species-checked": "predicted", "IHCP-species-dilution-info": "", "IHCP-species-notes": "", "ProteinArray-species-checked": "predicted", "ProteinArray-species-dilution-info": "", "ProteinArray-species-notes": "" }, "Recombinant full length protein - Human": { "IHCP-species-checked": "notRecommended", "IHCP-species-dilution-info": "", "IHCP-species-notes": "", "ProteinArray-species-checked": "testedAndGuaranteed", "ProteinArray-species-dilution-info": "", "ProteinArray-species-notes": "<p></p>" } } }

Properties and storage information

Form
Liquid
Purification technique
Affinity purification Protein A/G
Purification notes
Purified from Bioreactor Concentrate by Protein A/G.
Storage buffer
pH: 7.2 - 7.4 Preservative: 0.05% Sodium azide Constituents: PBS, 0.05% BSA
Shipped at conditions
Blue Ice
Appropriate short-term storage duration
1-2 weeks
Appropriate short-term storage conditions
+4°C
Appropriate long-term storage conditions
-20°C
Aliquoting information
Upon delivery aliquot
Storage information
Avoid freeze / thaw cycle

Supplementary information

This supplementary information is collated from multiple sources and compiled automatically.

CDX2 or Caudal Type Homeobox 2 is a transcription factor involved in intestinal development and differentiation. Alternative names for CDX2 include Cdx-2 and CDX-2. This protein has a molecular mass of approximately 38 kDa. CDX2 is expressed mainly in the epithelial cells of the intestine. Researchers can identify CDX2 through techniques like CDX2 stain CDX2 immunostain and CDX2 IHC which are useful for determining its expression in tissue samples.
Biological function summary

CDX2 plays an important role in controlling the expression of genes necessary for maintaining intestinal epithelial cell identity. It functions as a part of regulatory networks that guide cell fate and differentiation in the gut. CDX2 does not generally form complexes but acts as a transcriptional regulator that binds directly to DNA influencing genes involved in cell adhesion proliferation and the maintenance of tissue structure.

Pathways

CDX2 is integral to the Wnt signaling and Hedgehog pathways which are vital for intestinal development and homeostasis. Within these pathways CDX2 works closely with other proteins like beta-catenin influencing cell proliferation and differentiation. The Wnt pathway in particular modulates the expression of proliferative genes while CDX2 ensures that proliferation maintains tissue integrity by guiding cellular differentiation.

CDX2 has a significant link to colorectal cancer and Barrett's esophagus. Loss of CDX2 expression often marks the progression from normal to malignant tissue in colorectal cancer where it connects with proteins like p-catenin affecting cellular growth and differentiation. Similarly abnormal expression of CDX2 correlates with the development of Barrett's esophagus a condition that may progress to esophageal adenocarcinoma. These disease associations make CDX2 a potential diagnostic marker and therapeutic target in gastrointestinal pathologies.

Product protocols

For this product, it's our understanding that no specific protocols are required. You can visit:

Target data

Transcription factor which regulates the transcription of multiple genes expressed in the intestinal epithelium (By similarity). Binds to the promoter of the intestinal sucrase-isomaltase SI and activates SI transcription (By similarity). Binds to the DNA sequence 5'-ATAAAAACTTAT-3' in the promoter region of VDR and activates VDR transcription (By similarity). Binds to and activates transcription of LPH (By similarity). Activates transcription of CLDN2 and intestinal mucin MUC2 (By similarity). Binds to the 5'-AATTTTTTACAACACCT-3' DNA sequence in the promoter region of CA1 and activates CA1 transcription (By similarity). Important in broad range of functions from early differentiation to maintenance of the intestinal epithelial lining of both the small and large intestine. Binds preferentially to methylated DNA (PubMed : 28473536).
See full target information CDX2

Publications (1)

Recent publications for all applications. Explore the full list and refine your search

APL bioengineering 9:036115 PubMed40895767

2025

PDPN+ cancer-associated fibroblasts correlate with the neoadjuvant immunotherapy response in gastric cancer.

Applications

Unspecified application

Species

Unspecified reactive species

Mi Jian,Zhensong Yang,Yutao Tang,Fangjie Jiang,Li Cai,Aina Liu,Jinchen Hu,Xixun Wang,Shuguang Liu,Dawei Zhao,Miaomiao Li,Hongbing Chen,Menglai Zhang,Zengwu Yao,Rongbao Jia,Ruyue Chen,Lixin Jiang,Yifei Zhang,Xicheng Song
View all publications

Product promise

We are committed to supporting your work with high-quality reagents, and we're here for you every step of the way. In the unlikely event that one of our products does not perform as expected, you're protected by our Product Promise.
For full details, please see our Terms & Conditions

Please note: All products are 'FOR RESEARCH USE ONLY. NOT FOR USE IN DIAGNOSTIC OR THERAPEUTIC PROCEDURES'.

For licensing inquiries, please contact partnerships@abcam.com